时间:2025-01-26 06:18:16


1、单项选择题
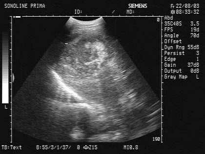
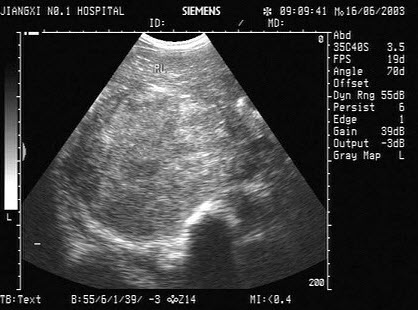
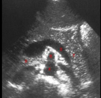
根据以下肝超声检查声像图,诊断为()
A.肝癌并门脉癌栓
B.肝硬化
C.脂肪肝
D.肝炎
E.血吸虫性肝硬化并门脉血栓
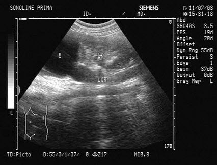
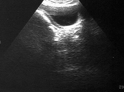
2、单项选择题
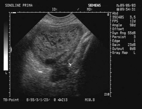
女,42岁,反复上腹疼痛不适多年,加重3天。声像图如图所示,最可能的诊断为()
A.胆囊泥沙样结石
B.胆囊蛔虫
C.胆囊癌
D.胆囊息肉
E.胆汁淤积
3、单项选择题 下列哪一项临床和超声表现与葡萄胎无关()
A.妊娠剧吐
B.血清β-HCG升高
C.阴道流血
D.子宫小于妊娠月份
E.阴道流出葡萄状水泡
4、单项选择题 频谱多普勒对检测血流的用途是()
A.精确测定血流宽度
B.测定血管壁的厚径
C.确定血流方向
D.确定是什么脏器的动脉血管
E.可单独测定血流量
5、单项选择题 以下何者不是右心容量超荷的超声表现()
A.右心腔扩大
B.三尖瓣运动幅度增大
C.室间隔运动平坦
D.右室流出道及肺动脉增宽
E.左心腔扩大
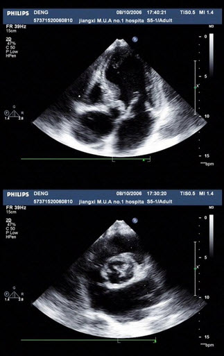
6、单项选择题
该病例最有可能诊断是()

A.左房黏液瘤
B.左房巨大血栓
C.左房恶性肿瘤
D.左房转移瘤
E.以上都不是
7、单项选择题 在骨软骨瘤的声像图上,于软骨帽的周围可出现无回声区,使软骨帽本身回声反射更加明显,无回声区的组织结构是()
A.软骨膜
B.骨性肿块
C.滑液囊
D.移位的血管
E.假性动脉瘤
8、单项选择题 男,26岁,4年前因车祸脾切除现无明显不适。超声检查见脾区有一类圆形结节,实质回声与脾脏相似,边界清楚。其可能的提示为()
A.血管瘤
B.陈旧性血肿
C.副脾
D.炎性肿块
E.以上都不是
9、单项选择题
患者,男性,甲状腺一侧可触及包块,超声见边界清晰的低回声光团,包膜完整。如图所示,最可能的诊断为()
A.甲状腺腺瘤并囊性变
B.甲状腺炎
C.结节性甲状腺肿
D.甲状腺癌
E.甲状腺囊肿
10、填空题 儿童的管状骨的超声声像为:皮质为____________,骨髓腔为_________________,远处骨皮质显示为_______________,表面的关节软骨为__________。
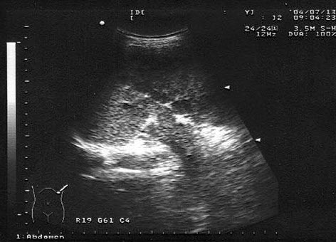
11、单项选择题
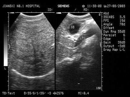
患者女47岁,皮肤、巩膜黄染,进行性加重2个月余,腹痛、腹胀,既往有胆结石病史。B超检查如图所示,根据超声声像图,诊断为()
A.胆总管癌并结石
B.胆总管胆泥淤积
C.胆总管结石
D.胆总管蛔虫
E.胆总管癌
12、单项选择题 超声诊断前置胎盘时应()
A.膀胱过度充盈
B.膀胱适度充盈
C.在孕20周前诊断准确性最高
D.测量胎盘下缘距宫颈外口的距离
E.膀胱无需充盈,直接腹部检查
13、单项选择题 眼部超声检查发现:一侧眼球玻璃体内出现双重强回声带,前方的强回声带凸面向前,后面的强回声带凹面向前,两个强回声带下有无回声区。最可能的诊断为()
A.部分视网膜脱离
B.完全视网膜脱离
C.陈旧性视网膜脱离
D.脉脱型视网膜脱离
E.牵引性视网膜脱离
14、单项选择题 胡桃夹综合征是()
A.肠系膜下静脉受压迫综合征
B.右肾静脉受压迫综合征
C.左肾静脉受压迫综合征
D.肠系膜上静脉受压迫综合征
E.下腔静脉受压迫综合征
15、单项选择题 异位妊娠须与下列哪些情况相鉴别()①宫内妊娠②黄体囊肿破裂③盆腔炎性包块④卵巢囊肿
A.①
B.①②
C.①②③
D.①②③④
E.③
16、单项选择题 女性,62岁,急腹症住院,超声检查图像为:胆囊增大,胆囊壁弥漫增厚呈“双边影”表现,胆囊腔内见一强回声光团伴声影,随体位改变而移动,根据声像图表现,可能的诊断为()
A.①②③
B.①③
C.②④
D.④
E.①②③④
17、单项选择题 扫查锁骨下动脉较适宜的探头频率是()
A.2.0MHz
B.2.5MHz
C.5.0MHz
D.10.0MHz
E.12MHz
18、单项选择题 假性妊娠囊的声像图特征是()
A.有双重蜕膜暗区
B.呈单环状暗区
C.有双重蜕膜高回声区
D.呈单环状高回声区
E.呈无回声暗区
19、单项选择题 纵向分辨力又可称为()
A.轴向分辨力
B.侧向分辨力
C.显现力
D.时间分辨力
E.横向分辨力
20、单项选择题
女,26岁,停经3个月,HCG阳性。根据B超检查声像图如下,最可能的诊断为()
A.葡萄胎
B.子宫肌瘤
C.稽留流产
D.不全流产
E.绒癌
21、单项选择题 以下哪种情况是彩色多普勒血流显像仪质量好的主要标志()
A.灰阶显像分辨率高
B.检出低速血流的敏感度高,抗低频噪音信号能力强
C.可连接外设多
D.功能多、性能价格比高
E.具备升级潜能
22、问答题 子宫内膜增生的声像图表现有哪些?
23、单项选择题 超声测量双顶径影响准确性的因素有()①选择测量平面不标准②胎头方位③胎头头型④羊水过少
A.①
B.①②
C.①②③
D.①②③④
E.①③④
24、单项选择题 胎囊的双囊可能是()①双胎妊娠②流产受阻或植入性出血③枯萎卵④两层蜕膜之间的无回声区
A.①
B.①②
C.①②③
D.①②③④
E.②③④
25、单项选择题 成人甲状腺正常超声测量值是()
A.长径3.0~4.0cm,宽径1.5~2.0cm,厚径0.5~1.0cm,峡部厚<0.4cm
B.长径4.0~5.0cm,宽径2.0~2.0cm,厚径1.0~1.5cm,峡部厚≤0.4cm
C.长径5.0~6.0cm,宽径2.5~3.0cm,厚径1.5~2.0cm,峡部厚>0.4cm
D.长径5.5~6.5cm,宽径3.5~4.5cm,厚径2.5~3.5cm,峡部厚≥0.5cm
E.长径4.0~5.0cm,宽径2.5~3.0cm,厚径0.5~1.0cm,峡部厚≤0.4cm
26、判断题 妊娠6周超声可探测到心率A.对
27、单项选择题 输卵管哪个部位妊娠具有严重的潜在并发症()
A.峡部
B.壶腹部
C.漏斗部
D.间质部
E.以上都不是
28、单项选择题 Doppler超声在诊断中居有重要地位,其原因是()
A.可用于各个区域的检查
B.能发现组织界面的运动
C.不引起生物效应
D.用于小器官的检查
E.在各个方面优于一般超声
29、单项选择题 宫内死胎声像图征象是()①头颅光环变形②胎儿轮廓变形③胎心胎动消失④胎儿水肿
A.①②
B.③
C.①②③
D.①②③④
E.④
30、名词解释 能量图
31、单项选择题 超声仪典型的脉冲重复频率为()
A.1Hz
B.10Hz
C.100Hz
D.1000Hz
E.1MHz
32、单项选择题 肾周血肿的病因分类有几类()
A.有3类:外伤性、医源性、自发性
B.有2类:外伤性、医源性
C.只有l类:外伤性
D.有4类:外伤性、医源性、感染性、自发性
E.以上分类均不是
33、单项选择题 下列关于前列腺病变的描述,哪项不对()
A.前列腺肥大可为腺体组织的增生,或局部的腺瘤
B.前列腺肥大多发生于侧叶和中叶
C.前列腺肥大多发生于后叶
D.前列腺癌多发生于后叶
E.前列腺肥大常表现为高于耻骨上缘膀胱底部的弧形压迹
34、单项选择题 宫内生长迟缓常发生在多少孕周后()
A.15周
B.20周
C.26周
D.32周
E.24周
35、单项选择题 下列哪一项与葡萄胎超声鉴别无关()
A.过期流产
B.子宫肌瘤变性
C.子宫腺肌病
D.子宫内膜癌
E.子宫颈囊肿
36、单项选择题 一房缺患者,测得三尖瓣返流的最大流速为3m/s,若右房压以10mmHg计,此时估计肺动脉收缩压约为()
A.30~40mmHg
B.40~50mmHg
C.50~60mmHg
D.60~80mmHg
E.>80mmHg
37、单项选择题 女,30岁,尿频、尿急、尿痛1年,声像图示右肾轻度肿大,实质结构紊乱,多个大小不等的不规则液性腔及钙化灶,部分液性腔相互通连并与扩张的肾盂沟通,液性腔及肾盂壁不规则,右输尿管全程扩张,膀胱壁弥漫性增厚、僵硬,容积明显缩小,最可能诊断为()
A.急性肾盂肾炎
B.肾结核
C.慢性肾盂肾炎
D.肾积水
E.肾囊肿
38、单项选择题 实验:抽取静脉血液10ml分别置于A和B试管内。然后,在B管内加入数滴抗凝剂肝素,轻轻混匀,用瓶塞塞紧试管口,静置数分钟。将有塞A试管剧烈震荡,使血液与空气混合后静置。分别超声检查发现以下现象,请指出何种现象不可能出现()
A.非抗凝血液试管A出现凝血块,回声增多
B.抗凝血液内部回声无明显增多(试管B)
C.因抗凝药与血液混合,回声明显增多(试管B)
D.抗凝血液振荡后回声明显增多
E.抗凝血液振荡后回声明显增多,回声因静置而略减少
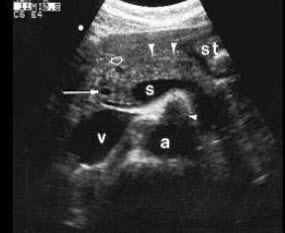
39、单项选择题
男,27岁,健康体检,超声图中箭头所指为()
A.肠系膜上动脉
B.肠系膜上静脉
C.胆总管
D.肝动脉
E.门静脉
40、单项选择题 角膜增厚最适宜用哪种技术确诊()
A.M型超声扫描技术
B.B型超声扫描技术
C.A型超声扫描技术
D.超声生物显微镜
E.以上均不是
41、单项选择题 孕20周后下列哪项是胎儿脑积水的诊断依据()
A.双顶径
B.头围
C.羊水多少
D.脑室率
E.腹围
42、单项选择题 经腹壁胃肠超声检查前准备,下列哪一项是正确的()
A.检查应安排在X线钡剂检查之后
B.检查中可饮水500ml-700ml,以充盈胃腔
C.禁食4小时
D.大肠检查前需禁食
E.胃镜检查之后
43、单项选择题 在急性骨髓炎时,早期最易探查到的超声征象是()
A.骨膜下脓肿呈现带状无回声改变,骨膜增厚呈拱形抬高表现
B.正常骨纹理消失,骨皮质回声中断
C.骨质中出现边缘不清,外形不规整的低回声区夹杂着点状强回声
D.软组织肿胀,有脓肿形成时可探到无回声区
E.脓肿穿破皮肤,形成窦道,局部软组织纹理中断
44、单项选择题 张某,女性,35岁,颈前部逐渐增大、增粗,不对称,超声显示:甲状腺肿大呈多个结节,彩色多谱勒血流显像血流丰富,绕结节而行。最可能的诊断是()
A.毒性甲状腺肿
B.亚急性甲状腺炎
C.桥本氏病
D.结节性甲状腺肿
E.以上都不是
45、单项选择题
如图,初步超声诊断为()

A.二尖瓣返流
B.三尖瓣返流
C.主动脉瓣返流
D.肺动脉瓣返流
E.以上均不是
46、单项选择题 当骨盆骨折时,易受损的是哪一部分尿道()
A.前列腺部尿道
B.膜部尿道
C.球部尿道
D.阴部尿道
E.悬垂部位
47、单项选择题 超声生物效应的物理机制是()
A.机械效应
B.热效应
C.辐射效应
D.空化效应
E.多普勒效应
48、单项选择题
患者体检发现肝脏体积增大,超声见右叶巨大的强回声光团,边界见声晕,门脉见实质性光团充填,如图所示,考虑为()
A.肝癌并门脉癌栓
B.肝脓肿
C.肝囊肿
D.肝结核
E.肝血管瘤
49、单项选择题 下列对输尿管囊肿描述,错误的是()
A.输尿管囊肿是由于输尿管末端狭窄造成的局部囊状扩张
B.随着输尿管蠕动囊肿可以有节律性膨大与缩小
C.囊壁由一层膀胱粘膜和一层输尿管粘膜组成
D.囊肿较大可并发肾输尿管积水
E.囊肿早期无症状,囊肿较大堵塞尿道可引起排尿困难
50、单项选择题
声学造影剂须符合下列哪些项要求()
①微泡小,能安全稳定通过肺循环
②可进人心肌或全身血池
③无毒副作用
④能停留相对较长时间
A.①
B.①②
C.①②③
D.②③④
E.以上均须符合
51、单项选择题 由超声多次发射而引起的伪像叫()
A.切面厚度伪像
B.混响
C.声影
D.旁瓣伪像
E.折射伪像
52、单项选择题 闪烁伪像表现为()
A.无血流但出现彩色信号
B.有血流但彩色信号缺失
C.有血流但彩色信号过多
D.血流方向显示有误
E.血流速度显示有误
53、单项选择题
某患者25岁,高热,肝区疼痛。肝脏声像图表现如图,结合病史,最可能的诊断是()
A.肝血管瘤
B.肝脓肿
C.肝硬化
D.肝癌
E.肝囊肿
54、单项选择题 引起肾积水的原因有()
A.结石
B.前列腺肥大
C.肿瘤
D.晚期妊娠
E.以上都是
55、单项选择题 形成胆囊憩室最常见的原因是()
A.术后创伤
B.肿瘤
C.外压
D.流出梗阻
E.结石
56、单项选择题 测量双顶径时,如果中线回声呈连续而不中断,说明扫查平面()
A.正常
B.太高
C.太低
D.探头损坏
E.以上都不是
57、单项选择题
患者女36岁,反复上腹部疼痛不适数10年,偶尔皮肤、巩膜黄染。B超检查如图所示,根据超声声像图,诊断为()
A.左肝内胆管癌
B.左肝内胆管蛔虫
C.左肝内胆管胆泥淤积
D.左肝内胆管结石
E.左肝钙化灶
58、单项选择题 轴向分辨率直接与下列哪项有关()
A.信号的频率
B.脉冲波的长度
C.阻尼
D.入射角度
E.声束的宽度
59、单项选择题 超声诊断葡萄胎并发黄素囊肿,在水泡块排除后,囊肿还可持续存在几个月()
A.1个月
B.2~4个月
C.5~6个月
D.6个月以上
E.1个月以下
60、问答题 如何利用超声监测卵泡发育?
61、单项选择题
良性淋巴结的声像图特点是()
①淋巴结均匀性肿大,长(L)/宽(S)>2
②淋巴结分叶状增大,长(L)/宽(S)<2
③呈椭圆形,被膜回声强而完整
④被膜回声强而不完整
⑤血流丰富,分布规律呈高速低阻,RI<0.5
⑥血流丰富,分布不规则呈高速高阻,R1>0.
A.①③⑤
B.②④⑥
C.①④⑥
D.②③⑤
E.①③④
62、单项选择题 超声检测阴囊的重要性是()
A.可助诊断阴囊内亚临床的肿块
B.可用于指导睾丸活检
C.可以鉴别睾丸内外的异常
D.以上各项均是
E.以上都不是
63、单项选择题
患者发现颈部肿块两年余,无明显不适。甲状腺超声显示甲状腺及血管旁异常光团,如图。最可能的诊断为()
A.甲状腺癌
B.结节性甲状腺肿
C.甲状腺炎
D.甲状腺腺瘤
E.以上均不是
64、单项选择题
某患者左腹部疼痛,根据左肾区超声声像图,最可能的诊断为()
A.左肾结石并左肾积水
B.左输尿管结石并左肾重度积水
C.左输尿管结石
D.左肾结石
E.左输尿管结石并左肾轻度积水
65、单项选择题 为了调节灰阶超声仪器的工作条件达到最佳状况,下列哪项内容不重要()
A.提高空间分辨力
B.提高时间分辨力
C.选择适当的图像前后处理及动态范围
D.调节M型的扫描速度
E.选择适宜的灰阶数
66、单项选择题 胎儿宫内儿生长迟缓的因素有哪几方面()①母亲②胎儿③子宫④胎盘
A.①
B.①②
C.①②③
D.①②③④
E.②③④
67、单项选择题 子宫底向后弯曲,倾倒在子宫直肠窝内,这是什么位子宫的声像图特点()
A.前倾位
B.后倾后屈位
C.水平位
D.前倾后屈位
E.以上都不是
68、单项选择题 视网膜母细胞瘤常见于()
A.婴幼儿时期的肿瘤
B.青年时期的肿瘤
C.成年时期的肿瘤
D.老年时期的肿瘤
E.以上都对
69、单项选择题 假回声产生的主要途径是()
A.反射
B.衍射
C.多重反射
D.递减
E.折射
70、单项选择题
患者,男,50岁,发热半月余,全身不适,乏力,食欲不振。根据超声心动图,最可能的诊断是()


A.风湿性心脏病
B.感染性心内膜炎
C.老年退行改变
D.主动脉瓣狭窄
E.冠心
71、单项选择题 精原细胞瘤声像图表现为()
A.单个小的囊性肿块
B.超声无法探测
C.实质均匀性肿块
D.大而多个囊性肿块
E.以上都不是
72、判断题 脐带绕颈时,若绕颈1周USG为V字形压迹,绕2周为W字形压迹。
73、单项选择题 腮腺炎的声像图表现是()
A.不同程度的弥漫性肿大
B.急性期轮廓不清,呈低回声
C.腮腺血流信号增多
D.慢性期界限清晰,呈强回声
E.以上都是
74、单项选择题 患者颈部包块5年,结合超声声像图,最可能的诊断是()
A.甲状腺瘤
B.甲状腺癌
C.甲状腺结节
D.甲状腺炎
E.桥本氏甲状腺炎
75、单项选择题 中期妊娠是指()
A.妊娠12周末以前
B.妊娠13~27周末
C.妊娠第28~40周
D.妊娠12周末
E.妊娠13~27周末以前
76、问答题 超声对于“无功能肾”的检查有何临床意义?
77、单项选择题 子宫中央条状增强回声及其周围低回声暗带是下列哪组结构的声像图表现()
A.宫腔线,浆膜层
B.宫腔线,粘膜层
C.粘膜层,肌层
D.浆膜层,肌层
E.宫腔线,血块
78、单项选择题 等水平回声见于()。
A.肝实质
B.骨骼
C.胆结石
D.肌腱
E.血管壁
79、单项选择题 彩色多普勒血流显像仪的自相关技术的作用是()
A.灰阶变换
B.分析信号相位差,得出血流速度均值和方向
C.放大回波信号的幅度
D.高通滤波
E.将回波信号增加
80、单项选择题 彩色多普勒血流显像图最常用于哪一些部位病变()
A.肝
B.胰
C.血管性病变
D.肿瘤
E.囊肿
81、单项选择题 关于腮腺的解剖形态特点,错误的是()
A.形态不规则
B.大致呈三角形
C.导管开口于口腔
D.导管长3cm~6cm
E.导管宽1cm~2cm
82、单项选择题 宫内宫外同时妊娠的诊断依据是()①有停经史、阴道出血、下腹痛病史②子宫增大,内见胎囊、胎芽、胎心③子宫外附件区可探及包块或完整的胎囊④子宫直肠窝见无回声区
A.①②
B.①②③
C.②③④
D.①②③④
E.②③
83、判断题 USG对软组织病变有较高的敏感性,所以对某些疾病可作出定位、定性诊断。
84、单项选择题 人体组织和体液中,哪一种最少引起声衰减()
A.血液
B.胆汁
C.皮下脂肪
D.肌肉
E.肝脏
85、单项选择题
女,25岁,因急性胰腺炎禁食5天。声像图如图所示。结合超声声像图,诊断为()
A.胆囊泥沙样结石
B.胆囊内胆汁淤积
C.胆囊多发性息肉
D.胆囊多发性胆固醇结晶
E.胆囊癌
86、单项选择题
该病例最有可能诊断()

A.肺动脉内径增宽
B.动脉导管未闭
C.肺动脉瓣狭窄
D.肺动脉瓣关闭不全
E.右室流出道狭窄
87、多项选择题 一般的土地估价方法,仅适用于单宗土地的估价,而路线价估价法则被认为是一种(),又能节省人力、财力,并可同时对大量宗地进行估价的方法。
A.迅速
B.准确
C.公平
D.简洁
E.合理
88、单项选择题 囊性甲状腺肿(Graves’病)的超声表现是()
89、单项选择题 女性内生殖器包括()①阴道②子宫③输卵管④卵巢
A.①
B.①②
C.①②③
D.①②③④
E.②③
90、单项选择题 恶性滋养叶疾病的超声表现,下列哪一项是错误的()
A.多能发现一侧或双侧黄素囊肿
B.早期可发现绒毛膜癌远处转移灶
C.病灶处可见丰富血流
D.病灶处血管阻力指数多增高,RI>0.9
E.子宫体积增大
91、单项选择题 腭裂的声像图所见是()①上颌骨冠状断面显示鼻骨以下骨缺失②上颌骨冠状断面显示鼻骨以上骨缺失③囊状肿物从唇部突出④颧骨断裂
A.①
B.③④
C.②③
D.①②③④
E.②③④
92、单项选择题 下列哪一项临床或声像图表现与子宫发育畸形无关()
A.原发性闭经
B.不孕
C.习惯性流产
D.难产
E.子宫内膜增厚
93、单项选择题 女性腹腔最低部位是()
A.子宫直肠窝
B.肝肾间隙
C.膀胱直肠窝
D.脾肾间隙
E.以上都不是
94、单项选择题 单发右位心下列何者不正确()
A.内脏反位
B.心脏长轴转向右侧
C.心尖朝右
D.心房位置正常
E.可有心室或大动脉位置转位
95、单项选择题 胎儿肛门闭锁,超声表现是()
A.单泡征
B.胎儿上腹部双泡征
C.近端小肠显著扩张
D.胎儿骨盆断面“双叶形”囊性肿物
E.食管成管状无回声区
96、单项选择题 为了最敏感地显示乳房肿块内的彩色血流信号并测速,首选的探头频率为()
A.2.0MHz
B.2.5MHz
C.3.0MHz
D.5.0MHz
E.7.5MHz
97、单项选择题
男,有胃癌手术史。根据超声声像图诊断为()
A.脾梗死
B.脾淋巴肉瘤
C.脾错构瘤
D.脾转移性癌
E.脾血管瘤
98、单项选择题 鉴别囊肿与实性肿瘤最可靠的依据是()
A.边界光滑,整齐与否
B.外形是否圆形或椭圆形
C.内部无回声或有回声
D.后方回声增强与否
E.边界回声、外形、内部回声、后方回声综合分析
99、单项选择题 主动脉缩窄最常发生在哪个部位()
A.主动脉起始部
B.升主动脉
C.腹主动脉
D.主动脉峡部
E.主动脉弓
100、单项选择题 羊水过少,超声诊断标准是羊水深度小于()
A.3cm
B.4cm
C.5cm
D.6cm
E.7cm
101、单项选择题 子宫内膜癌中以哪种类型最多见()
A.腺角化癌
B.腺鳞癌
C.腺癌
D.透明细胞癌
E.乳头状浆液癌
102、单项选择题 孕几周后超声可显示胎儿脊柱()
A.9周
B.12周
C.16周
D.20周
E.8周
103、单项选择题 冠状动脉粥样硬化性心脏病(冠心病)的主要病理改变是什么()
A.动脉内膜上形成粥样硬化斑块,使管腔狭窄
B.冠脉与心室交通形成冠状动脉瘘
C.冠脉中层(肌层)代偿性增生
D.冠脉内膜破损,形成夹层动脉瘤
E.冠脉瘤样扩张形成动脉瘤
104、单项选择题 左肝管与右肝管汇合形成肝总管常见于()
A.肝门部
B.肝实质内
C.胰腺水平
D.胆囊窝
E.壶腹部
105、单项选择题 小气泡产生的混响回声,回声强并且以规律间隔出现,这种伪像称为()
A.多途径伪像
B.镜像伪像
C.振铃伪像
D.旁瓣伪像
E.以上都不是
106、单项选择题 弥漫性恶性葡萄胎CDFI的特点是()
A.子宫肌层大小不等无回声区内血供不丰富,偶见动脉血流信号,RI>0.5
B.子宫肌层呈非均匀性混合回声,内见明亮、丰富、五彩斑斓低速血流,RI<0.4
C.子宫肌层弥漫性分布大小不等无回声区,内见扩张的血管,血流丰富呈繁星点状或花环状,为低速动脉血流,RI<0.4~0.5
D.子宫肌层回声杂乱,内见明亮、丰富、五彩斑斓高速血流,RI>0.4~0.5
E.以上都错
107、填空题 对于注水井井管()、()等造成注水能力减弱事故,采用(),使其注水通道通畅,恢复注水能力。
108、单项选择题 声在介质中的传播有纵波、横波和表面波三种方式,下列正确的是()
A.在固体中有纵波和横波两种方式
B.在液体中有纵波和横波两种方式
C.在气体中有纵波和横波两种方式
D.在真空中有纵波和横波两种方式
E.在生物组织中以纵波为主
109、单项选择题
女性,46岁,发现腹部肿块1个月余。妇科检查:盆腔触及包块。超声检查如图,最可能的诊断为()
A.囊腺癌
B.囊腺瘤
C.黄体囊肿
D.转移性卵巢癌
E.包裹性积液
110、单项选择题 关于影响声束形态、大小和能量分布的因素,错误的是()
A.探头的形状和大小
B.探头阵元数及其排列
C.分辨率
D.探头频率
E.聚焦方式
111、单项选择题 男性,血尿时伴尿中断,最可能的诊断为()
A.膀胱血块
B.膀胱结石
C.膀胱肿瘤
D.膀胱憩室
E.膀胱壁钙化
112、填空题 USG可作为肾上腺病变的初查方法,其可发现较大的_____。
113、单项选择题 高强度聚焦超声还可称为()
A.体外聚焦高温疗法
B.聚焦超声外科
C.超声聚焦刀
D.超声切割
E.以上各项均是
114、单项选择题 十二指肠水平段位于()
A.肠系膜上动脉上方
B.肠系膜上动脉前方
C.肠系膜上动脉后方
D.下腔静脉后方
E.腹腔动脉后方
115、多项选择题 限制性心肌病的超声表现正确者为()
A.相应的室壁、室间隔增厚,室壁运动僵硬、低下
B.相应部位的心室内膜增厚呈不均分布;回声增强
C.心房极度扩大,可有低速云雾状旋涡血流回声
D.房室瓣EF斜率减慢
E.心包增厚伴少至大量心包积液
116、单项选择题 胎盘早剥应与下列哪项相鉴别()①胎盘后静脉丛②子宫壁局部收缩③胎盘后子宫肌瘤④胎盘内大血窦
A.①
B.①②
C.①②③
D.①②③④
E.①④
117、单项选择题 多数认为诊断级超声在多少声功率对人体无损害()
A.0.1W/cm以下
B.0.1W/cm以上
C.0.2W/cm以下
D.0.2W/cm以上
E.0.3W/cm以下
118、单项选择题
患者,消瘦,于左上腹触及一包块,超声见一大小5×7cm的呈假肾征的光团,如图所示,考虑为()
A.胰腺癌
B.胆囊癌
C.肝癌
D.胃癌
E.左肾癌
119、单项选择题 徐某,男,20岁,感冒后发现咽痛,颈前部肿大、疼痛,低热,白细胞升高血沉快、超声显示:甲状腺中度肿大,回声减低,最可能的诊断是()
A.结节性甲状腺肿
B.原发性甲状腺功能亢进
C.甲状腺腺瘤
D.亚急性甲状腺炎
E.慢性甲状腺炎
120、单项选择题
女性,25岁,停经47天,阴道不规则出血1周。尿妊娠试验阳性。结合超声图像,最可能的诊断为()
A.附件炎性包块
B.宫外孕
C.卵巢癌
D.子宫肌瘤
E.畸胎瘤
121、单项选择题 彩色多普勒是使用什么方法检测血细胞的动态信息()
A.增益
B.STC(TGC)
C.速度
D.FFT技术
E.MTI
122、单项选择题 胎儿死亡的定义是()①≥20周胎儿死亡②任何胎龄的胎儿死亡③体重≥500g的胎儿死亡④36周以后的胎儿死亡
A.①③
B.②③
C.④
D.①②③④
E.②③④
123、单项选择题 杨某,男,60岁,查体时发现颈前偏右有一实性肿物,不活动,质硬,同侧淋巴结肿大,超声显示:甲状腺右叶探及单个、不规则实性的低回声结节,境界不清,CDFI有高速血流信号。最可能的诊断是()
A.甲状腺囊肿
B.甲状腺腺瘤
C.甲状腺癌
D.亚急性甲状腺炎
E.颈淋巴瘤
124、单项选择题
以下哪种声像图,最易诊断为肾积水()
A.肾皮质变薄
B.肾盂、肾盏、集合系统充满无回声
C.肾盂、肾盏、集合系统回声增强
D.肾形态失常
E.肾实质多发无回声
125、单项选择题
胎儿心脏超声检查如图,最可能的诊断是()
A.法四
B.右心发育不良综合征
C.左心发育不良综合征
D.心内膜垫缺损
E.大动脉换位(TGA)
126、单项选择题 脉冲重复频率的时间计算单位是()
A.分
B.微秒
C.毫秒
D.秒
E.小时
127、单项选择题 “囊壁-结石-声影三联征(WES)”是指()
A.胆囊壁钙化
B.胆囊胆固醇沉着病
C.胆囊腺癌
D.胆囊癌
E.胆囊内充满结石
128、单项选择题 男性,40岁,脾脏肿大,回声轻度减低,实质内探及多个圆形低回声及无回声结节,边界清楚。可提示诊断为()
A.脾恶性淋巴瘤
B.脾结核
C.脾梗死
D.脾血管瘤
E.脾转移癌
129、单项选择题 连续多普勒在取样线上有符号标记,其表示()
A.取样容积大小
B.仅计算此处血流信息
C.声束与血流的焦点
D.此处检测的速度最佳
E.此处距离测量最准
130、单项选择题 对肝细胞肝癌有特异性的检查是()
A.甲胎蛋白
B.碱性磷酸酶
C.胆红素
D.血尿素氮
E.胰岛素
131、单项选择题 超声生物显微镜采用多少MHz的探头()
A.5~10MHz
B.10~20MHz
C.<50MHz
D.50~100MHz
E.﹥100MHz
132、单项选择题 下列哪种疾病不属于不孕症的病因()
A.生殖器结核
B.子宫粘膜下肌瘤
C.宫颈糜烂
D.子宫内膜异位症
E.多囊卵巢综合征
133、判断题 细微分辨力是指在荧光屏上被分别显示两点的最小距离,包括纵向、横向分辨力和图像中像素的数目。
134、单项选择题
男,48岁,上腹隐痛,有胃病史。结合超声声像图,最可能的诊断为()
A.肝包虫病
B.肝多发性血管瘤
C.肝癌
D.脂肪肝
E.肝囊肿
135、单项选择题
根据超声图像,该病例最可能的诊断()
A.肾上极囊肿
B.肾脏积水
C.肾脏肿瘤
D.重复肾
E.肾脓肿
136、单项选择题 超声诊断利用超声的主要物理原理是()
A.辐射
B.反射
C.衍射
D.散射
E.折射
137、判断题 血管三维可用于分析其分布、走行、空间定位。
138、单项选择题 下列哪项不引起EPSS增大()
A.左心衰竭
B.左室扩大
C.扩张型心肌病
D.肥厚型心肌病
E.二尖瓣狭窄
139、单项选择题 背向散射系数的定义是:与入射声波成多大角度的方向上,单位体积和单位立体角的微分散射截面()
A.90
B.180
C.60
D.45
E.各个方向
140、单项选择题
眼部超声特殊检查法是()
①磁性试验
②眼球后运动试验
③压缩试验
A.①②
B.②③
C.①③
D.①②③
E.以上各项均是
141、问答题 胚胎停止发育的声像图表现有哪些?
142、单项选择题 胎儿的肾脏位于()
A.盆腔
B.脊柱两旁
C.下腹部
D.胁腹
E.以上都不是
143、单项选择题 怀疑胆囊有病变,应首选以下哪项检查()
A.腹部平片
B.CT
C.MRI
D.US
E.口服胆囊造影
144、单项选择题 后方回声增强效应不常见于()
A.肝囊肿
B.肝内血管瘤
C.正常胆囊
D.肾囊肿
E.充盈的膀胱
145、单项选择题 B型超声诊断仪是指()
A.振幅调制型
B.辉度调制型
C.彩色血流显像
D.多普勒频谱显示
E.以上都不是
146、单项选择题 下列哪项不是彩色血流显像时可能出现的伪像()
A.色彩倒错
B.振铃效应
C.室壁幻影
D.瓣叶赝影
E.镜像反射
147、单项选择题 介入性超声可分为几大类,下列哪个是正确答案()
A.两类,介入性诊断和介入性治疗
B.三类,经皮穿刺、体腔内超声和手术中超声
C.四类,穿刺活检、造影、抽吸引流、注药导入能量
D.五类,穿刺活检、体腔内超声、造影、抽吸引流、注药导入能量
E.以上都不对
148、单项选择题 如果总增益降低,那么()
A.施加于患者的能量降低
B.所有回声的强度都降低相同水平
C.探头频率降低
D.仅远场的回声亮度降低
E.分辨力降低
149、单项选择题
人体重要淋巴结的分布()
①人体重要淋巴结分布在人体全身各部位区域
②淋巴结一般为集合线群,分布在身体特定区域
③人体重要淋巴结分布在胸、腹、颈部、腹股沟区
④人体重要淋巴结分布在颈、腋窝、纵隔、腹主动脉、髂、腹股沟和咽窝区
A.①③
B.②④
C.①④
D.②③
E.③④
150、单项选择题 关于肠系膜上动脉描述,不正确的是()
A.起自腹腔动脉下方的腹主动脉
B.位于脾静脉后方
C.位于左肾静脉前方
D.位于十二指肠水平段后方
E.位于胰腺钩突的前方
151、单项选择题 胆总管依行程可分为几段()
A.二段
B.三段
C.四段
D.五段
E.六段
152、单项选择题 妊娠超声检查中,不正确的是()
A.尽量选择低输出声强
B.缩短对胎囊或胎儿同一位置的检查时间
C.采用阴道探头探查胎儿脐带彩色血流
D.探头频率多采用3.5~10MHz
E.减少妊娠期内超声检查的次数
153、单项选择题 完全性心内膜垫缺损Ⅲ型超声声像图特征是()
A.房间隔下端连续中断
B.左右房室瓣分离各有腱索与室间隔相连
C.二尖瓣前叶腱索附着于室间隔右室面
D.左右房室瓣共瓣,无腱索相连
E.右房室及肺动脉扩张
154、单项选择题
某患者左肾超声声像图如下,最可能的诊断为()
A.多发性肾囊肿
B.肾结核
C.多囊肾
D.重度肾积水
E.中度肾积水
155、单项选择题 从使用角度评价彩色多普勒血流显像仪,下列哪项是质量差的标志()
A.空间分辨力、速度分辨力、动态分辨力均高
B.检出血流敏感度高
C.显示图像均匀性好
D.彩色血流效果佳
E.提高灰阶图像增益时,彩色图像质量即下降
156、单项选择题
某患者阴囊增大,自诉用力时阴囊可增大,平卧缩小,无外伤史。B超检查超声声像图如下,最可能的诊断为()
A.鞘膜积液
B.附睾炎性包块
C.斜疝
D.附睾结核
E.股疝
157、单项选择题 进行心肌超声造影,对造影剂有什么要求()
A.微气泡直径小于5μm
B.微气泡要有厚的包裹膜
C.微气泡的压缩系数要小
D.微气泡密度要高
E.微气泡直径要大(大于红细胞)
158、单项选择题 甲状腺疾病超声表现中,“晕圈”征常见于()
A.甲状腺炎
B.囊肿
C.腺瘤
D.腺癌
E.以上均是
159、单项选择题 下列眼部超声检查法中,哪种方法最简便实用()
A.经眼睑法
B.水囊法
C.探头块法
D.经水法
E.软探头法
160、判断题
某患者外伤后下阴疼痛就诊,根据睾丸彩色多谱勒图,诊断该患者睾丸血流信号稀少。

161、单项选择题 胎儿腹围测量一般用于孕几周,可以补充胎儿双顶径估侧胎龄的不足()
A.9~12周
B.16~20周
C.28~32周
D.36~42周
E.20~28周
162、单项选择题 眼球有几个腔,眼球内容物有()
A.眼球为一圆形腔隙,内容物有晶状体、玻璃体
B.眼球有两腔:前房、后房,内容物有晶状体、玻璃体
C.眼球有三腔:前房、后房、玻璃体腔,内容物有晶状体、玻璃体
D.眼球有四腔:前房、后房、晶状体腔、玻璃体腔,内容物有晶状体、玻璃体
163、单项选择题 脉冲在探头和界面之间往返2次以上而产生的伪像称为()
A.多途径伪像
B.旁瓣伪像
C.混响伪像
D.散射伪像
E.双重反射伪像
164、单项选择题 腹部正位片发现右上腹部一圆形致密影,为了进一步明确诊断,应首选是()
A.B超检查
B.侧位平片检查
C.静脉尿路造影检查
D.CT检查
E.MRI检查
165、单项选择题 正常成年人肾脏大小应为()
A.长10~12cm,宽5~7cm,厚3~5cm
B.长8~9cm,宽5~7cm,厚3~5cm
C.长11~13cm,宽6~8cm,厚4~6cm
D.长10~12cm,宽6~8cm,厚2~3cm
E.长10~13cm,宽6~8cm,厚4~6cm
166、单项选择题 关于黏液表皮样瘤的描述,错误的是()
A.又称黏液表皮样癌
B.为涎腺少见疾病
C.病程长者生长慢,无痛,质硬,体积小
D.病程短者生长快,疼痛,可溃破
E.瘤体无包膜,周围界限欠清晰,可侵犯邻近组织
167、单项选择题 二尖瓣狭窄引起肺动脉高压时,肺动脉瓣M型的特点是()
A.肺动脉瓣曲线上的a波增大
B.收缩期曲线平直
C.肺动脉瓣曲线上的bc段呈“V”型
D.显示收缩期有高频振动运动
E.肺动脉瓣曲线上a波正常
168、单项选择题 对于胰腺癌的诊断,不正确的是()
A.胰头好发
B.边界不清楚
C.胰头处病变,一定伴有胆道扩张及黄疸
D.不均匀低回声肿块
E.主胰管均匀扩张
169、问答题 女性内生殖器官的正常声像图表现有哪些?
170、单项选择题 凸阵扫描探头,临床常用于何部位的检查()
A.腹部
B.乳房
C.睾丸
D.甲状腺
E.头颅
171、单项选择题 轴(纵)向分辨力直接与什么有关()
A.穿透深度
B.脉冲波的长度
C.阻尼
D.入射的角度
E.声束的宽度
172、单项选择题
图示6所指部位()
A.脾静脉
B.腹主动脉
C.胰尾
D.肠系膜上动脉
E.肠系膜上静脉
173、单项选择题 下列哪一项不是超声判断胎儿宫内生长迟缓的指标()
A.双顶径
B.羊水
C.腹围
D.头围
E.股骨长
174、判断题 非梗阻性肥厚型心肌病患者M型超声心动图常见到SAM征。
175、单项选择题 关于M型超声心动图二尖瓣前叶波群,以下哪项不正确()
A.正常人呈双峰型
B.E峰位于舒张早期
C.A峰位于舒张晚期
D.CD段位于舒张中期
E.收缩期呈一平直向上的曲线
176、单项选择题
患者有心梗史,如图所示最可能诊断是()

A.室壁瘤形成
B.室间隔呈反"S"型
C.扩张型心肌病
D.真性室壁瘤
E.限制性心肌病
177、单项选择题 下列哪一支血管不是左冠状动脉的分支()
A.左冠状动脉主干
B.右圆锥支
C.左回旋支
D.斜角支
E.左前降支
178、单项选择题 以下介质中声速最慢的是()。
A、空气
B、0℃水
C、血液
D、软组织
E、肌肉
179、单项选择题 超声引导穿刺时导致针干显示不清的原因是()
A.侧方声影
B.部分容积效应
C.内部混响
D.镜面伪像
E.声速失真
180、单项选择题 关于聚焦技术的表述,错误的是()
A.声透镜聚焦只能提高横向分辨率
B.电子环阵相控阵可提高横向和侧向分辨率
C.电子聚焦可达到全程动态接收聚焦
D.非电子聚焦的焦点位置可以固定或不固定
E.二维多阵元探头的聚焦效果更好
181、单项选择题 颈内动脉血流频谱形态为()
A.低阻力频谱
B.高阻力频谱
C.舒张期三峰频谱
D.宽频毛刺样频谱
E.窄频三峰递减型频谱
182、单项选择题 肝脓肿的临床表现包括()①寒冷②发热③右上腹疼痛
A.①
B.①②
C.①②③
D.②③
E.①③
183、单项选择题
患者,男,右下腹有压痛,时有腹泻。结合超声声像图,诊断是()
A.溃疡性结肠炎
B.结肠癌
C.阑尾脓肿
D.肠结核
E.肠梗阻
184、单项选择题 膀胱内血块和膀胱肿瘤的最佳鉴别方法是()
A.变换体位后团块可否移动
B.用彩色和频谱多普勒检测有无血流
C.区别二者内部回声的特点
D.A+B
E.A+C
185、单项选择题 当进行彩色多普勒检查时,如彩色血流显示不佳,有许多辅助调节,下列哪一项是重要的调节()
A.调节监视器的亮度
B.调节监视器的对比度
C.调节灰阶图像的动态范围
D.调节灰阶图像的前后处理
E.调节多普勒的增益
186、单项选择题 前列腺增生症,尿道可能发生的形态改变是()
A.尿道内口移位
B.后尿道拉长超过3cm
C.后尿道曲度改变
D.排尿期尿道腔变细或不规则
E.以上均是
187、单项选择题 经腹超声测量正常成人前列腺的大小约()
A.长3cm,宽4cm,厚2cm
B.长4cm,宽3cm,厚2cm
C.长3cm,宽4cm,厚3cm
D.长2cm,宽3cm,厚4cm
E.长2cm,宽4cm,厚3cm
188、单项选择题 左心腔造影,从末梢静脉注入造影剂其原理是()
A.微气泡直径大于红细胞,进入右心再经肺循环入左心
B.微气泡较大(比红细胞直径大数倍)从腔静脉入右心再到左心
C.造影剂进入右心,经肺循环进入左心腔
D.微气泡直径大于10μm,经肺循环进入左心
E.微气泡密度明显大于血液
189、填空题 肾实质内肿块,表现为强回声,但后方无声影,是___________________较为特征性的表现。
190、单项选择题 下列哪项符合巧克力囊肿声像图改变()①含有强回声颗粒的囊肿②不规则壁的囊肿③边界相对光滑无回声区④囊肿与子宫密切粘着致使子宫有“缺损”或“压迹”表现
A.①
B.①②
C.①②③
D.①②③④
E.②③④
191、单项选择题 彩色多普勒技术不可以与下列哪种技术并用()
A.二维超声显像
B.频谱多普勒
C.三维超声显像
D.M型超声心动图
E.以上都不是
192、单项选择题
男,50岁,右上腹疼痛,乏力,纳差。结合超声声像图,诊断为()
A.肝血吸虫病
B.巨块型肝癌
C.肝血管瘤
D.肝脓肿
E.肝囊肿
193、单项选择题 彩色多普勒血流成像中规定()
A.朝向探头的血流为红色
B.背向探头的血流为红色
C.朝向探头的血流为蓝色
D.背向探头的血流为绿色
E.朝向探头的血流为绿色
194、单项选择题
超声检查如图,最可能的诊断是()
A.致死性骨发育不全
B.内翻足
C.羊膜带综合征
D.骨硬化症
E.并指(趾)畸形
195、单项选择题
女性,28岁,停经42天,血HCG258μg/ml。结合超声图像,最可能的诊断为()
A.畸胎瘤
B.卵巢癌
C.双子宫并早期妊娠
D.子宫浆膜下肌瘤
E.双子宫并宫腔积液
196、单项选择题 鉴别巨大卵巢囊肿与腹水,下列哪种检查方法是禁忌的()
A.超声检查
B.腹部X线平片
C.胃肠道造影
D.腹腔镜检查
E.检测腹部移动性浊音
197、单项选择题 脐疝和腹裂的鉴别点是()
A.胎儿腹壁缺陷位于胎儿脐部
B.膨出物内有肝脏、肠管
C.膨出物外包裹一透明膜
D.伴羊水过多
E.以上都不是
198、单项选择题 胃超声检查中正常胃壁由外到内顺序,应该为哪几层()
A.浆膜层、肌层、粘膜下层、粘膜层
B.粘膜层、粘膜下层、肌层、浆膜层
C.粘膜下层、粘膜层、肌层、浆膜层
D.浆膜层、肌层、粘膜层、粘膜下层
E.浆膜层、肌层、粘膜层
199、单项选择题 早期妊娠能用下列哪种检查诊断()
A.透视
B.摄片
C.CT
D.B超
E.脑血管造影
200、单项选择题
某患者左侧阴囊下部疼痛不适3天,曾患前列腺炎,无外伤史,无结核病史,超声声像图如下,最可能的诊断为()
A.睾丸肿瘤
B.附睾尾炎性包块
C.睾丸炎
D.附睾结核
E.附睾肿瘤
201、单项选择题 关于眼球赤道部扫查的描述,正确的是()
A.眼球尽量向上看,探头与眼球赤道平行扫查,可检出晶体、角膜、玻璃体腔、球壁、球后脂肪
B.眼球尽量向下看,探头与眼球赤道平行扫查,可检出玻璃体腔、球壁、球后脂肪
C.眼球尽量向前看,探头与眼球赤道平行扫查,仅可检出玻璃体腔
D.眼球尽量向下看,探头与眼球赤道平行扫查,仅可检出玻璃体腔
E.以上各项均是
202、单项选择题
女性,25岁,停经33周。阴道无痛性出血2天。B超检查如图,最可能的诊断为()
A.中央性前置胎盘
B.胎盘早期剥离
C.胎儿脐带绕颈
D.胎儿畸形
E.边缘性前置胎盘
203、单项选择题
鞘膜积液分四种,如图所示为哪种()
A.睾丸鞘膜积液
B.精索鞘膜积液
C.睾丸精索鞘膜积液
D.交通性鞘膜积液
E.以上都不是
204、单项选择题 妊娠晚期羊水量达到或超过多少毫升称羊水过多()
A.300~400ml
B.1000ml
C.1500ml
D.2000ml
E.800ml
205、单项选择题 下例哪项非急性胰腺炎的超声征象()
A.弥漫性胰腺增大
B.胰腺周边脂肪增多
C.胰腺回声减弱
D.胰腺周围积液
E.胰腺轮廓模糊
206、单项选择题
患者女53岁,上腹部疼痛不适半年余,皮肤、巩膜黄染进行性加重。B超检查如图所示,根据超声声像图诊断为()
A.胆总管下段癌
B.胰头癌
C.胆总管炎性狭窄
D.胆总管结石
E.胆总管蛔虫
207、单项选择题 肝内有三条韧带对超声检查很重要,它们是圆韧带、静脉韧带和镰状韧带。圆韧带是()①存在于左叶间裂②脐静脉的残留③在严重肝硬化时可见再通④在横切面上是一个回声增强光点⑤常见在门静脉之上
A.①②
B.①②③
C.①②③④
D.①③④⑤
E.①②③④⑤
208、单项选择题 肾柱肥大常混淆为肿瘤见于()
A.肾盏较小时如同残留的肾盏
B.肾盏较大时如同残留的输尿管
C.肾皮质延伸至肾包膜外
D.在肾皮质深入髓质环绕分隔肾锥体的部分异常
E.以上都是
209、单项选择题
男性,右侧阴囊空虚,左侧可触及,于腹腔见一个椭圆形低回声光团,边界清晰,回声尚均匀,CDFI:血流信号丰富。如图所示,考虑为()
A.隐睾并精原细胞瘤
B.腹腔囊肿
C.腹腔淋巴结
D.畸胎瘤
E.腹腔淋巴瘤
210、单项选择题 以下何者为负荷超声心动图适应证()
A.经常规UCG检出有节段性室壁运动障碍者
B.急性心肌梗死
C.心脏扩大并心功能不全
D.伴有明显高血压者
E.常规UCG正常或可疑,而有心绞痛临床症状者
211、单项选择题 胆囊颈由以下哪项与肝总管连接()
A.肝胰壶腹(Vater壶腹)
B.胆总管
C.肝左、右管
D.胆囊管
E.肝内胆管
212、单项选择题 不宜用哪种技术提高多普勒检测灵敏度()
A.降低发射超声波的基础频率
B.提高接收线路的信噪比(S/N)
C.选择最佳的探头位置及角度
D.增加超声波发射的输出强度
E.提高多普勒增益
213、单项选择题 骨巨细胞瘤病理基础主要表现为肿瘤组织质地疏松、出血、坏死和囊性变。与其相对应的声像图表现()
A.病变发生于骨骺端的松质骨内
B.病变部位呈偏心性肿大
C.肿瘤与正常骨质界限清楚
D.肿瘤透声性良好,后部边界回声增强
E.彩色多普勒血流显像见少许点状血流或较丰富的血流
214、单项选择题 囊肿的声像图特征是()
A.边界回声不定
B.外形不定
C.内部无回声
D.后方回声衰减
E.侧缘声影不定
215、单项选择题
女性,月经过少,不孕就诊,超声图像可提示()
A.多囊卵巢
B.卵泡发育不良
C.卵巢巧克力囊肿
D.正常卵巢
E.以上都不是
216、单项选择题 男性40岁,突发上腹疼痛伴腹胀,超声检查:胰腺弥漫性增大,胰腺实质回声减低,胰管不扩张,胃内潴留液,最可能的诊断()
A.急性肠炎
B.急性胃炎
C.急性胰腺炎
D.胰腺肿瘤
E.急性胆囊炎
217、单项选择题 由于声速失真伪像,以下哪项病变体积的超声测量最容易出现较大误差()
A.肝囊肿
B.肝细胞癌
C.肝内脂肪瘤
D.肝脓肿
E.肝腺瘤
218、单项选择题
图示4所指部位()
A.脾静脉
B.腹主动脉
C.肠系膜上动脉
D.胰头
E.下腔静脉
219、单项选择题 下列肾肿瘤描述中,哪一项正确()
A.肾细胞癌多发于50~60岁,儿童少见,常出现血尿
B.肾母细胞瘤多发生于小儿,2~4岁最多见,腹部肿块常为早期症状
C.肾血管平滑肌瘤为良性间叶瘤,属一种良性肿瘤
D.肾盂肿瘤中最常见的是移行上皮乳头状癌,以淋巴转移为主
E.以上均正确
220、单项选择题 胆总管上段位于门静脉()
A.右前方
B.前方
C.左方
D.后方
E.左前方
221、单项选择题 布—查氏综合征患者合并门脉血栓的比例是()
A.<5%
B.约20%
C.约50%
D.>90%
E.约10%
222、单项选择题 以下哪项不符合扩张型心肌病超声表现()
A.左室明显扩大
B.二尖瓣活动幅度增大
C.EPSS增大
D.室壁活动减弱
E.各瓣口血流速度减慢
223、单项选择题 绝经后子宫内膜正常厚度是()
A.0.1cm~0.2cm
B.0.3cm~0.5cm
C.0.6cm~0.8cm
D.0.8cm~1.0cm
E.1.0cm~2.0cm
224、问答题 肾母细胞瘤的声像图表现有哪些?
225、单项选择题 上腹部横切扫查,横“8”字的交叉点是胃的哪部分()
A.胃体
B.贲门
C.胃窦
D.胃角
E.胃底
226、单项选择题 下列不符合胎死宫内颅骨声像图改变的是()
A.胎儿头皮水肿
B.胎儿颅骨变形、重叠
C.胎儿颅骨塌陷
D.胎头消失,无法检测
E.胎头轮廓不规则
227、单项选择题 一动脉导管未闭患者,血压为130/80mmHg,频谱法测得导管口舒张期最大流速为3.3m/s,估计此患者肺动脉舒张压为()
A.无肺动脉高压
B.轻度肺动脉高压
C.中度肺动脉高压
D.重度肺动脉高压
E.肺动脉压大于主动脉压
228、单项选择题 男,50岁,因下肢疼痛4天,肿胀1天就诊。查体下肢皮温度稍高,足背动脉波动尚可。诊断为()
A.动脉血肿
B.动脉囊肿
C.真性动脉瘤
D.假性动脉瘤
E.动静脉瘘
229、单项选择题 关于急性盆腔炎的超声表现,以下哪项除外()
A.子宫直肠隐凹积液
B.卵巢缩小
C.子宫与周围粘连
D.管状结构边缘毛糙
E.附件区可见增厚迂曲管状结构
230、单项选择题 绒毛膜癌的CDFI特点是()
A.五彩斑斓低速血流RI<0.4
B.五彩斑斓低速血流RI>0.4
C.五彩斑斓高速血流RI<0.4
D.五彩斑斓高速血流RI>0.4
E.五彩斑斓高速血流RI>0.8
231、名词解释 多频探头
232、单项选择题 下列卵巢黏液性囊腺瘤声像图特点,哪一项是错误的()
A.肿瘤体积较大
B.囊腔内有较多的分隔
C.囊内有细小点状回声
D.少数有乳头状生长
E.囊腔内无分隔
233、单项选择题 正常成人胆囊超声测量的前后径一般不超过()
A.2.0cm
B.2.5cm
C.3.0cm
D.3.5cm
E.4.0cm
234、单项选择题 葡萄胎声像图表现()
A.子宫明显增大,宫腔内无妊娠囊
B.子宫明显增大,宫腔内无妊娠囊,宫腔内见雪片状回声
C.子宫明显增大,宫腔内见雪片状回声,子宫两侧见黄素囊肿
D.子宫明显增大,宫腔内无妊娠囊,宫腔内见雪片状回声,子宫两侧见黄素囊肿
E.子宫明显增大,宫腔内见雪片状回声
235、单项选择题 超声检测胎儿肺脏可显示()①肺囊腺瘤样畸形②膈疝③胸腔积液④由于胎儿肺含气,超声无法显示肺内病变
A.①
B.①②
C.①②③
D.①②④
E.①②③④
236、单项选择题 出现在肝内线状强反射回声是下列哪项引起的()
A.血管
B.肝窦状隙
C.纤维隔
D.肝硬化
E.脂肪肝
237、单项选择题 成人型多囊肾中下列哪一项是错误的()
A.该病一般在40~60岁出现症状,有家族性
B.超声显示两肾内无数大小不等的囊肿,常合并多囊肝等其他脏器多囊性疾病
C.本病属常染色体隐性遗传病
D.本病为双侧性,临床上少数病例两肾发展可不一致
E.本病出现症状愈早,预后愈差;晚期症状为高血压、肾功能减退
238、单项选择题 下列哪种疾病的检查应首选超声检查(USC)()
A.肝脏弥散性病变
B.骨折后愈合情况
C.胃炎
D.肺炎性假瘤
E.皮肤癌
239、问答题 肝海绵状血管瘤声像图表现?
240、单项选择题 关于空间分辨率的影响因素,下列叙述中正确的是()
A.频率越高,则纵向分辨率越差
B.实际上,轴向分辨率约为波长的1/2
C.横向分辨率仅与声束宽度有关
D.声束越宽,侧向分辨率越差
E.近场与远场的空间分辨率相同
241、单项选择题 能量多普勒在移植肾排异的声像图特点()
A.显示移植肾血管树丰富完整,肾皮质内小叶间动脉可显示
B.显示移植肾血管异常丰富,肾皮质内小叶间动脉显示异常清晰
C.移植肾内血流信号明显减少,血流断续呈星点状或斑块状
D.移植肾血管树显示完整,皮质内小叶间动脉显示不清晰
E.移植肾内血管信号丰富
242、单项选择题 下列哪项可以既提高轴向分辨力又提高横向分辨力()
A.缩短脉冲长度
B.使束宽变窄
C.增大声束直径
D.提高探头频率
E.以上均可
243、多项选择题 下述哪些属死胎的声像图表现()
A.胎儿各生长参数小于孕周预计值
B.胎心搏动、胎动均消失
C.胎儿颅骨变形,颅缝重叠
D.胎儿全身水肿,皮肤呈双层改变
E.内脏结构紊乱清楚
244、单项选择题 孕20周后正常胎儿脑室率小于()
A.0.5
B.0.6
C.0.7
D.0.8
E.0.9
245、单项选择题 不孕症伴有痛经,常发生于()
A.多囊卵巢综合征
B.子宫内膜异位症
C.子宫内膜增殖症
D.卵巢囊肿
E.粘膜下子宫肌瘤
246、单项选择题 二尖瓣脱垂,以下哪项不对()
A.多见于老年男性
B.可闻及心尖区收缩期吹风样杂音
C.超声显示前后叶对位不良
D.M型超声心动图显示CD段呈“吊床样”改变
E.CDFI可见左房内蓝色返流彩柱
247、单项选择题 检查心血管病如瓣膜狭窄,彩色多普勒血流成像的彩色图(colormap)应选择下列什么模式()
A.选择低速度标尺的彩色图
B.选择红黄绿三色彩色图
C.用零位基线移动显示一种彩色的彩色图
D.选择两色彩色图
E.以上都不是
248、单项选择题
该病例最可能的诊断()

A.高血压病
B.肥厚型心肌病
C.主动脉瓣狭窄
D.肌型主动脉瓣瓣下狭窄
E.限制性心肌病
249、单项选择题 下列哪种气体不能用于超声造影()
A.空气
B.二氧化碳气体
C.氧气
D.纯氮气体
E.氟碳气体
250、单项选择题
女性,18岁,月经不来潮就诊。超声检查如图,最可能的诊断为()
A.畸胎瘤
B.先天性无子宫
C.子宫肌瘤
D.双子宫
E.始基子宫
251、单项选择题 彩色多普勒血流成像时,使用高通滤波器的主要作用是()
A.便于检测低速血流
B.精确显示血流方向
C.增大检测深度
D.增大血流速度显示范围
E.减少低速信号干扰
252、单项选择题
患儿青紫,存室间隔缺损,如图所示,诊断最可能()

A.肺动脉瓣狭窄
B.主动脉内径增宽
C.法洛四联症
D.法洛三联症
E.房间隔缺损
253、单项选择题 超声检查发现睾丸肿瘤,应进一步观察()
A.腹腔有无积液
B.不需进一步检查
C.肾脏有无积水
D.肾门有无转移结节
E.前列腺有无肥大
254、单项选择题
某患者,既往有肾炎病史。因头晕,无尿三日入院,根据其肝右叶-右肾声像图,最可能的诊断为()
A.慢性肾衰
B.急性肾炎
C.肾结核
D.尿路结石
E.慢性肾炎
255、单项选择题
某患者行右心造影,心尖四腔心切面声像图所示,提示为()

A.室间隔缺损
B.动脉导管未闭
C.房间隔缺损
D.正常结构
E.二尖瓣狭窄
256、单项选择题 非镜面反射()
A.当界面大于波长时发生
B.当界面小于波长时发生
C.发生于类镜面表面
D.取决于声束角
E.取决于声速
257、单项选择题 在急性病毒性肝炎早期,病人的肝实质显示为()
A.回声不均
B.回声增强
C.低于正常
D.回声无改变
E.肝实质结节回声
258、单项选择题
根据胎儿声像图,可见清晰脊柱和头颅光环,该胎儿至少应大于多少周()
A.12周
B.8周
C.6周
D.28周
E.32周
259、单项选择题 晚孕时测量双顶径8.6cm(35周)、头围32.5cm(36周)、腹围32.7cm(37周)、股骨长7.3cm(38周),经多参数测量孕龄是多少周()
A.36周
B.36.5周
C.37周
D.37.5周
E.38周
260、单项选择题 女性生殖器官最常见的良性肿瘤是()
A.子宫肌瘤
B.卵巢皮样囊肿
C.卵巢浆液性囊腺瘤
D.卵巢黏液性囊腺瘤
E.以上都不是
261、单项选择题 压电效应只有通过哪种材料才能表现出来()
A.金属材料
B.水晶不对称材料
C.天然存在的材料
D.塑料材料
E.合金材料
262、单项选择题
某患者因血尿就诊,下腹部声像图如图,根据图中表现及所标志的体位,最可能的超声诊断为()
A.前列腺增生并钙化
B.膀胱结石
C.膀胱癌
D.前列腺癌
E.膀胱血块
263、单项选择题 以下声像图显示()
A.振铃效应
B.声影
C.旁瓣效应
D.部分容积效应
E.镜像效应
264、单项选择题 关于心尖四腔切面以下哪项不正确()
A.探头置心尖呈水平扫查
B.图像近场为心尖,远场为心底
C.十字交叉位于心脏中间处
D.左心室在右侧,右心室在左侧
E.可清晰显示左右房室瓣的活动
265、单项选择题
女性,27岁,停经49天,尿妊娠试验阳性。如图所示,超声诊断为()
A.宫腔积液
B.早孕,多胎妊娠
C.绒癌
D.葡萄胎
E.稽留流产
266、单项选择题 患者28岁,为室间隔缺损,左向右分流,用彩色多普勒技术检查分流血流,对仪器的调节,下述哪一项是错误的()
A.低通滤波
B.高频(7MHz以上)电子相控阵探头
C.电子线阵探头(5MHz以上)
D.高速档速度标尺(高脉冲重复频率)
E.彩色图选用两色彩图
267、单项选择题 前列腺增生CDFI改变()
A.前列腺内血流丰富,可见增生结节旁有动脉血流环绕
B.前列腺内未见血流信号
C.前列腺内呈少血流改变
D.前列腺内可见丰富的静脉血流信号
E.以上都不是
268、单项选择题 前列腺位于()
A.膀胱下方
B.精囊下方
C.耻骨联合后方
D.直肠前方
E.以上各项均是
269、单项选择题 儿童肾母细胞瘤(Wilms)声像图特点是()①瘤体较大,边界清晰②内回声不均,呈混合性回声③瘤体小,边界不清晰④内回声低、均质⑤残余肾组织受压肾盂变形,可合并肾盏积水
A.①②⑤
B.③④⑤
C.①⑤
D.②⑤
E.①②④⑤
270、单项选择题
女,25岁,停经50天,B超检查如图所示,最可能的诊断为()
A.早孕(单胎)
B.早孕(双胎)
C.葡萄胎
D.宫腔积血
E.以上都不是
271、单项选择题 子宫内膜异位症的临床表现有()①月经失调②痛经③不孕症④大便坠胀
A.①②
B.①②③
C.①②③④
D.②
E.②③④
272、单项选择题
图为胎儿鼻唇区显像,“+”处标出的为()
A.鼻唇沟
B.伪像
C.右侧鼻孔
D.唇裂
E.以上都不是
273、单项选择题 关于腮腺管结石(涎石病)的超声表现的描述,哪一项是错误的()
A.腮腺大小、形态正常
B.腮腺内可探及致密强回声斑点或斑块
C.较大结石可引起导管阻塞
D.腮腺导管无扩张
E.较大结石后方伴声影
274、单项选择题 下列子宫肌瘤病理特点和声像图的表现,哪一项是错误的()
A.肌瘤由平滑肌与纤维结缔组织交叉组成
B.肌瘤周围有被压缩的肌纤维所组成的假包膜
C.假包膜与肌瘤间有疏松的结缔组织
D.肌瘤变性时,声像图可为圆形无回声区
E.肌瘤结节多呈圆形无回声区
275、单项选择题 IVRT是指()
A.从主动脉瓣关闭到二尖瓣开放之间的时间
B.从主动脉瓣开放到主动脉瓣关闭之间的时间
C.从二尖瓣开放到二尖瓣关闭之间的时间
D.从主动脉瓣关闭到肺动脉瓣关闭之间的时间
E.从二尖瓣关闭到三尖瓣关闭之间的时间
276、单项选择题 外周血管的频谱多普勒检测,超声入射角如大于60度,应怎样调节仪器以获得相对准确的速度数据()
A.增大速度标尺
B.用低通滤波
C.选择连续波多普勒
D.校正入射角度
E.调节取样容积大小
277、单项选择题 羊水过多,超声诊断标准是羊水深度大于()
A.5cm
B.6cm
C.7cm
D.10cm
E.4cm
278、单项选择题 婴幼儿时期,肾多囊性疾病常见于()
A.肾多发性单纯性囊肿
B.多囊性肾发育不全
C.多囊肾
D.重度肾积水
E.以上均是
279、单项选择题 区分左、右肝叶的标志有()①肝正中裂②肝中静脉③静脉韧带④镰状韧带
A.①
B.①②
C.③
D.③④
E.④
280、单项选择题 关于实性肿瘤的超声像图特点下列哪项是错误的()
A.边界整齐、光滑或不规则
B.常呈圆形、椭圆形或不规则
C.不可能出现无回声
D.可有后方组织衰减或声影
E.侧方声影可有可无
281、单项选择题 关于彩色多普勒超声仪器的调节,不正确的是()
A.调整彩色速度标尺,使之接近实际血流速度大小
B.使彩色取样框尽可能大,以便获取尽可能多的血流信息
C.适当调节彩色偏转使声束与血流夹角尽可能小
D.调节彩色增益直至适当显示血管内血流信号
E.设定朝向探头血流为红色,背离探头血流为蓝色
282、单项选择题 最有利于肝扫查的呼吸阶段是()
A.深呼气后屏气
B.深吸气后屏气
C.正常呼吸
D.正常呼气末屏气
E.正常吸气末屏气
283、单项选择题 肥胖症患者皮下脂肪厚度测量产生误差的原因是()
A.声束的旁瓣伪像
B.切面厚度伪像
C.折射伪像
D.声速失真伪像
E.棱镜伪像
284、单项选择题 对二维灰阶图像进行彩色编码处理,是()
A.B型超声
B.伪彩显示
C.彩色多普勒
D.彩色能量图
E.组织能量图
285、单项选择题 超声的纵向分辨率是分辨前后两个点最小距离的能力,其理论计算值应是()
A.1/4λ(λ波长)
B.1/3λ
C.1/2λ
D.1λ
E.>1λ
286、单项选择题
女性,28岁,停经46天,阴道不规则出血5天。血HCG68μg/ml。结合超声图像,最可能的诊断为()
A.畸胎瘤
B.附件炎性包块
C.子宫浆膜下肌瘤
D.宫外孕
E.囊腺瘤
287、单项选择题 肝脓肿与肝囊肿的区别是()
A.脓肿不透声,而囊肿透声好
B.脓肿边界不规则,囊肿边界清晰
C.脓肿是坏死性肿瘤,囊肿是良性肿物
D.脓肿回声强,囊肿回声弱
E.以上均是
288、单项选择题 下列哪一项不是慢性输卵管积水声像图表现()
A.多在双侧附件区出现纺锤性肿块
B.肿块边缘较清晰,呈薄壁状
C.肿块间隔及囊壁较厚,多为实性
D.肿块内部呈明显无回声区
E.与子宫周围粘连严重时可与子宫直肠陷凹积液连成一片包围子宫
289、单项选择题
患儿,出生1个月,因喂奶时经常呕吐,加重数天就诊,婴儿明显消瘦,皮肤松弛有皱纹,皮下脂肪减少,精神抑郁呈苦恼面容。喂奶时,可见从左季肋向右上腹移动之蠕动波。根据超声示意图,最可能的诊断为()
A.先天性肥厚型幽门狭窄
B.先天性胆管狭窄
C.胃溃疡
D.肠炎
E.肠梗阻
290、单项选择题
女性,25岁,停经55天,腹痛、阴道出血1周。尿妊娠试验阴性。结合超声图像,最可能的诊断为()
A.正常早孕
B.完全流产
C.先兆流产
D.难免流产
E.宫腔积液
291、单项选择题 有关主动脉,以下哪项不对()
A.主动脉根部与左室相连
B.主动脉根部膨大称为主动脉窦,又称乏氏窦
C.主动脉窦分为右前窦、右后窦及左后窦
D.三个窦内各有一支冠状动脉开口
E.冠状动脉开口于窦壁中部
292、单项选择题 下列关于卵巢滤泡囊肿的描述,哪项不对()
A.单侧卵巢发病
B.囊壁菲薄
C.囊液水样密度
D.直径多>5cm
E.可自行消失
293、单项选择题 心搏出量与心输出量有什么不同()
A.心搏出量在数值上与心输出量相等
B.心率不变时,心搏出量增大反而使心输出量减低
C.心输出量是心搏出量乘以心率,心搏出量是每次心搏的排出量
D.心搏出量大于心输出量
E.心输出量不乘以心率,心搏出量需计算心率
294、单项选择题
根据超声图像所示,该病例为哪型肾积水()
A.菱角型
B.烟斗型
C.花朵型
D.调色板型
E.巨大囊肿型
295、单项选择题 二尖瓣关闭不全M型超声心动图时检查时哪项表现有错误()
A.二尖瓣叶增厚、活动受限
B.关闭时二尖瓣叶不能合拢
C.左心房及左心室增大
D.左心室壁运动增强
E.左心房、右心室增大
296、单项选择题 患者王某,干下型室间隔缺损,左向右分流,用超声检测,要了解其峰值跨隔压差,应检测什么参数()
A.分流血流的收缩期峰值速度(Vs)
B.分流血流的收缩期、舒张期速度比值(S/D)
C.分流血流的平均速度(Vm)
D.分流血流的阻力指数(RI)
E.分流血流的时间速度积分(VTI)
297、判断题 颈部海绵状血管瘤USG动态观察其大小,随体位移动固定不变。
298、单项选择题
该病例最可能的诊断()

A.右室流出道狭窄
B.室间隔缺损
C.主动脉右冠窦瘤破裂
D.主动脉右冠瓣脱垂
E.房间隔膨出瘤
299、单项选择题
男,18岁,外伤1小时就诊。结合超声声像图,诊断为()
A.脾外伤血肿
B.脾淋巴管瘤
C.膈下积液
D.脾皮样囊肿
E.脾血管瘤
300、单项选择题 正常腮腺的声像图表现是()
A.表面为整齐平滑的边缘
B.腺体为光点细小、分布均匀的低回声区
C.低回声区内可见一平行强回声光带,为腮腺主导管
D.以上都对
E.以上都不对