时间:2025-03-14 04:15:17


1、单项选择题 左心室的解剖结构及其与邻近结构的关系,哪一项是错误的()
A.左室流入道
B.左室流出道
C.左室壁
D.左房室口、通过房室口与左心房相连
E.与肺动脉连接
2、单项选择题 下列哪一项不是慢性输卵管积水声像图表现()
A.多在双侧附件区出现纺锤性肿块
B.肿块边缘较清晰,呈薄壁状
C.肿块间隔及囊壁较厚,多为实性
D.肿块内部呈明显无回声区
E.与子宫周围粘连严重时可与子宫直肠陷凹积液连成一片包围子宫
3、单项选择题 门脉高压时,反向压力可导致脾()
A.肿大并充血
B.脾门淋巴结肿大
C.梗死
D.萎缩
E.占位
4、单项选择题 前列腺超声检测的最佳途径是()
A.经腹壁探测法
B.经尿道探测法
C.经会阴探测法
D.经直肠探测法
E.以上都不是
5、单项选择题 心血管和外周血管造影现代的方法是()
A.经胃肠灌注
B.经直肠灌注
C.皮下注射
D.静脉注射
E.口服
6、单项选择题 下述葡萄胎病理特点,哪项不对()
A.绒毛膜促性腺激素分泌增加
B.半数患者,子宫比同月妊娠大
C.1/4患者,子宫比同月妊娠小
D.多为恶性,易转移
E.半数患者,双侧黄素囊肿
7、问答题 肝硬化超声声像图表现?
8、单项选择题 长期肾积水时肾最常见的声像图是()
A.吹胀的袋状无回声
B.无回声分隔
C.椰菜花状无回声
D.哑铃状无回声
E.巨大囊肿型
9、单项选择题 中孕时双顶径每周增长多少可诊断胎儿宫内生长迟缓()
A.<2mm
B.2.0mm~2.5mm
C.2.6mm~3.0mm
D.3.1mm~3.5mm
E.3.6mm~4.0mm
10、单项选择题 中年女性,突发上腹疼痛,伴恶心、呕吐,超声显示胆囊多发结石,胰腺肿大,轮廓不清,回声减低,周围见少量液性暗区,最可能的诊断是()
A.急性胰腺炎
B.慢性胰腺炎
C.急性胃炎
D.急性胆囊炎
E.急性胆管炎
11、单项选择题
某患者阴囊增大,自诉用力时阴囊可增大,平卧缩小,无外伤史。B超检查超声声像图如下,最可能的诊断为()
A.鞘膜积液
B.附睾炎性包块
C.斜疝
D.附睾结核
E.股疝
12、单项选择题 超声换能器将________能转换成_________能()
A.机械,声
B.电,机械能
C.热,声
D.任意能,电
E.电,热
13、单项选择题 目前了解胎儿状态的影像诊断学方法首选的是()
A.腹部平片
B.磁共振检查
C.腹部透视
D.B超检查
E.CT检查
14、单项选择题 膀胱肿瘤的分期标准是根据()
A.肿瘤大小
B.肿瘤侵犯膀胱壁的深度
C.临床症状
D.肿瘤部位
E.有无肾积水
15、单项选择题 下列哪一项不是卵巢非赘生性囊肿()
A.滤泡囊肿
B.皮样囊肿
C.黄体囊肿
D.黄素囊肿
E.多囊卵巢
16、单项选择题 频谱多普勒超声检测到从零位基线向上的血流频谱,表明血流是()
A.反向的动脉血流
B.反向的静脉血流
C.流向探头的血流
D.背离探头的动脉血流
E.背离探头的静脉血流
17、单项选择题
女性,36岁,行常规超声妇科体检。声像图表现如图。血HCG为2258μg/ml。最可能的诊断是()
A.绒癌
B.子宫腺肌瘤
C.早期妊娠
D.子宫肌瘤
E.良性葡萄胎
18、单项选择题 哪些是目前常用的热切除物理能源()
A.射频
B.激光
C.高强度聚焦超声
D.微波
E.以上均是
19、单项选择题
女性,39岁,胃癌术后。妇科检查:两附件区触及包块。超声检查如图,最可能的诊断为()
A.囊腺癌
B.囊腺瘤
C.黄体囊肿
D.转移性卵巢癌
E.无性细胞瘤
20、单项选择题 约50%宫内生长迟缓的胎盘表现为()
A.小胎盘
B.大胎盘
C.胎盘水肿
D.无异常
E.环形胎盘
21、单项选择题 患者下肢水肿、心悸,该病例诊断最可能是()
A.心包积液
B.心包缩窄
C.心包肿瘤
D.室壁瘤
E.限制性心肌病
22、单项选择题
如图,根据胎儿颈部声像图,最可能的诊断是()
A.脊柱裂
B.脑膜膨出
C.淋巴管囊肿
D.单脐动脉
E.正常图像
23、单项选择题
患者男46岁,既往有胆囊结石病史,上腹部疼痛不适年余,加重1个月,皮肤、巩膜轻度黄染,B超检查如图所示,根据超声声像图,诊断为()


A.胆囊结石并胆囊炎,肝血管瘤
B.胆囊结石并胆汁淤积,肝血管瘤
C.胆囊结石并胆囊癌,肝转移性癌
D.胆囊结石并肝癌
E.胆囊结石并胆息肉,肝转移性癌
24、单项选择题 正常成人妇女的乳房(不包括胸壁和肌肉)在超声断面图上,主要分为几部分()
A.3部分
B.4部分
C.5部分
D.6部分
E.7部分
25、单项选择题 鉴别巨大卵巢囊肿与腹水,下列哪种检查方法是禁忌的()
A.超声检查
B.腹部X线平片
C.胃肠道造影
D.腹腔镜检查
E.检测腹部移动性浊音
26、单项选择题 超声检测妊娠囊内首先显示的结构是()
A.卵黄囊
B.胚芽
C.羊膜囊
D.胚盘
E.心管
27、单项选择题
女,23岁,停经45天,阴道无异常分泌物,子宫附件声像图如下,图中所示为()
A.正常早孕孕囊及胚外体腔
B.双胎妊娠双孕囊
C.难免流产
D.子宫肌瘤
E.早孕并宫腔积液
28、单项选择题 前列腺的分叶及分区()
A.前列腺分左、右侧叶、后叶、中叶、前叶;内、外腺两区
B.前列腺分左、右侧叶、后叶、中叶、前叶;内腺尿道周围组织和移行区、外腺周缘区和中央区
C.前列腺分左、右侧叶;内、外腺两区
D.前列腺分左、右侧叶;后、中、前区
E.前列腺分左、右侧叶;内、中、外腺三区
29、单项选择题 检查表浅器官选用下列哪个频率()
A.2.0~2.5MHz
B.2.5~3.0MHz
C.3.0~3.5MHz
D.3.5~5.0MHz
E.7.5~10.0MHz
30、单项选择题
女性,26岁,停经29周,产前B超检查如图,超声诊断为()
A.胎盘早期剥离
B.正常中期妊娠
C.胎儿脐带绕颈
D.胎儿畸形,腹壁裂
E.畸胎瘤
31、单项选择题 慢性胰腺炎声像图表现,下列哪一项不正确()
A.轮廓不清
B.边界常不规则
C.实质回声增强,分布不均
D.主胰管不扩张
E.胰管内可见强回声,后方伴声影
32、单项选择题 下列哪种超声检测方法诊断宫内死胎最可靠()
A.多参数实时扫查
B.多普勒
C.M型
D.音频数据
E.二维超声
33、名词解释 全数字化超声诊断仪
34、单项选择题 凸阵扫描探头,临床常用于何部位的检查()
A.腹部
B.乳房
C.睾丸
D.甲状腺
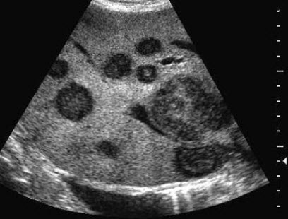
E.头颅
35、单项选择题
患者男56岁,上腹部不适1年余,B超检查如图所示,根据超声声像图,诊断为()
A.胆囊结石
B.胆囊息肉
C.胆囊癌
D.胆囊腺瘤
E.胆囊腺肌瘤
36、单项选择题 用7MHz~10MHz高频探头,检查正常阴囊的主要内容物是()
A.睾丸、附睾及精索
B.睾丸、附睾及输精管
C.睾丸、附睾
D.附睾、精索
E.睾丸、附睾头及睾丸附件
37、问答题 子宫内膜癌的声像图表现有哪些?
38、单项选择题 胎头指数是指胎儿双顶径与什么的比值()
A.股骨长度
B.枕额径
C.腹围
D.头围
E.胸围
39、单项选择题 关于界面反射的描述,正确的是()
A.第二种介质的声阻抗大小决定反射声能的大小
B.反射角大于入射角
C.折射角小于入射角
D.折射的产生是入射角过小的缘故
E.声强反射系数为零时,超声将全部透射过界面
40、单项选择题 下列对肥厚型梗阻性心肌病超声所见的叙述,哪一项是错误的()
A.主动脉瓣收缩中期部分关闭
B.室间隔厚径明显增厚
C.左室后壁厚径增厚,但增厚程度小于室间隔
D.心室壁呈弥漫性向心性肥厚
E.室间隔厚径与左室后壁厚径比值大于1.5
41、单项选择题
某患者脾脏声像图表现如图,诊断为()
A.正常脾脏
B.脾大
C.脾破裂
D.脾梗死
E.以上都不是
42、单项选择题
扇形扫查仪的缺点有下列哪几种()
①在所有平面上缺乏焦点变化性
②缺乏探头操作灵活性
③探头口径太小
A.①②③
B.①③
C.①②
D.②③
E.以上都不是
43、单项选择题 超声波在人体不同组织的衰减程度不同,明显衰减时,其后方回声消失而出现()。
A.反射
B.声影
C.混响
D.折射
E.增强效应
44、单项选择题 中期妊娠羊膜穿刺适应证是()①有畸胎史者②高龄孕妇③不明原因流产、早产史者④夫妇中有染色体异常疾病及家族史
A.①
B.①②
C.①②③
D.①②③④
E.②③④
45、单项选择题 若两侧副中肾管没有汇合或汇合不完全,除形成双子宫、双角子宫外,还有()
A.鞍形子宫
B.全隔子宫
C.残角子宫
D.重复子宫
E.始基子宫
46、单项选择题 关于原发性视网膜脱离的描述,正确的是()
A.亦称孔源性视网膜脱离
B.是一种原因不明的视网膜层间分离
C.视力减退,相应的视野缺乏
D.眼底检查可发现视网膜灰色隆起
E.以上都对
47、单项选择题 门脉高压最常见的原因是()
A.肝静脉梗阻
B.胆总管梗阻
C.肝硬化
D.肝大
E.肝动脉梗阻
48、多项选择题 灰阶断面图像的伪影(伪差)有()
A.混响
B.部分容积效应
C.旁瓣效应
D.折射声影
E.声速差异伪像
49、单项选择题 下列哪项与甲状腺腺瘤无关()
A.圆形或椭圆形肿物,边缘光滑,有包膜,周围有晕征
B.内部为实性低回声、增强回声、等回声
C.囊性变或出血时呈混合性回声,甚至无回声,乳头状囊腺瘤的囊壁可见乳头状或团块状突起
D.肿物后方回声明显衰减
E.肿物周边声晕处可见丰富的动静脉血流,内部乳头上可见少量血流分布
50、单项选择题
患者女76岁,上腹部胀痛不适半年余,加重1周。剑突下B超检查如图所示,根据超声声像图诊断为()
A.胃癌
B.胃溃疡
C.肾癌
D.结肠癌E、胃炎
E.胆总管蛔虫
51、单项选择题 鉴别眼球内的异物为金属还是非金属,最有效的方法是()
A.窗试验法
B.彩阶显示法
C.灰阶直方图法
D.超声磁性试验
E.漂浮试验
52、单项选择题 胚胎发育分几期,分别是哪些期,超声最早在哪期可显示胎囊()
A.Ⅲ期,孕卵期、胚胎期、胎儿期;胚胎期
B.Ⅱ期,孕卵期、胎儿期;胎儿期
C.Ⅱ期,胚胎期、胎儿期;胎儿期
D.Ⅱ期,孕卵期、胚胎期;胚胎期
E.Ⅲ期,孕卵期、胚胎期、胎儿期;孕卵期
53、单项选择题
该病例最有可能诊断是()

A.原发孔房缺
B.继发孔房缺
C.冠状静脉窦隔缺损
D.部分性肺静脉畸形引流
E.部分型心内膜垫缺损
54、判断题 子宫畸形可导致不孕、流产和早产等表现。
55、单项选择题 对肾动脉狭窄的描述,错误的是()
A.高血压可伴腰背部疼痛
B.肾动脉内记录到高速低阻的血流信号
C.腹背部听到血管杂音
D.晚期患侧肾脏体积缩小
E.狭窄后肾内动脉血流加速时间延长,加速度减小
56、单项选择题 胎儿双侧肾积水声像图表现是()①膀胱增大②下尿路梗阻③上尿路梗阻④膀胱缩小
A.①
B.①②
C.③④
D.①②③④
E.③
57、单项选择题 非镜面反射()
A.当界面大于波长时发生
B.当界面小于波长时发生
C.发生于类镜面表面
D.取决于声束角
E.取决于声速
58、单项选择题 等水平回声见于()。
A.肝实质
B.骨骼
C.胆结石
D.肌腱
E.血管壁
59、单项选择题
某患者,既往有肾炎病史。因头晕,无尿三日入院,根据其肝右叶-右肾声像图,最可能的诊断为()
A.慢性肾衰
B.急性肾炎
C.肾结核
D.尿路结石
E.慢性肾炎
60、单项选择题 下列关于卵巢巧克力囊肿的描述,错误的是()
A.半数以上累及双侧卵巢
B.囊肿直径多>5cm
C.单发或多发囊肿
D.病理为黄体囊肿
E.囊肿常与邻近结构粘连
61、单项选择题 采用低频滤波装置时,保留的超声信号来自()
A.心壁
B.腱索
C.瓣膜
D.血管壁
E.血流
62、单项选择题 探头匹配层的最主要作用是()
A.间接保护压电振子
B.减少声波的谐振
C.使探头与皮肤声阻抗相匹配,有利于声波传播
D.降低横向耦合力
E.增加有效振子数目
63、单项选择题 绒毛膜癌的CDFI特点是()
A.五彩斑斓低速血流RI<0.4
B.五彩斑斓低速血流RI>0.4
C.五彩斑斓高速血流RI<0.4
D.五彩斑斓高速血流RI>0.4
E.五彩斑斓高速血流RI>0.8
64、单项选择题 下列哪项不符合脐带特点()
A.脐带正常长度30~70cm,平均直径1.5~2.0cm
B.脐动脉绕脐静脉呈螺旋状走行
C.脐静脉绕脐动脉呈螺旋状走行
D.超声无法测量脐带的长度
E.由两根脐动脉,一根脐静脉组成
65、单项选择题 下列哪种疾病与雌激素长期刺激有关()
A.子宫颈癌
B.绒毛膜癌
C.恶性葡萄胎
D.子宫内膜癌
E.子宫颈囊肿
66、单项选择题 以下哪一项不是超声检查膀胱肿瘤的主要目的()
A.肿瘤大小
B.肿瘤位置
C.肿瘤数目
D.肿瘤早期诊断
E.肿瘤分期
67、单项选择题
男,23岁,发现肝脏内有一个增强回声,结合超声声像图,提示最可能是()
A.海绵状血管瘤
B.肝癌
C.肝囊肿
D.脓肿
E.肝腺瘤
68、单项选择题 布-加综合征是指()
A.门脉高压发生阻塞产生的症候群
B.充血性心衰所致的功能性肝静脉流出道阻塞
C.下腔静脉闭塞产生的一系列症候群
D.肝与右心房之间肝静脉或下腔静脉阻塞引起肝静脉回流受阻产生的一系列症候群
E.上腔静脉闭塞产生的一系列症候群
69、单项选择题 孕32周后HC/AC比值在下列哪种情况下可诊断非对称性胎儿宫内发育迟缓()
A.比值减小,低于正常值的95%以上
B.比值增高,超过正常值的95%以上
C.无改变
D.比值大于24
E.比值大于2.4
70、单项选择题 中期妊娠正常胎儿心率是()
A.60~100次/分
B.100~120次/分
C.120~160次/分
D.160~240次/分
E.180~200次/分
71、单项选择题 下肢静脉的静脉瓣功能不全,观察有无返流及其速度快慢,首选下述哪种技术()
A.彩色多普勒血流显像
B.二维灰阶超声显像
C.多普勒能量图
D.M型超声
E.超声造影
72、单项选择题 关于“肝血管瘤”影像,下列描述哪项不对()
A.超声,低回声结节
B.核素延迟扫描,过度充填
C.CT,充填式强化
D.MRI,电灯泡征
E.对小血管瘤诊断与鉴别,MRI价值明显优于核素扫描
73、单项选择题 心脏在胚胎发育第几周是已基本发育完成()
A.第2周
B.第3周
C.第4周
D.第6周
E.第8周
74、单项选择题
患者女47岁,皮肤、巩膜黄染,进行性加重2个月余,腹痛、腹胀,既往有胆结石病史。B超检查如图所示,根据超声声像图,诊断为()
A.胆总管癌并结石
B.胆总管胆泥淤积
C.胆总管结石
D.胆总管蛔虫
E.胆总管癌
75、单项选择题
图示5所指部位()
A.脾静脉
B.腹主动脉
C.胰头
D.下腔静脉
E.肠系膜上静脉
76、单项选择题 根据头臀长度(CRL)计算孕龄的简易公式是()
A.孕周=CRL(cm)
B.孕周=CRI(cm)+3
C.孕周=CRL(cm)+5
D.孕周=CRL(cm)+6.5
E.孕周=CRL(cm)+4
77、单项选择题 当备用电源灯关闭灯燃亮表示()。
A.交流备用汇流条没有电源
B.直流备用汇流条没有电源
C.电瓶汇流条没有电源
D.以上都不对
78、单项选择题 在左心长轴切面无法显示下列哪种结构()
A.左心室
B.右心室
C.左心房
D.右心房
E.主动脉
79、名词解释 声全息
80、单项选择题 先天性髋关节完全脱位的声像图特点是()①股骨头从髋臼内全部脱出②股骨头向后上方软组织内移位③股骨头与髋臼间出现较宽间隙④髋臼窝变形
A.①
B.①②
C.①②③
D.①②③④
E.②③④
81、单项选择题 肝方叶与尾状叶的分界标志()
A.静脉韧带
B.门静脉左支矢状段
C.门静脉左支横段
D.肝左静脉
E.肝圆韧带
82、单项选择题 输尿管中段是指()
A.输尿管与肾盂交界处
B.自肾盂输尿管连接部到跨越髂动脉处
C.髂动脉到膀胱壁
D.膀胱壁内
E.以上都不是
83、单项选择题
根据胎儿四维成像技术,图中结构为()
A.胎儿颜面部
B.胎儿上肢及背部
C.胎儿臀部
D.胎儿下肢
E.胎儿胸部
84、单项选择题 诊断超声的一般强度范围是多少:
A.0.5W/cm~2.0W/cmSPTA
B.50W/cm~100W/cmSPTA
C.0.002W/cm~0.5W/cmSPTA
D.100W/cm~200W/cmSPTA
E.任意强度范围内
85、单项选择题
女,28岁,无任何不适,体检。声像图如图所示,诊断为()
A.胆囊结石
B.胆囊息肉
C.胆囊胆固醇结晶
D.胆囊腺瘤
E.胆囊癌
86、判断题 慢性泪腺炎USG显示泪腺呈杏核状增大,边界清楚,内回声中等或较弱。
87、单项选择题 肝细胞肝癌的临床征象包括()①腹水②黄疸③肝大④脾大
A.①②③
B.②③④
C.①②③④
D.①③④
E.①②④
88、单项选择题 超声诊断肢体动静脉瘘最有力的依据()
A.近心端动脉内径增宽
B.动脉呈现低阻力型血流频谱
C.静脉明显扩张
D.静脉内出现动脉样血流频谱
E.合并出现假性动脉瘤
89、单项选择题 下列哪一项不是超声诊断胎儿宫内生长迟缓指标()
A.胎头双顶径
B.胎儿头围
C.胎儿腹围
D.胎儿股骨长度
E.胎盘厚度
90、单项选择题 脐带绕颈几周时,胎儿颈背部声像图呈“U”型压迹()
A.脐带绕颈1周
B.脐带绕颈2周
C.脐带绕颈3周
D.脐带绕颈4周
E.正常声像图
91、单项选择题
女性,59岁,右上腹痛。腹胀1周。病人于1991年因直肠癌行手术治疗。如果拟诊为继发性肝癌,超声表现错误的是()
A.肝内单个强回声结节
B.多发的强回声结节
C.病灶呈多样性
D.病灶彩色血流不明显
E.病灶边界清楚,周围有声晕,呈牛眼征
92、单项选择题 当进行彩色多普勒检查时,如彩色血流显示不佳,有许多辅助调节,下列哪一项是重要的调节()
A.调节监视器的亮度
B.调节监视器的对比度
C.调节灰阶图像的动态范围
D.调节灰阶图像的前后处理
E.调节多普勒的增益
93、单项选择题 紫绀型先天性心脏病最常见的畸形为()。
A.法乐氏四联症
B.右室双出口
C.大动脉转位
D.单心室
E.永存动脉干
94、单项选择题
甲状腺肿大常见于下列哪些疾病及声像图表现()
①单纯性甲状腺肿大,轻度肿大,内回声均匀
②单纯性甲状腺肿大,中度以上肿大,内回声不均
③地方性甲状腺肿,不同程度肿大,早期内回声均质,晚期呈大小不等无回声
④地方性甲状腺肿,轻度肿大,内回声均匀
⑤毒性甲状腺肿,普遍性增大低回声,CDFI呈火海征,高速低阻;Vmax70~100cm/s
⑥毒性甲状腺肿,呈结节性增大中等回声,血供不丰富
⑦结节性甲状腺肿大,不对称不均匀增大,内有多个结节,无包膜,有液化呈无回声,CDFI内有丰富的血流信号
⑧结节性甲状腺肿大,对称性均匀增大,很少液化,CDFI内未见血流信号
A.②④⑥⑧
B.①③⑤⑦
C.①④⑤⑧
D.②③⑥⑦
E.④⑤⑥⑦
95、单项选择题 红色箭头所指部位是()
A.后部回声增强
B.声影
C.无回声
D.强回声
E.等回声
96、单项选择题 半月板损伤的特异声像图是()
A.半月板内的线状、带状及斑块状强回声
B.边缘局限性回声增强
C.向周边移位与韧带分离
D.关节腔内的无回声
E.独立光团的软骨剥离
97、单项选择题 主动脉瓣关闭不全最主要的病理生理变化是()
A.左室充盈减少
B.左室充盈增加
C.左室压力超荷
D.左室容量超荷
E.主动脉运动幅度增大
98、单项选择题 以下何者不符合完全性肺静脉异位引流()
A.左房增大
B.左房外侧可见共同肺静脉腔
C.常有肺淤血
D.合并房间隔缺损
E.可分为心上型、心内型和心下型
99、单项选择题 5MHz表示()
A.每秒50万周
B.每秒5千万周
C.每秒5千周
D.每秒5百万周
E.每秒5万周
100、单项选择题 视神经全长多少毫米,分几段,超声检测可显示哪几段()
A.<33mm,3段,各段
B.33~55mm,4段,球壁、眶内段
C.33~55mm,4段,球壁、眶内、管内段
D.55mm,4段,球壁、眶内、颅内段
E.60mm,4段,球壁、眶内、颅内段
101、单项选择题
患者发现颈部肿块两年余,无明显不适。甲状腺超声显示甲状腺及血管旁异常光团,如图。最可能的诊断为()
A.甲状腺癌
B.结节性甲状腺肿
C.甲状腺炎
D.甲状腺腺瘤
E.以上均不是
102、单项选择题 卵巢非赘生性囊肿临床表现和声像图特征,不正确的是()
A.黄体囊肿是黄体形成过程中黄体血肿液化形成
B.黄素囊肿与滋养细胞瘤伴发
C.黄素囊肿多呈双侧性
D.卵巢非赘生性囊肿是卵巢囊性肿瘤,多不能自行消退
E.绝经后妇女较少见
103、单项选择题 成年人在哪种体位时,结石的重力移动能被最佳显示()
A.右前斜
B.侧卧
C.左前斜
D.俯卧
E.仰卧位
104、单项选择题 实质性病变的声像图中,哪项错误()
A.边缘光滑或不光滑
B.外形规则或不规则
C.内部无回声衰减
D.后方回声不变或减弱
E.侧方声影有或无
105、单项选择题 表达在声波介质中声衰减的术语是()
A.传导发散
B.波幅吸收系数
C.线性比
D.声吸收
E.阻力指数
106、单项选择题 下列“死胎”征象,最早出现的是()
A.身体过度卷曲
B.心脏、大血管内气体聚集
C.颅骨重叠
D.头皮下脂肪与颅骨间距增宽
E.胸廓塌陷
107、单项选择题 睾丸附着于鞘膜囊一侧,有液性暗区三面包绕于睾丸周围,此种积液称()
A.阴囊鞘膜积液
B.精索鞘膜积液
C.睾丸鞘膜积液
D.精索、睾丸鞘膜积液
E.交通型鞘膜积液
108、单项选择题 双顶径的测量方法是()
A.不包括大脑帘、颅骨壁的回声
B.从一侧颅骨壁外缘至对侧颅骨壁外缘
C.从一侧颅骨壁内缘至对侧颅骨壁内缘
D.从一侧颅骨壁外缘至对侧颅骨壁内缘
E.以上都不是
109、单项选择题 彩色多普勒是使用什么方法检测血细胞的动态信息()
A.增益
B.STC(TGC)
C.速度
D.FFT技术
E.MTI
110、单项选择题 超声引导穿刺时导致针干显示不清的原因是()
A.侧方声影
B.部分容积效应
C.内部混响
D.镜面伪像
E.声速失真
111、单项选择题 数字扫描转换器的作用中,不包括()
A.储存图像
B.把图像转换成标准的电视扫描制式信号进行显示
C.可提高图像稳定性
D.进行图像补插处理
E.图像后处理功能
112、单项选择题
患儿,出生1个月,因喂奶时经常呕吐,加重数天就诊,婴儿明显消瘦,皮肤松弛有皱纹,皮下脂肪减少,精神抑郁呈苦恼面容。喂奶时,可见从左季肋向右上腹移动之蠕动波。根据超声示意图,最可能的诊断为()
A.先天性肥厚型幽门狭窄
B.先天性胆管狭窄
C.胃溃疡
D.肠炎
E.肠梗阻
113、单项选择题 左右肾纵轴与脊柱各形成一向下的角度约为()
A.10°
B.15°
C.20°
D.25°
E.30°
114、单项选择题 回声增强发生在下列哪类物体后方()
A.强衰减体
B.弱衰减体
C.强衍射体
D.弱衍射体
E.固体
115、单项选择题 下列哪项是心肌收缩功能的主要测量指标()
A.左室压力最大下降速率
B.舒张期压力减半时间
C.左室短轴缩短率、室壁收缩期增厚率、室壁应力
D.等容舒张期时间
E.左室心肌松弛时间常数
116、单项选择题 关于卵巢囊性畸胎瘤,下列哪一项是错误的()
A.可产生声影
B.也称为皮样囊肿
C.最常见于青年女性
D.脂肪层浮在液体上方,可见脂液平面
E.经阴道彩色多普勒血流显像囊壁常显示丰富低阻血流
117、单项选择题
右肝肋缘下向上扫查时常可见到镜面伪像,下列哪项是错误的()
A.正常肝脏:膈下为肝脏实像,膈上为肝脏虚像
B.肝内肿瘤:膈下、膈上各有一个对称的肿瘤,前者为实像,后者是伪像
C.肝内囊肿:膈下、膈上各有一个对称性肿瘤,前者为实像,后者是伪像
D.右侧胸腔积液时,以上镜面伪像更明显
E.右侧胸腔积液时,以上镜面伪像消失
118、单项选择题 超声系统可控制的最大能量与最小能量之比为下列哪种()
A.动态范围
B.抑制
C.增益
D.放大因数
E.分贝
119、单项选择题
女性,29岁,停经28周,产前超声检查如图,最可能的诊断为()
A.胎儿畸形,脑积水
B.胎儿畸形,腹壁裂
C.胎儿畸形,室间隔缺损
D.胎儿畸形,无脑儿
E.胎儿畸形,露脑畸形
120、单项选择题 血流速度增快,流量加大,彩色多普勒显像的血流信号将会有何变化()
A.亮度提高
B.亮度降低
C.亮度不定
D.亮度变换不定
E.以上都不是
121、问答题 膀胱憩室的声像图表现有哪些?
122、单项选择题
男,48岁,上腹胀痛,纳差,血吸虫病多年。结合超声声像图,诊断为()

A.血吸虫肝纤维化
B.脂肪肝
C.细菌性肝脓疡
D.肝豆状核变性
E.肝炎
123、单项选择题 超声探头的核心是压电晶片,其作用是()
A.能将电能转换为机械能,亦能将机械能转换为电能
B.能将电能转换为机械能,但不能将机械能转换为电能
C.不能将电能转换为机械能,但能将机械能转换为电能
D.不能将电能转换为机械能,亦不能将机械能转换为电能
E.以上都不对
124、多项选择题 限制性心肌病的超声表现正确者为()
A.相应的室壁、室间隔增厚,室壁运动僵硬、低下
B.相应部位的心室内膜增厚呈不均分布;回声增强
C.心房极度扩大,可有低速云雾状旋涡血流回声
D.房室瓣EF斜率减慢
E.心包增厚伴少至大量心包积液
125、单项选择题
某患者舒张期二尖瓣口心动图所示,提示()

A.二尖瓣狭窄
B.二尖瓣关闭不全
C.二尖瓣脱垂
D.正常声像图
E.二尖瓣赘生物
126、单项选择题 无法进食并给予静脉营养的病人胆囊将会产生()
A.下垂
B.病理性扩张
C.收缩
D.病变
E.憩室
127、单项选择题 频谱多普勒技术可用来监测血流的种类和性质,下列哪一项不能检测()
A.动脉血流
B.静脉血流
C.血流宽度
D.层流
E.湍流
128、单项选择题 人体中声衰减高并可能伴有声影的组织结构,不包括()
A.骨骼表面
B.含气的肺组织
C.胆结石
D.陈旧瘢痕组织
E.肝、脾包膜
129、单项选择题
患者,女,35岁,有急性胰腺炎病史,现感上腹不适。结合中上腹超声声像图表现,诊断是()
A.胰腺占位并胰管扩张
B.急性胰腺炎
C.慢性胰腺炎并胰管结石
D.胆总管结石
E.胰腺癌
130、单项选择题 下列对肾脏的描述错误的是()
A.肾脏可随呼吸移动
B.正常成人肾脏厚度约为4~5cm
C.肾脏位于腹膜内
D.正常成人肾脏长度约为10~12cm
E.正常成人肾脏宽约为3.5~6.5cm
131、单项选择题
女性,5岁,超声检查如图所示,最可能的诊断是()
A.输尿管脱垂
B.输尿管憩室
C.输尿管囊肿
D.输尿管肿瘤
E.巨输尿管症
132、单项选择题 死胎滞留宫腔内超过5周,其潜在危险是()
A.血纤维蛋白原减少
B.巨细胞包涵体病毒增多
C.成红细胞增多症
D.风疹病毒感染
E.以上都不是
133、单项选择题 下肢深静脉在解剖学上有许多变异,本来是一条静脉却变异成两条,指出下列哪支静脉容易出现此种变异()
A.髂总静脉
B.髂外静脉
C.股浅静脉
D.股深静脉
E.腘静脉
134、单项选择题 超声生物显微镜最适于检查()
A.眼内容物
B.眼球壁
C.眼前段结构
D.视神经乳头
E.以上均不是
135、单项选择题 超声检查见颈总动脉壁内膜分离,将血管分成真假两个腔,分离的内膜回声随心动周期不停的摆动。彩色多谱勒超声见真腔内血流大致正常,假腔内血流紊乱,呈五彩镶嵌样表现,请就此超声表现作出诊断()
A.真性颈动脉瘤
B.假性颈动脉瘤
C.夹层颈动脉瘤
D.颈动脉扭曲
E.颈动脉体瘤
136、单项选择题 测量双顶径标准声像图平面显示的中线结构是()
A.大脑镰
B.侧脑室
C.大脑镰、透明隔或透明隔腔、第三脑室、丘脑
D.中脑脑干平面
E.小脑平面
137、单项选择题 目前四维成像技术主要应用于()
A.心脏
B.产科
C.腹部
D.小器官
E.头颅
138、单项选择题 腹部超声特定断面扫查时可遇到棱镜伪像,如:肠系膜上动脉或宫内胎囊出现重复图像,下列哪个腹部断面可能出现()
A.正中矢状断面
B.正中旁矢状断面
C.横断面
D.斜断面
E.冠状断面
139、单项选择题 人眼可区别多少级灰阶()
A.大约16级左右
B.32~64级
C.64级以上
D.256级以上
E.512级以上
140、单项选择题 最不适用于成人颅脑超声检查的探头频率是()
A.2.0MHz
B.2.5MHz
C.3.5MHz
D.4.0MHz
E.5.0MHz
141、单项选择题 甲状腺炎临床分型是()
A.①急性②慢性
B.①急性②亚急性
C.①急性②亚急性③慢性
D.①临床下型②急性③亚急性④慢性
E.①急性②临床下型③慢性
142、单项选择题 超声波是如何发生的()
A.换能器的逆压电效应
B.换能器的压电效应
C.换能器向人体发送电信号
D.换能器的热效应
E.换能器的磁效应
143、单项选择题 超声测量双顶径影响准确性的因素有()①选择测量平面不标准②胎头方位③胎头头型④羊水过少
A.①
B.①②
C.①②③
D.①②③④
E.①③④
144、单项选择题 增强超声造影效果应用哪项技术()
A.连续波多普勒
B.频谱多普勒技术
C.谐波成像
D.二维超声显像
E.M型超声
145、单项选择题 声像图毗邻回声一般不包括下述哪项()
A.病变与毗邻脏器间有无粘连、挤压
B.病变是否侵犯周围邻近脏器
C.有无周围淋巴结肿大,周围血管有无异常
D.有无继发性管道扩张(胆管等)
E.邻近脏器是否有器质性病变
146、单项选择题 子宫先天性发育异常常伴有哪个器官异常()
A.肾脏
B.消化道
C.颅脑
D.心脏
E.脊柱
147、单项选择题 关于黄体囊肿的描述,下列哪一项是错误的()
A.黄体形成过程中,黄体血肿液化所致
B.囊肿直径一般为3cm左右
C.妊娠黄体囊肿产后才消失
D.较大的黄体囊肿可自发破裂,发生急腹症
E.黄体囊肿破裂声像图表现,酷似宫外孕破裂表现
148、单项选择题 下列哪项不符合子宫内膜癌超声表现()
A.子宫内膜不规则增厚
B.病灶内部及周边可见血流信号
C.病灶内呈低阻血流,RI<0.5
D.一般只侵犯子宫、附件,不转移至盆腔以外的器官
E.子宫体积增大
149、单项选择题 肝脏可被分为左、右及尾状叶,方叶是以下的哪一部分()
A.左叶外侧段
B.右叶外侧段
C.左叶内侧段
D.左叶后段
E.左叶上段
150、问答题 肾盂肿瘤的声像图表现有哪些?
151、多项选择题 一般的土地估价方法,仅适用于单宗土地的估价,而路线价估价法则被认为是一种(),又能节省人力、财力,并可同时对大量宗地进行估价的方法。
A.迅速
B.准确
C.公平
D.简洁
E.合理
152、单项选择题 中孕期超声发现的胎儿畸形有()①无脑儿②脑积水③脊柱裂④脐疝
A.①
B.①②
C.①②③
D.①②③④
E.②④
153、单项选择题
如图,最可能的诊断是()
A.软骨成长不全
B.致死性骨发育不全
C.窒息性胸廓发育不良
D.肢体屈曲综合征
E.无肢畸形
154、单项选择题
该病例最有可能诊断是()

A.高血压病
B.主动脉瓣下狭窄
C.肥厚型梗阻性心肌病
D.非梗阻性心肌病
E.主动脉瓣狭窄
155、单项选择题 儿童肾母细胞瘤(Wilms)声像图特点是()①瘤体较大,边界清晰②内回声不均,呈混合性回声③瘤体小,边界不清晰④内回声低、均质⑤残余肾组织受压肾盂变形,可合并肾盏积水
A.①②⑤
B.③④⑤
C.①⑤
D.②⑤
E.①②④⑤
156、单项选择题 肝静脉汇入到()
A.门静脉
B.上腔静脉
C.下腔静脉
D.胃静脉
E.肠系膜上静脉
157、单项选择题 在诊断胆石过程中,下列哪种情况最易出现假阴性结果()①有一个巨大孤立的结石②胆囊小③石头嵌顿于胆囊管
A.①②③
B.①
C.②
D.③
E.①③
158、单项选择题 彩色多普勒血流显像技术检测主动脉瓣口血流,速度标尺应如何选用()
A.选择高速档
B.选择低速档(例如0.20m/s)
C.随意,不需注意调节
D.选择中等速度(例如0.6m/s)
E.以上都不是
159、单项选择题 妊娠超声检查的适应证是()①诊断妊娠②确定胎位③预测胎龄④多胎、异位妊娠
A.①
B.①②
C.①②③
D.①②③④
E.①③④
160、单项选择题 下面哪一项乳腺病变或结构不伴有后方回声增强()
A.囊肿
B.脂肪小叶
C.扩张的导管
D.纤维腺瘤
E.脓肿
161、单项选择题 怀疑胆囊有病变,应首选以下哪项检查()
A.腹部平片
B.CT
C.MRI
D.US
E.口服胆囊造影
162、单项选择题 下肢静脉频谱多普勒的时相变化代表了()
A.进行乏氏(Valsalva)动作时血流的变化
B.患者进行体位改变致血流变化
C.腓肠肌收缩时的血流变化
D.呼吸时的血流变化
E.探头频率改变时血流的变化
163、填空题 脓肿的超声表现是_______。
164、单项选择题 两个或两个以上界面之间的多个反射造成的假回声信号称()
A.折射
B.多重反射
C.排斥
D.散射
E.衍射
165、单项选择题 对快速射血期心血管功能变化的叙述,下列哪一项有错误()
A.心室压超过动脉舒张末压
B.半月瓣开放
C.血液快速从心室排入大血管
D.快速射血期血量占心室30%左右
E.心室压力迅速明显下降
166、单项选择题 胆囊本身弯曲或分隔称为什么胆囊()
A.水肿
B.库瓦济埃
C.双重
D.贝雷帽
E.畸形
167、问答题 肾积水的声像图表现有哪些?
168、单项选择题 人体那些组织属于等程度声衰减()。
A.肝脏
B.肌肉
C.脑
D.肾脏
E.以上都是
169、单项选择题
胎儿超声检查如图,图中管道样结构是()
A.脊柱
B.羊膜囊
C.脐带血管平行征
D.淋巴管囊肿
E.四肢
170、单项选择题 腹围(AC)测量的公式是(D1:胎腹前后径;D2:胎腹横径)()
A.AC=D1+D2
B.AC=2π/(D1+D2)
C.AC=(D1+D2)/2π
D.AC=π(D1+D2)/2
E.AC=(D1+D2)/2
171、单项选择题 包绕羊水的薄膜是()
A.胚外体腔
B.卵黄囊
C.羊膜
D.绒毛膜
E.底蜕膜
172、单项选择题
女,51岁,肛门停止排便排气1天。腹痛、无呕吐,有乙状结肠手术史。结合超声声像图,诊断为()
A.肠梗阻
B.输卵管积液
C.肠套叠
D.盆腔积液
E.结肠癌
173、单项选择题
女,52岁,右上腹不适,CT示卵巢占位,结合超声声像图,诊断为()
A.肝囊肿
B.肝包虫病
C.转移性肝癌
D.肝脓肿
E.肝血管瘤
174、单项选择题 关于睾丸肿瘤的论述,下列哪项是正确的()
A.睾丸肿瘤有生殖细胞性、间质细胞性、转移性三大类
B.生殖细胞性肿瘤45%为恶性
C.生殖细胞性肿瘤中以精原细胞瘤最常见
D.间质细胞性、转移性肿瘤约占35%
E.生殖细胞性肿瘤的转移途径主要是血行转移,其次为淋巴转移
175、单项选择题 若振幅增大2倍,那么强度将如何改变()
A.增加4倍
B.减少一半
C.增大3倍
D.减少1/4
E.无变化
176、单项选择题
患者上肢可扪及一包块,质软、活动度差,加压可变形。如图,提示为()
A.脂肪瘤
B.纤维瘤
C.软组织局限增厚
D.炎性包块
E.以上均不是
177、单项选择题
眼球内异物的声像图表现()
①球内点、片、块状强回声,伴声影
②球壁上出现与异物相同大小的隆起假像
③异物周围无回声晕
④异物引起的继发改变
⑤有眼外伤史
A.①③⑤
B.①④⑤
C.①②④⑤
D.①②③④⑤
E.①③④⑤
178、单项选择题 库肯勃瘤是()
A.良性卵巢肿瘤
B.原发于胃肠道的卵巢转移性肿瘤
C.囊性肿瘤
D.子宫肿瘤
E.卵巢恶性肿瘤
179、单项选择题 妊娠达到或超过多少周称过期妊娠()
A.40周
B.41周
C.42周
D.43周
E.38周
180、单项选择题 胎囊长径1cm,前后径1cm,横径2cm,计算胎囊平均直径是()
A.1.1cm
B.1.3cm
C.1.5cm
D.2.5cm
E.2.0cm
181、单项选择题 以下哪种病声像图改变是睾丸周围呈无回声()
A.鞘膜积液
B.附睾炎性改变
C.睾丸炎性改变
D.睾丸肿瘤
E.阴囊壁水肿改变
182、单项选择题 孕几周时胎头生长稳定,生物变异性小,双顶径估计孕龄最准确()
A.9~11周
B.12~20周
C.21~28周
D.28~36周
E.37~40周
183、单项选择题 羊水过多的声像图是()
A.羊水量少
B.脐带漂浮在羊水内
C.羊水量超过正常
D.胎儿脑积水
E.胎盘早剥
184、单项选择题 患者阴道出血,停经60天,尿HCG(+),超声见子宫稍增大,宫腔内未见胎囊及胎芽,应考虑()
A.先兆流产
B.难免流产
C.过期流产
D.完全流产
E.异位妊娠
185、单项选择题 脉冲在探头和界面之间往返2次以上而产生的伪像称为()
A.多途径伪像
B.旁瓣伪像
C.混响伪像
D.散射伪像
E.双重反射伪像
186、单项选择题
患者右上腹疼痛1周,厌油食,超声见胆囊内强回声,可移动,如图所示,考虑为()
A.胆汁淤积
B.胆囊癌
C.胆囊息肉
D.胆囊结石
E.胆囊蛔虫
187、单项选择题 反射回声的强度取决于()
A.反射回声的量,声速的衰减程度
B.声速的衰减程度,入射声速与界面的角度
C.反射回声的量,入射声速与界面的角度
D.反射回声的量,声速的衰减程度,入射声速与界面的角度
E.声速的衰减程度
188、单项选择题 肾异位,错位的肾常在下列哪一部位找到()
A.对侧肾窝中
B.同侧膈顶下
C.小骨盆内
D.对侧腹腔
E.以上都不是
189、单项选择题 绒毛膜癌可继发于()①葡萄胎后②足月生产后③宫外孕④流产后⑤未婚女子的卵巢内
A.①②
B.①②③
C.①②③④
D.①②③④⑤
E.①
190、单项选择题 儿童出现黄疸最常见于()
A.肝炎
B.脂肪浸润
C.胆管闭锁
D.肝硬化
E.肝血管瘤
191、单项选择题 有关主动脉,以下哪项不对()
A.主动脉根部与左室相连
B.主动脉根部膨大称为主动脉窦,又称乏氏窦
C.主动脉窦分为右前窦、右后窦及左后窦
D.三个窦内各有一支冠状动脉开口
E.冠状动脉开口于窦壁中部
192、单项选择题
肝囊肿的声像图表现,下列哪一项是错误的()
A.囊壁薄而光滑
B.囊壁较厚,光滑,呈双层
C.侧壁出现回声失落
D.后方回声增强
E.彩色多普勒显示囊壁处短条状血流信号
193、单项选择题
女,42岁,上腹部经常疼痛不适,加重1周。声像图如图所示,结合超声声像图,诊断为()
A.左肝内胆管多发性结石
B.左肝内胆管蛔虫
C.左肝内胆管癌
D.左肝钙化灶
E.左肝内血管瘤
194、单项选择题 超声测量以1540cm/s设置速度标尺,下列关于测量的叙述中哪项正确()
A.测量肝、胰、脾、肾的误差小
B.脂肪组织的测量小于真实值
C.胎儿股骨长径的测量大于真实值
D.晶状体的测量无偏差
E.声束垂直时测量误差偏大
195、单项选择题 超声心动图为下列哪种诊断方法()
A.A型超声
B.B型超声
C.M型超声
D.彩色血流图
E.彩色能量图
196、问答题 卵巢非赘生性囊肿有哪些?声像图表现如何?
197、单项选择题 当超声波经过声阻抗相差较大的介质形成的界面时()
A.分辨力增强
B.混响增强
C.界面形成透声层
D.被吸收的声能增加
E.被反射的声能增加
198、单项选择题 如果脉冲重复频率是10KHz,下面哪种多普勒频移可导致混叠()
A.2KHz
B.3KHz
C.4KHz
D.5KHz
E.6KHz
199、单项选择题 附睾炎在不同阶段的声像图表现是()
A.附睾增大
B.附睾显示中等回声
C.化脓时附睾出现无回声区
D.如有钙化,后方出现声影
E.以上都是
200、单项选择题
患者,3岁,发现瞳孔区黄白色反光。眼底检查发现玻璃体浑浊。结合超声声像图,最可能的诊断是()
A.视网膜母细胞瘤
B.新生儿视网膜脱离
C.原始玻璃体增生症
D.先天性白内障
E.玻璃体后脱离
201、单项选择题
女性,56岁,消瘦、腹部膨隆3月余。妇科检查:盆腔触及包块。超声检查如图,最可能的诊断为()
A.转移性卵巢癌
B.囊腺癌
C.黄体囊肿
D.黄素囊肿
E.囊腺瘤
202、单项选择题 用彩色多普勒血流成像技术检测手指末端小动脉,下列哪项调节是错误的()
A.用低的速度标尺
B.彩色图选用两色图
C.小的取样容积
D.低通滤波器
E.高通滤波器
203、单项选择题 甲状腺炎声像图表现是()
A.甲状腺缩小,回声增强
B.弥漫性甲状腺肿大回声无改变
C.甲状腺内多个无回声
D.弥漫性甲状腺肿大回声减低
E.甲状腺体积增大,回声增强
204、单项选择题 关于房间隔缺损的血流频谱,哪项不对()
A.应采用CW检测
B.显示为正向湍流频谱
C.始于收缩中晚期
D.持续全舒张期
E.分流速度在60~80cm/s以上
205、单项选择题 下列关于超声波的表述,正确的是()
A.频率不同的声波在同一介质中的传播速度不同
B.波长和频率成正比
C.超声在人体软组织中的平均传播速度是1460m/s
D.相同频率的超声在不同介质中传播声速相同。
E.声速与介质的密度成正比
206、单项选择题 男,37岁,既往有肝炎史,超声发现脾脏显著肿大,肝表面不光滑,肝实质回声不均匀。右肝可见3cm的圆形病变,边缘整齐光滑,有弱回声晕,内部为均匀低回声,诊断最可能是()
A.慢性肝炎
B.慢性肝炎合并肝硬化
C.肝硬化合并肝囊肿
D.肝硬化合并肝肿瘤
E.肝硬化合并门静脉高压
207、单项选择题 有关左心室,以下哪项不对()
A.左心室位于右心室右前方
B.左心室横切时呈圆形
C.左心室壁较右心室壁厚
D.左心室腔内有两组乳头肌附着
E.左心室的右缘为室间隔的左室面
208、单项选择题 关于CDFI原理中,下列哪项不正确()
A.彩色编码以红蓝两色表示血流方向,一般人为规定为红迎蓝离
B.若有湍流存在时用绿色表示
C.红、蓝、绿三种颜色构成三基色
D.红和青色互为补色
E.五彩镶嵌颜色提示为层流
209、单项选择题
某患者肝脏声像图表现,最可能的诊断是()
A.肝转移癌
B.原发性肝癌并门脉癌栓
C.弥漫性肝癌
D.肝硬化并门脉海棉样变性
E.肝硬化并门脉血栓形成
210、判断题 USG对肾结核的诊断比较准确,还较容易发现无明显积水的输尿管结石。
211、问答题 试述前置胎盘超声表现。
212、单项选择题
淋巴结转移癌的超声表现()
①淋巴结肿大,短轴增大长(L)/宽(S)<2
②淋巴结肿大,长轴增大长(L)/宽(S)>2
③肿大淋巴结被膜不完整,数个淋巴结融合在一起
④肿大淋巴结被膜完整,数个淋巴结融合在一起
⑤肿大淋巴门部偏心
⑥肿大淋巴门部增大
⑦CDFI:血流多丰富,呈高速高阻型,则>0.7
⑧CDFI:血流丰富,呈高速低阻型,RI<0.5
A.①③⑤⑦
B.②④⑥⑧
C.①④⑥⑦
D.②③⑤
E.①③⑤⑧
213、单项选择题 羊水量少于多少毫升称羊水过少()
A.300~400ml
B.1000ml
C.15000ml
D.2000ml
E.1500ml
214、单项选择题 不宜用哪种技术提高多普勒检测灵敏度()
A.降低发射超声波的基础频率
B.提高接收线路的信噪比(S/N)
C.选择最佳的探头位置及角度
D.增加超声波发射的输出强度
E.提高多普勒增益
215、单项选择题 二尖瓣关闭不全的超声诊断要点是()
A.左室变小
B.收缩期显示左室倒流入左房的血流
C.升主动脉狭窄后扩张
D.肺动脉变小
E.二尖瓣口变小
216、单项选择题
该图所显示的病例为()

A.二尖瓣腱索断裂
B.二尖瓣脱垂
C.二尖瓣赘生物
D.风心二尖瓣狭窄
E.黏液瘤
217、单项选择题 当骨盆骨折时,易受损的是哪一部分尿道()
A.前列腺部尿道
B.膜部尿道
C.球部尿道
D.阴部尿道
E.悬垂部位
218、单项选择题
某患者五日前阴囊碰伤,现感右侧阴囊不适,超声声像图如下,最可能的诊断为()
A.睾丸血肿
B.精原细胞瘤
C.睾丸炎
D.睾丸扭转
E.睾丸脓肿
219、名词解释 宽频探头
220、单项选择题
男,6岁,阵发性腹痛,呕吐数小时就诊。PE:肠鸣音亢进,呈气过水音。根据超声声像图诊断为()
A.急性肠梗阻
B.急性肠炎
C.肠套叠
D.肠穿孔
E.胃癌
221、单项选择题 早期妊娠时,羊膜囊被下列哪一结构围绕()
A.羊膜
B.绒毛膜
C.蜕膜
D.胎盘
E.卵黄囊
222、单项选择题 不属于门体分流的方式是()
A.脾——肾静脉分流
B.前腹壁静脉分流
C.肾——结肠静脉分流
D.系膜——腔静脉分流
E.TIPS
223、单项选择题
患者发现颈部肿块两年,无明显不适。甲状腺超声见甲状腺肿大回声不均匀,如图。最可能的诊断为()
A.甲状腺癌
B.结节性甲状腺肿
C.桥本甲状腺炎
D.甲状腺腺瘤
E.甲状腺囊肿
224、单项选择题 肾柱肥大常混淆为肿瘤见于()
A.肾盏较小时如同残留的肾盏
B.肾盏较大时如同残留的输尿管
C.肾皮质延伸至肾包膜外
D.在肾皮质深入髓质环绕分隔肾锥体的部分异常
E.以上都是
225、多项选择题 乳腺纤维腺瘤USG表现为()
A.呈圆形或椭圆形
B.边界清楚,完整
C.后部回声多数增强
D.内部回声分布不均匀
E.有光滑的包膜
226、单项选择题 羊水过少常与哪一种胎儿先天异常并发()
A.食管闭锁
B.胆管异常
C.无脑儿
D.肾发育不全
E.肠部分闭锁
227、名词解释 探头
228、单项选择题
女,40岁,间断无痛性血尿1年,声像图示右肾中下部6×5cm中等偏低回声肿块,边界清楚,内部回声欠均匀,肿块向肾表面隆起,并推挤肾窦,右肾静脉内实填。考虑诊断是()
A.肾血管平滑肌脂肪瘤
B.肾母细胞瘤
C.肾细胞癌
D.肾盂癌
E.肾腺瘤内呈镶嵌样结构
229、单项选择题 胎儿死亡的非特异性特征()①羊水混浊②大脑帘消失③双顶径小于孕周④胎头双环征
A.①
B.①②
C.①②③
D.①②③④
E.④
230、单项选择题 继发孔型房间隔缺损在二维超声检查时有什么所见()。
A.显示房间隔最位处(房、室间隔连接处)缺损
B.显示左心室扩大
C.显示房间隔最上部(近心房顶部处)
D.显示室间隔上移缺损
E.显示房间隔央部缺损
231、多项选择题 成人双肾长径相差>3cm,应考虑()
A.慢性肾盂肾炎
B.慢性肾小球肾炎
C.肾动脉狭窄
D.急性肾小管坏死
E.糖尿病肾病
232、单项选择题
乳腺超声普查发现乳房包块,声像图如上,最可能的诊断是()
A.乳腺纤维肉瘤
B.乳腺囊性增生
C.乳腺癌
D.乳腺纤维瘤
E.以上都不是
233、单项选择题 单一脐动脉异常多见于()
A.多胎妊娠
B.胎儿宫内发育迟缓
C.畸形儿
D.胎儿宫内窘迫
E.正常儿
234、单项选择题 晕圈征是指甲状腺肿块周围有低回声环,常见于()
A.甲状腺炎
B.囊肿
C.腺瘤
D.腺癌
E.结节性甲状腺肿
235、单项选择题
该食管超声心动图箭头所示为()

A.左心耳血栓
B.左房黏液瘤
C.左房梳状肌
D.以上都不是
E.左房赘生物
236、单项选择题 脑室率的测量方法是()
A.中线至颅骨内缘距离/中线至侧脑室壁距离
B.中线至侧脑室壁距离/中线至颅骨内缘距离
C.侧脑室之间距离/颅骨内缘之间距离
D.颅骨内缘之间距离/侧脑室之间距离
E.以上都不是
237、单项选择题
女,32岁,偶感右上腹不适多年。声像图如图所示,最可能的诊断为()
A.胆囊结石
B.胆囊蛔虫
C.胆囊胆固醇结晶
D.胆囊息肉
E.胆囊腺瘤
238、单项选择题 超声诊断仪的工作环境,下列哪项不宜()
A.监视器避免阳光直射
B.整机不应放置在高温,潮湿环境
C.用紫外线照射或消毒液对探头消毒
D.使用稳压器,保持正常供电
E.远离高电场,高磁场
239、单项选择题
患者女32岁,右上腹剧烈疼痛3小时就医,体检无发热,上腹痛叩击痛(弱阳性)。B超检查如图所示,根据超声声像图,诊断为()
A.胆总管癌
B.胆总管结石
C.胆总管胆泥淤积
D.胆总管蛔虫
E.胆总管内引流管回声
240、单项选择题 软组织肿瘤来自()①脂肪②纤维③平滑肌④横纹肌⑤血管⑥淋巴⑦间皮⑧滑膜⑨组织细胞⑩软骨
A.①②③④⑤⑥
B.①②③④⑤⑥⑦
C.①②③④⑤⑥⑦⑧
D.①②③④⑤⑥⑦⑧⑨
E.以上各项均是
241、单项选择题 关于M型超声心动图主动脉瓣曲线,下列何者有误()
A.呈六边盒形结构与单一曲线交替图形
B.瓣盒高度代表主动脉瓣开放幅度
C.瓣盒宽度代表左室射血时间
D.主动脉瓣关闭不全时可见关闭线呈双线
E.正常时主动脉瓣叶无收缩期震颤
242、单项选择题
如图,女性,26岁,无明显不适,盆腔横断面,最可能的诊断是()
A.炎性包块
B.宫外孕
C.畸胎瘤
D.黄体囊肿
E.正常声像图
243、单项选择题 下列对前列腺增生描述错误的是()
A.中叶是增生好发部位
B.两侧叶是增生好发部位
C.后叶是增生好发部位
D.前叶较小,无临床意义
E.中叶位于精阜上方,尿道与射精管之间
244、单项选择题 以下哪项是主动脉瓣关闭不全所致()
A.SAM现象
B.弓背样改变
C.钻石样改变
D.吊床样改变
E.二尖瓣前叶高频震颤
245、单项选择题 下列对超声诊断仪的维护和保养措施中,哪项是错误的()
A.防尘
B.防潮
C.自行拆卸仪器
D.防高温
E.减少震动
246、单项选择题 确定探头声能输出的主要因素是()
A.探头大小
B.电压峰强度
C.接收器的放大值
D.增益的大小
E.电流大小
247、单项选择题 关于经阴道超声检查方法学的描述,下述哪一项是错误的()
A.子宫肌瘤较大时,应同时进行经腹超声检查
B.卵巢肿瘤位置较高时,应同时进行经腹超声检查
C.经阴道超声检查常用于胎儿心脏畸形诊断
D.与经腹超声相比,常能清晰显示子宫内膜形态
E.检查前需排空膀胱
248、问答题 良性葡萄胎的USG表现有哪些?
249、单项选择题 下列实时超声成像的主要扫描方式中哪一种最适用于心脏检查()
A.电子线性扫描
B.电子凸阵扫描
C.电子扇形相控阵扫描
D.机械扇形扫描
E.环阵扇形扫描
250、单项选择题 多囊肾依据出现初始临床表现的时间不同,分为哪几型()①围生期型②新生儿型③婴儿型④成人型
A.①②
B.③④
C.①③④
D.①②③④
E.②④
251、单项选择题 与频谱多普勒相比,彩色多普勒的优点是()
A.显示血流速度的范围
B.显示高速血流时无混叠
C.计算流速更准确
D.切面上可直观显示血流情况
E.定量计算血流容积
252、单项选择题 以下哪项病变不会出现声影伪像()
A.胆囊结石
B.皮肤瘢痕组织
C.肝内钙化灶
D.肝肿瘤伴坏死、液化
E.陈旧性动脉粥样硬化性斑块
253、单项选择题
男,18岁,外伤1小时就诊。结合超声声像图,诊断为()
A.脾外伤血肿
B.脾淋巴管瘤
C.膈下积液
D.脾皮样囊肿
E.脾血管瘤
254、单项选择题 孕20周后正常胎儿脑室率小于()
A.0.5
B.0.6
C.0.7
D.0.8
E.0.9
255、单项选择题 成人型多囊肾中下列哪一项是错误的()
A.该病一般在40~60岁出现症状,有家族性
B.超声显示两肾内无数大小不等的囊肿,常合并多囊肝等其他脏器多囊性疾病
C.本病属常染色体隐性遗传病
D.本病为双侧性,临床上少数病例两肾发展可不一致
E.本病出现症状愈早,预后愈差;晚期症状为高血压、肾功能减退
256、单项选择题 最常见的肾脏良性肿瘤是()
A.肾错构瘤
B.海绵肾
C.肾上腺瘤
D.肾柱肥大
E.以上都是
257、单项选择题 彩色多普勒血流成像在检测腹部血流时,常有彩色信号闪烁现象,如何减轻或消除这种干扰()
A.减低滤波频率
B.减低测速度的速度标尺,增大取样框
C.屏住呼吸,提高滤波频率
D.降低速度标尺
E.深呼吸,提高速度标尺
258、单项选择题
女,54岁。反复便秘,腹泻就诊。PE:左中腹可扪及一肿块,质硬,结节状,OB(Ⅱ),结合超声声像图,诊断为()
A.左肾
B.结肠癌
C.肠系膜淋巴结
D.腹膜后肿块
E.肠结核
259、单项选择题 关于急性盆腔炎的超声表现,以下哪项除外()
A.子宫直肠隐凹积液
B.卵巢缩小
C.子宫与周围粘连
D.管状结构边缘毛糙
E.附件区可见增厚迂曲管状结构
260、单项选择题 如果一侧颈内动脉阻塞或高度狭窄,同侧颈总动脉将出现哪种变化()
A.阻力指数降低
B.阻力指数升高
C.收缩期峰值流速升高
D.舒张期峰值流速升高
E.血流反向
261、单项选择题 乳腺良性与恶性肿物的超声显示鉴别点是()
A.边界是否光滑、完整
B.内部是否回声衰减
C.后方是否回声衰减
D.皮肤是否受侵犯
E.以上都是
262、单项选择题 脑积水的声像图特征是()①脑室率>0.5②轻度脑积水双顶径与孕周相符③脑实质被压缩④合并脊柱裂、脑脊膜膨出
A.①
B.①②
C.①②③
D.①②③④
E.①③④
263、单项选择题 交通支静脉是()
A.下肢静脉与盆腔静脉的交通静脉
B.小腿静脉与大腿静脉的交通静脉
C.慢性静脉疾病时的侧支静脉
D.浅静脉和深静脉的交通静脉
E.曲张的静脉
264、单项选择题 一房缺患者,测得三尖瓣返流的最大流速为3m/s,若右房压以10mmHg计,此时估计肺动脉收缩压约为()
A.30~40mmHg
B.40~50mmHg
C.50~60mmHg
D.60~80mmHg
E.>80mmHg
265、单项选择题 前列腺横切面扫查应注意()
A.成0°角扫查
B.向头侧成15°角扫查
C.探头向头侧成20°角扫查
D.向尾侧成15°角扫查
E.向尾侧成30°角扫查
266、单项选择题 肾囊肿的超声声像图特点是()
A.无回声团
B.包膜完整光滑
C.后方回声加强
D.可伴侧壁回声增强效应
E.以上所述均是
267、单项选择题 24岁女患者,发现右侧乳房硬性肿物1个月,无自觉疼痛.超声检查右乳外上象限椭圆形1.0cm×0.6cm肿物,边界光滑、整齐,内部均匀低回声,后方回声增强,有侧边声影,最可能的诊断是()
A.乳腺囊肿
B.乳腺囊肿合并囊内出血
C.乳腺囊肿合并囊内感染
D.乳腺实性肿瘤
E.以上均不正确
268、单项选择题
图示3所指部位()
A.脾静脉
B.腹主动脉
C.肠系膜上动脉
D.胰头
E.左肾静脉
269、单项选择题 子宫颈癌中晚期肿瘤的声像图表现中,应除外()
A.多无明显征象
B.宫颈体积增大
C.形态多不规则
D.边缘较模糊
E.宫颈回声不均
270、单项选择题
患者,女性,产后,右乳房肿胀,疼痛,红肿,超声见回声不均匀,低回声内见点状回声流动。如图所示考虑为()
A.乳腺囊肿
B.乳腺脓肿
C.乳腺癌
D.乳腺腺瘤
E.纤维瘤
271、单项选择题 胎儿肾脏畸形的声像图表现,下列哪一项不正确()
A.正常胎儿肾脏集合系统可有轻度分离(<4mm)
B.婴儿型多囊肾常合并羊水少
C.双侧肾不发育者,多合并羊水多
D.孤立性肾囊肿,肾区可见圆形无回声区
E.双侧肾不发育者,常不能观察到肾脏图像
272、单项选择题
某患者自诉乳腺可触及一包块,光滑可移动,超声图像如图,诊断为()
A.纤维瘤
B.囊肿
C.乳腺癌
D.小叶增生
E.乳腺导管扩张
273、单项选择题 心包肿瘤最重要的超声所见是()
A.在心包脏层或壁层有形状不规则的团块状回声
B.心包增厚、钙化
C.心包腔内有条索状回声
D.心包有大量积液
E.心包脏层、壁层有粘连
274、单项选择题
男,64岁,右上腹反复疼痛不适数10年,加重5天。声像图如图所示,诊断为()
A.肝内钙化带
B.胆囊充满型结石并萎缩性胆囊炎
C.胆囊蛔虫
D.肠襻回声
E.胆囊癌
275、单项选择题 二尖瓣狭窄引起肺动脉高压时,肺动脉瓣M型的特点是()
A.肺动脉瓣曲线上的a波增大
B.收缩期曲线平直
C.肺动脉瓣曲线上的bc段呈“V”型
D.显示收缩期有高频振动运动
E.肺动脉瓣曲线上a波正常
276、单项选择题 紧邻于肾后方的肌肉是()
A.腰大肌
B.多裂肌
C.闭孔外肌
D.腹外斜肌
E.臀肌
277、单项选择题 关于部分容积效应伪像的表述,不正确的是()
A.又称切片厚度伪像
B.形成的原因主要是超声断层较厚
C.将探头适当加压或侧动可识别部分容积效应伪像
D.肝小囊肿内出现的点状回声属部分容积效应伪像
E.超声束越窄引起部分容积效应伪像的可能性越小
278、填空题 对于注水井井管()、()等造成注水能力减弱事故,采用(),使其注水通道通畅,恢复注水能力。
279、单项选择题 单纯性甲状腺肿的超声声像图表现是()
A.甲状腺均匀性显著肿大,压迫气管和颈部血管
B.早期光点增粗,有的可见散在性边界模糊的小结节
C.后期可形成多个薄壁的液性暗区
D.腺体中常发生液化、血块机化及钙化
E.以上都是
280、单项选择题 粉碎性骨折声像图特点()①断端间有强回声斑或块状强回声,后伴声影②断端间有强回声斑或块状强回声,后方无声影③骨折处可探及骨断裂回声④骨皮质回声中断,骨质中出现不规则低或较强回声
A.①
B.①②
C.①②③
D.②④
E.①②③④
281、单项选择题 除下列哪项外均可发生急性鞘膜积液()
A.肿瘤
B.睾丸及附睾的感染
C.外伤
D.睾丸扭转
E.以上都不是
282、单项选择题 关于卵巢浆液性囊腺癌,下列哪一项是错误的()
A.儿童及青少年最常见的卵巢恶性肿瘤
B.肿瘤生长快,常伴出血坏死
C.多为部分囊性,部分实性
D.彩色多普勒血流显像,乳头内显示较丰富血流
E.多为双侧性
283、单项选择题 睾丸急性炎症的超声特点是()①睾丸明显增大,表面光滑②睾丸减小,表面不光滑③睾丸回声呈均匀或点片状低回声④睾丸回声明显不均匀,呈增强回声⑤CDFI:睾丸内血流信号明显增多,PW:Vmax增快,RI<0.5⑥CDFI:睾丸内血流信号减少,PW:Vmax减低,RI>0.5
A.①③⑤
B.②④⑥
C.①④⑥
D.②③⑤
E.①③⑥
284、单项选择题 尿路梗阻对肾脏造成危害中,哪一项是错误的()
A.尿路任何部位的梗阻均可造成肾积水
B.单侧肾积水是上尿路梗阻所致,双侧肾积水多为下尿路梗阻所致
C.梗阻部位越低,对肾脏造成危害的时间越快
D.肾外肾盂积水时,肾盂向外扩张,肾实质受影响慢
E.巨大肾积水均为长期部分性尿路梗阻所致
285、单项选择题
男,35岁,乙肝带菌者,体检时发现肝部异常光团,如图可诊断为()
A.肝癌
B.肝转移癌
C.肝脓肿
D.多发肝血管瘤
E.肝囊肿
286、单项选择题 下列哪一项最有可能产生假性胎囊超声图像()
A.卵黄囊
B.黄体囊肿
C.子宫蜕膜管型
D.盆腔炎性包块
E.卵巢实性肿瘤
287、单项选择题 孕几周后仍为0级胎盘,则应疑有妊娠糖尿病、母子Rh因子不合引起胎盘成熟延迟()
A.20周
B.24周
C.28周
D.32周
E.26周
288、单项选择题
某患者右下腹痛,血尿,根据超声声像图,最可能的诊断为()
A.右肾结石
B.右输尿管下段结石
C.阑尾炎
D.膀胱结石
E.输尿管肿瘤
289、单项选择题 从心尖部可检查哪个心脏超声切面图()
A.大动脉短轴切面图
B.上腔静脉长轴切面图
C.主动脉弓长轴切面图
D.四腔心切面图
E.主肺动脉短轴切面图
290、单项选择题
女,34岁,上腹疼痛不适数年,加重二天。声像图如图所示。结合超声声像图,诊断为()
A.胆囊颈部结石并化脓性胆囊炎
B.胆囊颈部息肉
C.胆囊颈部腺瘤
D.胆囊颈部蛔虫
E.胆囊癌
291、单项选择题 二尖瓣狭窄时,以下超声检查哪项不正确()
A.瓣口血流速度明显增快
B.肺静脉血流速度亦增快
C.狭窄早期瓣口血流A峰增高
D.合并心房纤颤时,A峰消失
E.左室内可出现湍流信号
292、单项选择题 男,32岁,突发性左季肋部绞痛4小时,无发热,血像正常。尿常规:红细胞20~30个。超声检查见左肾集合系统轻度分离,该侧输尿管上段约0.6cm,其远侧段显示不清。该病例不能除外()
A.肾癌
B.急性肾盂肾炎
C.急性肾小球肾炎
D.输尿管结石
E.肾平滑肌脂肪瘤
293、单项选择题 在进行多普勒检查时哪项不须特别关注()
A.血流方向
B.血流信号的特征
C.有无血流
D.多普勒增益
E.利用彩色多普勒测量血管宽度
294、单项选择题 肝脏左叶的分叶是()
A.内侧及外侧叶
B.左外上及外下段
C.头侧部及尾侧部
D.尾叶及方叶
E.上侧叶及下侧叶
295、单项选择题
根据超声声像图,最可能的诊断为()
A.睾丸鞘膜积液
B.精索鞘膜积液
C.睾丸囊肿
D.交通性鞘膜积液
E.附睾头囊肿
296、单项选择题 如何利用频谱多普勒判断动脉血流?()
A.血流频谱为连续不断的波形
B.血流频谱为博动性尖峰脉冲波形且频谱速度高
C.血流频谱速度
D.血流颜色为红色
E.以上都正确
297、单项选择题 关于心房黏液瘤,何者错误()
A.90%位于左心房内
B.听诊可闻及收缩期吹风样杂音
C.常有一蒂与房间隔相连
D.可引起二尖瓣口阻塞致猝死
E.术后有复发倾向
298、单项选择题
女性,25岁,停经47天,阴道不规则出血1周。尿妊娠试验阳性。结合超声图像,最可能的诊断为()
A.附件炎性包块
B.宫外孕
C.卵巢癌
D.子宫肌瘤
E.畸胎瘤
299、单项选择题 卵巢良性肿瘤的声像图特点是()
A.肿块形态不规则,边界不整,实性部分回声不均
B.肿块多为囊性,内回声较单纯,囊内分隔薄而均匀规则,内壁光滑
C.多伴腹水
D.CDFI示肿块内部及周边血供丰富,呈高速低阻频谱,RI<0.5
E.多伴骨转移
300、多项选择题 胆囊癌的USG可分为哪些类型()
A.小结节型
B.蕈伞型
C.厚壁型
D.混合型
E.实块型