时间:2025-02-13 04:14:54


1、单项选择题 有关混响说法,不正确的是()
A.混响与超声波的散射特性有关
B.超声垂直照射到平整的界面上,超声波在探头和界面之间来回反射产生混响
C.混响的形态呈等距离多条回声,回声强度依深度递增
D.“气体反射”是混响的一种
E.适当侧动和加压探头可有助识别混响
2、单项选择题 下列肝脏疾病哪个不会产生复杂声像图()
A.先天性囊肿
B.血肿
C.出血性囊肿
D.感染性囊肿
E.脓肿
3、单项选择题 连续式多谱勒的优势在于()
A.距离选通
B.单探头发射和接收超声
C.存在明显尼奎斯特极限
D.可检测高速射流
E.可确定血流深度
4、单项选择题 双顶径的测量方法是()
A.不包括大脑帘、颅骨壁的回声
B.从一侧颅骨壁外缘至对侧颅骨壁外缘
C.从一侧颅骨壁内缘至对侧颅骨壁内缘
D.从一侧颅骨壁外缘至对侧颅骨壁内缘
E.以上都不是
5、单项选择题 关于CDE,以下正确的是()
A.成像对超声入射角的相对非依赖性
B.可显示高速血流
C.可显示血流的方向
D.常出现彩色信号混叠现象
E.对平均速度为零的灌注区血流难以显示
6、单项选择题 关于妇科超声检查方法不正确的是()
A.经腹超声检查,应使膀胱适度充盈
B.经阴道超声检查,膀胱应充盈
C.阴道探头应放入阴道穹隆部
D.经阴道超声检查的基本检查手法包括倾斜、推拉、旋转等
E.经宫腔超声检查对宫内病变的观察较经阴道检查更为细致和全面
7、单项选择题 谐波成像在临床中应用,不包括()
A.基波显像良好的脏器
B.增强心肌和心内膜显示
C.增强心腔内声学造影剂的回声信号
D.增强细微病变的分辨力
E.减少近场伪像及近场混响
8、单项选择题 连续多普勒在取样线上有符号标记,其表示()
A.取样容积大小
B.仅计算此处血流信息
C.声束与血流的焦点
D.此处检测的速度最佳
E.此处距离测量最准
9、单项选择题 甲状腺疾病超声表现中,“晕圈”征常见于()
A.甲状腺炎
B.囊肿
C.腺瘤
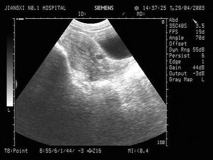
D.腺癌
E.以上均是
10、问答题 膀胱结石的声像图表现有哪些?
11、单项选择题 骨巨细胞瘤在病理学上既有良性又有恶性,其恶性比率是()
A.10%
B.20%
C.40%
D.60%
E.80%
12、单项选择题 胆总管上段位于门静脉()
A.右前方
B.前方
C.左方
D.后方
E.左前方
13、单项选择题 下列不符合胎死宫内颅骨声像图改变的是()
A.胎儿头皮水肿
B.胎儿颅骨变形、重叠
C.胎儿颅骨塌陷
D.胎头消失,无法检测
E.胎头轮廓不规则
14、问答题 女性内生殖器官的正常声像图表现有哪些?
15、单项选择题 诊断超声的一般强度范围是多少:
A.0.5W/cm~2.0W/cmSPTA
B.50W/cm~100W/cmSPTA
C.0.002W/cm~0.5W/cmSPTA
D.100W/cm~200W/cmSPTA
E.任意强度范围内
16、单项选择题 胎儿死亡的定义是()①≥20周胎儿死亡②任何胎龄的胎儿死亡③体重≥500g的胎儿死亡④36周以后的胎儿死亡
A.①③
B.②③
C.④
D.①②③④
E.②③④
17、单项选择题 肾细胞癌的典型声像图特征是()①肾内圆形、椭圆形占位性病灶,常向肾表面隆起,可伴有肾窦受压表现②肾癌小:边界尚清;肾癌大:边界欠清,形态不规则,周边有低回声晕-假包膜声像③内部回声呈多样性;瘤体小,较强回声。瘤体较大,中低回声。内部坏死、液化、出血出现混合性回声④肾静脉、下腔静脉、肝、对侧肾及腹膜后淋巴结转移征象⑤肾内肿瘤生长很大,形态不规则,边缘整齐的实性肿块
A.①②③④
B.①④⑤
C.①②④
D.①②③
E.①②③④⑤
18、单项选择题
如图,初步超声诊断为()

A.二尖瓣返流
B.三尖瓣返流
C.主动脉瓣返流
D.肺动脉瓣返流
E.二尖瓣狭窄
19、单项选择题 杨某,男,60岁,查体时发现颈前偏右有一实性肿物,不活动,质硬,同侧淋巴结肿大,超声显示:甲状腺右叶探及单个、不规则实性的低回声结节,境界不清,CDFI有高速血流信号。最可能的诊断是()
A.甲状腺囊肿
B.甲状腺腺瘤
C.甲状腺癌
D.亚急性甲状腺炎
E.颈淋巴瘤
20、单项选择题
结合甲状腺横断面超声声像图,甲状腺为()
A.均质体
B.非均质体
C.无界面区
D.强回声区
E.以上均不是
21、单项选择题 下列哪项不是脐带绕颈自行解脱或缠绕的因素()
A.妊娠月份较大而羊水较少
B.胎儿活跃,胎动频繁
C.脐带过长
D.诊断时间过早
E.羊水多,妊娠月份小
22、单项选择题 Crucial三角的三个边由哪三个部分构成()
A.膀胱壁、颅骨光环的一部分、部分绒毛板
B.膀胱壁、颅骨光环的一部分、后壁胎盘下缘
C.膀胱壁、颅骨光环的一部分、前壁胎盘下缘
D.后壁胎盘下缘、子宫内口、部分绒毛板
E.以上都不是
23、单项选择题 子宫内膜癌的临床与超声表现,下列哪项是错误的()
A.绝经期出血
B.多为老年妇女
C.阴道排液
D.超声表现宫腔积液
E.常合并卵巢囊肿
24、单项选择题 睾丸扭转二维超声改变为()
A.急性期睾丸小,回声增强,慢性期呈低回声
B.急性期睾丸小,回声减低,慢性期呈高回声
C.急性期睾丸增大,呈低回声,慢性期睾丸小,回声增强
D.急慢期睾丸均呈低回声
E.急慢期睾丸均呈高回声
25、单项选择题 5MHz表示()
A.每秒50万周
B.每秒5千万周
C.每秒5千周
D.每秒5百万周
E.每秒5万周
26、单项选择题 子宫内膜癌中以哪种类型最多见()
A.腺角化癌
B.腺鳞癌
C.腺癌
D.透明细胞癌
E.乳头状浆液癌
27、单项选择题 关于界面反射的描述,正确的是()
A.第二种介质的声阻抗大小决定反射声能的大小
B.反射角大于入射角
C.折射角小于入射角
D.折射的产生是入射角过小的缘故
E.声强反射系数为零时,超声将全部透射过界面
28、单项选择题 一般来说,胎囊指的是妊娠()
A.小于2周
B.4~10周
C.10~12周
D.10~15周
E.6~8周
29、单项选择题 孕几周超声可清楚显示胎儿膀胱()
A.9周
B.12周
C.15周
D.20周
E.8周
30、单项选择题
女性,32岁,因反复外阴瘙痒、白带异味就诊。超声检查如图,应诊断为()
A.子宫内膜癌
B.宫颈囊肿
C.子宫肌瘤
D.宫腔残留
E.宫颈炎
31、单项选择题 下列哪项不符合子宫内膜癌超声表现()
A.子宫内膜不规则增厚
B.病灶内部及周边可见血流信号
C.病灶内呈低阻血流,RI<0.5
D.一般只侵犯子宫、附件,不转移至盆腔以外的器官
E.子宫体积增大
32、单项选择题 关于卵巢无性细胞瘤,下列哪一项是错误的()
A.卵巢恶性生殖细胞实性肿瘤
B.常见于儿童及青年妇女
C.肿瘤彩色多普勒血流显像可显示丰富血流
D.卵巢实性良性肿瘤
E.卵巢少见肿瘤
33、单项选择题 患者绝经后不规则阴道出血,声像图无明显改变,应怀疑什么疾病,最后确诊要靠哪项检查()
A.粘膜下小肌瘤,血HCG
B.子宫内膜小息肉,诊断性刮宫
C.早期子宫肉瘤,血HCG
D.早期子宫内膜癌,诊断性刮宫
E.粘膜下小肌瘤,宫腔镜检
34、单项选择题 关于彩色多普勒血流成像的性能下述哪种是正确的()
A.能显示平均速度为零的灌注区的血流
B.血流成像对超声入射角的相对非依赖性
C.不出现彩色血流信号混叠
D.不能显示血流速度快慢
E.能显示血流方向
35、单项选择题 末次月经不详,超声检查见5cm胎囊,内见2.5cm胎芽,以下列哪项估测孕周最准确()
A.头臀长
B.双顶径
C.股骨长
D.胎囊
E.肱骨长
36、单项选择题 儿童最常见的肝脏肿瘤是()
A.肝胚细胞瘤
B.转移性疾病
C.多囊肝
D.肝脏纤维化
E.肝脓肿
37、单项选择题 成人最常见的鞘膜积液是()
A.睾丸鞘膜积液
B.精索鞘膜积液,交通型鞘膜积液
C.睾丸鞘膜积液,交通型鞘膜积液
D.鞘膜积液,精索鞘膜积液
E.精索鞘膜积液
38、单项选择题 以下哪项不是主动脉瓣狭窄的超声所见()
A.主动脉瓣叶增厚,回声增强
B.瓣口面积缩小
C.左室腔明显增大
D.左室壁普遍性增厚
E.升主动脉内探及高速射流频谱
39、单项选择题 在异位妊娠中超声显示宫内假性胎囊占()
A.60%
B.50%
C.40%
D.20%
E.10%
40、单项选择题 肺动脉瓣血流特点以下哪项不对()
A.位于收缩期
B.呈负向频谱
C.正常时两支对称,呈钝圆形空心层流
D.肺动脉高压时,频谱流速峰值前移
E.肺动脉狭窄时,血流速度明显减低
41、单项选择题 男性,12岁,突然发现阴囊肿胀、剧疼。超声显示:睾丸轻度肿大,中等回声,2~3小时后复查睾丸回声尚均匀,睾丸内血流消失。最可能的诊断为()
A.睾丸炎及附睾炎
B.阴囊血肿
C.鞘膜积液
D.睾丸扭转
E.斜疝绞窄
42、单项选择题 排卵延迟的早孕,胚胎尚未出现,发生先兆流产,应注意与下面哪项鉴别()①不全流产②难免流产③枯萎孕囊④宫外孕
A.①
B.①②
C.①②③
D.①②③④
E.④
43、单项选择题 缩窄性心包炎用二维超声检测心包有什么异常所见()
A.心包腔内有积液及心包上有团、块状回声
B.心包增厚(>2mm)并常有粘连
C.心包腔内有大量心包积液的无回声区
D.心包腔内积液随体位而变动
E.心包变薄
44、单项选择题 关于声束扫描和声像图的描述,不正确的是()
A.声束扫描是利用探头发射的聚焦声束进行的断层扫描
B.声束扫描的聚焦区宽,远区窄
C.超声波长取决于所用探头频率
D.超声声束与CT所用的X线束不同
E.将探头在体表的移动,显示屏上超声扫描线作相应的移动形成二维超声
45、单项选择题 以下哪个是腹膜后位器官()
A.胰腺
B.肝脏
C.小肠
D.胆囊
E.脾脏
46、单项选择题 赵某,男,15岁,发现多处自发性骨折。近2个月病情发展很快,超声显示:甲状腺后下方见一巨大、分叶状实性肿物,边界不清。CDFI:测出动静脉瘘,临床拟诊断甲状旁腺功能亢进,最可能诊断()
A.甲状腺瘤
B.甲状旁腺瘤
C.甲状腺囊肿
D.甲状旁腺增生
E.甲状旁腺囊肿
47、多项选择题 二尖瓣狭窄的M型超声心动图变化为()
A.二尖瓣前后叶呈同向运动,其特异性强
B.二尖瓣曲线增厚,回声增强
C.二尖瓣前叶EF斜率降低
D.左心房扩大,合并心房纤颤者可见左房附壁血栓
E.二尖瓣前叶呈城墙样改变
48、单项选择题 选用超声耦合剂错误的是()
A.应满足阻抗匹配条件
B.耦合剂越厚越好
C.让超声尽量多进入人体
D.排除空气,增加透声性
E.特性阻抗接近人体(软组织)的特性阻抗
49、单项选择题 下列哪项不是彩色血流显像时可能出现的伪像()
A.色彩倒错
B.振铃效应
C.室壁幻影
D.瓣叶赝影
E.镜像反射
50、单项选择题 超声图像,形成线状高回声的是()。
A.皮肤
B.脂肪
C.纤维组织
D.结石
E.实质脏器
51、单项选择题 孕几周以后可作胎头测量()
A.9周
B.10周
C.11周
D.12周
E.8周
52、单项选择题 入射角为多少度时,几乎检测不到回声反射而表现为“回声失落”()
A.310°
B.320°
C.330°
D.345°
E.360°
53、单项选择题
图中胆囊声像图最为可能诊断为()
A.单纯性胆囊炎
B.急性化脓性胆囊炎
C.胆囊穿孔
D.慢性胆囊炎
E.胆囊癌
54、单项选择题 含液性病变的声像图特点中,下列哪项是错误的()
A.外形呈圆形或椭圆形
B.边缘光滑、整齐
C.内部低回声或强回声
D.后方回声增强
E.侧方声影有内收
55、单项选择题 中晚期妊娠常采用下列哪些参数估算孕龄,以提高诊断准确性()①BPD②HC③AC④FL
A.①
B.①②
C.①②③
D.①②③④
E.①③
56、单项选择题 3.5MHz的脉冲通过2cm的软组织后,会衰减多少分贝(dB)()
A.7dB
B.3.5dB
C.2.7dB
D.3.75dB
E.1.75dB
57、单项选择题 经腹壁胃肠超声检查前准备,下列哪一项是正确的()
A.检查应安排在X线钡剂检查之后
B.检查中可饮水500ml-700ml,以充盈胃腔
C.禁食4小时
D.大肠检查前需禁食
E.胃镜检查之后
58、单项选择题
晚孕胎儿脑部声像图,最可能的诊断是()
A.正常声像图
B.淋巴管囊肿
C.脑膜膨出
D.脑积水
E.露脑畸形
59、单项选择题
该病例最可能的诊断()

A.真性室壁瘤
B.假性室壁瘤
C.室壁憩室
D.扩张型心肌病
E.膜部瘤
60、单项选择题 由超声多次发射而引起的伪像叫()
A.切面厚度伪像
B.混响
C.声影
D.旁瓣伪像
E.折射伪像
61、单项选择题 肝脏炎性假瘤不正确的说法是()
A.低回声结节
B.等回声结节
C.中心部常见高回声斑点
D.彩超显示放射状分布的血流信号
E.内部回声不均匀
62、单项选择题
男,49岁,肥胖,血脂增高。结合超声声像图诊断为()

A.炎性假瘤
B.非均匀性脂肪肝
C.肝硬化
D.肝结节病
E.肝炎
63、单项选择题 以下哪项不是冠心病室壁瘤的超声所见()
A.局部心壁向外膨出
B.心尖部室壁瘤使左室呈“倒葫芦状”
C.膨出处室壁变薄,回声增强
D.病变局部室壁运动幅度增大
E.瘤壁与室壁相延续
64、单项选择题 彩色多普勒血流显像图最常用于哪一些部位病变()
A.肝
B.胰
C.血管性病变
D.肿瘤
E.囊肿
65、单项选择题 用于探测频移的仪器称()
A.多普勒仪
B.实时仪
C.B型仪
D.静态扫描仪
E.A型仪
66、单项选择题 女性内生殖器包括()①阴道②子宫③输卵管④卵巢
A.①
B.①②
C.①②③
D.①②③④
E.②③
67、名词解释 成像帧率
68、单项选择题 下列哪种气体不能用于超声造影()
A.空气
B.二氧化碳气体
C.氧气
D.纯氮气体
E.氟碳气体
69、单项选择题 M型超声显示二尖瓣前叶DE幅度减低,EF斜率减慢,EPSS增大且前后叶呈同向运动,此时最可能的诊断是()
A.二尖瓣脱垂
B.二尖瓣关闭不全
C.二尖瓣狭窄
D.二尖瓣上赘生物形成
E.二尖瓣环钙化
70、单项选择题 胎儿肛门闭锁,超声表现是()
A.单泡征
B.胎儿上腹部双泡征
C.近端小肠显著扩张
D.胎儿骨盆断面“双叶形”囊性肿物
E.食管成管状无回声区
71、单项选择题
女,28岁,无任何不适,体检。声像图如图所示,诊断为()
A.胆囊结石
B.胆囊息肉
C.胆囊胆固醇结晶
D.胆囊腺瘤
E.胆囊癌
72、单项选择题
女性,39岁,胃癌术后。妇科检查:两附件区触及包块。超声检查如图,最可能的诊断为()
A.囊腺癌
B.囊腺瘤
C.黄体囊肿
D.转移性卵巢癌
E.无性细胞瘤
73、单项选择题
女性,28岁,停经46天,阴道不规则出血5天。血HCG68μg/ml。结合超声图像,最可能的诊断为()
A.畸胎瘤
B.附件炎性包块
C.子宫浆膜下肌瘤
D.宫外孕
E.囊腺瘤
74、单项选择题 以下人体组织、体液回声强度的描述,哪一项不正确()
A.均质性液体如胆汁、囊液、尿液通常为无回声
B.非均质性液体如囊肿内合并出血,回声可以增多、增强
C.均质性实质器官如肝脏和脾脏,内部呈中等回声
D.软骨属于固体,内部回声较多、较强
E.骨骼和钙化的组织,回声显著增强
75、单项选择题 采用低频滤波装置时,保留的超声信号来自()
A.心壁
B.腱索
C.瓣膜
D.血管壁
E.血流
76、单项选择题
调节超声仪灵敏度的方法()
①通过发射频率放大器改变回声波幅
②用输出衰减器调节由探头发出的声脉冲强度
③调节焦点,使测量尺光点不易看到
A.①
B.①②
C.①③
D.①②③
E.②③
77、单项选择题 卵巢非赘生性囊肿临床表现和声像图特征,不正确的是()
A.黄体囊肿是黄体形成过程中黄体血肿液化形成
B.黄素囊肿与滋养细胞瘤伴发
C.黄素囊肿多呈双侧性
D.卵巢非赘生性囊肿是卵巢囊性肿瘤,多不能自行消退
E.绝经后妇女较少见
78、单项选择题
一患者,发热,右上腹痛,血常规检查白细胞增多。结合超声声像图,诊断为()
A.肝脓肿
B.肝血管瘤
C.肝癌
D.脂肪肝
E.肝囊肿
79、单项选择题 从子宫侧缘到盆腔的翼状双层腹膜反折将盆腔分成前后两个间隙,这一结构是()
A.输卵管
B.圆韧带
C.阔韧带
D.髂腰肌
E.主韧带
80、单项选择题 孕几周前出现Ⅲ级胎盘则应考虑胎盘早熟()
A.37周
B.38周
C.39周
D.40周
E.38.5周
81、单项选择题 孕20周后下列哪项是胎儿脑积水的诊断依据()
A.双顶径
B.头围
C.羊水多少
D.脑室率
E.腹围
82、单项选择题
患者,胃癌手术后2年,髂窝处声像图表现如图,诊断是()
A.正常声像图
B.肿大淋巴结
C.阑尾脓肿
D.肠道转移灶
E.动脉瘤
83、单项选择题
此为哪种疾病的超声解剖示意图()
A.法四
B.右室憩室
C.左心发育不良综合征
D.心内膜垫缺损
E.以上都不对
84、问答题 正常中、晚期妊娠胎儿的声像图上可以观察到哪些结构?
85、单项选择题 尿路梗阻对肾脏造成危害中,哪一项是错误的()
A.尿路任何部位的梗阻均可造成肾积水
B.单侧肾积水是上尿路梗阻所致,双侧肾积水多为下尿路梗阻所致
C.梗阻部位越低,对肾脏造成危害的时间越快
D.肾外肾盂积水时,肾盂向外扩张,肾实质受影响慢
E.巨大肾积水均为长期部分性尿路梗阻所致
86、判断题 非梗阻性肥厚型心肌病患者M型超声心动图常见到SAM征。
87、单项选择题 彩色多普勒血流成像规定()。
A.朝向探头的血流为红色
B.背向探头的血流为红色
C.朝向探头的血流为蓝
D.背向探头的血流为绿色
E.朝向探头的血流为绿色
88、单项选择题 绒毛膜癌超声检测时,应注意哪些器官()①脑和肺②肝③肾④消化道
A.③④
B.②③
C.①
D.①②③
E.①②③④
89、判断题 泪腺肿瘤恶性者USG境界不规整,加压探头时肿瘤不变形。
90、问答题 简述超声诊断仪的主要组成部分。
91、单项选择题 前列腺囊肿的超声表现()
A.前列腺内圆形、椭圆形无回声,边界光滑清晰,后方声加强
B.前列腺内圆形、椭圆形增强回声,后方声衰减
C.前列腺内形态不规则无回声,边界模糊不清
D.前列腺内圆形、椭圆形低回声,向膀胱内突起
E.以上都不是
92、单项选择题
患者,男,右下腹有压痛,时有腹泻。结合超声声像图,诊断是()
A.溃疡性结肠炎
B.结肠癌
C.阑尾脓肿
D.肠结核
E.肠梗阻
93、填空题 乳腺的超声检查适用于_______和_______妇女乳腺疾病的筛选和普查。
94、单项选择题 边缘性前置胎盘的声像图特点是()
A.胎盘下缘部分覆盖子宫颈内口
B.胎盘完全将子宫颈内口覆盖
C.胎盘下缘抵达子宫颈内口,但未覆盖宫颈内口
D.胎盘部分在子宫下段,距宫颈内口约5cm
E.胎盘部分在子宫下段,距宫颈内口约7cm
95、单项选择题 下列不符合双胎双顶径测量特点的是()
A.双胎之间双顶径差应在4mm之内
B.双胎之间双顶径的差应在1~2cm之间
C.双胎中甲胎比乙胎双顶径小6mm,应认为甲胎宫内发育迟缓
D.双胎双顶径稍小于单胎双顶径
E.双胎双顶径稍大于单胎双顶径
96、单项选择题 腮腺囊肿的超声表现是()
A.形态规整,多呈圆形或多边形
B.轮廓边界完整,呈锯齿状
C.内呈不均质混合回声
D.透声性欠佳,后方轻度衰减
E.边界完整,内为无回声,后方回声增强
97、单项选择题 右肝肋缘下向上扫查时常可见到镜面伪像,下列哪项是错误的()
A.正常肝脏:膈下为肝脏实像,膈上为肝脏虚像
B.肝内肿瘤:膈下、膈上各有一个对称的肿瘤,前者为实像,后者是伪像
C.肝内囊肿:膈下、膈上各有一个对称性肿瘤,前者为实像,后者是伪像
D.右侧胸腔积液时,以上镜面伪像更明显
E.右侧胸腔积液时,以上镜面伪像消失
98、单项选择题
某患者五日前阴囊碰伤,现感右侧阴囊不适,超声声像图如下,最可能的诊断为()
A.睾丸血肿
B.精原细胞瘤
C.睾丸炎
D.睾丸扭转
E.睾丸脓肿
99、单项选择题 经腹壁胃肠超声检查前准备,下列哪一项是错误的()
A.检查应安排在X线钡剂检查之后
B.检查前1天晚餐宜进流食
C.禁食8小时-12小时
D.大肠检查不必禁食
E.胃内潴留物较多时可考虑洗胃
100、单项选择题 左肝管与右肝管汇合形成肝总管常见于()
A.肝门部
B.肝实质内
C.胰腺水平
D.胆囊窝
E.壶腹部
101、单项选择题 无法进食并给予静脉营养的病人胆囊将会产生()
A.下垂
B.病理性扩张
C.收缩
D.病变
E.憩室
102、单项选择题
患者女36岁,反复上腹部疼痛不适数10年,偶尔皮肤、巩膜黄染。B超检查如图所示,根据超声声像图,诊断为()
A.左肝内胆管癌
B.左肝内胆管蛔虫
C.左肝内胆管胆泥淤积
D.左肝内胆管结石
E.左肝钙化灶
103、单项选择题 关于彩色多普勒血流成像下述哪一种性能是正确的()
A.能显示平均速度为零的灌注区的血流
B.血流成像对超声入射角度的相对非依赖性
C.不出现彩色血流信号混叠
D.不能显示血流速度快慢
E.能显示血流方向
104、单项选择题 下列关于反射系数的描述中,错误的是()
A.两种介质声阻抗相同时,反射系数为0
B.两种介质声阻抗相差很大时,反射系数大
C.两种介质声阻抗只要有1‰的差异就会产生反射回波
D.声束垂直于界面入射时可得到最佳反射效果
E.当一种介质声阻抗值很小时,反射系数总是很小
105、单项选择题 孕几周后仍为0级胎盘,则应疑有妊娠糖尿病、母子Rh因子不合引起胎盘成熟延迟()
A.20周
B.24周
C.28周
D.32周
E.26周
106、单项选择题 视神经全长多少毫米,分几段,超声检测可显示哪几段()
A.<33mm,3段,各段
B.33~55mm,4段,球壁、眶内段
C.33~55mm,4段,球壁、眶内、管内段
D.55mm,4段,球壁、眶内、颅内段
E.60mm,4段,球壁、眶内、颅内段
107、单项选择题 关于胎儿头臀长的描述,下面哪项是错误的()
A.是胎儿头顶到臀部的最大直线距离
B.是最准确的估测孕龄的超声监测指标之一
C.测量应包括卵黄囊
D.是测量胎儿长度的指标
E.胎儿前屈或后倾均可影响测量结果
108、问答题 移植肾的声像图表现有哪些?
109、单项选择题 在哪个切面上同时显示三尖瓣、主动脉瓣、肺动脉瓣()
A.胸骨旁大血管短轴切面
B.心尖四腔切面
C.胸骨旁左室长轴切面
D.胸骨旁乳头肌短轴切面
E.心尖两腔切面
110、单项选择题 恶性病变的声像图特点中,应除外()
A.形态较规则
B.边缘不光滑或断续
C.内部回声低弱或增强
D.后方回声衰减明显
E.周围组织呈浸润性改变
111、单项选择题 股骨长度测量是()
A.从近端股骨颈到远端股骨髁
B.从股骨头到内上髁
C.从大转子到远端股骨髁
D.不包括股骨颈及远端骨骺的股骨骨干全长
E.以上都不是
112、单项选择题
患者眼前闪光,视力减退1周。结合超声声像图,最可能的诊断是()
A.局限性脉络膜脱离
B.局限性视网膜脱离
C.完全性视网膜脱离
D.玻璃体后脱离
E.以上均不对
113、单项选择题 胎盘早剥应与下列哪项相鉴别()①胎盘后静脉丛②子宫壁局部收缩③胎盘后子宫肌瘤④胎盘内大血窦
A.①
B.①②
C.①②③
D.①②③④
E.①④
114、问答题 前列腺增生超声声像图表现?
115、单项选择题 下列哪项与甲状腺腺瘤无关()
A.圆形或椭圆形肿物,边缘光滑,有包膜,周围有晕征
B.内部为实性低回声、增强回声、等回声
C.囊性变或出血时呈混合性回声,甚至无回声,乳头状囊腺瘤的囊壁可见乳头状或团块状突起
D.肿物后方回声明显衰减
E.肿物周边声晕处可见丰富的动静脉血流,内部乳头上可见少量血流分布
116、单项选择题
女性,29岁,停经28周,产前超声检查如图,最可能的诊断为()
A.胎儿畸形,脑积水
B.胎儿畸形,腹壁裂
C.胎儿畸形,室间隔缺损
D.胎儿畸形,无脑儿
E.胎儿畸形,露脑畸形
117、单项选择题 声阻抗产生与下列哪项最有关系()
A.声束宽度和交界面曲度
B.振荡频率和晶片的体积
C.超声在组织中的声速和组织密度
D.声波能量和组织敏感度
E.声波能量和组织密度
118、单项选择题 超声图像中,形成线状强回声的是()
A.皮肤
B.脂肪
C.纤维组织
D.结石
E.实质脏器
119、单项选择题 后方回声增强效应不常见于()
A.肝囊肿
B.肝内血管瘤
C.正常胆囊
D.肾囊肿
E.充盈的膀胱
120、单项选择题 宫腔回声显著增强常见于()①子宫内膜肥厚②子宫内膜息肉③异位妊娠④早期宫内妊娠⑤子宫肌瘤玻璃样变性⑥宫腔积液
A.①②③
B.①②③④
C.①②③④⑤
D.①②③④⑤⑥
E.①②④⑥
121、单项选择题 心包肿瘤最重要的超声所见是()
A.在心包脏层或壁层有形状不规则的团块状回声
B.心包增厚、钙化
C.心包腔内有条索状回声
D.心包有大量积液
E.心包脏层、壁层有粘连
122、单项选择题 有关肺动脉的描述,以下哪项是正确的()
A.肺动脉起自左心室
B.左肺动脉经主动脉弓下方经过
C.肺动脉位于主动脉的左前方
D.动脉导管常位于右肺动脉根部
E.肺动脉瓣呈“晶字形”排列
123、单项选择题 发生在妊娠早期的卵巢非赘生性囊肿是()
A.卵泡囊肿
B.黄体囊肿
C.黄素化囊肿
D.巧克力囊肿
E.多囊卵巢
124、单项选择题 人体中声衰减高并可能伴有声影的组织结构,不包括()
A.骨骼表面
B.含气的肺组织
C.胆结石
D.陈旧瘢痕组织
E.肝、脾包膜
125、单项选择题 男性,血尿时伴尿中断,最可能的诊断为()
A.膀胱血块
B.膀胱结石
C.膀胱肿瘤
D.膀胱憩室
E.膀胱壁钙化
126、单项选择题 胆道出血、感染时,胆汁回声强度变化规律错误的是()
A.感染的胆汁可出现回声
B.混有血细胞的胆汁回声增多
C.混有血凝块的胆汁回声增多显著
D.混有微气泡的胆汁回声减少显著
E.脓性胆汁回声增多
127、单项选择题 除哪一项外均为肝硬化晚期的的超声表现()。
A.肝脏缩小,形态失常
B.实质弥漫性增强,光点增粗,可有结节样回声
C.肝静脉走行及管腔无异常改变
D.胆囊壁呈双边影样增厚
E.门静脉扩张,脾大,腹水
128、单项选择题 妊娠几周后妊娠囊消失()
A.6周
B.7~8周
C.9~10周
D.11~13周
E.16周
129、问答题 超声诊断游走肾的依据是什么?
130、单项选择题
患者,右下腹压痛,体温38.5℃。根据右下腹声像图表现,诊断是()
A.腹膜炎
B.结肠癌
C.阑尾脓肿
D.单纯性阑尾炎
E.腹水
131、单项选择题 子宫肌瘤彩色多普勒经腹超声特征是()
A.肌瘤中心见丰富血流,分布规则
B.肌瘤中心见丰富血流,分布杂乱
C.肌瘤周围显示血流,呈环状或半环状
D.肌瘤内多见极丰富血流
E.无血流
132、单项选择题 测量双顶径时,如果中线回声呈连续而不中断,说明扫查平面()
A.正常
B.太高
C.太低
D.探头损坏
E.以上都不是
133、单项选择题 声波入射到两个介质的界面上,如果界面的线度远远大于波长,则产生()
A.反射
B.衍射
C.散射
D.衰减
E.增强
134、单项选择题 肝内血管纹理减少最常见于()
A.肝硬化
B.门静脉梗阻性疾病
C.布加综合征
D.急性重症肝炎
E.脂肪肝
135、单项选择题
图中睾丸上方囊性回声为()
A.附睾囊肿
B.精索囊肿
C.睾丸附件囊肿
D.附睾附件囊肿
E.附睾炎
136、单项选择题 下列哪一项不是影响超声传播速度的因素?()
A.声阻系数
B.频率
C.介质密度
D.温度
E.介质弹性
137、单项选择题 正常成人妇女乳腺通常不包括的组成内容是()
A.平滑肌
B.腺叶
C.小叶
D.腺泡
E.导管
138、单项选择题
患者,发热,颈部及腹股沟可触及包块。清洁灌肠后,行中腹部超声检查,声像图表现如图,最可能的诊断是()
A.淋巴瘤
B.胰头癌
C.结肠癌
D.腹腔结核
E.腹膜后肿瘤
139、单项选择题 下列哪种疾病不属于肝弥漫性病变()
A.肝硬化
B.肝淤血
C.脂肪肝、酒精性肝病
D.肝血吸虫病
E.布加综合征
140、单项选择题 先天性两侧肾脏下极相连接的称为()
A.马蹄肾
B.肾柱肥大
C.驼峰征
D.重复肾
E.一侧肾缺如
141、单项选择题 下列对超声诊断仪的维护和保养措施中,哪项是不恰当的()
A.防尘,保持室内清洁
B.防潮,经常开机
C.使用带地线的三相电源,不必再接专门的地线
D.防高温,避免阳光直晒
E.减少震动
142、单项选择题
女,40岁,间断无痛性血尿1年,声像图示右肾中下部6×5cm中等偏低回声肿块,边界清楚,内部回声欠均匀,肿块向肾表面隆起,并推挤肾窦,右肾静脉内实填。考虑诊断是()
A.肾血管平滑肌脂肪瘤
B.肾母细胞瘤
C.肾细胞癌
D.肾盂癌
E.肾腺瘤内呈镶嵌样结构
143、单项选择题 在急性骨髓炎时,早期最易探查到的超声征象是()
A.骨膜下脓肿呈现带状无回声改变,骨膜增厚呈拱形抬高表现
B.正常骨纹理消失,骨皮质回声中断
C.骨质中出现边缘不清,外形不规整的低回声区夹杂着点状强回声
D.软组织肿胀,有脓肿形成时可探到无回声区
E.脓肿穿破皮肤,形成窦道,局部软组织纹理中断
144、单项选择题 下列人物中不属于拜伦作品中的“拜伦式英雄”形象的是()。
A、曼弗雷德
B、康拉德
C、恰尔德•哈洛尔德
D、唐•璜
145、单项选择题
孕8周时感冒,产前超声检查胎儿心脏见图,最可能的诊断是()
A.单心室
B.房间隔缺损
C.室间隔缺损
D.大动脉转位
E.正常心脏
146、单项选择题 下列哪一项与淋巴乳状囊腺瘤无关()
A.实性均匀性低回声团块
B.形态尚规则,与周围组织分界清晰
C.无被膜轮廓线
D.后方回声无增强,亦无衰减
E.CDFI显示分支型血流分布,PSV<60cm/s,RI0.55~0.80
147、单项选择题 自相关技术的主要优点是()
A.高速数据处理技术
B.电子聚焦
C.γ校正
D.帧频调节
E.良好的后处理技术
148、单项选择题 肝脏通过肝左、右静脉和门静脉及其走向,把肝分为几个Couinaud解剖功能段?()
A.6个
B.8个
C.10个
D.4个
E.以上都不是
149、多项选择题 限制性心肌病的超声表现正确者为()
A.相应的室壁、室间隔增厚,室壁运动僵硬、低下
B.相应部位的心室内膜增厚呈不均分布;回声增强
C.心房极度扩大,可有低速云雾状旋涡血流回声
D.房室瓣EF斜率减慢
E.心包增厚伴少至大量心包积液
150、单项选择题 十二指肠水平段位于()
A.肠系膜上动脉上方
B.肠系膜上动脉前方
C.肠系膜上动脉后方
D.下腔静脉后方
E.腹腔动脉后方
151、单项选择题 为检查肝细胞癌的病灶内血流,用哪一种多普勒技术最简便有效()
A.M型彩色多普勒
B.彩色多普勒血流显像
C.多普勒能量图
D.彩色多普勒能量图与超声造影并用
E.以上都不是
152、单项选择题 以下哪项是肝细胞肝癌的特异性表现()。
A.类圆形的实性团块
B.局部轮廓隆起
C.外周绕有声晕,内有“块块”或“镶嵌征”
D.绕有强回声边缘的结节
E.外周血管受压
153、单项选择题 浅表小器官成像帧频应达到()
A.10帧以上
B.16帧以上
C.20帧以上
D.30帧以上
E.60帧以上
154、单项选择题 下列诊断法中属于辉度调节型的是()
A.B超声诊断法
B.A超声诊断法
C.M超声诊断法
D.超声频移诊断法
E.多普勒诊断法
155、单项选择题 双胎妊娠最常见的胎位是()
A.双胎均为头位
B.双胎均为臀位
C.一个头位和一个臀位
D.一个头位和一个横位
E.双胎均为横位
156、单项选择题
根据胎儿声像图,可见清晰脊柱和头颅光环,该胎儿至少应大于多少周()
A.12周
B.8周
C.6周
D.28周
E.32周
157、单项选择题 与频谱多普勒相比,彩色多普勒的优点是()
A.显示血流速度的范围
B.显示高速血流时无混叠
C.计算流速更准确
D.切面上可直观显示血流情况
E.定量计算血流容积
158、单项选择题 常向子宫浸润,并向肺、脑转移的滋养细胞病变是()
A.绒毛膜癌
B.完全性葡萄胎
C.胎盘水泡状变性
D.部分性葡萄胎
E.以上都是
159、问答题 前列腺癌的声像图表现有哪些?
160、单项选择题 超声容易显示的侧支循环是()①胃左静脉、胃静脉、食管静脉②脐静脉③脾静脉、肾静脉④后腹膜静脉⑤肠系膜上静脉
A.①
B.①②
C.②③⑤
D.①③④⑤
E.①②③④⑤
161、单项选择题 下列关于卵巢巧克力囊肿的描述,错误的是()
A.半数以上累及双侧卵巢
B.囊肿直径多>5cm
C.单发或多发囊肿
D.病理为黄体囊肿
E.囊肿常与邻近结构粘连
162、单项选择题 患者阴道出血,停经60天,尿HCG(+),超声见子宫稍增大,宫腔内未见胎囊及胎芽,应考虑()
A.先兆流产
B.难免流产
C.过期流产
D.完全流产
E.异位妊娠
163、单项选择题 下列哪一项与子宫内膜癌超声鉴别诊断无关()
A.子宫肌瘤变性
B.绒毛膜上皮癌
C.子宫颈囊肿
D.子宫平滑肌肉瘤
E.多发性子宫肌瘤
164、单项选择题 超声三维重建技术目前的临床应用情况是()
A.正处于发展改进阶段
B.作为常规已成功的用于临床
C.图像已非常逼真
D.用于心脏实时成像已变得简单、易行
E.现在已能取代二维超声及彩超
165、单项选择题 以下哪项属于子宫肌瘤良性退行性变()①玻璃样变②钙化③脂肪变性④肉瘤样变
A.①
B.①②
C.①②③
D.①②③④
E.④
166、单项选择题
患者,女性,产后,右乳房肿胀,疼痛,红肿,超声见回声不均匀,低回声内见点状回声流动。如图所示考虑为()
A.乳腺囊肿
B.乳腺脓肿
C.乳腺癌
D.乳腺腺瘤
E.纤维瘤
167、单项选择题 试述左心血液循环的主要途径()
A.血液从外周动脉到毛细血管,再经外周静脉回主动脉
B.血流从左心到主动脉再到外周动脉、毛细血管网、静脉系统、最后经腔静脉回右心房
C.血流从腔静脉到右心房再到右心室
D.血流从肺动脉到肺静脉
E.血流从右心房到左心房到肺动脉
168、填空题 前置胎盘分为_______________、_______________、_________________和_______________。
169、问答题 女性内生殖器官的正常超声测值是多少?
170、单项选择题
男、30岁,体检时发现脾门处光团,根据超声声像图诊断为()
A.副脾
B.淋巴结
C.转移癌
D.脾脓肿
E.左肾上腺肿瘤
171、单项选择题
患儿青紫,存室间隔缺损,如图所示,诊断最可能()

A.肺动脉瓣狭窄
B.主动脉内径增宽
C.法洛四联症
D.法洛三联症
E.房间隔缺损
172、单项选择题 彩色多普勒血流显像仪的工作流程不包括下列哪项内容()
A.将多普勒信号进行A/D转换
B.经自相关技术计算多普勒平均速度、方向和速度分散
C.依血流方向及流速做彩色处理
D.彩色血流图与灰阶图像叠加
E.不需再经D/A转换
173、单项选择题 胎盘位于子宫哪个部位,超声最易显示()
A.前壁
B.后壁
C.宫底
D.侧壁
E.以上都是
174、单项选择题 彩色多普勒技术不可以与下列哪种技术并用()
A.二维超声显像
B.频谱多普勒
C.三维超声显像
D.M型超声心动图
E.以上都不是
175、单项选择题 对子宫内膜癌手术范围选择及预后判断最重要的声像图表现是()
A.肿瘤血流丰富
B.肿块大小
C.子宫肌层浸润深度大于50%
D.肿块形态
E.肿块回声不均
176、单项选择题 下列骨及软骨的正常声像图哪项错误()
A.骨皮质为平直连续光滑的强回声
B.骨髓若显示,呈弱回声
C.骨的骺端膨大,表面薄而光整
D.纤维软骨为中等回声,透明软骨为强回声
E.骨松质为内部有散在强斑点的弱回声
177、单项选择题 超声用于骨折的主要目的是()
A.辅助诊断骨折,指导手法复位
B.鉴别血肿与软组织水肿
C.复杂骨折的实质性器官的排除性检查
D.评价骨折延迟愈合和骨不连接的原因
E.以上都是
178、单项选择题 经腹超声测量正常成人前列腺的大小约()
A.长3cm,宽4cm,厚2cm
B.长4cm,宽3cm,厚2cm
C.长3cm,宽4cm,厚3cm
D.长2cm,宽3cm,厚4cm
E.长2cm,宽4cm,厚3cm
179、单项选择题
患者女53岁,上腹部疼痛不适半年余,皮肤、巩膜黄染进行性加重。B超检查如图所示,根据超声声像图诊断为()
A.胆总管下段癌
B.胰头癌
C.胆总管炎性狭窄
D.胆总管结石
E.胆总管蛔虫
180、单项选择题 关于原发性输卵管癌,下述哪项说法是错误的()
A.常伴有不孕症
B.发病率仅次于卵巢癌
C.阴道排液为间断性
D.主要症状是阴道多量排液
E.可能与结核性输卵管炎有关
181、单项选择题
患者体检发现睾丸小肿块,结合超声图像,最可能的诊断是()
A.睾丸囊肿
B.睾丸结核
C.白膜囊肿
D.睾丸腺癌
E.附睾囊肿
182、单项选择题
患者上肢可扪及一包块,质软、活动度差,加压可变形。如图,提示为()
A.脂肪瘤
B.纤维瘤
C.软组织局限增厚
D.炎性包块
E.以上均不是
183、单项选择题 关于子宫体癌的病理学改变及诊断,不正确的是()
A.又称子宫内膜癌,发生在子宫内膜
B.子宫内膜为弥漫性增厚或团块状
C.始发于更年期与绝经期的妇女
D.声像图能显示内膜增厚,故早期即能确诊
E.主要临床表现为阴道出血
184、单项选择题 冠状动脉粥样硬化性心脏病(冠心病)的主要病理改变是什么()
A.动脉内膜上形成粥样硬化斑块,使管腔狭窄
B.冠脉与心室交通形成冠状动脉瘘
C.冠脉中层(肌层)代偿性增生
D.冠脉内膜破损,形成夹层动脉瘤
E.冠脉瘤样扩张形成动脉瘤
185、单项选择题
男,有结肠癌病史。结合超声声像图,诊断为()
A.脾转移性肿瘤
B.脾梗死
C.脾血肿
D.脾脓肿
E.脾血管瘤
186、判断题 慢性泪腺炎USG显示泪腺呈杏核状增大,边界清楚,内回声中等或较弱。
187、单项选择题 彩色多普勒及脉冲多普勒诊断肾移植术后急性排异的标准()①CDFI:肾内血流明显减少呈断续、星点状、斑块状②肾动脉RI≥0.80,PI>1.8③CDFI:肾内血流明显增多④肾动脉RI≤0.80,PI<1.8
A.①②
B.①④
C.②③
D.①②③
E.以上都不是
188、单项选择题 男,26岁,4年前因车祸脾切除现无明显不适。超声检查见脾区有一类圆形结节,实质回声与脾脏相似,边界清楚。其可能的提示为()
A.血管瘤
B.陈旧性血肿
C.副脾
D.炎性肿块
E.以上都不是
189、单项选择题 先天性髋关节完全脱位的声像图特点是()①股骨头从髋臼内全部脱出②股骨头向后上方软组织内移位③股骨头与髋臼间出现较宽间隙④髋臼窝变形
A.①
B.①②
C.①②③
D.①②③④
E.②③④
190、单项选择题
某患者月经量多就诊,经阴道超声声像图如下,最可能的超声诊断为()
A.子宫内膜癌
B.子宫粘膜下肌瘤
C.绒癌
D.子宫腺肌症
E.子宫浆膜下肌瘤
191、单项选择题
该病例最有可能诊断是()

A.高血压病
B.主动脉瓣下狭窄
C.肥厚型梗阻性心肌病
D.非梗阻性心肌病
E.主动脉瓣狭窄
192、单项选择题 宫内避孕器正常位置是()
A.宫颈内
B.宫底
C.宫腔内
D.子宫角内
E.避孕器上端距宫底大于2cm
193、单项选择题
某患者因血尿就诊,下腹部声像图如图,根据图中表现及所标志的体位,最可能的超声诊断为()
A.前列腺增生并钙化
B.膀胱结石
C.膀胱癌
D.前列腺癌
E.膀胱血块
194、单项选择题
用超声作为软组织显像技术的优点为()
①无损伤
②对病人和操作者都安全
③可明确地显示出软组织的功能
A.①
B.①②
C.①②③
D.①③
E.②③
195、单项选择题 急性期肌腱撕裂的声像图表现有()①肌腹端回缩,断端分离,肌腱回声中断、消失②断端呈梭形低回声③断裂处呈小锥形低回声区,肌腱边缘不光滑④断端呈中等或强回声
A.①
B.①②
C.①②③
D.①③④
E.①②③④
196、单项选择题 鉴别囊肿与实性肿瘤最可靠的依据是()
A.边界光滑,整齐与否
B.外形是否圆形或椭圆形
C.内部无回声或有回声
D.后方回声增强与否
E.边界回声、外形、内部回声、后方回声综合分析
197、单项选择题 超声造影检测外周血管异常,下列哪一项是错误的()
A.动脉血栓形成使血流充盈缺损
B.静脉血栓形成使血流充盈缺损
C.动脉扩张时血流明显加速
D.动脉狭窄时血流变细
E.动脉闭塞时无血流显示
198、单项选择题 用三尖瓣返流血流怎样定量计算肺动脉收缩压()
A.RVSP=△P(TR)(三尖瓣返流峰速换算压差)+RAP
B.RVSP=RVDP+RAP
C.RVSP=△P(MR)(二尖瓣返流峰速换算压差)+RAP
D.RVSP=△P(AR)(主动脉瓣返流峰速换算压差)+RAP
E.RVSP=△P(TR)(三尖瓣返流峰速换算压差)-RAP
199、单项选择题 血液、尿液、胆汁、胸腹水在人体体液中声衰减程度谁最低()
A.血液
B.尿液
C.胆汁
D.胸腹水
E.声衰减一样
200、单项选择题 肝方叶与尾状叶的分界标志()
A.静脉韧带
B.门静脉左支矢状段
C.门静脉左支横段
D.肝左静脉
E.肝圆韧带
201、单项选择题 胎盘早剥的临床和超声表现,下列哪一项是错误的()
A.妊娠晚期阴道出血
B.胎盘覆盖宫颈内口
C.分为胎盘后与边缘出血
D.可导致早产、胎儿死亡
E.系底蜕膜出血,形成血肿
202、单项选择题 骨软骨瘤的超声表现是()
A.长骨干骺表面向外突起的骨性隆起
B.瘤体呈半圆、三角及蕈伞状
C.回声与正常骨组织相同
D.软骨帽回声强弱、厚薄及形态不等
E.以上都是
203、单项选择题 超声诊断恶性滋养细胞肿瘤,应注意()①子宫内或宫旁病灶,因病变侵犯程度不同或血管供应范围不同②不同部位病灶的RI不同③应结合临床、病史、HCG结果④经阴道超声检查阳性率明显高于经腹检查
A.①②
B.①②③
C.①②④
D.①②③④
E.①③④
204、单项选择题 平均胆囊含胆汁多少ml()
A.30ml
B.40ml
C.50ml
D.60ml
205、单项选择题
男,25岁,左腰痛2小时伴镜下血尿,超声显示左肾盂左输尿管轻度扩张,膀胱超声图如下,可提示诊断是()
A.左输尿管囊肿
B.左输尿管结石
C.左输尿管肿瘤
D.左输尿管狭窄
E.以上都不是
206、单项选择题 子宫底向后弯曲,倾倒在子宫直肠窝内,这是什么位子宫的声像图特点()
A.前倾位
B.后倾后屈位
C.水平位
D.前倾后屈位
E.以上都不是
207、单项选择题 妇女乳腺受内分泌影响从发育至老年分期哪项是错误的()
A.青春前期
B.青春期
C.成熟期
D.妊娠、哺乳期
E.老年萎缩期
208、单项选择题 嗜铬细胞瘤的声像图表现,哪一项不正确()
A.肿瘤大小差别较大
B.多呈圆形或椭圆形
C.边界呈强回声带
D.肿瘤内为中等回声,有时可见液性无回声
E.都在肾上腺区
209、单项选择题 人体组织与体液中,下列哪种最能使声衰减程度加重()
A.胆汁
B.血液
C.脂肪
D.胶原纤维
E.钙质
210、单项选择题
女性,28岁,停经42天,血HCG258μg/ml。结合超声图像,最可能的诊断为()
A.畸胎瘤
B.卵巢癌
C.双子宫并早期妊娠
D.子宫浆膜下肌瘤
E.双子宫并宫腔积液
211、单项选择题 左心腔超声造影不能用于下列哪种检查()
A.心腔间的左向右分流
B.心腔与大血管间的左向右分流
C.大血管间的分流
D.心腔内的压力
E.静脉血栓
212、单项选择题
男,50岁,右上腹疼痛,乏力,纳差。结合超声声像图,诊断为()
A.肝血吸虫病
B.巨块型肝癌
C.肝血管瘤
D.肝脓肿
E.肝囊肿
213、问答题 肾上腺皮质腺癌的声像图表现有哪些?
214、单项选择题 长骨骨折的声像图特点是()①骨皮质连续中断②骨皮质错位、分离③骨膜掀起、下方呈无回声④骨质破坏
A.①
B.①②
C.①②③
D.①②④
E.以上各项均是
215、单项选择题 哪一项最可能引起声影()
A.胆囊
B.充液肿物
C.钙化性肿物
D.膀胱
E.实性肿物
216、单项选择题
男,62岁,直肠肿瘤术后半年。结合超声声像图,诊断为()
A.肝血管瘤
B.肝囊肿
C.结节性肝硬化
D.转移性肝癌
E.肝脓肿
217、填空题 胎盘分为____________、_____________和____________3部分,其中____________靠近胎儿,__________靠近母体。
218、单项选择题 下列哪项不是超声成像()
A.B型扫描
B.A型扫描
C.彩色多普勒
D.二次谐波
E.三维重建
219、问答题 三维超声在产科临床的应用价值有多大?
220、单项选择题 动态扫查仪的类型包括()①程序②电子③机械
A.①②
B.①②③
C.②③
D.①③
E.③
221、填空题 腹部USG检查主要用于检查_______________、__________、___________、___________、_____________、______________、__________、____________、_______________________、_____________等,均具有一定诊断价值。
222、单项选择题 以下哪项不是诊断急性胆囊炎的标准()
A.胆囊结石
B.Murphy征阳性
C.胆囊壁厚<3mm
D.胆囊积液
E.胆囊内胆泥淤积
223、单项选择题 视网膜母细胞瘤常见于()
A.婴幼儿时期的肿瘤
B.青年时期的肿瘤
C.成年时期的肿瘤
D.老年时期的肿瘤
E.以上都对
224、单项选择题 以下哪项不符合肥厚型心肌病超声表现()
A.左心室扩大
B.室间隔增厚,常>15mm
C.SAM现象
D.左室流出道湍流频谱
E.主动脉瓣收缩中期关闭现象
225、单项选择题 肾的异常声像图表现中,错误的是()
A.肾盂结石:肾窦内有强回声光团伴后方声影
B.肾盂积水:肾窦分离,强回声肾窦一部分或全部为液性暗区替代
C.肾盂肿瘤:肾窦分离,内有低回声区,其后方回声无增强
D.多囊肾:肾实质内单发或多发边缘光滑的液体无回声区,后方回声增强内收
E.较大肾癌:肾实质内低回声肿块,边界较清,后方回声增强
226、单项选择题
根据肝脏声像图表现,最可能的诊断是()
A.原发性肝癌
B.血吸虫肝
C.结节性肝硬化
D.肝炎
E.不均匀性脂肪肝
227、单项选择题 前列腺囊肿的超声表现()
A.前列腺内圆形、椭圆形无回声,边界光滑清晰,后方声加强
B.前列腺内圆形、椭圆形增强回声,后方声衰减
C.前列腺内形态不规则无回声,边界模糊不清
D.前列腺内圆形、椭圆形低回声,向膀胱内突起
E.以上都不是
228、单项选择题 前列腺内回声增强提示()
A.前列腺结石
B.前列腺新生物
C.前列腺肥大
D.前列腺斑点状钙化
E.以上都是
229、单项选择题 肝门内三结构是()
A.肝动脉、肝静脉和肝门
B.门静脉、肝动脉和胆总管
C.脾静脉、门静脉和肝静脉
D.胆总管、胆囊管和左右肝管
E.以上都不是
230、单项选择题
女性,25岁,停经33周。阴道无痛性出血2天。B超检查如图,最可能的诊断为()
A.中央性前置胎盘
B.胎盘早期剥离
C.胎儿脐带绕颈
D.胎儿畸形
E.边缘性前置胎盘
231、单项选择题 声像图的纵向分辨力与什么有关()
A.信号的频率
B.声阻抗
C.组织密度
D.声速的大小
E.以上都不对
232、单项选择题
女性,月经过少,不孕就诊,超声图像可提示()
A.多囊卵巢
B.卵泡发育不良
C.卵巢巧克力囊肿
D.正常卵巢
E.以上都不是
233、单项选择题 乳腺炎的超声特征是()
A.乳腺内回声增强,分布不均,边界清
B.乳腺内回声增强,分布不均,边界模糊欠清
C.乳腺内回声中等,分布不均,边界清
D.乳腺内回声减低,分布均,边界模糊欠清
E.乳腺内回声减低,分布不均,边界清
234、单项选择题 子宫内膜异位症的临床表现有()①月经失调②痛经③不孕症④大便坠胀
A.①②
B.①②③
C.①②③④
D.②
E.②③④
235、单项选择题
患者,男,28岁,皮下扪及肿块六月余。超声检查压之不变形。声像图提示()
A.脂肪瘤
B.纤维瘤
C.皮下组织增厚
D.炎症
E.皮脂腺囊肿
236、单项选择题
某患者颈部动脉声像图,根据箭头所示处是()

A.粥样斑块
B.血栓
C.动脉瘤
D.以上都不是
E.夹层动脉瘤
237、判断题 目前超声已可能发现1.0cm左右的肝癌。
238、单项选择题
女性,32岁,停经45天,B超检查如图,最可能的诊断为()
A.宫腔积液
B.宫体肌瘤
C.早期妊娠
D.子宫粘膜下肌瘤
E.卵巢囊肿
239、单项选择题 缓慢舒张期时心血管生理上有什么变化()
A.左心室血液缓慢充盈到主动脉
B.心房缓慢被充盈
C.心房血液缓慢而最后全部充盈到左心室
D.心房血液快速充盈到左心室
E.左心房血液在舒张时相的中期缓慢充盈到左心室
240、单项选择题 目前公认较好反映左室功能的指标是()
A.SV
B.CO
C.EF
D.CI
E.FS
241、单项选择题 氟碳气体因具有下列哪项特性,可作为超声造影剂()
A.弥散度大
B.分子量小
C.不溶于液体或溶解度低
D.压缩系数小
E.极易粘滞在血管壁
242、单项选择题
患者男46岁,既往有胆囊结石病史,上腹部疼痛不适年余,加重1个月,皮肤、巩膜轻度黄染,B超检查如图所示,根据超声声像图,诊断为()


A.胆囊结石并胆囊炎,肝血管瘤
B.胆囊结石并胆汁淤积,肝血管瘤
C.胆囊结石并胆囊癌,肝转移性癌
D.胆囊结石并肝癌
E.胆囊结石并胆息肉,肝转移性癌
243、单项选择题 关于前列腺正常解剖的描述,哪项不对()
A.分周边带、中央带、移行带
B.CT横断面测量与前列腺实际大小一致
C.良性增生,移行带居多
D.前列腺癌,多起于周边带
E.MRI扫描,常能清晰显示前列腺段尿道
244、单项选择题 胎儿肾发育不全常并发()①肺发育不全②宫内生长迟缓③羊水过少④无羊水
A.①④
B.①②
C.①②③
D.①②③④
E.④
245、单项选择题
甲状腺超声声像图如下,最可能的诊断为()
A.甲状腺囊肿
B.结节性甲状腺肿并囊变
C.甲状腺腺瘤并囊变
D.甲状腺囊腺癌
E.甲状腺炎
246、单项选择题 当子宫前壁未发现胎盘,胎先露与骶骨间距离大于多少厘米,提示后壁前置胎盘的可能性很大()
A.0.4cm
B.0.8cm
C.1.2cm
D.1.6cm
E.1.0cm
247、单项选择题 以下关于二尖瓣M型超声心动图波群描述中,哪项不正确()
A.前叶运动呈双峰型
B.后叶与前叶呈浅倒影
C.EF斜率反映二尖瓣柔顺性
D.二尖瓣狭窄时,EF斜率呈“城墙垛”样改变
E.左室舒张末压升高时,EF斜率加快
248、单项选择题 一患者心脏检查数据如下:SV86ml,EF0.61,FS30%,E峰流速60cm/s,A峰流速112cm/s,DTE200ms,IVRT144ms,据此,你初步判定该患者心功能属于()
A.心脏收缩和舒张功能正常
B.心脏收缩功能正常
C.心脏收缩功能异常
D.心脏舒张功能正常
E.心脏舒张功能异常
249、判断题 USG对肾结核的诊断比较准确,还较容易发现无明显积水的输尿管结石。
250、单项选择题
该病例最可能的诊断()

A.右室流出道狭窄
B.肺动脉瓣狭窄
C.室间隔缺损
D.右室双腔心
E.以上都不是
251、单项选择题 下列哪一项临床或声像图表现与子宫发育畸形无关()
A.原发性闭经
B.不孕
C.习惯性流产
D.难产
E.子宫内膜增厚
252、单项选择题
患者有明显胸痛史,其诊断可能是()

A.右冠窦膨隆
B.嵴上型室缺
C.右冠窦瘤破裂
D.右冠瓣脱垂
E.左冠瓣脱垂
253、单项选择题 关于声场的特性,正确的是()
A.近场长度与探头半径和频率成正比
B.近场横向分辨率高于远场
C.近场声束呈喇叭形
D.近场横断面上能量分布基本均匀
E.远场声束直径小于近场
254、单项选择题 彩色多普勒能量图的成像原理为()
A.血流速度
B.信号强度
C.血流方向
D.速度变化
E.速度方向
255、单项选择题 关于超声波的表述,错误的是()
A.频率大于20,000Hz的振动波
B.在不同的介质中传播时速度不同
C.在液体和气体中以纵波方式传播
D.在人体软组织中的传播方式是横波
E.在固体中有纵波、横波和表面波三种振动方式
256、单项选择题 急性胆囊炎可伴有()①右上腹痛②Murphy征阳性③结石嵌顿于胆囊管④发热及白细胞升高
A.①
B.①②
C.①②③
D.②④
E.以上各项均是
257、单项选择题 下列哪一项常不引起肾积水()
A.肾结石
B.输尿管囊肿
C.前列腺增生
D.前列腺炎
E.神经源性膀胱
258、单项选择题
男,60岁,上腹疼痛不适数10年。结合超声声像图,诊断为()
A.胆囊多发性结石
B.胆囊多发性息肉
C.胆囊泥沙样结石
D.胆囊充满性结石并萎缩性胆囊炎
E.胆囊胆固醇结晶
259、单项选择题 频率加倍则波长是()
A.增大4倍
B.增大2倍
C.减半
D.与波长无关
E.增大1倍
260、单项选择题 哪种疾病超声易诊断()
A.膀胱较小肿瘤
B.肾结核
C.肾淋巴瘤
D.肾转移癌
E.肾结石
261、单项选择题 频谱多普勒超声可直接测量的血流参数是()
A.阻力指数(RI)
B.压力阶差(PG)
C.搏动指数(PI)
D.收缩/舒张期速度比(S/D)
E.收缩期峰值速度(Vs)
262、单项选择题 早孕时,羊膜囊与什么间的空隙为胚外体腔()
A.羊膜
B.绒毛膜
C.底蜕膜
D.卵黄囊
E.包蜕膜
263、单项选择题 早期妊娠利用超声检测技术最先显示的是()
A.胎囊
B.卵黄囊
C.胚芽
D.桑葚胚
E.双顶颈
264、单项选择题 超声系统可控制的最大能量与最小能量之比为下列哪种()
A.动态范围
B.抑制
C.增益
D.放大因数
E.分贝
265、单项选择题
图中肝脏图像最长的管道为()
A.肝右静脉
B.肝中静脉
C.门静脉右支
D.下腔静脉肝段
E.门脉左支
266、单项选择题 下列哪一项不是卵巢实质性恶性肿瘤()
A.绒毛膜上皮瘤
B.无性细胞瘤
C.实性畸胎瘤
D.内胚窦瘤
E.肉瘤
267、单项选择题 超声最早能在几周诊断早孕()
A.3周
B.4周
C.5周
D.7周
E.6周
268、单项选择题 如果一侧颈内动脉阻塞或高度狭窄,同侧颈总动脉将出现哪种变化()
A.阻力指数降低
B.阻力指数升高
C.收缩期峰值流速升高
D.舒张期峰值流速升高
E.血流反向
269、单项选择题 在骨软骨瘤的声像图上,于软骨帽的周围可出现无回声区,使软骨帽本身回声反射更加明显,无回声区的组织结构是()
A.软骨膜
B.骨性肿块
C.滑液囊
D.移位的血管
E.假性动脉瘤
270、单项选择题 为避免混叠,脉冲重复频率至少应为最高多普勒频移的几倍()
A.1倍
B.2倍
C.3倍
D.4倍
E.5倍
271、单项选择题 输出功率与输入功率的比称为()
A.功率
B.强度
C.电压
D.增益
E.频率
272、单项选择题 关于M型超声心动图主动脉瓣曲线,下列何者有误()
A.呈六边盒形结构与单一曲线交替图形
B.瓣盒高度代表主动脉瓣开放幅度
C.瓣盒宽度代表左室射血时间
D.主动脉瓣关闭不全时可见关闭线呈双线
E.正常时主动脉瓣叶无收缩期震颤
273、单项选择题
女,现在正在行肺癌放疗治疗。结合超声声像图,诊断为()
A.转移性癌
B.脾血肿
C.脾梗死
D.脾脓肿
E.脾血管瘤
274、单项选择题 二尖瓣血流频谱哪项不对()
A.系收缩期正向血流频谱
B.呈双峰型
C.正常时E峰流速大于A峰
D.呈空心层流
E.在老年人中可表现为A峰>E峰
275、单项选择题 睾丸网异常声像图表现是()①睾丸网扩张②睾丸网萎缩③睾丸网囊性变④睾丸网腺癌
A.①③④
B.②③④
C.①③
D.②④
E.①④
276、单项选择题 下列哪一结构将肾实质分为皮质和髓质()
A.肾盂
B.弓形血管
C.肾脂肪
D.肾小球
E.小叶间动脉
277、单项选择题
男性,4岁,因左肾区不适就诊,无外伤史,无发热,左腹部可扪及肿块。根据其声像图,可能的诊断为()
A.肾母细胞癌
B.急性肾炎
C.肾血管平滑肌脂肪瘤
D.肾脓肿
E.肾癌
278、单项选择题 心肌舒张功能不包括哪项指标()
A.二尖瓣口血流E峰速度
B.等容舒张期时间
C.等容收缩期时间
D.二尖瓣口血流A峰的速度时间积分
E.二尖瓣口血流A峰幅度
279、单项选择题 关于多普勒超声的描述,下列哪一项是错误的()
A.主要分为连续波和脉冲波多普勒
B.脉冲波多普勒具有距离选通性
C.连续波多普勒不具有距离选通性
D.脉冲多普勒,脉冲重复频率越高,可测量血流速度越高
E.显示多普勒频谱可直接测出血流量
280、多项选择题 关于通常所说的DCS系统,下列说法错误的是()。
A、可编程逻辑控制器
B、紧急停车系统
C、分散控制系统
D、安全联锁系统
281、单项选择题 慢性肾功能不全失代偿期超声表现是()①双肾萎缩②双肾皮质回声增强、变薄、皮髓界限不清,皮质厚度与肾功能呈负相关③CDFI:高速低阻型血流④CDFI:低速高阻型血流⑤RI与肾功损害呈正相关
A.①②④⑤
B.①②③⑤
C.①②
D.①②④
E.②③⑤
282、单项选择题 门脉是由下列哪些静脉汇合构成的()
A.肠系膜上、下静脉
B.肠系膜上静脉和脾静脉
C.肠系膜上静脉和胃静脉
D.脾静脉和胰静脉
E.脾静脉和肝静脉
283、单项选择题 宫内生长迟缓常发生在多少孕周后()
A.15周
B.20周
C.26周
D.32周
E.24周
284、单项选择题
某近视患者,眼部碰伤后,视物不清。眼部超声如图,最可能的诊断为()
A.视网膜完全脱离
B.视网膜局限性脱离
C.眼内异物
D.玻璃体血块
E.以上均不对
285、单项选择题 要求在图像的近、中、远声场中都能得到最清晰的显示,此称为()
A.空间分辨力
B.速度分辨力
C.动态分辨力
D.图像的均匀性
E.最大穿透力
286、单项选择题 胎儿水肿的原因是()①先天性心脏病②Rh因子不合③糖尿病④ABO溶血
A.①
B.③④
C.②③
D.①②③④
E.①②③
287、单项选择题 超声见双蜕膜囊征则有力提示()
A.异位妊娠
B.早孕合并宫内积血
C.假妊娠囊
D.先兆流产
E.以上都不是
288、单项选择题
男性,32岁,超声示睾丸内可探及多个结节状低回声光团,边界清,CDFI:血流信号丰富。如图所示,考虑为()
A.睾丸脓肿
B.精原细胞瘤
C.睾丸炎
D.睾丸结核
E.睾丸恶性畸胎瘤
289、单项选择题 甲状腺腺瘤的超声特征,哪一项不正确()
A.圆形或椭圆形
B.边界光滑、包膜完整
C.内部呈低回声,质地均匀
D.肿瘤周围见声晕,有丰富的血流信号
E.常为多发性
290、单项选择题 回声至少可分为几级()。
A.两级
B.三级
C.四级
D.五级
E.无分别
291、单项选择题 慢性肾病常伴有()
A.肾脏肿大
B.肾脏缩小,回声增强,浓密
C.单侧肾盂积水
D.肾痈
E.肾脏缩小,皮髓质增厚,回声偏低
292、单项选择题 超声诊断右室双出口哪一项是错误的()
A.主动脉骑跨<50%
B.右室壁增厚
C.右室增大
D.主动脉骑跨>70%
E.室间隔缺损
293、单项选择题
糖尿病视网膜病变的超声表现是()
①视网膜增厚回声增强,球壁增厚
②视网膜血流减少
③视网膜血流增加
④视网膜中央动脉血流速度减低PI、RI增高
⑤视网膜中央动脉血流速度减低PI、RI减低
⑥视网膜中央静脉血流增高A/V减少
⑦视网膜中央静脉血流降低A/V增大
A.①②④⑥
B.①③⑤⑦
C.①②⑤⑦
D.①③④⑥
E.②③⑤⑦
294、单项选择题 人眼可区别多少级灰阶()
A.大约16级左右
B.32~64级
C.64级以上
D.256级以上
E.512级以上
295、单项选择题 人体不同组织和体液回声强度是不同的,下列哪一项是错误的()
A.液体均是无回声的,固体均是有回声的
B.实质性组织如肝脾是中等水平回声
C.脂肪组织是低水平回声
D.纤维化和钙化引起组织回声增强
E.脏层胸膜—肺组织(含气)界面产生很强的反射
296、单项选择题 男性40岁,突发上腹疼痛伴腹胀,超声检查:胰腺弥漫性增大,胰腺实质回声减低,胰管不扩张,胃内潴留液,最可能的诊断()
A.急性肠炎
B.急性胃炎
C.急性胰腺炎
D.胰腺肿瘤
E.急性胆囊炎
297、单项选择题 正常睾丸的回声特点()
A.均匀强回声
B.均匀中等回声
C.多种类型回声
D.不均匀增强回声
E.均匀低回声
298、单项选择题 胎儿十二指肠闭锁的特征性声像图显示()
A.声像图不能显示胃
B.双泡征
C.胃移位至胎儿右侧腹部
D.胃腔明显增大
E.胃下移至盆腔
299、单项选择题 一患者查体发现肝右后叶下段一个0.8cm的强回声斑块,后伴干净声影,周围无门静脉分支,肝内外胆管无扩张,其可能诊断为()
A.肝内胆管结石
B.肝内钙化灶
C.肝内胆管积气
D.肝圆韧带断面
E.以上都不是
300、单项选择题 葡萄胎声像图表现,下述哪一项是错误的()
A.25~60%伴发黄素囊肿
B.子宫大于孕期
C.蜂窝状声像图示特异性超声所见
D.需与过期流产相鉴别
E.刮宫后黄素囊肿持续存在2月是诊断恶性葡萄胎的依据