时间:2025-03-14 06:26:39


1、单项选择题 下腔静脉的主要属支有()
A.髂总静脉、肝静脉、肠系膜上静脉
B.髂总静脉、肝静脉、脾静脉
C.髂总静脉、肝静脉、肾静脉
D.髂总静脉、肾静脉、肠系膜下静脉
E.髂总静脉、肝静脉、门静脉
2、单项选择题 关于经阴道超声检查方法学的描述,下述哪一项是错误的()
A.子宫肌瘤较大时,应同时进行经腹超声检查
B.卵巢肿瘤位置较高时,应同时进行经腹超声检查
C.经阴道超声检查常用于胎儿心脏畸形诊断
D.与经腹超声相比,常能清晰显示子宫内膜形态
E.检查前需排空膀胱
3、单项选择题 不属于门体分流的方式是()
A.脾——肾静脉分流
B.前腹壁静脉分流
C.肾——结肠静脉分流
D.系膜——腔静脉分流
E.TIPS
4、单项选择题 下列哪些结构超声不易显示()①闭孔内肌②梨状肌③髂腰肌④髂窝三角
A.①
B.①②
C.①②③
D.①②③④
E.②③④
5、名词解释 CPA
6、单项选择题 下列关于卵巢滤泡囊肿的描述,哪项不对()
A.单侧卵巢发病
B.囊壁菲薄
C.囊液水样密度
D.直径多>5cm
E.可自行消失
7、单项选择题 人眼可区别多少级灰阶()
A.大约16级左右
B.32~64级
C.64级以上
D.256级以上
E.512级以上
8、单项选择题 羊水过少,超声诊断标准是羊水深度小于()
A.3cm
B.4cm
C.5cm
D.6cm
E.7cm
9、单项选择题 彩色多普勒血流显像图最常用于哪一些部位病变()
A.肝
B.胰
C.血管性病变
D.肿瘤
E.囊肿
10、单项选择题 锁骨下动脉盗血综合征最重要的超声诊断依据是()
A.患侧上肢脉搏减弱或消失
B.患侧上肢动脉二维图像无异常改变
C.患侧上肢动脉脉冲多谱勒频谱反向血流减少或消失,血流速度减慢
D.患侧椎动脉脉冲及彩色多谱勒呈现反向血流
E.患侧椎动脉仍存在舒张期正向血流
11、单项选择题
甲状腺的动脉血供来源于()
①颈外动脉分出两对甲状腺上动脉,分布甲状腺上部,CDFI容易显示
②颈内动脉分出两条甲状腺上动脉,分布甲状腺上部,CDFI容易显示
③锁骨下动脉分出两对甲状腺下动脉,分布甲状腺下部,CDFI不易显示
④锁骨下动脉分出两条甲状腺下动脉,分布甲状腺下部,CDFI不易显示
A.①③
B.②④
C.①④
D.②③
E.①③④
12、单项选择题 从子宫侧缘到盆腔的翼状双层腹膜反折将盆腔分成前后两个间隙,这一结构是()
A.输卵管
B.圆韧带
C.阔韧带
D.髂腰肌
E.主韧带
13、单项选择题
女,25岁,因急性胰腺炎禁食5天。声像图如图所示。结合超声声像图,诊断为()
A.胆囊泥沙样结石
B.胆囊内胆汁淤积
C.胆囊多发性息肉
D.胆囊多发性胆固醇结晶
E.胆囊癌
14、单项选择题 女性腹腔最低部位是()
A.子宫直肠窝
B.肝肾间隙
C.膀胱直肠窝
D.脾肾间隙
E.以上都不是
15、单项选择题 为了调节灰阶超声仪器的工作条件达到最佳状况,下列哪项内容不重要()
A.提高空间分辨力
B.提高时间分辨力
C.选择适当的图像前后处理及动态范围
D.调节M型的扫描速度
E.选择适宜的灰阶数
16、填空题 前置胎盘分为_______________、_______________、_________________和_______________。
17、判断题 孕12周后USG能清晰显示胎头,并可辨认颅内结构。
18、单项选择题
患者多处骨折,结合颈部超声图像,最可能的诊断是()
A.甲状腺瘤
B.甲状旁腺瘤
C.甲状旁腺增生
D.甲状旁腺癌
E.甲状腺炎
19、单项选择题 甲状腺超声探测时,哪一种方法不正确()
A.一般采取仰卧位
B.无需特殊准备及要求
C.必须加仿生模块
D.暴露颈前部
E.去除颈部项链
20、单项选择题 关于前置胎盘的超声诊断,下列哪一项是错误的()
A.过度膀胱充盈下检查准确性高
B.超声是胎盘定位首选方法
C.判断胎盘下缘
D.显示子宫颈,明确宫颈内口位置
E.确定胎盘下缘与子宫颈内口的关系
21、单项选择题 引起胎儿轻度肾盂肾盏扩张的原因是()
A.超声检查前,母亲摄入大量液体
B.胎儿肾脏利尿
C.胎儿膀胱过度充盈
D.输尿管收缩节律失调
E.以上都是
22、单项选择题 能量多普勒技术的临床应用特点,下列哪项是错误的()
A.显示湍流的能力明显提高
B.显示血流方向性提高
C.不受声速与血流夹角的影响
D.低速血流检测的敏感度增高
E.无彩色血流信号混叠现象
23、单项选择题
患者男46岁,既往有胆囊结石病史,上腹部疼痛不适年余,加重1个月,皮肤、巩膜轻度黄染,B超检查如图所示,根据超声声像图,诊断为()


A.胆囊结石并胆囊炎,肝血管瘤
B.胆囊结石并胆汁淤积,肝血管瘤
C.胆囊结石并胆囊癌,肝转移性癌
D.胆囊结石并肝癌
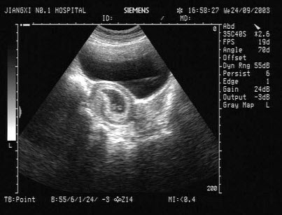
E.胆囊结石并胆息肉,肝转移性癌
24、问答题 肾上腺皮质腺瘤的声像图表现有哪些?
25、单项选择题
图中睾丸上方囊性回声为()
A.附睾囊肿
B.精索囊肿
C.睾丸附件囊肿
D.附睾附件囊肿
E.附睾炎
26、单项选择题 伴有前列腺增生的前列腺结石是哪种()
A.成堆小结石
B.成堆小结石,弧形结石型
C.弧形结石型,散在小结石
D.弧形结石型
E.散在小结石,单个大结石
27、单项选择题 妊娠达到或超过多少周称过期妊娠()
A.40周
B.41周
C.42周
D.43周
E.38周
28、单项选择题 男,26岁,4年前因车祸脾切除现无明显不适。超声检查见脾区有一类圆形结节,实质回声与脾脏相似,边界清楚。其可能的提示为()
A.血管瘤
B.陈旧性血肿
C.副脾
D.炎性肿块
E.以上都不是
29、单项选择题 二尖瓣血流频谱呈舒张早期单峰型频谱,提示()
A.二尖瓣狭窄合并关闭不全
B.二尖瓣狭窄合并肺动脉高压
C.二尖瓣狭窄合并房间隔缺损
D.二尖瓣狭窄合并右心功能不全
E.二尖瓣狭窄合并心房纤颤
30、填空题 腹主动脉瘤样扩张的最常见的形式呈_______什么形状。
31、单项选择题 女性生殖器结核最先侵犯的部位是()
A.外阴,其次是阴道
B.阴道,其次是宫颈
C.卵巢,其次是输卵管
D.子宫内膜,其次是输卵管
E.输卵管,其次是子宫内膜
32、单项选择题
女性,32岁,停经45天,B超检查如图,最可能的诊断为()
A.宫腔积液
B.宫体肌瘤
C.早期妊娠
D.子宫粘膜下肌瘤
E.卵巢囊肿
33、单项选择题 与原发性肝癌相比较,下列哪项最有利于继发性肝癌的诊断()
A.绕以较窄声晕的低回声结节
B.非癌组织呈肝硬化改变
C.门静脉内找到癌栓
D.中高回声结节周围有较宽弱回声环
E.中高回声结节
34、单项选择题 经胸骨上窝不可以检查哪种心血管结构()
A.主动脉
B.上腔静脉
C.降主动脉
D.右肺动脉
E.下腔静脉
35、单项选择题 腹膜后淋巴结弥漫肿大,超声表现为()
A.钙化
B.囊性改变
C.蜂窝状
D.锯齿状
E.以上均是
36、单项选择题 从移动的发射体获得的多普勒频移()
A.当多普勒入射角接近0°时最大
B.是发射和接收频率之和
C.多普勒角度为90°时最强
D.多普勒角度小于90°时为负向频移
E.是频率的平方根
37、单项选择题 在骨软骨瘤的声像图上,于软骨帽的周围可出现无回声区,使软骨帽本身回声反射更加明显,无回声区的组织结构是()
A.软骨膜
B.骨性肿块
C.滑液囊
D.移位的血管
E.假性动脉瘤
38、问答题 女性内生殖器官的正常超声测值是多少?
39、单项选择题 临床常用E峰流速,A峰流速,E/A比值及IVRT反映下列哪项()
A.左心局部舒张功能
B.左心整体舒张功能
C.左心收缩功能
D.右心收缩功能
E.心肌传导功能
40、单项选择题 异位妊娠发生于输卵管妊娠的百分率是()
A.30%
B.50%
C.70%
D.80%
E.95%
41、单项选择题 TGC是下列哪一名词的英文缩写()
A.组织增益特性
B.时间增益补偿
C.信号发生器控制
D.温度发生器控制
E.以上均不正确
42、单项选择题 超声探头的换能作用是()
A.电能转换成光和热
B.电能转换成机械能或机械能转换成电能
C.机械能转换成辐射
D.声转换成超声
E.电能转换成声能
43、单项选择题 女性生殖器官最常见的良性肿瘤是()
A.子宫肌瘤
B.卵巢皮样囊肿
C.卵巢浆液性囊腺瘤
D.卵巢黏液性囊腺瘤
E.以上都不是
44、单项选择题
男,63岁,因左侧腰部疼痛不适伴无痛血尿1月余就诊,B超显示左肾集合系统分离3.9cm,如图所示,最可能的诊断为()
A.左输尿管结石
B.左输尿管癌
C.左输尿管炎性狭窄
D.左输尿管畸形
E.左输尿管血块
45、单项选择题 鉴别囊肿与实性肿瘤最可靠的依据是()
A.边界光滑,整齐与否
B.外形是否圆形或椭圆形
C.内部无回声或有回声
D.后方回声增强与否
E.边界回声、外形、内部回声、后方回声综合分析
46、单项选择题
超声检测甲状腺周围可显示哪些重要结构()
①4条颈前肌群,由前至后依次为胸锁乳突肌、颈阔肌、胸骨舌骨肌、胸骨甲状肌
②2条颈前肌群,前外方为胸锁乳突肌、甲状腺前方为胸骨甲状肌
③颈动脉鞘:位于甲状腺两侧叶旁,内有颈内静脉、颈总动脉、迷走神经
④颈动脉鞘:位于甲状腺左、右叶旁、内有颈外静脉、颈内动脉、交感神经
⑤甲状旁腺:位于甲状腺背面上下极、左右各2枚
⑥甲状旁腺:位于甲状腺腹侧上下极、左右各1枚
⑦喉返神经、喉上神经
⑧喉返神经、食管
A.②④⑥⑧
B.①④⑥⑦
C.②③⑤⑧
D.①③⑤⑦
E.③④⑥⑦
47、单项选择题
在两种不同介质的界面上,决定反射量的因素是()
①折射系数
②超声波频率
③声特性阻抗
A.①
B.②
C.③
D.②③
E.①②③
48、单项选择题 超声观察几周,胎囊不增大,应考虑胚胎停止生长()
A.<1周
B.1~2周
C.2~3周
D.3~4周
E.4周以上
49、单项选择题 关于睾丸肿瘤的论述,下列哪项是正确的()
A.睾丸肿瘤有生殖细胞性、间质细胞性、转移性三大类
B.生殖细胞性肿瘤45%为恶性
C.生殖细胞性肿瘤中以精原细胞瘤最常见
D.间质细胞性、转移性肿瘤约占35%
E.生殖细胞性肿瘤的转移途径主要是血行转移,其次为淋巴转移
50、单项选择题
男性,65岁,排尿困难,尿线细,滴淋,尿后不尽感等症状,如图所示。最可能的诊断为()
A.膀胱癌
B.前列腺增生
C.前列腺肉瘤
D.前列腺癌
E.前列腺炎
51、单项选择题 下列哪一项不是早孕超声观察的内容()
A.妊娠囊
B.胎芽
C.胎儿搏动
D.胎儿心脏结构
E.卵黄囊
52、名词解释 M模式
53、单项选择题 无回声见于()
A.胆汁
B.尿液
C.胸腹水及漏出液
D.羊水
E.以上都正确
54、名词解释 探头
55、单项选择题
女性,28岁,停经3个月,阴道不规则出血20余天。妇检:子宫体积大于停经周数,宫旁触及囊性肿块。血HCG2200μg/ml,结合超声图像,最可能的诊断为()
A.囊腺癌
B.囊腺瘤
C.黄体囊肿
D.黄素囊肿
E.皮样囊肿
56、单项选择题
患者体检发现肝脏体积增大,超声见右叶巨大的强回声光团,边界见声晕,门脉见实质性光团充填,如图所示,考虑为()
A.肝癌并门脉癌栓
B.肝脓肿
C.肝囊肿
D.肝结核
E.肝血管瘤
57、单项选择题 用脉冲多普勒技术除哪项外均可增大检测血流速度最大值()
A.降低发射频率
B.增大COSθ角度
C.减低取样深度
D.移动零位基线
E.减小COSθ角度
58、单项选择题 下列关于反射系数的描述中,错误的是()
A.两种介质声阻抗相同时,反射系数为0
B.两种介质声阻抗相差很大时,反射系数大
C.两种介质声阻抗只要有1‰的差异就会产生反射回波
D.声束垂直于界面入射时可得到最佳反射效果
E.当一种介质声阻抗值很小时,反射系数总是很小
59、单项选择题 关于CDE,以下正确的是()
A.成像对超声入射角的相对非依赖性
B.可显示高速血流
C.可显示血流的方向
D.常出现彩色信号混叠现象
E.对平均速度为零的灌注区血流难以显示
60、单项选择题 子宫内膜异位症常发生在()
A.子宫肌层内
B.子宫直肠陷凹
C.卵巢
D.子宫骶骨韧带
E.腹壁瘢痕内
61、单项选择题
女,34岁,B超检查,盆腔内可见一肿块,声像图如下,最可能的诊断为()
A.巧克力囊肿
B.畸胎瘤
C.炎性包块
D.宫外孕
E.附件囊肿
62、单项选择题 肝豆状核变性与下列哪项元素代谢失常有关()
A.锌
B.铁
C.硒
D.铜
E.铝
63、单项选择题 由于入射波束与曲面相互作用造成伪像并产生声影,称为()
A.幻影伪像
B.边缘伪像
C.“彗星尾征”伪像
D.振铃伪像
E.混响伪像
64、单项选择题
男性,60岁,排尿不适,无痛性血尿,膀胱声像图如图,根据图中表现及所标志的体位,最可能的超声诊断为()
A.膀胱息肉
B.膀胱结石
C.膀胱癌
D.膀胱血块
E.前列腺癌
65、单项选择题 检查下肢深静脉病变应采取什么体位()
A.仰卧位
B.仰卧位,俯卧位
C.头高脚低位
D.仰卧位,头高脚低位
E.俯卧位,头高脚低位
66、单项选择题 对从外周血管行左心腔超声造影原理的叙述,哪一项是正确的()
A.经股动脉注入造影剂
B.造影剂经腔静脉直接进入左心
C.造影剂微气泡的直径小于10μm
D.造影剂微气泡直径大于10μm
E.必须用白蛋白包裹空气的造影剂
67、单项选择题 心血管系的超声造影检查应用,下列哪项是错误的()
A.观察左向右分流
B.测量室壁增厚率
C.观察右向左分流
D.使心内膜界限清楚
E.观察瓣膜返流
68、单项选择题
一腹痛患者,根据右下腹声像图表现,最可能的诊断是()
A.肠梗阻
B.阑尾炎
C.正常阑尾
D.结肠癌
E.肠套叠
69、多项选择题 眼眶蜂窝织炎USG表现为()
A.球后脂肪垫扩大
B.内回声均匀
C.内回声不均匀
D.病灶周边不规则
E.与周围组织界限不清楚
70、问答题 二尖瓣关闭不全时,彩色多谱勒超声心动图有哪些表现?
71、单项选择题 双胎间输血综合征声像图特点是()①受血儿小,心脏小,羊水少,羊膜囊间隔膜薄,仅见两条脐血管②受血儿大,1/4胎儿有水肿,10%~25%胎儿有胸腹水,心包积液,多数肌张力低,羊水多③供血儿大,1/4胎儿有水肿,10%~25%胎儿有胸腹水,心包积液,多数肌张力低,羊水多④供血儿小,心脏小,羊水少,羊膜囊间隔膜薄,仅见两条脐血管
A.①②
B.②④
C.①④
D.②③
E.①②④
72、单项选择题
超声示双侧睾丸内见多个点状强回声光斑,弥漫性分布。如图所示,考虑为()
A.睾丸囊肿
B.睾丸结石
C.睾丸结核
D.睾丸微石征
E.睾丸附睾炎
73、单项选择题
女性,28岁,停经46天,阴道不规则出血5天。血HCG68μg/ml。结合超声图像,最可能的诊断为()
A.畸胎瘤
B.附件炎性包块
C.子宫浆膜下肌瘤
D.宫外孕
E.囊腺瘤
74、单项选择题 能量多普勒的优点是()
A.帧频更高
B.对微弱的多普勒信号更敏感
C.计算流速更准确
D.计算流量更准确
E.混叠
75、单项选择题 肝脓肿的超声表现不正确的是()。
A.病灶为单发或多发的回声或无回声区
B.脓肿壁薄厚不等,内壁不光滑
C.脓肿后壁见回声明显衰减
D.脓肿侧壁见回声失落
E.脓肿周围见环状水肿带
76、单项选择题 绒毛膜癌是恶性滋养叶疾病中恶性程度最高的肿瘤,百分之几继发于葡萄胎()
A.20%~30%
B.40%~50%
C.60%~70%
D.>80%
E.10%~20%
77、单项选择题 下列肾脏疾病哪一项不属于肾先天性异常()
A.重复肾
B.肾发育不良
C.马蹄肾
D.肾自截
E.异位肾
78、单项选择题
某近视患者,眼部碰伤后,视物不清。眼部超声如图,最可能的诊断为()
A.视网膜完全脱离
B.视网膜局限性脱离
C.眼内异物
D.玻璃体血块
E.以上均不对
79、单项选择题 肝豆状核变性与下列哪项元素代谢失常有关()
A.锌
B.铁
C.硒
D.铜
E.铝
80、单项选择题
该图蓝色血流信号表示()

A.动脉血
B.静脉血
C.血流方向背离探头
D.血流方向朝向探头
E.以上均不是
81、单项选择题 下列哪一项很少与肾积水相混淆()
A.多囊肾
B.肾错构瘤
C.中央型肾囊肿
D.肾窦脂肪过多
E.正常肾盂
82、单项选择题 频谱多普勒超声可直接测量的血流参数是()
A.阻力指数(RI)
B.压力阶差(PG)
C.搏动指数(PI)
D.收缩/舒张期速度比(S/D)
E.收缩期峰值速度(Vs)
83、单项选择题 下列对阴囊内结构描述不正确的是()
A.由皮肤、肉膜及肌肉组成
B.在正中线形成阴囊隔,分左右两囊
C.无结构
D.内有睾丸、附睾、精索
E.睾丸鞘膜腔内有少量液体
84、单项选择题 肥厚型梗阻性心肌病,下列正确的是?()
A.室间隔及左室后壁明显增厚,左房内径增大
B.二尖瓣前叶(SAM)征象
C.主动脉瓣中期关闭现象
D.左室流出道高速射流
E.以上都是
85、单项选择题 声像图毗邻回声一般不包括下述哪项()
A.病变与毗邻脏器间有无粘连、挤压
B.病变是否侵犯周围邻近脏器
C.有无周围淋巴结肿大,周围血管有无异常
D.有无继发性管道扩张(胆管等)
E.邻近脏器是否有器质性病变
86、单项选择题
图中所示肿瘤最有可能是哪部位的占位()
A.肝脏
B.腹膜
C.肠道
D.膈肌
E.胰腺
87、问答题 肾结核的声像图表现有哪些?
88、单项选择题 电子扫描探头的种类包括()
A.线阵探头、扇形扫描探头、环阵扇扫探头
B.线阵探头、凸阵探头、相控阵探头
C.凸阵探头、旋转式扫描探头、相控阵探头
D.线阵探头、旋转式扫描探头、凸阵探头
E.相控阵探头、环阵扇扫探头、凸阵探头
89、单项选择题 关于心尖四腔切面以下哪项不正确()
A.探头置心尖呈水平扫查
B.图像近场为心尖,远场为心底
C.十字交叉位于心脏中间处
D.左心室在右侧,右心室在左侧
E.可清晰显示左右房室瓣的活动
90、多项选择题 灰阶断面图像的伪影(伪差)有()
A.混响
B.部分容积效应
C.旁瓣效应
D.折射声影
E.声速差异伪像
91、单项选择题 闪烁伪像表现为()
A.无血流但出现彩色信号
B.有血流但彩色信号缺失
C.有血流但彩色信号过多
D.血流方向显示有误
E.血流速度显示有误
92、单项选择题 探头直接向空气发射,声像图上近场有均匀条状回声显示,因为()
A.折射
B.衍射
C.增益太大
D.增益太小
E.多重反射
93、单项选择题 葡萄胎声像图表现,下述哪一项是错误的()
A.25~60%伴发黄素囊肿
B.子宫大于孕期
C.蜂窝状声像图示特异性超声所见
D.需与过期流产相鉴别
E.刮宫后黄素囊肿持续存在2月是诊断恶性葡萄胎的依据
94、单项选择题 以下哪项不是诊断急性胆囊炎的标准()
A.胆囊结石
B.Murphy征阳性
C.胆囊壁厚<3mm
D.胆囊积液
E.胆囊内胆泥淤积
95、单项选择题 桥本甲状腺炎的声像图表现是()
A.两叶不规则肿大,边缘模糊不清,峡部厚度相对正常
B.多数可见大小不等的结节回声
C.结节周围见环状血流,并见丰富分支伸入结节内
D.甲状腺实质光点粗,分布不均,回声低,对增益调节不大敏感
E.以上都对
96、单项选择题 关于卵巢黏液性囊腺瘤声像图表现的描述,下列哪项不正确()
A.囊壁均匀性增厚
B.无回声区内有细小点状回声
C.少数有乳头状物
D.直径多在10cm以上
E.增厚的囊壁可向周围浸润
97、单项选择题 法洛四联征诊断中,下列何者最为重要()
A.M型UCG
B.彩色血流显像
C.二维UCG
D.频谱多谱勒
E.心肌造影
98、单项选择题 以下声像图显示()
A.振铃效应
B.声影
C.旁瓣效应
D.部分容积效应
E.镜像效应
99、多项选择题 USG检查主要适用于()
A.实质脏器外伤
B.空腔脏器外伤
C.肠套叠
D.急性胰腺炎
E.急性阑尾炎
100、单项选择题
该病例最可能的诊断()

A.主动脉窦瘤
B.主动脉瓣脱垂
C.主动脉瓣下狭窄
D.主动脉瓣畸形
E.以上都不是
101、单项选择题
该病例最可能的诊断()

A.二尖瓣腱索断裂
B.二尖瓣赘生物
C.黏液瘤
D.二尖瓣脱垂
E.二尖瓣断裂
102、判断题 非梗阻性肥厚型心肌病患者M型超声心动图常见到SAM征。
103、单项选择题 M型超声心动图的二尖瓣水平波群可观察哪种结构的运动曲线()
A.主动脉瓣曲线
B.乳头肌曲线
C.主动脉根部曲线
D.肺动脉瓣曲线
E.二尖瓣前叶、后叶曲线
104、单项选择题 下列不符合胎死宫内颅骨声像图改变的是()
A.胎儿头皮水肿
B.胎儿颅骨变形、重叠
C.胎儿颅骨塌陷
D.胎头消失,无法检测
E.胎头轮廓不规则
105、单项选择题 等容收缩期在心动周期指的是什么时间()
A.左心室被快速充盈的时间
B.二尖瓣关闭到主动脉瓣开放的时间
C.左心室血液快速射入主动脉的时间
D.左心室被缓慢充盈的时间
E.肺动脉被右心室血液充盈的时间
106、单项选择题 下列哪一项不是胎儿十二指肠闭锁的超声表现()
A.双泡征
B.双泡征中大的无回声区是胃泡
C.双泡征中小的无回声区是十二指肠
D.羊水过多
E.结肠扩张
107、单项选择题 超声造影检测外周血管异常,下列哪一项是错误的()
A.动脉血栓形成使血流充盈缺损
B.静脉血栓形成使血流充盈缺损
C.动脉扩张时血流明显加速
D.动脉狭窄时血流变细
E.动脉闭塞时无血流显示
108、单项选择题 超声检查断面包括()。
A.纵断面
B.横断面
C.斜断面
D.冠状断面
E.以上都正确
109、单项选择题 B型显示指的是()
A.基本调制器
B.声束运动
C.声束调制器
D.辉度调制
E.幅度调制器
110、单项选择题 超声诊断仪的工作环境,下列哪项不宜()
A.监视器避免阳光直射
B.整机不应放置在高温,潮湿环境
C.用紫外线照射或消毒液对探头消毒
D.使用稳压器,保持正常供电
E.远离高电场,高磁场
111、单项选择题 四肢血管正常的多谱勒频谱是()
A.单相波
B.双相波、单相波
C.双相波
D.三相波
E.单相波、三相波
112、单项选择题 以下彩色血流显像的特点哪一项不对()
A.血流方向朝向探头,显示红色
B.血流方向背离探头,显示蓝色
C.血流流速越高,显示的亮度越亮
D.血流出现紊流时显示为红蓝相杂的五彩色
E.动脉血流显示为红色,静脉血流为蓝色
113、填空题 死胎USG表现为__________________________、_______________________、______________________________、_________________________________、___________________和_____________。
114、单项选择题 关于胰腺假性囊肿的叙述错误的是()
A.由胰腺周围积液组成
B.发病后4—6周形成
C.内壁为上皮组织
D.可合并感染
E.可合并有囊壁钙化
115、单项选择题
女性,41岁,有阵发性高血压病史,超声检查如图所示,该病例最可能诊断()
A.腺瘤
B.肾脏肿瘤
C.嗜络细胞瘤
D.髓样脂肪瘤
E.肾上腺转移瘤
116、判断题 颈部海绵状血管瘤USG动态观察其大小,随体位移动固定不变。
117、单项选择题
一患者,发热,右上腹痛,血常规检查白细胞增多。结合超声声像图,诊断为()
A.肝脓肿
B.肝血管瘤
C.肝癌
D.脂肪肝
E.肝囊肿
118、问答题 前列腺癌的声像图表现有哪些?
119、单项选择题 黏液表皮样癌的声像图表现是()
A.腮腺区可探及囊性病灶
B.病灶界限边缘不清,轮廓不完整
C.病灶以液性回声为主,内部可见不均质低回声与致密较强回声交错分布
D.液性回声中出现致密较强回声团块
E.以上都是
120、单项选择题 腹部纵断面扫查的解剖标志为()
A.以腹正中线或背部正中线为标志
B.以乳突肌正中线为标志
C.以第7肋间隙为标志
D.可随意取标志线
E.以上都不对
121、单项选择题 腹围主要反应哪个内脏器官发育情况()
A.胃
B.脐静脉
C.肾
D.肝
E.脾
122、单项选择题 男性,血尿时伴尿中断,最可能的诊断为()
A.膀胱血块
B.膀胱结石
C.膀胱肿瘤
D.膀胱憩室
E.膀胱壁钙化
123、单项选择题 正常肢体动脉的血流频谱形态是()
A.宽频三峰递减型血流频谱
B.低阻力型血流频谱
C.高阻力型血流频谱
D.三相血流频谱
E.收缩期双峰、舒张期三峰血流频谱
124、填空题 常见的腹膜后恶性肿瘤有________、________、__________、_________。
125、单项选择题 心包肿瘤最重要的超声所见是()
A.在心包脏层或壁层有形状不规则的团块状回声
B.心包增厚、钙化
C.心包腔内有条索状回声
D.心包有大量积液
E.心包脏层、壁层有粘连
126、单项选择题 男性,30岁,已婚不育,超声显示:左侧阴囊内多条管状结构,CDFI为静脉频谱,管径大于3mm,最可能的诊断是()
A.斜疝
B.附睾炎
C.阴囊血肿
D.精索静脉曲张
E.睾丸肿瘤
127、单项选择题
超声于左侧附睾头可探及圆形的无回声暗区,边清。如图所示,考虑为()
A.附睾头囊肿
B.附睾附件
C.睾丸囊肿
D.附睾尾囊肿
E.精索鞘膜积液
128、单项选择题 关于声强的表述中,不正确的是()
A.声强指超声束在单位时间内通过单位截面积的能量
B.声强的单位可用瓦特每cm表示
C.空间峰值脉冲平均声强大于最大声强
D.最大瞬间声强大于最大声强
E.空间峰值时间平均值声强与脉冲持续时间和脉冲重复频率有关
129、单项选择题
男性,60岁,无痛性血尿,腰部疼痛,该病例最可能的诊断()
A.肾错构瘤
B.肾脏局灶性炎症
C.肾周围脓肿
D.肾脏肿瘤
E.肾母细胞瘤
130、单项选择题 肾积水声像图的表现下列哪一项是错误的()
A.肾盂回声分离
B.肾体积可增大
C.肾实质可变薄
D.肾窦内可出现强回声团伴声影
E.肾实质内出现无回声区
131、单项选择题
根据胎儿四维成像技术,图中结构为()
A.胎儿颜面部
B.胎儿上肢及背部
C.胎儿臀部
D.胎儿下肢
E.胎儿胸部
132、单项选择题 胡桃夹综合征是()
A.肠系膜下静脉受压迫综合征
B.右肾静脉受压迫综合征
C.左肾静脉受压迫综合征
D.肠系膜上静脉受压迫综合征
E.下腔静脉受压迫综合征
133、单项选择题 患者28岁,为室间隔缺损,左向右分流,用彩色多普勒技术检查分流血流,对仪器的调节,下述哪一项是错误的()
A.低通滤波
B.高频(7MHz以上)电子相控阵探头
C.电子线阵探头(5MHz以上)
D.高速档速度标尺(高脉冲重复频率)
E.彩色图选用两色彩图
134、单项选择题 频谱多普勒对检测血流的用途是()
A.精确测定血流宽度
B.测定血管壁的厚径
C.确定血流方向
D.确定是什么脏器的动脉血管
E.可单独测定血流量
135、单项选择题 肝破裂分为()
A.真性、假性破裂2类
B.包膜下血肿、肝中央破裂2类
C.包膜下血肿、肝中央破裂、真性肝破裂3类
D.包膜下血肿、肝中央破裂、真性、假性肝破裂4类
E.肝中央破裂1类
136、填空题 儿童的管状骨的超声声像为:皮质为____________,骨髓腔为_________________,远处骨皮质显示为_______________,表面的关节软骨为__________。
137、单项选择题 骨巨细胞瘤在病理学上既有良性又有恶性,其恶性比率是()
A.10%
B.20%
C.40%
D.60%
E.80%
138、单项选择题 下列哪项是3D成像的原理()
A.利用光学原理与系统进行3D成像
B.利用光学系统和图像叠加原理
C.利用计算机辅助进行3D重建
D.基于二维平面重建
E.以上均是
139、单项选择题 下列对前列腺增生描述错误的是()
A.中叶是增生好发部位
B.两侧叶是增生好发部位
C.后叶是增生好发部位
D.前叶较小,无临床意义
E.中叶位于精阜上方,尿道与射精管之间
140、单项选择题 关于房间隔缺损的血流频谱,哪项不对()
A.应采用CW检测
B.显示为正向湍流频谱
C.始于收缩中晚期
D.持续全舒张期
E.分流速度在60~80cm/s以上
141、单项选择题 二尖瓣关闭不全的超声诊断要点是()
A.左室变小
B.收缩期显示左室倒流入左房的血流
C.升主动脉狭窄后扩张
D.肺动脉变小
E.二尖瓣口变小
142、单项选择题 二尖瓣关闭不全M型超声心动图时检查时哪项表现有错误()
A.二尖瓣叶增厚、活动受限
B.关闭时二尖瓣叶不能合拢
C.左心房及左心室增大
D.左心室壁运动增强
E.左心房、右心室增大
143、单项选择题 在舒张期,压力最低的腔室是()
A.心室
B.心房
C.主动脉
D.肺动脉
E.腔静脉
144、单项选择题 超声仪典型的脉冲重复频率为()
A.1Hz
B.10Hz
C.100Hz
D.1000Hz
E.1MHz
145、单项选择题
患者腹痛3小时,超声检查左下腹显像如图,诊断可能为()
A.肠道扩张
B.肠道肿瘤
C.肠套叠
D.肠道蛔虫症
E.肠结核
146、单项选择题 除哪一项外,以下结构在肾窦内均可见到()
A.主肾盏
B.肾锥体
C.小肾盏
D.肾盂血管
E.以上都是
147、单项选择题
女,28岁,无任何不适,体检。声像图如图所示,诊断为()
A.胆囊结石
B.胆囊息肉
C.胆囊胆固醇结晶
D.胆囊腺瘤
E.胆囊癌
148、单项选择题 孕31周前胎头双顶径平均每周增长约()
A.4cm
B.3cm
C.3mm
D.4mm
E.1cm
149、填空题 冠心病的并发症有__________、______________、________________和_______________________。
150、多项选择题 机械指数在不同器官要求的限值不同,正确的是()
A.设定得越低越好
B.通常调到1.0以下
C.对胎儿应调到0.3以下
D.对眼应调到0.1以下
E.对神经系统组织应调到0.5以下
151、判断题 羊水量在300ml以下称羊水过少;羊水量在800ml以上为羊水过多。
152、单项选择题 在左心长轴切面无法显示下列哪种结构()
A.左心室
B.右心室
C.左心房
D.右心房
E.主动脉
153、单项选择题 肝囊肿的声像图表现,下列哪一项是错误的()
A.囊壁薄而光滑
B.囊壁较厚,光滑,呈双层
C.侧壁出现回声失落
D.后方回声增强
E.彩色多普勒显示囊壁处短条状血流信号
154、单项选择题 主动脉压与肺动脉压有什么不同()
A.肺动脉平均压稍小于主动脉压
B.肺动脉压大于主动脉压
C.主动脉压明显高于肺动脉压
D.主动脉压与肺动脉压相等
E.主动脉压小于肺动脉压
155、单项选择题 尿路梗阻对肾脏造成危害中,哪一项是错误的()
A.尿路任何部位的梗阻均可造成肾积水
B.单侧肾积水是上尿路梗阻所致,双侧肾积水多为下尿路梗阻所致
C.梗阻部位越低,对肾脏造成危害的时间越快
D.肾外肾盂积水时,肾盂向外扩张,肾实质受影响慢
E.巨大肾积水均为长期部分性尿路梗阻所致
156、单项选择题 Doppler技术,可应用于()
A.检测血流类型
B.检测血流类型、血流方向和流速
C.检测血流类型、血流方向和流速、许多动静脉系统的病变
D.检测血流类型、许多动静脉系统的病变
E.血流方向和流速
157、单项选择题
如图所示,该频谱为下列那支血管的频谱特点()

A.颈外动脉
B.颈内动脉
C.颈总动脉
D.颈内静脉
E.椎动脉
158、单项选择题 关于肾上腺皮脂腺瘤,下列说法错误的是()
A.单侧多见
B.多呈圆形或椭圆形
C.边界清楚
D.低回声结节
E.双侧多见
159、单项选择题 除哪一项外,均可为肝脏脂肪浸润表现()
A.肝大
B.一个局灶性高回声肿块
C.血管结构减少
D.透声减少
E.回声增强
160、单项选择题
女性,25岁,停经35周。产前超声检查,图像显示的是胎儿的()
A.脊柱
B.四肢
C.颜面部
D.胸腔
E.腹腔
161、单项选择题 干下型室间隔缺损在二维超声显像检查时有什么表现()
A.右心房扩大
B.肺动脉变窄
C.胸骨左缘右室流出道长轴切面上,显示室缺位于肺动脉瓣下
D.心尖五心腔切面图显示室缺在三尖瓣膈瓣下方
E.显示主动脉骑跨
162、问答题 超声诊断游走肾的依据是什么?
163、单项选择题 中期妊娠是指()
A.妊娠12周末以前
B.妊娠13~27周末
C.妊娠第28~40周
D.妊娠12周末
E.妊娠13~27周末以前
164、单项选择题 下列哪一项不是影响超声传播速度的因素?()
A.声阻系数
B.频率
C.介质密度
D.温度
E.介质弹性
165、问答题 肾上腺嗜铬细胞瘤的声像图表现有哪些?
166、单项选择题
该病例最可能的诊断()

A.右室流出道狭窄
B.室间隔缺损
C.主动脉右冠窦瘤破裂
D.主动脉右冠瓣脱垂
E.房间隔膨出瘤
167、单项选择题
患者,男,8岁,因腹痛伴呕吐1个月,持续加重1周入院,行心脏及腹部超声检查,下图为胸骨上窝大动脉长轴切面,根据图像显示,该患者最有可能诊断为()

A.动脉导管未闭
B.主-肺动脉间隔缺损
C.主动脉缩窄
D.肺动脉狭窄
E.室间隔缺损
168、单项选择题 羊水过少常与哪一种胎儿先天异常并发()
A.食管闭锁
B.胆管异常
C.无脑儿
D.肾发育不全
E.肠部分闭锁
169、问答题 先天性肾畸形的声像图表现有哪些?
170、单项选择题 无并发症的急性附睾炎声像图特征是()
A.附睾头局限性无回声,内有低回声
B.附睾均匀性增大内回声低于正常
C.附睾均匀性增大内回声高于正常
D.阴囊肿大伴局限性或普遍性附睾增厚
E.附睾均匀性增大,血流稀疏
171、单项选择题 畸胎瘤内容物可由下列哪些组织构成()①脂肪②毛发③骨骼④牙齿
A.②③④
B.①②③
C.①③④
D.①②③④
E.①③
172、单项选择题 超声能检出阴道哪一部位肿瘤()
A.上1/3
B.中1/3
C.下1/3
D.中下部
E.以上都是
173、单项选择题
女,52岁,右上腹不适,CT示卵巢占位,结合超声声像图,诊断为()
A.肝囊肿
B.肝包虫病
C.转移性肝癌
D.肝脓肿
E.肝血管瘤
174、单项选择题
女性,29岁,停经28周,产前超声检查如图,最可能的诊断为()
A.胎儿畸形,脑积水
B.胎儿畸形,腹壁裂
C.胎儿畸形,室间隔缺损
D.胎儿畸形,无脑儿
E.胎儿畸形,露脑畸形
175、单项选择题 正常妊娠期大约多少天()
A.200天
B.230天
C.280天
D.320天
E.360天
176、单项选择题 子宫内膜异位症的确诊方法是()
A.盆腔检查触及小结节
B.输卵管通液检查通畅
C.腹腔镜检查
D.性激素治疗试验有效者
E.宫腔碘油造影见憩室状阴影
177、单项选择题 测量双顶径时,如果中线回声呈连续而不中断,说明扫查平面()
A.正常
B.太高
C.太低
D.探头损坏
E.以上都不是
178、单项选择题
男,70岁,上腹胀痛,腹膨隆。脾大,门静脉增宽。结合超声声像图,诊断为()
A.肝血管瘤
B.肝癌
C.血吸虫肝纤维化并腹水
D.肝脓肿
E.脂肪肝
179、单项选择题 扫查锁骨下动脉较适宜的探头频率是()
A.2.0MHz
B.2.5MHz
C.5.0MHz
D.10.0MHz
E.12MHz
180、单项选择题 早期妊娠能用下列哪种检查诊断()
A.透视
B.摄片
C.CT
D.B超
E.脑血管造影
181、单项选择题
如图,36周胎儿,最可能的诊断是()
A.正常声像图
B.脑疝
C.脑积水
D.泪滴状侧脑室
E.以上都不是
182、单项选择题 镰状韧带的肝内部分()
A.走行于下腔静脉与胆囊之间
B.伴腹水时可见到
C.连接肝脏至小网膜囊
D.走行于门静脉矢状部左侧与腹壁之间
E.走行于肝左静脉与腹壁之间
183、多项选择题 卵巢癌USG声像图表现为()
A.盆腹腔内较大肿块,可为双侧性
B.肿块形态不规则,边界不清
C.肿块回声杂乱
D.分隔形成的带状回声厚薄不均
E.可发现肿瘤的腹膜种植及肝转移等异常
184、单项选择题 胎儿腹裂的临床特点与声像图表现,下列哪项是错误的()
A.肠管凸入脐带内
B.位于脐带入口处右侧
C.一般还伴有染色体异常
D.肠管漂浮于羊水当中
E.要注意观察脐血管入腹壁处
185、单项选择题
患者,右下腹压痛,体温38.5℃。根据右下腹声像图表现,诊断是()
A.腹膜炎
B.结肠癌
C.阑尾脓肿
D.单纯性阑尾炎
E.腹水
186、单项选择题 脑室率的测量方法是()
A.中线至颅骨内缘距离/中线至侧脑室壁距离
B.中线至侧脑室壁距离/中线至颅骨内缘距离
C.侧脑室之间距离/颅骨内缘之间距离
D.颅骨内缘之间距离/侧脑室之间距离
E.以上都不是
187、单项选择题 当扫查一位青年人时,发现肝脏内有一个增强回声,这提示最可能是()
A.海绵状血管瘤
B.肝癌
C.肝囊肿
D.脓肿
E.炎性假瘤
188、单项选择题
女性,18岁,月经不来潮就诊。超声检查如图,最可能的诊断为()
A.畸胎瘤
B.先天性无子宫
C.子宫肌瘤
D.双子宫
E.始基子宫
189、单项选择题
该病例最可能的诊断()

A.右室流出道狭窄
B.肺动脉瓣狭窄
C.室间隔缺损
D.右室双腔心
E.以上都不是
190、单项选择题 羊水量少于多少毫升称羊水过少()
A.300~400ml
B.1000ml
C.15000ml
D.2000ml
E.1500ml
191、单项选择题 如果脉冲重复频率是10KHz,下面哪种多普勒频移可导致混叠()
A.2KHz
B.3KHz
C.4KHz
D.5KHz
E.6KHz
192、单项选择题 葡萄胎声像图上,多数直径3~5mm无回声囊泡,最大可能是()
A.宫腔积液
B.水肿绒毛
C.胎儿组织
D.黄体囊肿
E.钙化
193、单项选择题 肺动脉高压时肺动脉血流频谱特点不包括下列哪一项()
A.频谱流速峰值前移
B.加速时间缩短
C.加速度加快
D.射血时间(ET)缩短
E.射血前期(PEP)缩短
194、单项选择题 哪一项最可能引起声影()
A.胆囊
B.充液肿物
C.钙化性肿物
D.膀胱
E.实性肿物
195、单项选择题 羊水过多,超声诊断标准是羊水深度大于()
A.5cm
B.6cm
C.7cm
D.10cm
E.4cm
196、单项选择题 不宜用哪种技术提高多普勒检测灵敏度()
A.降低发射超声波的基础频率
B.提高接收线路的信噪比(S/N)
C.选择最佳的探头位置及角度
D.增加超声波发射的输出强度
E.提高多普勒增益
197、单项选择题 经产妇,末次月经不详,超声测量胎囊最大直径是1cm,计算孕龄是()
A.4~5周
B.8周
C.10周
D.10~12周
E.9周
198、单项选择题
女,51岁,纳差、消瘦。结合超声声像图,诊断为()
A.胰腺癌
B.腹膜后肿块
C.胰岛细胞瘤
D.胃癌
E.胰腺炎
199、单项选择题
女性,39岁,胃癌术后。妇科检查:两附件区触及包块。超声检查如图,最可能的诊断为()
A.囊腺癌
B.囊腺瘤
C.黄体囊肿
D.转移性卵巢癌
E.无性细胞瘤
200、单项选择题
患者,男,右下腹有压痛,时有腹泻。结合超声声像图,诊断是()
A.溃疡性结肠炎
B.结肠癌
C.阑尾脓肿
D.肠结核
E.肠梗阻
201、单项选择题
图为外伤后伤者脾脏图像,诊断为()
A.中央型脾破裂
B.真性脾破裂
C.包膜下血肿
D.脾肿瘤
E.脾梗死
202、单项选择题 颈内动脉血流频谱形态为()
A.低阻力频谱
B.高阻力频谱
C.舒张期三峰频谱
D.宽频毛刺样频谱
E.窄频三峰递减型频谱
203、单项选择题 下列对超声诊断仪的维护和保养措施中,哪项是错误的()
A.防尘
B.防潮
C.自行拆卸仪器
D.防高温
E.减少震动
204、单项选择题 灰阶超声波的回声来源是()
A.超声波的全反射
B.超声波的背向散射及反射
C.超声波的衍射和折射
D.超声波的多普勒效应
E.超声波的绕射
205、单项选择题 横跨下腔静脉在肝门处进入肝脏的结构是()
A.肝静脉
B.胆总管
C.肝动脉
D.门静脉
E.胆囊管
206、单项选择题 孕几周前后超声可检测到多胎妊娠()
A.6周
B.7周
C.8周
D.9周
E.10周
207、单项选择题 妇科肿瘤的病人,应进一步扫查下列哪个器官()
A.脾
B.乳腺
C.肝
D.肾
E.心脏
208、单项选择题 输出功率与输入功率的比称为()
A.功率
B.强度
C.电压
D.增益
E.频率
209、单项选择题 布-加综合征是指()
A.门脉高压发生阻塞产生的症候群
B.充血性心衰所致的功能性肝静脉流出道阻塞
C.下腔静脉闭塞产生的一系列症候群
D.肝与右心房之间肝静脉或下腔静脉阻塞引起肝静脉回流受阻产生的一系列症候群
E.上腔静脉闭塞产生的一系列症候群
210、单项选择题
男28岁,胸部疼痛1周余,神清,心律齐,超声心动图如下,根据图片应提示()

A.单心室
B.心内膜垫缺损
C.三尖瓣上移
D.三尖瓣下移
E.三尖瓣狭窄
211、单项选择题 根据子宫肌瘤与子宫肌壁的关系可分为()①宫颈肌瘤②肌壁间肌瘤③浆膜下肌瘤④粘膜下肌瘤
A.①③④
B.②③
C.②③④
D.①②③④
E.①②③
212、单项选择题 男性,40岁,脾脏肿大,回声轻度减低,实质内探及多个圆形低回声及无回声结节,边界清楚。可提示诊断为()
A.脾恶性淋巴瘤
B.脾结核
C.脾梗死
D.脾血管瘤
E.脾转移癌
213、单项选择题 主动脉弓离断的临床及超声表现不包括()
A.主动脉弓部以下连续中断
B.动脉导管连接肺动脉与降主动脉
C.常合并室间隔缺损
D.常不伴有肺动脉高压
E.可无导管未闭的杂音
214、单项选择题 胰头的钩突部后方为下腔静脉,前方为()
A.门静脉
B.胆总管
C.肝动脉
D.肠系膜上动脉
E.肠系膜上静脉
215、单项选择题 角度对超声多谱勒的影响,下列哪项不对()
A.速度矢量与超声夹角影响流速的检测
B.角度增大时,频谱振幅被压缩
C.当角度为零时,频谱无法检测
D.检测时应选择合适部位以减小角度对测量的影响
E.血流量测定,角度造成6%的误差是临床所允许的
216、单项选择题 下列哪种是多数有家族性的先天性肝脏疾病()
A.孤立性囊肿
B.梗阻性黄疸
C.多囊肝
D.肝脓肿
E.脂肪肝
217、单项选择题
图中的胎盘为()
A.完全性前置胎盘
B.部分性前置胎盘
C.边缘性前置胎盘
D.低置胎盘
E.以上都不是
218、单项选择题
某患者舒张期二尖瓣口心动图所示,提示()

A.二尖瓣狭窄
B.二尖瓣关闭不全
C.二尖瓣脱垂
D.正常声像图
E.二尖瓣赘生物
219、单项选择题 彩色多普勒血流显像主要与下列哪项因素有关()
A.与血流中的血红蛋白含量有关
B.与血流中的白细胞移动有关
C.与血流中的血小板移动有关
D.与血流中的红细胞移动有关
E.与血脂高低有关
220、单项选择题 移植肾正常声像图表现()
A.肾窦增大
B.较正常肾脏回声更多
C.皮质薄而髓质锥体增加
D.与正常肾脏声像图一致
E.常位于肾窝内
221、单项选择题
该病例最可能的诊断()

A.右室双出口并室间隔缺损
B.主动脉骑跨
C.室间隔缺损
D.大动脉异位
E.左室双出口
222、单项选择题
某孕妇胎儿颈部可探及下列图像,最可能的诊断为()
A.脐带绕颈
B.胎盘早剥
C.先天畸形
D.正常结构
E.脐带搭颈
223、单项选择题 腮腺炎的声像图表现是()
A.不同程度的弥漫性肿大
B.急性期轮廓不清,呈低回声
C.腮腺血流信号增多
D.慢性期界限清晰,呈强回声
E.以上都是
224、单项选择题 彩色多普勒检查时使用低速标尺的主要作用()
A.便于检查流量大小
B.消除彩色信号混叠
C.消除彩色信号的闪烁
D.能显示低速血流
E.能显示高速血流
225、单项选择题
根据超声图像,该病例最可能诊断为()
A.膀胱结石
B.膀胱血块
C.膀胱异物
D.膀胱肿瘤
E.腺性膀胱炎
226、单项选择题 门脉海绵样变的原因()①门脉高压②门脉血栓③门脉癌栓④门脉闭塞
A.①
B.②③
C.①②③④
D.④
E.①②③
227、单项选择题 彩色多普勒血流成像时,使用高通滤波器的主要作用是()
A.便于检测低速血流
B.精确显示血流方向
C.增大检测深度
D.增大血流速度显示范围
E.减少低速信号干扰
228、单项选择题
超声检查如图,最可能的诊断是()
A.致死性骨发育不全
B.内翻足
C.羊膜带综合征
D.骨硬化症
E.并指(趾)畸形
229、判断题 慢性泪腺炎USG显示泪腺呈杏核状增大,边界清楚,内回声中等或较弱。
230、问答题 超声对于“无功能肾”的检查有何临床意义?
231、单项选择题
该图箭头显示图像为()

A.左心耳
B.肺静脉
C.右心耳
D.上腔静脉
E.下腔静脉
232、填空题
二维超声检查颈动脉,如图,动脉管壁上异常光团,考虑_______。

233、名词解释 “WES”征
234、单项选择题
该病例最有可能诊断()

A.左房黏液瘤
B.主动脉瓣关闭不全
C.二尖瓣狭窄
D.二尖瓣关闭不全
E.二尖瓣脱垂
235、单项选择题
反射回来的超声信号的强度决定于()
①被反射回来的超声量
②超声的衰减
③声波进入界面的入射角度
A.①②
B.②③
C.①③
D.①②③
E.以上都不对
236、单项选择题
为了计算一个反射物的距离,必须知道()
①传播速度
②脉冲往返时间
③反射因素
A.①②③
B.①②
C.①③
D.②③
E.①
237、单项选择题 以下哪项不属于左冠状动脉()
A.窦房结动脉
B.对角支
C.穿支
D.前降支
E.左旋支
238、单项选择题 急性胆囊炎可伴有()①右上腹痛②Murphy征阳性③结石嵌顿于胆囊管④发热及白细胞升高
A.①
B.①②
C.①②③
D.②④
E.以上各项均是
239、问答题 超声如何判断肾积水的严重程度?
240、单项选择题
女性,25岁,停经35周。产前超声检查,图像显示的是胎儿的()
A.脊柱
B.肢体
C.颜面部
D.胸腔
E.胎头
241、单项选择题
该男,30岁,血压正常范围,心电图正常,T3,T4正常,该病例最可能的诊断()

A.冠心病
B.高血压心脏病晚期
C.甲状腺功能亢进型心脏病
D.扩张型心肌病
E.肥厚性心肌病
242、单项选择题 下列哪一项是腹水影响肝脏声像图的情况()
A.没有影响
B.肝脏回声显示增强
C.腹水使声波衰减导致肝回声减弱
D.肝内管状结构不清
E.肝脏形态改变
243、单项选择题 功能失调性子宫出血的特点是()①由于调节生殖的神经内分泌机制失常引起的异常子宫出血②临床表现是不规则子宫出血、月经量多、贫血③超声表现为子宫均匀性增大,子宫内膜增厚④卵巢一般多萎缩、变小、功能下降
A.①
B.①②
C.①②③
D.①②③④
E.②④
244、单项选择题 在胎儿胸部同一平面,正常胎儿心脏横径与胸部横径的比值应小于()
A.0.32
B.0.42
C.0.52
D.0.62
E.0.25
245、单项选择题 最不适用于成人颅脑超声检查的探头频率是()
A.2.0MHz
B.2.5MHz
C.3.5MHz
D.4.0MHz
E.5.0MHz
246、单项选择题
患者男56岁,上腹部不适1年余,B超检查如图所示,根据超声声像图,诊断为()
A.胆囊结石
B.胆囊息肉
C.胆囊癌
D.胆囊腺瘤
E.胆囊腺肌瘤
247、单项选择题 双胎间输血综合征主要发生在()
A.双卵双胎
B.单卵双胎
C.A和B均是
D.A和B均不是
E.以上都不是
248、单项选择题 关于彩色多普勒血流成像下述哪一种性能是正确的()
A.能显示平均速度为零的灌注区的血流
B.血流成像对超声入射角度的相对非依赖性
C.不出现彩色血流信号混叠
D.不能显示血流速度快慢
E.能显示血流方向
249、单项选择题 压电效应只有通过哪种材料才能表现出来()
A.金属材料
B.水晶不对称材料
C.天然存在的材料
D.塑料材料
E.合金材料
250、单项选择题 经腹超声测量正常成人前列腺的大小约()
A.长3cm,宽4cm,厚2cm
B.长4cm,宽3cm,厚2cm
C.长3cm,宽4cm,厚3cm
D.长2cm,宽3cm,厚4cm
E.长2cm,宽4cm,厚3cm
251、单项选择题
超声检查如图所示,该病例最可能诊断()
A.肾多囊性发育异常
B.肾肿瘤
C.肾囊肿
D.多囊肿
E.肾局限性积水
252、单项选择题 超声测量双顶径影响准确性的因素有()①选择测量平面不标准②胎头方位③胎头头型④羊水过少
A.①
B.①②
C.①②③
D.①②③④
E.①③④
253、判断题
某患者外伤后下阴疼痛就诊,根据睾丸彩色多谱勒图,诊断该患者睾丸血流信号稀少。

254、单项选择题
女,24岁,已婚未育,体检时B超检查,如图所示,最可能的诊断为()
A.右附件实质性包块
B.左附件实质性包块
C.子宫肌瘤
D.双子宫
E.纵隔子宫
255、单项选择题 下肢静脉的静脉瓣功能不全,观察有无返流及其速度快慢,首选下述哪种技术()
A.彩色多普勒血流显像
B.二维灰阶超声显像
C.多普勒能量图
D.M型超声
E.超声造影
256、单项选择题
结合超声图像,该病例肾结石为哪一部位()
A.下极肾盏
B.中极肾盏
C.上极肾盏
D.肾门
E.肾乳头处
257、单项选择题 当介质的粒子运动平行于声波传播方向时称发射波为()
A.纵波
B.切变波
C.表面波
D.兰姆波
E.横波
258、多项选择题 胆囊癌的USG可分为哪些类型()
A.小结节型
B.蕈伞型
C.厚壁型
D.混合型
E.实块型
259、单项选择题 前列腺超声检测的最佳途径是()
A.经腹壁探测法
B.经尿道探测法
C.经会阴探测法
D.经直肠探测法
E.以上都不是
260、单项选择题 目前临床上腹部最常用的超声仪器是()
A.A型超声仪
B.B型超声仪
C.D型超声仪
D.M型超声仪
E.以上都不是
261、单项选择题 胆囊结石的典型声像图表现,不包括()
A.胆囊腔内形态稳定的强回声团
B.后方伴声影
C.强回声团随体位改变而移动
D.可单发或多发
E.胆囊缩小
262、单项选择题 足月孕期宫内胎盘的厚度平均为()
A.1.2~1.5cm
B.2.6~2.9cm
C.3.6~3.8cm
D.4.2~4.4cm
E.5.0~6.0cm
263、单项选择题 声像图中,形成强回声,其后方有声影的是()
A.皮肤
B.脂肪
C.纤维组织
D.结石
E.实质脏器
264、单项选择题
患者,男,50岁,发热半月余,全身不适,乏力,食欲不振。根据超声心动图,最可能的诊断是()


A.风湿性心脏病
B.感染性心内膜炎
C.老年退行改变
D.主动脉瓣狭窄
E.冠心
265、填空题 腹主动脉夹层,夹层发生在______层。
266、单项选择题 肝脏局部脂肪浸润的常见部位是()
A.邻近胆囊窝的肝实质
B.ReiDel’s叶
C.邻近右肾上腺的肝实质
D.邻近右肾的肝实质
E.邻近膈顶的肝实质
267、单项选择题 超声波是如何发生的()
A.换能器的逆压电效应
B.换能器的压电效应
C.换能器向人体发送电信号
D.换能器的热效应
E.换能器的磁效应
268、单项选择题
男,48岁,上腹胀痛,纳差,血吸虫病多年。结合超声声像图,诊断为()

A.血吸虫肝纤维化
B.脂肪肝
C.细菌性肝脓疡
D.肝豆状核变性
E.肝炎
269、单项选择题 哪一类扫查可以显示以上肾脏图形()
A.横向扫查
B.经肝纵向扫查
C.肋缘下斜行扫查
D.背部纵向扫查
E.经侧腰部冠状扫查
270、单项选择题 患者绝经后不规则阴道出血,声像图无明显改变,应怀疑什么疾病,最后确诊要靠哪项检查()
A.粘膜下小肌瘤,血HCG
B.子宫内膜小息肉,诊断性刮宫
C.早期子宫肉瘤,血HCG
D.早期子宫内膜癌,诊断性刮宫
E.粘膜下小肌瘤,宫腔镜检
271、单项选择题 左心腔超声造影用直径小于红细胞的造影剂,下述哪一项错误()
A.造影剂从末梢静脉经腔静脉进入右心
B.造影剂进入右心后通过肺循环
C.造影剂通过肺循环经肺静脉进入左心腔
D.经外周动脉注入造影剂
E.经末梢静脉注入造影剂,通过肺毛细血管网从静脉回右心
272、单项选择题 下列哪项是葡萄胎灰阶图像的特征()
A.暴风雪状
B.小囊状
C.斑点状
D.钙化
E.以上全部
273、单项选择题 下列哪一支血管不是右冠状动脉的分支()
A.右圆锥支
B.后降支
C.左回旋支
D.右室后支
E.右冠状动脉主干
274、单项选择题 关于彩色多普勒血流伪像的阐述中,不正确的是()
A.声束垂直于血流方向时无血流信号显示
B.取样容积过小使血流“溢”出血管壁外
C.彩色增益过高使血流“溢”出血管壁外
D.清除闪烁伪像的最佳方法是屏气暂停呼吸
E.彩色增益过低可导致血流信号过少
275、单项选择题 关于卵巢无性细胞瘤,下列哪一项是错误的()
A.卵巢恶性生殖细胞实性肿瘤
B.常见于儿童及青年妇女
C.肿瘤彩色多普勒血流显像可显示丰富血流
D.卵巢实性良性肿瘤
E.卵巢少见肿瘤
276、单项选择题 Reidel叶是一种正常肝脏变异,其定义是()
A.肝左叶的伸长
B.尾状叶的舌状伸长
C.肝右叶的舌状伸长
D.肝左外叶的舌状伸长
E.肝方叶的舌状伸长
277、单项选择题 中等水平回声见于()
A.肝实质
B.骨骼
C.胆结石
D.肌腱
E.血管壁
278、问答题 肾移植术后肾排异的声像图表现有哪些?
279、单项选择题 正常腮腺的解剖部位是()
A.咀嚼肌前部的皮下,下颌后窝
B.下颌前窝,外耳道下方
C.上抵颧弓,下达下颌肌后部,相当耳屏水平
D.前缘位于咀嚼肌后部,后壁位于乳突部
E.前缘位于咀嚼肌中部,后界位于胸锁乳突肌后缘
280、单项选择题 宫内早孕声像图特点是()①子宫增大②宫腔内可见妊娠囊③妊娠囊内可见胚芽④妊娠囊内可见胎心搏动
A.①
B.①②
C.①②③
D.①②③④
E.③
281、单项选择题 下列哪一项不是经阴道超声检查的禁忌证()
A.未婚女性
B.月经期
C.阴道炎症
D.盆腔肿块
E.阴道畸形
282、问答题 肾结石的声像图表现有哪些?
283、单项选择题 当声频在20kHz以上的我们称为()
A.超声
B.次声
C.可听声
D.不可听声
E.以上均不是
284、单项选择题 下列哪项不是盆腔良性肿瘤()
A.卵巢纤维瘤
B.皮样囊肿
C.库肯勃瘤
D.子宫内膜腺肌瘤
E.子宫浆膜下肌瘤
285、单项选择题
男,37岁,健康体检,偶感上腹不适。声像图如图所示,诊断为()
A.胆囊结石
B.胆囊息肉
C.胆汁淤积
D.胆囊腺瘤
E.胆囊癌
286、单项选择题
该病例最可能的诊断()

A.高血压病
B.主动脉瓣上缩窄
C.主动脉瓣上膜性狭窄
D.瓣上环形狭窄
E.肥厚性心肌病
287、单项选择题 频率加倍则波长是()
A.增大4倍
B.增大2倍
C.减半
D.与波长无关
E.增大1倍
288、单项选择题
患者,女性,转移性右下腹疼痛4小时,超声见一长条低回光团,边界不清,如图所示,考虑为()
A.肝管结石
B.胆囊炎
C.附件炎
D.阑尾炎
E.肠梗阻
289、单项选择题 脐带绕颈可造成()①胎儿宫内窘迫②危及胎儿生命③胎儿延迟入盆④胎儿宫内发育迟缓
A.①
B.①②
C.①②③
D.①②③④
E.①④
290、单项选择题 最不适于超声波检查的器官是()
A.肺段
B.乳房
C.前列腺
D.甲状腺
E.肝
291、单项选择题 前列腺增生CDFI改变()
A.前列腺内血流丰富,可见增生结节旁有动脉血流环绕
B.前列腺内未见血流信号
C.前列腺内呈少血流改变
D.前列腺内可见丰富的静脉血流信号
E.以上都不是
292、单项选择题
某患者肝脏及下腔静脉肝段内见异常回声。声像图表现如图,诊断为()
A.艾森曼格综合征
B.布加综合征
C.麦格综合征
D.川畸病
E.马方综合征
293、单项选择题 二维超声检测颅内的占位病变,下列哪个部位检出最困难、容易出现假阴性结果()
A.颞叶
B.额叶
C.枕叶
D.顶叶
E.第四脑室周围
294、单项选择题 彩色多普勒能量图的成像原理为()
A.血流速度
B.信号强度
C.血流方向
D.速度变化
E.速度方向
295、问答题 膀胱憩室的声像图表现有哪些?
296、单项选择题
根据肝脏声像图表现,最可能的诊断是()
A.原发性肝癌
B.血吸虫肝
C.结节性肝硬化
D.肝炎
E.不均匀性脂肪肝
297、单项选择题 输卵管哪个部位妊娠具有严重的潜在并发症()
A.峡部
B.壶腹部
C.漏斗部
D.间质部
E.以上都不是
298、单项选择题 指出混响伪像产生的条件哪项是最正确的()
A.仪器增益灵敏度调节过高
B.仪器的时间增益补偿(TGC)调节不当
C.声束遇到组织内金属异物,在异物中引起来回反射
D.探头声束通过肺气或肠气引起气体反射
E.探头声束垂直投射到平整的界面,在探头与平整界面间引起来回反射。
299、单项选择题 孕8~9周时,胎盘的外形常呈()
A.半月形
B.长圆形
C.扁圆形
D.细长条形
E.菱形
300、单项选择题 前列腺的分叶及分区()
A.前列腺分左、右侧叶、后叶、中叶、前叶;内、外腺两区
B.前列腺分左、右侧叶、后叶、中叶、前叶;内腺尿道周围组织和移行区、外腺周缘区和中央区
C.前列腺分左、右侧叶;内、外腺两区
D.前列腺分左、右侧叶;后、中、前区
E.前列腺分左、右侧叶;内、中、外腺三区