时间:2025-02-11 08:55:53


1、单项选择题 造影时发生碘油栓塞,患者应取的位置是()
A.头高足低右侧卧位
B.头低足高左侧卧位
C.头高足低左侧卧位
D.头低足高右侧卧位
E.平卧位
2、多项选择题 下列哪几项在乳腺X线平片上可见到()
A.皮肤
B.脂肪
C.乳头
D.乳腺实质
E.淋巴结
3、单项选择题 腹水患者卧位腹部平片能显示的是()
A.腹内结构不清,密度增高
B.小肠被压向腹部周边部位
C.结肠与腹脂线间距加大
D.狗耳征
E.腰大肌影欠清晰
4、单项选择题 关于胃溃疡X线表现,错误的是()
A.龛影
B.小弯短缩
C.粘膜集中
D.充盈缺损
E.砂钟胃
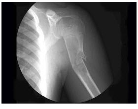
5、单项选择题
男,28岁,右肱骨上段肿痛1个月,疼痛以夜间明显,摄片如图所示,提示骨肉瘤最为主要的征象是()
A.溶骨性破坏
B.骨膜增生
C.肿瘤骨形成
D.软组织肿块影
E.Codman三角
6、单项选择题 风湿性心脏病主动脉瓣关闭不全的主要表现是()
A.左心房、右心室增大
B.左心室增大
C.右心室肥大
D.右心房、左心室增大
E.右心房增大
7、单项选择题 男性,40岁,上腹隐痛1年余,进食后缓解。2小时前突发上腹部剧痛,查体剑突下压痛,反跳痛。应首先考虑()
A.消化道出血
B.胃溃疡恶变
C.消化道穿孔
D.胃扭转
E.胃平滑肌肉瘤
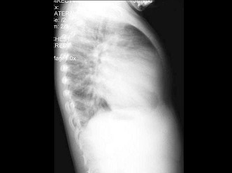
8、单项选择题
女,48岁,胸痛1周,结合图像,最可能的诊断是()

A.肺转移瘤
B.韦格肉芽肿
C.肺类风湿病
D.多发性肺脓肿
E.肺癌
9、单项选择题 下列“先天性马蹄内翻足”骨质改变中,哪项不正确()
A.跖趾骨内收、跖曲
B.跟骨短而宽,跖曲内翻,向后下方移位
C.第一跖骨萎缩,第五跖骨肥大
D.舟骨短而宽,并向内旋转移位
E.距骨短而宽,距骨头脱位
10、单项选择题 关于X线滤过的说法,错误的是()
A.滤过是把X线束中的低能成分吸收掉
B.固有滤过,是指X线管本身的滤过
C.固有滤过用铅当量表示
D.总滤过为附加滤过与固有滤过之和
E.一般对低能量射线采用铝滤过板
11、多项选择题 恶性肿瘤向肺内转移,最易出现的X线表现有()
A.支气管炎样斑状影
B.弥漫性线状及小颗粒状阴影
C.弥漫性蜂窝状阴影
D.多发肿块影
E.单发大肿块影
12、单项选择题 下述哪种疾病不能见到肺门舞蹈征()
A.慢性肺源性心脏病
B.高原性心脏病
C.克山病
D.房间隔缺损(1孔型)
E.房间隔缺损(2孔型)
13、单项选择题 下述疾病对骨化中心的出现及愈合均具有促进作用,但除外()
A.甲状腺功能亢进
B.性腺功能亢进
C.肾上腺皮质肿瘤
D.骨纤维异常增殖症
E.伸舌样痴呆
14、单项选择题 可使右心室增大、肺动脉凹陷的是()
A.二尖瓣狭窄
B.肺动脉狭窄
C.房间隔缺损
D.法洛四联征
E.肺源性心脏病
15、单项选择题 慢性化脓性中耳乳突炎单纯型X线表现中,下列说法哪项错误()
A.乳突窦及其周围骨质硬化增生
B.锤骨或砧骨骨质破坏
C.乳突气房透光度减低
D.气房间隔骨质增厚、结构模糊
E.乳突气房外围骨质有明显增生
16、多项选择题 食管静脉曲张累及下列哪些静脉()
A.胃冠状静脉
B.脐静脉
C.食管下静脉
D.奇静脉
E.肋间静脉
17、单项选择题 下述石棉肺影像表现,错误的是()
A.早期,不规则形大阴影
B.晚期,双肺蜂窝状阴影
C.胸膜斑可钙化
D.蓬发心
E.胸膜改变常比肺改变更明显
18、单项选择题 肾下垂的诊断,应选择以下哪种检查()
A.静脉肾盂造影
B.逆行肾盂造影
C.腹部立位片
D.立、卧位造影
E.腹部侧位片
19、单项选择题 掌下斜位片,掌骨投影重叠较多的是()
A.第1~2掌骨
B.第2~3掌骨
C.第3~4掌骨
D.第4~5掌骨
E.第1~5掌骨
20、多项选择题 影像板的组成包括()
A.板基
B.光电阴极
C.荧光体层
D.保护层
E.输出屏
21、单项选择题 后前位胸片上,左心缘见不到哪项结构()
A.肺动脉段
B.主动脉结
C.左心耳
D.左心室
E.右心室
22、单项选择题 “骶骨骨折”常为()
A.粉碎性骨折
B.横行骨折
C.斜行骨折
D.纵行骨折
E.压缩性骨折
23、多项选择题 椎体缺血坏死可出现以下哪些X线表现()
A.椎体变扁呈厚薄一致的致密扁盘状
B.椎体前后径及横径均增大
C.椎间隙正常或稍增宽
D.多侵及椎弓根
E.腰大肌边缘模糊
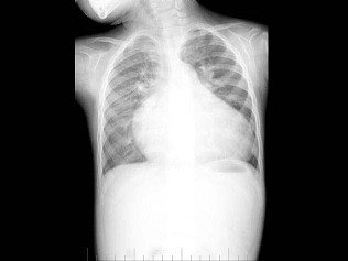
24、单项选择题
男,16岁,突感呼吸困难,大汗淋漓,胸片检查如图,最可能的诊断是()

A.右侧肺气肿
B.右侧肺部肿块
C.右侧气胸
D.右侧肺大泡
E.右侧肺挫伤
25、单项选择题 冠状动脉瘤最常见于()
A.Marfan综合征
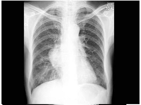
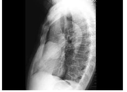
B.川崎病
C.动脉粥样硬化
D.风湿性心脏病
E.梅毒性心脏病
26、单项选择题 马德隆畸形是由于()
A.尺骨近端骨骺发育障碍
B.桡骨近端骨骺发育障碍
C.尺骨远端内侧骨骺发育障碍
D.桡骨远端骨骺内侧发育障碍
E.以上均不是
27、单项选择题 有关子宫输卵管造影的叙述,错误的是()
A.对比剂经子宫颈口注入
B.常用碘化油作为对比剂
C.有输卵管阻塞的危险
D.子宫体恶性肿瘤者禁止造影
E.兼有治疗输卵管阻塞作用
28、单项选择题 食管癌与食管静脉曲张鉴别点是()
A.管壁存在扩张收缩征象
B.管腔边缘凹凸不平
C.钡剂通过缓慢
D.充盈缺损
E.蠕动消失
29、单项选择题 颅骨骨折的正确分型为()
A.线样骨折、凹陷骨折、压缩性骨折
B.线样骨折、粉碎性骨折
C.凹陷骨折、粉碎性骨折、穿入骨折
D.撕脱骨折、穿入骨折
E.线样骨折、凹陷骨折、粉碎性骨折、穿入骨折
30、单项选择题 关于食管癌的基本X线征象的说法,错误的是()
A.粘膜皱襞紊乱、破坏
B.不规则腔内充盈缺损
C.管壁僵直,蠕动消失
D.纵隔内软组织肿块
E.恶性溃疡龛影
31、单项选择题 X线的本质不同于()
A.无线电波
B.可见光
C.红外线
D.阴极射线
E.γ射线
32、多项选择题 退行性骨关节病中四肢大关节的X线表现是()
A.承重区变凹变扁
B.关节面下囊肿
C.非承重区骨质增生
D.关节腔有游离体
E.关节间隙变窄
33、多项选择题 支气管气相可见于()
A.周围型燕麦细胞癌
B.肺透明膜病
C.大叶性肺炎
D.结节病
E.肺水肿
34、单项选择题 小肠出血确诊的主要依据为()
A.钡餐透视
B.双重造影
C.CT
D.B型超声
E.血管造影
35、单项选择题 法洛四联征基本改变不包括()
A.主动脉骑跨
B.三尖瓣下移
C.右心室肥厚
D.高位室间隔缺损
E.漏斗部肺动脉狭窄
36、单项选择题 钡餐示“食管远端鸟嘴样狭窄”,则可除外()
A.贲门失弛缓症
B.食管裂孔疝
C.消化性溃疡
D.胃底贲门癌
E.食管静脉曲张
37、单项选择题 男,38岁,钡餐示食管壁张力减低,蠕动减弱,钡剂排空延迟,并见食管下段有串珠状充盈缺损影,首先应考虑()
A.食管下段静脉曲张
B.食管粘膜下平滑肌瘤
C.返流性食管炎
D.食管裂孔疝
E.食管癌
38、多项选择题 多发性骨软骨瘤出现哪些情况应高度怀疑恶变()
A.软骨帽增厚,发生于长骨者超过1cm
B.钙化软骨帽密度变淡,边界不清
C.瘤体内出现透亮区
D.远处出现转移性病灶
E.30岁以上的患者肿瘤体积突发性增大
39、单项选择题 在胸部正位取后前立位的原因中,无关的是()
A.立位能正确反映胸部脏器的确切形态
B.立位能观察到产生气液面的病理改变
C.后前位肺组织更靠近胶片,影像清晰
D.后前位肩胛骨易于投影在肺野之外
E.后前位心脏放大率小
40、单项选择题 下述哪项属肺实质()
A.肺泡
B.肺泡间隔
C.小叶间隔
D.支气管周围组织
E.血管周围组织
41、单项选择题 下列关于脊柱肿瘤描述错误的是()
A.室管膜瘤是成人最常见的脊髓肿瘤
B.星形细胞瘤是儿童最常见的脊髓肿瘤
C.脂肪瘤是椎管内最常见的髓外肿瘤
D.血管瘤是最常见的椎体良性肿瘤
E.转移瘤是最常见的椎体恶性肿瘤
42、单项选择题 正常毛细血管内的静水压为()
A.2.53kPa
B.3.33kPa
C.1.07kPa
D.2.67kPa
E.2.07kPa
43、多项选择题 下列胸部疾患摄影位置,正确的是()
A.少量胸腔积液——侧卧水平正位或斜位
B.肺下积液——单纯后前位
C.包裹性积液——切线位
D.慢性支气管炎——常规正位深吸气与深呼气位对照
E.肺癌——常规正侧,体层摄影
44、单项选择题 支气管扩张的X线平片表现,下列哪项对诊断价值大()
A.肺纹理改变
B.肺内炎症
C.肺不张
D.囊状或蜂窝状影
E.局限性胸膜增厚粘连
45、单项选择题
男,78岁,上腹痛1月余,返酸,无嗳气,空腹加重。体检:上腹压痛,结合图像,最可能的诊断为()
A.正常表现
B.慢性胃炎
C.胃癌
D.十二指肠憩室
E.十二指肠占位
46、单项选择题 髓内肿瘤中以哪种组织学类型最常见()
A.错构瘤
B.血管母细胞瘤
C.神经母细胞瘤
D.胶质瘤
E.神经上皮性囊肿
47、单项选择题 位于中颅窝的孔或裂为()
A.盲孔
B.舌下神经孔
C.筛孔
D.颈静脉孔
E.圆孔
48、单项选择题
男,41岁,中上腹腹痛,如图所示,最可能的诊断是()
A.溃疡型胃癌
B.胃溃疡
C.胃肉瘤
D.胃间质瘤
E.胃淋巴瘤
49、单项选择题 胸片示肺动脉段凹陷,可除外下述哪种疾病()
A.主动脉缩窄
B.Ebstein畸形
C.法洛四联征
D.三尖瓣闭锁
E.肺动脉漏斗部狭窄
50、多项选择题 关于囊形包虫病的描述哪些正确()
A.囊壁分三层
B.子囊由内囊生发层长出
C.子囊头节源自母囊生发层
D.外囊为纤维组织,壁厚,可钙化
E.应避免穿刺活检
51、单项选择题 颅骨侧位片从颅中窝迂曲上行、在冠状缝后分为两支的血管压迹是()
A.脑膜中静脉压迹
B.板障静脉压迹
C.导静脉压迹
D.脑膜中动脉压迹
E.板障动脉压迹
52、单项选择题 肩关节间隙正常宽度约()
A.2mm
B.3mm
C.4mm
D.5mm
E.6mm
53、单项选择题 头颅侧位片,下列正常蝶鞍形态中,哪项不正确()
A.圆形
B.椭圆形
C.扁圆形
D.双鞍底
E.桥形蝶鞍
54、单项选择题 散射线量与有关因素的关系,正确的是()
A.与mA成反比
B.kV升高,散射线量增加
C.与肢体厚度成反比
D.与距离成正比
E.以上都不是
55、多项选择题 左心房增大多见于下述哪些疾病()
A.二尖瓣病变
B.主动脉病变
C.动脉导管未闭
D.室间隔缺损
E.左心衰竭
56、单项选择题 关于代谢性骨疾病的主要X线表现错误的是()
A.骨质疏松
B.纤维性骨炎
C.骨质硬化
D.骨质增生
E.以上都不是
57、单项选择题 钡餐示“胃粘膜皱襞增粗”,则可除外()
A.ZollingerEllison综合征
B.革袋胃
C.Crohn病
D.Menetrier病
E.原发性胃非何杰金淋巴瘤
58、多项选择题 小孔室缺的血流动力学改变正确的是()
A.左向右分流量小
B.缺损孔直径9~15mm
C.肺动脉与右心室压力正常或稍高
D.右心房无分流故不增大
E.右心室没有容量的过负荷故无明显增大
59、多项选择题 下述哪些疾病可出现空洞()
A.肺结核
B.肺脓肿
C.肺炎
D.真菌病
E.韦格氏肉芽肿
60、单项选择题
男,38岁,慢性颈痛和背痛1年余,结合图像,最可能的诊断是()
A.强直性脊柱炎
B.类风湿关节炎
C.Reiter综合征
D.关节结核
E.痛风
61、单项选择题 关于斯氏位摄片的叙述,错误的是()
A.被检者俯卧于摄片床上
B.被检侧额颧鼻部紧贴暗盒(或床面)
C.头颅矢状面与床面成45°
D.听眦线与暗盒前缘保持垂直
E.中心线向足侧倾斜12°
62、多项选择题 肺癌支气管动脉造影的异常表现是()
A.支气管动脉迂曲扩张
B.支气管动脉分支紊乱呈网状
C.支气管动脉闭塞
D.支气管动脉起源异常
E.支气管动脉与肺循环分流
63、多项选择题 影响钙磷代谢的主要因素包括()
A.维生素D
B.甲状旁腺素
C.甲状降钙素
D.肾上腺素
E.血管紧张素
64、单项选择题 在肝转移癌中,多血供型转移的是()
A.肾癌
B.胃癌
C.胰腺癌
D.恶性淋巴瘤
E.以上均不是
65、单项选择题 男,39岁,突然持续性上腹剧痛,迅速扩散全腹,腹肌紧张,肝浊音界消失,X线检查:膈下有新月形气体影,最可能的诊断为()
A.十二指肠球部溃疡穿孔
B.急性胰腺炎
C.绞窄性肠梗阻
D.急性化脓性胆囊炎
E.急性阑尾炎穿孔
66、单项选择题 腹部透视诊断肠梗阻的主要依据是()
A.膈下游离气体
B.间位结肠
C.肠腔气液平
D.肠壁钙化
E.肠管扩张
67、多项选择题 以下哪些是增殖型肠结核的X线表现()
A.如有粘连时可见肠管排列紊乱
B.激惹征象较明显
C.粘膜紊乱增生,呈小息肉样改变
D.病变常见于回肠末段
E.肠腔变形、缩小
68、单项选择题
女,4岁,大便潜血(++),结合图像,最可能的诊断为()
A.正常表现
B.胃炎
C.胃溃疡
D.胃窦炎
E.胃癌
69、单项选择题 在静脉尿路造影检查中,肾癌表现可表现为()
A.蜘蛛足样表现
B.肾盂变形
C.输尿管受压移位
D.肾盂不显影
E.以上均可见
70、多项选择题 骨肿瘤的发病部位有一定的规律性,以下表述正确的是()
A.成软骨细胞瘤好发于骨骺
B.骨巨细胞瘤好发于干骺愈合后的骨端
C.骨肉瘤好发于长骨干骺端
D.尤文肉瘤好发于长骨骨干
E.骨髓瘤好发于中轴骨及四肢近侧长骨
71、单项选择题 肺静脉高压诊断的重要指征是()
A.间隔线出现
B.上肺静脉扩张
C.胸腔少量积液
D.钙化灶
E.含铁血黄素沉着
72、单项选择题 女,33岁,吞咽困难1年,钡餐检查示食管明显扩张,蠕动减弱,食管远端鸟嘴状,表面尚光整,饮水后,造影剂部分进入胃内,最可能的诊断为()
A.食管下端平滑肌瘤
B.食管下端癌
C.贲门失弛缓症
D.食管下端静脉曲张
E.返流性食管炎
73、单项选择题 甲状旁腺功能亢进早期骨骼改变是()
A.骨质密度减低
B.骨膜下骨质吸收
C.骨内囊状透亮区
D.病理性骨折
E.骨骼变形
74、单项选择题 碘过敏试验方法中最可靠的是()
A.口服试验
B.眼结膜试验
C.舌下试验
D.静脉注射试验
E.皮内试验
75、单项选择题 X线对人体损伤的因素是()
A.X线剂量
B.照射方式
C.X线剂量率
D.照射部位与范围
E.以上都是
76、单项选择题 下述关于“肋骨先天性畸形”,哪项错误()
A.颈肋
B.腰肋
C.肋骨发育不全
D.肋软骨钙化
E.叉状肋
77、单项选择题 在影响X线减弱的因素中,错误的是()
A.X线能量增加,光电吸收下降
B.原子序数大的物质μ值大
C.质密度大的μ值小
D.组织密度决定衰减射线的能力
E.每克物质的电子数是X线减弱的主要因素
78、多项选择题 属于常染色体显性遗传的疾病有()
A.软骨发育不全
B.颅锁骨发育不全
C.皮肤骨膜肥厚症
D.马方(Marfan)综合征
E.重型石骨症
79、单项选择题 关于乳腺癌的X线征象,下列错误的是()
A.肿块,呈毛刺状
B.成簇的钙化
C.皮肤呈橘皮样改变
D.乳头凹陷
E.肿块边缘光滑,见透明晕
80、单项选择题
早产儿,男,生后12小时,生后8小时出现呼吸困难,如图,最可能的诊断为()
A.新生儿肺炎
B.新生儿湿肺
C.新生儿肺出血
D.新生儿特发性呼吸窘迫综合症
E.胎粪吸入综合征
81、单项选择题 膀胱输尿管反流,仅见于下列哪种检查()
A.逆行性尿路造影
B.排泄性尿路造影
C.CT尿路造影
D.MR尿路造影
E.以上都可出现
82、单项选择题 下述胃X线解剖知识,错误的是()
A.角切迹至幽门间为胃窦
B.仰卧位检查,胃窦靠背侧,胃体靠腹侧
C.胃大弯粘膜皱襞比胃小弯皱襞粗
D.胃底粘膜皱襞走向不规则
E.侧位片,胃体后壁与脊柱前缘正常间距约1.5个椎体宽
83、多项选择题 空洞洞壁的成分可以是()
A.坏死组织
B.肉芽组织
C.纤维组织
D.肿瘤组织
E.正常组织
84、单项选择题 颅底前后分3个颅凹,颅后窝有()
A.破裂孔
B.卵圆孔
C.棘孔
D.枕大孔
E.视神经孔
85、单项选择题 关于X线强度分布的叙述,正确的是()
A.与靶面倾斜角度无关
B.阴极端X线强度弱
C.照射野内分布均匀
D.X线管短轴方向两侧对称
E.与靶面状况无关
86、单项选择题 以下关于“脊柱硬膜外脓肿”特点中,哪项正确()
A.骶管最常见
B.多位于椎管前方
C.葡萄球菌感染,邻近椎骨常破坏
D.结核感染,邻近椎骨常破坏
E.“制动+抗生素”疗效最佳
87、多项选择题 二尖瓣复合体包括()
A.二尖瓣环
B.二尖瓣
C.二尖瓣腱索
D.乳头肌
E.以上都不是
88、多项选择题 尿路造影中,常见的异常征象有()
A.肾实质显影异常
B.肾盏肾盂受压变形
C.肾盏肾盂破坏
D.肾盏、肾盂、输尿管扩张积水
E.肾盏、肾盂、输尿管和膀胱腔内充盈缺损
89、多项选择题 哪些原因可引起寰枢关节半脱位()
A.上呼吸道感染
B.强直性脊柱炎
C.喉部手术
D.类风湿关节炎
E.先天性畸形
90、单项选择题
女,根据其正常骨盆影像图像,判断其最可能的年龄()
A.28岁左右
B.18岁左右
C.38岁左右
D.78岁左右
E.58岁左右
91、单项选择题 贲门癌是指源于贲门口中心周围多少厘米以内的胃癌()
A.1.0~3.0cm
B.0.5~1.0cm
C.2.5~3.0cm
D.2.0~2.5cm
E.1.5~3.5cm
92、单项选择题 关于支气管肺炎,下列说法错误的是()
A.多见于婴幼儿、年老体弱患者
B.X线表现为双肺上中野沿支气管分布的斑片状略高密度影
C.临床表现重,多有高热、咳嗽
D.发生于年老体弱者,体温可不高
E.治疗不当可形成支气管扩张及机化性肺炎
93、单项选择题 左侧主支气管长约()
A.1.5~2cm
B.5~6cm
C.4~7cm
D.10~13cm
E.7~8cm
94、单项选择题 下列哪项不属于X线照片影像的形成要素()
A.照片密度
B.照片的感光度
C.照片的对比度
D.照片的锐利度
E.照片的放大与变形
95、多项选择题 骨-甲发育不全包括下述哪些()
A.髂骨角
B.指甲发育异常
C.髌骨缺如、发育不良或脱位
D.肘关节发育异常
E.属常染色体隐性遗传
96、单项选择题 腹部平片的简称是()
A.IVP
B.PTC
C.PCN
D.PTA
E.KUB
97、单项选择题 胸部后前位摄片胶片下缘应包括()
A.第6胸椎
B.第8胸椎
C.第10胸椎
D.第12胸椎
E.第3腰椎
98、单项选择题 有关摄片条件选择中可变因素的叙述,哪项不妥()
A.应把不随意运动器官的移动作为移动因素中的主要矛盾处理
B.同一厚度的两个健康人的胸部照片,摄片条件应一致
C.同部位同厚度的慢性骨髓炎与骨结核相比,需要增加摄片条件
D.被照体构成组织比例是摄片条件选择的重要可变因素
E.病理因素对摄片条件的影响十分复杂,较难掌握,应不断积累临床经验
99、单项选择题 在平片上,哪种病理变化可使骨的密度增高()
A.骨质软化
B.骨膜增生
C.骨质疏松
D.骨质破坏
E.骨膨胀性改变
100、单项选择题 颈椎右前斜位摄影,观察的是()
A.右侧椎间孔
B.左侧椎间孔
C.右侧横突孔
D.左侧横突孔
E.椎孔
101、单项选择题 心脏左前斜位,摄片的角度是()
A.45°~55°
B.55°~65°
C.60°~70°
D.70°~80°
E.80°~85°
102、单项选择题 颈椎张口位是显示寰枢椎的摄影位置。 颈椎张口位照片显示,以下错误的是()
A.寰枢椎显示于上、下齿列之间
B.上中切牙牙冠与枕骨底部相重叠
C.齿突与寰椎两侧块间隙对称
D.寰枕关节成切线位显示
E.第三、四颈椎亦可显示于口中
103、单项选择题
男,69岁,咳嗽,胸痛2月余,胸片检查如图,最可能的诊断为()
A.血行播散型肺结核
B.肺转移瘤
C.两肺炎症
D.细支气管肺泡癌
E.结节病
104、单项选择题 胸部摄影,FFD选用180cm的原因是避免因()
A.左右径较窄、前后径较薄引起的影像放大
B.左右径较厚、前后径较宽引起的影像放大
C.左右径较短、前后径较长引起的影像放大
D.左右径较扁、前后径较窄引起的影像放大
E.左右径较宽、前后径较厚引起的影像放大
105、单项选择题 疑消化道穿孔,观察膈下游离气体应摄()
A.左侧卧水平投照
B.右侧卧水平投照
C.仰卧水平投照
D.仰卧后前位
E.站立前后位
106、单项选择题 常见的心包疾病主要有()
A.心包钙化
B.心包肥厚
C.心包腔积液
D.缩窄性心包炎
E.心包肿瘤
107、多项选择题 下述多发性大动脉炎的特点,错误的是()
A.男性多见
B.多见于40岁以后发病
C.升主动脉变窄
D.降主动脉夹层动脉瘤形成
E.上肢无脉搏
108、单项选择题
男,67岁,咳嗽、胸痛2月余,痰中带血,不发热,X线检查如图,最可能的诊断是()

A.右侧胸膜肥厚
B.右上肺不张
C.右肺癌并右上肺不张
D.右侧包裹性积液
E.肺上沟瘤
109、单项选择题 胸部正位取后前立位摄影的原因,无关的是()
A.能正确反映胸部脏器的确切形态
B.能观察到产生气液面的病理改变
C.肺组织更靠近胶片,影像清晰
D.肩胛骨易于投影在肺野之外
E.心脏放大率小
110、单项选择题 肺淤血的最早X线表现为下述哪项()
A.上肺静脉扩张似鹿角状
B.肺血管纹理增多增粗
C.肺门阴影增大模糊
D.肺野透明度减低如薄纱遮盖
E.肺部间质纤维化
111、单项选择题 腹部平片检查,对哪种“急腹症”诊断价值不高()
A.输尿管结石
B.小肠低位机械性肠梗阻
C.消化道穿孔
D.急性阑尾炎
E.肾结石
112、单项选择题 下列“脊柱结核”平片表现中,不含哪项()
A.相邻椎体破坏
B.椎间隙变窄、消失、椎体融合
C.边缘性、虫蚀样骨质破坏
D.腰大肌影增宽,可有钙化
E.骨赘、骨桥形成
113、单项选择题 化脓性骨髓炎指的是什么组织的化脓性感染()
A.骨皮质和骨膜
B.骨骺和骨髓
C.骨髓、骨和骨膜
D.骨髓
E.以上都是
F.以上都不是
114、多项选择题 影响X线强度分布的因素是()
A.靶面倾角
B.辐射时间的长短
C.阳极的类型(固定或旋转)
D.靶面出现过热熔解的程度
E.管内阳极与阴极间的距离
115、单项选择题 关于小腿前后位摄影的说法错误的是()
A.观察胫腓骨及邻近软组织
B.小腿后部近暗盒
C.足外旋10°~15°
D.中心线经小腿中部射入
E.小腿长轴平行于胶片长轴
116、单项选择题 图像上相邻两点之间的密度差是()
A.清晰度
B.密度
C.失真度
D.锐利度
E.对比度
117、单项选择题 食管静脉曲张与食管癌的主要鉴别点是()
A.溃疡
B.隆起
C.管壁柔软
D.黏膜规整
E.梗阻
118、单项选择题
女,65岁,腰背部疼痛,僵硬半年余,结合影像学检查,最可能的诊断是()
A.脊椎肿瘤
B.椎体压缩性骨折
C.化脓性脊柱炎
D.强直性脊柱炎
E.脊椎退行性变
119、单项选择题 方形椎体可见于()
A.维生素D缺乏症
B.脊柱结核
C.强直性脊柱炎
D.巨人症
E.转移瘤
120、多项选择题 骨盆骨折的常见并发症有()
A.血管损伤
B.膀胱损伤
C.尿道损伤
D.直肠损伤
E.神经损伤
121、单项选择题 胸部右前斜位身体冠状面与暗盒呈()
A.15°
B.25°
C.35°
D.45°
E.60°
122、单项选择题 在肾结核早期阶段,下列哪种检查方法最有价值()
A.化验室检查
B.超声检查
C.CT检查
D.MRI检查
E.尿路造影检查
123、单项选择题
女,52岁,足跟痛,手指运动僵硬,结合图像,最可能的诊断是()
A.骨质疏松症
B.骨脓肿
C.骨囊肿
D.骨折
E.类风湿关节炎
124、单项选择题
患者,女,46岁,胸闷气短1月,伴全身乏力,咳嗽,发热。胸片示:中上纵隔增宽,右缘呈波浪状改变。白细胞:8.5×109/L。
最可能的诊断是()
A.胸内甲状腺
B.胸腺瘤
C.右侧中心型肺癌
D.淋巴瘤
E.畸胎瘤
125、单项选择题 X线平片上,下述属于正常蝶鞍影像的是()
A.桥形蝶鞍
B.鞍内偶可见到钙化影
C.双鞍底
D.蝶鞍扩大
E.鞍背骨质吸收
126、单项选择题
男,35岁,反复颈部不适20余年,结合图像,最可能的诊断是()
A.颈椎椎体融合
B.颈椎结核
C.颈椎退行性变
D.颈椎压缩性骨折
E.颈椎骨转移瘤
127、多项选择题 距骨骨折的常见类型有()
A.斜行骨折
B.塌陷骨折
C.粉碎骨折
D.横行骨折
E.压缩骨折
128、多项选择题 肠套叠钡灌肠的典型X线表现有哪些()
A.钡剂头端受阻
B.钡剂头端呈杯口状
C.位于肝、脾曲处的钡剂头端轴位像为圆形充盈缺损
D.钡剂排出后附着于粘膜皱襞的钡剂为螺旋弹簧状
E.钡剂头端见龛影
129、单项选择题 男性,56岁。有动脉粥样硬化病史。突然感到剧烈刀割样胸痛2小时,向背部放射。体检发现主动脉瓣区可闻及舒张期杂音,考虑为主动脉夹层可能。夹层内膜撕裂的好发部位是()
A.升主动脉
B.主动脉弓
C.降主动脉
D.主动脉峡部
E.升主动脉根部和主动脉峡部
130、单项选择题 下列哪种X线征象是食管静脉曲张与食管癌的鉴别要点()
A.串珠状充盈缺损
B.管腔边缘凹凸不平
C.蠕动减弱,钡剂通过缓慢
D.纵行粘膜皱襞消失
E.管腔扩张及舒缩性存在
131、单项选择题 脊柱结核典型影像为()
A.椎骨溶骨性破坏、椎旁软组织肿胀
B.椎体呈栅栏状
C.椎管内外哑铃状肿块,椎间孔扩大
D.椎体破坏,椎间盘破坏、椎间隙变窄
132、单项选择题
患者,女,28岁,轻咳两月,有盗汗。胸片如图:

A.过敏性肺炎
B.嗜酸性肉芽肿
C.支气管扩张
D.肺隔离症
E.肺结核
133、单项选择题 X线产生过程中,电子高速运动所需能量主要取决于()
A.管电压
B.管电流
C.灯丝焦点大小
D.旋转阳极转速
E.靶物质原子序数
134、单项选择题 来自细支气管Clara细胞和Ⅱ型肺泡细胞的癌为()
A.腺癌
B.细支气管肺泡癌
C.大细胞癌
D.类癌
E.小细胞癌
135、单项选择题 下列描述中,错误的是()
A.一般把慢性支气管炎、肺气肿、支气管哮喘及弥漫性细支气管炎统称阻塞性肺疾病
B.右肺中叶炎症时,右心缘第二弓不清称为剪影征阳性
C.先天性膈疝,多伴有肠扭转且固定
D.含气支气管征是在肺炎等病出现肺实质浸润时的表现
E.心脏病时左房压异常升高时出现KerleyB线
136、多项选择题 骨折移位的常见类型有()
A.成角
B.横向移位
C.重叠移位
D.分离移位
E.旋转移位
137、多项选择题
男,24岁,鼻部被击伤,如图所示,最可能的诊断是()
A.鼻骨中段见透亮线影
B.鼻骨远端稍塌陷
C.鼻骨骨折处可见小骨片影向下方分离
D.考虑为鼻骨线性骨折
E.鼻骨粉碎性骨折
138、单项选择题 水痘病毒性肺炎的影像特征()
A.数天内仅见双肺纹理增粗、毛糙
B.病理、影像表现演变快
C.伴弥漫性肺气肿的广泛间质性炎症改变
D.呈典型的支气管肺炎表现
E.间质纤维化伴肺大泡
139、单项选择题 股骨颈骨折观察前后移位时,理想摄影体位是()
A.髋关节正位
B.侧卧髋关节侧位
C.股骨颈前后位
D.髋关节侧斜位
E.股骨颈仰卧水平侧位
140、多项选择题 引起局限性颅骨增生的疾病有()
A.骨瘤
B.骨肉瘤
C.陈旧性骨折
D.石骨症
E.脑膜瘤
141、单项选择题 肩关节正位摄片,中心线正确射入点是()
A.锁骨的中点
B.关节盂
C.肩峰
D.肩胛骨喙突
E.肱骨头
142、单项选择题 关于头颅侧位摄影的叙述,错误的是()
A.常用于检查颅骨骨质改变
B.头颅常规摄影体位之一
C.矢状面与台面平行
D.瞳间线与床面垂直
E.应深吸气后屏气曝光
143、多项选择题
男,64岁,进食梗阻感半月。体检:咽充血少许滤泡,结合图像,最可能的诊断为()
A.会厌征
B.颈椎退变
C.食管癌
D.食管型颈椎病
E.以上都不是
144、单项选择题 非放射专业学生教学期间,有效剂量当量不得大于()
A.0.2mSv/年
B.0.3mSv/年
C.0.5mSv/年
D.1.0mSv/年
E.1.5mSv/年
145、单项选择题 关于“单纯性骨囊肿”CT表现错误的是()
A.囊内偶有间隔
B.囊内容物CT值近似水
C.位于肱骨骨干者可有硬化缘
D.位于长骨骨干者骨皮质变薄
E.合并病理骨折时,可出现"碎片陷落征"
146、多项选择题
男,1岁零8个月,生长发育差,易患呼吸道感染,心悸气促,心脏正、侧位片检查如图所示,正确的描述和诊断是()


A.正位示心影向两侧扩大,心尖左移
B.肺纹理增多
C.侧位示心前间隙变窄,心后食管前三角间隙消失
D.房间隔缺损
E.室间隔缺损
147、单项选择题 下列关于主动脉病变X线表现,错误的是()
A.主动脉位置改变
B.主动脉狭小
C.主动脉外形不规则
D.主动脉增宽,伸长和迂曲
E.以上都不是
148、多项选择题 来源于纤维组织的良性骨肿瘤的是()
A.神经纤维瘤
B.韧带样纤维瘤
C.纤维肉瘤
D.非骨化性纤维瘤
E.神经纤维肉瘤
149、单项选择题 X线片表现肺血增多,临床表现有发绀者是()
A.二孔型房间隔缺损
B.心内膜垫缺损
C.动脉导管未闭
D.室间隔缺损
E.艾森门格综合征
150、单项选择题
女,48岁,咳嗽2月余,胸片检查如图,最可能的诊断为()

A.右上肺胸膜肥厚
B.右上肺结核
C.右上肺不张
D.右上肺肿块
E.肺上沟瘤
151、单项选择题
男,75岁,右足第1跖趾关节和趾趾间关节疼痛3天,局部红肿,每子夜间痛醒,半年前有类似发作史。
结合右足正斜位片,最可能的诊断是()
A.关节结核
B.化脓性关节炎
C.痛风性关节炎
D.类风湿性关节炎
E.牛皮癣性关节炎
152、单项选择题 下列哪种物质可用作阴性造影剂()
A.泛影葡胺
B.空气
C.40%碘化油
D.5%碘化钠溶液
E.钡剂
153、单项选择题 腰椎斜位片,正常椎弓及附件的影像呈""猎狗形""。 椎弓崩裂易累及()
A.椎板后部
B.椎弓峡部
C.上关节突
D.下关节突
E.椎弓根
154、单项选择题 关于瓦氏位摄影,以下错误的是()
A.瓦氏位是观察上颌窦的最佳体位
B.又称Water位
C.也可观察额窦和后组筛窦
D.听眦线与暗盒呈73°角
E.若怀疑有上颌窦积液,应站立位摄影
155、多项选择题 韦格肉芽肿的胸部影像包括()
A.肺门淋巴结对称性明显增大
B.两肺大小相等结节影
C.小片状阴影
D.可有厚壁或薄壁空洞,空洞内壁不规则
E.少量胸腔积液
156、单项选择题 在婴儿腹立位片上,可见双泡征疾病的是()
A.先天性十二指肠闭锁
B.胎粪性肠梗阻
C.肠套叠
D.肥厚型幽门狭窄
E.以上都不是
157、多项选择题 在泌尿系统影像学检查中,尿路造影是常用的检查方法,其主要是指哪些检查()
A.X线排泄性尿路造影
B.X线逆行性尿路造影
C.CT尿路造影
D.MR尿路造影
E.核素扫描
158、单项选择题 右位主动脉弓最常见的伴随异常是()
A.永存动脉干
B.孤立的继发孔型房间隔缺损
C.三尖瓣闭锁
D.非矫正型大动脉转位
E.法洛四联征
159、单项选择题 风湿性心脏病左房室瓣(二尖瓣)关闭不全的主要X线表现是()
A.左心房、右心室增大
B.左心房,左心室增大
C.右心房增大
D.左心室增大
E.右心室肥大
160、单项选择题 立柱式X线管头支持装置的组成不包括()
A.立柱
B.移动轨道
C.滑架
D.胸片架
E.横臂
161、单项选择题 四肢长管状骨摄片时至少应包括()
A.长骨的两端
B.邻近两个关节
C.长骨的上端或下端
D.长骨的软组织
E.邻近一个关节
162、多项选择题 胸片上,肺内孤立性结节见于()
A.错构瘤
B.肺转移瘤
C.肺结核
D.小叶性肺炎
E.原发性肺癌
163、单项选择题 食管中下段局限性不规则收缩,称为()
A.第一蠕动波
B.第二蠕动波
C.第三收缩波
D.第四收缩波
E.第五收缩波
164、单项选择题 下列可出现爆米花样钙化的是()
A.肺癌
B.结核球
C.矽肺
D.胸膜间皮瘤
E.错构瘤
165、单项选择题 用胸片估计胸腔积液量,下列描述哪项不对()
A.微量积液:后肋膈角略钝
B.少量积液:液面低于第三前肋下缘
C.中量积液:液面低于第二前肋下缘
D.大量积液:液面超过第二前肋下缘
E.中量积液液面大于第四前肋上缘
166、单项选择题 关于CR摄片特点的说法,下列哪项是错误的()
A.感光度高,照射量可大幅度减低
B.具有广泛的动态范围
C.空间分辨率高
D.可进行减影
E.数字图像
167、单项选择题
根据如图影像图像,最可能的诊断是()
A.压缩性骨折
B.腰椎退变
C.腰椎结核
D.强直性脊柱炎
E.骨囊肿
168、多项选择题 以下哪些骨肿瘤常见钙化()
A.骨瘤
B.骨肉瘤
C.骨巨细胞瘤
D.软骨瘤
E.软骨肉瘤
169、单项选择题 左前斜位上,“心后下间隙消失”见于()
A.主动脉扩张
B.左心房增大
C.右心房增大
D.左心室增大
E.右心室增大
170、单项选择题 以间质改变为主的肺炎是()
A.支原体肺炎
B.肺炎球菌性肺炎
C.支气管肺炎
D.葡萄球菌性肺炎
E.放射性肺炎
171、多项选择题 下列哪些疾病胸片上主动脉结增大()
A.动脉导管未闭
B.梅毒性心脏病
C.主动脉瓣狭窄
D.主动脉瓣关闭不全
E.高血压心脏病
172、多项选择题 提示恶性骨巨细胞瘤的临床、影像征象包括()
A.骨破坏区与正常骨交界处模糊,呈虫蚀状、筛孔状
B.骨性包壳和骨嵴残缺不全
C.骨膜增生较显著,出现Codman三角
D.软组织肿块较大
E.肿瘤突然生长迅速并有恶病质
173、单项选择题
男,28岁,左髋疼痛不适三年余,结合图像,最可能的诊断是()
A.左髂骨动脉瘤样骨囊肿
B.左髂骨单纯性骨囊肿
C.左髂骨骨巨细胞瘤
D.左髂骨棕色瘤
E.左髂骨骨纤维性结构不良
174、单项选择题 关于急性肾盂肾炎的影像学检查,下列哪项说法是错误的()
A.影像学检查可以确诊
B.属于肾脏及尿路的急性细菌性感染
C.疾病本身不需影像学检查即可作出诊断
D.影像学检查的目的在于明确病因:尿路梗阻、反流、尿路结石、异物
E.影像学检查也可用于排除并发症
175、单项选择题 早发先天性骨梅毒的X线表现中,哪项错误()
A.常累及骨骺
B.Wimberger征
C.骨膜炎
D.干骺炎
E.先期钙化带增宽增浓
176、单项选择题 右主支气管在距气管隆突几厘米处分出右肺上叶支气管()
A.0.5cm
B.1.5cm
C.2cm
D.3cm
E.1cm
177、多项选择题 与胰腺毗邻关系密切的大血管有哪些()
A.肠系膜上动脉
B.腔静脉、门静脉
C.脾动脉、脾静脉
D.腹腔动脉、腹主动脉
E.肠系膜下动脉
178、多项选择题 关于獭尾肝的描述哪些正确()
A.肝左叶增大,与脾脏相连
B.可见于正常变异
C.肝尾叶增大,与胰腺相连
D.可见于肝肿瘤时
E.可见于肝叶比例失调时
179、单项选择题
女,1岁10个月,右肘部外伤,如图所示,最佳的诊断为()
A.全骺分离
B.肱骨髁上骨折
C.肱骨髁上骨折并肘关节脱位
D.内上髁骨骺损伤
E.内上髁骨骺损伤并肘关节脱位
180、单项选择题 人体X线吸收量主要取决于()
A.待检组织的密度
B.待检组织的厚度
C.待检组织的形状、大小
D.靶-片距
E.以上都不对
181、单项选择题 膝关节正位摄影,中心线应对准()
A.髌骨上缘
B.髌骨中心
C.髌骨下缘
D.髌骨上缘1cm
E.髌骨下缘2cm
182、单项选择题 胸部摄片高千伏摄影是指()
A.≥90kV
B.≥100kV
C.≥110kV
D.≥120kV
E.≥130kV
183、多项选择题 X线胶片的结构主要包括()
A.乳剂膜
B.保护膜
C.结合膜
D.片基
E.荧光体层
184、单项选择题 后前位胸片上,高血压心脏病患者右心缘第一弓通常由哪种结构构成()
A.上腔静脉
B.升主动脉
C.左室流出道
D.降主动脉
E.右室流出道
185、单项选择题 骨骺、干骺端结核的特征性X线表现为()
A.破坏区边缘有硬化
B.破坏区常横跨骺线
C.破坏区较局限
D.死骨及窦道形成
E.以上都是
186、单项选择题
男,35岁,左侧腹痛半年,阵发性。结合图像,最可能的诊断为()
A.正常肠圈
B.十二指肠炎
C.球部溃疡
D.降段憩室
E.水平段憩室
187、单项选择题 膈肌升高的病人,出现肺底部横线条影时,首先考虑()
A.肺部炎症
B.肺水肿
C.胸膜肥厚
D.肺纤维化
E.盘状肺不张
188、单项选择题
女,1岁,反复呕吐伴中度营养不良,结合影像,最可能的诊断为()


A.肺脓疡
B.膈疝
C.食道裂孔疝
D.包裹性液气胸
E.胃扭转
189、多项选择题 肺间质包含下述哪些成分()
A.肺泡间隔
B.小叶间隔
C.肺泡管
D.肺泡壁
E.支气管及血管的周围组织
190、单项选择题 风湿性心脏病最常见瓣膜病变是()
A.右房室瓣狭窄
B.左房室瓣狭窄
C.左房室瓣关闭不全
D.主动脉瓣关闭不全
E.右房室瓣关闭不全
191、多项选择题 以下可以见到钙化的疾病是()
A.错构瘤
B.淋巴结结核
C.周围型肺癌
D.中央型肺癌
E.肺泡微石症
192、多项选择题 退变性脊椎滑脱症需与椎弓根性脊椎滑脱症鉴别,后者的特点是()
A.滑脱程度常较重
B.常伴有椎间盘突出
C.椎弓根峡部的单侧或双侧断裂
D.椎管前后径常有明显增宽
E.椎管前缘与棘突后缘间距增大
193、多项选择题 肾囊肿的影像表现为()
A.尿路造影可显示肾盏受压伸长,分开和变形,压迹呈弧形,边缘光整
B.肾动脉造影可见肾动脉受压、移位、拉直,实质期可见低密度的囊肿区
C.CT可示肾脏内圆形低密度区,转廓光滑
D.肾盏受压拉长,边缘呈虫蚀样破坏
E.肾静脉栓塞
194、多项选择题 下列有关乳房囊性增生病的说法哪些是正确的()
A.乳腺囊性增生病是妇女多发病,其又称乳腺病
B.乳腺囊性增生病其发病与雌激素的水平失衡有关
C.乳腺囊性增生病以手术治疗为主
D.乳腺囊性增生病的肿块常是一侧单个结节,质软呈囊性变
E.囊性增生病乳房胀痛呈周期性,有经前加重,经后减轻或消失
195、多项选择题 脊柱结核的感染途径有()
A.直接扩散
B.消化系统传播
C.血行播散
D.淋巴系统传播
E.沿蛛网膜下腔播散
196、单项选择题
男,5岁,外伤后致左肩关节疼痛伴关节活动障碍1小时,X线检查如图所示,最可能的诊断是()
A.左肱骨上段骨折
B.肱骨骨纤伴病理性骨折
C.肱骨上段骨囊肿伴病理性骨折
D.左肱骨上段嗜酸性肉芽肿伴病理性骨折
E.以上均不正确
197、单项选择题 MPSI-H型的临床表现中,哪项正确()
A.出生后生长障碍,发病早
B.明显智力障碍
C.特征性面容,角膜混浊
D.X线骨骼主要为骨成形差
E.尿中含有大量DS和HS(基本比例为1:1)
198、单项选择题 下列哪项为头颅X线平片的最基本摄片位置()
A.后前及侧位
B.斯氏位
C.53°后前斜位
D.颏顶位
E.额枕位
199、单项选择题
女,57岁,胸痛,咳嗽1月余,不发热,咳白色痰,无痰中带血,X线检查如图,最可能的诊断是()

A.右侧肺不张
B.右肺炎症
C.纵隔肿瘤
D.右肺肿瘤
E.右肺结核
200、单项选择题
男,55岁,中上腹隐痛多年,剑突下压痛,影像检查如图,最可能的诊断是()
A.十二肠溃疡
B.十二指肠憩室
C.十二指肠癌
D.十二指肠重复畸形
E.十二指肠穿孔
201、单项选择题 有关肝脏CT解剖描述错误的是()
A.肝静脉进入下腔静脉的部位称为第二肝门,约平第10胸椎
B.肝静脉分为肝右、肝左、肝中静脉三支
C.肝静脉支走行于肝脏叶或段间裂内,以肝静脉划分肝叶、肝段
D.第二肝门的左侧可见食管影,食管后方为胸导管
E.胸主动脉的左后方有半奇静脉,右后有奇静脉,奇静脉的前方有胸导管
202、单项选择题 关于正常肺纹理的表现,错误的是()
A.肺纹理呈树枝状,越分越细
B.上肺纹理细,下肺纹理粗
C.右下肺纹理比左下肺纹理明显
D.两上肺纹理相比右上肺比左上肺多
E.肺纹理向下伸延可与肝影重叠
203、多项选择题 关于肺放射损伤,下述观点哪些不对()
A.放疗后1月内损伤最重
B.主要累及肺叶及支气管
C.晚期形成肺纤维化
D.损伤程度与照射剂量成直线形正比关系
E.肺血灌注无改变
204、单项选择题
下列各肺叶肺不张的摄影位置的选择,哪项是错误的()
A.下叶肺不张--常规正侧位加斜位
B.中叶肺不张--常规正位加弓位或侧位
C.左小叶肺不张--左侧位
D.右上叶肺不张--常规正位
E.盘状肺不张--常规正位
205、多项选择题 右心室增大对心脏形态的影响包括()
A.右心增大向前扩张,使心前间隙缩小
B.心脏增大遇胸骨阻挡后,使心脏沿逆时针方向旋转
C.漏斗部构成左心缘的上部,该段外形凸出,其以下为右心室的弧形边缘
D.由于旋转使心尖抬高在膈上,向后突出的位置也较高
E.右心向前增大,与胸骨接触面增加
206、单项选择题 下列慢性肺炎胸片所见,哪项不对()
A.肺纹理增多、紊乱
B.蜂窝状、杵状阴影
C.肿块规则圆形,边缘光整
D.局限性或弥漫性肺气肿
E.肺门影增大,模糊
207、单项选择题
图示为正常胃的分型,结合图像,最可能的诊断为()
A.胃扭转
B.牛角型胃
C.钩型胃
D.瀑布型胃
E.无力型胃
208、单项选择题 排尿性膀胱尿路造影对诊断下述哪种疾病有价值()
A.膀胱癌
B.外伤性输尿管、肾脏病变
C.反流性肾病
D.多发性尿道结石
E.良性前列腺肥大
209、多项选择题 脊椎结核的较常见X线表现有()
A.大块死骨
B.椎间隙变窄或消失
C.后突畸形
D.寒性脓肿
E.骨质破坏
210、单项选择题 颈椎张口位摄影,错误的是()
A.上颌切牙咬合面与乳突尖连线垂直于床面
B.头后仰
C.中心线向头侧倾斜15°
D.尽量张大口
E.主要观察寰枢椎
211、多项选择题 主动脉型心脏的表现不包括()
A.肺动脉段凹陷
B.心尖上翘
C.主动脉结凸出
D.心尖下移
E.右心室增大
212、多项选择题 有关冠状面的叙述,错误的是()
A.冠状面与地面平行
B.冠状面与矢状面垂直
C.冠状面将人体左右等分
D.冠状面与横断面垂直
E.冠状面将人体前后等分
213、多项选择题 在尿路造影中,关于输尿管正确的表现有()
A.注入对比剂后30分钟,肾盂肾盏显示满意,松开腹压即可显示双侧输尿管
B.输尿管全长为25~30cm
C.输尿管宽3~7mm
D.输尿管分三段
E.输尿管有三个狭窄
214、单项选择题 肾动脉沿以下规律分布()
A.肾动脉一肾段动脉一弓形动脉一叶间动脉
B.肾动脉一肾段动脉一叶间动脉一叶间动脉一弓形动脉
C.肾动脉一肾段动脉一弓形动脉一叶间动脉一叶间动脉
D.肾动脉一肾段动脉一叶间动脉一弓形动脉一小叶间动脉
E.肾动脉一肾段动脉一叶间动脉一叶间动脉一弓形动脉一叶间动脉
215、单项选择题 下列哪些X线表现可作为间质性肺水肿的诊断依据()
A.两肺野透亮度减低
B.肺门影模糊不清
C.心影增大
D.Kerley线
E.肋膈角闭塞
216、单项选择题 影响X线照片质量的物理因素,不包括()
A.密度
B.对比度
C.锐利度
D.颗粒度
E.失真度
217、单项选择题 关于肺泡蛋白沉着症的有关叙述中错误的是()
A.弥漫密集分布的粟粒样致密影
B.肺门周围蝶翼形阴影
C.局限性肺气肿及肺不张
D.弥漫分布的网织、结节影
E.自限性疾病预后良好
218、单项选择题 下列哪种疾病,不伴三尖瓣关闭不全()
A.风湿性心脏病
B.肺静脉高压
C.右房黏液瘤
D.三尖瓣脱垂
E.Ebstein畸形
219、单项选择题 颅底前后分为三个颅凹,颅后窝有()
A.枕大孔
B.视神经孔
C.棘孔
D.破裂孔
E.卵圆孔
220、单项选择题 肺动脉段凹陷最常见于()
A.房间隔缺损
B.室间隔缺损
C.三尖瓣闭锁
D.法洛四联征
E.动脉导管未闭
221、单项选择题 肺门舞蹈征最多见于哪种先天性心脏病()
A.动脉导管未闭
B.室间隔缺损
C.房间隔缺损
D.法洛四联征
E.艾森曼格综合征
222、单项选择题 男,阴囊下坠不适,胀痛,平卧症状缓解。查体:阴囊下垂松弛,并可触及结节状静脉曲张。 属精索静脉变异的是()
A.汇入肾静脉
B.汇入肝静脉
C.双精索静脉
D.汇入腹腔静脉
E.汇入下腔静脉
223、单项选择题 下列哪种疾患在食管的位置或形态上不发生变化()
A.左心房扩大
B.胸腺肥大
C.膈疝
D.食管静脉曲张
E.主动脉扩张
224、单项选择题 有关影像变形的叙述,正确的是()
A.被照物体与胶片不平行造成了影像失真
B.影像大小与形态随X线倾斜角度改变
C.球形病灶在中心线倾斜投影下成像为椭圆形
D.X线中心线垂直于胶片,是为防止影像变形
E.以上全是
225、单项选择题 下列疾病中,适用深呼气曝光的是()
A.肺炎
B.肺脓肿
C.肺大泡
D.肺癌
E.肺结核
226、单项选择题 颅底骨折X线摄片常规取()
A.梅氏位
B.柯氏位
C.瑞氏位
D.切线位
E.仰卧水平侧位
227、单项选择题 周围型肺癌所形成的空洞,其X线特征是()
A.厚壁,其内有大液平面,外缘模糊
B.厚壁,偏心性,内壁凹凸不平,无明显液平面
C.薄壁,蜂窝状阴影
D.薄壁,周边光整,大小形态可变化
E.薄壁,其内有大液平面,边缘清晰
228、多项选择题 乳腺病变进行导管造影时,可见哪些X线征象()
A.导管扩张
B.导管僵直
C.导管受压移位、分支减少
D.管腔内充盈缺损
E.导管截断
229、多项选择题 引起阻塞性肺不张常见疾病有()
A.支气管异物
B.支气管肺癌
C.炎性肉芽肿
D.支气管内膜结核
E.血块及痰栓
230、单项选择题 下列球形病灶的钙化特征中,哪项是不正确的()
A.结核球-斑点状或环层状钙化
B.肺炎性假瘤-粗钙化斑点
C.肉芽肿-成层形钙化
D.错构瘤-爆米花样钙化
E.矽肺-蛋壳样钙化
231、单项选择题 胸片显示为双侧性弧形肿块,密度均匀,且无钙化,可能是以下哪种肿瘤()
A.胸内甲状腺肿
B.神经源性肿瘤
C.胸腺瘤
D.淋巴瘤
E.畸胎瘤
232、多项选择题 诊断恶性骨肿瘤的诊断依据是()
A.浸润性骨质破坏
B.有骨膜反应
C.有软组织肿块
D.破坏区内有死骨
E.Codman三角
233、单项选择题 下列哪种疾病不宜行钡剂灌肠()
A.溃疡性结肠炎
B.疑有结肠癌者
C.中毒性巨结肠
D.先天性巨结肠
E.疑有结肠梗阻者
234、单项选择题 确定泌尿系统先天性发育异常的主要手段是()
A.尿常规
B.影像学检查
C.血液检查
D.DNA检测
E.激素水平检测
235、单项选择题 维生素A过多引起中毒时,骨骼变化下列哪项不正确()
A.管状骨造形失常
B.骨质吸收
C.骨膜下新骨形成
D.软组织异位钙化
E.骨骺包埋畸形
236、单项选择题 舟状头畸形的颅缝闭合特点一般表现为()
A.矢状缝、人字缝提早闭合
B.矢状缝、冠状缝提早闭合
C.冠状缝、人字缝提早闭合
D.矢状缝、顶颞缝提早闭合
E.偏侧颅缝提早闭合
237、多项选择题 腹部泌尿系平片(KUB)体位显示标准是()
A.从肾脏上端至膀胱整个泌尿系统全部包括在照片内
B.腰椎序列投影于照片正中
C.两侧腹部影像对称显示
D.骨骼清晰可见
E.肾脏轮廓可见
238、多项选择题 间质性肺水肿的X线表现有()
A.肺纹理和肺门血管阴影模糊
B.支气管袖口征
C.蝶翼征
D.胸膜下水肿
E.两上肺静脉分支增粗
239、单项选择题 胸椎上段侧位的摄片目的是()
A.观察胸椎生理曲度
B.观察第4~6胸椎侧位形态
C.观察第10~12胸椎侧位形态
D.观察第7~9胸椎侧位形态
E.观察第1~3胸椎侧位形态
240、单项选择题 关于骨岛,哪项是错误的()
A.松质骨内局限性骨小梁增多,增粗
B.边界清楚的致密影
C.长轴与较粗骨小梁走行方向一致
D.直径一般只有数厘米
E.以上都不是
241、多项选择题 哪些属半透异物()
A.钢
B.铝
C.矿砂
D.石片
E.玻璃屑
242、单项选择题 头颅平片上可见到下列哪些结构的压迹()
A.脑膜中动脉
B.板障动脉
C.蛛网膜颗粒
D.导静脉
E.以上均可
243、单项选择题 下列哪种情况下可引起骨折延迟愈合或不愈合()
A.软组织嵌入骨折断端
B.并发感染
C.局部血供不足
D.复位不良,固定不佳
E.以上都是
244、单项选择题 下列哪种疾病,胸片上无“左心房增大”表现()
A.室间隔缺损
B.二尖瓣关闭不全
C.二尖瓣狭窄
D.肺动脉瓣狭窄
E.动脉导管未闭
245、单项选择题 第3腰椎的体表定位标志是()
A.剑突与肚脐连线中点
B.脐上3cm
C.脐水平
D.脐下3cm
E.脐下5cm
246、单项选择题 关于胶片的叙述,错误的是()
A.晶体颗粒大,感光度高
B.晶体颗粒分布均匀,对比度高
C.晶体颗粒大小不一,宽容度高
D.晶体颗粒小,分辨率低
E.晶体颗粒小,涂层薄,清晰度好
247、单项选择题 额窦开口于()
A.上鼻道
B.中鼻道
C.下鼻道
D.筛漏斗
E.蝶筛隐窝
248、单项选择题 ERCP的正确说法是()
A.逆行肾盂造影
B.逆行性内镜胆胰管造影
C.经皮肝穿胆道造影术
D.静脉法胆道造影
E.口服法胆囊造影
249、单项选择题 下述为节育器在盆腔正位投照时的正常形态,但除外()
A.扁圆形
B.长圆形
C.圆形
D.纵“一”字形
E.横“一”字形
250、单项选择题 下列哪种癌组织易形成空洞()
A.腺癌
B.肺泡上皮癌
C.扁平上皮癌
D.大细胞未分化癌
E.小细胞未分化癌
251、单项选择题 迷走右锁骨下动脉在食管后方的压迹是()
A.由右侧向左上的螺旋形的压迹
B.由右侧向右上的螺旋形的压迹
C.由左侧向左上的螺旋形的压迹
D.由左侧向右上斜行的螺旋形压迹
E.以上都不是
252、单项选择题 老年人较特征的食管生理性压迹是()
A.主动脉弓压迹
B.左主支气管压迹
C.降主动脉压迹
D.左心房压迹
E.以上都不是
253、单项选择题 溃疡型肠结核主要消化道症状是()
A.呕吐
B.便秘
C.消瘦
D.腹部肿块
E.腹痛、腹泻、大便呈糊状
254、多项选择题 胸片上,肺内网状、蜂窝状阴影多见于()
A.间质性肺炎
B.尘肺
C.含铁血黄素沉着病
D.间质纤维化
E.急性粟粒型肺结核
255、多项选择题 哪些征象与良性胃溃疡有关()
A.激惹征
B.胃空腹滞留液较多
C.胃排空速度减慢
D.袖口征
E.肩胛征
256、单项选择题 痛风性关节炎急性期首先侵犯()
A.腕关节
B.肘关节
C.肩关节
D.膝关节
E.第一跖趾关节
257、单项选择题 可引起纵隔向患侧移位的病变是()
A.慢性纤维空洞型肺结核
B.一侧大量胸腔积液
C.肺脓肿
D.一侧大量气胸
E.大叶性肺炎
258、单项选择题 关于乳腺摄影的叙述,错误的是()
A.通常使用钼靶X线机
B.常摄取侧位和轴位片
C.用40kV以上的管电压
D.屏气曝光
E.焦-片距为40~50cm
259、单项选择题 关于支气管肺炎,下列说法错误的是()
A.多见于婴幼儿、年老体弱患者
B.X线表现为双肺上中野沿支气管分布的斑片状略高密度影
C.临床表现重,多有高热、咳嗽
D.发生于年老体弱者,体温可不高
E.治疗不当可形成支气管扩张及机化性肺炎
260、多项选择题 脂肪肉瘤包括哪些瘤细胞()
A.粘液样细胞
B.异形性脂肪母细胞
C.梭形细胞
D.圆形细胞
E.多核瘤巨细胞
261、多项选择题 广泛性骨质疏松不常见于哪些情况()
A.豆状骨骨折后
B.绝经后
C.甲状旁腺功能亢进
D.肢端肥大症
E.多发性骨髓瘤
262、单项选择题 心房间隔缺损主要X线征象是()
A.主动脉结缩小或正常
B.肺门舞蹈征
C.右心房增大
D.左心室增大
E.肺动脉段突出
263、单项选择题 关于静脉肾盂造影中腹部压迫点,正确的是()
A.脐水平两侧
B.第一腰椎水平两侧
C.耻骨联合上方3cm
D.两侧髂前上棘连线水平
E.脐下两侧,骶骨岬水平
264、单项选择题 类风湿性关节炎初期主要病变在()
A.关节韧带
B.滑膜组织
C.关节软骨
D.骨端骨组织
E.以上都不是
265、多项选择题 颞骨骨折按骨折线与岩锥长轴的关系分为以下几种类型()
A.横行骨折
B.撕脱骨折
C.混合性骨折
D.纵行骨折
E.粉碎骨折
266、多项选择题 以下属于软骨内化骨者的是()
A.锁骨两端
B.脊柱
C.躯干
D.面骨
E.四肢骨
267、单项选择题 哪项不是枢椎齿状突原发骨化中心发育异常的表现()
A.终末骨
B.齿状突骨
C.齿状突上端分叉
D.齿状突缺如
E.颈延髓交界处受压、变细、移位
268、单项选择题 关于“茎突综合征”,下列描述哪项错误()
A.临床可有"咽异感症"表现
B.茎突增粗、内斜,长度≥2.5cm
C.后前张口位可了解茎突方向
D.手术切除过长的茎突后,临床症状可改善
E.茎突周围有颈内动脉、颈外动脉和舌咽神经
269、多项选择题 马蹄肾常伴有的畸形有()
A.肾盂输尿管结合部梗阻
B.双膀胱
C.生殖系统畸形
D.心血管畸形
E.肛门直肠畸形
270、单项选择题 颅骨弥漫性“竖发”表现,最常见于下列哪种疾病()
A.颅骨成骨肉瘤
B.颅骨血管瘤
C.先天性溶血性贫血
D.白血病
E.红细胞增多症
271、多项选择题 骨肉瘤基本X线表现包括()
A.骨质破坏
B.肿瘤骨
C.肿瘤软骨钙化
D.软组织肿块
E.骨膜增生和Codman三角
272、多项选择题 正常排泄性尿路造影依检查时间不同显示()
A.肾实质
B.肾盏
C.肾盂
D.输尿管
E.膀胱
273、单项选择题 齿状突顶端超过腭枕线多少,可诊断为颅底凹陷症()
A.2mm
B.2.5mm
C.3mm
D.4mm
E.5mm
274、单项选择题
男,13岁,运动后膝关节疼痛,结合图像,最可能的诊断是()
A.正常影像
B.动脉瘤样骨囊肿
C.骨软骨瘤
D.成骨细胞瘤
E.骨样骨瘤
275、单项选择题 无紫绀先天性心脏病中,肺血减少的是()
A.房间隔缺损
B.室间隔缺损
C.主动脉口狭窄
D.动脉导管未闭
E.先天性二尖瓣狭窄
276、单项选择题 若疑眶内占位,首选的检查方法是()
A.平片
B.眶内造影
C.断层摄影
D.CT检查
E.超声检查
277、多项选择题 腹部泌尿系平片(KUB)诊断学要求可见的结构是()
A.骨骼
B.肾脏轮廓
C.腰大肌影
D.腹壁脂肪线
E.膀胱
278、单项选择题 陈旧性关节脱位是指脱位时间超过()
A.1周
B.2周
C.3周
D.4周
E.6周
279、单项选择题 动脉导管未闭出现右心室肥厚时提示()
A.肺静脉高压
B.肺水肿
C.肺栓塞
D.肺动脉高压
E.心力衰竭
280、单项选择题 对影像增强器电子透镜的解释,下列错误的是()
A.由各电极组成
B.对电子起聚焦作用
C.对电子进行放大
D.对电子进行加速
E.形成缩小增强的电子像
281、多项选择题 诊断学综合评价标准中要求有()
A.成像技术标准
B.影像显示标准
C.重要的影像细节
D.体位显示标准
E.受检者剂量标准
282、单项选择题 下述孤立性肺结节影像标准,哪项不对()
A.圆形或椭圆形病灶
B.直径1~4cm
C.不与胸壁、纵隔、横膈、心脏相连
D.可有卫星灶
E.其余肺野无实质性病灶
283、多项选择题 下列疾病X线摄片诊断价值最高的是()
A.胰腺癌
B.肾结石
C.肠梗阻
D.阑尾炎
E.胆囊炎
284、单项选择题 能显示视神经管轴位像的位置是()
A.劳氏位
B.许氏位
C.瑞氏位
D.汤氏位
E.瓦氏位
285、单项选择题 骨盆的常规摄片位置()
A.前后位
B.后前位
C.侧位
D.斜位
E.轴位
286、多项选择题 十二指肠球后溃疡的特点是()
A.常为多发
B.好发于降部上1/3的外缘
C.龛影表面呈乳头样或方形
D.在龛影的对侧伴有痉挛切迹
E.有粘膜皱襞集中的征象
287、单项选择题 女,34岁,自幼左侧乳头内陷,未哺乳。发现左乳肿物2周,边界不清,与皮肤粘连。近2天出现肿块增大,伴局部红肿热痛,无波动感,最可能的诊断是()
A.浆细胞性乳腺癌合并感染
B.乳腺囊性增生症
C.纤维腺瘤
D.结核
E.乳腺癌
288、单项选择题 十二指肠癌较罕见发生在哪段()
A.第1段
B.第4段
C.第2段
D.第3段
E.第2段加第4段
289、多项选择题 骨附属组织发生的肿瘤,指起源于()
A.血管
B.神经
C.脂肪
D.骨髓
E.骨
290、单项选择题 乳腺脂肪层所形成的透亮带厚度为()
A.0.5~1.5mm
B.0.5~2.5cm
C.0.5~1.5cm
D.0.5~2.5mm
E.1.5~2.5mm
291、单项选择题 脊髓内不伴有脊髓空洞症肿瘤是()
A.室管膜瘤
B.血管母细胞瘤
C.转移瘤
D.星形细胞瘤
E.以上全不对
292、多项选择题 骨质疏松症的X线表现有()
A.呈鱼尾状椎体
B.骨皮质变薄
C.骨小梁变细减少
D.椎间隙增宽
E.骨质密度减低
293、多项选择题 输尿管结石易停留的部位是()
A.肾盂与输尿管交界处
B.膀胱三角区
C.肾盏
D.输尿管与髂总动脉交界处
E.输尿管的膀胱开口处
294、单项选择题 不同类型骨结核的特征性X线表现中,哪项错误()
A.关节滑膜结核首先破坏关节承重面
B.骨干结核易形成葱皮样骨膜反应
C.扁骨结核呈囊样骨质破坏
D.短管骨结核易产生骨气鼓
E.脊椎结核常见脓肿形成
295、单项选择题 临床怀疑“肾结石”患者,首选以下哪种检查()
A.KUB
B.选择性肾动脉造影
C.IVU
D.逆行尿路造影
E.CT
296、单项选择题 碘苯酯常用于下列哪项造影检查()
A.心血管造影
B.逆行肾盂造影
C.脑血管造影
D.椎管造影
E.静脉胆囊造影
297、单项选择题 连续X线的辐射方式称为()
A.自发辐射
B.受激辐射
C.轫致辐射
D.特征辐射
E.热辐射
298、单项选择题 胶片按比例记录被照体密度范围的能力称为()
A.密度
B.感光度
C.感色性
D.MTF
E.宽容度
299、多项选择题 X线胶片所用的感光物质是()
A.溴化银
B.碘化银
C.氟化银
D.硝酸银
E.氯化银
300、多项选择题 引起肝脓肿常见的细菌为()
A.大肠杆菌
B.金黄色葡萄球菌
C.绿脓杆菌
D.变形杆菌
E.肠炎杆菌