时间:2025-01-26 00:32:44


1、多项选择题 SPECT脑灌注显像,正常脑断层显像中放射性较高的结构是()
A.丘脑
B.基底节
C.大脑皮层
D.大脑白质
E.脑室
2、多项选择题 下列哪些是有关湮灭辐射的正确说法()
A.湮灭辐射的实质是γ光子损失全部能量后消失
B.湮灭辐射必须有正电子参与
C.湮灭辐射又称光化辐射
D.湮灭辐射中产生的电子称为内转换电子
E.湮灭辐射生成2个能量各为511keV的γ光
3、多项选择题
比较99Tcm-RBC和99Tcm-胶体用于消化道出血显像,下列哪些()
A.99Tcm-RBC显像灵敏度较99Tcm-胶体高
B.99Tcm-胶体显像灵敏度较99Tcm-RBC高
C.99Tcm-RBC显像的假阳性低
D.99Tcm-胶体显像的假阳性低
E.99Tcm-胶体异像腹部本底低.易于影像分析
4、单项选择题 功能自主性甲状腺瘤(Plummer病)和先天性一侧甲状腺缺如依靠下列哪种手段可以区分()
A.甲状腺B超
B.Tc甲状腺静态显像
C.Tc甲状腺动态显像
D.Tc-MIBI甲状腺静态显像
E.Tc甲状腺静态显像+TSH兴奋显像
5、单项选择题 骨髓最常用的显像剂()
A.Tc-硫胶体、Tc-植酸盐
B.Tc-ECD、Tc-RBC、Tc-WBC
C.Tc-EHIDA、Tc-EC
D.Tc-PYP、Tc-MIBI
E.Tc-DTPA、Tc-MAA
6、问答题 简述甲状腺功能测定的方法有哪些?
7、填空题 心肌缺血者,休息时EF多正常,运动试验后则________。
8、单项选择题 甲状腺癌术后发现甲状腺区域肿块,何种情况可考虑为肿瘤复发可能性大()
A.Tc-MIBI阳性,TcO显像“冷”结节
B.Tc-MIBI阳性,TcO显像“温”结节
C.Tc-MIBI阳性,TcO显像“热”结节
D.Tc-MIBI阴性,TcO显像“温”结节
E.Tc-MIBI和TcO显像均为“冷”结节
9、单项选择题 在骨显像时,下列哪项不属于超级影像的表现()
A.骨与软组织对比增强
B.中轴骨与四肢骨放射性摄取比值增加
C.肾呈淡影或不显影
D.“双条”征
E.“领带”征
10、单项选择题 继发性甲状旁腺功能减退患者甲状腺兴奋试验的兴奋值为()
A.<5%
B.5%~10%
C.>2%
D.>10%
E.>3%
11、填空题 脑灌注显像时,脑梗死病变区表现为放射性____。
12、填空题 甲状腺显像结节处放射性分布与周围正常甲状腺组织相比,放射性___________为"热结节",放射性_____________为"温结节",放射性___________为"凉结节",放射性____________为"冷结节"。
13、单项选择题 再生障碍性贫血可分为四种类型()
A.轻、中、重、极重
B.荒芜型、抑制型、灶I型、灶II型、正常型
C.骨髓抑制型、骨髓增生型、骨髓正常型、骨髓荒芜型
D.Ⅰ型、Ⅱ型、Ⅲ型、Ⅳ型
E.以上都不对
14、单项选择题 衡量测定系统准确度的质控指标,通常要求回收率介于多少之间()
A.80%~100%
B.90%~110%
C.90%~120%
D.80%~120%
E.95%~105%
15、单项选择题 最理想的甲状腺显像剂是()
A.I
B.I
C.I
D.TcO
E.Tl
16、单项选择题 不属于分子识别的是()
A.抗原与抗体的结合
B.配体与受体的结合
C.酶与底物的结合
D.Tc-MDP与骨骼的结合
E.反义核酸探针与正义癌基因的结合
17、单项选择题 γ光子与物质的相互作用主要是通过______。Ⅰ、散射Ⅱ、激发Ⅲ、光电效应Ⅳ、弹性碰撞Ⅴ、康普顿效应()
A.ⅠⅡ
B.ⅢⅣ
C.ⅣⅤ
D.ⅢⅤ
E.以上都不是
18、单项选择题 P-胶体治疗恶性胸腔积液常用的剂量为()
A.148~370MBq
B.37~111MBq
C.370~925MBq
D.555~1110MBq
E.以上都不是
19、名词解释 前哨淋巴结
20、问答题 甲状腺兴奋试验的基本原理是什么?
21、问答题 甲状腺血流显像的适应证有哪些?
22、单项选择题 静息状态下心血池显像时正常人心室轴缩短率应该是()
A.大于>75%
B.大于>65%
C.大于>45%
D.大于>35%
E.大于>25%
23、问答题 平衡法门控核素心血池正常图像表现如何?
24、单项选择题 Tc—甲氧基异丁基异腈(MIBl)心肌断层显像是采用()
A.扫描机
B.γ照相机
C.电子照相机
D.单光子发射计算机断层仪(SPECT)
E.正电子发射计算机断层仪(PET)
25、单项选择题 哪一种不能作肝癌阳性显像()
A.99Tcm-胶体
B.99Tcm-PMT
C.99Tcm-枸橼酸盐
D.131I-AFP抗体
E.以上都不是
26、问答题 骨质疏松主要有3种检测方法,即___________、___________和___________。目前___________已成为诊断骨质疏松的最基本依据,它具有___________性,能检测各个局部骨骼,了解骨密度的变化。
27、单项选择题
21岁男,既往有丝虫病史,行Tc-DX显像如图,正确的诊断是()

A.乳糜胸
B.乳糜尿
C.乳糜腹
D.右淋巴导管阻塞
E.以上都不是
28、多项选择题 SPECT质控主要包括()
A.均匀性评价和校正
B.旋转中心的决定和校正
C.准直器
D.像素X、Y增益大小的校正
E.显像系统的综合评价
29、填空题 心肌严重缺血后,随着缺血发生的速度、范围、程度及其侧支循环建立的不同,其心肌细胞的损害可能出现3种不同的结局:_________,_________和_________。
30、单项选择题 早老性痴呆及血流灌注显像示()
A.病灶灌注减少或缺失,部分病例对侧小脑半球灌注减低
B.基底节不对称灌注减低伴大脑各叶灌注减低
C.间歇期血流灌注减低,发作期病灶处灌注增高
D.额、顶、颞叶为主的广泛血流灌注减少,表现为“分水岭”征
E.血流灌注表现各异或减低或局灶性增高,或两者现象并存
31、单项选择题 关于骨的叙述中,下列哪一项是错误的()
A.新鲜的致密骨由9%的水、22%的有机质及69%的无机盐组成
B.骨皮质是由骨膜和矿物质组成的,骨髓质由规则排列的骨小梁组成
C.骨的无机盐成分主要是碱式磷酸钙
D.骨有机质是由10%的非胶质物及90%胶纤维组成的
E.长骨全部是由其骺板生长而成的
32、问答题 全身骨髓活性水平分级标准及其临床意义是什么?
33、单项选择题 带电粒子在某一长度径迹上消耗的能量与该径迹长度之比是()
A.氧效应
B.传能线密度
C.氧增强比
D.当量剂量
E.吸收剂量
34、单项选择题 下列哪一项不是平衡法心血池显像的适应证()
A.心肌病的诊断
B.传导异常的诊断
C.冠心病的诊断
D.冠状动脉旁路手术及PTCA疗效评估
E.急性心肌梗死的监测
35、单项选择题 两侧肾图曲线对比异常,一侧为小肾图,另一侧曲线形态正常,可见于()
A.单侧肾动脉狭窄
B.肾结石
C.肾积水
D.多囊肾
E.肾肿瘤
36、单项选择题 运动心肌显像出现灌注减低,静息或延迟显像为正常,提示()
A.心肌梗死
B.梗死伴缺血
C.心肌缺血
D.心肌病
E.心肌存活
37、多项选择题
男性,41岁,劳力性心绞痛,有高血压、高血糖、高血脂,行99Tcm-MIBI心肌运动、静息显像如图,最可能的诊断是()

A.左心室前壁、下壁心肌缺血
B.冠心病
C.扩张型心肌病
D.代谢综合征
E.高血压心脏病
38、单项选择题 预激综合征患者,门控心血池显像时旁路部位的时相为()
A.延迟
B.提前
C.正常
D.不一定
E.以上都对
39、问答题 异常肾图有何临床意义?
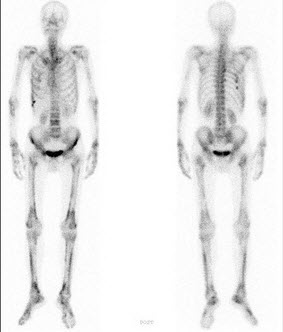
40、单项选择题
男,32岁,双侧上肢疼痛3个月,有慢性肾炎病史,无发热、无外伤及肿瘤病史,行全身骨显像如图,最可能的诊断是()
A.骨纤维结构不良
B.肾性骨营养不良
C.Paget病
D.双侧上肢骨转移癌
E.以上都不是
41、单项选择题 Parkinson病在SPECT脑灌注显像中血流灌注改变可见到()
A.基底节血流增高
B.基底节血流减低
C.小脑血流增高
D.枕叶血流增高
E.丘脑血流增高
42、单项选择题
患者38岁,主诉左侧阴囊疼痛2天,查体见左侧阴囊稍红肿如图。超声检查基本正常。最可能的诊断是()
A.左侧睾丸蒂扭转
B.左侧附睾睾丸炎
C.未见明显异常
D.右侧睾丸蒂扭转
E.右侧睾丸附睾炎
43、单项选择题
男性患者,67岁,排尿困难,行间接法膀胱输尿管返流显像如图,诊断是()
A.右侧膀胱输尿管返流
B.左侧膀胱输尿管返流
C.双侧膀胱输尿管返流
D.未见输尿管返流征象
E.以上都不是
44、问答题 肝血流血池显像原理及适应证是什么?
45、问答题 脑灌注显像在早老性痴呆诊断中有何应用价值?
46、多项选择题 影响内照射生物效应的因素有()
A.吸收剂量
B.体内分布
C.有效半衰期
D.照射范围大小
E.放射线种类
47、单项选择题 肝血池显像中肝囊肿处血池放射性较周围肝组织为()
A.增高
B.相似
C.稍低
D.较低
E.缺损
48、单项选择题 用高能准直器对低能核素显像,哪一种说法是正确的()
A.完全不行
B.可以,且分辨率提高
C.可以,且灵敏度提高
D.可以,但灵敏度降低
E.可以,且分辨率和灵敏度都提高
49、多项选择题
99Tcm-硫胶体显像可用于()
A.肝胶体显像
B.胃肠道出血显像
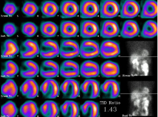
C.脑灌注显像
D.心肌灌注显像
E.全身骨显像
50、问答题 简述异常肾图的常见类型。
51、单项选择题 有效肾血浆流量(ERPF)测定的正常值为()
A.500~600ml/min
B.300~400ml/min
C.200~300ml/min
D.100~200ml/min
E.80~100ml/min
52、问答题 介入试验后心肌灌注显像表现有哪些?
53、多项选择题 具有连续能谱的粒子有()
A.γ光子
B.β+粒子
C.α粒子
D.β-粒子
E.内转换电子
54、多项选择题
67Ga可在哪种肝占位性病变中浓聚()
A.肝血管瘤
B.肝细胞癌
C.肝脓肿
D.淋巴瘤
E.肝囊肿
55、单项选择题 下列哪一项不是扩张型心肌病在心功能及心肌灌注显像中的()
A.花斑样异常
B.反转型心肌缺血
C.心腔影扩大
D.弥漫性室壁运动低下
E.收缩及舒张期功能受损
56、单项选择题 鉴定骨折线是近期损伤或为陈旧性损伤的最灵敏、简便的方法是()
A.ECT
B.MRI
C.XCT
D.X线
E.以上都不是
57、单项选择题 某一患者甲状腺显像示甲状腺显影不清,颌下腺、舌下腺、腮腺摄取较多的放射性,不可能的原因是()
A.甲状腺炎
B.甲状腺功能亢进
C.检查前服用含碘的药物和食物(如海藻类)
D.服用避孕药
E.服用甲状腺素片和抗甲状腺药物
58、单项选择题 脑脊液产生于()
A.脑和脊髓组织
B.软脑膜
C.蛛网膜
D.脑室脉络丛
E.以上都不是
59、单项选择题 肾静态显像的瘢痕征,不出现下列哪种表现()
A.瘢痕征大部分在肾上、下极近边缘处
B.皮质局部放射性减低
C.皮质局部放射性增浓
D.肾盂未见明显放射性增浓
E.B超、X线肾检查未见异常
60、单项选择题 为了获得高质量的断层图像,做SPECT采集时要采用()
A.尽可能小的旋转半径,以提高图像的分辨率
B.尽可能小的采集矩阵,以加快图像重建速度
C.尽可能少的投影数,以减少病人运动的影响
D.尽可能短的采集时间,以减少核素在体内代谢的影响
E.尽可能延长采集时间,以减少病人运动的影响
61、多项选择题 评价移植肾功能和血流灌注的放射性药物有()
A.(99)Tc(m)-DTPA
B.(131)I-OIH
C.(99)Tc(m)-MAG3
D.(99)Tc(m)-MIBI
E.以上都可以
62、单项选择题 肾上腺髓质显像中,下列哪种药物不会影响I—MIBG的摄取()
A.利血平
B.胰岛素
C.复方碘溶液
D.可卡因
E.三环类抗抑郁剂
63、单项选择题 癫痫灶在F-FDG的PET脑代谢显像中葡萄糖代谢表现为()
A.发作期和间歇期均增高
B.发作期和间歇期均减低
C.发作期增高,间歇期减低
D.发作期减低,间歇期增高
E.发作期增高,间歇期正常
64、单项选择题 癫痫在局部脑血流断层显像(rCBF)中的特征性表现为()
A.存在大小脑失联络现象
B.大脑皮质不同部位存在rCBF低灌注区
C.大脑皮质不同部位存在rCBF高灌注区
D.发作间期,病灶区,放射性减低,发作期病灶,放射性增高
E.发作间期,病灶区的放射性增高,发作期病灶区放射性降低
65、单项选择题
肺灌注显像剂常用99Tcm-MAA,其颗粒需控制在()
A.<10μm
B.10~60μm
C.60~100μm
D.100~300μm
E.>300μm
66、多项选择题 I去除分化型甲状腺癌术后残留甲状腺组织,禁忌证是()
A.哺乳期而不愿终止哺乳的患者
B.年龄小于25岁
C.肝、肾功能严重损害的患者
D.妊娠而不愿终止妊娠的患者
E.第1次未完全去除者
67、名词解释 邻(131)I马尿酸钠利尿肾图
68、单项选择题 在SPECT脑灌注显像中,脑梗死时出现交叉性小脑失联络征,对侧小脑表现为()
A.灌注增加
B.灌注减低
C.灌注不变
D.无灌注
E.外形增大
69、问答题 心肌代谢显像的基本原理是什么?适应证有哪些?
70、填空题 正常心功能运动试验时,EF的绝对值应比静息时增加_______%以上。
71、单项选择题 介入或负荷显像的目的是()
A.了解脏器或组织的贮备功能
B.了解脏器的血流
C.鉴别病变的良、恶性
D.提高图像的分辨率
E.加快显像剂的排泄
72、单项选择题 I的半衰期是()
A.6.02小时
B.8.04日
C.1.658小时
D.50.55日
E.109.8分钟
73、单项选择题 何种类型原发性肝癌在肝显像中不易发现占位病变()
A.巨块型
B.结节型
C.弥漫型
D.混合型
E.巨块型伴周围肝组织浸润
74、填空题 放射性核素膀胱造影时注入37MBq__________进入膀胱。
75、单项选择题
5岁患儿,反复黑便伴腹痛半年,行99TcmO3动态显像如图,诊断是()
A.小肠出血
B.Meckel憩室
C.Barrett食管
D.肠重复畸形
E.以上都不是
76、单项选择题 为了鉴别非梗阻性尿路扩张与机械性尿路梗阻需做下列哪种检查()
A.巯甲丙脯酸肾动态显像
B.利尿肾动态显像
C.肾静态显像
D.肾断层显像
E.标准肾动态显像
77、单项选择题
心肌灌注显像时201Tl与99mTcm相比()
A.201Tl被心肌细胞摄取与Na+-K+-ATP酶的活性有关
B.99Tcm-MIBI被心肌细胞摄取主要是与Na+-K+-ATP酶的活性有关
C.201Tl不能在心肌细胞内进行再次分布
D.99Tcm-MIBI能够在心肌细胞内再次分布
E.以上都不对
78、单项选择题 放射性核素肝胆显像,诊断急性胆囊炎的条件是()
A.肠道1h内没有放射性
B.肝影持续不消退
C.肝胆管呈现胆道树结构
D.胆囊持续不显影
E.肝脏摄取显像剂量低
79、问答题 简述股骨头缺血性坏死的主要原因及核素骨显像时影像特点
80、单项选择题
患者,25岁,男,突发左侧阴囊区疼痛,行Tc阴囊显像如图,正确的诊断是()
A.左侧精索静脉曲张
B.左侧急性睾丸附睾炎
C.左侧急性睾丸蒂扭转
D.左侧阴囊鞘膜积液
E.以上都不是
81、单项选择题
女,47岁。阵发性咳嗽伴右胸痛3个月。无畏寒、发热,无咳痰,无咯血,无明显体重下降,无明显盗汗。查体:体温正常,双肺可闻及干性啰音,余无特殊。胸片示右肺淡薄片影,考虑为肺炎。血常规正常,结核菌素试验阴性。多种肿瘤标志物皆阴性。诊断()

A.活动性结核
B.急性肺炎
C.肺泡癌
D.结节病
E.肺炎性假瘤
82、单项选择题 在反应堆中用中子照射靶核制备()
A.I、Mo、Xe
B.Mo、I、Cr
C.ln、Ga、Tl、I
D.F、C、O
E.以上都不是
83、问答题 正常成人与儿童的骨影像有何不同?
84、单项选择题
一患者突发心前区疼痛3小时,行运动+静息心肌灌注显像如图,正确的诊断是()

A.正常显像图
B.心梗表现
C.无存活心肌
D.广泛前壁、间壁心梗
E.以上都不是
85、单项选择题 脑肿瘤放疗术后坏死组织表现为()
A.F-FDG高摄取,Tl高摄取
B.F-FDG高摄取,Tl低摄取
C.F-FDG低摄取,Tl低摄取
D.F-FDG低摄取,Tl高摄取
E.F-FDG高摄取,C-蛋氨酸高摄取
86、单项选择题
13N-NH3进入心肌细胞的机制,下列哪项是正确的()
A.Na+-K+-ATP酶转运
B.心肌细胞主动摄取
C.自由扩散
D.心肌细胞胞饮
E.Ca2+-通道转运
87、问答题 静脉造影异常表现有何临床意义?
88、单项选择题 下列哪种疾病肾图曲线为低水平延长线型()
A.肾结核
B.肾肿瘤
C.单侧肾动脉狭窄
D.慢性肾小球肾炎(尿毒症期)
E.肾结石
89、单项选择题 肾上腺髓质分泌()
A.肾上腺素
B.去甲肾上腺素
C.乙酰胆碱
D.醛固酮
E.血管紧张素
90、问答题 试述骨显像的临床应用。
91、多项选择题
患者,男,67岁,乳糜尿1年,35岁以前居住在农村。行Tc-DX动态显像,第4分时的影像如图,描述正确的是()

A.乳糜尿
B.提示左肾肾盏处小淋巴管破裂
C.正常的腹膜后淋巴系统影像
D.注射示踪剂部位应当在双侧1、2趾蹼之间
E.右侧阴囊乳糜样囊肿
92、单项选择题 下列哪一种显像剂不能用于急性心肌梗死阳性显像()
A.99Tcm-PYP
B.99Tcm-MIBI
C.99Tcm-GH
D.99Tcm-抗肌凝蛋白单克隆抗体
E.99Tcm-MDP
93、填空题 甲状腺功能测定的试验包括:①____________,②_______________,③_____________。
94、问答题 平衡法门控核素心血池显像的适应证有哪些?
95、单项选择题 I治疗甲状腺功能亢进,门诊一次口服I的最大剂量原则上不大于()
A.370MBq
B.740MBq
C.l85MBq
D.555MBq
E.ll0MBq
96、单项选择题 急性骨髓炎ECT早期显示骨质异常的时间为发病后()
A.24~48小时
B.96小时
C.1周
D.2周
E.4周
97、问答题 肺通气显像在慢性阻塞性肺疾病诊断中有何临床意义?
98、单项选择题 放射性核素显像时射线的来源()
A.自引进被检者体内放射性核素发出
B.体外X射线穿透病人机体
C.频率为2.5~7.5MHz超声
D.宇宙射线
E.以上都不是
99、单项选择题 可诊断为甲状腺功能亢进的甲状腺激素抑制试验的抑制率为()
A.>50%
B.25%~50%
C.<25%
D.<50%
E.以上都不正确
100、问答题 脑灌注显像正常图像特征有哪些?
101、单项选择题 甲状腺扫描“温”结节最可能是()
A.良性腺瘤
B.甲状腺癌
C.甲状腺囊肿
D.腺瘤出血
E.功能自主性腺瘤
102、问答题 局部脑血流显像的基本原理。
103、单项选择题 放射性核素示踪剂技术所采用的示踪剂是()
A.酶
B.受体
C.配体
D.放射性核素或其标记化合物
E.单克隆抗体
104、问答题 唾液腺显像的原理及临床意义如何?
105、问答题 脊髓蛛网膜腔及脑池显像在神经外科分流术中的作用是什么?
106、单项选择题 带电粒子在某一长度径迹上消耗的能量与该径迹在光电效应中,γ光子()
A.通过多次散射失去能量
B.失去的能量等于光子能量减去结合能
C.失去一半能量
D.失去全部能量
E.损失的能量与物质密度有关长度之比是()
107、单项选择题 A1zheimer病SPECT脑血流灌注显像可见到()
A.轮圈征
B.分水岭征
C.月晕征
D.新月形征
E.热鼻征
108、多项选择题
男性,67岁,左下肢肿胀、疼痛3个月,行Tc-DX显像如图,描述正确的是()

A.左下肢淋巴水肿
B.左下肢淋巴侧支循环建立
C.右下肢淋巴引流大致正常
D.右下肢先天性淋巴水肿
E.左下肢继发性淋巴水肿
109、多项选择题 X综合征可表现为()
A.典型的劳累性心绞痛
B.运动心电图阳性
C.冠状动脉造影异常
D.可有201Tl心肌灌注显像异常
E.冠状动脉造影正常
110、单项选择题 下列哪种显像检查前不能服用过氯酸钾()
A.肝胆动态显像
B.胃肠道出血显像
C.异位胃粘膜显像
D.肝血池显像
E.脾显像
111、单项选择题 肺栓塞在肺显像中的典型表现为()
A.灌注显像有缺损区,通气显像正常
B.灌注显像正常,通气显像有缺损
C.灌注和通气显像均有缺损区
D.灌注和通气显像均无缺损区
E.灌注和通气显像均正常
112、问答题 首次通过法核素心血管造影诊断左心室室壁瘤有何临床意义?
113、问答题 简述胃排空功能测定的原理。
114、单项选择题 甲状腺显像中下列哪一种情况不呈现“冷结节”()
A.囊肿
B.高功能腺瘤
C.腺瘤出血
D.亚急性甲状腺炎
E.腺瘤退行性变
115、填空题 乳腺癌受体显像主要有________显像、________显像。
116、问答题 甲状腺激素抑制试验的适应证及临床意义是什么?
117、单项选择题 垂体性甲状腺功能低下的诊断,做下列哪种检查较合适()
A.甲状腺吸I试验
B.T抑制试验
C.过氯酸盐释放试验
D.TRH兴奋试验
E.TSH兴奋试验
118、单项选择题 临床用于急性骨髓炎诊断与鉴别诊断最恰当的手段是()
A.X-CT骨显像
B.ECT局部骨断层显像
C.ECT局部骨静态显像
D.ECT骨三相检查
E.ECTTc-MIBI
119、多项选择题
男,68岁,胸背痛3个月入院,行99Tcm-MDP全身骨显像、局部断层骨显像+X线图像融合如图,可能的诊断是()
A.胸9、10椎体良性压缩性骨折
B.大致正常的骨影像
C.胸9、10椎弓根受累,提示恶性病变
D.多发性骨髓瘤
E.胸9、10骨转移可能性大
120、单项选择题 一种物质机体排泄50%需要6小时,由Tc标记的这种物质制成的放射性药物的有效半衰期为()
A.3小时
B.6小时
C.12小时
D.1.5小时
E.以上都不对
121、单项选择题 肾动态显像在移植肾周围的盆腔内出现放射性浓聚,则提示移植肾出现下列哪种情况()
A.急性肾小管坏死
B.排异反应
C.尿漏
D.尿路梗阻
E.淋巴囊肿
122、单项选择题 TcO甲状腺显像的剂量是()
A.74~185GBq
B.740~1850MBq
C.74~185KBq
D.74~185MBq
E.7.4~18.5MBq
123、多项选择题
男性38岁,左图为甲状旁腺瘤术前骨显像,右图为3个月后的术后骨显像。正确的描述是()
A.左图箭头表示软组织的永久钙化
B.左图箭头表示软组织的迁徙性钙化
C.两幅图均提示代谢性骨病,右图表明术后恢复正常的骨显像
D.右图提示肾性骨营养不良
E.以上都不是
124、问答题 肾上腺皮质显像的基本原理是什么?
125、单项选择题
男,48岁,肺小细胞癌化疗中,诉全身疼痛,行全身骨显像如图,可能的诊断是()
A.广泛骨转移瘤
B.颅骨有冷区
C.大致正常的影像
D.颅骨有“甜面圈”征
E.是超级骨显像
126、问答题 简述局部脑血流显像的原理。
127、单项选择题 一瓶Tc在25cm处的计量率是64uSv/h,那么在lm处的计量率是()
A.32uSv/小时
B.16uSv/小时
C.8uSv/小时
D.4uSv/小时
E.以上都不对
128、填空题 运动心肌显像出现灌注减低,静息或延迟显像为正常,提示________。
129、单项选择题 初诊甲状腺功能亢进的患者(未用过抗甲状腺功能亢进药物治疗前),其甲状腺摄I率的典型特征是()
A.在服I后第24小时的摄I率明显升高,峰时位于第24小时
B.在服I后第24小时的摄I率低于正常范围
C.在服I后第3~6小时的摄I率高于正常范围
D.在服I后第24小时的摄I率高于正常范围且伴速度增快
E.以上都不对
130、问答题
试述99Tcm-标记抗粘蛋白单克隆抗体(McAb)用于乳腺癌的放射免疫显像(RII)诊断的原理?
131、单项选择题 下列哪种情况下,血浆皮质醇浓度不增高()
A.肾上腺皮质增生
B.肾上腺皮质腺瘤
C.肾上腺皮质癌
D.库欣综合征
E.嗜铬细胞瘤
132、单项选择题 下列何种显像剂用于脑血流灌注显像()
A.TcO
B.Tc-ECD
C.Tc-MAA
D.I-MIBG
E.Tc-MIBI
133、问答题 肝血管瘤在肝静态显像、肝血流显像和肝血池显像的影像特征是什么?
134、单项选择题 原子核是由以下哪些粒子组成的()
A.质子和核外负电子
B.质子和核外正电子
C.质子和中子
D.中子和电子
E.光子和电子
135、问答题 首次通过法核素心血管造影的基本原理是什么?
136、问答题 首次通过法核素心血管造影正常表现有哪些?
137、单项选择题 下列哪一种情况下甲状腺显像不宜用TcO作显像剂()
A.甲状腺癌
B.甲状腺自主性高功能腺瘤
C.局部甲状腺组织增生
D.甲状腺囊肿
E.诊断异位甲状腺和寻找甲状腺癌转移灶
138、问答题 Tl心肌灌注显像适应证及相对禁忌证有哪些?
139、单项选择题 心肌梗死灶显像的主要显像剂为()
A.201Tl
B.99mTc-PYP
C.99mTc-MDP
D.99mTc-WBC
E.99mTc-RBC
140、单项选择题
女,12岁,诉右下肢疼痛1周,体检无肿块,行全身骨显像如图,可能的诊断是()
A.大致正常的骨影像
B.右股骨远端骨肉瘤征象
C.右股骨骨髓炎
D.右下肢软组织蜂窝炎
E.右股骨头缺血坏死
141、单项选择题 放射性核素脑血管造影常用的显像剂为()
A.TcO
B.Tc-ECD
C.Tc-GH
D.Tc-DTPA
E.Tc-HMPAO
142、填空题 结节性甲状腺肿在甲状腺显像可表现为_______结节、_______结节、________结节、________结节。
143、问答题 I治疗甲状腺功能亢进的适应证和禁忌证有哪些?
144、单项选择题 放射性核素或其标记化合物应用于示踪剂是基于()
A.同位素有相同的化学性质
B.体内的生物学行为
C.放射性核素射线的可测性
D.A和C
E.放射性核素的衰变
145、单项选择题 全身骨显像中,常表现为假阴性的肿瘤是()
A.骨样骨瘤
B.软骨肉瘤
C.骨髓瘤
D.骨肉瘤
E.黑色素瘤骨转移瘤
146、单项选择题
针对如图箭头所示结节性质进行排序,从左到右、从上到下依次是()
A.冷结节、凉结节、热结节、温结节
B.冷结节、凉结节、温结节、热结节
C.凉结节、冷结节、温结节、热结节
D.凉结节、冷结节、热结节、温结节
E.温结节、热结节、凉结节、冷结节
147、问答题 PET如何进行心肌存活的测定?
148、单项选择题 冠心病心肌缺血时,门控心血池显像有何变化()
A.相角程增宽
B.心室舒张期功能下降
C.局部室壁运动异常
D.局部或整体EF异常
E.以上都是
149、单项选择题
一患者的99Tcm-RBC门控心血池显像时相分析如图,诊断是()

A.左心室前壁缺血
B.扩张型心肌病
C.心尖室壁瘤形成
D.左心室传导异常
E.以上都不是
150、多项选择题
34岁男,左侧髋关节外伤伴脱位半年,左下肢疼痛、跛行半个月,行双侧髋关节断层显像如图,可能的诊断是()
A.左侧股骨头缺血性坏死(早期)
B.左侧髋臼滑膜炎
C.左侧股骨头“甜面圈”征
D.左侧股骨头缺血性坏死(中期)
E.股骨头未见缺血性坏死征象
151、单项选择题 开放性的放射性工作单位的分类是以_____划分的.()
A.最大等效日操作量
B.等效年剂量
C.操作性质
D.毒性组别系数
E.以上都不是
152、单项选择题 进行脏器动态显影应选用哪一种仪器()
A.井型计数器
B.剂量监测仪
C.肾图仪
D.活度计
E.γ相机
153、单项选择题 亚临床型甲状腺功能低下时,血清T、T浓度常为正常,但TSH浓度常为()
A.正常
B.升高
C.降低
D.TRH兴奋后增高
E.明显降低
154、填空题 动力型肺动脉高压病人行扩血管药物治疗后,两肺放射性计数可____,而阻力型肺动脉高压病人两肺放射性计数____。
155、问答题 简述正常肾图及各段意义。
156、单项选择题 用多道平行孔准直器时,其源与准直器的距离_______分辨率______。()
A.增加,增加
B.增加,减低
C.减低,减低
D.减低,增加
E.均不是
157、问答题 甲状腺摄I试验有何临床意义?
158、多项选择题 过氯酸钾释放试验可用于()
A.诊断甲状腺功能亢进
B.判断甲状腺有无碘的有机化障碍
C.动态观察吸碘率
D.慢性淋巴性甲状腺炎的辅助诊断
E.以上都正确
159、问答题 脑肿瘤显像的适应证有哪些?
160、问答题 骨髓显像的异常影像有何特点?
161、多项选择题 下列关于随机效应说法正确的是()
A.随机效应研究对象是群体
B.主要有致癌效应和遗传效应
C.是辐射效应发生的概率与剂量相关的效应
D.不存在具体阈值
E.一般是在短期内受较大剂量照射时发生的急性损伤
162、问答题 脊髓蛛网膜腔及脑池显像在脊髓腔阻塞的定位诊断中有何价值?
163、单项选择题 带电粒子通过物质介质时,单位路径形成的离子对数目称()
A.电离
B.激发
C.电离本领
D.电离密度
E.以上都不是
164、填空题 肺动脉栓塞典型的肺灌注显像表现为多发的肺段性______,同期肺通气显像正常和胸部X线检查正常。
165、多项选择题 肿瘤的放射性胶体腔内治疗,适应证包括()
A.病理学检查证实有胸腹膜转移或积液中查见癌细胞
B.病情严重
C.有明显恶病质
D.体积小的包裹性积液
E.反复多次穿刺仍有积液,生存期3个月或3个月以上
166、单项选择题 放射自显影的基本原理是()
A.利用感光材料能改变物质的密度
B.放射能使感光材料分解
C.放射性核素使感光材料发光
D.利用射线能使感光材料感光
E.利用自动探测仪器测量组织中的放射性分布
167、问答题 肾脏静态显像的基本原理是什么?
168、单项选择题 下列哪一项不会造成股骨头无菌性坏死()
A.髋关节炎
B.长期大剂量使用激素
C.长期大量饮酒
D.股骨颈骨折
E.股骨颈长期错位
169、问答题 促甲状腺激素释放激素兴奋试验的原理是什么?
170、问答题 利用心肌灌注显像及运动实验如何判断心肌梗死、心肌缺血和梗死伴缺血?
171、多项选择题 天然本底辐射包括()
A.宇宙射线
B.地球辐射
C.内照射
D.X射线
E.中子
172、单项选择题 反射性交感性骨营养不良的核素骨显像的特点是下列哪一个()
A.该骨骼患处局限性放射性减低
B.该骨骼弥漫性放射性减低
C.该骨骼弥漫性放射性增高
D.该骨骼局限性放射性增高
E.以上均不是
173、问答题 利尿剂介入试验的基本原理是什么?
174、单项选择题
男,56岁,行99Tcm-MDP双手骨显像如图,X线阴性,RF阴性,ESR、CRP稍增高,UA408μmol/L,最可能的诊断是()
A.活动期类风湿关节炎
B.风湿性关节炎
C.正常的手部关节影像
D.痛风性关节炎
E.早期类风湿关节炎
175、单项选择题 影响首次通过法结果的可靠性的因素有()
A.显像剂体积过大
B.剂量太低
C.注射过慢
D.显像仪器的灵敏度较低
E.以上都是
176、多项选择题 下列何种恶性肿瘤最容易发生全身骨转移()
A.食管癌
B.乳腺癌
C.前列腺癌
D.肺癌
E.以上都不是
177、单项选择题 乳腺癌骨显像时“超级影像”是指下列哪种情况()
A.肾影明显,膀胱内放射性增多,骨影浓而清晰,软组织本底高
B.肾影不明显,膀胱内放射性很少,骨影浓而清晰,软组织本底低
C.肾影不明显,膀胱内放射性减少,骨影淡而不清晰,软组织本底低
D.肾影明显,膀胱内放射性减少,骨影淡而不清晰,软组织本底高
E.以上都不是
178、多项选择题 理想的心肌灌注显像剂应具备的条件()
A.心肌代谢的底物
B.首次通过心肌组织的摄取率高
C.不受其他药物的影响
D.心肌的摄取量与心肌局部血流量呈正比关系
E.必须是分子量小的化合物
179、单项选择题 常用的甲状腺显像剂()
A.Tl和Tc-MIBI
B.Tc-MDP和Tc-HMDP
C.TcO
D.Tc-DTPA
E.Tc-MAA
180、单项选择题 气溶胶吸入显像异常图像的表现是()
A.大气道内稍有放射性沉积
B.两侧肺野内放射性分布不均匀,不均匀区的面积小于两肺总面积的25%
C.大气道内有较多的放射性沉积
D.两肺野有25%一50%的区域放射性分布不均匀
E.大气道或小气道均有明显的放射性沉积,全肺野中表现为放射性稀疏或缺损的面积大于50%
181、问答题 脊髓蛛网膜腔及脑池显像诊断交通性脑积水有何价值?
182、单项选择题 甲状腺癌转移灶I治疗的禁忌证是()
A.分化型甲状腺癌,已有远处转移者,经检查有摄取I功能
B.未分化型甲状腺癌或检查病灶无摄取I功能者
C.甲状腺癌手术后复发或术后残留肿瘤者,经检查病灶有摄取I功能
D.病人一般状况良好,白细胞计数不低于3.0×10/L者
E.甲状腺癌不能接受手术治疗者,经检查病灶有摄取I功能
183、单项选择题 首次通过法显像时,图像上出现“脏污肺”,原因是()
A.存在右-左分流
B.存在左-右分流
C.存在心室-心房的反流
D.存在主动脉瘤
E.存在肺动脉瓣的反流
184、单项选择题 目前核素显像技术的优势是()
A.影像分辨率高
B.价格便宜
C.可显示脏器功能
D.计算机内存大
E.以上都对
185、单项选择题 未经治疗的甲状腺功能亢进病人()
A.TSH正常
B.TSH升高
C.TSH降低
D.TSH可升高可降低
E.以上都不正确
186、填空题 放射性核素脑血管造影,动静脉畸形的影像特征为:动脉相出现一过性放射性_____,较快地______,伴有静脉相_______出现。
187、多项选择题
男,68岁,肺癌术后半年,诉双下肢疼痛3个月,行全身骨显像如图,可能的诊断是()
A.双侧下肢骨骨转移瘤
B.热髌征存在
C.广泛骨转移瘤
D.双下肢肥大性骨关节病
E.以上都不是
188、单项选择题 位于甲状腺滤泡细胞与滤泡基膜之间的细胞称为C细胞或滤泡旁细胞,它分泌什么物质()
A.甲状腺激素
B.甲状腺球蛋白
C.降钙素
D.甲状旁腺激素
E.TSH
189、问答题 肾动态显像在肾功能损伤诊断中有何价值?
190、单项选择题 WHO推荐静息时,左、右心室射血分数的正常值是()
A.LVEF>50%,RVEF>40%
B.LVEF>45%,RVEF>40%
C.LVEF>55%,RVEF>50%
D.LVEF>60%,RVEF>55%
E.LVEF>50%,RVEF>45%
191、问答题 肝胶体显像得异常表现有哪些?其临床意义是什么?
192、多项选择题 诊断分化型甲状腺癌转移灶,常用检查方法()
A.检测Tg水平
B.检测CEA水平
C.检测AFP水平
D.I全身显像
E.检测TSH受体抗体水平
193、单项选择题
一患者眼、口干燥,行TcO动态显像如图,诊断是()
A.唾液腺功能正常
B.干燥综合征
C.左侧颌下腺占位
D.右叶腮腺“冷”结节
E.以上都不是
194、填空题 甲状腺吸I率降低,而T、T增高可作为______的诊断参考
195、单项选择题 骨显像中,关于股骨头缺血坏死的以下说法中,哪一个是错误的()
A.早期改变为患侧股骨头区放射性分布减低
B.“炸面圈”征象是坏死中期改变的典型表现
C.坏死晚期表现为明显的异常放射性浓聚
D.如果头/干比值明显增高,就可以十分肯定坏死诊断
E.坏死晚期的合并症为骨性关节炎,出现髋臼放射性浓聚
196、单项选择题 原发性甲状腺功能低下时,TRH兴奋试验呈()
A.过度反应
B.无反应
C.低反应
D.延迟反应
E.以上都是
197、单项选择题 肾性高血压依靠下列哪种检查进行筛选()
A.常规肾图+巯甲丙脯酸介入肾动态显像
B.常规肾图
C.标准肾动态显像
D.肾静态显像
E.利尿肾动态显像
198、单项选择题 放射免疫分析技术,最早是由谁建立的()
A.Becquerel
B.Cassen
C.YaloW
D.YaloW和Berson
E.Berson
199、单项选择题 胃排空加速的原因有()
A.甲亢
B.胃下垂
C.幽门梗阻
D.胃癌
E.甲状腺功能减退
200、单项选择题 平衡法心血池显像中,弥漫性室壁运动低下见于下列哪种疾病()
A.扩张型心肌病
B.室壁瘤
C.肥厚型心肌病
D.心肌炎
E.肺心病
201、问答题 简述理想的骨显像剂应符合的要求。
202、问答题 风湿性关节炎主要表现为:________________。
203、单项选择题 用Tc标记物做快速动态采集时,最好选用_______准直器()
A.低能高灵敏
B.低能高分辨
C.平行孔通用
D.针孔
E.高能通用
204、问答题 核素骨显像的异常表现有哪些?
205、填空题 淋巴显像时,淋巴结长时间不显影,或淋巴链影中断伴远端放射性滞留,或出现侧支影像,或出现示踪剂反流,呈淋巴管影扩张,或肝脏不显影,皆提示_______________。
206、单项选择题
男,46岁,诉右下肢疼痛,跛行2个月,行全身骨显像如图,可能的诊断是()
A.右侧股骨下端骨转移瘤
B.右股骨下端浓聚灶中含放射性稀疏区
C.右股骨含溶骨性病变
D.右侧股骨下端原发骨肿瘤改变征象
E.右侧髋臼转移瘤征象
207、填空题 脾的网状内皮细胞具有拦截和破坏衰老或受损伤的红细胞的功能。当放射性核素标记____________注入静脉后,将被拦截在脾内而可使脾显影,影像清晰。
208、问答题 淋巴显像在恶性肿瘤淋巴转移诊断中的临床意义是什么?
209、问答题 脑葡萄糖代谢显像的基本原理、适应证是什么?
210、问答题 心脏运动负荷试验心血池显像有何临床意义?
211、单项选择题 1957年谁研制出第一台γ相机()
A.Cassen
B.Anger
C.Curie
D.DavidKubl
E.YaloW
212、问答题 首次通过法核素心血管造影诊断上腔静脉阻塞综合征有何临床意义?
213、填空题 对于可疑的冠心病或心肌缺血病人,需常规进行_____试验心肌显像,以提高诊断的灵敏度和特异性。
214、单项选择题 肾血管性高血压时,巯甲丙脯酸介入的肾图较无介入时()
A.改善
B.明显好转
C.无变化
D.变差
E.伴ERPF值增高
215、问答题 肺癌阳性显像如何进行结果判断?
216、多项选择题 批间质控最常用的作图是()
A.SheWart图
B.Cusum图
C.标准曲线
D.精密图
E.以上均正确
217、单项选择题 当在颈部行常规甲状腺显像,未见甲状腺显影,结合XCT等其他影像检查疑有异位甲状腺的患者,应选择下列哪种显像剂来确诊异位甲状()
A.TcO甲状腺血流动态显像
B.Tc-MIBI甲状腺亲肿瘤显像
C.I异位甲状腺显像
D.I甲状腺激素抑制显像
E.以上都不对
218、填空题 肺灌注显像时静脉注入直径10~100μm的放射性颗粒最常应用的是__________。
219、单项选择题 采用不通过血脑屏障的脑显像剂进行脑静态显像阳性病灶放射性一般表现为()
A.减低区
B.缺损区
C.增高(浓聚区)
D.正常
E.不浓聚
220、单项选择题 肝脏胶体显像剂静脉注射后由肝内下列哪种细胞摄取而显影()
A.肝细胞
B.肝巨噬细胞
C.胆管细胞
D.肝癌细胞
E.血管上皮细胞
221、多项选择题
3岁男童,行TcO甲状腺静态显像如图,描述正确的是()
A.先天性甲状旁腺功能减退
B.摄锝功能增强是早期甲状旁腺功能减退的特点
C.甲状腺存在
D.可能为甲状腺功能亢进
E.可能为亚甲炎
222、多项选择题 超级影像可见于下列哪些疾病()
A.乳腺癌
B.前列腺癌
C.软骨病
D.甲状旁腺功能亢进
E.肾性骨营养不良
223、单项选择题 核素骨显像较X线检查提前多长时间发现有恶性肿瘤骨转移。()
A.0.5~1个月
B.2个月
C.3~6个月
D.7~9个月
E.9~12个月
224、填空题 核素显像泌尿系统检查包括:①__________;②__________;③__________;④__________。
225、单项选择题 继发于下丘脑的甲状腺功能低下,TRH兴奋试验呈()
A.过度反应
B.延迟反应
C.正常反应
D.低或无反应
E.以上都是
226、单项选择题 诊断原发性甲状腺功能减退症的灵敏指标是()
A.TSH增高
B.T降低
C.吸I率降低
D.TGAb、TMAb增高
E.TSH下降
227、单项选择题 哪一项不是局部脑血流断层显像在诊断脑梗死方面的优势()
A.可较X-CT早期诊断
B.发现病灶较X-CT大
C.发现病灶较X-CT多
D.影像较X-CT清晰
E.可发现远期效应
228、单项选择题 以下哪项不是肺灌注显像的适应证()
A.肺动脉床极度受损者
B.肺动脉栓塞的早期诊断
C.移植肺的监测
D.原因不明的肺动脉高压
E.大动脉炎综合征累及肺血管者
229、多项选择题
一患者的99Tcm-MIBI心肌灌注显像如图,正确的诊断是()

A.心梗表现
B.心梗区无存活心肌
C.心尖室壁瘤
D.无室壁瘤形成
E.以上都不是
230、单项选择题
一患者的TcO显像及Tc-MIBI显像如图,正确的诊断是()
A.左叶功能自主性甲状腺腺瘤
B.先天性右叶缺如
C.左叶非功能自主性甲状腺腺瘤
D.左叶孤立性温结节
E.左叶孤立性冷结节
231、单项选择题 兴奋值为下列哪一项时,甲状腺兴奋试验为兴奋()
A.5%~10%
B.<5%
C.>10%
D.>2%
E.>3%
232、多项选择题
一男性病人的99Tcm-MIBI运动-静息心肌灌注显像如图,可能的诊断是()

A.左心室无心肌缺血
B.左心室前壁缺血
C.左心室心尖缺血
D.左心室前侧壁缺血
E.左心室后壁缺血
233、多项选择题
一反复黑便患者,行99Tcm腹部显像如图,正确的诊断是()
A.箭头示异位胃粘膜征象
B.可能是Meckel憩室
C.可能是Barrett食管
D.可能是肠重复畸形
E.以上都不是
234、单项选择题 局部脑血流量的调节,通过以下方式实现()
A.改变动脉血压
B.改变局部葡萄糖浓度
C.开放局部吻合支
D.改变小动脉阻力
E.改变局部氨基酸浓度
235、单项选择题 甲状腺功能亢进内科药物治疗应经常复查()
A.吸碘功能测定
B.血清FT、FT测定
C.甲状腺显像
D.肝肾功能
E.以上都正确
236、单项选择题
一患者Tc-MAA下肢深静脉显像如图,正确诊断是()

A.双下肢深静脉回流通畅
B.右下肢股静脉血栓形成
C.左下肢深静脉栓塞伴新鲜血栓
D.下腔静脉血栓形成
E.以上都不是
237、问答题 肾功能动态显像正常表现有哪些?
238、问答题 用于消化道出血显像的显像剂有哪些类型?其应用范围有何不同?
239、问答题 PET在痴呆症诊断中有何临床意义?
240、单项选择题 肺灌注显像中为较好地观察左下肺动脉的血流情况,应采取的检查体位是()
A.ANT(前后位)
B.POST(后位)
C.左侧位
D.左前斜位
E.30°左后斜位
241、多项选择题 静态图像分析的要点是()
A.脏器位置
B.形态
C.大小
D.放射性分布
E.时相变化
242、多项选择题 受体调节的变化可以是()
A.受体数量的增加或减少
B.同系调节
C.异系调节
D.配基亲和力的升高或降低
E.以上均不正确
243、单项选择题 肾上腺皮质分泌()
A.糖皮质激素和盐皮质激素
B.糖皮质激素和性激素
C.盐皮质激素和性激素
D.糖皮质激素和性激素及盐皮质激素
E.肾上腺素和去甲肾上腺素
244、单项选择题 诊断TIA最好选用()显像。
A.rCBF
B.脑血管动态
C.脑静态
D.脑池
E.脑室
245、多项选择题 常用的SPECT心肌灌注显像方案()
A.201Tl运动-再分布显像法
B.99Tcm-MIBI运动-静息隔日显像法
C.99Tcm-MIBI运动-静息一日显像法
D.99Tcm-MIBI运动显像法
E.99Tcm-MIBI静息显像法
246、单项选择题
患者,男,34岁,左腰痛4年,行I-邻碘马尿酸肾图检查,诊断是()
A.右侧尿路梗阻
B.左肾重度积水
C.左肾无功能征象
D.左肾功能轻度受损
E.以上都不是
247、问答题 肺通气与灌注显像联合应用在肺栓塞诊断中有何临床价值?
248、问答题 心肌显像的适应证是什么?
249、填空题 最常见的异位胃粘膜好发于胃以外消化道,包括____和____及____。
250、单项选择题 下列哪一种心肌灌注显像剂,在心肌中具有再分布特点()
A.201Tl
B.99Tcm-特丁基异腈(TBl)
C.99Tcm-甲脂异丙基异腈(CPI)
D.99Tcm-MIBI
E.99Tcm-双肟的硼酸化合物(商品名为Teboroxime)
251、填空题 左向右分流特点是最初的右心相和肺相正常,但当左心相出现时右心相重复显影,进而______持续显影,称为_________,简称脏污肺,同时主动脉影像较淡。
252、单项选择题 肋骨出现点状放射性异常浓聚呈线形排列,首先考虑()
A.骨折
B.转移性骨肿瘤
C.多发性骨髓瘤
D.肾性骨营养不良
E.以上都不对
253、多项选择题 图像重建滤波器的截止频率选择要点包括()
A.图像计数越高,截止频率越高
B.图像矩阵越大,截止频率越低
C.探头分辨率越好,截止频率越高
D.图像矩阵越大,截止频率越高
E.探头分辨率越好,截止频率越低
254、单项选择题 Tc的γ射线能量为()
A.250keV
B.140keV
C.511keV
D.110keV
E.811keV
255、单项选择题 甲状腺自身抗体TGAb,和TMAb强阳性常见于()
A.亚急性甲状腺炎
B.甲状腺髓样癌
C.甲状腺囊肿
D.急性甲状腺炎
E.慢性淋巴细胞性甲状腺炎
256、单项选择题 采用不通过血脑屏障显像剂的脑静态显像中脑梗死阳性发现多见于起病后()
A.第1天内
B.第1周内
C.第2~4周
D.第5周后
E.第6周后
257、单项选择题 根据我国医学专业学位的设置,核医学属于()
A.影像医学
B.影像诊断医学
C.放射医学
D.影像医学与核医学
E.以上均不对
258、多项选择题
一女性患者的Tc-DTPA肾动态显像如图,对此影像可能的诊断是()
A.左肾积水
B.左肾功能受损
C.右肾积水
D.右肾功能受损
E.右侧上尿路梗阻
259、单项选择题 晶体探测器产生与射线能量_________的荧光()
A.呈正比例
B.呈反比例
C.反比例方程
D.不受影响
E.呈对数关系
260、问答题 如何用I治疗甲状腺癌转移?
261、问答题 肾脏静态显像的基本原理是什么?
262、问答题 PET脑显像正常影像表现有哪些?
263、单项选择题 甲状腺的自身调节是指()
A.促甲状腺释放激素对促甲状腺素的作用
B.促甲状腺素对甲状腺的作用
C.适应食物中碘含量变化以调节腺泡细胞摄取和浓缩碘的能力
D.甲状腺素对促甲状腺素的负反馈作用
E.甲状腺激素对促甲状腺激素和促甲状腺素释放激素的负反馈作用
264、单项选择题
201Tl作为心肌显像剂下列哪些描述不正确()
A.由回旋加速器生产
B.物理半衰期为74小时
C.1次注药后能获得负荷和静息心肌血流灌注影像
D.有再分布
E.允许1次给予较大剂量,影像质量好
265、单项选择题 下列哪项是放射免疫显像的禁忌证()
A.早期癌肿
B.血清人抗鼠抗体阳性
C.手术后复发
D.久病体弱
E.癌肿广泛转移
266、多项选择题
2岁男孩,下消化道出血4天,行TcO腹部显像如图,可能的诊断是()
A.异位胃粘膜
B.Meckel憩室
C.Barret食管
D.肠重复畸形
E.未见异位胃粘膜
267、多项选择题
女性,51岁,高血压病,行门控心血池显像如图,描述正确的是()

A.左室LVEF大致正常
B.振幅图左心室呈反“C”型
C.左右心室收缩基本同步,协调
D.有室壁瘤峰存在
E.若弥漫性室壁运动减低,提示扩张型心肌病可能
268、问答题 简答癫痫患者在发作期和发作间歇期局部脑血流显像的影像表现。
269、问答题 过氯酸钾释放I试验的基本原理是什么?
270、单项选择题
一患者99Tcm-MAA下肢深静脉显像如图,正确诊断是()

A.双下肢深静脉回流通畅
B.右下肢股静脉血栓形成
C.左下肢深静脉栓塞伴新鲜血栓
D.下腔静脉血栓形成
E.以上都不是
271、单项选择题 肺肿瘤在肺显像中的典型表现为()
A.(99m)Tc-MAA灌注显像中有缺损区,而(99m)Tc-DTPA气溶胶吸入显像中无缺损区
B.(99m)Tc-MAA灌注显像中无缺损区,而(99m)Tc-DTPA气溶胶吸入显像中有缺损区
C.(99m)Tc-MAA灌注显像和(99m)Tc-DTPA气溶胶吸入显像均表现有缺损区
D.(99m)Tc-MAA灌注显像中有缺损区,(99m)Tc-DTPA吸入显像中有增高区
E.(99m)Tc-MAA灌注显像中有增高区,而(99m)Tc-DTPA气溶胶吸入显像有缺损区
272、单项选择题 对于患者的防护,核医学医生最关心的是()
A.实践的正当性与防护的最优化
B.患者的年龄与体质
C.患者的受照射剂量
D.医务人员的受照剂量
E.患者排出物的收集管理
273、单项选择题 分化型甲状腺癌转移灶I显像阳性,提示()
A.癌细胞分化程度高,预后好
B.癌细胞分化程度低,预后差
C.癌细胞糖代谢活跃
D.癌细胞失分化
E.癌细胞未分化
274、单项选择题
女性、32岁,发现颈前包块1个月,触诊质硬,sTSH<0.01mIU/L。行TcO甲状腺显像如图,最可能的诊断是()
A.先天性甲状腺缺如
B.桥本氏病
C.亚急性甲状腺炎
D.舌骨下异位甲状腺
E.甲状腺功能低下
275、单项选择题 核素肾功能检查时,下列哪种情况最适合做利尿试验()
A.检查前30min饮水300ml,保证有足够的尿量
B.排尿后开始检查
C.肾图b段上升斜率差,曲线缓慢上升,未见下降的c段
D.肾动态显像肾盂影浓而扩大、消退极慢
E.肾内有占位性病变
276、多项选择题 使用下列显像剂过程中何种显像能观察到脾影()
A.99Tcm-胶体
B.99Tcm-EHIDA
C.99Tcm-植酸盐
D.99Tcm-RBC
E.99Tcm-PMT
277、填空题 冠状动脉造影与心肌灌注显像二者分别反映______的和_____的两种不同参数。
278、填空题 室间隔缺损则只有___________,右房首次显影后不再重复显影;动脉导管未闭由于血流的异常通道在主动脉与肺动脉之间,故无右心重复显影,仅有"脏污"现像
279、多项选择题
患者67岁,行Tc-MIBI门控心肌显像如图,可能的诊断是()

A.下后壁心肌梗死
B.下后壁室壁运动弥漫性低下
C.心功能四级
D.心肌血流灌注正常
E.以上都不是
280、单项选择题
一患者的静息平衡法门控心室显像如图,正确的诊断是()

A.心尖缺血
B.心尖室壁瘤
C.扩张型心肌病
D.肥厚型心肌病
281、填空题 胃排空显像剂的基本要求是进入胃后不被胃粘膜____和____,不被胃液或胃运动____和____。临床常用显像剂可分为______、______和____。
282、单项选择题 甲状腺髓样癌起源于甲状腺滤泡旁细胞,血清哪种激素浓度
A.甲状旁腺激素
B.甲状腺激素
C.肾上腺素
D.降钙素
E.内皮素
283、单项选择题 在体外放射分析中,不能作为特异性结合剂的物质是()
A.抗体
B.受体蛋白
C.聚乙二醇(PEG)
D.酶蛋白
E.以上都不是
284、单项选择题 Tc配套药盒中SnCl的作用是()
A.将高价态Tc氧化为低价态
B.增加Tc标记药物的稳定性
C.消除由于HO辐射分解产生的氧化性自由基
D.防止放射性药物中Tc被空气氧化
E.调节放射性药物标记的pH值
285、单项选择题 心室壁瘤在位相直方图中特征性表现为()
A.相角程缩小
B.相角程增宽
C.心室峰增高
D.出现附加峰
E.心室峰减低
286、问答题 运动负荷试验的适应证有哪些?
287、单项选择题
女,54岁,左胸前阵发性压榨性痛4月余就诊,Holter正常,行99Tcm-MIBI运动-静息心肌灌注显像如图,最可能的诊断为()

A.左心室心尖梗死
B.左心室前间壁缺血
C.左心室无心肌缺血
D.左心室后壁缺血
E.左心室前侧壁缺血
288、单项选择题 放射免疫分析的必备条件()
A.符合一定质量要求的放射性核素标记的抗原
B.高纯度的标准品和高质量的特异性抗体
C.合适的B与F分离技术
D.放射性测量仪器
E.以上均是
289、多项选择题
男,42岁,胆囊癌术后1年,无明显不适,行全身骨显像如图,可能的诊断是()
A.多发骨转移改变征象
B.大致正常的影像
C.无明显“冷区”改变
D.有“甜面圈”征象
E.有“领带征”
290、单项选择题 癫痫发作期癫痫灶表现为()
A.局限性放射性分布稀疏、降低或缺损
B.局限性放射性分布浓聚、增高
C.脑结构紊乱
D.脑萎缩
E.异位放射性分布
291、多项选择题 放射性核素治疗是利用在机体内能高度选择性地聚集在病变组织内的放射性药物。一般选用放射性核素()
A.放射线射程短
B.对生物组织的局部损伤作用强,全身辐射少
C.一般为β射线
D.处于研究中有潜在优势的射线、俄歇电子
E.以上均不对
292、单项选择题 下列哪一种甲状腺结节恶性可能性较大()
A.热结节
B.温结节
C.凉结节
D.冷结节
E.以上均不可能
293、单项选择题
17岁男孩,突发黑便3天,行99TcmO3腹部显像如图,正确的诊断是()
A.箭头所示异位胃粘膜
B.箭头所示Barrett食管
C.箭头所示肠重复畸形
D.箭头所示Meckel憩室
E.以上都不对
294、单项选择题 在体外放射分析的质量控制中,质控样品或质控图的作用是()
A.用于批间、批内质控和外部质控
B.仅用于外部质控
C.仅用于内部质控
D.评价方法的灵敏度
E.仅用于实验室间的评价
295、单项选择题 肺灌注显像注入显剂颗粒数宜为()
A.1~10万个
B.10~20万个
C.20~70万个
D.70~120万个
E.120万个以上
296、单项选择题
一患者的99Tcm-MAA下肢深静脉早期、延迟显像如图,正确的诊断是()

A.双下肢深静脉回流通畅
B.下腔静脉堵塞
C.右下肢股静脉处血栓形成
D.左下肢股静脉处血栓形成
E.以上都不是
297、问答题
(1)上述症状应首先考虑哪个诊断?
(2)为了进一步明确诊断,应选择哪些对本病最有诊断价值的检查方法?
(3)脑CT及F-FDG脑代谢显像所示如图,请描述CT、F-FDG检查结果并作出诊断。
(4)拟订一个个体化的治疗方案。
298、多项选择题 放射化学纯度不高,游离的Tc及没有分解产物和杂质被标记上,将造成下列影响()
A.靶器官以外的组织显影,影响靶/非靶比率
B.严重影响图像质量
C.造成图像伪影
D.增加病人的辐射剂量
E.以上都对
299、问答题 简述影响骨显像质量的因素。
300、填空题 交通性脑积水是由于蛛网膜下腔引起脑脊液循环_______或吸收_____,脑池显像可见脑室______显影而消退缓慢,脑池显像影像呈______状。