时间:2025-02-09 00:09:57


1、问答题 子宫内膜月经周期变化的声像图表现有哪些?
2、单项选择题 宫内死胎声像图征象是()①头颅光环变形②胎儿轮廓变形③胎心胎动消失④胎儿水肿
A.①②
B.③
C.①②③
D.①②③④
E.④
3、单项选择题
该病例最可能的诊断()

A.三房心
B.部分性肺静脉畸形引流
C.完全性肺静脉畸形引流
D.瓣上环
E.部分型心内膜垫缺损
4、单项选择题 超声见双蜕膜囊征则有力提示()
A.异位妊娠
B.早孕合并宫内积血
C.假妊娠囊
D.先兆流产
E.以上都不是
5、单项选择题 肝胰壶腹部梗阻的病人,出现胆囊肿大和无痛性黄疸,称为()
A.胆囊水肿
B.胆总管囊肿
C.Courvoisier征
D.哈德门袋
E.胆囊扩张
6、单项选择题 下列关于前列腺增生的说法不正确的是()
A.好发于内腺
B.好发于外腺
C.增生的程度与排尿困难不成正比
D.前列腺增大呈球形
E.可伴有前列腺结石
7、判断题 异位妊娠绝大部分发生在卵巢和宫颈。
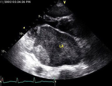
8、单项选择题
根据心尖四腔切面声像图所示,超声诊断为()

A.右房血栓
B.三尖瓣赘生物
C.右房黏液瘤
D.正常声像图
E.二尖瓣脱垂
9、单项选择题
人体重要淋巴结的分布()
①人体重要淋巴结分布在人体全身各部位区域
②淋巴结一般为集合线群,分布在身体特定区域
③人体重要淋巴结分布在胸、腹、颈部、腹股沟区
④人体重要淋巴结分布在颈、腋窝、纵隔、腹主动脉、髂、腹股沟和咽窝区
A.①③
B.②④
C.①④
D.②③
E.③④
10、单项选择题 子宫肌瘤变性与下面哪一项声像图表现最相关()
A.肌瘤直径<2cm
B.肌瘤较大,内见无回声区
C.肌瘤位置,如粘膜下肌瘤
D.单发肌瘤
E.多发肌瘤
11、多项选择题 引起闪烁伪像的原因包括()
A.大血管搏动
B.结石
C.呼吸运动
D.组织震颤
E.心脏搏动
12、单项选择题 反射回声的强度取决于()
A.反射回声的量,声速的衰减程度
B.声速的衰减程度,入射声速与界面的角度
C.反射回声的量,入射声速与界面的角度
D.反射回声的量,声速的衰减程度,入射声速与界面的角度
E.声速的衰减程度
13、单项选择题 下列哪项可引起下腔静脉扩张()
A.肾盂积水
B.右心衰竭
C.Valsalva动作
D.左心衰竭
E.肝炎
14、名词解释 扫描速度
15、单项选择题 在进行多普勒检查时哪项不须特别关注()
A.血流方向
B.血流信号的特征
C.有无血流
D.多普勒增益
E.利用彩色多普勒测量血管宽度
16、单项选择题
图中肝脏图像最长的管道为()
A.肝右静脉
B.肝中静脉
C.门静脉右支
D.下腔静脉肝段
E.门脉左支
17、单项选择题 患者于肝右前叶下段与左内叶交界处发现低回声不均匀实性肿块,边缘欠清,其内见多个强回声团伴声影,胆囊腔内无回声区消失,最可能诊断为()
A.胆囊癌实块型
B.肝细胞肝癌
C.炎性假瘤
D.胆管细胞肝癌
E.肝腺瘤
18、单项选择题
盆腔超声检查如图,最可能的诊断是()
A.幼稚子宫
B.双子宫
C.双角子宫
D.畸胎瘤
E.正常声像图
19、单项选择题 正常睾丸CDFI特点()①双侧睾丸血流对称,内见枝状血管②双侧睾丸血流对称,内见丰富血管③睾丸内多为动脉血流,Vmax12~13cm/s④睾丸内多为动脉血流,Vmax20~30cm/s⑤睾丸血流RI<0.55⑥睾丸血流RI>0.6⑦正常睾丸静脉不易显示⑧正常睾丸静脉易显示
A.①③⑤⑦
B.②④⑥⑧
C.①④⑤⑧
D.②③⑥⑦
E.①④⑤⑦
20、单项选择题
患者发现颈部肿块两年余,无明显不适。甲状腺超声显示甲状腺及血管旁异常光团,如图。最可能的诊断为()
A.甲状腺癌
B.结节性甲状腺肿
C.甲状腺炎
D.甲状腺腺瘤
E.以上均不是
21、单项选择题 下列数字扫描变换器(DSC)所实现的功能哪个是错误的()
A.将超声模拟信号转换成电视制式信号
B.比较容易的实现图像放大
C.完成线性内插补并实现丰富的灰阶
D.实现字符显示及图像存储
E.增强了滤波器性能
22、单项选择题 下列对超声诊断仪的维护和保养措施中,哪项是错误的()
A.防尘
B.防潮
C.自行拆卸仪器
D.防高温
E.减少震动
23、单项选择题
女,20岁,上腹痛并呕吐,入院诊断“急性胰腺炎”。结合超声声像图,诊断为()
A.胰腺脓肿
B.胰腺假性囊肿
C.胰腺囊肿
D.胰囊肿性腺瘤
E.胰腺癌
24、单项选择题
女,16岁,有性生活史,因停经35天。根据B超检查声像图如下,合理的超声诊断意见为()
A.动态观察
B.早孕
C.宫外孕可能,建议经阴道超声检查
D.抗感染治疗
E.内膜过度增生
25、单项选择题
该病例最可能的诊断()

A.高血压病
B.主动脉瓣上缩窄
C.主动脉瓣上膜性狭窄
D.瓣上环形狭窄
E.肥厚性心肌病
26、单项选择题 80%的淋巴管囊肿发生在下列哪个部位()
A.腋下
B.纵隔
C.颈部
D.腹股沟
E.胸腔内
27、填空题 根据Debakey分型法,主动脉夹层分为3型,即Ⅰ型______________________________;Ⅱ型_______________________;Ⅲ型___________________。
28、单项选择题 腹围(AC)测量的公式是(D1:胎腹前后径;D2:胎腹横径)()
A.AC=D1+D2
B.AC=2π/(D1+D2)
C.AC=(D1+D2)/2π
D.AC=π(D1+D2)/2
E.AC=(D1+D2)/2
29、单项选择题 关于空间分辨率的影响因素,下列叙述中正确的是()
A.频率越高,则纵向分辨率越差
B.实际上,轴向分辨率约为波长的1/2
C.横向分辨率仅与声束宽度有关
D.声束越宽,侧向分辨率越差
E.近场与远场的空间分辨率相同
30、单项选择题
男,46岁,上腹经常疼痛不适十多年,加重2天。声像图如图所示,诊断为()
A.胆囊蛔虫
B.胆囊多发性腺瘤
C.胆囊多发性结石
D.胆囊胆汁淤积
E.胆囊多发息肉
31、单项选择题 关于过期妊娠的声像图表现,下列哪项不正确()
A.胎盘老化
B.易发生胎儿窘迫
C.胎儿测值常小于同孕龄胎儿
D.胎儿皮下脂肪变薄
E.羊水量增多
32、单项选择题 在心底短轴不能显示冠脉的哪一支()
A.左主干
B.左前降支
C.右后降支
D.右主干
E.左旋支
33、单项选择题 下列乳腺癌中哪一种癌在超声显示上有特征性()
A.黏液癌
B.导管内乳头状癌
C.未分化癌
D.腺癌
E.以上都不是
34、单项选择题 下列组织对传入的超声障碍最小的是()
A.肌肉
B.脂肪
C.骨
D.血液
E.气体
35、单项选择题
该图蓝色血流信号表示()

A.动脉血
B.静脉血
C.血流方向背离探头
D.血流方向朝向探头
E.以上均不是
36、单项选择题 孕31周前胎头双顶径平均每周增长约()
A.4cm
B.3cm
C.3mm
D.4mm
E.1cm
37、单项选择题 葡萄胎声像图上,多数直径3~5mm无回声的囊泡,最大可能是什么()
A.宫腔积液
B.钙化
C.黄体囊肿
D.水肿绒毛
E.胎儿部分
38、单项选择题 有关输卵管积水,下列哪项是错误的()
A.输卵管粘连、闭锁,渗出物积聚而成的
B.输卵管积脓、脓液逐渐吸收形成
C.肿物囊性,常与周围组织粘连
D.常为双侧腊肠形,壁较薄而光滑
E.由盆腔结缔组织增生,子宫固定而形成
39、单项选择题
淋巴结转移癌的超声表现()
①淋巴结肿大,短轴增大长(L)/宽(S)<2
②淋巴结肿大,长轴增大长(L)/宽(S)>2
③肿大淋巴结被膜不完整,数个淋巴结融合在一起
④肿大淋巴结被膜完整,数个淋巴结融合在一起
⑤肿大淋巴门部偏心
⑥肿大淋巴门部增大
⑦CDFI:血流多丰富,呈高速高阻型,则>0.7
⑧CDFI:血流丰富,呈高速低阻型,RI<0.5
A.①③⑤⑦
B.②④⑥⑧
C.①④⑥⑦
D.②③⑤
E.①③⑤⑧
40、单项选择题 超声造影在心血管系统中不适用于下列哪种情况()
A.观察瓣膜口狭窄面积
B.观察瓣膜关闭不全
C.观察心腔间的左向右分流
D.观察心腔大血管间的分流
E.观察心腔间的右向左分流
41、单项选择题 下列选项除哪一项外,均为融合肾()
A.马蹄肾
B.S型肾
C.同侧融合肾
D.重复肾
E.对侧融合肾
42、单项选择题 下列哪一项不是慢性输卵管积水声像图表现()
A.多在双侧附件区出现纺锤性肿块
B.肿块边缘较清晰,呈薄壁状
C.肿块间隔及囊壁较厚,多为实性
D.肿块内部呈明显无回声区
E.与子宫周围粘连严重时可与子宫直肠陷凹积液连成一片包围子宫
43、单项选择题 出现在肝内线状强反射回声是下列哪项引起的()
A.血管
B.肝窦状隙
C.纤维隔
D.肝硬化
E.脂肪肝
44、单项选择题 一肝癌患者行肝动脉栓塞术后二天,左上腹疼痛,超声检查显示脾脏肿大,中下部见楔形低回声区,尖端指向脾门,其内彩色多普勒超声未记录到血流信号,最可能诊断是()
A.转移癌
B.脾结核
C.炎性病灶
D.脾梗死
E.恶性淋巴瘤
45、判断题 妊娠6周超声可探测到心率A.对
46、单项选择题
女,51岁,肛门停止排便排气1天。腹痛、无呕吐,有乙状结肠手术史。结合超声声像图,诊断为()
A.肠梗阻
B.输卵管积液
C.肠套叠
D.盆腔积液
E.结肠癌
47、单项选择题
两个月患儿如图所示,该病例诊断最可能是()

A.主动脉弓扩张
B.主动脉弓狭窄
C.升主动脉扩张
D.主动脉粥样斑块
E.以上都不是
48、单项选择题 为评价胆囊生理功能而进行的声像图检查需要有()①脂餐②缩胆素③胆影钠
A.①②③
B.②③
C.③
D.①②
E.①③
49、单项选择题 用彩色多谱勒技术检测左向右分流的主动脉窦瘤破裂(流向右心室流出道)有什么特征所见()
A.显示有血流信号从窦瘤到左心室
B.显示有血流信号从右心室流向窦瘤
C.显示有血流信号从冠状动脉流向窦瘤
D.显示有血流信号从肺动脉流向窦瘤
E.显示舒张期、收缩期均有从窦瘤流向右心室流出道的信号
50、单项选择题
男性,45岁,因出现无痛性血尿半月余就诊,根据超声声像图提示,最可能的诊断是()
A.肾细胞癌
B.肾结核
C.肾囊肿
D.肾脓肿
E.肾结石
51、单项选择题 当障碍物的直径小于1/2λ时,将发生()
A.折射
B.反射
C.衍射
D.不折射
E.不衍射
52、单项选择题 指出混响伪像产生的条件哪项是最正确的()
A.仪器增益灵敏度调节过高
B.仪器的时间增益补偿(TGC)调节不当
C.声束遇到组织内金属异物,在异物中引起来回反射
D.探头声束通过肺气或肠气引起气体反射
E.探头声束垂直投射到平整的界面,在探头与平整界面间引起来回反射。
53、单项选择题 下列卵巢肿瘤中,哪种肿瘤不产生性激素()
A.黏液性囊腺瘤
B.原发性绒毛膜癌
C.畸胎瘤
D.卵泡膜细胞瘤
E.颗粒细胞瘤
54、单项选择题 如果脉冲重复频率是10KHz,下面哪种多普勒频移可导致混叠()
A.2KHz
B.3KHz
C.4KHz
D.5KHz
E.6KHz
55、单项选择题 频谱多普勒超声检测到从零位基线向上的血流频谱,表明血流是()
A.反向的动脉血流
B.反向的静脉血流
C.流向探头的血流
D.背离探头的动脉血流
E.背离探头的静脉血流
56、单项选择题 肾脏超声测量正常值是()
A.长6.0~9.0cm,宽3.0~5.0cm,厚4.0~5.0cm
B.长9.0~12.0cm,宽3.5~6.5cm,厚4.0~5.0cm
C.长12.0~15.0cm,宽5.5~7.5cm,厚4.0~5.0cm
D.长8.0~10.0cm,宽5.0~7.0cm,厚3.0~5.0cm
E.以上都不是
57、单项选择题 超声检测所能发现的肾上腺异常是下列哪项()
A.肾上腺体积增大
B.肾上腺腺体分泌增多
C.肾解剖学变异
D.肾上腺腺体萎缩
E.以上均是
58、单项选择题 以下何者不支持法洛四联征诊断()
A.紫绀
B.杵状指
C.P2亢进
D.胸骨左缘收缩期杂音
E.蹲踞现象
59、单项选择题 库肯勃瘤是()
A.良性卵巢肿瘤
B.原发于胃肠道的卵巢转移性肿瘤
C.囊性肿瘤
D.子宫肿瘤
E.卵巢恶性肿瘤
60、多项选择题 泪腺良性肿瘤USG表现有哪些()
A.泪腺区内圆形或椭圆形异常回声区
B.边界清楚,声衰减少
C.内部回声中等,分布均匀或不均匀
D.境界不规整,回声较弱
E.后界往往显示不清楚
61、单项选择题
图为小儿超声心动图,根据此切面可以看到哪些腔室结构()

A.左房、左室、主动脉、右室、右房
B.左房、左室、主动脉、右室、右室流出道
C.左房、左室、主动脉、右室
D.左房、左室、右室、右房
E.左房、左室、主动脉、左心耳、右室、右房、右室流出道
62、多项选择题 内脏声像图描述的内容包括()
A.外观表述
B.外形和大小
C.内部回声和肿物性质
D.脏器位置和毗邻关系
E.血供情况
63、单项选择题 葡萄胎常与下列哪项并发()
A.黄体囊肿
B.黄素囊肿
C.皮样囊肿
D.滤泡囊肿
E.巧克力囊肿
64、单项选择题
男性,65岁,排尿困难,尿线细,滴淋,尿后不尽感等症状,如图所示。最可能的诊断为()
A.膀胱癌
B.前列腺增生
C.前列腺肉瘤
D.前列腺癌
E.前列腺炎
65、单项选择题
女,27岁,上腹部剧烈疼痛2天。声像图如图所示,诊断为()
A.胆道蛔虫
B.胆道结石
C.胆道胆汁淤积
D.引流管回声
E.胆管癌
66、单项选择题 超声探头的换能作用是()
A.电能转换成光和热
B.电能转换成机械能或机械能转换成电能
C.机械能转换成辐射
D.声转换成超声
E.电能转换成声能
67、单项选择题
女,32岁,偶感右上腹不适多年。声像图如图所示,最可能的诊断为()
A.胆囊结石
B.胆囊蛔虫
C.胆囊胆固醇结晶
D.胆囊息肉
E.胆囊腺瘤
68、问答题 肾上腺嗜铬细胞瘤的声像图表现有哪些?
69、单项选择题
风心病最易累及的部位是()

A.二尖瓣
B.三尖瓣
C.主动脉瓣
D.肺动脉瓣
E.以上均是
70、单项选择题 十二指肠水平段位于()
A.肠系膜上动脉上方
B.肠系膜上动脉前方
C.肠系膜上动脉后方
D.下腔静脉后方
E.腹腔动脉后方
71、单项选择题 哪些是目前常用的热切除物理能源()
A.射频
B.激光
C.高强度聚焦超声
D.微波
E.以上均是
72、单项选择题 子宫内膜异位症声像图特征是()①子宫增大,形态饱满②子宫肌壁回声粗糙不均匀,与宫壁无明显界限③子宫内膜线移位④易与子宫肌瘤相混淆
A.①
B.①②
C.①②③
D.①②③④
E.①③④
73、单项选择题 子宫肌瘤常见的临床表现是()
A.月经量多
B.不孕
C.慢性贫血
D.经期延长
E.以上都是
74、单项选择题 采用下列哪些测量方法可推测胎儿死亡时间()①双顶径②股骨长③头围④腹围
A.①
B.①②
C.①②③
D.①②③④
E.①③
75、单项选择题
女,23岁,停经45天,阴道无异常分泌物,子宫附件声像图如下,图中所示为()
A.正常早孕孕囊及胚外体腔
B.双胎妊娠双孕囊
C.难免流产
D.子宫肌瘤
E.早孕并宫腔积液
76、单项选择题 可以出现后方回声增强的有()
A.脂肪
B.脑
C.软骨
D.肺(含气)
E.囊液
77、单项选择题 下列哪项不是胃充盈后超声检查的主要目的()
A.胃癌的早期诊断
B.显示胃壁厚度及层次
C.鉴别胃壁增厚和粗大粘膜皱襞
D.判断肿瘤浸润深度
E.提高胃后方结构的显示能力
78、单项选择题 股骨长度测量是()
A.从近端股骨颈到远端股骨髁
B.从股骨头到内上髁
C.从大转子到远端股骨髁
D.不包括股骨颈及远端骨骺的股骨骨干全长
E.以上都不是
79、单项选择题
女,19岁,有淋巴瘤病史。结合超声声像图,诊断为()
A.脾淋巴瘤
B.脾血管瘤
C.脾结核
D.脾错构瘤
E.脾脓肿
80、单项选择题 成人最常见的鞘膜积液是()
A.睾丸鞘膜积液
B.精索鞘膜积液,交通型鞘膜积液
C.睾丸鞘膜积液,交通型鞘膜积液
D.鞘膜积液,精索鞘膜积液
E.精索鞘膜积液
81、多项选择题 热指数在不同器官要求的限值不同,正确的是()
A.通常一般调在1.0以下
B.对胎儿调至0.2以下
C.对胎儿调至0.4以下
D.对眼球应调至0.2以下
E.对神经系统组织应调到0.6以下
82、单项选择题 下列肾肿瘤描述中,哪一项正确()
A.肾细胞癌多发于50~60岁,儿童少见,常出现血尿
B.肾母细胞瘤多发生于小儿,2~4岁最多见,腹部肿块常为早期症状
C.肾血管平滑肌瘤为良性间叶瘤,属一种良性肿瘤
D.肾盂肿瘤中最常见的是移行上皮乳头状癌,以淋巴转移为主
E.以上均正确
83、单项选择题 胎盘早剥是指妊娠20周后或分娩期正常位置胎盘在胎儿娩出前部分或全部从子宫壁剥离,其病理变化是()①底蜕膜血管破裂出血②底蜕膜层血肿形成③胎盘绒毛膜出血④胎盘附着部子宫收缩
A.①
B.①②
C.①②③
D.①②③④
E.②
84、单项选择题 用三尖瓣返流血流怎样定量计算肺动脉收缩压()
A.RVSP=△P(TR)(三尖瓣返流峰速换算压差)+RAP
B.RVSP=RVDP+RAP
C.RVSP=△P(MR)(二尖瓣返流峰速换算压差)+RAP
D.RVSP=△P(AR)(主动脉瓣返流峰速换算压差)+RAP
E.RVSP=△P(TR)(三尖瓣返流峰速换算压差)-RAP
85、单项选择题 先天性两侧肾脏下极相连接的称为()
A.马蹄肾
B.肾柱肥大
C.驼峰征
D.重复肾
E.一侧肾缺如
86、单项选择题 子宫大于孕月见于()①多胎②子宫肌瘤③羊水过多④月经日期不准确⑤葡萄胎⑥羊水过少
A.①②③
B.①②③④
C.①②③④⑤
D.①②③④⑤⑥
E.⑥
87、问答题 肝囊肿超声声像图表现?
88、单项选择题 下列哪种是多数有家族性的先天性肝脏疾病()
A.孤立性囊肿
B.梗阻性黄疸
C.多囊肝
D.肝脓肿
E.脂肪肝
89、单项选择题 高强度聚焦超声还可称为()
A.体外聚焦高温疗法
B.聚焦超声外科
C.超声聚焦刀
D.超声切割
E.以上各项均是
90、单项选择题 缓慢舒张期时心血管生理上有什么变化()
A.左心室血液缓慢充盈到主动脉
B.心房缓慢被充盈
C.心房血液缓慢而最后全部充盈到左心室
D.心房血液快速充盈到左心室
E.左心房血液在舒张时相的中期缓慢充盈到左心室
91、单项选择题
女,35岁,上腹经常疼痛不适。声像图如图所示。结合超声声像图,诊断为()
A.胆囊多发性息肉
B.胆泥淤积
C.胆囊多发性腺瘤
D.胆囊蛔虫残骸
E.胆囊多发性结石
92、单项选择题
根据某患者子宫B超检查声像图,最可能的诊断为()
A.子宫肌瘤
B.正常子宫
C.节育器穿孔
D.节育器下移
E.子宫肌层钙化
93、单项选择题
女,25岁,上腹部剧烈疼痛数小时。皮肤巩膜无黄染,无发热,声像图如图所示,诊断为()
A.胆总管引流管回声
B.胆总管结石
C.胆总管蛔虫
D.胆总管胆汁淤积
E.胆总管癌
94、填空题
如图,二维超声心动图中,此为____________切面。

95、单项选择题 脐带内含Warton氏胶,下列哪些病理情况胶质含量较少()①胎儿营养不良②过熟胎儿③胎儿水肿④胎儿有某种畸形
A.①
B.①②
C.①③
D.①④
E.①②③④
96、单项选择题 以下哪项不是急性肩袖撕裂的声像图表现()
A.肌腱断端向中心端回缩,肌腱回声中断或不显示
B.三角肌下滑囊与肱骨头间距变小,断端间可有低或无回声区
C.肌腱回声不均匀,变薄、不连续
D.肌腱回声增强,边缘不清,断端有低或强回声伴声影
E.肩峰下滑囊积液是肩袖撕裂的重要间接征象
97、单项选择题 超声波有纵波、横波和表面波三种振态,下列哪项是错误的()
A.在固体中有纵波、横波、表面波
B.在液体和气体中有纵波
C.在真空中有横波和表面波
D.在生物组织中有纵波
E.在人体组织中有纵波
98、单项选择题 VTI的中文意思是指血流速度积分,其单位是()
A.米
B.秒
C.米/秒
D.米/秒2
E.千克
99、单项选择题
女性,41岁,有阵发性高血压病史,超声检查如图所示,该病例最可能诊断()
A.腺瘤
B.肾脏肿瘤
C.嗜络细胞瘤
D.髓样脂肪瘤
E.肾上腺转移瘤
100、单项选择题
男,27岁,上腹疼痛。声像图如图所示。结合超声声像图,诊断为()
A.胆总管下段结石
B.胆总管下段蛔虫
C.胆总管下段癌
D.胆总下段胆汁淤积
E.胰腺癌
101、填空题 肾实质内肿块,表现为强回声,但后方无声影,是___________________较为特征性的表现。
102、单项选择题 正常甲状腺横切时的超声特征是()
A.甲状腺包膜完整,呈蝶形,强回声
B.甲状腺为蝶形,包膜完整,均质,中等回声
C.甲状腺包膜完整,呈圆形,均质弱回声
D.甲状腺包膜不完整,呈蝶形,均质弱回声
E.甲状腺包膜不完整,呈蝶形,不均质强回声
103、单项选择题 前列腺的分叶及分区()
A.前列腺分左、右侧叶、后叶、中叶、前叶;内、外腺两区
B.前列腺分左、右侧叶、后叶、中叶、前叶;内腺尿道周围组织和移行区、外腺周缘区和中央区
C.前列腺分左、右侧叶;内、外腺两区
D.前列腺分左、右侧叶;后、中、前区
E.前列腺分左、右侧叶;内、中、外腺三区
104、单项选择题
患者发现颈部无痛性肿块数年。甲状腺超声见左侧甲状腺一肿块,如图。最可能的诊断为()
A.甲状腺癌
B.结节性甲状腺肿
C.甲状腺炎
D.甲状腺囊腺瘤
E.甲状腺囊肿
105、单项选择题 关于急性盆腔炎的超声表现,以下哪项除外()
A.子宫直肠隐凹积液
B.卵巢缩小
C.子宫与周围粘连
D.管状结构边缘毛糙
E.附件区可见增厚迂曲管状结构
106、单项选择题 超声造影对临床在冠心病的介入治疗上有什么作用()
A.作为介入治疗的方法
B.评价介入治疗的疗效
C.不应使用,因减低介入治疗的疗效
D.明显增大介入治疗的疗效
E.对介入治疗无任何应用价值
107、单项选择题 绒毛膜癌可继发于()①葡萄胎后②足月生产后③宫外孕④流产后⑤未婚女子的卵巢内
A.①②
B.①②③
C.①②③④
D.①②③④⑤
E.①
108、单项选择题 超声探头的核心是压电晶片,其作用是()
A.能将电能转换为机械能,亦能将机械能转换为电能
B.能将电能转换为机械能,但不能将机械能转换为电能
C.不能将电能转换为机械能,但能将机械能转换为电能
D.不能将电能转换为机械能,亦不能将机械能转换为电能
E.以上都不对
109、单项选择题 赵某,男,15岁,发现多处自发性骨折。近2个月病情发展很快,超声显示:甲状腺后下方见一巨大、分叶状实性肿物,边界不清。CDFI:测出动静脉瘘,临床拟诊断甲状旁腺功能亢进,最可能诊断()
A.甲状腺瘤
B.甲状旁腺瘤
C.甲状腺囊肿
D.甲状旁腺增生
E.甲状旁腺囊肿
110、单项选择题 早期妊娠能用下列哪种检查诊断()
A.透视
B.摄片
C.CT
D.B超
E.脑血管造影
111、多项选择题 乳腺癌的一般USG表现可见()
A.肿瘤形态不规则,边界不整
B.瘤体中心液化或坏死时,可见不均质低回声或无回声区
C.肿瘤后方回声减低或消失
D.内部多呈实性低回声,分布不均匀
E.部分患者可探及患侧腋窝处肿大的淋巴结
112、单项选择题
患者,急性胰腺炎治疗后,超声见胰管内多个强回声光团,后伴声影,如图所示,考虑为()
A.胰腺胰管结石
B.胰腺脓肿
C.胰腺肿瘤
D.胰腺假性囊肿
E.胰腺胰管钙化
113、填空题 胎儿畸形包括__________、__________、___________、_____________、_____________、__________________、__________________、______________或___________等。
114、单项选择题 下列哪项是3D成像的原理()
A.利用光学原理与系统进行3D成像
B.利用光学系统和图像叠加原理
C.利用计算机辅助进行3D重建
D.基于二维平面重建
E.以上均是
115、单项选择题 纵向分辨力又可称为()
A.轴向分辨力
B.侧向分辨力
C.显现力
D.时间分辨力
E.横向分辨力
116、单项选择题 有关肺动脉的描述,以下哪项是正确的()
A.肺动脉起自左心室
B.左肺动脉经主动脉弓下方经过
C.肺动脉位于主动脉的左前方
D.动脉导管常位于右肺动脉根部
E.肺动脉瓣呈“晶字形”排列
117、多项选择题 USG在骨骼系统的一般适应证为()
A.骨折后愈合情况
B.膝关节半月板损伤
C.先天性髋关节脱位
D.肌营养不良
E.结核性脓肿
118、单项选择题 超声诊断成熟卵泡的标准是()①卵泡表面无卵巢组织覆盖②卵泡长径≥20mm③卵泡张力高,壁薄而光滑④子宫直肠窝少量积液
A.①
B.①②
C.①②③
D.①②③④
E.①③
119、单项选择题 组织内的声衰减程度的一般规律下列哪项是错误的()
A.血液较肝脏声衰减小
B.肝脾比骨组织衰减程度大
C.液体内含蛋白成分的声衰减增加
D.肌肉组织比肌腱衰减小
E.组织内含胶原和钙质越多,声衰减越大
120、判断题 根据心脏二尖瓣口多谱勒频谱特征,随年龄增长,E峰值将增大,A峰值将减小。
121、单项选择题
男,23岁,发现肝脏内有一个增强回声,结合超声声像图,提示最可能是()
A.海绵状血管瘤
B.肝癌
C.肝囊肿
D.脓肿
E.肝腺瘤
122、单项选择题
女,40岁,间断无痛性血尿1年,声像图示右肾中下部6×5cm中等偏低回声肿块,边界清楚,内部回声欠均匀,肿块向肾表面隆起,并推挤肾窦,右肾静脉内实填。考虑诊断是()
A.肾血管平滑肌脂肪瘤
B.肾母细胞瘤
C.肾细胞癌
D.肾盂癌
E.肾腺瘤内呈镶嵌样结构
123、单项选择题
24周胎儿股骨超声检查如图,最可能的诊断是()
A.致死性骨发育不全
B.内翻足
C.羊膜带综合征
D.骨硬化症
E.并指(趾)畸形
124、单项选择题
患者,女,65岁,近半月颈部明显增大。超声检查如图,最可能的诊断为()
A.甲状腺囊肿
B.结节性甲状腺肿
C.甲状腺腺瘤并囊变
D.甲状腺乳头状囊腺癌
E.甲状腺炎
125、单项选择题 中晚期妊娠常采用下列哪些参数估算孕龄,以提高诊断准确性()①BPD②HC③AC④FL
A.①
B.①②
C.①②③
D.①②③④
E.①③
126、单项选择题
某患者肝脏声像图表现如图,提示肝脏回声不均匀致密,肝内可见一管状结构,诊断为()
A.肝内胆管扩张
B.肝淤血
C.脐静脉重开
D.肝血管瘤
E.门脉海棉样变性
127、单项选择题
从多普勒频谱图上能了解到血流的参数是()
①血流性质
②时相
③方向
④速度
A.①②
B.③④
C.①②③④
D.①④
E.①③
128、单项选择题
患者,男,右下腹有压痛,时有腹泻。结合超声声像图,诊断是()
A.溃疡性结肠炎
B.结肠癌
C.阑尾脓肿
D.肠结核
E.肠梗阻
129、单项选择题 绝经后妇女超声测量子宫内膜厚度正常值是()
A.子宫内膜呈线状或厚度≤4mm
B.子宫内膜厚度≤6mm
C.子宫内膜厚度≤8mm
D.子宫内膜厚度≤10mm
E.子宫内膜厚度≤12mm
130、单项选择题 多囊卵巢的声像图表现,错误的是()
A.卵巢髓质内可见较丰富的血流
B.一个超声切面可见10个以上卵泡
C.卵泡大小多小于5mm
D.双卵巢肿大
E.卵巢髓质回声明显减弱
131、单项选择题
该病例最可能的诊断()

A.主动脉二叶瓣
B.主动脉单瓣
C.主动脉四叶瓣
D.主动脉三叶瓣
E.主动脉五叶瓣
132、单项选择题
某患者脾脏声像图表现如图,诊断为()
A.正常脾脏
B.脾大
C.脾破裂
D.脾梗死
E.以上都不是
133、单项选择题 经产妇,末次月经不详,超声测量胎囊最大直径是1cm,计算孕龄是()
A.4~5周
B.8周
C.10周
D.10~12周
E.9周
134、问答题 超声可检出哪些胎儿先天性畸形?
135、问答题 试述原发性肝癌病理分型及声像图表现。
136、单项选择题 急性胆囊炎USG表现中,哪项不正确()
A.胆囊增大
B.胆囊壁增厚、毛糙
C.回声模糊
D.胆汁透声差
E.超声Murphy征阴性
137、单项选择题
男,35岁,乙肝带菌者,体检时发现肝部异常光团,如图可诊断为()
A.肝癌
B.肝转移癌
C.肝脓肿
D.多发肝血管瘤
E.肝囊肿
138、单项选择题
男,70岁,上腹胀痛,腹膨隆。脾大,门静脉增宽。结合超声声像图,诊断为()
A.肝血管瘤
B.肝癌
C.血吸虫肝纤维化并腹水
D.肝脓肿
E.脂肪肝
139、单项选择题 引起脂肪肝的常见原因()①营养性原因,肥胖或营养缺乏②代谢性原因,糖尿病、肝糖原累积、高脂血症③药物原因,乙醇、皮质类固醇及细胞毒药物④特发性,原因不明
A.①
B.①②
C.①②③
D.①②③④
E.②④
140、单项选择题 关于CDE,以下正确的是()
A.成像对超声入射角的相对非依赖性
B.可显示高速血流
C.可显示血流的方向
D.常出现彩色信号混叠现象
E.对平均速度为零的灌注区血流难以显示
141、单项选择题 裂腹畸形的正确描述是()①胎儿真性腹壁缺损,从脐部裂开,内脏通过裂孔脱出②脱出内容物既无疝囊,又无皮肤覆盖③脱出物外包裹一透明膜④胎儿横膈有缺损
A.①
B.①②
C.①②③
D.①②③④
E.①③④
142、单项选择题 彩色多普勒技术不可以与下列哪种技术并用()
A.二维超声显像
B.频谱多普勒
C.三维超声显像
D.M型超声心动图
E.以上都不是
143、单项选择题 约孕几周时能辨清胎儿肾脏内部结构()
A.12周
B.16周
C.20周
D.24周
E.14周
144、单项选择题
该病例最可能诊断()

A.主动脉瓣钙化
B.先天性主动脉瓣畸形(二叶式)
C.风湿性瓣膜病
D.主动脉瓣脱垂
E.主动脉窦瘤
145、单项选择题
某患者阴囊增大,自诉用力时阴囊可增大,平卧缩小,无外伤史。B超检查超声声像图如下,最可能的诊断为()
A.鞘膜积液
B.附睾炎性包块
C.斜疝
D.附睾结核
E.股疝
146、单项选择题 产后下列哪些结构超声不易显示()
A.子宫体
B.子宫内膜
C.阴道
D.卵巢
E.子宫颈
147、单项选择题 经腹超声测量正常成人前列腺的大小约()
A.长3cm,宽4cm,厚2cm
B.长4cm,宽3cm,厚2cm
C.长3cm,宽4cm,厚3cm
D.长2cm,宽3cm,厚4cm
E.长2cm,宽4cm,厚3cm
148、单项选择题 彩色多普勒检查时使用低速标尺的主要作用()
A.便于检查流量大小
B.消除彩色信号混叠
C.消除彩色信号的闪烁
D.能显示低速血流
E.能显示高速血流
149、单项选择题 以下哪一项不是膝关节积液的声像图表现()
A.关节囊明显扩张,关节腔增宽,呈无回声区,内有短带状或团块状强回声
B.髌上间隙及髌前囊内有少量无回声区
C.关节滑膜增厚,呈结节状或团块状略强回声突向关节腔
D.半月板间隙宽大,可见两个强回声界面间有一低回声带
E.关节周围软组织肿胀
150、单项选择题 二尖瓣血流频谱哪项不对()
A.系收缩期正向血流频谱
B.呈双峰型
C.正常时E峰流速大于A峰
D.呈空心层流
E.在老年人中可表现为A峰>E峰
151、单项选择题
正常淋巴结的结构()
①淋巴结表面有一层被膜
②淋巴结表面无被膜
③淋巴结包括皮质和髓质,皮质的淋巴窦致密,髓质的淋巴窦疏松
④淋巴结包括皮质和髓质,皮质的淋巴窦疏松,髓质的淋巴窦致密
⑤淋巴液由皮质淋巴结-淋巴输入管-结内-淋巴窦-淋巴输出管-淋巴门
⑥淋巴液由淋巴门-淋巴输入管-淋巴窦-结内-淋巴输出管-皮质淋巴结
A.①③⑤
B.②④⑥
C.①④⑥
D.②③⑤
E.①③⑥
152、单项选择题 探头的维护和保养措施中,不正确的是()
A.避免探头撞击、落地
B.用酒精擦拭清洁探头
C.探头消毒时不可采用高温蒸煮
D.探头电缆线避免用力牵拉、扭曲
E.禁用液体石蜡做耦合剂
153、单项选择题 鉴别眼球内的异物为金属还是非金属,最有效的方法是()
A.窗试验法
B.彩阶显示法
C.灰阶直方图法
D.超声磁性试验
E.漂浮试验
154、单项选择题 下颈内动脉第一分支为()
A.眼动脉
B.视网膜中央动脉
C.睫状后长动脉
D.睫状后短动脉
E.睫状前动脉
155、单项选择题 胎儿消化道畸形声像图表现,下列哪一项不正确()
A.食管闭锁常合并羊水过多
B.十二指肠梗阻时可见胃泡增大
C.回肠梗阻时,腹部可见多个无回声区
D.十二指肠梗阻“双泡征”,大泡是十二指肠,小泡是胃
E.胎儿异常吞咽动作
156、单项选择题 子宫的解剖,下列哪一项是错误的()
A.子宫壁由浆膜层、肌层构成
B.子宫壁由浆膜层、肌层、内膜构成
C.子宫动脉主干沿途发出弓状动脉
D.绝经后妇女子宫内膜厚度一般不超过4mm
E.子宫位于骨盆中央,呈倒置的梨形
157、单项选择题 骨巨细胞瘤在病理学上既有良性又有恶性,其恶性比率是()
A.10%
B.20%
C.40%
D.60%
E.80%
158、单项选择题 利用超声检测技术最早在几周能显示胎心搏动()
A.5~6周
B.6~7周
C.7~8周
D.8~9周
E.10~12周
159、单项选择题 完全性心内膜垫缺损Ⅲ型超声声像图特征是()
A.房间隔下端连续中断
B.左右房室瓣分离各有腱索与室间隔相连
C.二尖瓣前叶腱索附着于室间隔右室面
D.左右房室瓣共瓣,无腱索相连
E.右房室及肺动脉扩张
160、单项选择题 左心腔造影,从末梢静脉注入造影剂其原理是()
A.微气泡直径大于红细胞,进入右心再经肺循环入左心
B.微气泡较大(比红细胞直径大数倍)从腔静脉入右心再到左心
C.造影剂进入右心,经肺循环进入左心腔
D.微气泡直径大于10μm,经肺循环进入左心
E.微气泡密度明显大于血液
161、单项选择题 超声诊断睾丸扭转的主要依据是()
A.睾丸缩小
B.睾丸肿大
C.睾丸内血流丰富
D.睾丸内无血流信号
E.睾丸周围积液
162、单项选择题 胎儿单侧肾盂积水,超声常同时发现()
A.先天性巨大膀胱
B.多囊肾
C.膀胱过度充盈
D.输尿管肾盂接合处梗阻
E.对侧肾发育不全
163、单项选择题 胚胎的器官发育一般在多少周完成()
A.4周
B.8周
C.36周
D.40周
E.10周
164、问答题 输尿管结石的声像图表现有哪些?
165、单项选择题 甲状腺动脉有几条或几对,起源于哪两根血管分支()
A.2条;颈内动脉分支和锁骨下动脉分支
B.2对;颈内动脉分支和锁骨下动脉分支
C.4条;颈外动脉分支和锁骨下动脉分支
D.4对;颈外动脉分支和锁骨下动脉分支
E.5对;颈内动脉分支和颈外动脉分支
166、单项选择题 肝囊肿的超声表现不正确的是().
A.病灶为圆形、类圆形无回声暗区
B.囊壁薄,光滑
C.囊肿后壁见回声增强
D.囊肿侧壁见回声失落
E.囊肿后壁见声影
167、单项选择题 TGC是下列哪一名词的英文缩写()
A.组织增益特性
B.时间增益补偿
C.信号发生器控制
D.温度发生器控制
E.频率发生器控制
168、单项选择题 采用聚焦技术的主要目的是()
A.抑制旁瓣效应
B.改善横向和侧向分辨率
C.提高帧频
D.减少超声伪像
E.改善超声的指向性
169、单项选择题 葡萄胎刮宫术后,黄素囊肿消退常需要多长时间()
A.1~2周
B.4~5周
C.6个月
D.2~4个月
E.8周
170、单项选择题
根据超声声像图,最可能的诊断为()
A.睾丸鞘膜积液
B.精索鞘膜积液
C.睾丸囊肿
D.交通性鞘膜积液
E.附睾头囊肿
171、单项选择题 减少肠气对肾扫查的影响,可采用()
A.病人取俯卧位
B.降低仪器灵敏度
C.提高仪器灵敏度
D.采用高频探头
E.降低仪器增益
172、单项选择题 多普勒超声血流检测技术主要用于()
A.测量血流速度
B.确定血流方向
C.确定血流种类
D.获得有关血流参数
E.以上都对
173、单项选择题 经腹壁超声检查女性盆腔的优点是()①不受年龄限制,对小女孩及未婚者更为适用②能清晰显示子宫、卵巢较大肿物及与邻近脏器的关系③能清晰显示盆腔较大肿块并判断来源④早期发现子宫腔内膜小病变
A.①
B.①②
C.①②③
D.①②③④
E.①③④
174、单项选择题 人体中的强回声组织声衰减极高并伴有声影,以下哪个不是()
A.软骨
B.钙化
C.肺
D.瘢痕
E.结石
175、单项选择题
某患者肝脏声像图表现如图,诊断为()
A.肝血管瘤
B.肝癌
C.肝囊肿
D.肝脓肿
E.肝内胆管囊状扩张
176、单项选择题 实质性病变的声像图中,哪项错误()
A.边缘光滑或不光滑
B.外形规则或不规则
C.内部无回声衰减
D.后方回声不变或减弱
E.侧方声影有或无
177、判断题 慢性泪腺炎USG显示泪腺呈杏核状增大,边界清楚,内回声中等或较弱。
178、问答题 先天性肾畸形的声像图表现有哪些?
179、单项选择题
女,51岁,纳差、消瘦。结合超声声像图,诊断为()
A.胰腺癌
B.腹膜后肿块
C.胰岛细胞瘤
D.胃癌
E.胰腺炎
180、单项选择题 在超声评分胎盘成熟度中,0级胎盘绒毛膜板表现为()
A.有弥散性暗区
B.有稠密的线状回声
C.有不完全的分叶
D.光滑,平整
E.与基底层有切迹状的交通
181、单项选择题 超声可用以诊断哪些骨骼、关节、肌肉疾病()①可显示正常骨的完整声像图②无法显示正常骨的完整声像图③可显示子宫内胎儿、新生儿及1岁以内婴儿的骨骼④无法显示子宫内胎儿、新生儿及1岁以内婴儿的骨骼⑤骨膜下血肿⑥关节间隙病变⑦外生性骨肿瘤骨质破坏⑧表浅骨骼肌炎⑨实时评价肌腱和肌肉运动
A.①③⑤⑥⑦⑨
B.②④⑤⑥⑦⑧
C.②③⑤⑥⑦⑧⑨
D.①④⑤⑥⑦
E.①③⑤⑦⑧⑨
182、单项选择题 下列对肾脏的描述错误的是()
A.肾脏可随呼吸移动
B.正常成人肾脏厚度约为4~5cm
C.肾脏位于腹膜内
D.正常成人肾脏长度约为10~12cm
E.正常成人肾脏宽约为3.5~6.5cm
183、单项选择题 超声检查至少在妊娠几周后才能较好地看到胎儿()
A.2周
B.4周
C.6周
D.8周
E.9周
184、单项选择题 异位妊娠时,人类绒毛膜促性腺激素(HCG)滴度一般是()
A.比正常宫内妊娠稍高
B.比正常宫内妊娠低
C.比正常宫内妊娠高50%
D.比正常宫内妊娠高100%
E.与正常宫内妊娠相同
185、单项选择题 下列哪一项不是子宫肌瘤声像图表现()
A.子宫增大或出现局限性隆起
B.肌瘤结节一般呈圆形低回声区
C.子宫内膜移位与变形
D.宫腔内见无回声区
E.膀胱受压变形
186、单项选择题 下列“死胎”征象,最早出现的是()
A.身体过度卷曲
B.心脏、大血管内气体聚集
C.颅骨重叠
D.头皮下脂肪与颅骨间距增宽
E.胸廓塌陷
187、单项选择题
该病例最可能的诊断()

A.右室流出道狭窄
B.室间隔缺损
C.主动脉右冠窦瘤破裂
D.主动脉右冠瓣脱垂
E.房间隔膨出瘤
188、单项选择题 睾丸鞘膜积液是液体蓄积在()
A.白膜的两层之间
B.白膜与睾丸之间
C.睾丸鞘膜的两层之间
D.睾丸鞘膜与白膜之间
E.以上均是
189、单项选择题 甲状腺疾病超声表现中,“晕圈”征常见于()
A.甲状腺炎
B.囊肿
C.腺瘤
D.腺癌
E.以上均是
190、单项选择题
男,62岁,直肠肿瘤术后半年。结合超声声像图,诊断为()
A.肝血管瘤
B.肝囊肿
C.结节性肝硬化
D.转移性肝癌
E.肝脓肿
191、单项选择题 CDFI检查时导致血流方向和速度表达错误的常见原因有()
A.频谱滤波设置过高、闪烁伪像、组织震颤
B.频谱滤波设置过低、闪烁伪像、快闪伪像
C.彩色混叠、方向翻转键设置不当、探头倒置
D.频谱滤波设置过高、多普勒超声衰减、呼吸
E.心搏、大血管搏动、结石
192、单项选择题
宫底呈“羊角形”,两角内可见分叶状宫腔线,宫体下段及宫颈形态正常。该超声图像是指()
A.双子宫
B.残角子宫
C.双角子宫
D.纵隔子宫
E.以上均是
193、单项选择题
男28岁,胸部疼痛1周余,神清,心律齐,超声心动图如下,根据图片应提示()

A.单心室
B.心内膜垫缺损
C.三尖瓣上移
D.三尖瓣下移
E.三尖瓣狭窄
194、问答题 超声对于“无功能肾”的检查有何临床意义?
195、单项选择题 视网膜母细胞瘤USG重要的声学特征为()
A.玻璃体内实质性光团
B.光与球壁紧密相连
C.内部回声不均
D.常有无回声区出现
E.内部出现钙斑反射
196、单项选择题 男,37岁,既往有肝炎史,超声发现脾脏显著肿大,肝表面不光滑,肝实质回声不均匀。右肝可见3cm的圆形病变,边缘整齐光滑,有弱回声晕,内部为均匀低回声,诊断最可能是()
A.慢性肝炎
B.慢性肝炎合并肝硬化
C.肝硬化合并肝囊肿
D.肝硬化合并肝肿瘤
E.肝硬化合并门静脉高压
197、单项选择题 宫内避孕器正常位置是()
A.宫颈内
B.宫底
C.宫腔内
D.子宫角内
E.避孕器上端距宫底大于2cm
198、单项选择题 边缘性前置胎盘的声像图特点是()
A.胎盘下缘部分覆盖子宫颈内口
B.胎盘完全将子宫颈内口覆盖
C.胎盘下缘抵达子宫颈内口,但未覆盖宫颈内口
D.胎盘部分在子宫下段,距宫颈内口约5cm
E.胎盘部分在子宫下段,距宫颈内口约7cm
199、单项选择题
根据声像图,最可能的诊断为()
A.肝囊肿
B.肾囊肿
C.肾上腺囊肿
D.嗜咯细胞瘤
E.肾脓肿
200、问答题 肾上腺转移癌的声像图表现有哪些?
201、单项选择题 要求在图像的近、中、远声场中都能得到最清晰的显示,此称为()
A.空间分辨力
B.速度分辨力
C.动态分辨力
D.图像的均匀性
E.最大穿透力
202、单项选择题 超声可以显示的骨结构是()①骨皮质②骨髓③骨膜④软骨组织
A.①
B.①②
C.①②③
D.①④
E.①②③④
203、单项选择题 心包肿瘤最重要的超声所见是()
A.在心包脏层或壁层有形状不规则的团块状回声
B.心包增厚、钙化
C.心包腔内有条索状回声
D.心包有大量积液
E.心包脏层、壁层有粘连
204、单项选择题 人体中哪些组织声衰减系数高并可能伴有声影()
A.肌腱
B.肌肉
C.脑
D.脂肪
E.肝脏
205、单项选择题 镜面反射()
A.当界面大于波长时发生
B.当界面小于波长时发生
C.由于界面小于3mm而发生
D.与入射角无关
E.以上都不是
206、单项选择题 中年男性,发现肝炎、肝硬化5年,超声见肝右叶约6×5cm中等回声分叶状肿块,边界尚清楚,可见低回声晕,其内回声不均匀,呈镶嵌样改变。彩色多普勒超声于肿块内记录到高速动脉血流信号,可提示诊断为()
A.肝血管瘤
B.局限性脂肪肝
C.腺瘤
D.炎性假瘤
E.肝细胞肝癌
207、名词解释 探头
208、单项选择题
女,24岁,已婚未育,体检时B超检查,如图所示,最可能的诊断为()
A.右附件实质性包块
B.左附件实质性包块
C.子宫肌瘤
D.双子宫
E.纵隔子宫
209、单项选择题 膀胱异常声像图表现中,哪项正确()
A.膀胱壁弥漫性增厚并回声减低,腔内有较多的点、絮状回声,为慢性膀胱炎的声像图表现
B.膀胱壁弥漫性增厚,并回声增强,膀胱容量减少,为急性膀胱炎的声像图表现
C.膀胱腔内强回声团,后方伴声影,并可随体位改变而移动,为膀胱血块的声像图表现
D.膀胱腔中有中低回声病变,且可随体位变化而移动,为膀胱结石的声像图表现
E.CDFI显示肿块周边或内部有丰富血流信号并呈动脉血流频谱,为膀胱肿瘤表现
210、单项选择题
女,33岁,因月经不调就诊,超声声像图如下,最可能的诊断为()
A.附件炎
B.子宫肌瘤
C.子宫腺肌症
D.子宫内膜癌
E.卵巢肿瘤
211、单项选择题 睾丸内微钙化灶与新生物生长有一定相关性,微钙化灶一般出现于()
A.睾丸精细管钙化
B.精液内芽肿钙化
C.静脉结石
D.结核侵犯的组织
E.睾丸肿瘤
212、单项选择题 至妊娠几周,卵黄囊缩小并入脐带()
A.7周
B.8周
C.9周
D.10周
E.11周
213、单项选择题
患者,男,23岁,发现睾丸内无痛性肿块1月余。透光试验阳性。结合超声图像,最可能的诊断是()
A.睾丸囊肿
B.精索鞘膜积液
C.附睾结核
D.精液囊肿
E.附睾囊肿
214、单项选择题 超声引导穿刺时导致针干显示不清的原因是()
A.侧方声影
B.部分容积效应
C.内部混响
D.镜面伪像
E.声速失真
215、单项选择题 库肯勃瘤是转移性卵巢肿瘤,常见的原发部位肿瘤是()①胃肠道②乳腺③盆腔器官④子宫
A.①
B.①②
C.①②③
D.①②③④
E.①③④
216、单项选择题 下列哪一项不属于附睾炎的超声所见()
A.附睾头肿大
B.附睾强回声伴声影
C.附睾尾肿大
D.化脓时可呈无回声
E.附睾正常大小
217、单项选择题 妇女乳腺受内分泌影响从发育至老年分期哪项是错误的()
A.青春前期
B.青春期
C.成熟期
D.妊娠、哺乳期
E.老年萎缩期
218、单项选择题
患者反复发热,原有先心病史,该病例最有可能诊断()

A.室缺并感染性心内膜炎
B.主动脉瓣脱垂
C.窦瘤破裂
D.右流狭窄
E.肺动脉瓣狭窄
219、单项选择题 为了最敏感地显示乳房肿块内的彩色血流信号并测速,首选的探头频率为()
A.2.0MHz
B.2.5MHz
C.3.0MHz
D.5.0MHz
E.7.5MHz
220、单项选择题 最常见的肾脏良性肿瘤是()
A.肾错构瘤
B.海绵肾
C.肾上腺瘤
D.肾柱肥大
E.以上都是
221、问答题 异位妊娠超声声像图表现?
222、单项选择题 下述葡萄胎病理特点,哪项不对()
A.绒毛膜促性腺激素分泌增加
B.半数患者,子宫比同月妊娠大
C.1/4患者,子宫比同月妊娠小
D.多为恶性,易转移
E.半数患者,双侧黄素囊肿
223、单项选择题 心脏在胚胎发育第几周是已基本发育完成()
A.第2周
B.第3周
C.第4周
D.第6周
E.第8周
224、单项选择题 男,32岁,突发性左季肋部绞痛4小时,无发热,血像正常。尿常规:红细胞20~30个。超声检查见左肾集合系统轻度分离,该侧输尿管上段约0.6cm,其远侧段显示不清。该病例不能除外()
A.肾癌
B.急性肾盂肾炎
C.急性肾小球肾炎
D.输尿管结石
E.肾平滑肌脂肪瘤
225、单项选择题 下面哪种情况不需要评价肾段动脉的阻力指数()
A.急性肾小管坏死
B.药物性肾病
C.急性尿路梗阻
D.肾内动静脉瘘
E.移植肾排异
226、单项选择题 葡萄胎声像图表现()
A.子宫明显增大,宫腔内无妊娠囊
B.子宫明显增大,宫腔内无妊娠囊,宫腔内见雪片状回声
C.子宫明显增大,宫腔内见雪片状回声,子宫两侧见黄素囊肿
D.子宫明显增大,宫腔内无妊娠囊,宫腔内见雪片状回声,子宫两侧见黄素囊肿
E.子宫明显增大,宫腔内见雪片状回声
227、单项选择题
患者女53岁,上腹部疼痛不适半年余,皮肤、巩膜黄染进行性加重。B超检查如图所示,根据超声声像图诊断为()
A.胆总管下段癌
B.胰头癌
C.胆总管炎性狭窄
D.胆总管结石
E.胆总管蛔虫
228、单项选择题 心血管系的超声造影检查应用,下列哪项是错误的()
A.观察左向右分流
B.测量室壁增厚率
C.观察右向左分流
D.使心内膜界限清楚
E.观察瓣膜返流
229、单项选择题
根据超声声像图,提示为()
A.肾下垂
B.肾发育不良
C.异位肾
D.马蹄肾
E.游走肾
230、单项选择题 妊娠超声检查的适应证是()①诊断妊娠②确定胎位③预测胎龄④多胎、异位妊娠
A.①
B.①②
C.①②③
D.①②③④
E.①③④
231、单项选择题
男,近视,四肢细长,行超声检查心脏如图,最可能诊断为()

A.正常心脏图像
B.高血压心脏病
C.马方综合征
D.以上均不是
E.以上均是
232、单项选择题 卵巢黏液性囊腺癌声像图表现,下列哪一项不正确()
A.囊壁及分隔纤薄
B.呈椭圆形或分叶状无回声区
C.肿瘤新生血管血流频谱呈低阻波形
D.囊腔内有较多分隔
E.多伴有腹水
233、单项选择题
该病例最可能的诊断()

A.主动脉增宽
B.主动脉壁内膜增厚
C.夹层动脉瘤
D.假性动脉瘤
E.真性动脉瘤
234、单项选择题
某孕妇胎儿颈部可探及下列图像,最可能的诊断为()
A.脐带绕颈
B.胎盘早剥
C.先天畸形
D.正常结构
E.脐带搭颈
235、问答题 二尖瓣关闭不全时,彩色多谱勒超声心动图有哪些表现?
236、单项选择题
为了计算一个反射物的距离,必须知道()
①传播速度
②脉冲往返时间
③反射因素
A.①②③
B.①②
C.①③
D.②③
E.①
237、单项选择题 目前公认较好反映左室功能的指标是()
A.SV
B.CO
C.EF
D.CI
E.FS
238、单项选择题 二维超声检测左心室用以判断有无冠心病的主要依据是什么()
A.左心室形状改变
B.左心室壁厚径增加
C.节段性室壁运动异常
D.左心室壁收缩期增厚率减低
E.左心室壁收缩运动幅度增大
239、单项选择题 探头匹配层的最主要作用是()
A.间接保护压电振子
B.减少声波的谐振
C.使探头与皮肤声阻抗相匹配,有利于声波传播
D.降低横向耦合力
E.增加有效振子数目
240、单项选择题 小气泡产生的混响回声,回声强并且以规律间隔出现,这种伪像称为()
A.多途径伪像
B.镜像伪像
C.振铃伪像
D.旁瓣伪像
E.以上都不是
241、单项选择题 肾皮质脓肿声像图特点是()
A.患部肾外形增大,局部隆突
B.肾内局部出现低回声区,边界不清
C.低回声区处与肾周围组织粘连,使肾活动明显受限,此为主要诊断依据
D.经抗感染治疗后低回声肿块逐渐消散
E.以上均是
242、单项选择题
36周胎儿脊柱超声检查如图,根据声像图,初步诊断应该为()
A.血管瘤
B.脑积水
C.先天性蛛网膜囊肿
D.脊膜膨出
E.脊柱裂
243、判断题 血管三维可用于分析其分布、走行、空间定位。
244、单项选择题
某患者肝脏声像图表现如图,诊断为()
A.肝海绵样血管瘤
B.肝癌并布加综合征
C.肝脓肿并血栓形成
D.肝淤血
E.肝硬化并门脉血栓形成
245、单项选择题 心脏超声造影不用于()
A.检测心肌梗死区
B.鉴别心肌存活与否
C.评价介入治疗效果
D.显示心肌细胞
E.检测心肌缺血区
246、单项选择题 患儿,男性,2岁,因腹部包块超声检查示左上腹巨大实性肿块,边界尚清,回声不均,见不规则的透声区,与肾脏关系密切,其上残存肾脏积水,最可能诊断是()
A.肾上腺肿瘤
B.肾癌
C.肾盂癌
D.肾母细胞瘤
E.腹膜后肿瘤
247、单项选择题 中年女性,突发右腰部及右下腹部剧痛,伴恶心。超声显示右肾轻度积水,最可能的诊断是()
A.阑尾炎
B.右侧附件炎
C.右输尿管结石
D.右输尿管肿瘤
E.膀胱结石、膀胱炎
248、单项选择题 肝豆状核变性与下列哪项元素代谢失常有关()
A.锌
B.铁
C.硒
D.铜
E.铝
249、单项选择题 当超声波经过声阻抗相差较大的介质形成的界面时()
A.分辨力增强
B.混响增强
C.界面形成透声层
D.被吸收的声能增加
E.被反射的声能增加
250、单项选择题 M型超声的特点哪项是错误的()
A.单声束取样获得界面回声
B.Y轴代表界面深浅
C.X轴可另加时基扫描线
D.可用于心脏功能的测量计算
E.也可同时用于Z轴上显示的回波
251、单项选择题 以下哪项不符合肥厚型心肌病超声表现()
A.左心室扩大
B.室间隔增厚,常>15mm
C.SAM现象
D.左室流出道湍流频谱
E.主动脉瓣收缩中期关闭现象
252、单项选择题 测量二尖瓣口面积的切面为()
A.左心长轴切面
B.心底短轴切面
C.心室短轴鱼口水平切面
D.心室短轴腱索水平切面
E.心室四腔切面
253、单项选择题 晚孕时测量双顶径8.6cm(35周)、头围32.5cm(36周)、腹围32.7cm(37周)、股骨长7.3cm(38周),经多参数测量孕龄是多少周()
A.36周
B.36.5周
C.37周
D.37.5周
E.38周
254、单项选择题 肝脏被一层厚的胶原纤维膜与弹性结构所包裹,这层膜称为()
A.Glisson包膜
B.Gerota筋膜
C.BoWman包膜
D.Diaphragm膈肌
E.假包膜
255、问答题 前列腺癌的声像图表现有哪些?
256、单项选择题 脾脓肿USG表现中错误的有()
A.脾轻至中度增大
B.脾内出现无回声区
C.周边有较强回声带环绕
D.回声区可见团状、带状回声
E.脾轻至中度缩小
257、单项选择题 关于肾上腺皮脂腺瘤,下列说法错误的是()
A.单侧多见
B.多呈圆形或椭圆形
C.边界清楚
D.低回声结节
E.双侧多见
258、单项选择题 角膜增厚最适宜用哪种技术确诊()
A.M型超声扫描技术
B.B型超声扫描技术
C.A型超声扫描技术
D.超声生物显微镜
E.以上均不是
259、单项选择题 粉碎性骨折声像图特点()①断端间有强回声斑或块状强回声,后伴声影②断端间有强回声斑或块状强回声,后方无声影③骨折处可探及骨断裂回声④骨皮质回声中断,骨质中出现不规则低或较强回声
A.①
B.①②
C.①②③
D.②④
E.①②③④
260、问答题 肾结石的声像图表现有哪些?
261、单项选择题
胆总管出现图中所示特点,称为()
A.双筒枪征
B.海鸥征
C.鸟嘴征
D.鼠尾征
E.平行管征
262、单项选择题
某患者二年前行左肾癌切除术,现B超复查。根据其肝脏超声声像图,诊断为()
A.肝多发血管瘤
B.肝多发转移癌
C.原发性肝癌
D.结节性肝硬化
E.肝多发性囊肿
263、单项选择题
男,56岁,上腹部经常剧烈疼痛不适,皮肤巩膜黄染,加重1周。声像图如图所示,诊断为()
A.肝内胆管蛔虫
B.肝内胆管胆汁淤积
C.肝内钙化灶
D.肝内胆管多发性结石
E.肝内血管瘤
264、单项选择题 超声检查部分型心内膜垫缺损的最重要所见是()
A.原发孔房间隔缺损
B.三尖瓣位置异常,上移或下移
C.室间隔缺损
D.二尖瓣脱垂
E.继发孔房间隔缺损
265、单项选择题 胎盘最早在妊娠几周形成()
A.4周
B.8周
C.10周
D.20周
E.24周
266、单项选择题 二尖瓣关闭不全M型超声心动图时检查时哪项表现有错误()
A.二尖瓣叶增厚、活动受限
B.关闭时二尖瓣叶不能合拢
C.左心房及左心室增大
D.左心室壁运动增强
E.左心房、右心室增大
267、单项选择题 下列哪项描述可排除前置胎盘()
A.胎盘部分或全部掩盖子宫颈管内口
B.子宫颈内口距胎盘下缘距离>7cm
C.无痛性阴道出血
D.胎盘定位超声检查时间最好在孕20周以前,因>20周胎盘因胎儿掩盖显示不清
E.检查时无需膀胱充盈
268、单项选择题 动脉导管位于()
A.主动脉弓与主肺动脉之间
B.主动脉降部与主肺动脉之间
C.主动脉降部与右肺动脉根部之间
D.主动脉降部与左肺动脉根部之间
E.头臂干与上腔静脉之间
269、问答题 脾肿大诊断标准?
270、单项选择题
女,35岁,上腹疼痛不适十年余,加重一月。结合超声声像图,诊断为()
A.胃癌
B.腹膜后肿块
C.左肝癌
D.胰腺癌
E.胃溃疡
271、单项选择题
扇形扫查仪的缺点有下列哪几种()
①在所有平面上缺乏焦点变化性
②缺乏探头操作灵活性
③探头口径太小
A.①②③
B.①③
C.①②
D.②③
E.以上都不是
272、单项选择题
患儿,出生3周,喂奶后立即或不久即吐,呈喷射状,吐物为奶及奶块。根据超声中腹部检查如图,最可能的诊断为()
A.先天性肥厚型幽门狭窄
B.先天性胆管狭窄
C.胃溃疡
D.肠套叠
E.正常声像图
273、单项选择题
女性,62岁,1周前疑诊为宫颈癌。超声检查如图,最可能的诊断是()
A.子宫肌瘤
B.宫腔积液并感染
C.子宫内膜癌
D.子宫内膜炎
E.正常声像图
274、单项选择题
女,54岁。反复便秘,腹泻就诊。PE:左中腹可扪及一肿块,质硬,结节状,OB(Ⅱ),结合超声声像图,诊断为()
A.左肾
B.结肠癌
C.肠系膜淋巴结
D.腹膜后肿块
E.肠结核
275、单项选择题 眼外肌有几条,分别是()
A.四条,上直、下直、内直、外直肌
B.六条,上直、下直、内直、外直、上斜、下斜肌
C.六条,上直、下直、内直、外直、内斜、外斜肌
D.八条,上直、下直、内直、外直、内斜、外斜、上斜、下斜肌
E.以上均不是
276、单项选择题 伴发羊水过多的胎儿畸形是()①脊柱裂②骨骼系统异常③膈疝④尿道闭锁
A.①
B.①②
C.①②③
D.①②③④
E.②③
277、单项选择题 从颞窗检查脑底动脉,距离探头最近的动脉应该是哪支动脉()
A.大脑前动脉
B.大脑中动脉
C.大脑后动脉
D.前交通动脉
E.后交通动脉
278、单项选择题 除哪一项外,均可为肝脏脂肪浸润表现()
A.肝大
B.一个局灶性高回声肿块
C.血管结构减少
D.透声减少
E.回声增强
279、单项选择题
男,有结肠癌病史。结合超声声像图,诊断为()
A.脾转移性肿瘤
B.脾梗死
C.脾血肿
D.脾脓肿
E.脾血管瘤
280、单项选择题 肝静脉血汇入下列何结构()
A.门静脉
B.肝
C.下腔静脉
D.胃静脉
E.上腔静脉
281、单项选择题
男,60岁,便血就诊。PE:左下腹可扪及一肿块,质硬。结合超声声像图,诊断为()
A.Crohn’s病
B.肠梗阻
C.肠癌
D.肠套叠
E.肠结核
282、单项选择题 为测量主动脉瓣关闭不全的血流,应选用何种方式()
A.速度标尺的设置在高速档
B.速度标尺的设置在中速档
C.速度标尺的设置在低速档
D.应采用脉冲多谱勒
E.应采用M型超声
283、单项选择题 关于卵巢无性细胞瘤,下列哪一项是错误的()
A.卵巢恶性生殖细胞实性肿瘤
B.常见于儿童及青年妇女
C.肿瘤彩色多普勒血流显像可显示丰富血流
D.卵巢实性良性肿瘤
E.卵巢少见良性肿瘤
284、单项选择题 下列卵巢皮样囊肿声像图的表现,哪一项是错误的()
A.脂液分层征
B.面团征
C.瀑布征
D.杂乱结构征
E.实性团块征
285、单项选择题 下列不符合子宫肌腺症特点的是()
A.子宫内膜异位至子宫肌层
B.痛经,进行性加重
C.子宫增大,肌壁散在分布,无回声
D.CDFI示病灶区血流信号丰富
E.CDFI示病灶区无血流信号
286、单项选择题
某患者,胸部不适,可见二尖瓣面容,超声心动图检查如图,心腔内异常光团考虑为()

A.左房血栓
B.黏液瘤
C.左房肿瘤
D.赘生物
E.主动脉窦瘤
287、单项选择题 关于卵巢黏液性囊腺瘤声像图表现的描述,下列哪项不正确()
A.囊壁均匀性增厚
B.无回声区内有细小点状回声
C.少数有乳头状物
D.直径多在10cm以上
E.增厚的囊壁可向周围浸润
288、单项选择题 关于声衰减的表述,不正确的是()
A.组织内含水分越多,声衰减越低
B.组织中含胶原蛋白越多,声衰减越低
C.组织中含胶原蛋白越多,声衰减越高
D.液体中含微气泡越多,声衰减越高
E.液体中含蛋白成分越多,声衰减越高
289、单项选择题 永存动脉干的二维超声检查有什么特殊所见()
A.两个大动脉显示平行并列
B.肺动脉显示明显大于主动脉
C.从各个切面图均不能显示独立存在的主肺动脉或其分支,只能从动脉干处显示其存在
D.肺动脉与左心室连接
E.肺动脉从冠状动脉起源
290、单项选择题 肝肿大的原因包括()①黄疽②充血性心衰③癌症
A.①
B.①②
C.①②③
D.②③
E.①③
291、单项选择题
患者,女性,甲状腺肿大。探及多个结节状的强回声光团,其内可见暗区。如图所示,最可能的诊断为()
A.甲状腺功能亢进
B.甲状腺腺瘤
C.甲状腺炎
D.结节性甲状腺肿
E.甲状腺癌
292、单项选择题 下列哪项可以既提高轴向分辨力又提高横向分辨力()
A.缩短脉冲长度
B.使束宽变窄
C.增大声束直径
D.提高探头频率
E.以上均可
293、单项选择题 一般在妊娠多少周才能清楚显示胎头光环()
A.8周
B.8~9周
C.10周
D.11周
E.12周
294、问答题 女性盆腔超声检查主要包括哪些内容?
295、单项选择题 关于室间隔的描述,以下哪项不正确()
A.室间隔分为膜性和肌性两个部分
B.肌部间隔可分为光滑区、小梁区和漏斗区
C.膜部位于主动脉右及无冠瓣交界处下方
D.三尖瓣膈瓣将膜部分为两个部分
E.肌部间隔为室间隔缺损的高发区
296、单项选择题 典型的后方回声增强不常见于哪项含液性结构()
A.囊肿
B.新鲜的血肿
C.囊状扩张的肝内胆管
D.扩张的肾盂和输尿管
E.胸膜腔积液
297、单项选择题 卵巢良性肿瘤的声像图特点是()
A.肿块形态不规则,边界不整,实性部分回声不均
B.肿块多为囊性,内回声较单纯,囊内分隔薄而均匀规则,内壁光滑
C.多伴腹水
D.CDFI示肿块内部及周边血供丰富,呈高速低阻频谱,RI<0.5
E.多伴骨转移
298、单项选择题 超声测量胰体常根据哪条血管定位()
A.肠系膜上动脉
B.肠系膜上静脉
C.肺静脉
D.门静脉
E.下腔静脉
299、单项选择题 淋巴管囊肿是指()
A.甲状腺恶性囊性肿瘤
B.淋巴系统发育异常
C.脑膜脑膨出
D.卵巢良性肿瘤
E.小脑发育异常
300、单项选择题 前列腺结石有哪几种类型()①散在小结石无声影②弧形结石多无声影③成堆小结石④单个大结石伴声影⑤散在小结石伴声影⑥弧形结石多伴声影⑦单个大结石不伴声影
A.①②③④
B.②③④⑤
C.③④⑤⑥
D.④⑤⑥⑦
E.③⑤⑥