时间:2025-03-30 10:23:42


1、单项选择题 布—查氏综合征患者合并门脉血栓的比例是()
A.<5%
B.约20%
C.约50%
D.>90%
E.约10%
2、单项选择题
下图为宫内孕囊声像图,可见心管搏动,该胎儿至少大于多少周()
A.6周
B.9周
C.10周
D.12周
E.8周
3、单项选择题 眼部超声检查的频率应选择()
A.2.5MHz
B.3.5MHz
C.5.0MHz
D.大于或等于7.5MHz
E.以上都不对
4、判断题 肾实质、脾等正常组织和肾癌等病变组织可表现为实质暗区。
5、单项选择题 粉碎性骨折声像图特点()①断端间有强回声斑或块状强回声,后伴声影②断端间有强回声斑或块状强回声,后方无声影③骨折处可探及骨断裂回声④骨皮质回声中断,骨质中出现不规则低或较强回声
A.①
B.①②
C.①②③
D.②④
E.①②③④
6、单项选择题 患者无痛性血尿,超声示膀胱三角区乳头状隆起性病灶3cm×2cm,基底部较宽,不随体位移动,首选诊断是()
A.膀胱结石
B.膀胱内血凝块
C.血管瘤
D.膀胱癌
E.膀胱内异物
7、单项选择题
如图,初步超声诊断为()

A.二尖瓣返流
B.三尖瓣返流
C.主动脉瓣返流
D.肺动脉瓣返流
E.二尖瓣狭窄
8、单项选择题 没有被腹膜所覆盖的肝脏部分称为()
A.方叶
B.尾状叶
C.裸区
D.右后叶
E.左叶
9、单项选择题 女性腹腔最低部位是()
A.子宫直肠窝
B.肝肾间隙
C.膀胱直肠窝
D.脾肾间隙
E.以上都不是
10、单项选择题 孕几周前出现Ⅲ级胎盘则应考虑胎盘早熟()
A.37周
B.38周
C.39周
D.40周
E.38.5周
11、名词解释 全数字化超声诊断仪
12、单项选择题 目前四维成像技术主要应用于()
A.心脏
B.产科
C.腹部
D.小器官
E.头颅
13、问答题 简述超声诊断仪的主要组成部分。
14、单项选择题
患者男37岁,乙肝患者肝硬化。B超检查如图所示,脾门处包块,根据超声声像图,诊断为()
A.脾门淋巴结肿大
B.副脾
C.脾门占位
D.腹腔占位
E.肾上腺肿瘤
15、单项选择题 风心病二尖瓣狭窄B超诊断主要表现,下列哪项是错误的()。
A.二尖瓣增厚,纤维化,钙化,腱索粘连,缩短
B.二尖瓣口开放幅度减小及瓣口面积变小
C.前叶瓣尖运动消失,瓣体活动正常或幅度减,呈“圆顶状”
D.左房扩大,肺静脉扩张
E.二尖瓣关闭时留有缝隙
16、单项选择题 超声诊断装置的基本构成不包括()
A.发射与接收单元
B.数字扫描转换器
C.超声图像显示装置
D.超声工作站
E.电源
17、单项选择题 从使用角度评价彩色多普勒血流显像仪,下列哪项是质量差的标志()
A.空间分辨力、速度分辨力、动态分辨力均高
B.检出血流敏感度高
C.显示图像均匀性好
D.彩色血流效果佳
E.提高灰阶图像增益时,彩色图像质量即下降
18、单项选择题
女性,5岁,超声检查如图所示,最可能的诊断是()
A.输尿管脱垂
B.输尿管憩室
C.输尿管囊肿
D.输尿管肿瘤
E.巨输尿管症
19、填空题 USG可作为肾上腺病变的初查方法,其可发现较大的_____。
20、单项选择题 睾丸网扩张的声像图特点是()①睾丸纵隔呈无回声和匍匐行管状结构②睾丸纵隔呈增强回声和网状结构③CDFI:无血流信号④CDFI:血流信号丰富
A.①③
B.②④
C.①④
D.②③
E.①②③
21、单项选择题 如果用颈内动脉速度/颈总动脉速度作为诊断近端颈内动脉狭窄的指标,以下哪个收缩期峰值流速比值,提示颈内动脉管径狭窄率超过70%()
A.1.5
B.2.0
C.4.0
D.5.0
E.5.5
22、判断题 非梗阻性肥厚型心肌病患者M型超声心动图常见到SAM征。
23、单项选择题 先天性髋关节完全脱位的声像图特点是()①股骨头从髋臼内全部脱出②股骨头向后上方软组织内移位③股骨头与髋臼间出现较宽间隙④髋臼窝变形
A.①
B.①②
C.①②③
D.①②③④
E.②③④
24、单项选择题 因声源与观察者之间的相对运动,被观测到的声波频率相对声源率发生了变化叫什么效应()
A.多普勒
B.佛莱森
C.佛劳霍夫
D.折射
E.主观效应
25、单项选择题 腹膜后淋巴结弥漫肿大,超声表现为()
A.钙化
B.囊性改变
C.蜂窝状
D.锯齿状
E.以上均是
26、单项选择题
女,24岁,已婚未育,体检时B超检查,如图所示,最可能的诊断为()
A.右附件实质性包块
B.左附件实质性包块
C.子宫肌瘤
D.双子宫
E.纵隔子宫
27、单项选择题 前列腺超声检测的最佳途径是()
A.经腹壁探测法
B.经尿道探测法
C.经会阴探测法
D.经直肠探测法
E.以上都不是
28、单项选择题 张某,女性,35岁,颈前部逐渐增大、增粗,不对称,超声显示:甲状腺肿大呈多个结节,彩色多谱勒血流显像血流丰富,绕结节而行。最可能的诊断是()
A.毒性甲状腺肿
B.亚急性甲状腺炎
C.桥本氏病
D.结节性甲状腺肿
E.以上都不是
29、单项选择题 M型超声显示二尖瓣前叶DE幅度减低,EF斜率减慢,EPSS增大且前后叶呈同向运动,此时最可能的诊断是()
A.二尖瓣脱垂
B.二尖瓣关闭不全
C.二尖瓣狭窄
D.二尖瓣上赘生物形成
E.二尖瓣环钙化
30、单项选择题 正常时胎儿膀胱每隔多长时间排空一次()
A.10~25分钟
B.30~45分钟
C.50分钟~1小时
D.1.5~2小时
E.3小时
31、单项选择题 下列哪项与睾丸恶性畸胎瘤无关()
A.睾丸增大,表面高低不平,呈分叶状
B.内部回声极不均匀
C.不可能出现液化
D.有时可见钙化强回声及声影
E.病变睾丸血供丰富
32、单项选择题 下列关于肾外伤的描述中,哪一项不正确()
A.血尿是肾损伤的主要症状之一,血尿程度与伤情完全一致
B.超声可显示肾周围和肾组织破裂处有无血肿形成
C.声像图表现为肾周或局部实质有血肿暗区存在
D.陈旧性血肿,血块软化,回声增加,可呈类实性改变
E.合并肝脾破裂者,肝区或睥区有血肿暗区,腹盆腔内亦可有暗区
33、判断题 边缘性前置胎盘,USG见胎盘覆盖部分子宫颈内口。
34、单项选择题 腮腺囊肿的超声表现是()
A.形态规整,多呈圆形或多边形
B.轮廓边界完整,呈锯齿状
C.内呈不均质混合回声
D.透声性欠佳,后方轻度衰减
E.边界完整,内为无回声,后方回声增强
35、名词解释 宽频探头
36、单项选择题 胆总管依行程可分为几段()
A.二段
B.三段
C.四段
D.五段
E.六段
37、单项选择题
男性,4岁,因左肾区不适就诊,无外伤史,无发热,左腹部可扪及肿块。根据其声像图,可能的诊断为()
A.肾母细胞癌
B.急性肾炎
C.肾血管平滑肌脂肪瘤
D.肾脓肿
E.肾癌
38、单项选择题
该M型图提示()

A.风湿性心脏病二尖瓣狭窄
B.高血压心脏病
C.左房黏液瘤
D.扩张型心脏病
E.肥厚性心肌病
39、单项选择题 异位妊娠破裂出血<100ml时,局限性积液的部位是()①子宫直肠窝②结肠旁隐窝③肝下间隙④双侧髂窝
A.①
B.①②
C.①②③
D.①②③④
E.②③④
40、单项选择题 单纯性甲状腺肿的超声声像图表现是()
A.甲状腺均匀性显著肿大,压迫气管和颈部血管
B.早期光点增粗,有的可见散在性边界模糊的小结节
C.后期可形成多个薄壁的液性暗区
D.腺体中常发生液化、血块机化及钙化
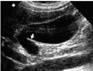
E.以上都是
41、单项选择题 关于人体正常、病理组织和体液的回声特点下述哪一项不正确()
A.液体是无回声的,所有的实性组织是有回声的
B.胸膜-肺界面回声很强,其后方伴有声影
C.肝脾实质呈中等水平回声,比肾皮质回声略强
D.尿液和胆汁通常是无回声的
E.结石为强回声,多数伴有声影
42、填空题
如图,根据二尖瓣M型超声心动图特征,可见CD段呈_______样改变。

43、单项选择题 在行颅脑超声检查时,能较完整的显示大脑中动脉、大脑前动脉、后交通动脉及大脑后动脉的检查窗是()
A.颞窗
B.枕窗
C.眼窗
D.额窗
E.顶窗
44、单项选择题
患者,右下腹压痛反跳痛。结合超声声像图,最可能的诊断是()
A.肠梗阻
B.结肠癌
C.正常阑尾
D.阑尾炎
E.肠穿孔
45、判断题 衰减与介质的衰减系数成反比,与距离的平方成正比。
46、单项选择题
如图,为一孕妇34周时,羊水内漂浮所见管道结构(横切),最可能的诊断是()
A.脊柱裂
B.脑膜膨出
C.淋巴管囊肿
D.单脐动脉
E.正常图像
47、单项选择题
反射回来的超声信号的强度决定于()
①被反射回来的超声量
②超声的衰减
③声波进入界面的入射角度
A.①②
B.②③
C.①③
D.①②③
E.以上都不对
48、单项选择题 关于阴囊解剖的描述,哪一项不正确()
A.阴囊为一囊袋状结构
B.阴囊壁由皮肤、肉膜及肌肉组成
C.正中有阴囊隔分成左、右两囊
D.内有睾丸、附睾等组成
E.鞘膜腔内无液体
49、单项选择题 声像图的纵向分辨力与什么有关()
A.信号的频率
B.声阻抗
C.组织密度
D.声速的大小
E.以上都不对
50、问答题 肾小球肾炎的声像图表现有哪些?
51、单项选择题 三尖瓣下移畸型的超声所见是()
A.右心房巨大(右房加房化右室)
B.功能右室正常
C.三尖瓣下移<1cm
D.三尖瓣前瓣变小
E.右心肥厚
52、单项选择题
超声引导穿刺前仪器调整()
①选用B型扫描方式
②选用B型、彩色多普勒扫描方式
③总增益的调节以肝脏作为参考
④总增益的调节以穿刺部位作为参考
⑤通过近场抑制,远场增益使图像纵深的回声强度均匀一致
⑥通过近场增益,远场抑制使图像纵深的回声强度均匀一致
⑦穿刺深度在8cm以内时选用第1、2段聚焦
⑧穿刺深度在8cm以内时选用第3段聚焦
A.①④⑤⑦
B.②④⑦⑧
C.①③⑥⑦
D.①③⑤⑦
E.②③⑤⑦
53、单项选择题 乳腺纤维腺瘤的超声特征是()
A.边界光滑、有包膜、回声均匀、后方多增强
B.边界不光滑、有包膜、回声均匀、后方多增强
C.边界光滑、无包膜、回声均匀、后方多增强
D.边界光滑、有包膜、回声不均、后方多增强
E.边界光滑、有包膜、回声均匀、后方不增强
54、单项选择题 男,37岁,既往有肝炎史,超声发现脾脏显著肿大,肝表面不光滑,肝实质回声不均匀,肝周探及液性暗区.诊断最可能是()
A.慢性肝炎
B.慢性肝炎合并肝硬化,腹水
C.肝硬化合并肝囊肿
D.肝硬化合并肝肿瘤
E.肝硬化合并门静脉高压
55、单项选择题
患者,暴饮暴食,血淀粉酶升高,超声见胰腺体积增大,边界不清,如图所示,考虑为()
A.胰腺癌
B.胰腺炎
C.胰腺囊肿
D.胰腺脓肿
E.以上都不是
56、单项选择题
在两种不同介质的界面上,决定反射量的因素是()
①折射系数
②超声波频率
③声特性阻抗
A.①
B.②
C.③
D.②③
E.①②③
57、单项选择题
男,25岁,左腰痛2小时伴镜下血尿,超声显示左肾盂左输尿管轻度扩张,膀胱超声图如下,可提示诊断是()
A.左输尿管囊肿
B.左输尿管结石
C.左输尿管肿瘤
D.左输尿管狭窄
E.以上都不是
58、单项选择题 超声检查乳房病变先选用哪一种频率的探头()
A.3.5MHz
B.5MHz和7.5MHz
C.3.5MHz和7.5MHz
D.5MHz
E.7.5MHz
59、单项选择题 甲状腺炎临床分型是()
A.①急性②慢性
B.①急性②亚急性
C.①急性②亚急性③慢性
D.①临床下型②急性③亚急性④慢性
E.①急性②临床下型③慢性
60、单项选择题
患者,女性,甲状腺肿大。探及多个结节状的强回声光团,其内可见暗区。如图所示,最可能的诊断为()
A.甲状腺功能亢进
B.甲状腺腺瘤
C.甲状腺炎
D.结节性甲状腺肿
E.甲状腺癌
61、单项选择题 子宫颈癌中晚期肿瘤的声像图表现中,应除外()
A.多无明显征象
B.宫颈体积增大
C.形态多不规则
D.边缘较模糊
E.宫颈回声不均
62、单项选择题 超声检测所能发现的肾上腺异常是下列哪项()
A.肾上腺体积增大
B.肾上腺腺体分泌增多
C.肾解剖学变异
D.肾上腺腺体萎缩
E.以上均是
63、单项选择题 妊娠囊孕7周时的直径约为()
A.2.0cm
B.3.0cm
C.3.7cm
D.1.0cm
E.4.0cm
64、单项选择题 正常甲状腺横切时的超声特征是()
A.甲状腺包膜完整,呈蝶形,强回声
B.甲状腺为蝶形,包膜完整,均质,中等回声
C.甲状腺包膜完整,呈圆形,均质弱回声
D.甲状腺包膜不完整,呈蝶形,均质弱回声
E.甲状腺包膜不完整,呈蝶形,不均质强回声
65、单项选择题 IVRT是指()
A.从主动脉瓣关闭到二尖瓣开放之间的时间
B.从主动脉瓣开放到主动脉瓣关闭之间的时间
C.从二尖瓣开放到二尖瓣关闭之间的时间
D.从主动脉瓣关闭到肺动脉瓣关闭之间的时间
E.从二尖瓣关闭到三尖瓣关闭之间的时间
66、单项选择题 尿路梗阻对肾脏造成危害中,哪一项是错误的()
A.尿路任何部位的梗阻均可造成肾积水
B.单侧肾积水是上尿路梗阻所致,双侧肾积水多为下尿路梗阻所致
C.梗阻部位越低,对肾脏造成危害的时间越快
D.肾外肾盂积水时,肾盂向外扩张,肾实质受影响慢
E.巨大肾积水均为长期部分性尿路梗阻所致
67、单项选择题 频谱多普勒可以测量血流的哪些数据()①收缩期峰值速度(Vs),cm/s②舒张期峰值速度(Vd),cm/s③全心动周期的平均速度(Vm),cm/s④速度时间积分(VTⅠ),即频谱包络线下的面积⑤搏动指数(PⅠ),PI=Vs-Vd/Vm;阻力指数(RⅠ),RI=Vs-Vd/Vs⑥收缩期与舒张期速度比值(S/D)⑦加速时间(AT)⑧平均加速度(Mav)⑨减速时间(DT)⑩平均减速度(Mdv)
A.①②③
B.④⑤⑥
C.⑦⑧
D.⑨⑩
E.以上各项均可
68、单项选择题
该切面未显示法洛四联症哪一症()

A.主动脉骑跨
B.室间隔缺损
C.肺动脉狭窄
D.右室肥厚
E.左心缩小
69、单项选择题 下列哪项不符合子宫内膜异位症()
A.随月经周期变化
B.发生于子宫肌层称子宫肌腺症
C.发生于卵巢称巧克力囊肿
D.良性疾病,不发生远处转移和种植
E.可种植于盆腔
70、问答题 超声可检出哪些胎儿先天性畸形?
71、单项选择题
患者男56岁,上腹部疼痛不适1个月余。体检:皮肤、巩膜进行性黄染,上腹部叩击痛(+),B超检查如图所示,根据超声声像图,诊断为()
A.胆管细胞性肝癌
B.肝内胆管结石
C.肝细胞性肝癌
D.肝脓肿
E.肝囊肿
72、单项选择题 关于频谱多普勒技术的应用,正确的是()
A.测量血流速度
B.确定血流方向
C.确定血流的种类如层流射流等
D.了解组织器官的结构
E.获得速度时间积分压差等有关血流的参数
73、单项选择题 有关二尖瓣超声所见,下列哪项不对()
A.二尖瓣位于左侧房室口
B.前后瓣均有腱索相连
C.二尖瓣较三尖瓣位置高
D.二尖瓣脱垂以前叶多见
E.前后叶正常活动呈逆向运动
74、单项选择题
如图可诊断为()
A.小肝癌
B.肝转移癌
C.肝脓肿
D.多发肝血管瘤
E.肝囊肿
75、单项选择题 超声检测膀胱有助于诊断()
A.膀胱肿瘤
B.膀胱异物
C.膀胱结石
D.膀胱内血块
E.以上都是
76、单项选择题
室间隔缺损,以上室间隔缺损属于哪型()

A.膜部室间隔
B.干下型
C.隔瓣下型
D.肌型
E.脊内型
77、单项选择题 胆道出血、感染时,胆汁回声强度变化规律错误的是()
A.感染的胆汁可出现回声
B.混有血细胞的胆汁回声增多
C.混有血凝块的胆汁回声增多显著
D.混有微气泡的胆汁回声减少显著
E.脓性胆汁回声增多
78、单项选择题 关于三尖瓣下移畸形,下列何者有误()
A.右房明显扩大
B.右心容量超荷
C.下移的瓣叶多为三尖瓣前叶
D.解剖右室变小
E.伴三尖瓣返流
79、单项选择题 下列卵巢子宫内膜异位囊肿声像图分型,哪一项是错误的()
A.单纯囊肿型
B.多囊型
C.实性团块型
D.囊内团块型
E.囊内均匀点状回声型
80、填空题 腹主动脉夹层,夹层发生在______层。
81、单项选择题 患者于肝右前叶下段与左内叶交界处发现低回声不均匀实性肿块,边缘欠清,其内见多个强回声团伴声影,胆囊腔内无回声区消失,最可能诊断为()
A.胆囊癌实块型
B.肝细胞肝癌
C.炎性假瘤
D.胆管细胞肝癌
E.肝腺瘤
82、单项选择题 指出下列正常肢体静脉的多谱勒超声表现哪项是错误的()
A.中等大小以上的静脉,无论在休息和活动状态都有血流信号
B.静脉血流速度随呼吸运动而加快或减慢
C.乏氏(Valsalva)反应阳性
D.人工挤压远端肢体后血流信号减弱
E.呈单向回心血流
83、单项选择题
男,35岁、有淋巴瘤病史。结合超声声像图,诊断为()
A.脾转移性肿瘤
B.脾结核
C.脾包虫病
D.脾梗死
E.脾脓肿
84、单项选择题 孕几周超声可清楚显示胎儿膀胱()
A.9周
B.12周
C.15周
D.20周
E.8周
85、单项选择题 电子扫描探头的种类包括()
A.线阵探头、扇形扫描探头、环阵扇扫探头
B.线阵探头、凸阵探头、相控阵探头
C.凸阵探头、旋转式扫描探头、相控阵探头
D.线阵探头、旋转式扫描探头、凸阵探头
E.相控阵探头、环阵扇扫探头、凸阵探头
86、单项选择题
女性,25岁,停经35周。产前超声检查,图像显示的是胎儿的()
A.脊柱
B.肢体
C.颜面部
D.胸腔
E.胎头
87、单项选择题 关于肾脏解剖描述中下列哪项是错误的()
A.肾脏位于腹膜后脊柱两旁的肾窝内
B.左肾较右肾略大
C.左肾较右肾位置高1~2cm
D.肾门部结构从前向后依次为肾静脉、肾动脉、肾盂
E.肾门结构从上向下依次为肾静脉、肾动脉、肾盂
88、单项选择题
男,49岁,肥胖,血脂增高。结合超声声像图诊断为()

A.炎性假瘤
B.非均匀性脂肪肝
C.肝硬化
D.肝结节病
E.肝炎
89、单项选择题
如图,初步超声诊断为()

A.二尖瓣返流
B.三尖瓣返流
C.主动脉瓣返流
D.肺动脉瓣返流
E.主动脉瓣狭窄
90、单项选择题
胎儿超声检查如图,图中管道样结构是()
A.脊柱
B.羊膜囊
C.脐带血管平行征
D.淋巴管囊肿
E.四肢
91、单项选择题
男,6岁,阵发性腹痛,呕吐数小时就诊。PE:肠鸣音亢进,呈气过水音。根据超声声像图诊断为()
A.急性肠梗阻
B.急性肠炎
C.肠套叠
D.肠穿孔
E.胃癌
92、判断题 超声在介质中以直线传播,有良好的指向性。
93、单项选择题 关于“肝血管瘤”影像,下列描述哪项不对()
A.超声,低回声结节
B.核素延迟扫描,过度充填
C.CT,充填式强化
D.MRI,电灯泡征
E.对小血管瘤诊断与鉴别,MRI价值明显优于核素扫描
94、问答题 如何利用超声监测卵泡发育?
95、问答题 肾周脓肿的声像图表现有哪些?
96、单项选择题 彩色多普勒血流显像检查的彩色增益过高,会出现什么现象()
A.血流信号显示不连续,有中断现象
B.彩色血流信号溢出到血管外,使血流假性增宽
C.血流充盈不好,血管内有假性充盈缺损
D.血流信号缺乏,假性闭塞
E.彩色信号出现翻转(倒错),歪曲了血流行走方向
97、单项选择题 关于眼眶肿瘤的描述,哪项是错误的()
A.海绵状血管瘤和部分表皮样囊肿是回声最强的肿瘤
B.淋巴细胞浸润型假性肿瘤和含液囊肿内回声较少或缺乏
C.硬化型假性肿瘤和脑膜瘤声衰减较显著
D.囊肿吸收声能少
E.血肿吸收声能多
98、问答题 脾肿大诊断标准?
99、单项选择题 子宫内膜异位症常发生在()
A.子宫肌层内
B.子宫直肠陷凹
C.卵巢
D.子宫骶骨韧带
E.腹壁瘢痕内
100、单项选择题 孕几周后仍为0级胎盘,则应疑有妊娠糖尿病、母子Rh因子不合引起胎盘成熟延迟()
A.20周
B.24周
C.28周
D.32周
E.26周
101、单项选择题 B超探及胎儿臀部实性肿物,内见钙化区后伴声影,考虑是()
A.骶尾实性畸胎瘤
B.胎粪
C.脑膨出
D.输尿管肾盂梗阻
E.脊柱裂
102、单项选择题 Doppler超声在诊断中居有重要地位,其原因是()
A.可用于各个区域的检查
B.能发现组织界面的运动
C.不引起生物效应
D.用于小器官的检查
E.在各个方面优于一般超声
103、单项选择题 缩窄性心包炎用二维超声检测心包有什么异常所见()
A.心包腔内有积液及心包上有团、块状回声
B.心包增厚(>2mm)并常有粘连
C.心包腔内有大量心包积液的无回声区
D.心包腔内积液随体位而变动
E.心包变薄
104、单项选择题 超声检测深部骨骼选用多少MHz探头()
A.2.5MHz
B.3.0~3.5MHz
C.5.0~7.5MHz
D.7.5~10MHz
E.10~12MHz
105、单项选择题 对疑有心内黏液瘤的患者,超声诊断主要应用哪种技术进行确诊()
A.频谱多谱勒检测心腔与大动脉间有无异常血流
B.对心房肿瘤用多谱勒技术检测收缩期血流有无异常
C.二维超声显示肿瘤的部位、大小、活动性与室壁的关系
D.彩色多谱勒观察有无心内分流血流
E.M型超声观察心腔壁的运动
106、单项选择题 晚期妊娠时阴道无痛性流血,首先应考虑()
A.脑积水
B.羊水过少
C.前置胎盘
D.环形胎盘
E.胎儿发育迟缓
107、单项选择题 子宫腔内回声增强不见于()
A.子宫腺肌症
B.妊娠物残留
C.内膜息肉
D.内膜肿物、增生
E.子宫肥大
108、问答题 前列腺增生超声声像图表现?
109、单项选择题 肝脓肿与肝囊肿的区别是()
A.脓肿不透声,而囊肿透声好
B.脓肿边界不规则,囊肿边界清晰
C.脓肿是坏死性肿瘤,囊肿是良性肿物
D.脓肿回声强,囊肿回声弱
E.以上均是
110、单项选择题 女性,62岁,急腹症住院,超声检查图像为:胆囊增大,胆囊壁弥漫增厚呈“双边影”表现,胆囊腔内见一强回声光团伴声影,随体位改变而移动,根据声像图表现,可能的诊断为()
A.①②③
B.①③
C.②④
D.④
E.①②③④
111、单项选择题 关于不同组织声衰减一般规律的描述、不恰当的是()
A.组织内含水份愈多,声衰愈低
B.液体内含蛋白成分愈多,衰减愈高
C.组织中含胶原蛋白愈多,声衰减愈高
D.组织中含钙愈多,声衰减愈高
E.组织中含气成分愈多,声衰减愈低
112、单项选择题 超声检测鞘膜积液分几型()①睾丸鞘膜积液②精索鞘膜积液③交通型鞘膜积液④婴儿型鞘膜积液
A.①②
B.①②③
C.①②④
D.①②③④
E.①③④
113、单项选择题 前列腺结石有哪几种类型()①散在小结石无声影②弧形结石多无声影③成堆小结石④单个大结石伴声影⑤散在小结石伴声影⑥弧形结石多伴声影⑦单个大结石不伴声影
A.①②③④
B.②③④⑤
C.③④⑤⑥
D.④⑤⑥⑦
E.③⑤⑥
114、单项选择题 对肺动脉高压的肺血流频谱的叙述错误的是()
A.ACT(加速时间)缩短
B.ACT/RPEP(右室射血前期时间)比值增大
C.RPEP延长
D.RVET(射血时间)缩短
E.ACT/RVET比值变小
115、单项选择题 俯卧位时横切靠近腹后壁形态为卵形或豆状结构的器官是()
A.肾上腺
B.腹腔内隐睾
C.肾
D.腹腔淋巴结
E.胰腺
116、单项选择题 关节的基本结构有()①关节面②关节囊③关节腔④滑囊⑤筋膜
A.①②
B.①②③
C.①②③④
D.①③④⑤
E.①②③④⑤
117、单项选择题 以下哪项不是急性肩袖撕裂的声像图表现()
A.肌腱断端向中心端回缩,肌腱回声中断或不显示
B.三角肌下滑囊与肱骨头间距变小,断端间可有低或无回声区
C.肌腱回声不均匀,变薄、不连续
D.肌腱回声增强,边缘不清,断端有低或强回声伴声影
E.肩峰下滑囊积液是肩袖撕裂的重要间接征象
118、单项选择题 一般在妊娠多少周才能清楚显示胎头光环()
A.8周
B.8~9周
C.10周
D.11周
E.12周
119、判断题 USG对肾结核的诊断比较准确,还较容易发现无明显积水的输尿管结石。
120、单项选择题
图为外伤后伤者脾脏图像,诊断为()
A.中央型脾破裂
B.真性脾破裂
C.包膜下血肿
D.脾肿瘤
E.脾梗死
121、单项选择题 超声诊断软组织肿瘤的局限性表现在哪个方面()
A.显示肿瘤的大小和形态
B.判定肿瘤的部位及其与相邻组织的关系
C.鉴别肿瘤的物理性质是囊性或实性
D.确定肿瘤的病理性质是良性或恶性
E.了解相邻骨骼是否受到侵犯
122、问答题 二尖瓣关闭不全时,彩色多谱勒超声心动图有哪些表现?
123、单项选择题
某患者五日前阴囊碰伤,现感右侧阴囊不适,超声声像图如下,最可能的诊断为()
A.睾丸血肿
B.精原细胞瘤
C.睾丸炎
D.睾丸扭转
E.睾丸脓肿
124、单项选择题 采用聚焦技术的主要目的是()
A.抑制旁瓣效应
B.改善横向和侧向分辨率
C.提高帧频
D.减少超声伪像
E.改善超声的指向性
125、单项选择题
男28岁,胸部疼痛1周余,神清,心律齐,超声心动图如下,根据图片应提示()

A.单心室
B.心内膜垫缺损
C.三尖瓣上移
D.三尖瓣下移
E.三尖瓣狭窄
126、单项选择题 常用的压电材料不包括()
A.石墨
B.钛酸钡
C.锆钛酸铅
D.天然石英晶体
E.PVDF
127、单项选择题
男,18岁,外伤1小时就诊。结合超声声像图,诊断为()
A.脾外伤血肿
B.脾淋巴管瘤
C.膈下积液
D.脾皮样囊肿
E.脾血管瘤
128、单项选择题
男,37岁,健康体检,偶感上腹不适。声像图如图所示,诊断为()
A.胆囊结石
B.胆囊息肉
C.胆汁淤积
D.胆囊腺瘤
E.胆囊癌
129、单项选择题 下列哪一项不是诊断前置胎盘的条件()
A.膀胱适度充盈
B.显示子宫颈内口
C.观察胎头与子宫颈内口的位置关系
D.显示胎盘下缘
E.观察胎盘下缘与子宫颈内口的位置关系
130、单项选择题 肝门内三结构是()
A.肝动脉、肝静脉和肝门
B.门静脉、肝动脉和胆总管
C.脾静脉、门静脉和肝静脉
D.胆总管、胆囊管和左右肝管
E.以上都不是
131、单项选择题 区分左、右肝叶的标志有()①肝正中裂②肝中静脉③静脉韧带④镰状韧带
A.①
B.①②
C.③
D.③④
E.④
132、单项选择题 先心病中房间隔缺损血液动力学改变正确的是()
A.全心扩大
B.右心扩大,右室容量负荷过重
C.左心扩大,左室容量负荷过重
D.心脏不大
E.右心扩大,左室容量负荷过重
133、单项选择题
患者反复发热,原有先心病史,该病例最有可能诊断()

A.室缺并感染性心内膜炎
B.主动脉瓣脱垂
C.窦瘤破裂
D.右流狭窄
E.肺动脉瓣狭窄
134、单项选择题 男性,12岁,突然发现阴囊肿胀、剧疼。超声显示:睾丸轻度肿大,中等回声,2~3小时后复查睾丸回声尚均匀,睾丸内血流消失。最可能的诊断为()
A.睾丸炎及附睾炎
B.阴囊血肿
C.鞘膜积液
D.睾丸扭转
E.斜疝绞窄
135、单项选择题 声速失真伪像可由于实际声速差别过大引起,超声表现为声速失真、测量误差。下列哪项最显著()
A.肝、脾超声测量
B.巨大囊肿或脓肿超声显示和测量
C.巨大脂肪瘤的超声显示和测量
D.巨大子宫肌瘤超声显示和测量
E.子宫大小的超声显示和测量
136、单项选择题 采用低频滤波装置时,保留的超声信号来自()
A.心壁
B.腱索
C.瓣膜
D.血管壁
E.血流
137、单项选择题 由于瓣膜的先天畸形,二维超声显示和测量出功能性右心室、房化右心室及固有右心房,这是什么疾病()
A.三尖瓣下移畸形
B.三尖瓣先天裂加赘生物
C.三尖瓣裂
D.三尖瓣一个瓣叶缺如
E.三尖瓣闭锁
138、单项选择题 超声检查发现睾丸肿瘤,应进一步观察()
A.腹腔有无积液
B.不需进一步检查
C.肾脏有无积水
D.肾门有无转移结节
E.前列腺有无肥大
139、单项选择题 异位妊娠最常见种植在下()
A.卵巢
B.腹腔内
C.输卵管
D.后腹膜间隙内
E.肠壁上
140、单项选择题 液体中含蛋白成分和钙质越多,声衰减()
A.越高
B.越低
C.不变
D.都有可能
E.与钙质、蛋白成分无关
141、单项选择题 妇科恶性肿瘤的血流频谱特点是()
A.低速低阻
B.低速高阻
C.高速高阻
D.高速低阻
E.以上都不是
142、单项选择题
根据肝脏声像图表现,最可能的诊断是()
A.原发性肝癌
B.转移性肝癌
C.肝脓肿
D.肝血管瘤
E.肝囊肿
143、单项选择题
男性,37岁,睾丸红肿热痛,超声见睾丸回声不均匀,CDFI:血流信号丰富。如图所示,考虑为()
A.急性睾丸炎
B.附睾炎
C.睾丸脓肿
D.睾丸结核
E.睾丸肿瘤
144、单项选择题
该病例最可能的诊断()

A.高血压病
B.主动脉瓣上缩窄
C.主动脉瓣上膜性狭窄
D.瓣上环形狭窄
E.肥厚性心肌病
145、单项选择题 二维超声检测左心室用以判断有无冠心病的主要依据是什么()
A.左心室形状改变
B.左心室壁厚径增加
C.节段性室壁运动异常
D.左心室壁收缩期增厚率减低
E.左心室壁收缩运动幅度增大
146、单项选择题 晚期妊娠双顶径测量误差范围是()
A.2~3mm
B.4~5mm
C.6~7mm
D.8~9mm
E.5~6mm
147、填空题
某患者心脏二维超声示意图,图中异常光团,最可能诊断为________。

148、单项选择题 孕几周是胎儿股骨长度的最易测量时间()
A.9~12周
B.14~22周
C.24~28周
D.32~36周
E.37~40周
149、单项选择题
患者多处骨折,结合颈部超声图像,最可能的诊断是()
A.甲状腺瘤
B.甲状旁腺瘤
C.甲状旁腺增生
D.甲状旁腺癌
E.甲状腺炎
150、单项选择题 女性,白细胞、中性粒细胞增高,下腹压痛,白带增多,超声检查见盆腔囊性肿块。最可能的诊断为()
A.宫颈糜烂
B.盆腔脓肿
C.结核性盆腔炎
D.慢性盆腔炎
E.盆腔肿瘤
151、单项选择题
根据肝脏声像图表现,最可能的诊断是()
A.原发性肝癌
B.转移性肝癌
C.肝脓肿
D.肝血管瘤
E.肝囊肿
152、单项选择题 镰状韧带的肝内部分()
A.走行于下腔静脉与胆囊之间
B.伴腹水时可见到
C.连接肝脏至小网膜囊
D.走行于门静脉矢状部左侧与腹壁之间
E.走行于肝左静脉与腹壁之间
153、单项选择题 引起囊性组织后方回声增强的原因是 ( )
A.囊性组织的圆形结构所致
B.时间距离补偿增益补偿所致
C.声波在实质性组织和在囊液中传播速度不同所致
D.囊壁的声衰减极高所致
E.囊液与囊壁的界面反射所致
154、单项选择题 男,46岁,超声体检发现左肾病变,呈圆形,边界清晰,整齐光滑,直径1.0cm,肿物内无回声,后方回声明显增强。根据声像图特征,诊断是()
A.肾囊肿
B.肾囊肿合并感染
C.肾囊肿合并出血
D.肾肿瘤
E.以上都不正确
155、单项选择题
男性,有前列腺增生病史,膀胱出现如图的超声表现,最可能的诊断为()
A.膀胱血块
B.膀胱肿瘤
C.膀胱憩室
D.膀胱小梁小房形成
E.慢性膀胱炎
156、判断题 血管三维可用于分析其分布、走行、空间定位。
157、单项选择题 超声可探测到,在尿路造影术或X线平片中看不到的肾结石是()
A.草酸钙结石
B.胱氨酸、黄嘌呤结石
C.磷酸盐结石
D.尿酸结石
E.以上都不是
158、单项选择题 由超声多次发射而引起的伪像叫()
A.切面厚度伪像
B.混响
C.声影
D.旁瓣伪像
E.折射伪像
159、问答题 卵巢实性肿瘤的声像图表现有哪些?
160、单项选择题 常规心脏扫查过程,使用率最高的是哪一项?()
A.胸骨左缘区和心尖区
B.胸骨左缘区和剑突下区
C.心尖区和剑突下区
D.心尖区和胸骨上凹区
E.胸骨左缘和胸骨右缘区
161、单项选择题
超声引导下肾活检穿刺适应证有()
①弥漫性肾小球肾炎、肾病的鉴别诊断和分型
②原因不明性血尿、急性肾衰原因不明者
③累及肾脏的系统性疾病.
④肾结核
⑤移植肾排异或复发性肾病
⑥肾不典型肿块
⑦孤立肾
⑧萎缩肾
A.①②③④⑤
B.①②③④⑤⑥
C.①②③④⑤⑥⑦
D.①②⑤⑥
E.⑤⑥⑦
162、问答题 输尿管结石的声像图表现有哪些?
163、单项选择题
图中所示肿瘤最有可能是哪部位的占位()
A.肝脏
B.腹膜
C.肠道
D.膈肌
E.胰腺
164、单项选择题
某患者肝脏发现肿块回声,根据CDFI声像图表现,最可能的诊断是()
A.肝血管瘤
B.肝脓肿
C.肝炎性假瘤
D.肝囊肿
E.肝癌
165、问答题 女性内生殖器官的正常声像图表现有哪些?
166、单项选择题 主动脉弓离断的临床及超声表现不包括()
A.主动脉弓部以下连续中断
B.动脉导管连接肺动脉与降主动脉
C.常合并室间隔缺损
D.常不伴有肺动脉高压
E.可无导管未闭的杂音
167、单项选择题 导致脐带脱垂的常见原因有()①盆头不称②先露入盆受阻③胎盘位置较低④脐带过长
A.①
B.①②
C.①②③
D.①②③④
E.④
168、单项选择题
某患者高热,肾区疼痛,肾脏超声声像图如下,最可能的诊断为()
A.肾囊肿
B.急性肾炎
C.脓肾
D.肾癌
E.肾结核
169、多项选择题 二尖瓣狭窄的M型超声心动图变化为()
A.二尖瓣前后叶呈同向运动,其特异性强
B.二尖瓣曲线增厚,回声增强
C.二尖瓣前叶EF斜率降低
D.左心房扩大,合并心房纤颤者可见左房附壁血栓
E.二尖瓣前叶呈城墙样改变
170、单项选择题
某患者收缩期超声心动图所示,提示()

A.二尖瓣狭窄
B.二尖瓣关闭不全
C.房间隔缺损
D.动脉导管未闭
E.以上都不是
171、单项选择题 腹围主要反应哪个内脏器官发育情况()
A.胃
B.脐静脉
C.肾
D.肝
E.脾
172、单项选择题 超声在人体中传播遇到空气时,错误的描述是()
A.反射强烈
B.反射多于折射
C.能清晰显示空气后方组织
D.很难看到空气后方组织
E.回波幅度很大,出现亮点或光团
173、单项选择题
该病例最可能的诊断()

A.主动脉窦瘤
B.室间隔缺损
C.右室流出道狭窄
D.室间隔膜部瘤并破裂
E.以上都不是
174、单项选择题
该图为睾丸声像图,最可能的诊断为()
A.正常回声
B.急性睾丸炎
C.睾丸扭转
D.慢性睾丸炎
E.睾丸肿瘤
175、单项选择题 恶性葡萄胎在超声表现上与下列哪种病变十分相似()
A.子宫肌瘤变性
B.子宫内膜间质肉瘤
C.绒毛膜癌
D.子宫颈癌
E.子宫体癌
176、单项选择题
患者男,32岁,健康体检,提示()
A.双房胆囊
B.皱折胆囊
C.双胆囊
D.胆囊憩室
E.以上都不是
177、单项选择题 当备用电源灯关闭灯燃亮表示()。
A.交流备用汇流条没有电源
B.直流备用汇流条没有电源
C.电瓶汇流条没有电源
D.以上都不对
178、问答题 胎盘早剥的声像图表现有哪些?
179、单项选择题
女,52岁,右上腹不适,CT示卵巢占位,结合超声声像图,诊断为()
A.肝囊肿
B.肝包虫病
C.转移性肝癌
D.肝脓肿
E.肝血管瘤
180、单项选择题
超声检查如图,最可能的诊断是()
A.无子宫
B.幼稚子宫
C.始基子宫
D.正常子宫
E.以上都不是
181、单项选择题 用7MHz~10MHz高频探头,检查正常阴囊的主要内容物是()
A.睾丸、附睾及精索
B.睾丸、附睾及输精管
C.睾丸、附睾
D.附睾、精索
E.睾丸、附睾头及睾丸附件
182、问答题 二维超声心动图常用基本切面的图像有哪些?
183、单项选择题
女,25岁,停经50天,B超检查如图所示,最可能的诊断为()
A.早孕(单胎)
B.早孕(双胎)
C.葡萄胎
D.宫腔积血
E.以上都不是
184、单项选择题 关于多次内部混响的表述,正确的是()
A.超声在靶内来回反射形成的彗星尾征
B.常见于含气的肺
C.含气的肠腔
D.可见于胆结石
E.改变探头方向有助于鉴别伪像
185、单项选择题 随着超声仪器的更新,现扫查甲状腺采用的探头频率及方法()
A.3.5兆赫探头,加用水囊法
B.5兆赫探头,采用直接接触法
C.<7兆赫探头,采用直接接触法
D.7~10兆赫探头,采用直接接触法
E.10兆赫探头,加用水囊法
186、单项选择题 下述葡萄胎病理特点,哪项不对()
A.绒毛膜促性腺激素分泌增加
B.半数患者,子宫比同月妊娠大
C.1/4患者,子宫比同月妊娠小
D.多为恶性,易转移
E.半数患者,双侧黄素囊肿
187、名词解释 “键盘征”(“鱼刺征”)
188、单项选择题
良性淋巴结的声像图特点是()
①淋巴结均匀性肿大,长(L)/宽(S)>2
②淋巴结分叶状增大,长(L)/宽(S)<2
③呈椭圆形,被膜回声强而完整
④被膜回声强而不完整
⑤血流丰富,分布规律呈高速低阻,RI<0.5
⑥血流丰富,分布不规则呈高速高阻,R1>0.
A.①③⑤
B.②④⑥
C.①④⑥
D.②③⑤
E.①③④
189、填空题 乳腺的超声检查适用于_______和_______妇女乳腺疾病的筛选和普查。
190、单项选择题
该病例最有可能诊断()

A.心包炎并心包积液
B.心衰
C.心包缩窄
D.心包填塞
E.胸腔积液
191、单项选择题 不孕症伴有痛经,常发生于()
A.多囊卵巢综合征
B.子宫内膜异位症
C.子宫内膜增殖症
D.卵巢囊肿
E.粘膜下子宫肌瘤
192、单项选择题 下列哪种疾病不属于不孕症的病因()
A.生殖器结核
B.子宫粘膜下肌瘤
C.宫颈糜烂
D.子宫内膜异位症
E.多囊卵巢综合征
193、单项选择题 下列哪一项不属于附睾炎的超声所见()
A.附睾头肿大
B.附睾强回声伴声影
C.附睾尾肿大
D.化脓时可呈无回声
E.附睾正常大小
194、单项选择题 胎盘早剥是指妊娠20周后或分娩期正常位置胎盘在胎儿娩出前部分或全部从子宫壁剥离,其病理变化是()①底蜕膜血管破裂出血②底蜕膜层血肿形成③胎盘绒毛膜出血④胎盘附着部子宫收缩
A.①
B.①②
C.①②③
D.①②③④
E.②
195、单项选择题 为安全起见大于3个月的胎儿除什么部位外不作定点的长时间辐射()
A.脑
B.眼
C.生殖系
D.心脏
E.四肢
196、单项选择题 组织内的声衰减程度的一般规律下列哪项是错误的()
A.血液较肝脏声衰减小
B.肝脾比骨组织衰减程度大
C.液体内含蛋白成分的声衰减增加
D.肌肉组织比肌腱衰减小
E.组织内含胶原和钙质越多,声衰减越大
197、单项选择题
患者发现颈部肿块数年,无明显不适。甲状腺超声如图,最可能的诊断为()
A.甲状腺癌
B.结节性甲状腺肿
C.甲状腺炎
D.甲状腺腺瘤并囊变
E.甲状腺囊肿
198、单项选择题 下列除外哪一项,均可引起肾积水()
A.急性肾小球肾炎
B.卵巢癌
C.后尿道瓣
D.后腹膜肿瘤
E.输卵管结石
199、单项选择题 脑室率的测量方法是()
A.中线至颅骨内缘距离/中线至侧脑室壁距离
B.中线至侧脑室壁距离/中线至颅骨内缘距离
C.侧脑室之间距离/颅骨内缘之间距离
D.颅骨内缘之间距离/侧脑室之间距离
E.以上都不是
200、单项选择题 经胸骨上窝不可以检查哪种心血管结构()
A.主动脉
B.上腔静脉
C.降主动脉
D.右肺动脉
E.下腔静脉
201、单项选择题 超声波是如何发生的()
A.换能器的逆压电效应
B.换能器的压电效应
C.换能器向人体发送电信号
D.换能器的热效应
E.换能器的磁效应
202、单项选择题 布-加综合征是指()
A.门脉高压发生阻塞产生的症候群
B.充血性心衰所致的功能性肝静脉流出道阻塞
C.下腔静脉闭塞产生的一系列症候群
D.肝与右心房之间肝静脉或下腔静脉阻塞引起肝静脉回流受阻产生的一系列症候群
E.上腔静脉闭塞产生的一系列症候群
203、单项选择题
该病例最可能的诊断()

A.肥厚型心肌病
B.高血压病
C.左室流出道狭窄
D.主动脉瓣下膜性狭窄
E.主动脉瓣上狭窄
204、单项选择题 超声检查至少在妊娠几周后才能较好地看到胎儿()
A.2周
B.4周
C.6周
D.8周
E.9周
205、单项选择题 下列诊断法中属于辉度调节型的是()
A.B超声诊断法
B.A超声诊断法
C.M超声诊断法
D.超声频移诊断法
E.多普勒诊断法
206、单项选择题 三尖瓣闭锁的超声所见特点是()
A.左室增大
B.肺动脉增宽
C.右房室口处有肌性隔膜
D.三尖瓣二尖瓣化
E.左室变小
207、判断题 根据心脏二尖瓣口多谱勒频谱特征,随年龄增长,E峰值将增大,A峰值将减小。
208、单项选择题 下列哪一项不是现代超声技术迅速发展的主要热点()
A.谐波成像技术
B.声学造影技术
C.三维超声成像技术
D.伪彩色二维显像技术
E.介入超声技术
209、单项选择题
根据以下肝超声检查声像图,诊断为()
A.肝癌并门脉癌栓
B.肝硬化
C.脂肪肝
D.肝炎
E.血吸虫性肝硬化并门脉血栓
210、单项选择题
鞘膜积液分四种,如图所示为哪种()
A.睾丸鞘膜积液
B.精索鞘膜积液
C.睾丸精索鞘膜积液
D.交通性鞘膜积液
E.以上都不是
211、单项选择题 胚胎的器官发育一般在多少周完成()
A.4周
B.8周
C.36周
D.40周
E.10周
212、单项选择题
女,24岁,停经2月余阴道不规则出血数日,阴式B超检查,如图所示,最可能的诊断为()
A.早孕
B.葡萄胎
C.绒癌
D.宫内积血块
E.畸胎瘤
213、单项选择题
图中标记处为()
A.腹腔积液
B.肾周积液
C.肠管内液体
D.肾结核
E.以上都不是
214、单项选择题 心肌和脑组织的衰减程度属于()
A.极低
B.低
C.中等
D.高
E.极高
215、单项选择题 卵巢良性肿瘤的声像图特点是()
A.肿块形态不规则,边界不整,实性部分回声不均
B.肿块多为囊性,内回声较单纯,囊内分隔薄而均匀规则,内壁光滑
C.多伴腹水
D.CDFI示肿块内部及周边血供丰富,呈高速低阻频谱,RI<0.5
E.多伴骨转移
216、单项选择题 识别胆囊解剖位置的最重要标志是()
A.门静脉
B.胆总管
C.肝动脉
D.肝总管
E.胆囊颈部和门静脉右支根部间的线状强回声带
217、单项选择题 压电效应是()
A.组织的密度及声在组织中的速度
B.高电压加在晶体表面产生机械形变并由此产生超声
C.压电晶体受压后在其表面产生电荷
D.高电压引起在晶体上的阻尼效应
E.以上均不是
218、单项选择题
图中为胰周围组织声像图,其显示腹主动脉前方横行血管为()

A.肠系膜上动脉
B.腹腔动脉
C.左肾静脉
D.肠系膜上静脉
E.肠系膜下动脉
219、单项选择题 超声容易显示的侧支循环是()①胃左静脉、胃静脉、食管静脉②脐静脉③脾静脉、肾静脉④后腹膜静脉⑤肠系膜上静脉
A.①
B.①②
C.②③⑤
D.①③④⑤
E.①②③④⑤
220、多项选择题 卵巢癌USG声像图表现为()
A.盆腹腔内较大肿块,可为双侧性
B.肿块形态不规则,边界不清
C.肿块回声杂乱
D.分隔形成的带状回声厚薄不均
E.可发现肿瘤的腹膜种植及肝转移等异常
221、单项选择题
某小儿其右腹股沟区B超检查声像图如图,最可能的诊断为()
A.隐睾
B.肿大淋巴结
C.正常腹股沟声像图
D.盆腔肿瘤
E.斜疝
222、单项选择题 早孕时,羊膜囊与什么间的空隙为胚外体腔()
A.羊膜
B.绒毛膜
C.底蜕膜
D.卵黄囊
E.包蜕膜
223、单项选择题 下列人物中不属于拜伦作品中的“拜伦式英雄”形象的是()。
A、曼弗雷德
B、康拉德
C、恰尔德•哈洛尔德
D、唐•璜
224、单项选择题 下列哪种气体不能用于超声造影()
A.空气
B.二氧化碳气体
C.氧气
D.纯氮气体
E.氟碳气体
225、单项选择题
彩色血流信号“溢出”血管外的原因是()
①取样容积过大
②滤波器频率过低
③增益过高
④对高速血流使用过低速度标尺
A.①
B.①②
C.①②③
D.①②③④
E.②③④
226、单项选择题 股骨长度测量是()
A.从近端股骨颈到远端股骨髁
B.从股骨头到内上髁
C.从大转子到远端股骨髁
D.不包括股骨颈及远端骨骺的股骨骨干全长
E.以上都不是
227、单项选择题 M型超声心动图的心室波群可检查哪种结构的运动曲线()
A.主动脉根部曲线
B.左房后壁曲线
C.室间隔曲线
D.主动脉瓣后叶曲线
E.三尖瓣曲线
228、单项选择题 腮腺的超声检查方法,最适宜的是()
A.采用7~10MHz频率探头,多切面进行检查
B.理发后,多切面进行检查
C.空腹进行多切面检查
D.主要观察腮腺的血管及神经分布
E.进行纵切面检查
229、单项选择题 以下彩色血流显像的特点哪一项不对()
A.血流方向朝向探头,显示红色
B.血流方向背离探头,显示蓝色
C.血流流速越高,显示的亮度越亮
D.血流出现紊流时显示为红蓝相杂的五彩色
E.动脉血流显示为红色,静脉血流为蓝色
230、单项选择题 下列对镜面右位心的二维超声检查的叙述,哪一项是错误的()
A.心尖位于胸腔右侧
B.心室位置互换,左心室在右,右心室在左侧
C.肺动脉与右心室连接
D.主动脉与右心室连接
E.心房位置互换,左心房在右,右心房在左侧
231、单项选择题 心肌收缩产生哪种心血管生理变化()
A.心肌收缩使心室血液射到主动脉(或肺动脉)
B.心肌收缩使心室被充盈
C.心肌收缩使心室容积增加
D.心肌收缩使心房立即快速充盈
E.心肌收缩使心室扩大
232、单项选择题 检查主动脉与降主动脉的连接用什么超声切面()
A.大动脉短轴
B.主动脉弓短轴
C.心尖五腔
D.左室流出道短轴
E.主动脉弓长轴
233、单项选择题 以下哪一项不是膝关节积液的声像图表现()
A.关节囊明显扩张,关节腔增宽,呈无回声区,内有短带状或团块状强回声
B.髌上间隙及髌前囊内有少量无回声区
C.关节滑膜增厚,呈结节状或团块状略强回声突向关节腔
D.半月板间隙宽大,可见两个强回声界面间有一低回声带
E.关节周围软组织肿胀
234、单项选择题 子宫内膜癌的临床与超声表现,下列哪项是错误的()
A.绝经期出血
B.多为老年妇女
C.阴道排液
D.超声表现宫腔积液
E.常合并卵巢囊肿
235、单项选择题 超声波是如何发生的()
A.换能器的逆压电效应
B.换能器的压电效应
C.换能器向人体发送电信号
D.换能器的热效应
E.换能器的磁效应
236、问答题 恶性滋养叶疾病的声像图表现有哪些?
237、单项选择题 下列哪一项临床超声表现与子宫发育畸形无关()
A.原发性闭经
B.不孕
C.习惯性流产
D.难产
E.子宫内膜息肉
238、名词解释 妊娠囊
239、单项选择题 二次谐波成像增强超声造影效果的原理是()
A.增大微气泡的浓度
B.二次谐波的回声强度最大
C.谐振时造影剂的散射面积变小
D.只接收造影剂的散射面积变小
E.只接收造影剂的二次谐波回声
240、单项选择题
根据胎儿三维超声声像图,图中结构为()
A.脐带
B.胎盘
C.母体血管
D.胎儿肢体
E.羊膜
241、单项选择题 下面哪项不是二维超声心动图基本切面?()
A.胸骨旁主动脉短轴切面图
B.胸骨旁二尖瓣短轴切面
C.主动脉弓长轴切面
D.四腔心切面图
E.胸骨旁左心长轴切面
242、单项选择题 胰腺假性囊肿USG表现中,哪项不正确()
A.胰腺某一局部或胰腺相邻部位出现无回声区
B.囊肿大小不等,直径自1~2cm至儿头大小
C.囊肿形态一般为圆形或椭圆形
D.较小囊肿多位于胃后方,较大者为贴近前腹壁
E.胰腺均匀、弥漫性肿大,且内部回声呈均匀低回声
243、单项选择题 下列不符合双胎双顶径测量特点的是()
A.双胎之间双顶径差应在4mm之内
B.双胎之间双顶径的差应在1~2cm之间
C.双胎中甲胎比乙胎双顶径小6mm,应认为甲胎宫内发育迟缓
D.双胎双顶径稍小于单胎双顶径
E.双胎双顶径稍大于单胎双顶径
244、单项选择题
根据胎儿声像图,可见清晰脊柱和头颅光环,该胎儿至少应大于多少周()
A.12周
B.8周
C.6周
D.28周
E.32周
245、判断题 变换体位进行检查,肿块内有可活动的水平分隔线是腹膜后皮肤囊肿和畸胎瘤的表现特征。
246、单项选择题 超声测量胰体常根据哪条血管定位()
A.肠系膜上动脉
B.肠系膜上静脉
C.肺静脉
D.门静脉
E.下腔静脉
247、单项选择题 扫查浅表组织时,探头频率最高可使用多少兆赫()
A.20MHz
B.10MHz
C.7.5MHz
D.5.0MHz
E.3.5MHz
248、单项选择题 对子宫内膜癌手术范围选择及预后判断最重要的声像图表现是()
A.肿瘤血流丰富
B.肿块大小
C.子宫肌层浸润深度大于50%
D.肿块形态
E.肿块回声不均
249、问答题 肾母细胞瘤的声像图表现有哪些?
250、单项选择题
女,34岁,上腹疼痛不适数年,加重二天。声像图如图所示。结合超声声像图,诊断为()
A.胆囊颈部结石并化脓性胆囊炎
B.胆囊颈部息肉
C.胆囊颈部腺瘤
D.胆囊颈部蛔虫
E.胆囊癌
251、单项选择题
胆总管出现图中所示特点,称为()
A.双筒枪征
B.海鸥征
C.鸟嘴征
D.鼠尾征
E.平行管征
252、单项选择题 下腔静脉的主要属支有()
A.髂总静脉、肝静脉、肠系膜上静脉
B.髂总静脉、肝静脉、脾静脉
C.髂总静脉、肝静脉、肾静脉
D.髂总静脉、肾静脉、肠系膜下静脉
E.髂总静脉、肝静脉、门静脉
253、单项选择题 急性胰腺炎恢复期患者,超声检查发现胰腺体尾部8cm×6cm囊性病变,边界清楚,最可能诊断是()
A.胰腺假性囊肿
B.潴留性囊肿
C.包虫囊肿
D.囊腺癌
E.囊腺瘤
254、问答题 异位妊娠超声声像图表现?
255、单项选择题 用哪种探头可提高轴向分辨力()
A.高频探头
B.低频探头
C.较大的探头
D.低阻尼探头
E.以上均不可
256、单项选择题 下列哪项不是盆腔良性肿瘤()
A.卵巢纤维瘤
B.皮样囊肿
C.库肯勃瘤
D.子宫内膜腺肌瘤
E.子宫浆膜下肌瘤
257、多项选择题 评价灰阶声像图的质量主要依据()
A.细微分辨力
B.对比分辨力
C.图像均匀性
D.动态分辨力
E.速度分辨力
258、单项选择题 增加脉冲重复周期可()
A.改善分辨力
B.增加最大显示深度
C.减少最大显示深度
D.增大折射
E.无意义
259、单项选择题 鉴别肝外胆管结石或肿瘤性梗阻,下列哪项有利于结石诊断()
A.肝内外胆管的扩张
B.肝外胆管腔内见低回声团
C.扩张胆管突然截断
D.胆管腔内强回声团绕以无回声带
E.以上都不是
260、单项选择题 视网膜母细胞瘤容易发生坏死、钙化,在声像图上表现为“钙斑”,“钙斑”的超声检出率是()
A.40%
B.50%
C.60%
D.70%
E.80%
261、单项选择题 超声心动图为下列哪种诊断方法()
A.A型超声
B.B型超声
C.M型超声
D.彩色血流图
E.彩色能量图
262、单项选择题 引起双侧输尿管积水的常见原因是()
A.下尿路梗阻性病变
B.前列腺炎
C.精囊炎
D.脐尿管囊肿
E.前列腺结石
263、单项选择题 前列腺增大最容易引起排尿困难的是()
A.外侧叶
B.前叶
C.中叶
D.后叶
E.后叶和前叶
264、单项选择题 脾门处低回声最常见的是().
A.淋巴结、肿瘤
B.血管
C.副脾
D.淋巴结、血管
E.血管、副脾
265、单项选择题
某患者行右心造影,心尖四腔心切面声像图所示,提示为()

A.室间隔缺损
B.动脉导管未闭
C.房间隔缺损
D.正常结构
E.二尖瓣狭窄
266、单项选择题 20%~50%葡萄胎并发()
A.卵泡囊肿
B.皮样囊肿
C.黄素囊肿
D.黄体囊肿
E.多囊卵巢
267、单项选择题 人眼可区别多少级灰阶()
A.大约16级左右
B.32~64级
C.64级以上
D.256级以上
E.512级以上
268、单项选择题 妊娠时子宫峡部称为()
A.Crucial三角
B.子宫颈内口
C.子宫颈外口
D.子宫下段
E.子宫体
269、单项选择题 胆囊结石的典型声像图表现,不包括()
A.胆囊腔内形态稳定的强回声团
B.后方伴声影
C.强回声团随体位改变而移动
D.可单发或多发
E.胆囊缩小
270、单项选择题 恶性滋养叶疾病的超声表现,下列哪一项是错误的()
A.多能发现一侧或双侧黄素囊肿
B.早期可发现绒毛膜癌远处转移灶
C.病灶处可见丰富血流
D.病灶处血管阻力指数多增高,RI>0.9
E.子宫体积增大
271、单项选择题 下列哪项不是数字变换器(DSC)的功能()
A.将超声模拟信号转变成数字信号
B.将不同扫描方式(扇形、线阵)转变为标准电视制式显示
C.进行线性内插补,增加图像的线密度
D.对血流频移信号进行FFT变换
E.对图像信号进行多种数字化处理
272、单项选择题
根据肝脏声像图表现,诊断为()
A.转移性肝癌
B.肝血管瘤
C.肝脓肿
D.肝囊肿
E.肝内胆管囊状扩张
273、单项选择题 关于肾上腺皮脂腺瘤,下列说法错误的是()
A.单侧多见
B.多呈圆形或椭圆形
C.边界清楚
D.低回声结节
E.双侧多见
274、单项选择题
结合甲状腺横断面超声声像图,甲状腺为()
A.均质体
B.非均质体
C.无界面区
D.强回声区
E.以上均不是
275、单项选择题 下列哪项表现与结节性甲状腺肿无关()
A.甲状腺不规则,非对称性增大
B.实质回声增粗,内呈多个中等偏强回声结节
C.结节内可见液性暗区、强光点
D.CDFI显示血流丰富,血流呈花环状包绕结节,并有细小分支伸入结节内
E."冲洗征"
276、单项选择题
某患者血管超声彩色多谱勒检查,如图所示,诊断为()

A.正常动脉层流频谱
B.正常静脉层流频谱
C.异常动脉频谱
D.异常静脉频谱
E.以上都不是
277、单项选择题
根据超声图像所示,该病例为哪型肾积水()
A.菱角型
B.烟斗型
C.花朵型
D.调色板型
E.巨大囊肿型
278、单项选择题
女性,于膀胱输尿管位置见一囊性光团,有规律收缩,增大。如图所示,考虑为()
A.膀胱肿瘤
B.膀胱憩室
C.输尿管结石
D.输尿管囊肿
E.膀胱异物
279、单项选择题 多普勒频移属于下列哪个声段()
A.次声
B.可闻声
C.超声
D.X线
E.可见光
280、单项选择题 胎儿腹围应在什么水平测量()
A.胎儿肾脏
B.胎儿心脏
C.胎儿胆囊
D.胎儿肝内门脉左支和胃
E.脐带入腹壁处
281、单项选择题 卵巢非赘生性囊肿临床表现和声像图特征,不正确的是()
A.黄体囊肿是黄体形成过程中黄体血肿液化形成
B.黄素囊肿与滋养细胞瘤伴发
C.黄素囊肿多呈双侧性
D.卵巢非赘生性囊肿是卵巢囊性肿瘤,多不能自行消退
E.绝经后妇女较少见
282、单项选择题 下列哪种眼疾病声像图表现为凹面向前的“V”字形膜状回声()
A.完全性视网膜脱离
B.部分性视网膜脱离
C.脉络膜脱离
D.玻璃体后脱离
E.玻璃体机化膜
283、单项选择题 下列哪项肿瘤的声像图呈实性回声()
A.子宫肌瘤玻璃样变
B.畸胎瘤
C.卵巢囊腺癌
D.卵巢纤维瘤
E.卵巢囊腺瘤
284、判断题 妊娠6周超声可探测到心率A.对
285、单项选择题 超声探头的换能作用是()
A.电能转换成光和热
B.电能转换成机械能或机械能转换成电能
C.机械能转换成辐射
D.声转换成超声
E.电能转换成声能
286、单项选择题 心脏在胚胎发育第几周是已基本发育完成()
A.第2周
B.第3周
C.第4周
D.第6周
E.第8周
287、单项选择题 关于嗜铬细胞瘤的描述,正确的是()
A.肿瘤体积一般较小
B.肿瘤多呈圆形或椭圆形
C.边界呈强回声带
D.肿瘤内为中等回声,有时可见液性无回声
E.肾外嗜铬细胞瘤常位于盆腔
288、单项选择题 远区回声过低,声像图不清楚时,应调节下列哪一项()
A.增大检测深度
B.使用增益(TGC)补偿调节
C.减小增益
D.用变频探头扫查
E.调节监视器的显示
289、问答题 脾血管瘤USG表现有哪些?
290、填空题 胎儿畸形包括__________、__________、___________、_____________、_____________、__________________、__________________、______________或___________等。
291、单项选择题 葡萄胎声像图表现,下述哪一项是错误的()
A.25~60%伴发黄素囊肿
B.子宫大于孕期
C.蜂窝状声像图示特异性超声所见
D.需与过期流产相鉴别
E.刮宫后黄素囊肿持续存在2月是诊断恶性葡萄胎的依据
292、单项选择题 TGC是下列哪一名词的英文缩写()
A.组织增益特性
B.时间增益补偿
C.信号发生器控制
D.温度发生器控制
E.以上均不正确
293、单项选择题 大量心包积液(500ml以上)用二维超声如何做半定量测定()
A.无回声区包绕心室前、外、后方及心尖部,心室前、后方无回声区≥10mm
B.心包明显增厚
C.只心室前方出现明显无回声区
D.只心室后方出现明显无回声区
E.心包脏层与壁层间有明显粘连表现
294、判断题 泪腺肿瘤恶性者USG境界不规整,加压探头时肿瘤不变形。
295、单项选择题
某女患者子宫附件超声声像图如下,患者月经正常,有痛经及人流史,月经后7天检查。根据病史和图像,最可能的诊断为()
A.巧克力囊肿
B.滤泡囊肿
C.黄体囊肿
D.黄素囊肿
E.正常卵泡
296、单项选择题 下列哪项不是彩色血流显像时可能出现的伪像()
A.色彩倒错
B.振铃效应
C.室壁幻影
D.瓣叶赝影
E.镜像反射
297、单项选择题
女,38岁。根据超声声像图,可诊断为()
A.肝脓肿
B.肝血管瘤
C.肝癌
D.局限性脂肪肝
E.肝内钙化灶
298、单项选择题 患者无月经,无临床症状,子宫极小,长径<2cm,无子宫内膜回声,诊断为()
A.幼稚子宫
B.单角子宫
C.先天性无子宫
D.始基子宫
E.正常子宫
299、单项选择题
女,35岁,上腹经常疼痛不适。声像图如图所示。结合超声声像图,诊断为()
A.胆囊多发性息肉
B.胆泥淤积
C.胆囊多发性腺瘤
D.胆囊蛔虫残骸
E.胆囊多发性结石
300、单项选择题
甲状腺超声声像图如下,最可能的诊断为()
A.甲状腺囊肿
B.结节性甲状腺肿并囊变
C.甲状腺腺瘤并囊变
D.甲状腺囊腺癌
E.甲状腺炎