时间:2025-02-09 03:20:46


1、多项选择题
男性,43岁,1月前广泛前壁心梗,行溶栓治疗。行静息-硝酸甘油介入心肌显像如图,可能的诊断是()

A.左室心尖、间壁、部分前壁心梗
B.心梗区无存活心肌
C.左室外侧壁严重缺血
D.左室下后壁缺血
E.心尖心梗区有存活心肌
2、单项选择题 下列哪种疾病在气溶胶吸入显像中不会使肺上皮通透性(LEP)增高()
A.呼吸窘迫综合征
B.矽肺
C.过敏性肺炎
D.尿毒症
E.支气管肺癌
3、问答题 简述脑受体显像的临床应用。
4、单项选择题 慢性胆囊炎在胆管系统显像中胆囊表现为()
A.于10min前显影
B.于20min前显影
C.于30min前显影
D.延迟1~2h显影
E.胆囊持续不显影
5、单项选择题 亚急性甲状腺炎时无下列何种表现()
A.甲状腺吸I率增高
B.T增高
C.T增高
D.FT增高
E.颈部触痛
6、单项选择题 肝胆显像剂静脉注射后由肝内下列哪种细胞摄取和分泌而显
A.肝细胞
B.肝巨噬细胞
C.胆管细胞
D.转移性肿瘤
E.血管上皮细胞
7、多项选择题
一患者的甲状腺激素抑制显像如图,正确的诊断是()
A.右叶结节为非功能自主性腺瘤
B.右叶结节为功能自主性腺瘤
C.右叶结节为“温”结节
D.右叶结节为“热”结节
E.右叶结节为“凉”结节
8、单项选择题 用于肾显像的现像剂有()
A.Tl和Tc-MIBI
B.Tc-MDP和Tc-HMDP
C.TcO
D.Tc-DTPA
E.Tc-MAA
9、单项选择题 脑外伤及其后遗症时脑SPECT可显示血流灌注缺损或减低区,其检出率()
A.高于X线CT,低于MRI
B.低于X线CT,高于MRI
C.高于X线CT和MRI
D.低于X线CT和MRI
E.高于X线CT,而与MRI相仿
10、单项选择题 用高能准直器对低能核素显像,哪一种说法是正确的()
A.完全不行
B.可以,且分辨率提高
C.可以,且灵敏度提高
D.可以,但灵敏度降低
E.可以,且分辨率和灵敏度都提高
11、多项选择题
131I-MIBG可用于诊断和定位下列哪些疾病()
A.嗜铬细胞瘤
B.神经母细胞瘤
C.产生儿茶酚胺的类癌类肿瘤
D.恶性淋巴瘤
E.肺鳞癌
12、单项选择题
男性,11岁,反复多发骨折3年,体检身材矮小,X型腿,行Tc-MIBI双时相显像如图,诊断是()
A.继发性甲状旁腺功能亢进症
B.左甲状腺癌
C.甲状旁腺瘤
D.异位甲状旁腺瘤
E.Graves’病
13、单项选择题 放射性废物处理中放置衰变法需放置多长时间才作一般废物处理()
A.2个半衰期
B.5个半衰期
C.10个半衰期
D.15个半衰期
E.20个半衰期
14、单项选择题 下列哪项不是肾图的优点()
A.简便
B.无创
C.无禁忌证
D.不受机体状况和技术因素的影响
E.以上都不正确
15、多项选择题 Tl脑显像,阳性结果提示()
A.弓形虫感染
B.淋巴瘤
C.放疗坏死组织
D.肿瘤复发病灶
E.脑脓肿
16、多项选择题
用99Tcm-硫胶体行消化道出血显像,易造成假阴性的原因()
A.出血速率0.2ml/mm
B.间断性活动性出血
C.出血病灶与脾脏重叠,结肠脾曲出血
D.出血病灶与肝脏重叠,结肠肝曲出血
E.出血量5ml
17、单项选择题 在质量控制中,低、中、高3个质控样品,其中3个偏离靶值超过1s,但在不同方向时,提示()
A.该批测定结果可以用
B.质控样品放置位置不正确
C.视具体情况而定
D.该批样品需要重新测定
E.如果下次分析仍是这样则需重新测定
18、问答题 简述代谢性骨病的骨显像的特征
19、问答题 简述高危心肌灌注影像的特征。
20、单项选择题 在反应堆中用中子照射靶核制备()
A.I、Mo、Xe
B.Mo、I、Cr
C.ln、Ga、Tl、I
D.F、C、O
E.以上都不是
21、单项选择题 在指定的区域内进行放射性工作,避免放射性向环境扩散称为()
A.屏蔽
B.保洁
C.去污
D.围封
E.空间防护
22、单项选择题 T抑制显像用于下列哪种情况时的鉴别诊断()
A.温结节
B.热结节
C.凉结节
D.冷结节
E.仅结节显影而周围正常组织不显影
23、问答题 简述肾内占位性病变的含义。
24、单项选择题 两个点源的物理距离与图像上用重心法测定的这两个点源间的像素数目之比,表示的是()
A.γ相机的空间分辨率
B.像素的绝对大小
C.γ相机的空间线性
D.γ相功能量分辨率
E.γ相机的均匀性
25、问答题 恶性肿瘤患者做核素全身骨显像有何临床意义?
26、问答题 脑静态显像正常或异常影像特征有哪些?
27、单项选择题 在核素肝、胆系统显像中,急性胆囊炎的影像特点是()
A.肠道24小时依然不出现放射性
B.胆道延迟至4小时不显像
C.胆囊延迟至4小时依然不显像
D.肝脏局部出现放射性反时相分布
E.肝脏显影延迟,吸收不好
28、单项选择题 肝胶体显像适应证为()
A.肝占位性病变
B.黄疸鉴别
C.胆系结石时,肝、胆各部位功能状况判定
D.先天性胆道闭锁
E.婴肝综合征
29、问答题 甲状腺热结节的影像表现及其临床意义。
30、问答题 核素骨显像的原理
31、问答题 简述影响骨显像质量的因素。
32、问答题 利用心肌灌注显像及运动实验如何判断心肌梗死、心肌缺血和梗死伴缺血?
33、填空题 在分析心肌断层图像时,确定一个真正的异常分布必须是灌注缺损至少在___连续的层面见到。
34、单项选择题 口服P可治疗的疾病是()
A.真性红细胞增多症
B.原发性血小板增多症
C.多发性骨髓瘤
D.淋巴瘤
E.以上都是
35、多项选择题
患者40岁,主诉右侧阴囊疼痛24h,查体右侧阴囊红肿明显。其动态血流灌注可见“nubbin”征;静态血池显像如图。描述正确的是()
A.右侧睾丸放射性分布呈“晕圈征”
B.提示右侧睾丸炎症
C.提示右侧附睾睾丸炎
D.提示右侧睾丸蒂扭转
E.“晕圈征”越明显,睾丸存活的概率越小
36、单项选择题 在SPECT显影中,衰减校正的最佳方法是()
A.几何平均法
B.算术平均法
C.根据物质密度分布的实际情况进行校正
D.后校正方法
E.指数平均法
37、多项选择题 分化型甲状腺癌,常用的综合治疗措施包括()
A.手术切除
B.I去除术后残留甲状腺组织
C.I治疗分化型甲状腺癌转移灶
D.甲状腺激素抑制治疗
E.抗甲状腺药物治疗
38、单项选择题 有效肾血浆流量(ERPF)测定的正常值为()
A.500~600ml/min
B.300~400ml/min
C.200~300ml/min
D.100~200ml/min
E.80~100ml/min
39、单项选择题 诊断乳腺癌骨转移最灵敏的检查方法是下列哪一项()
A.X-CT检查
B.碱性磷酸酶检查
C.核素全身骨显像
D.酸性磷酸酶检测
E.以上都不是
40、单项选择题 放射自显影的基本原理是()
A.利用感光材料能改变物质的密度
B.放射能使感光材料分解
C.放射性核素使感光材料发光
D.利用射线能使感光材料感光
E.利用自动探测仪器测量组织中的放射性分布
41、多项选择题
男性,67岁,阵发性心前区疼痛2年,心电图运动试验阳性,行Tc-MIBI运动-静息心肌显像如图,可能的诊断是()

A.左室前壁、下壁可逆性缺血
B.冠状动脉粥样硬化性心脏病
C.如果冠造阴性,提示X综合征
D.不排除非粥样硬化型冠心病
E.未见心肌缺血
42、单项选择题 闪烁现象出现于下列哪种情况()
A.转移性骨肿瘤病情加重
B.转移性骨肿瘤病情无变化
C.转移性骨肿瘤病情好转
D.转移性骨肿瘤病情复发
E.良性骨病
43、单项选择题 以下哪项不是放射性核素显影的特点()
A.较高特异性的功能显影
B.动态、定量显示脏器、组织和病变的血流和功能信息
C.提供脏器、病变的代谢信息
D.精确显示脏器、组织、病变的细微结构
E.本法属无创性检查
44、单项选择题 下列哪一种甲状腺结节恶性可能性较大()
A.热结节
B.温结节
C.凉结节
D.冷结节
E.以上均不可能
45、单项选择题 放射性核素脑血管造影常用的显像剂为()
A.TcO
B.Tc-ECD
C.Tc-GH
D.Tc-DTPA
E.Tc-HMPAO
46、问答题 PET脑显像(脑代谢显像)的基本原理是什么?
47、多项选择题 放射性核素骨显像可显示“冷区”的疾病有哪些?()
A.骨梗塞,股骨头无菌性坏死
B.多发性骨髓瘤
C.原发性骨肿瘤放疗后
D.肾癌骨转移灶
E.以上都是
48、单项选择题 核衰变后质量数减少4,原子序数减少2,是哪类衰变()
A.α衰变
B.β-衰变
C.γ衰变
D.β+衰变
E.电子俘获
49、单项选择题
10岁女童,左侧下肢疼痛1周,行99Tcm-MDP全身骨显像如图,对此诊断正确的是()
A.左侧股骨头坏死
B.左侧股骨急性骨髓炎
C.左侧股骨远端骨肉瘤
D.大致正常的骨显像
E.左胫骨近端骨样骨瘤
50、单项选择题 骨是一种器官,它的构造下列哪个答案正确()
A.骨膜、骨密质和骨髓
B.骨质、骨膜和骨髓
C.黄骨髓、骨膜和骨松质
D.红骨髓、骨密质和骨膜
E.骨髓、骨质、骨膜、血管、淋巴管和神经
51、单项选择题
男,47岁,进行性消瘦贫血,全身疼痛1年。行全身骨显像如图,可能的诊断是()
A.大致正常的骨影像
B.代谢性骨病
C.多发性骨髓瘤
D.超级骨显像
E.广泛骨转移瘤
52、单项选择题 骨髓显像中,在广泛性骨髓活性减低中出现灶性增生性浓集,是下列哪种血液病的常见表现()
A.慢性再障
B.真性红细胞增多症
C.急性白血病
D.溶血性贫血
E.淋巴瘤
53、问答题 简答局部脑血流显像的原理。
54、单项选择题 交通性脑积水在脑池显像中异常的典型表现,下列哪个是错的()
A.脑室显影
B.脑室不显影
C.24小时上矢状窦无放射性积聚
D.48小时上矢状窦无放射性积聚
E.脑脊液清除缓慢
55、单项选择题 心肌梗死后心肌缺血坏死而形成的室壁瘤在局部室壁运动(RWM)的特异性征象是()
A.运动正常
B.轻度运动低下
C.重度运动低下
D.反向运动(或矛盾运动)
E.无运动
56、多项选择题
男,67岁,行硝酸甘油介入Tc-MIBI心肌灌注显像如图,可能的诊断为()

A.左室心尖梗死
B.左室心尖无存活心肌
C.左心室前壁、间壁、后壁严重缺血
D.左心室心尖室壁瘤
E.左心室后侧壁缺血
57、单项选择题 肝脏胶体显像剂静脉注射后由肝内下列哪种细胞摄取而显影()
A.肝细胞
B.肝巨噬细胞
C.胆管细胞
D.肝癌细胞
E.血管上皮细胞
58、单项选择题 放射性核纯度一般要求大于()
A.99%
B.95%
C.90%
D.80%
E.85%
59、单项选择题 心电图门控采集技术最常用于下列哪个显像()
A.首次通过法心功能显像
B.平衡法心功能显像
C.心肌平面显像
D.心肌断层显像
E.99Tcm焦磷酸盐(PYP)热区心肌显像
60、多项选择题
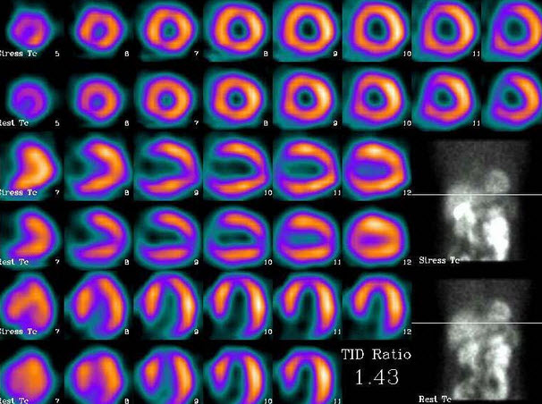
女,67岁,行静息及硝酸甘油介入心肌显像如图。可能的诊断是()

A.前壁、心尖、前间壁心肌梗死
B.心尖室壁瘤
C.梗死区基本无存活心肌
D.下后壁心肌缺血
E.后间壁心肌缺血
61、单项选择题 采用不通过血脑屏障的脑显像剂进行脑静态显像阳性病灶放射性一般表现为()
A.减低区
B.缺损区
C.增高(浓聚区)
D.正常
E.不浓聚
62、单项选择题 TSH基础值增高,TRH兴奋试验TSH明显增高,呈强反应考虑为()
A.正常
B.下丘脑性甲状旁腺功能减退
C.垂体性甲状旁腺功能减退
D.原发性甲状旁腺功能减退
E.以上都不正确
63、单项选择题
一患者的I-碘代胆固醇显像72h图像如图,最可能的诊断是()
A.双侧肾上腺髓质增生
B.双侧肾上腺皮质增生
C.正常的肾上腺皮质影像
D.双侧肾上腺皮质肿瘤
E.以上都不是
64、单项选择题
患者58岁,阵发性心前区疼痛1年,心电图阴性,行Tc-MIBI心肌显像如图,可能的诊断是()

A.心肌血流灌注大致正常
B.前壁心肌缺血
C.侧壁心肌缺血
D.间壁心肌缺血
E.X综合征
65、单项选择题 判断心脏功能负荷试验结果时,其EF绝对值比静息时应增加多少以上()
A.5%
B.10%
C.15%
D.20%
E.30%
66、问答题 核医学骨显像的突出特点是不仅能显示骨骼的___________、___________、___________,也是核医学方法与其他影像学方法最突出的区别之一;骨显像的另一个突出特点是_____,而局限性在于它的______。
67、单项选择题
针对如图箭头所示结节性质进行排序,从左到右、从上到下依次是()
A.冷结节、凉结节、热结节、温结节
B.冷结节、凉结节、温结节、热结节
C.凉结节、冷结节、温结节、热结节
D.凉结节、冷结节、热结节、温结节
E.温结节、热结节、凉结节、冷结节
68、单项选择题 肥厚型心肌病在门控心血池显像中的特点不含下列哪一项()
A.室间隔影像增宽
B.心腔影狭小
C.LVEF特别是1/3EF增高
D.心室大小正常
E.舒张期功能受损
69、问答题 肾血流灌注显像的正常表现有哪些?
70、单项选择题 甲状腺髓样癌起源于甲状腺滤泡旁细胞,血清哪种激素浓度
A.甲状旁腺激素
B.甲状腺激素
C.肾上腺素
D.降钙素
E.内皮素
71、单项选择题
男,49岁,反复发作心前区疼痛半年,行负荷、静息F-FDG心肌代谢显像如图,诊断是()

A.未见心肌缺血表现
B.心尖心梗
C.心尖、前间壁、部分下壁缺血
D.心尖室壁瘤形成
E.以上都不是
72、单项选择题 常用的骨显像剂是()
A.Tl和Tc-MIBI
B.Tc-MDP和Tc-HMDP
C.TcO
D.Tc-DTPA
E.Tc-MAA
73、问答题 甲状腺亲肿瘤显像原理及适应证有哪些?
74、问答题 消化系统肿瘤放射免疫显像有何临床意义?
75、问答题 放射性异常浓聚,也称___________显像,是最常见的影像特征,是由于骨皮质的破坏和新骨的形成引起的,常见于___________、___________、____________、_____________、引起的骨质变化、骨膜损伤及骨增生性病变等。
76、多项选择题
男,65岁,双侧腕关节、膝关节功能活动障碍3个月,无明显发热及疼痛。对其骨显像描述正确的是()
A.是一名晚期RA患者全身及手足局部骨显像
B.示手,腕,足非对称性活动性骨质病变
C.双侧膝关节对称性放射性浓聚,关节结构畸形,强直,关节功能丧失
D.可较X线片更早发现骨质炎症反应
E.以上都不是
77、多项选择题 电离辐射的生物效应,包括以下哪几个阶段()
A.物理阶段
B.物理化学阶段
C.化学阶段
D.生物学阶段
E.有丝分裂阶段
78、单项选择题 放射防护的目的在于防止有害的非随机效应,并将随机性效应的____降低到可被认为安全的水平()
A.严重程度
B.发生率
C.危险度
D.允许剂量
E.以上都不是
79、单项选择题 选择显影剂使用剂量的原则是()
A.为了保证显影质量,尽可能加大使用剂量
B.为了减少不必要的辐射,尽可能减少用量
C.每个病人需尽量使用相同剂量
D.在满足显影质量的前提下,尽可能减少使用剂量
E.根据受检者的身高
80、单项选择题 全身骨显像检查前的注意事项,下列哪一项是错误的()
A.静注显像剂后要大量喝水
B.静脉注射显像剂前需封闭甲状腺
C.检查时要憋尿
D.对于严重骨疼痛者适当使用镇痛剂
E.避免放射性尿液污染体表或衣服
81、多项选择题 受体的放射配基结合分析法所用的标记配基的基本要求是()
A.比活度高
B.亲和力高
C.特异性高
D.放射化学纯度要高
E.精密度好
82、多项选择题 关于门控心肌显像,其优点在于()
A.一次显像,同时获得灌注与功能信息
B.能提高对微小病灶的检出率
C.可对衰减伪影作出鉴别
D.同时观察室壁运动
E.可准确获得右室EF值
83、问答题 心肌代谢显像的基本原理是什么?适应证有哪些?
84、单项选择题
一患者19岁,反复发作高血压,行肾动态显像及隔日卡托普利介入肾动态显像如图,正确的诊断是()
A.左侧肾动脉狭窄
B.右侧肾动脉狭窄
C.正常的肾动态显像
D.双侧肾动脉狭窄
E.以上都不是
85、填空题 膀胱残余尿量测定适合判定:_______、观察有无尿反流存在及其程度、________、膀胱残余尿量测定。
86、多项选择题
男,68岁,胸背痛3个月入院,行99Tcm-MDP全身骨显像、局部断层骨显像+X线图像融合如图,可能的诊断是()
A.胸9、10椎体良性压缩性骨折
B.大致正常的骨影像
C.胸9、10椎弓根受累,提示恶性病变
D.多发性骨髓瘤
E.胸9、10骨转移可能性大
87、多项选择题 肺灌注显像的临床应用价值()
A.肺动脉栓塞的诊断和疗效判断
B.肺动脉高压的诊断和鉴别诊断
C.肺部肿瘤切除手术适应证的选择、术后肺功能预测
D.慢性阻塞性肺疾病肺减容手术前适应证的选择、手术部位和范围的确定
E.疑大动脉炎综合征等疾病累及肺血管者
88、单项选择题 两侧唾液腺摄取低下常见于()
A.病毒感染
B.细菌感染
C.干燥综合征
D.放射性炎症
E.酒精中毒
89、多项选择题 运动负荷试验,常用的终止指标有()
A.血压
B.预期心率
C.受检者的自觉症状
D.运动时间
E.呼吸频率
90、多项选择题 常用的SPECT心肌灌注显像方案()
A.201Tl运动-再分布显像法
B.99Tcm-MIBI运动-静息隔日显像法
C.99Tcm-MIBI运动-静息一日显像法
D.99Tcm-MIBI运动显像法
E.99Tcm-MIBI静息显像法
91、填空题 核素显像泌尿系统检查包括:①__________;②__________;③__________;④__________。
92、单项选择题
33岁男性,阵发性高血压2年,行I-MIBG腹部平面显像如图,最可能的诊断是()
A.双侧肾上腺髓质增生
B.双侧肾上腺嗜铬细胞瘤
C.大致正常的肾上腺髓质影像
D.双侧肾上腺皮质增生
E.右侧腹主动脉旁异位嗜铬细胞瘤
93、单项选择题 临床常用的诊断甲状腺转移灶的显像剂是()
A.I
B.I
C.I
D.mTcO
E.Tl
94、单项选择题
男,结肠癌术后3年,大便潜血(+++),行18F-FDG显像如图,诊断是()
A.肝转移
B.结肠癌复发
C.腹主动脉旁淋巴结转移
D.结肠癌复发并肝转移
E.以上都不是
95、问答题 肾上腺皮质显像的适应证及临床意义是什么?
96、单项选择题
男,10岁,1年前有摔跤史,未予重视,近期出现右下肢疼痛,行Tc-MDP全身骨显像及髋关节断层显像如图,最可能的诊断是()

A.右下肢股骨颈、粗隆肿瘤征象
B.右侧股骨头缺血
C.右侧股骨近端骨髓炎
D.右下肢蜂窝织炎
E.右股骨近端陈旧性骨折
97、单项选择题 阴囊显像中,下列哪种疾病可导致睾丸在灌注相、血池相均显示“放射性缺损区”()
A.急性睾丸蒂扭转
B.急性睾丸附睾炎
C.睾丸肿瘤
D.睾丸脓肿
E.外伤
98、单项选择题 心肌灌注显像极坐标靶心图,是根据下列哪种图像制成()
A.垂直长轴图像
B.水平轴图像
C.LAO45度图像
D.短轴断层图像
E.冠状断层图像
99、单项选择题 典型癫痫灶的SPECT脑灌注显像的表现是()
A.发作和间歇期均增高
B.发作和间歇期均减低
C.发作时增高,间歇时减低
D.发作时减低,间歇时增高
E.发作时增高.间歇时正常
100、问答题 试述核医学影像在脑肿瘤中的应用。
101、问答题 骨动态显像分___________、___________、___________3个时相。
102、单项选择题 原发性甲状腺功能低下时,TRH兴奋试验呈()
A.过度反应
B.无反应
C.低反应
D.延迟反应
E.以上都是
103、单项选择题 肺肿瘤在肺显像中的典型表现为()
A.(99m)Tc-MAA灌注显像中有缺损区,而(99m)Tc-DTPA气溶胶吸入显像中无缺损区
B.(99m)Tc-MAA灌注显像中无缺损区,而(99m)Tc-DTPA气溶胶吸入显像中有缺损区
C.(99m)Tc-MAA灌注显像和(99m)Tc-DTPA气溶胶吸入显像均表现有缺损区
D.(99m)Tc-MAA灌注显像中有缺损区,(99m)Tc-DTPA吸入显像中有增高区
E.(99m)Tc-MAA灌注显像中有增高区,而(99m)Tc-DTPA气溶胶吸入显像有缺损区
104、单项选择题 急性睾丸附睾炎在阴囊显像中典型的图像表现为()
A.血池相患侧表现为异常放射性浓聚区
B.血池相患侧表现为放射性缺损区
C.血池相患侧表现为边缘放射性增高的放射性缺损区
D.阴囊内放射性分布较均匀,内部结构不易分辨
E.以上均不是
105、单项选择题 初诊甲状腺功能亢进的患者(未用过抗甲状腺功能亢进药物治疗前),其甲状腺摄I率的典型特征是()
A.在服I后第24小时的摄I率明显升高,峰时位于第24小时
B.在服I后第24小时的摄I率低于正常范围
C.在服I后第3~6小时的摄I率高于正常范围
D.在服I后第24小时的摄I率高于正常范围且伴速度增快
E.以上都不对
106、多项选择题 肾脏产生的活性物质有()
A.肾素
B.前列腺素
C.血管紧张素
D.醛固酮
E.促红细胞生成素
107、问答题 PET在癫痫诊断中有何临床意义?
108、问答题 肺通气显像的基本原理是什么?
109、多项选择题 促甲状腺激素兴奋试验可用于()
A.鉴别原发性和继发性甲状旁腺功能减退
B.判断甲状腺储备功能
C.诊断和鉴别诊断功能自主性甲状腺结节
D.诊断甲状腺功能亢进
E.以上都正确
110、单项选择题 临床上常规放射免疫分析中,当样品中待测物质浓度超过标准曲线有效范围时,如何测定样品中待测物质浓度()
A.增加标准曲线剂量点
B.将样品进行稀释
C.减少样品的加样量
D.对样品进行浓缩
E.在标准曲线上进行外推获得样品浓度
111、单项选择题 正常情况下,上矢状窦影浓集出现在显像剂注入后()
A.1小时
B.3小时
C.6小时
D.24小时
E.48小时
112、单项选择题 (131)I-OIH肾动态显像特点下列哪个不正确()
A.肾小管分泌型显像剂
B.不能进行肾小球滤过率的测定
C.20min清除率<50%
D.用作肾动态显像剂,可得到Tc-EC同样的图像质量
E.正常人平均肾图峰时为2.5min
113、单项选择题 下列肾移植术后并发症中哪个在肾图中一般不会出现C段持续上升的异常曲线()
A.排异反应早期
B.输尿管梗阻
C.肾动脉血栓形成
D.尿漏
E.急性肾小管坏死
114、单项选择题 下列哪一项提示肺动脉血栓栓塞症(PE)高度可能性()
A.肺灌注缺损>75%,无相应的肺通气和X线胸片异常
B.肺灌注缺损等于胸片对应阴影范围
C.单个不匹配的中肺段灌注缺损,而X线胸片正常
D.肺灌注缺损<总肺野的50%,而肺通气缺损区、X线胸片病变区均≥灌注缺损区
E.灌注缺损区小于X线胸片异常
115、问答题 简述骨密度测量的绝对指征。
116、单项选择题 一般来说下列哪一种不是肺灌注显像的适应证()
A.肺栓塞
B.肺源性心脏病
C.肺肿瘤
D.存在心脏右向左分流疾病
E.肺气肿
117、单项选择题 甲状腺吸I率试验当前最有价值的用途是()
A.甲状腺功能亢进的诊断
B.甲状腺功能低下的诊断
C.甲状腺炎的诊断
D.甲状腺肿瘤的诊断
E.甲状腺功能亢进I治疗时指导给药剂量
118、单项选择题 睾酮是人体主要的雄性激素,男性主要由睾丸间质细胞产生,少量来自肾上腺皮质,女性则主要来自什么器官()
A.肾上腺髓质和卵巢
B.附件
C.乳腺
D.肾上腺皮质和卵巢
E.肝脏
119、多项选择题 淋巴显像有哪些临床意义()
A.恶性淋巴瘤
B.淋巴水肿
C.前哨淋巴结探测
D.恶性淋巴瘤淋巴转移
E.恶性肿瘤放疗布野
120、问答题 核素显像在肺功能检查中有何临床意义?
121、填空题 在生理状态下准确了解胃排空功能的显像手段是_______显像。
122、单项选择题 心室壁瘤在位相直方图中特征性表现为()
A.相角程缩小
B.相角程增宽
C.心室峰增高
D.出现附加峰
E.心室峰减低
123、单项选择题 下列哪一种情况下甲状腺显像不宜用TcO作显像剂()
A.甲状腺癌
B.甲状腺自主性高功能腺瘤
C.局部甲状腺组织增生
D.甲状腺囊肿
E.诊断异位甲状腺和寻找甲状腺癌转移灶
124、多项选择题
一患者的甲状腺显像如图,正确的诊断是()
A.左叶结节为“冷”结节
B.左叶结节可能为恶性癌组织
C.左叶结节可能是高代谢的腺瘤
D.左叶甲状旁腺瘤
E.以上都正确
125、单项选择题 放射性核素显像时射线的来源()
A.自引进被检者体内放射性核素发出
B.体外X射线穿透病人机体
C.频率为2.5~7.5MHz超声
D.宇宙射线
E.以上都不是
126、问答题 心肌代谢现象在冠心病中的应用?
127、单项选择题 位于甲状腺滤泡细胞与滤泡基膜之间的细胞称为C细胞或滤泡旁细胞,它分泌什么物质()
A.甲状腺激素
B.甲状腺球蛋白
C.降钙素
D.甲状旁腺激素
E.TSH
128、问答题 运动试验心肌显像诊断早期冠心病心肌缺血的原理是什么?
129、多项选择题
患者67岁,行Tc-MIBI门控心肌显像如图,可能的诊断是()

A.下后壁心肌梗死
B.下后壁室壁运动弥漫性低下
C.心功能四级
D.心肌血流灌注正常
E.以上都不是
130、单项选择题 临床用于急性骨髓炎诊断与鉴别诊断最恰当的手段是()
A.X-CT骨显像
B.ECT局部骨断层显像
C.ECT局部骨静态显像
D.ECT骨三相检查
E.ECTTc-MIBI
131、多项选择题 RIA的数据处理应用的主要是()
A.Logit-Log模型
B.三参数质量作用定律模型
C.四参数Logistic模型
D.五参数Logistic模型
E.四参数质量作用定律模型
132、单项选择题 标记化合物中还原剂二价化合物Sn含量过多、钼锝发生器内部的淋洗柱或生理盐水中混有铝离子成分、标记时容积过大、标记顺序不对、标记核素本身质量不佳、其他放射性药物成分混入、放射性药物投予方法错误等所产生的伪影为下述哪种原因所致()
A.受检者的原因
B.来自放射性核素显像剂的原因
C.来自机械性的原因
D.来自显像技术方面的原因
E.其他原因
133、单项选择题 显影剂引入人体后以一定速度连续或间断地多幅显影称为()
A.静态显影
B.平衡显影
C.介入显影
D.动态显影
E.阴性显影
134、单项选择题 正常骨显像的特点,下列哪一项是错误的()
A.全身骨骼放射性分布均匀而且对称
B.胸骨清晰可见,胸锁关节和胸骨柄处常见有放射性增高表现
C.双肾一般是不显影的
D.鼻咽部浓聚较高放射性
E.老年人双膝关节处可浓聚较多显像剂
135、单项选择题
男性,48岁,上腹部不适,AFP阴性,行99Tcm-Phy及Ga-枸橼酸钠显像如图,诊断是()
A.肝癌
B.肝囊肿
C.肝局灶结节性增生
D.肝血管瘤
E.以上都不是
136、单项选择题 分化型甲状腺癌骨转移,I治疗的常用剂量为()
A.7.4GBq
B.185MBq
C.3.7GBq
D.740GBq
E.2.96GBq
137、单项选择题
女,43岁,左下肢肿胀。行Tc-MAA双下肢深静脉显像如图,可能的诊断是()

A.双侧下肢热点为血栓梗阻部位
B.下肢远端侧肢循环建立
C.大致正常的深静脉回流影像
D.下肢远端浅静脉显影
E.若延迟显像示热点消失,提示为热点为静脉瓣所在
138、多项选择题 关于SPECT的原理,下列哪些是由投影重建断层的方法()
A.分部积分法
B.迭代法
C.傅立叶变换法
D.换元积分法
E.滤波反投影法
139、多项选择题 SPECT脑灌注显像,正常脑断层显像中放射性较高的结构是()
A.丘脑
B.基底节
C.大脑皮层
D.大脑白质
E.脑室
140、多项选择题 理想的心肌灌注显像剂应具备的条件()
A.心肌代谢的底物
B.首次通过心肌组织的摄取率高
C.不受其他药物的影响
D.心肌的摄取量与心肌局部血流量呈正比关系
E.必须是分子量小的化合物
141、单项选择题 癫痫发作期癫痫灶表现为()
A.局限性放射性分布稀疏、降低或缺损
B.局限性放射性分布浓聚、增高
C.脑结构紊乱
D.脑萎缩
E.异位放射性分布
142、问答题 简述胃排空功能测定的原理。
143、单项选择题 1957年谁研制出第一台γ相机()
A.Cassen
B.Anger
C.Curie
D.DavidKubl
E.YaloW
144、单项选择题
男性78岁,左胸部疼痛1个月,呈间歇性疼痛,CT示左侧胸壁软组织肿块影,对骨显像描述最准确的是()
A.一定是肋骨原发骨肿瘤
B.一定是胸膜间皮瘤侵犯左侧肋骨
C.可能是单发的成骨转移癌
D.良性的肋骨病变如结核
E.以上都不是
145、问答题 首次通过法核素心血管造影适应证有哪些?
146、单项选择题 下列哪一个是心肌梗死“热区”显像剂()
A.99Tcm-MIBI
B.99Tcm-ECD
C.99Tcm-DTPA
D.99Tcm植物酸盐
E.抗肌凝蛋白单克隆抗体
147、单项选择题 若梗阻较久,肾功能受损,有明显肾盂积水,此时肾图可能是()
A.持续上升型
B.高水平延长型
C.低水平延长线型
D.低水平递降曲线型
E.单侧小肾图型
148、单项选择题 在局部脑血流断层显像中,帕金森病脑血流灌注的改变以下列哪一项为主()
A.基底节血流增高
B.枕叶血流增高
C.丘脑血流增高
D.基底节血流减低
E.小脑血流增高
149、单项选择题 用于显像的放射性药物必须具备的主要性质是()
A.高能量
B.生物半衰期短
C.选择性浓聚在靶器官
D.贮存寿命长
E.以上都不是
150、单项选择题 P-胶体治疗恶性胸腔积液常用的剂量为()
A.148~370MBq
B.37~111MBq
C.370~925MBq
D.555~1110MBq
E.以上都不是
151、单项选择题 假设一种核素的物理半衰期为6h,生物半衰期为4h,该核素的有效半衰期是()
A.2.4h
B.6/4h
C.4/6h
D.2h
E.9h
152、单项选择题 Tc配套药盒中SnCl的作用是()
A.将高价态Tc氧化为低价态
B.增加Tc标记药物的稳定性
C.消除由于HO辐射分解产生的氧化性自由基
D.防止放射性药物中Tc被空气氧化
E.调节放射性药物标记的pH值
153、单项选择题 晚期肝硬化在肝显像中下列哪一点不是其典型表现()
A.肝影缩小
B.肝形态正常
C.弥漫性斑点稀疏
D.脾肿大
E.肝形态异常
154、单项选择题
男,诉胸背痛半个月,无吸烟史,行F-FDG及Tc-MDP全身骨显像如图,诊断是()

A.恶性淋巴瘤并骨浸润
B.左肺癌并广泛转移
C.肝癌肺转移、骨转移
D.骨肉瘤肺转移、骨转移
E.以上都不是
155、单项选择题 关于缺血性心肌病,正确的是()
A.LVEF>50%
B.多发节段性放射性稀疏缺损
C.斑片样放射性分布
D.局部节段性放射性减低
E.反向分布
156、单项选择题 目前核素显像技术的优势是()
A.影像分辨率高
B.价格便宜
C.可显示脏器功能
D.计算机内存大
E.以上都对
157、单项选择题 首次通过法心血池显像的方法学要求不含下列哪一项()
A.足够活度的显像剂
B.低能通用准直器
C.较小的矩阵
D.低能高灵敏准直器
E.快的采集速度(1~2秒/帧)
158、单项选择题
心肌摄取201Tl的量,主要与下列哪项因素有关()
A.心肌厚度
B.缺血灶大小
C.冠脉血流量
D.心肌弥散性清除率
E.心肌细胞缺血时间
159、单项选择题 肺栓塞在肺显像中的典型表现为()
A.灌注显像有缺损区,通气显像正常
B.灌注显像正常,通气显像有缺损
C.灌注和通气显像均有缺损区
D.灌注和通气显像均无缺损区
E.灌注和通气显像均正常
160、单项选择题 用Tc标记物做快速动态采集时,最好选用_______准直器()
A.低能高灵敏
B.低能高分辨
C.平行孔通用
D.针孔
E.高能通用
161、单项选择题 自主性高功能腺瘤无下列何种表现()
A.甲状腺显影呈“热结节”,周围甲状腺组织为低放射区
B.甲状腺显像呈“热结节”,T抑制试验结节处不受抑制
C.甲状腺显像呈“热结节”,T抑制显像示结节处受抑制
D.仅腺瘤显影,而周围甲状腺组织不显影
E.仅腺瘤显影,而周围甲状腺组织经TSH兴奋试验才显影
162、填空题 淋巴显像是一项了解_____,淋巴_______和摄取胶体颗粒______的核医学检查技术,它对恶性肿瘤淋巴转移的诊断__________、__________、__________以及估计预后等都有重要价值。
163、问答题 脊髓蛛网膜腔及脑池显像在神经外科分流术中的作用是什么?
164、单项选择题 心肌梗死灶在心肌灌注显像中表现为()
A.静息时减低,运动时有填充
B.运动时减低,静息时填充
C.静息时和运动时均减低,无差别
D.静息和运动时均增高,无差别
E.静息时减低,运动时增高
165、单项选择题 I治疗甲状腺功能亢进症是利用()
A.α射线
B.β射线
C.γ射线
D.X射线
E.以上均是
166、问答题 脑葡萄糖代谢显像的基本原理、适应证是什么?
167、单项选择题 疑有甲状腺碘有机化障碍疾病用哪种方法诊断()
A.甲状腺摄I试验
B.甲状腺激素抑制试验
C.过氯酸盐释放试验
D.甲状腺显像
E.以上均是
168、多项选择题 放射性核素治疗是利用在机体内能高度选择性地聚集在病变组织内的放射性药物。一般选用放射性核素()
A.放射线射程短
B.对生物组织的局部损伤作用强,全身辐射少
C.一般为β射线
D.处于研究中有潜在优势的射线、俄歇电子
E.以上均不对
169、单项选择题 SPECT肾断层显像主要用于()
A.肾盂结石
B.急性肾炎
C.肾占位病变
D.肾病综合征
E.慢性肾炎
170、单项选择题 下列哪种情况在全身骨显像图像上表现为“热区”()
A.急性骨髓炎
B.多发性骨髓瘤
C.放射治疗后
D.早期股骨头无菌性坏死
E.骨肉瘤
171、单项选择题 具有特定的质子数、中子数及核能态的一类原子,其名称()
A.同位素
B.原子核
C.核素
D.同质异能素
E.核子
172、问答题 硝酸甘油介入试验的原理是什么?
173、单项选择题 下列哪种显像检查前不能服用过氯酸钾()
A.肝胆动态显像
B.胃肠道出血显像
C.异位胃粘膜显像
D.肝血池显像
E.脾显像
174、问答题 肺灌注显像的基本原理是什么?
175、问答题 脾显像的临床应用
176、问答题 骨髓显像的异常影像有何特点?
177、多项选择题 女性,38岁,血象三系减少,骨穿两次均干抽,行Tc-PHY骨髓显像,正确的描述是()
A.中心骨髓活性明显受抑
B.外周骨髓活性代偿性扩张
C.早期骨髓纤维化
D.再障
E.骨髓异常增生综合征
178、多项选择题 关于PET的电子准直器正确说法有()
A.由于正电子的射程很短,电子准直的探测效率低
B.电子准直将正电子核素发射的正电子准直,使探测器能探测到正电子
C.利用时间符合确定湮没反应的空间位置
D.电子准直不使用吸收材料,探测效率高
E.电子准直可以使向各个方向辐射的光子改变方向,并将其按角度分组
179、问答题 简述Meckel憩室和Barrett食管及复制小肠畸形显像的原理。
180、单项选择题 全身骨显像中,常表现为假阴性的肿瘤是()
A.骨样骨瘤
B.软骨肉瘤
C.骨髓瘤
D.骨肉瘤
E.黑色素瘤骨转移瘤
181、单项选择题 杆件剪切变形时,横截面上的剪应力实际分布为()
A.梯形分布
B.抛物线分布
C.等值分布
D.不规则分布
182、单项选择题 新生儿肝炎和先天性胆道闭锁在肝胆动态显像中的鉴别要点是()
A.肝脏显影是否清晰
B.肠道内放射性的出现是否延迟
C.胆囊是否显影
D.注射24小时内肠道是否有放射性出现
E.胆管有否扩张
183、问答题 心肌神经受体显像的基本原理是什么?
184、单项选择题 甲状腺髓样癌无下列哪一种表现()
A.甲状腺I显像呈“热结节”
B.甲状腺TcO显像呈“冷结节”
C.Tl显像呈“热结节”
D.血中降钙素含量增高
E.I治疗无效
185、多项选择题
男,肝癌术后1年,诉腰背痛5个月,行全身骨显像如图,碱性磷酸酶明显增高,可能的诊断是()
A.胸12“冷区”
B.胸12有溶骨性病变
C.胸12骨转移瘤
D.大致正常的骨影像
E.肝癌骨转移“冷区”较常见
186、多项选择题 亲心肌梗死显像剂有()
A.99Tcm-MIBI
B.201Tl
C.99Tcm-PYP
D.111In-抗肌凝蛋白抗体
E.18F-FDG
187、问答题 试述乳腺癌骨转移形成的途径?
188、单项选择题 放射性核素治疗转移性骨肿瘤一般认为下列哪点不对()
A.止痛
B.减轻症状
C.抑制肿瘤生长
D.姑息治疗
E.根除
189、单项选择题
男,48岁,肺小细胞癌化疗中,诉全身疼痛,行全身骨显像如图,可能的诊断是()
A.广泛骨转移瘤
B.颅骨有冷区
C.大致正常的影像
D.颅骨有“甜面圈”征
E.是超级骨显像
190、单项选择题 下列哪种情况下,血浆皮质醇浓度不增高()
A.肾上腺皮质增生
B.肾上腺皮质腺瘤
C.肾上腺皮质癌
D.库欣综合征
E.嗜铬细胞瘤
191、单项选择题
99Tcm-HIDA静脉注射后在肝、胆显像的正常表现中,下列哪个是错的()
A.3~5min肝影最清晰
B.5~10min胆管及胆总管显影
C.10min前胆囊显影
D.20~30min十二指肠显影
E.30min后肠道放射性逐渐增强
192、多项选择题
男性患者,49岁,右侧睾丸疼痛肿胀10天,伴右腰痛3天,有慢性前列腺炎病史。治疗前后各做了一次肾功能动态显像如图,正确的描述是()

A.急性肾盂肾炎
B.急性肾小球肾炎
C.治疗疗效显著
D.双肾重度积水
E.以上都不是
193、多项选择题 急性胆囊炎在核素肝胆动态显像为避免假阳性的发生,可()
A.给予促胆囊收缩素
B.给予吗啡
C.延迟显像至注射后2~4h
D.予苯巴比妥
E.脂餐试验
194、单项选择题 肺灌注显像注入显剂颗粒数宜为()
A.1~10万个
B.10~20万个
C.20~70万个
D.70~120万个
E.120万个以上
195、单项选择题
女性,78岁,头颅胀痛3个月,肾功能明显受损,HGB56g/L,行全身骨显像,最可能的诊断是()
A.肾性骨营养不良
B.原发性骨质疏松
C.骨软化症
D.Paget病
E.骨转移瘤
196、多项选择题 预测甲状腺功能亢进药物治疗缓解后复发的最灵敏、最可靠的方法是()
A.TT、FT测定
B.TT、TT测定
C.sTSH测定
D.TRH兴奋试验
E.以上都正确
197、多项选择题 下列关于随机效应说法正确的是()
A.随机效应研究对象是群体
B.主要有致癌效应和遗传效应
C.是辐射效应发生的概率与剂量相关的效应
D.不存在具体阈值
E.一般是在短期内受较大剂量照射时发生的急性损伤
198、单项选择题 肝细胞性黄疸在胆管系统显像中一般来说下列哪个表现是错的()
A.心区放射性增高
B.肝显影差
C.肝显影增大
D.胆管系统显影不佳
E.肠道持续无放射性
199、问答题 静脉造影异常表现有何临床意义?
200、单项选择题 标记物中规定的放射核素放射性活度占放射性药物中总放射性活度的百分数,又称()
A.放射化学纯度
B.化学纯度
C.放射性核纯度
D.放射性活度
E.放射性比活度
201、多项选择题 患者,男,诉腰痛1年,无血尿,行(131)I-邻碘马尿酸肾图检查,诊断是()
A.右侧呈低水平延长线
B.右侧肾脏功能严重受损
C.左侧肾图高水平延长线
D.左肾功能大致正常
E.以上都不是
202、多项选择题 SPECT脑血流灌注显像的适应证是()
A.成年人新近癫痫发作
B.伴发或不伴发神经系统定位症状的持续性头痛
C.脑脊液漏
D.早老性痴呆
E.脑卒中
203、单项选择题 用Tc-MIBI行心肌显影,一般于注射显影剂后1~1.5h开始显影才能得到质量好的心肌影像,其主要原因是()
A.由于Tc-MIBI在心肌内无再分布
B.至此时心血池及大血管内显影浓度才明显降低
C.此时肺、肝内放射性明显减低,而Tc-MIBI在心肌中浓度仍很高
D.由于Tc-MIBI在心肌内聚集速度慢
E.至此时胃内放射性才明显减低,此时显影能减少胃对心肌影像的干扰
204、多项选择题
患者21岁,主诉左侧阴囊疼痛3小时,查体见左侧睾丸肿胀。行TcO阴囊显像血池相如图。描述正确的是()
A.左侧睾丸呈弥漫性放射性稀疏表现,提示左侧睾丸蒂扭转
B.右侧睾丸炎
C.可能为左侧腹股沟斜疝
D.左侧附睾睾丸炎
E.大致正常的影像
205、单项选择题 SPECT在脑灌注显像中脑梗死灶显示灌注减低区范围较CT为()
A.范围大,但发现晚
B.范围大,且发现早
C.范围小,且发现晚
D.范围小,且发现早
E.范围一样,但发现晚
206、单项选择题 甲状腺功能亢进内科药物治疗应经常复查()
A.吸碘功能测定
B.血清FT、FT测定
C.甲状腺显像
D.肝肾功能
E.以上都正确
207、单项选择题 一般认为,胃排空测定最好的是()
A.固体排空
B.液体排空
C.半固体排空
D.固、液体排空同时测定
E.以上都不是
208、单项选择题 运动负荷试验后,正常冠状动脉血流通常增加________()
A.3~5倍
B.6~10倍
C.1~2倍
D.1~3倍
E.以上都不对
209、多项选择题 心肌灌注显像对心肌梗死的应用价值()
A.急性心肌梗死的诊断
B.指导溶栓治疗
C.急性心肌梗死预后的早期估计
D.心肌梗死大小的估计
E.陈旧性心肌梗死的诊断
210、多项选择题 下列何种恶性肿瘤最容易发生全身骨转移()
A.食管癌
B.乳腺癌
C.前列腺癌
D.肺癌
E.以上都不是
211、单项选择题 用于心肌细胞活性探测的核素显像方法中最准确的方法是()
A.硝酸甘油介入99Tcm-MIBI心肌灌注显像
B.201Tl再分布/延迟显像
C.心肌葡萄糖代谢显像
D.201Tl两次注射法
E.99Tcm-MIBI心肌灌注显像
212、单项选择题 用Tc-DTPA做肾动态显像时,常用的放射性药物的剂量为()
A.2mCi
B.5~10mCi
C.15mCi
D.20mCi
E.30mCi
213、单项选择题 下列哪项是放射免疫显像的禁忌证()
A.早期癌肿
B.血清人抗鼠抗体阳性
C.手术后复发
D.久病体弱
E.癌肿广泛转移
214、问答题 肾上腺皮质显像的基本原理是什么?
215、单项选择题 放射性核素衰变的速度取决于()
A.衰变常数
B.放射性活度
C.衰变时间
D.环境温度
E.比活度
216、单项选择题 与其他检查方法相比,肿瘤放射免疫显像最大的特点为()
A.特异性较强
B.灵敏度较高
C.特异性与灵敏度均较高
D.方法简便易推广
E.患者安全无痛苦
217、单项选择题 股骨头无菌性坏死,依靠下列哪种检查方法进行诊断()
A.骨盆静态显像
B.全身骨显像
C.骨三相显像
D.骨断层显像
E.以上方法均可
218、问答题
试述99Tcm-标记抗粘蛋白单克隆抗体(McAb)用于乳腺癌的放射免疫显像(RII)诊断的原理?
219、单项选择题 肺灌注显像的原理是以下哪一种机制()
A.细胞选择性摄取
B.化学吸附作用
C.微血管栓塞
D.特异性结合
E.非特异性结合
220、单项选择题
男性,48岁,主诉纳差、消瘦,行99Tcm-RBC显像6小时断层如图,诊断是()
A.多发肝转移癌
B.多发肝血管瘤
C.肝右叶淋巴瘤
D.肝癌并肝内转移
E.以上都不是
221、单项选择题 下列何种不是甲状腺显像剂()
A.TcO口服
B.Tc植酸盐
C.I
D.I
E.TcO静脉注射
222、多项选择题
女,突发上腹痛3小时,行Tc-DISIDA显像左上图为1帧/3秒动态显像,右上图为1帧/5分钟动态显像,左下图为3小时静态显像,右下图为4小时静态显像。正确描述是()
A.显像过程中胆囊持续不显影
B.急性胆囊炎
C.胆囊于4h时显影
D.胆道梗阻
E.以上都不是
223、多项选择题 下列各项中,属于存活心肌的是()
A.冬眠心肌
B.顿抑心肌
C.心肌瘢痕
D.无13N-NH和18F-FDG浓聚
E. 99Tcm-MIBI摄取降低但有18F-FDG浓聚
224、问答题 简介正常甲状腺影像
225、单项选择题 下列哪一个不属于甲状腺阳性显像剂()
A.Tc-MIBI
B.Tl
C.Tc-DMSA
D.I-MIBG
E.TcO
226、单项选择题
一患者Tc-MAA下肢深静脉显像如图,正确诊断是()

A.双下肢深静脉回流通畅
B.右下肢股静脉血栓形成
C.左下肢深静脉栓塞伴新鲜血栓
D.下腔静脉血栓形成
E.以上都不是
227、单项选择题
13N-NH3进入心肌细胞的机制,下列哪项是正确的()
A.Na+-K+-ATP酶转运
B.心肌细胞主动摄取
C.自由扩散
D.心肌细胞胞饮
E.Ca2+-通道转运
228、单项选择题 脑结构紊乱最常见于()
A.急性脑梗死
B.脑挫裂伤
C.癫痫
D.痴呆
E.偏头痛
229、单项选择题
女性,12岁,发现颈部正中无痛性包块1年,行TcO甲状腺显像如图,对此影像正确的描述有()
A.正常的儿童甲状腺影像
B.舌根部异位甲状腺
C.舌骨下异位甲状腺
D.甲状腺瘤
E.提示有甲状腺功能低下
230、单项选择题
一患者的TcO显像及Tc-MIBI显像如图,正确的诊断是()
A.左叶功能自主性甲状腺腺瘤
B.先天性右叶缺如
C.左叶非功能自主性甲状腺腺瘤
D.左叶孤立性温结节
E.左叶孤立性冷结节
231、单项选择题 骨显像中呈放射性增高区是()
A.仅见于骨肿瘤
B.仅见于骨外伤
C.仅见于骨炎症
D.均可见于骨肿瘤、外伤、炎症
E.无法见于骨肿瘤、外伤、炎症
232、多项选择题 属于放射性竞争结合分析技术的是()
A.ELISA
B.CLIA
C.RIA
D.CLEIA
E.IRMA
233、多项选择题
99Tcm-硫胶体显像可用于()
A.肝胶体显像
B.胃肠道出血显像
C.脑灌注显像
D.心肌灌注显像
E.全身骨显像
234、单项选择题 I治疗分化型甲状腺癌转移灶,应停用T()
A.1~2周
B.2~3周
C.6~8周
D.8~10周
E.4~6周
235、问答题 肾动态显像在肾内占位性病变良、恶性鉴别诊断中有何临床意义?
236、单项选择题 慢性淋巴细胞性甲状腺炎无下列何种表现()
A.甲状腺Tc显像呈“热结节”
B.甲状腺I显像呈“热结节”
C.甲状腺球蛋白(Tg)抗原明显升高
D.血清TgAb与TmAb阳性
E.过氯酸钾排泌试验,释放率增高
237、单项选择题 RIA分离的目的是()
A.去除游离抗体
B.去除抗原-抗体复合物
C.去除游离抗原
D.去除标记抗体
E.以上均不正确
238、多项选择题
一患者的Tc-DTPA肾动态显像如图,正确的诊断是()
A.左侧上尿路梗阻
B.左肾积水
C.右肾积水
D.右侧上尿路梗阻
E.以上都不是
239、单项选择题 脑断层显像所用OM线,是指()
A.前额-小脑连线
B.眼-枕骨连线
C.眼-小脑连线
D.眼-耳连线
E.垂直于身体长轴的连线
240、多项选择题 用于屏蔽β射线和γ射线的元素分别为()
A.铝和钨
B.有机玻璃和铅
C.钨和铝
D.塑料和铝
E.铁和铝
241、问答题 肝胆显像的适应证有哪些?
242、单项选择题 肝血池显像中转移性肝肿瘤处血池放射性较周围肝组织为()
A.增高
B.相似
C.较低
D.明显低
E.缺损
243、单项选择题 局部心室壁运动呈反向搏动常提示()
A.肥厚型心肌病
B.扩张型心肌病
C.缺血性心肌病
D.预激综合征
E.心室室壁瘤
244、单项选择题 不受血中甲状腺激素结合球蛋白浓度异常影响的甲状腺功能指标是()
A.PRL
B.TT
C.TT
D.LH
E.FT和FT
245、问答题 甲状腺亲肿瘤显像异常影像表现如何?
246、单项选择题 下列哪一种仪器不能用于脏器显像()
A.脏器功能测定仪
B.脏器扫描机
C.γ照相机
D.SPECT显像仪
E.PET显像仪
247、名词解释 闪烁现象
248、单项选择题 对标记抗原的要求()
A.比活度高而适当
B.保持标记抗原的免疫活性
C.便于进行放射性测量
D.放化纯度高
E.以上均是
249、单项选择题 骨髓显像中放射性胶体物质与骨髓内何种细胞成分相结合而使其显像()
A.红细胞生成细胞
B.粒细胞生成细胞
C.网状内皮细胞
D.骨髓网状细胞
E.骨小梁
250、单项选择题
一患者的99Tcm-RBC门控心血池显像时相分析如图,诊断是()

A.左心室前壁缺血
B.扩张型心肌病
C.心尖室壁瘤形成
D.左心室传导异常
E.以上都不是
251、单项选择题 危险度是指剂量当量引起的某种随机性有害效应的()
A.严重程度
B.权重因子
C.发生概率
D.有效剂量当量
E.以上都不是
252、单项选择题 最理想的甲状腺显像剂是()
A.I
B.I
C.I
D.TcO
E.Tl
253、单项选择题 PET显像主要在哪些方面发挥重要作用()
A.神经、内分泌、消化
B.神经、心血管、骨骼
C.呼吸、消化、血液
D.神经、心血管、肿瘤
E.以上都不是
254、多项选择题
女性,38岁,血象三系减少,行99Tcm-PHY骨髓显像如图,正确的描述是()
A.黄骨髓出现灶性增生
B.预后良好
C.提示慢性再障
D.提示急性白血病
E.以上都不是
255、单项选择题 唯一能直接确诊交通性脑积水的显像方法是()
A.局部脑血流断层显像
B.脑血流动态显像
C.脑池显像
D.脑平面显像
E.脑代谢显像
256、单项选择题 非职业人员年有效剂量为()
A.100mSv
B.50mSv
C.1mSv
D.150mSv
E.500mSv
257、填空题 反映局部心肌收缩功能的指标有______和_______。
258、单项选择题 癫痫灶在F-FDG的PET脑代谢显像中葡萄糖代谢表现为()
A.发作期和间歇期均增高
B.发作期和间歇期均减低
C.发作期增高,间歇期减低
D.发作期减低,间歇期增高
E.发作期增高,间歇期正常
259、单项选择题 从裂变产物中分离提取,一般为β衰变核素()
A.I、Mo、Xe
B.Mo、I、Cr
C.ln、Ga、Tl、I
D.F、C、O
E.以上都不是
260、问答题 心肌灌注显像在冠心病治疗过程中有何作用?
261、多项选择题 亲心肌梗死显像的临床应用()
A.急性心肌梗死的诊断
B.急性心肌梗死大小及预后的估计
C.不稳定性心绞痛
D.心肌炎的评价
E.心脏移植病人的评价
262、问答题 骨显像分___________、___________、___________、___________方法。
263、单项选择题 乳腺癌根治术后上肢水肿的主要原因是()
A.血浆胶体渗透压低下
B.静脉压上升
C.毛细血管通透性增高
D.淋巴管闭塞
E.肝细胞对醛固酮、抗利尿激素灭活能力降低
264、单项选择题
女性,53岁,乳腺癌术后3年,无明显不适,行99Tcm-MDP骨显像如图,最可能的诊断是()
A.大致正常的骨影像
B.超级骨影像,广泛骨转移
C.代谢性骨病
D.双肾功能严重受损
E.以上都不是
265、单项选择题 核素骨显像较X线检查提前多长时间发现有恶性肿瘤骨转移。()
A.0.5~1个月
B.2个月
C.3~6个月
D.7~9个月
E.9~12个月
266、多项选择题 具有连续能谱的粒子有()
A.γ光子
B.β+粒子
C.α粒子
D.β-粒子
E.内转换电子
267、单项选择题
一患者的99Tcm-RBC肝血池延迟6h显像如图,准确的诊断是()
A.肝癌
B.肝脓肿
C.肝血管瘤
D.肝血管瘤伴中央液化坏死
E.以上都不是
268、问答题 肾小球滤过率测定有何临床意义?
269、单项选择题
女性,56岁,咳嗽、咯血3天,既往有肺结核病史,结核菌素试验阳性,CT示右肺占位,行F-FDG显像如图,SUV值7.8,诊断是()

A.右肺活动性结核
B.右肺癌伴中央坏死
C.淋巴瘤
D.结节病
E.炎性假瘤
270、单项选择题 甲状腺髓样癌无下列何种表现()
A.甲状腺I显像呈“热结节”
B.甲状腺Tc显像呈“冷结节”
C.I-MIBG显像呈“热结节”
D.血中降钙素含量增高
E.I治疗无效
271、单项选择题 移植肾一侧下肢浮肿,肾动态显像在移植肾旁可见一个放射性缺损区,提示()
A.尿漏
B.淋巴囊肿
C.血栓形成
D.排异反应
E.尿路梗阻
272、问答题 心脏药物负荷试验心血池显像有何临床意义?
273、填空题 肝胶体显像所示肝内放射性稀疏缺损的病变区,肝血池影像“不填充”以_____可能性大;“填充”提示________;“过度填充”为__________的特异性表现;“边缘填充”示____________。
274、单项选择题 急性蜂窝织炎时放射性核素骨显像可见何种表现()
A.血流、血池相放射性明显增加,且消失迅速,延迟相正常
B.血流相正常,血池相放射性增高,消失缓慢,延迟相正常
C.血流、血池相正常,延迟相呈放射性明显增加
D.血流相放射性灌注增加,血池相及延迟相呈放射性减低
E.以上都不是
275、单项选择题 用脑血流灌注显像诊断脑死亡,最特征的影像是什么()
A.两大脑半球没有放射性分布
B.一侧大脑半球没有放射性分布
C.头皮不显影
D.两大脑半球放射性低下
E.上矢状窦显影
276、单项选择题 下列哪个不属于内照射防护的原则()
A.铅玻璃屏蔽
B.分区封围隔离
C.避免放射性污染环境
D.口罩防护
E.橡皮手套防护
277、多项选择题 用放射性核素治疗骨转移癌,疗效较好的原发肿瘤为()
A.胃癌
B.肝癌
C.肾癌
D.乳房癌
E.前列腺癌
278、填空题 肺动脉高压病人行坐位肺灌注显像时,肺放射性分布呈_____翻转改变。
279、单项选择题 胃排空加速的原因有()
A.甲亢
B.胃下垂
C.幽门梗阻
D.胃癌
E.甲状腺功能减退
280、单项选择题 交通性脑积水的诊断最好选用_______显像。()
A.rCBF
B.脑血管动态
C.脑静态
D.脑脊液间隙
E.PET
281、问答题 肝胆显像剂肝细胞癌阳性显像有何临床意义?
282、问答题 甲状腺摄I试验的适应证有哪些?正常参考值是多少?
283、单项选择题 反应堆生产的核素常是()
A.中子缺乏
B.存在时间短
C.中子过剩
D.价格特别昂贵
E.以上都不对
284、单项选择题 早老性痴呆及血流灌注显像示()
A.病灶灌注减少或缺失,部分病例对侧小脑半球灌注减低
B.基底节不对称灌注减低伴大脑各叶灌注减低
C.间歇期血流灌注减低,发作期病灶处灌注增高
D.额、顶、颞叶为主的广泛血流灌注减少,表现为“分水岭”征
E.血流灌注表现各异或减低或局灶性增高,或两者现象并存
285、多项选择题 下列哪些属于肾小管分泌型显像剂()
A.(99)Tc(m)-DTPA
B.邻-(131)I-马尿酸钠
C.(99)Tc(m)-EC
D.(99)Tc(m)-MAG3
E.以上都正确
286、单项选择题
男,71岁,右胫骨骨巨细胞瘤术后4年,无明显不适,行Tc-MDP骨显像如图,对此正确的描述()
A.正常的术后骨显像图
B.右胫骨浓聚影为手术所致
C.有跳跃性的骨转移
D.提示肿瘤复发
E.CT检查可能未见明显的骨骼异常
287、单项选择题 异位胃粘膜显像,其显像剂是()
A.99Tcm-胶体
B.99Tcm-RBC
C.99Tcm-IDA
D.99Tcm-DTPA
E.99TcmO3
288、问答题 肺通气显像的适应证有哪些?
289、名词解释 急剧上升型肾图
290、单项选择题 首次通过法显像时,图像上出现“脏污肺”,原因是()
A.存在右-左分流
B.存在左-右分流
C.存在心室-心房的反流
D.存在主动脉瘤
E.存在肺动脉瓣的反流
291、问答题 平衡法门控核素心血池正常图像表现如何?
292、问答题 冠心病常用的核素检查有哪些?
293、问答题 大动脉造影的原理是什么?
294、多项选择题 Tc在核医学广泛应用,归功于()
A.Tc优越的物理性质
B.适宜的可以与Tc螯合而制成放射性药物的多种配体的研制成功
C.γ相机和SPECT等高分辨率显像仪器的应用
D.钼锝发生器操作简便、使用安全,有较好的价格-效果比
E.以上都不对
295、填空题 肺灌注显像常见的异常影像,在排除各种因素干扰及伪影前提下,应考虑为____________所致
296、单项选择题
一患者肾动态显像利尿剂介入试验如图,正确的诊断是()
A.左侧上尿路机械性梗阻
B.左侧上尿路单纯扩张
C.右侧上尿路机械性梗阻
D.右侧上尿路单纯扩张
E.以上都不是
297、单项选择题
一患者眼、口干燥,行TcO动态显像如图,诊断是()
A.唾液腺功能正常
B.干燥综合征
C.左侧颌下腺占位
D.右叶腮腺“冷”结节
E.以上都不是
298、单项选择题 垂体性甲状腺功能低下的诊断,做下列哪种检查较合适()
A.甲状腺吸I试验
B.T抑制试验
C.过氯酸盐释放试验
D.TRH兴奋试验
E.TSH兴奋试验
299、单项选择题 中心骨髓活性受抑制是下列哪种血液病骨髓显像的典型征象()
A.再障
B.急性白血病
C.慢性溶血性贫血
D.真性红细胞增多症
E.霍奇金病
300、单项选择题 介入或负荷显像的目的是()
A.了解脏器或组织的贮备功能
B.了解脏器的血流
C.鉴别病变的良、恶性
D.提高图像的分辨率
E.加快显像剂的排泄