时间:2025-03-25 06:19:57


1、单项选择题 心脏X线摄影是检查心脏病变的重要手段。 心脏右前斜位摄影,服钡的目的是观察()
A.右心房压迫食管情况
B.右心室压迫食管情况
C.左心房压迫食管情况
D.左心室压迫食管情况
E.全心压迫食管情况
2、单项选择题 1895年,伦琴将X线首次应用于人体的哪个系统()
A.心血管系统
B.骨骼系统
C.神经系统
D.消化系统
E.呼吸系统
3、单项选择题 腹部X线平片上,肠梗阻特征影像表现始于发病后()
A.1~5小时
B.2~4小时
C.5小时
D.6~8小时
E.8~12小时
4、多项选择题 肺间质包含下述哪些成分()
A.肺泡间隔
B.小叶间隔
C.肺泡管
D.肺泡壁
E.支气管及血管的周围组织
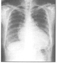
5、单项选择题
男,66岁,咳嗽、发热2周余,无痰中带血,X线检查如图,最可能的诊断是()

A.细支气管肺泡癌
B.血行播散型肺结核
C.左肺浸润型肺结核
D.左肺炎症
E.肺转移瘤
6、多项选择题 关于骨髓瘤的分型,下列哪些正确()
A.按发病数目可分为单发和多发性骨髓瘤
B.按是否分泌免疫球蛋白可分为分泌型和非分泌型骨髓瘤
C.分泌型骨髓瘤少见
D.非分泌型骨髓瘤多见
E.分泌型骨髓瘤中,以IgG型多见
7、单项选择题 罕有单侧肺门影增大的病变是()
A.中央型肺癌
B.肺动脉瓣狭窄
C.肺动静脉畸形
D.组织胞浆菌病
E.淋巴瘤
8、单项选择题 成骨型骨肉瘤的特点()
A.肿瘤骨形成为主
B.早期骨皮质受侵
C.软组织肿胀
D.易引起病理骨折
E.骨皮质破坏为主
9、单项选择题 在纵隔肿瘤的组织来源中,不正确的是()
A.胸腺瘤起源于未退化的胸腺组织
B.畸胎瘤为胚胎期胸腺始基发育时,部分多潜力组织脱落,随心血管发育,入胸内演变而成
C.神经源性肿瘤起源于胚胎组织
D.恶性淋巴瘤起源于淋巴组织
E.支气管囊肿为胚胎期支气管胚芽发育异常
10、多项选择题 在婴儿腹部立位片上见不到“双泡征”的疾病有()
A.环状胰腺
B.胎粪性肠梗阻
C.肥大性幽门狭窄
D.肠旋转不良
E.先天性十二指肠闭锁
11、单项选择题 下列溃疡性结肠炎的晚期表现中,错误的是()
A.“钮扣样”溃疡
B.结肠袋消失
C.结肠缩短
D.骶前间隙变窄
E.均匀分布的雪花样钡斑
12、单项选择题 下列“Monteggia骨折”诊断要点,哪项不对()
A.桡骨下1/3骨折伴尺骨小头脱位
B.尺骨上1/3骨折伴桡骨头脱位
C.屈曲型骨折,桡骨头向后外方脱位
D.伸直型骨折,桡骨头向前外方脱位
E.前臂旋转功能障碍
13、单项选择题 高密度性肾囊肿,最常见于()
A.囊肿合并感染
B.囊肿内出血
C.囊液蛋白质含量高
D.囊肿壁钙化
E.囊肿与肾盂、肾盏交通,对比剂进入
14、多项选择题 系统性红斑狼疮的胸片有以下特点()
A.肺部游走性斑片状浸润影或间质性改变
B.肺门淋巴结肿大
C.胸腔积液
D.心包积液
E.胸膜钙化
15、单项选择题 下述“家族性结肠息肉病”临床特点,哪项正确()
A.罕有恶变
B.青年发病
C.好发于直肠
D.常染色体隐性遗传
E.常因腹部绞痛就诊
16、单项选择题 关于过敏性上颌窦炎,下列影像表现哪项错误()
A.多个鼻窦受累
B.窦壁骨质硬化
C.上颌窦息肉
D.鼻甲粘膜增厚
E."气液面"较少见
17、单项选择题 胸片上,双侧肺门影增大可见于()
A.大叶性肺炎
B.慢性纤维空洞型肺结核
C.法洛四联征
D.慢性肺源性心脏病
E.肺隔离症
18、判断题 近代中国诞生的新的被压迫阶级是工人阶级。
19、单项选择题 曲面体层摄影常用于检查()
A.颧骨
B.筛骨
C.颌骨
D.颞骨
E.蝶骨
20、单项选择题 鼻咽侧位片上,正常成人鼻咽顶后壁软组织厚度不超过()
A.0.5cm
B.1.5cm
C.1.8cm
D.2.0cm
E.2.5cm
21、单项选择题
男,74岁,咳嗽,咳痰1月余,咯血丝痰1周伴胸痛,胸片如图,最可能的诊断为()
A.右上肺浸润型肺结核
B.右上肺不张
C.右侧中央型肺癌并右上肺不张
D.右侧包裹性积液
E.右肺上沟瘤
22、多项选择题 关于X线强度的叙述,正确的是()
A.KVP代表X线的质
B.X线强度指的是管电压的高低
C.靶物质的原子序数越高,X线强度越大
D.X线强度与管电压成正比
E.脉冲电压越接近峰值,X线强度越大
23、单项选择题 下述单纯煤肺影像特点,错误的是()
A.类圆形小阴影
B.不规则形小阴影
C.常有大阴影
D.罕有胸膜斑
E.肺间质纤维化
24、单项选择题 下列关于胸部右前斜位的观点,错误的是()
A.也称第一斜位
B.可观察左心房
C.可观察右心房
D.可观察右心室
E.可观察食管
25、单项选择题 诊断先天性肥厚型幽门狭窄,最可靠的X线征象是()
A.胃逆蠕动增强
B.胃蠕动频繁,波形加深
C.胃潴留胃扩张
D.幽门部的软组织影
E.幽门前区“双肩”征,幽门管细长呈线样改变
26、单项选择题 右主支气管在距气管隆突几厘米处分出右肺上叶支气管()
A.0.5cm
B.1.5cm
C.2cm
D.3cm
E.1cm
27、多项选择题 下列摄片用语,错误的是()
A.中心线向肢侧倾斜
B.中心线向手侧倾斜
C.中心线向足侧倾斜
D.中心线向头侧倾斜
E.中心线向地面倾斜
28、单项选择题 下列哪种组织结构对X线吸收能力最强()
A.骨骼
B.皮肤
C.肌肉
D.含气肺组织
E.尿液
29、单项选择题 逆行肾盂造影示自肾小盏中央开始向皮质呈放射状或肩状阴影,属于()
A.肾盂静脉周围逆流
B.肾盂肾窦逆流
C.肾盂淋巴管逆流
D.肾盂静脉逆流
E.肾小管逆流
30、单项选择题 下列关于乳腺病变的钙化特点描述,错误的是()
A.乳腺癌:成堆分布细盐状钙化
B.浆细胞乳腺炎:较大的圆形、卵圆形钙化
C.纤维腺瘤:环状、块状、斑点钙化
D.乳腺导管扩张症:放射状分布、短管状钙化
E.不同的钙化特征诊断乳腺病变的准确性极高
31、单项选择题 慢性胃炎按Schindler分类法是()
A.萎缩性胃炎、增生性胃炎、肠上皮化生
B.浅表性胃炎、萎缩性胃炎、肥大性胃炎
C.浅表性胃炎、增生性胃炎、肥大性胃炎
D.萎缩性胃炎、肥大性胃炎、肠上皮化生
E.肥大性胃炎、浅表性胃炎、肠上皮化生
32、多项选择题 硬化型骨髓炎的X线表现不包括()
A.骨质硬化增生
B.骨内膜增生
C.骨外膜增生
D.骨脓肿
E.死骨形成
33、单项选择题 成骨不全症需与下列各病进行鉴别诊断,应除外哪一种()
A.软骨发育不全症
B.干骺发育不良症
C.维生素C缺乏症
D.脆骨症
E.维生素D缺乏病
34、单项选择题 婴幼儿间质性肺炎急性阶段的重要X线表现是()
A.肺实变
B.肺膨胀
C.肺不张
D.支气管扩张
E.间质纤维化
35、多项选择题 闭袢性肠梗阻的X线征象是()
A.长液平征
B.短液平征
C.空回肠转位征
D.咖啡豆征
E.假肿瘤征
36、单项选择题 正常成人心胸比率一般为()
A.0.5
B.0.56
C.0.55
D.0.60
E.0.40
37、单项选择题 作为小儿髋关节摄片,哪一项技术措施是不正确的()
A.两侧髋关节应在一张胶片上同时摄片
B.对生殖腺要进行防护
C.两侧髋关节及股骨的位置一定要对称
D.应使用锐利度较高的低速增感屏
E.肢体左右铅号标记要正确
38、单项选择题 二尖瓣狭窄的心影X线表现为()
A.靴形
B.球形
C.烧瓶形
D.梨形
E.普大形
39、单项选择题 下述疾病的肺血均属正常,但应除外()
A.原发性肺动脉高压
B.特发性肺动脉扩张
C.先天性主动脉瓣狭窄
D.先天性主动脉缩窄
E.特发性升主动脉扩张
40、多项选择题 主要分布于中纵隔的肿瘤有()
A.心包囊肿
B.霍奇金病(Hodgkindisease,HD.
C.神经源性肿瘤
D.支气管囊肿
E.畸胎瘤
41、多项选择题 X线影像变形的叙述,正确的是()
A.被照体平行胶片时,放大变形最小
B.被照体接近中心线时,位置变形较小
C.中心线过被照体部位且垂直胶片,形状变形最小
D.被照体接近中心线时,位置变形较大
E.中心线过被照体部位且垂直胶片,放大变形最小
42、单项选择题 可使右心室增大、肺动脉凹陷的是()
A.二尖瓣狭窄
B.肺动脉狭窄
C.房间隔缺损
D.法洛四联征
E.肺源性心脏病
43、单项选择题 下述“畸形性骨炎”诊断要点,哪项错误()
A.骨干变形
B.20岁以下多见
C.碱性磷酸酶升高
D.早期表现,骨质疏松、骨皮质分层
E.男性多见
44、单项选择题 碘过敏试验方法中最可靠的是()
A.口服试验
B.眼结膜试验
C.舌下试验
D.静脉注射试验
E.皮内试验
45、单项选择题 骶骨前后位摄影的中心线()
A.垂直投射
B.向头侧倾斜15°
C.向足侧倾斜15°
D.向头侧倾斜45°
E.向足侧倾斜45°
46、单项选择题 成人最常见“肾脏恶性肿瘤”为()
A.肾母细胞瘤
B.转移性肾癌
C.肾细胞癌
D.肾淋巴瘤
E.肾盂癌
47、单项选择题
女,36岁,发热,胸痛咳脓痰10余天,胸片如图,最可能的诊断为()
A.左下肺周围型肺癌并空洞形成
B.左下肺脓肿
C.左下肺空洞型肺结核
D.左侧包裹性液气胸
E.急性胃扩张
48、单项选择题 平静呼吸下屏气,常用于哪个部位的检查()
A.手
B.下肢
C.前臂
D.心脏
E.躯干
49、单项选择题 下列哪种肱骨骨折多见于儿童,且为肘部最常见骨折()
A.肱骨外科颈骨折
B.肱骨骨干骨折
C.肱骨髁上骨折
D.肱骨远端全骨骺分离
E.肱骨头骨骺分离
50、多项选择题 溃疡型胃癌的X线征象包括()
A.僵硬
B.放射状黏膜纠集
C.项圈征
D.裂隙征
E.环堤
51、多项选择题 肺结核病可以见到的空洞为()
A.厚壁空洞
B.薄壁空洞
C.虫蚀样空洞
D.空洞内有球形内容物
E.偏心性空洞
52、单项选择题 正常胰腺钩突位于()
A.肠系膜上动脉前方
B.脾静脉后方
C.下腔静脉后方
D.十二指肠内侧
E.肠系膜上静脉后方
53、单项选择题 血管瘤多发生于()
A.长骨骨干
B.椎体和颅骨
C.短管状骨
D.骨盆
E.干骺端
54、多项选择题 高千伏摄片的优点是()
A.可获得高对比的照片
B.缩短曝光时间,减少肢体移动模糊
C.X线量减少,有利于病人防护
D.改善骨组织密度不同,所致的光学密度分布不均匀
E.减小管电流,延长X线管寿命
55、多项选择题 声门上型癌的X线表现包括()
A.会厌和杓会厌襞增厚、肿胀、僵硬
B.声带喉室面局限性隆起
C.喉前庭不规则狭窄
D.假声带区域软组织密度增高
E.喉室变窄、消失
56、多项选择题 下列哪些是“成人型多囊肾”的特点()
A.多囊胰
B.多囊肝
C.颅内动脉瘤
D.常染色体隐性遗传
E.常染色体显性遗传
57、单项选择题 正确维护增感屏的方法中,错误的是()
A.防高温防潮湿
B.防阳光曝晒
C.防止水或药液溅入
D.发现灰尘即用口吹清除
E.暗盒应直立放置,避免重压变形
58、单项选择题 髓内肿瘤中以哪种组织学类型最常见()
A.错构瘤
B.血管母细胞瘤
C.神经母细胞瘤
D.胶质瘤
E.神经上皮性囊肿
59、单项选择题 X线机的分类下列哪项不正确()
A.用于透视、摄影和特殊检查的X线机属诊断用X线机
B.按机械结构和运输方式可分为携带式、移动式和固定式
C.用于疾病治疗的属于治疗用X线机
D.按机器的体积分为大、中、小型
E.按机器应用特点分为综合用X线机和专用X线机
60、多项选择题 化脓性骨髓炎的X线表现有()
A.骨膜增生
B.骨质破坏
C.死骨形成
D.新生骨
E.肌间隙模糊
61、多项选择题 对于侧隐窝的描述,正确的有()
A.其前界是椎体和椎间盘的后缘,侧缘是椎弓根的内缘,后界是上关节突前内缘
B.侧隐窝是椎管内神经根通向椎间孔的部位又称神经管
C.侧隐窝前后宽度即椎弓根高度
D.测量侧隐窝宽度的正确方法是测量椎管前缘到关节突关节前内方的距离即可
E.侧隐窝的宽度若在5mm以上即不存在狭窄
62、单项选择题
男,37岁,出现多处骨折,结合图像,最可能的诊断是()
A.石骨症
B.成骨不全
C.畸形性骨炎
D.转移性骨肿瘤
E.氟骨症
63、单项选择题 下列对辐射敏感的组织不包括()
A.卵巢
B.四肢
C.眼晶状体
D.骨髓
E.睾丸
64、单项选择题 在胸部X线诊断中,错误的是()
A.左心室增大——左前斜摄片
B.中叶综合征——侧位摄片
C.肺结核——前弓位摄片
D.肺气肿——呼气时摄片
E.液气胸——卧位摄片
65、单项选择题 下列颅内肿瘤的影像检查方法中,目前最常用的是()
A.头颅平片
B.体层摄影
C.全景摄影
D.造影检查
E.CT检查
66、单项选择题 肱骨外科颈骨折指骨折部位发生在解剖颈下()
A.2.5cm以内
B.1~3cm
C.1~2cm
D.3~4cm
E.2~3cm
67、单项选择题 男,63岁,进行性吞咽困难1月。食管钡餐示:食管下段粘膜不规则充盈缺损,管腔狭窄,贲门扩张欠佳。 病变侵及食管的()
A.粘膜层
B.粘膜下层
C.肌层
D.外膜
E.粘膜肌层
68、单项选择题 升主动脉及上腔静脉在后前位胸片上位于()
A.右心缘下段
B.右心缘中段
C.右心缘上段
D.左心缘上段
E.左心缘中段
69、多项选择题 房间隔缺损少见类型有()
A.静脉窦型
B.下腔静脉型
C.冠状窦型
D.上腔型
E.继发孔型
70、多项选择题 先天性主动脉缩窄常合并()
A.动脉导管未闭
B.房间隔缺损
C.主动脉双瓣畸形伴关闭不全
D.主动脉畸形
E.三尖瓣下移畸形
71、单项选择题 下列有关颈椎椎体的描述,错误的是()
A.第1颈椎没有棘突和关节突
B.第2~7颈椎棘突末端分叉
C.第2颈椎有齿突
D.第7颈椎棘突最长
E.第7颈椎棘突末端不分叉
72、单项选择题 有关环枢关节的描述,错误的是()
A.正常儿童齿状突至环椎前弓距离小于4.0mm
B.正常成人齿状突至环椎前弓距离为2.5~4.0mm
C.X线检查不能诊断半脱位
D.环枢关节半脱位可由齿状突发育畸形引起
E.MR检查有助于观察邻近结构的改变
73、多项选择题 引起膈肌改变的疾病中,包括()
A.纵隔病变
B.腹腔病变
C.肝脏病变
D.肺毁损
E.膈肌本身病变
74、单项选择题 肝静脉汇入下腔静脉处为()
A.第一肝门
B.第二肝门
C.第三肝门
D.第四肝门
E.以上都不是
75、多项选择题 下列哪些征象可在X线胸片上看到()
A.船帆征
B.剪影征
C.空泡征
D.双泡征
E.双轨征
76、单项选择题
男,17岁,右腿酸痛、肿胀2个月余。右膝关节平片如下,最可能的诊断为()
A.纤维性骨皮质缺损
B.非骨化性纤维瘤
C.骨化性纤维瘤
D.骨样骨瘤
E.骨巨细胞瘤
77、单项选择题 原发恶性骨肿瘤的X线表现是()
A.边缘清楚,骨质有破坏,骨膜反应明显
B.边缘模糊,骨质有破坏,骨膜反应不明显
C.边缘模糊,骨质破坏,无骨膜反应
D.边缘模糊,骨质有破坏,骨膜反应明显
E.边缘清楚,骨质有破坏,无骨膜反应
78、单项选择题 对影像半影模糊的控制阈值为()
A.0.05mm
B.0.20mm
C.0.25mm
D.1.0mm
E.1.5mm
79、单项选择题 下列支原体肺炎的描述,错误的是()
A.小儿及成人均可患病
B.病变早期可仅有肺纹理增多,边缘模糊
C.血清冷凝集试验在2~3周值较低
D.肺炎支原体肺炎与浸润型肺结核X线表现相似
E.占据一个大叶的支原体肺炎较少见
80、单项选择题 黏多糖贮积症Ⅳ型,下述哪个部位可以正常()
A.骨盆
B.脊柱
C.颅骨
D.手部
E.腕部
81、单项选择题 颅底前后分为三个颅凹,颅后窝有()
A.枕大孔
B.视神经孔
C.棘孔
D.破裂孔
E.卵圆孔
82、单项选择题
男,根据其正常膝关节影像图像,判断其最可能的年龄()
A.61岁左右
B.51岁左右
C.11岁左右
D.21岁左右
E.31岁左右
83、单项选择题 腰椎斜位片,正常椎弓及附件的影像呈""猎狗形""。 椎弓崩裂易累及()
A.椎板后部
B.椎弓峡部
C.上关节突
D.下关节突
E.椎弓根
84、多项选择题 两侧肺门增大多见于()
A.结节病
B.淋巴瘤
C.两侧动脉瘤
D.肺动脉高压
E.中央型肺癌
85、多项选择题 来源于纤维组织的良性骨肿瘤的是()
A.神经纤维瘤
B.韧带样纤维瘤
C.纤维肉瘤
D.非骨化性纤维瘤
E.神经纤维肉瘤
86、单项选择题 经肝排泄的静脉注射对比剂有()
A.胆影葡胺
B.碘酞葡胺
C.碘葡酰胺
D.碘番酸
E.碘卡酸
87、单项选择题
男,67岁,咳嗽、胸痛2月余,痰中带血,不发热,X线检查如图,最可能的诊断是()

A.右侧胸膜肥厚
B.右上肺不张
C.右肺癌并右上肺不张
D.右侧包裹性积液
E.肺上沟瘤
88、单项选择题 下列肿瘤性病变中,不属于椎管髓内肿瘤范畴的是()
A.室管膜瘤
B.血管母细胞瘤
C.星形细胞瘤
D.少突神经胶质瘤
E.神经纤维瘤
89、多项选择题 关于膝关节前后正位片显示标准,正确的是()
A.片包括股骨远端胫骨近端骨骼
B.关节面位于照片下1/3处显示
C.关节间隙内外两侧等距
D.腓骨小头与胫骨仅有小部分重叠
E.腓骨小头与胫骨不应有重叠
90、多项选择题 大量气胸X线胸片可见()
A.患侧膈下降
B.患侧胸廓明显塌陷
C.纵隔健侧移位
D.肺完全压缩
E.肋间隙增宽
91、单项选择题 下列疾病胸片上不表现为广泛索条、网格状影的是()
A.肺脓肿急性期
B.石棉肺
C.癌性淋巴管炎
D.慢性支气管炎
E.特发性肺间质纤维化
92、单项选择题 骨肉瘤好发年龄为()
A.婴幼儿
B.10岁以下
C.15~25岁
D.25~40岁
E.40岁以上
93、单项选择题
男,16岁,左小腿上端疼痛3个月余,局部肿胀,皮温稍高。结合左胫腓骨正侧位片,最可能的诊断为()
A.急性化脓性骨髓炎
B.骨化性肌炎
C.骨肉瘤
D.成软骨细胞瘤
E.软骨肉瘤
94、单项选择题 Ebstein畸形的X线表现中,哪项错误()
A.右心房明显增大
B.左心房明显增大
C.三尖瓣下移畸形
D.肺血减少
E.肺动脉段平直或凹陷
95、单项选择题 完全位于腹膜后间隙的是()
A.肾上腺
B.胰腺
C.胃
D.下腔静脉
E.腹主动脉
96、单项选择题
患者,女,46岁,胸闷气短1月,伴全身乏力,咳嗽,发热。胸片示:中上纵隔增宽,右缘呈波浪状改变。白细胞:8.5×109/L。
为明确诊断,进一步做哪项检查()
A.胸部增强CT扫描
B.血沉
C.食管钡餐造影
D.痰细胞学检查
E.胸部MRI检查
97、单项选择题
男,18岁,感胸闷气逼,胸片检查如图,最可能的诊断是()

A.左侧胸膜肥厚
B.左侧胸腔积液
C.左侧液气胸
D.左侧肺不张
E.以上都不对
98、单项选择题 胸部X线检查最常用的投照位置是()
A.卧位前后位
B.立位前后位
C.卧位后前位
D.立位后前位
E.立位左侧位
99、单项选择题 脊椎骨折可出现()
A.脊椎后突成角
B.棘突撕脱骨折
C.棘突间隙增宽
D.截瘫
E.以上均可
100、单项选择题 泌尿系统结核最常见的感染途径是()
A.淋巴系统途径
B.呼吸系统途径
C.消化系统途径
D.血行播散
E.接触传染途径
101、单项选择题
男,72岁,喉部异物感2~3天。体检:咽喉部慢性充血,结合图像,最可能的诊断为()
A.正常表现
B.会厌征
C.颈椎退变
D.食管型颈椎病
E.以上都不是
102、单项选择题
男,11岁。自出生后出现活动后憋喘、口唇发紫。检查如图所示。最可能的诊断是()
A.完全性肺静脉异位引流-心下型
B.完全性肺静脉异位引流-心上型
C.完全性肺静脉异位引流-心内型
D.完全性肺静脉异位引流-混合型
E.法洛四联症
103、单项选择题 钡餐示“食管远端鸟嘴样狭窄”,则可除外()
A.贲门失弛缓症
B.食管裂孔疝
C.消化性溃疡
D.胃底贲门癌
E.食管静脉曲张
104、单项选择题 关于“马蹄肾”的特点,错误的是()
A.“Turner综合征”时,发病率增高
B.肾结石发生率升高
C.移行细胞癌发病率增高
D.肾旋转不良
E.可伴尺骨发育异常
105、单项选择题 下述石棉肺影像表现,错误的是()
A.早期,不规则形大阴影
B.晚期,双肺蜂窝状阴影
C.胸膜斑可钙化
D.蓬发心
E.胸膜改变常比肺改变更明显
106、单项选择题 关于胶片的叙述,错误的是()
A.晶体颗粒大,感光度高
B.晶体颗粒分布均匀,对比度高
C.晶体颗粒大小不一,宽容度高
D.晶体颗粒小,分辨率低
E.晶体颗粒小,涂层薄,清晰度好
107、单项选择题 在X线摄影中,使用对比剂可以增加组织间的对比,有助于形成影像。 肝肾功能严重受损不能进行静脉尿路造影检查的原因不是()
A.不能正常显影
B.损伤肝肾功能
C.必然发生过敏反应
D.不能正常排泄对比剂
E.机体抵抗力低下
108、单项选择题
下列图片为哪一型心脏()
A.二尖瓣型
B.主动脉型
C.普大型
D.三尖瓣型
E.烧瓶型
109、多项选择题 下列恶性骨肿瘤中呈多发性表现的是()
A.软骨肉瘤
B.骨肉瘤
C.转移瘤
D.骨髓瘤
E.纤维肉瘤
110、单项选择题 人体对X线衰减的叙述,错误的是()
A.不同组织对X线衰减不同,故可形成影像对比
B.软组织对X线衰减相当于水
C.脂肪对X线衰减最小
D.骨对X线衰减相当于铝
E.骨组织对X线衰减最大
111、单项选择题
男,7岁,右前臂肿痛20天,发病时皮温较高,体温达39℃。实验室检查:WBC:12.05×109/L,中性粒细胞79%。右尺桡骨正侧位DR片如图

A.骨结核
B.骨肉瘤
C.尤因肉瘤
D.软骨肉瘤
E.骨母细胞瘤
112、单项选择题 男性,40岁,上腹隐痛1年余,进食后缓解。2小时前突发上腹部剧痛,查体剑突下压痛,反跳痛。应首先考虑()
A.消化道出血
B.胃溃疡恶变
C.消化道穿孔
D.胃扭转
E.胃平滑肌肉瘤
113、单项选择题 下列关于支气管动脉的解剖叙述,错误的是()
A.支气管动脉直径正常为2~3mm,当肺部有肿瘤时相应的血管可增粗
B.正常支气管动脉从纵隔向肺门方向行走,可与纵隔内动脉、肋间动脉或对侧支气管动脉相通
C.右侧支气管动脉大多为一支且与肋间动脉共干,并以与第三肋间动脉共干为最常见
D.支气管动脉起源均在胸主动脉4~9胸椎水平
E.70%~90%起自第5-6胸椎水平
114、多项选择题 肺类风湿病的实验室检查多见()
A.类风湿因子阳性
B.血清白蛋白减低
C.IgG、IgM增高
D.血沉减慢
E.γ球蛋白增加
115、多项选择题 Albright综合征临床表现不包括()
A.内分必紊乱
B.软组织肿物
C.血管瘤
D.性早熟
E.皮肤色素沉着
116、单项选择题 小叶旁型肺气肿主要分布在()
A.双肺上叶
B.肺内瘢痕病灶旁
C.两肺弥漫分布,以下叶为主
D.局限于胸膜下区域
E.双肺均匀分布
117、单项选择题
女,50岁,因右侧骶髂关节疼痛半年伴左下腹部疼痛,血尿1天,X线检查如图所示,最可能的诊断是()
A.右侧骶髂关节炎
B.右侧致密性骶髂关节炎
C.左侧输尿管下端结石
D.右侧致密性骶髂关节炎;左侧输尿管下端结石
E.以上均不正确
118、多项选择题 关于X线球管的特性,错误的是()
A.灯丝加热为定值时,管电压增加,管电流增加
B.管电压增高,空间电荷减少,管电流减小
C.管电压相同,灯丝电流增加,管电流增加
D.管电压相同,灯丝电流增加,管电流减小
E.管电流相同,管电压高的灯丝加热电流低
119、多项选择题 好发于下叶的肺病变有()
A.支气管扩张
B.念珠菌病
C.继发性肺结核
D.肺隔离症
E.支原体肺炎
120、多项选择题 影响辐射损伤的因素是()
A.剂量率
B.照射方式
C.照射部位和范围
D.辐射线性质
E.辐射线剂量
121、单项选择题 哪类肺癌在早期就发生淋巴转移()
A.鳞癌
B.腺癌
C.大细胞未分化癌
D.小细胞未分化癌
E.细支气管肺泡癌
122、多项选择题 下列对于椎管关节描述正确的有()
A.扫描层面位于椎间孔上部,可以显示脊神经根
B.扫描层面位于椎间孔下部,可以显示脊神经根
C.脊神经根后根大于前根
D.腰髓神经根大于颈髓神经根
E.脊神经根后根小于前根
123、单项选择题 不能用做静脉肾盂造影的对比剂是()
A.碘苯酯
B.泛影葡胺
C.碘酞葡胺
D.甲泛葡糖
E.复方泛影葡胺
124、单项选择题
男,根据其正常骨盆影像图像,判断其最可能的年龄()
A.2岁左右
B.8岁左右
C.6岁左右
D.12岁左右
E.10岁左右
125、多项选择题 眶距过宽,常见于下列哪些疾病()
A.骨性狮面
B.冠状缝晚闭
C.自发性高钙血症
D.鼻肿瘤
E.生长期脑积水
126、单项选择题
患儿,新生儿出生评分8分,出生约6小时后出现呼吸困难,进行性加重,并出现皮肤青紫及吸气性三凹征,胸片如下图所示,下列诊断正确的是()

A.肺出血
B.新生儿肺透明膜病
C.一侧肺不发育
D.吸入性肺炎
E.新生儿湿肺
127、单项选择题 类风湿性关节炎初期主要病变在()
A.关节韧带
B.滑膜组织
C.关节软骨
D.骨端骨组织
E.以上都不是
128、单项选择题 X线在体内各部穿透力,由大到小排列有以下几种,正确的是()
A.气体,液体及软组织,脂肪,骨骼
B.骨骼,脂肪,液体及软组织,气体
C.气体,脂肪,液体及软组织,骨骼
D.脂肪,气体,液体及软组织
E.骨骼,软组织及液体,脂肪,气体
129、单项选择题 柯雷斯骨折(Colles骨折)()
A.桡骨远端骨折
B.桡骨近端骨折
C.尺骨远端骨折
D.尺骨近端骨折
E.以上都是
130、单项选择题 视神经孔后前轴位摄片,矢状面与台面呈()
A.33°
B.43°
C.53°
D.63°
E.73°
131、单项选择题 以下正常骨结构X线平片不能显示的是()
A.骨骺
B.滋养管
C.骨膜
D.骨小梁
E.髓腔
132、单项选择题 “腕骨二次骨化中心”出现的正常顺序是()
A.头、钩、三角、月
B.小、大、钩、头
C.豆、月、头、钩
D.舟、钩、月、头
E.月、豆、头、大
133、单项选择题 扁平足,正确的摄影体位是()
A.单足水平侧位
B.双足水平侧位
C.单足倾斜侧位
D.单足负重水平侧位
E.双足负重水平侧位
134、单项选择题 特发性肺间质纤维化好发于()
A.肺门附近
B.上叶尖后段或下叶背段
C.胸膜下区
D.双下肺野
E.双肺弥漫分布
135、单项选择题
患者,女,46岁,胸闷气短1月,伴全身乏力,咳嗽,发热。胸片示:中上纵隔增宽,右缘呈波浪状改变。白细胞:8.5×109/L。
最可能的诊断是()
A.胸内甲状腺
B.胸腺瘤
C.右侧中心型肺癌
D.淋巴瘤
E.畸胎瘤
136、单项选择题 下述哪种肿瘤来源于骨髓组织()
A.淋巴肉瘤
B.骨髓瘤
C.尤文肉瘤
D.网状细胞肉瘤
E.以上都是
137、单项选择题 下列征象中,哪一项对周围型肺癌的诊断价值最大()
A.分叶和毛刺
B.空洞
C.钙化
D.肺门或纵隔淋巴结肿大
E.无卫星病灶
138、单项选择题 儿童颅内压增高较常见可靠的X线征象是()
A.颅缝分离
B.蛛网膜颗粒压迹增大
C.脑回压迹增多
D.颅骨普遍性吸收
E.蝶鞍扩大和骨质吸收
139、单项选择题 肾区前后位摄影,中心线经()
A.肚脐
B.脐下3cm
C.剑突与脐连线中点
D.脐与耻骨联合连线中点
E.剑突与耻骨联合连线中点
140、单项选择题 虫蚀样空洞的壁是由什么组织形成()
A.肿瘤组织
B.肉芽组织
C.纤维组织
D.坏死组织
E.薄层肺不张
141、单项选择题 夜间痛明显及水杨酸类药物可缓解疼痛的肿瘤是()
A.骨样骨瘤
B.软骨肉瘤
C.骨肉瘤
D.骨瘤
E.骨软骨瘤
142、单项选择题 钡餐检查示“革袋胃”,则应除外()
A.乳腺癌胃转移
B.Crohn病
C.进行性全身性硬皮病
D.腐蚀性胃炎
E.嗜伊红细胞性胃炎
143、单项选择题 肾脊角正常为()
A.5°~10°
B.10~15°
C.15°~20°
D.15°~25°
E.20°~30°
144、单项选择题
女性,45岁,类风湿性关节炎病史6年,近来感到夜间阵发性呼吸困难,伴有轻度咳嗽,无痰。心脏听诊心尖区S1亢进,胸骨左缘3~4肋间收缩期杂音。行胸部平片检查如下图,应考虑()
A.主动脉瓣狭窄
B.主动脉瓣关闭不全
C.动脉导管未闭
D.右室流出道狭窄
E.二尖瓣狭窄
145、单项选择题 钡餐造影片上,胃底大,呈囊袋状向后倾,胃泡大,胃体小,张力高,钡先进入后倾的胃底,充满后再溢入胃体,应为()
A.牛角型胃
B.瀑布型胃
C.钩型胃
D.无力型胃
E.混合型胃
146、单项选择题 下列关于“Sprengel畸形”,哪项错误()
A.偶可双侧发病
B.可伴短颈畸形
C.常伴颈椎、胸廓畸形
D.肩胛骨抬高,下角向脊柱侧旋转
E.锁骨正常
147、单项选择题
女,1岁10个月,右肘部外伤,如图所示,最佳的诊断为()
A.全骺分离
B.肱骨髁上骨折
C.肱骨髁上骨折并肘关节脱位
D.内上髁骨骺损伤
E.内上髁骨骺损伤并肘关节脱位
148、单项选择题
女性,35岁。阵发性劳力性呼吸困难及阵发性夜间呼吸困难。听诊可闻及奔马律。行胸部平片检查如下图:

A.两心缘搏动无明显减弱
B.左心室段搏动区域性减弱
C.右心房段搏动减弱
D.心脏搏动快速有力
E.主动脉结搏动增强
149、单项选择题 关于“应力性骨折”,正确的描述是()
A.为青少年特有的骨折类型
B.可见明确的低密度骨折线
C.有明显成角畸形
D.第四跖骨
E.同一部位多次轻微外伤所致
150、多项选择题 主动脉型心脏的表现不包括()
A.肺动脉段凹陷
B.心尖上翘
C.主动脉结凸出
D.心尖下移
E.右心室增大
151、多项选择题 缩窄性心包炎的X线征象为()
A.心影增大
B.心影边缘不规则
C.上纵隔阴影增宽
D.心包钙化
E.胸膜增厚、粘连
152、单项选择题 腰椎斜位标准片所见,错误的是()
A.第1~5腰椎及腰骶关节呈斜位,于照片正中显示
B.各椎弓根投影于椎体正中或前1/3处
C.各椎弓根投影于椎体后1/3处
D.椎间隙显示良好,第3腰椎上下面的两侧缘应重合
E.与椎体相重叠的椎弓部结构,应显示清晰
153、单项选择题 尿路造影显示肾盏、肾盂受压,无明显破坏及充盈缺损,提示下列哪类病变()
A.肾盂肾炎
B.肾外占位
C.肾盂占位
D.肾结核
E.肾实质内占位
154、单项选择题 膝关节侧位摄影,关节需屈曲多少度()
A.105°
B.115°
C.125°
D.135°
E.145°
155、单项选择题 下面结节病的X线表现中,错误的是()
A.可见指骨囊性病变
B.肺门淋巴结也肿大
C.有时纵隔淋巴结也肿大
D.在肺野可见索条、颗粒、斑状阴影,呈离心分布
E.多两肺受累
156、多项选择题 以下关于下咽癌的描述,正确的是()
A.梨状窝癌最常见
B.病理类型多为鳞状细胞癌
C.气管后椎前软组织影增厚
D.淋巴结转移少见
E.梨状窝内壁侧壁僵直
157、单项选择题 侧位X线片成人眼眶呈()
A.正方形
B.圆形
C.长方形
D.卵圆形
E.锥形
158、多项选择题 成软骨细胞瘤应与下述哪些疾病变相鉴别()
A.骨巨细胞瘤
B.内生软骨瘤
C.软骨粘液样纤维瘤
D.多发性骨软骨瘤
E.骨骺、干骺结核
159、单项选择题 关于胸骨后甲状腺的描述,错误的是()
A.包括甲状腺肿、腺瘤和囊肿
B.伴有颈部甲状腺肿大
C.在前纵隔肿瘤中,其位置最高
D.有气管受压移位
E.胸骨后甲状腺无恶性病变
160、单项选择题
男,58岁,进食梗阻感,结合图像,最可能的诊断为()

A.正常食管
B.食管静脉曲张
C.食管平滑肌瘤
D.食管上段癌
E.食管下段癌
161、多项选择题
男,24岁,鼻部被击伤,如图所示,最可能的诊断是()
A.鼻骨中段见透亮线影
B.鼻骨远端稍塌陷
C.鼻骨骨折处可见小骨片影向下方分离
D.考虑为鼻骨线性骨折
E.鼻骨粉碎性骨折
162、多项选择题 诊断恶性骨肿瘤的诊断依据是()
A.浸润性骨质破坏
B.有骨膜反应
C.有软组织肿块
D.破坏区内有死骨
E.Codman三角
163、单项选择题 下列“先天性马蹄内翻足”骨质改变中,哪项不正确()
A.跖趾骨内收、跖曲
B.跟骨短而宽,跖曲内翻,向后下方移位
C.第一跖骨萎缩,第五跖骨肥大
D.舟骨短而宽,并向内旋转移位
E.距骨短而宽,距骨头脱位
164、单项选择题 严重烧伤引起的骨损伤最主要的X线表现是()
A.肢体末端骨质坏死、炭化
B.骨质疏松
C.指(趾)骨骨膜炎
D.软组织钙化
E.骨生长发育异常
165、单项选择题 家族性结肠息肉综合征的有关说法,哪项是错误的()
A.为常染色体显性遗传性疾病
B.左侧结肠好发
C.息肉表面粗糙不规则,有分叶者应警惕恶性变
D.结肠无短缩,结肠黏膜常有溃疡形成
E.结肠无激惹征,结肠袋正常
166、多项选择题 有关结肠憩室的描述,正确的是()
A.如憩室穿孔,可见游离气体
B.憩室炎发生后,憩室常变形
C.我国多发生在右侧结肠,常单发
D.憩室内常残留检查时的钡剂
E.憩室炎时,常见瘘道形成
167、单项选择题 右心衰竭主要X线表现()
A.上腔静脉扩张
B.心脏房室增大
C.胸腔积液,膈肌升高
D.奇静脉扩张
E.以上都是
168、多项选择题 X线经被照体形成X线信息影像,其质量决定于()
A.被照体的厚度与密度
B.被照体的原子序数
C.X线的散射状况
D.被照体的形状
E.X线的量
169、单项选择题 溃疡型食管癌的典型表现是()
A.牵引性憩室
B.食管节段性环行狭窄
C.食管内充盈缺损
D.龛影
E.食管全程扩张,末端呈鼠尾状
170、单项选择题
8岁,男孩,外伤后感左肘关节肿痛,左肘关节正侧位摄片如图,下列哪项描述错误()
A.“八”字征
B.“X”线白线不连续
C.软组织肿胀
D.左肱骨小头骺线增宽
E.以上均正确
171、单项选择题
男,2岁,阵发性哭闹不安1天,频繁呕吐,腹部拒按,腹部触诊脐右上方可触及包块,行钡灌肠检查,如图所示,最可能的诊断为()

A.肠扭转
B.结肠癌
C.肠穿孔
D.肠套叠
E.以上都不是
172、多项选择题 脂肪瘤的起源,下述正确的是()
A.纵隔胸膜下脂肪组织
B.胸壁皮下脂肪组织
C.胸腺脂肪组织
D.结外淋巴组织
E.淋巴未退化的胸腺组织
173、多项选择题 诊断学综合评价标准中要求有()
A.成像技术标准
B.影像显示标准
C.重要的影像细节
D.体位显示标准
E.受检者剂量标准
174、单项选择题 腹部摄片时呼吸方式为()
A.深吸气后屏气
B.深呼气后屏气
C.连续缓慢浅呼吸
D.平静呼吸
E.以上都不是
175、单项选择题 支气管破裂最常见的X线征象是()
A.胸腔积液
B.双肺充气不足
C.肺气肿,纵隔增宽
D.肺不张,纵隔移位
E.心脏周围有透亮带,皮下软组织内可见散在透亮区
176、多项选择题 距骨骨折的常见类型有()
A.斜行骨折
B.塌陷骨折
C.粉碎骨折
D.横行骨折
E.压缩骨折
177、单项选择题 食管粘膜一般有几条粘膜皱襞()
A.2~4条
B.3~4条
C.3~5条
D.2~5条
E.4~5条
178、多项选择题 胃静脉曲张常发生的部位是()
A.体部
B.胃底部
C.贲门部
D.胃窦部
E.幽门部
179、单项选择题 下面关于KerleyB线的描述,哪项是错误的()
A.是肺野内长约1~2cm、厚度为0.5~lmm横行致密线状影
B.常见于肋膈角与胸膜面大致垂直
C.由多种原因引起的小叶间隔肥厚
D.偶见于中肺野
E.也可见于上肺野
180、多项选择题
女,80岁,胃胀痛20多天,体检:剑突下有压痛,结合图像,最可能的诊断为()
A.食管憩室
B.食管癌
C.胃炎
D.胃下垂
E.球部溃疡
181、单项选择题
男,38岁,间断上腹不适4年,呕咖啡样物及黑便2天。结合图像,最可能的诊断为()
A.正常十二指肠肠圈
B.十二指肠球溃疡
C.十二指肠降段憩室
D.十二指肠球后溃疡
E.十二指肠占位
182、多项选择题 肾动脉的肾外分支有()
A.膈下动脉
B.性腺动脉
C.输尿管上段动脉
D.肠系膜上动脉
E.肾上腺下动脉
183、单项选择题 正常毛细血管内的静水压为()
A.2.53kPa
B.3.33kPa
C.1.07kPa
D.2.67kPa
E.2.07kPa
184、单项选择题 肺转移瘤最常见的表现形式是()
A.肺内弥漫分布粟粒状影
B.多发结节影
C.弥漫蜂窝状影
D.斑片状影
E.孤立性结节影
185、单项选择题 胸部摄片高千伏摄影是指()
A.≥90kV
B.≥100kV
C.≥110kV
D.≥120kV
E.≥130kV
186、单项选择题
女,8岁,外伤后致右胫骨骨折,如图所示,下列描述正确的是()
A.对位好,对线差
B.对位差,对线好
C.对位对线好
D.对位对线差
E.以上均不正确
187、多项选择题 早期食管癌分为()
A.硬化型
B.平坦型
C.溃疡型
D.凹陷型
E.隆起型
188、单项选择题 靶面倾角是X线管的()
A.电参数
B.结构参数
C.容量参数
D.极限参数
E.以上都是
189、单项选择题 男,14岁,左小腿近端疼痛半年余,间断持续性局部软组织隆起,质硬、皮温高,X线片示胫骨骨骺均匀性致密呈象牙样及棉絮状,骨膜反应不明显,应考虑是()
A.骨纤维异常增殖症
B.硬化性骨髓炎
C.软骨母细胞瘤
D.内生软骨瘤
E.成骨型骨肉瘤
190、单项选择题
男,77岁,全身性骨痛,夜间加重,贫血,PSA大于100,结合图像,最可能的诊断是()
A.成骨性骨转移
B.多发性骨髓瘤
C.慢性化脓性骨髓炎
D.骨肉瘤
E.以上都不是
191、多项选择题 头颅侧位摄片,不能显示()
A.内听道
B.颅内钙化
C.枕骨大孔
D.视神经孔
E.蝶鞍侧位形态
192、单项选择题 成人下颌角的正常值为()
A.110度
B.115度
C.120度
D.125度
E.130度
193、单项选择题 下列关于心血管功能的说法,哪项是不正确的()
A.心的传导系统包含窦房结、房室结和房室束
B.正常心的起搏点是房室结
C.动脉是运血离心的管道
D.静脉是引导血流回心的管道
E.静脉血管的管壁薄、管腔大、血容量大
194、单项选择题 下列颅内钙化中,除哪项外其他是生理钙化()
A.松果体钙化
B.侧脑室脉络膜丛钙化
C.鞍隔钙化
D.大脑镰钙化
E.脑垂体钙化
195、单项选择题 下列关于肺部组织胞浆菌病影像特点,正确的是()
A.常侵犯胸膜、胸壁,形成瘘道
B.中下肺斑点状、云雾状影
C.两肺粟粒样病灶
D.空洞内有“霉菌球”
E.双肺磨砂玻璃样改变
196、单项选择题 慢性化脓性骨髓炎的基本X线表现是()
A.软组织肿胀和(或)窦道形成
B.骨轮廓粗大变形
C.骨质破坏与增生同时存在,并可有死骨
D.病理骨折
E.继发性化脓性关节炎
197、单项选择题
男,49岁,右髋部疼痛1年半,近1个月加重,不发热,有饮酒史。根据骨盆平片,最可能的诊断为()
A.股骨头缺血坏死
B.髋关节结核
C.髋关节化脓性炎症
D.退行性骨关节病
E.强直性脊椎炎髋关节改变
198、多项选择题 马蹄肾常伴有的畸形有()
A.肾盂输尿管结合部梗阻
B.双膀胱
C.生殖系统畸形
D.心血管畸形
E.肛门直肠畸形
199、单项选择题 下列检查技术的相应选项,错误的是()
A.手指:近距离摄影
B.乳腺:软组织摄影
C.肺:高千伏摄影
D.心血管:连续摄影
E.消化道:双重造影
200、单项选择题 下列哪个部位具有较好的天然对比度()
A.腹部
B.足
C.头颅
D.骨盆
E.胸部
201、单项选择题 在周围型肺癌的癌性空洞的特点是()
A.厚壁空洞
B.不规则偏心空洞
C.薄壁空洞
D.薄壁空腔
E.空洞壁厚伴有液平面
202、多项选择题 “继发孔型房间隔缺损”分为哪几型()
A.中央型/卵圆窝型
B.上腔型
C.下腔型
D.周边型
E.混合型
203、单项选择题 大肠全长约为()
A.5~6m
B.2.0m
C.1.5m
D.2.5m
E.3.0m
204、多项选择题 电击伤中电热损伤引起的骨损伤多表现为()
A.骨膜反应
B.骨质增生
C.骨质疏松
D.骨溶解
E.骨自截和骨变形
205、单项选择题 在X线摄影的能量范围内,以下哪种形式利用了X线与物质相互作用()
A.康普顿散射
B.光蜕变
C.电子产生
D.光核反应
E.以上都不是
206、单项选择题 松果体钙化最常见于()
A.1~5岁
B.新生儿
C.20岁以后
D.15岁以后
E.5~10岁
207、单项选择题 怀疑豌豆骨骨折,最佳投照体位是()
A.手腕外展位
B.手腕内收位
C.手腕侧位片
D.手掌向上斜位
E.以上都不对
208、单项选择题 好发于巩膜、球筋膜下间隙内的肿瘤为()
A.视神经脑膜瘤
B.视网膜母细胞瘤
C.血管瘤
D.泪腺肿瘤
E.皮样囊肿
209、单项选择题 有关肾盂造影时压迫腹部的叙述,错误的是()
A.防止对比剂流入膀胱
B.压迫点为脐水平两侧
C.压迫球呈"倒八字"形放置
D.压力为80~100mmHg
E.观察全尿路时解除压迫
210、单项选择题 下列哪项为组织来源未定的肿瘤为()
A.纤维肉瘤
B.骨巨细胞瘤
C.骨髓瘤
D.尤文肉瘤
E.脊索瘤
211、单项选择题 脑疝种类较多,海马回向鞍上池或幕下移位者称为()
A.天幕孔疝
B.扣带回疝
C.小脑扁桃体疝
D.大脑镰疝
E.钩回疝
212、单项选择题
女,58岁,吞咽困难半年,结合图像,最可能的诊断为()
A.正常食管
B.食管静脉曲张
C.食管癌
D.食管憩室
E.食管平滑肌瘤
213、单项选择题 关于寰枢关节叙述正确的是()
A.可使头部做前俯、后仰和侧屈运动
B.两侧关节间隙常不对称
C.可使头部做旋转运动
D.属于联合关节
E.由寰椎两侧的下关节面与枢椎的上关节面构成
214、单项选择题 化脓性关节炎的X线表现中,下列哪项出现较早且又具有特征性()
A.关节囊增大,密度增高
B.关节间隙增宽
C.关节承重面骨质破坏
D.关节周围骨质疏松
E.病理性关节脱位
215、单项选择题
女,47岁,腰背痛并向髋部和下肢放射,结合图像,最可能的诊断是()
A.腰5压缩性骨折
B.移行椎
C.脊椎裂
D.腰5椎弓峡部不连
E.Klipple-Feil综合征
216、单项选择题 头颅侧位片,下列正常蝶鞍形态中,哪项不正确()
A.圆形
B.椭圆形
C.扁圆形
D.双鞍底
E.桥形蝶鞍
217、单项选择题 下述关于“非骨化性纤维瘤”的描述,错误的是()
A.5~20岁多见
B.多位于股骨、胫骨干骺端
C.卵圆形、多囊样密度减低区
D.无硬化缘
E.无骨膜反应和软组织肿块
218、单项选择题 X线照片密度影响因素的叙述,错误的是()
A.感光效应与管电压的n次方成正比例
B.感光效应与焦-片距的平方成反比
C.正确选择屏-片匹配
D.密度随被照体的厚度增大而增高
E.密度与显影加工条件有关
219、单项选择题 胶片感光发生的光化学反应,实质上属于()
A.水解反应
B.合成反应
C.氧化-还原反应
D.光合作用
E.光化学反应
220、单项选择题
男,55岁,上腹饱胀不适半年余,加重1个月,近一个月上腹部不适转为疼痛,为持续性钝痛,服用胃药后症状仍不缓解,并伴有消瘦、体重减轻、间断黑便症状。结合图像,最可能的诊断为()
A.胃癌
B.胃憩室
C.胃小弯溃疡
D.胃炎
E.胃下垂
221、单项选择题 左向右分流型先天性心脏病出现的肺部血管改变是()
A.肺栓塞
B.肺出血
C.肺淤血
D.肺充血
E.肺缺血
222、多项选择题 骨髓瘤的X线表现包括()
A.广泛性骨质疏松
B.多发性骨质破坏
C.软组织肿块
D.骨质硬化
E.骨质破坏、骨质硬化并存
223、单项选择题 下列关于“膀胱结核”的诊断要点,错误的是()
A.多继发于生殖系统结核
B.多继发于肾结核
C.膀胱体积缩小
D.膀胱壁线样钙化
E.输尿管开口附近可见充盈缺损
224、单项选择题 病人仰卧,影像增强器转至病人右前方的摄影方向称()
A.左前斜位
B.右前斜位
C.足头位
D.头足位
E.肝腋位
225、单项选择题 眼眶外侧壁由下列哪些结构组成()
A.额骨眶板、蝶骨小翼
B.上颌骨额突、蝶骨和筛板
C.颧骨、颞骨
D.颧骨、蝶骨
E.额骨眶突、蝶骨大翼
226、单项选择题 关于肺充血,下列哪一项是正确的()
A.肺静脉回流受阻,血液淤滞于肺内
B.透视下可见肺门舞蹈
C.肺野透明度显著减低
D.肺静脉普遍扩张呈模糊条纹状影
E.两肺门影增大,肺门血管边缘模糊
227、单项选择题 股骨颈嵌入骨折的表述,错误的是()
A.老年人,特别是绝经后妇女多见
B.股骨颈嵌入型骨折占10%,属不稳定骨折
C.X线片上不易显示骨折线,易漏诊
D.可仅表现为部分骨小梁中断及重叠
E.骨折愈合时仅表现为骨折线模糊和骨小梁通过
228、单项选择题
女,72岁,上腹不适,结合图像,最可能的诊断为()
A.球部憩室
B.球部溃疡
C.降段憩室
D.降段占位
E.水平段憩室
229、单项选择题 人体组织的自然对比,按密度由高至低排列,下列哪组正确()
A.骨骼、脂肪软组织、体液、气体
B.骨骼、脂肪体液、软组织、气体
C.骨骼、体液、软组织、气体、脂肪
D.骨骼、体液、脂肪、软组织、气体
E.骨骼、软组织、体液、脂肪、气体
230、单项选择题 X线胶片的γ值也称为()
A.人工对比度
B.天然对比度
C.射线(X线)对比度
D.胶片对比度
E.照片对比度
231、多项选择题 韩-薛-柯病的X线表现为()
A.病变呈边界清楚的溶骨性破坏区
B.可相互融合,呈不规则地图样颅骨缺损
C.严重者如象牙镂空或雕刻样改变
D.牙槽骨破坏可致牙齿歪斜或呈悬浮状
E.肺门增大、肺纹理增多、紊乱
232、单项选择题 下述鼻窦癌的诊断要点中,错误的是()
A.多位于筛窦
B.软组织肿块
C.骨质破坏无硬化
D.蝶窦癌罕见
E.常伴有鼻窦炎
233、单项选择题 胰腺癌淋巴结转移最常见于()
A.胃周淋巴结
B.下腔静脉周围淋巴结
C.腹主动脉旁淋巴结
D.肝门区淋巴结
E.腹腔动脉周围淋巴结
234、单项选择题 X线片表现肺血增多,临床表现有发绀者是()
A.二孔型房间隔缺损
B.心内膜垫缺损
C.动脉导管未闭
D.室间隔缺损
E.艾森门格综合征
235、单项选择题 下列不是关节创伤的并发症和后遗症是()
A.不稳定和松弛性关节
B.慢性窦道
C.关节畸形
D.假关节
E.化脓性关节炎
236、多项选择题 慢性支气管炎在诊断时需与下列哪些疾病鉴别()
A.间质性肺炎
B.结缔组织疾病
C.尘肺
D.细支气管炎
E.支气管扩张
237、单项选择题 所谓近距离摄影,是指焦-片距为()
A.15~20cm
B.25~30cm
C.35~50cm
D.55~60cm
E.65~70cm
238、单项选择题 中纵隔最常见的肿瘤是()
A.胸内甲状腺肿
B.神经源性肿瘤
C.胸腺瘤
D.淋巴瘤
E.畸胎瘤
239、单项选择题 活检证实为浸润性导管癌,患者有保乳愿望,目前最适宜的治疗是()
A.放疗
B.化疗
C.手术
D.内分泌治疗
E.中药治疗
240、单项选择题 月骨骨化年龄为()
A.3岁
B.4岁
C.5岁
D.6岁
E.7岁
241、单项选择题 下列有关乳腺癌的描述中,不属X线特征的是()
A.漏斗征
B.酒窝征
C.彗星尾征
D.晕圈征
E.帐篷征
242、多项选择题 关于类风湿性关节炎,正确的是()
A.多见于中年女性
B.对称性梭形软组织肿胀常见于近侧指间关节
C.对称性梭形肿胀常见于远侧指间关节
D.关节间隙增宽
E.关节间隙狭窄
243、多项选择题 关于脊柱曲度变化的说法,哪些是正确的()
A.腰肌劳损
B.脊柱创伤
C.椎间盘病变
D.强直性脊柱炎
E.脊柱结核
244、单项选择题 与平片相比,下列哪项不是CT优势()
A.横断面成像
B.解剖分辨率高
C.密度分辨率高
D.空间分辨率高
E.增强扫描,有利于病变定性
245、多项选择题 关于心包积液,下列哪些项正确()
A.心尖和主动脉搏动减弱
B.中等量积液见心影普遍增大
C.心影呈烧瓶状
D.上纵隔影增宽
E.心包积液在300ml以下者,心影大小和形态可无明显改变
246、单项选择题 胆囊造影脂肪餐后首次摄片时间应为()
A.5分钟
B.10分钟
C.15分钟
D.30分钟
E.60分钟
247、单项选择题
男,12岁,大腿下部间歇性疼痛,劳累后加重,结合图像,最可能的诊断是()
A.纤维性骨皮质缺损
B.干骺端结核
C.骨样骨瘤
D.邻皮质软骨瘤
E.非骨化性纤维瘤
248、单项选择题 下列关于“食管憩室”的描述错误的是()
A.本病多为后天性
B.病因分内压性、牵引性两种
C.牵引性憩室口部较宽
D.内压性憩室呈圆形或乳头状
E.憩室表面无粘膜皱襞
249、单项选择题
女,50岁,手指关节肿痛,晨僵,结合图像,最可能诊断是()
A.关节结核
B.牛皮癣性关节炎
C.痛风性关节炎
D.类风湿关节炎
E.Reiter综合征
250、单项选择题
男,69岁,上腹不适1年余,近一个月腹痛加重,呕吐,体重减轻。结合图像,最可能的诊断为()
A.十二指肠良性溃疡
B.胰头癌
C.胆管癌
D.十二指肠癌
E.十二指肠憩室
251、单项选择题 后前位胸片上,左心缘见不到哪项结构()
A.肺动脉段
B.主动脉结
C.左心耳
D.左心室
E.右心室
252、单项选择题 下述哪项不是“软骨母细胞瘤”影像特点()
A.可跨越骺板
B.骨质无破坏
C.软组织肿块形成
D.常有广泛钙化
E.骨膜反应范围比肿瘤范围大
253、单项选择题 将PACS各组成部分连成一体的是()
A.存储系统
B.显示设备
C.数据库系统
D.通讯网络系统
E.图像采集装置
254、单项选择题 常规肺部摄影正确的呼吸方式是()
A.平静呼吸
B.平静呼吸屏气
C.深吸气末屏气
D.深呼气末屏气
E.缓慢连续呼吸
255、单项选择题
女,63岁,胸痛、呼吸困难2月余,咳嗽、发热2天,曾有肺癌手术史,X线检查如图,最可能的诊断是()

A.细支气管肺泡癌
B.肺转移瘤
C.肺水肿
D.两肺炎症
E.结节病
256、单项选择题 下列胰腺病变,哪种不发生钙化()
A.慢性胰腺炎
B.胰腺癌
C.胰岛细胞瘤
D.单纯性急性胰腺炎
E.胰腺囊肿
257、单项选择题
女,23岁,行按摩时,听到“咔”一声后感手指剧痛,结合图像,最可能的诊断是()
A.血管瘤
B.骨囊肿
C.骨巨细胞瘤
D.上皮样囊肿
E.内生软骨瘤并骨折
258、单项选择题 下述“少年结肠息肉”特点,错误的是()
A.孤立性息肉发病率最高
B.孤立性息肉恶变率最高
C.6个以上息肉:少年结肠息肉病
D.居儿童结肠肿瘤发病首位
E.婴儿型发病率最低
259、单项选择题 早期化脓性关节炎的X线表现是()
A.血性积液
B.关节间隙变窄
C.关节纤维性强直
D.关节面破坏
E.关节间隙增宽
260、多项选择题 单侧肺水肿可见于()
A.长期一个方向侧卧
B.ARDS
C.缺氧
D.一侧胸腔积液放水过快、过多
E.一侧肺挫伤
261、单项选择题 疲劳骨折的最好发于()
A.股骨
B.跟骨
C.第二跖骨
D.耻骨
E.以上都不是
262、单项选择题
男,36岁,从高处摔下,足部受伤,结合图像,最可能的诊断是()
A.距骨骨折
B.跟骨骨折
C.骰骨骨折
D.舟状骨骨折
E.楔骨骨折
263、单项选择题 哪项不是椎体缺血坏死的X线所见()
A.椎间隙正常或稍增宽
B.椎体部分或全部塌陷,其前后径增大呈扁平状
C.椎体上、下缘压缩变形密度增高
D.椎体呈楔状,脊柱后突畸形呈圆驼状
E.许莫结节罕见
264、单项选择题 女性,41岁,吞咽困难3年,有时进流质困难,伴呕吐,胸骨后疼痛。X线检查:食管吞钡下端呈锥状狭窄,上端扩大;患者做跳跃动作时,钡剂呈间歇性以粗细不等的圆柱向胃内喷流,狭窄部有纵行规则的粘膜皱襞。首先应考虑为()
A.食管癌
B.食管憩室
C.贲门癌
D.贲门失弛缓症
E.食管平滑肌瘤
265、单项选择题 发病率最高的髓内肿瘤是()
A.少突胶质细胞瘤
B.脊膜瘤
C.血管性肿瘤
D.星形胶质细胞瘤
E.室管膜瘤
266、单项选择题 脊柱骨软骨瘤好发于()
A.棘突
B.横突
C.椎弓
D.椎体
E.小关节突
267、单项选择题 在股骨颈骨折并发症中,最常见的是()
A.骨感染
B.骨畸形
C.骨萎缩
D.骨缺血性坏死
E.以上都是
268、单项选择题 KerleyB线最常见于哪种疾病()
A.肺癌
B.肺结核
C.心房间隔缺损
D.二尖瓣狭窄
E.慢性支气管炎
269、单项选择题 左前斜位主动脉窗内不能见到下述哪一项()
A.肺动脉
B.降主动脉
C.气管分杈
D.左肺动脉
E.左支气管
270、单项选择题 子宫输卵管造影,正常宫腔容积平均为()
A.7ml左右
B.6ml左右
C.5ml左右
D.4ml左右
E.3ml左右
271、单项选择题 常伴“脊髓空洞症”的疾病是()
A.Moya-Moya病
B.神经鞘瘤
C.Dandy-Walker综合征
D.脊膜瘤
E.室管膜瘤
272、单项选择题
女婴,出现持续性呕吐,腹胀,如图所示,最可能的诊断为()
A.肠梗阻
B.肠扭转
C.肠闭锁
D.肠旋转不良
E.肠穿孔
273、单项选择题 下列不属于肺实质的是()
A.肺泡管
B.肺泡囊
C.肺泡
D.肺泡壁
E.肺泡间隔
274、单项选择题 腕部尺偏位,主要用于检查的是下列哪项()
A.掌骨
B.腕豆骨
C.腕舟骨
D.腕三角骨
E.腕钩骨
275、单项选择题 下列系统性红斑狼疮肺部影像学表现,哪项较具特征性()
A.胸膜增厚、胸腔积液
B.肺内游走性片状模糊影
C.双下肺网状结节影
D.肺门周围蝶翼状影
E.心影普遍增大
276、多项选择题 医学影像学发展的三个阶段指的是()
A.X线诊断学
B.X线的临床应用
C.放射诊断学的形成
D.整体放射学的建立
E.医学影像学的建立
277、单项选择题 恶性肿瘤的钙化特点是()
A.钙化比较分散
B.钙化的密度比较一致
C.钙化一般位于肿块内
D.钙化的边界清楚
E.钙化形态比较规则
278、多项选择题 骨纤维异常增殖症四肢躯干骨病变的X线表现为()
A.囊状膨胀性改变
B.磨玻璃样改变
C.丝瓜瓤(络)状改变
D.虫蚀样改变
E.地图样改变
279、单项选择题 甲状旁腺功能亢进早期骨骼改变是()
A.骨质密度减低
B.骨膜下骨质吸收
C.骨内囊状透亮区
D.病理性骨折
E.骨骼变形
280、单项选择题 下列X线防护知识,哪项不对()
A.机房有用射线束朝向墙厚度:不低于2mm铅当量
B.机房侧壁、顶壁墙厚度:不低于1mm铅当量
C.铅围裙等个人防护用品:不低于0.125mm铅当量
D.控制台屏敝室防护能力:不低于0.25mm铅当量
E.球管、病人间距不小于35cm
281、单项选择题 骨肉瘤的好发年龄是()
A.15岁以下
B.15~25岁
C.婴幼儿
D.25~40岁
E.40岁以上
282、单项选择题 骨性骨痂形成后还需进一步改建,在儿童此过程为()
A.1~2年
B.4~5年
C.6~9个月
D.9~12个月
E.4~6周
283、单项选择题 下列描述中,错误的是()
A.一般把慢性支气管炎、肺气肿、支气管哮喘及弥漫性细支气管炎统称阻塞性肺疾病
B.右肺中叶炎症时,右心缘第二弓不清称为剪影征阳性
C.先天性膈疝,多伴有肠扭转且固定
D.含气支气管征是在肺炎等病出现肺实质浸润时的表现
E.心脏病时左房压异常升高时出现KerleyB线
284、单项选择题
男,80岁,脐周隐痛反复发作半年,加重1月,体检:脐周压痛,以脐上为主,无反跳痛,结合图像,最可能的诊断为()

A.正常表现
B.胃炎
C.胃癌
D.笔杆征
E.降段憩室
285、单项选择题 有关骨折断端移位的描述中不正确的有()
A.横向移位为骨折远侧端向侧方或前后方移位
B.重叠移位为断端发生完全性移位后,因肌肉收缩而导致断端重叠,肢体短缩
C.断端分离为骨折断端之间距离增大
D.横向移位为骨折近侧端向侧方或前后方移位
E.断端嵌入为较细的骨干断端嵌入较宽大的干骺端或骨端的松质骨内
286、多项选择题 乳腺癌的特征性钙化具有哪些特点()
A.单位面积内数目较多
B.密集成簇
C.密度不一,浓淡不均
D.钙化粒微小
E.钙化位于肿块内或边缘部
287、单项选择题 青年女性,前纵隔囊性肿物,内有脂肪-液体平面,增强扫描出现边缘环状强化。最可能的诊断是()
A.脂肪瘤
B.胸腺瘤
C.淋巴瘤
D.囊性畸胎瘤
E.生殖细胞瘤
288、单项选择题 以下对比剂的描述,哪项不正确()
A.低密度对比剂称为“阴性”对比剂
B.高密度对比剂称为“阳性”对比剂
C.非离子型对比剂的渗透压比离子型的低
D.非离子型对比剂比离子型安全
E.欧乃派克、优维显是常用的离子型对比剂
289、单项选择题 拟诊上颌窦积液的患者应首选的摄影位置是()
A.俯卧瓦氏位
B.站立瓦氏位
C.汤氏位
D.柯氏位
E.头颅侧位
290、单项选择题 X线摄影中,对体位的描述均以解剖学姿势为准。 将人体纵切为左右两部分的切面为()
A.水平面
B.横切面
C.冠状面
D.额状面
E.矢状面
291、单项选择题 恶性肿瘤钙化的特点为()
A.钙化比较分散
B.钙化的密度比较一致
C.钙化的边界清楚
D.钙化一般位于肿块内
E.钙化形态比较规则
292、单项选择题 肱骨穿胸侧位,适用的病变是()
A.肱骨骨折
B.肱骨骨疣
C.肱骨骨髓炎
D.肱骨成骨肉瘤
E.肱骨外科颈骨折
293、单项选择题 肺淤血在平片上表现为()(1)肺门增大,血管边缘清楚(2)肺门增大,结构不清,血管边缘模糊(3)肺血管普遍扩张,边缘模糊,呈条纹状(4)肺内血管成比例增粗,边缘锐利(5)上肺静脉增粗,下肺静脉变细
A.(1)(2)(3)
B.(1)(3)(5)
C.(2)(4)(5)
D.(2)(3)(5)
E.(1)(3)(4)
294、多项选择题 哪些属半透异物()
A.钢
B.铝
C.矿砂
D.石片
E.玻璃屑
295、单项选择题 下述关于“肋骨先天性畸形”,哪项错误()
A.颈肋
B.腰肋
C.肋骨发育不全
D.肋软骨钙化
E.叉状肋
296、多项选择题 多发性骨软骨瘤出现哪些情况应高度怀疑恶变()
A.软骨帽增厚,发生于长骨者超过1cm
B.钙化软骨帽密度变淡,边界不清
C.瘤体内出现透亮区
D.远处出现转移性病灶
E.30岁以上的患者肿瘤体积突发性增大
297、多项选择题 有关人体的标准姿势正确的叙述是()
A.人体直立,两眼向前方平视
B.两下肢分离约30cm
C.掌心足尖向前
D.双上肢下垂置躯干两侧
E.两下肢并拢,足尖外展
298、单项选择题
男,18岁,肩部外伤,疼痛、活动受限,结合图像,最可能的诊断是()
A.肩关节盂下脱位
B.肩关节喙突下脱位
C.肩关节锁骨下脱位
D.肩锁关节脱位
E.肩关节未见脱位
299、多项选择题 肝脓肿的发病原因包括()
A.胆道炎症所致
B.经淋巴系统感染
C.腹腔内和胃肠道感染经门静脉进入肝脏
D.全身其他部位炎症经肝动脉进入肝脏
E.阿米巴原虫感染
300、多项选择题 先天子宫发育畸形包括()
A.鞍形子宫
B.半隔子宫
C.双角子宫
D.单角子宫
E.纵隔子宫