时间:2025-01-14 01:26:42


1、单项选择题 宫腔回声显著增强常见于()①子宫内膜肥厚②子宫内膜息肉③异位妊娠④早期宫内妊娠⑤子宫肌瘤玻璃样变性⑥宫腔积液
A.①②③
B.①②③④
C.①②③④⑤
D.①②③④⑤⑥
E.①②④⑥
2、单项选择题
下图为宫内孕囊声像图,可见心管搏动,该胎儿至少大于多少周()
A.6周
B.9周
C.10周
D.12周
E.8周
3、单项选择题
超声引导穿刺的精确性的影响因素()
①超声仪分辨率
②声束厚度
③穿刺目标大,影响不明显
④穿刺目标大,影响明显
⑤穿刺目标小,影响不明显
⑥穿刺目标小,影响明显
A.①②③⑥
B.①②④⑤
C.①②④⑥
D.①②③⑤
E.②③④⑥
4、单项选择题 实质性病变的声像图中,哪项错误()
A.边缘光滑或不光滑
B.外形规则或不规则
C.内部无回声衰减
D.后方回声不变或减弱
E.侧方声影有或无
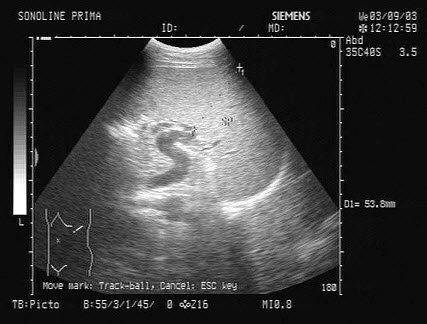
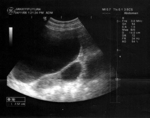
5、单项选择题
某患者脾脏声像图表现如图,诊断为()
A.正常脾脏
B.脾大
C.脾破裂
D.脾梗死
E.以上都不是
6、单项选择题 传统的前列腺分叶方法将前列腺分为()
A.2叶
B.3叶
C.4叶
D.5叶
E.6叶
7、单项选择题 腮腺的超声检查方法,最适宜的是()
A.采用7~10MHz频率探头,多切面进行检查
B.理发后,多切面进行检查
C.空腹进行多切面检查
D.主要观察腮腺的血管及神经分布
E.进行纵切面检查
8、单项选择题 凸阵扫描探头,临床常用于何部位的检查()
A.腹部
B.乳房
C.睾丸
D.甲状腺
E.头颅
9、问答题 肾上腺嗜铬细胞瘤的声像图表现有哪些?
10、单项选择题
超声探查,子宫旁边有一类似肾脏的光团,最可能诊断为()
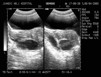
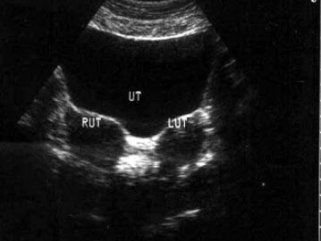
A.游走肾
B.异位肾
C.肾下垂
D.融合肾
E.盆腔占位
11、单项选择题 区分左、右肝叶的标志有()①肝正中裂②肝中静脉③静脉韧带④镰状韧带
A.①
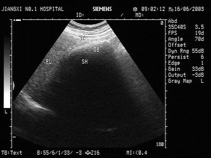
B.①②
C.③
D.③④
E.④
12、单项选择题 下列不符合双胎双顶径测量特点的是()
A.双胎之间双顶径差应在4mm之内
B.双胎之间双顶径的差应在1~2cm之间
C.双胎中甲胎比乙胎双顶径小6mm,应认为甲胎宫内发育迟缓
D.双胎双顶径稍小于单胎双顶径
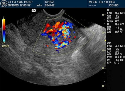
E.双胎双顶径稍大于单胎双顶径
13、单项选择题
患者,右下腹压痛,体温38.5℃。根据右下腹声像图表现,诊断是()
A.腹膜炎
B.结肠癌
C.阑尾脓肿
D.单纯性阑尾炎
E.腹水
14、单项选择题 人体组织和体液中,哪一种最少引起声衰减()
A.血液
B.胆汁
C.皮下脂肪
D.肌肉
E.肝脏
15、单项选择题 实验:抽取静脉血液10ml分别置于A和B试管内。然后,在B管内加入数滴抗凝剂肝素,轻轻混匀,用瓶塞塞紧试管口,静置数分钟。将有塞A试管剧烈震荡,使血液与空气混合后静置。分别超声检查发现以下现象,请指出何种现象不可能出现()
A.非抗凝血液试管A出现凝血块,回声增多
B.抗凝血液内部回声无明显增多(试管B)
C.因抗凝药与血液混合,回声明显增多(试管B)
D.抗凝血液振荡后回声明显增多
E.抗凝血液振荡后回声明显增多,回声因静置而略减少
16、单项选择题
如图,正常甲状腺中部横切面的超声声像图,中央气管环状软骨前方组织为()
A.甲状腺峡部
B.皮下组织
C.甲状旁腺
D.淋巴结
E.以上均不对
17、单项选择题
男,64岁,右上腹反复疼痛不适数10年,加重5天。声像图如图所示,诊断为()
A.肝内钙化带
B.胆囊充满型结石并萎缩性胆囊炎
C.胆囊蛔虫
D.肠襻回声
E.胆囊癌
18、单项选择题 彩色多普勒血流显像仪的性能,下列哪项与之无关()
A.空间分辨力,速度分辨力,动态分辨力
B.细小血管低速血流检测灵敏度
C.图像及血流彩色均匀性
D.彩色血流的充盈度
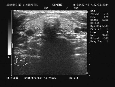
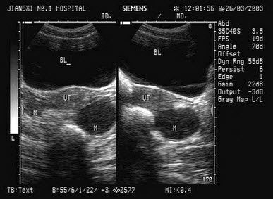
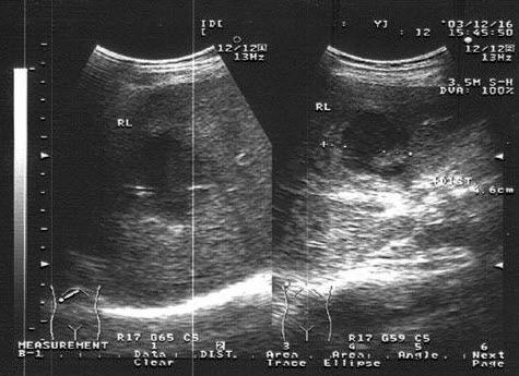
E.彩色标图的形状
19、单项选择题 女性腹腔最低部位是()
A.子宫直肠窝
B.肝肾间隙
C.膀胱直肠窝
D.脾肾间隙
E.以上都不是
20、单项选择题 频谱多普勒超声检测到从零位基线向上的血流频谱,表明血流是()
A.反向的动脉血流
B.反向的静脉血流
C.流向探头的血流
D.背离探头的动脉血流
E.背离探头的静脉血流
21、单项选择题 M型超声显示二尖瓣前叶DE幅度减低,EF斜率减慢,EPSS增大且前后叶呈同向运动,此时最可能的诊断是()
A.二尖瓣脱垂
B.二尖瓣关闭不全
C.二尖瓣狭窄
D.二尖瓣上赘生物形成
E.二尖瓣环钙化
22、单项选择题 下列哪项表现与结节性甲状腺肿无关()
A.甲状腺不规则,非对称性增大
B.实质回声增粗,内呈多个中等偏强回声结节
C.结节内可见液性暗区、强光点
D.CDFI显示血流丰富,血流呈花环状包绕结节,并有细小分支伸入结节内
E."冲洗征"
23、单项选择题 中晚期妊娠无痛性阴道出血的最常见的原因是()
A.创伤
B.前置胎盘
C.胎盘早剥
D.异位妊娠
E.子宫收缩
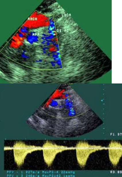
24、单项选择题 动脉导管未闭超声诊断的主要根据是()
A.肺动脉增宽
B.主动脉增宽
C.从降主动脉向肺动脉有收缩期分流血流
D.从降主动脉向肺动脉有双期分流血流;舒张期明显。
E.肺动脉内检出收缩期血流明显大于舒张期血流
25、单项选择题 低频探头的特点是()
A.波较长和穿透力较大
B.波较短和穿透力较大
C.波较短和穿透力较弱
D.波较长和穿透力较弱
E.较差的分辨力和较差的穿透力
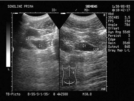
26、单项选择题
女,27岁,下腹部疼痛数月,体检:右侧附件区增厚、增大,B超检查如图所示,最可能的诊断为()
A.右侧卵巢囊肿
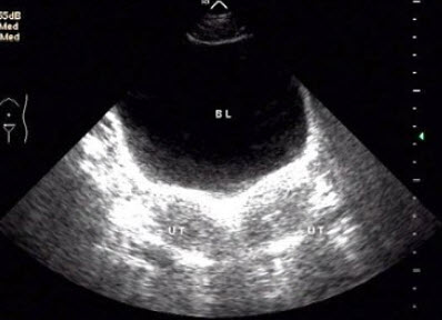
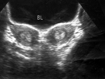
B.右侧输尿管扩张
C.右侧输卵管积液
D.盆腔积液
E.以上都不是
27、单项选择题 肝内血管纹理减少最常见于()
A.肝硬化
B.门静脉梗阻性疾病
C.布加综合征
D.急性重症肝炎
E.脂肪肝
28、单项选择题 关于多普勒超声的描述,下列哪一项是错误的()
A.主要分为连续波和脉冲波多普勒
B.脉冲波多普勒具有距离选通性
C.连续波多普勒不具有距离选通性
D.脉冲多普勒,脉冲重复频率越高,可测量血流速度越高
E.显示多普勒频谱可直接测出血流量
29、单项选择题
甲状腺肿大常见于下列哪些疾病及声像图表现()
①单纯性甲状腺肿大,轻度肿大,内回声均匀
②单纯性甲状腺肿大,中度以上肿大,内回声不均
③地方性甲状腺肿,不同程度肿大,早期内回声均质,晚期呈大小不等无回声
④地方性甲状腺肿,轻度肿大,内回声均匀
⑤毒性甲状腺肿,普遍性增大低回声,CDFI呈火海征,高速低阻;Vmax70~100cm/s
⑥毒性甲状腺肿,呈结节性增大中等回声,血供不丰富
⑦结节性甲状腺肿大,不对称不均匀增大,内有多个结节,无包膜,有液化呈无回声,CDFI内有丰富的血流信号
⑧结节性甲状腺肿大,对称性均匀增大,很少液化,CDFI内未见血流信号
A.②④⑥⑧
B.①③⑤⑦
C.①④⑤⑧
D.②③⑥⑦
E.④⑤⑥⑦
30、单项选择题 关于眼球赤道部扫查的描述,正确的是()
A.眼球尽量向上看,探头与眼球赤道平行扫查,可检出晶体、角膜、玻璃体腔、球壁、球后脂肪
B.眼球尽量向下看,探头与眼球赤道平行扫查,可检出玻璃体腔、球壁、球后脂肪
C.眼球尽量向前看,探头与眼球赤道平行扫查,仅可检出玻璃体腔
D.眼球尽量向下看,探头与眼球赤道平行扫查,仅可检出玻璃体腔
E.以上各项均是
31、单项选择题 约孕几周时能辨清胎儿肾脏内部结构()
A.12周
B.16周
C.20周
D.24周
E.14周
32、单项选择题 子宫内膜异位症的临床表现有()①月经失调②痛经③不孕症④大便坠胀
A.①②
B.①②③
C.①②③④
D.②
E.②③④
33、单项选择题 检查心血管病如瓣膜狭窄,彩色多普勒血流成像的彩色图(colormap)应选择下列什么模式()
A.选择低速度标尺的彩色图
B.选择红黄绿三色彩色图
C.用零位基线移动显示一种彩色的彩色图
D.选择两色彩色图
E.以上都不是
34、单项选择题 彩色血流频移大于1/2PRF(脉冲重复频率)时出现折返,这称为()
A.Nyquist(内奎斯特)极限
B.快速傅立叶变换
C.运动目标显示器(MTI)
D.自相关技术
E.彩色血流显像的滤波
35、单项选择题
男,48岁,上腹胀痛,纳差,血吸虫病多年。结合超声声像图,诊断为()

A.血吸虫肝纤维化
B.脂肪肝
C.细菌性肝脓疡
D.肝豆状核变性
E.肝炎
36、单项选择题 心肌收缩特性不包括哪项内容()
A.心肌收缩性能
B.心脏泵血能力
C.心脏后负荷
D.心室顺应性
E.心脏前负荷
37、单项选择题 先天性两侧肾脏下极相连接的称为()
A.马蹄肾
B.肾柱肥大
C.驼峰征
D.重复肾
E.一侧肾缺如
38、单项选择题
女性,40岁,反复下腹部疼痛、白带异常3年余。超声检查如图,最可能的诊断为()
A.输卵管积液
B.囊腺瘤
C.畸胎瘤
D.子宫肌瘤
E.附件囊肿
39、单项选择题 脐带绕颈时,脐动脉血流A/B是多少提示胎儿宫内窘迫()
A.>3.0
B.2.5~3.0
C.2.0~2.5
D.1.5~2.0
E.1.0~1.5
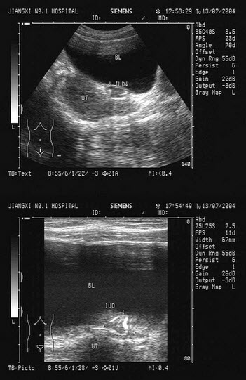
40、单项选择题 宫内避孕器的并发症包括()
A.子宫肌层嵌顿
B.节育器穿孔、外游
C.子宫穿孔
D.盆腔积液
E.以上各项均是
41、单项选择题 超声检查断面包括()。
A.纵断面
B.横断面
C.斜断面
D.冠状断面
E.以上都正确
42、单项选择题 膀胱内血块和膀胱肿瘤的最佳鉴别方法是()
A.变换体位后团块可否移动
B.用彩色和频谱多普勒检测有无血流
C.区别二者内部回声的特点
D.A+B
E.A+C
43、单项选择题 下列子宫肌瘤病理特点和声像图的表现,哪一项是错误的()
A.肌瘤由平滑肌与纤维结缔组织交叉组成
B.肌瘤周围有被压缩的肌纤维所组成的假包膜
C.假包膜与肌瘤间有疏松的结缔组织
D.肌瘤变性时,声像图可为圆形无回声区
E.肌瘤结节多呈圆形无回声区
44、多项选择题 USG检查易于显示哪些肾的先天性畸形()
A.重复肾
B.异位肾
C.融合肾
D.孤立肾
E.肾旋转不良
45、单项选择题 能量多普勒在移植肾排异的声像图特点()
A.显示移植肾血管树丰富完整,肾皮质内小叶间动脉可显示
B.显示移植肾血管异常丰富,肾皮质内小叶间动脉显示异常清晰
C.移植肾内血流信号明显减少,血流断续呈星点状或斑块状
D.移植肾血管树显示完整,皮质内小叶间动脉显示不清晰
E.移植肾内血管信号丰富
46、单项选择题 以下哪条不符合主动脉瓣关闭不全超声表现()
A.左心室增大
B.左室流出道变窄
C.室壁活动幅度增大
D.主动脉运动幅度增大
E.主动脉瓣关闭呈双线
47、单项选择题 胎盘部分分布在子宫下段,接近于宫颈内口,称为下列哪种前置胎盘()
A.中央性
B.边缘性
C.低置
D.部分性
E.以上都不是
48、单项选择题 当声频在20kHz以上的我们称为()
A.超声
B.次声
C.可听声
D.不可听声
E.以上均不是
49、单项选择题 在诊断胆石过程中,下列哪种情况最易出现假阴性结果()①有一个巨大孤立的结石②胆囊小③石头嵌顿于胆囊管
A.①②③
B.①
C.②
D.③
E.①③
50、单项选择题 室间隔前2/3部分由下列哪支冠脉供血()
A.左旋支
B.右主干支
C.右后降支
D.左前降支
E.对角支
51、单项选择题
该食管超声心动图显示图像为()

A.房间隔缺损(上腔型)
B.房间隔缺损(下腔型)
C.房间隔缺损(中央型)
D.房间隔缺损(混合型)
E.冠状静脉窦扩张
52、问答题 肾上腺皮质腺瘤的声像图表现有哪些?
53、单项选择题 超声对软组织肿块的检查,观察的主要内容是()
A.包膜是否完整
B.内部回声是否均匀
C.生长方式
D.血流多寡及类型
E.以上都是
54、单项选择题 扫查锁骨下动脉较适宜的探头频率是()
A.2.0MHz
B.2.5MHz
C.5.0MHz
D.10.0MHz
E.12MHz
55、单项选择题 以下哪一项不是膝关节积液的声像图表现()
A.关节囊明显扩张,关节腔增宽,呈无回声区,内有短带状或团块状强回声
B.髌上间隙及髌前囊内有少量无回声区
C.关节滑膜增厚,呈结节状或团块状略强回声突向关节腔
D.半月板间隙宽大,可见两个强回声界面间有一低回声带
E.关节周围软组织肿胀
56、单项选择题 先天性肾缺如又称()
A.特发性肾病
B.融合肾
C.重复肾
D.肾发育不全
E.游走肾
57、单项选择题 A型超声是指()
A.振幅调制型
B.辉度调制型
C.彩色血流显像
D.多普勒血流频谱显示
E.以上都不是
58、单项选择题 慢性淋巴性甲状腺炎(桥本氏病)的超声声像图表现是()
A.甲状腺峡部明显增厚,回声低,血流丰富
B.甲状腺正常大小,回声低,血流丰富
C.甲状腺正常大小,回声低,分布均匀,血流不丰富
D.甲状腺轻度肿大,回声低,分布不均匀,血流不丰富
E.甲状腺轻度肿大,回声强,分布不均匀,血流不丰富
59、单项选择题 超声诊断右室双出口哪一项是错误的()
A.主动脉骑跨<50%
B.右室壁增厚
C.右室增大
D.主动脉骑跨>70%
E.室间隔缺损
60、单项选择题 子宫中央条状增强回声及其周围低回声暗带是下列哪组结构的声像图表现()
A.宫腔线,浆膜层
B.宫腔线,粘膜层
C.粘膜层,肌层
D.浆膜层,肌层
E.宫腔线,血块
61、单项选择题
宫底呈“羊角形”,两角内可见分叶状宫腔线,宫体下段及宫颈形态正常。该超声图像是指()
A.双子宫
B.残角子宫
C.双角子宫
D.纵隔子宫
E.以上均是
62、单项选择题
某女患者子宫附件超声声像图如下,患者月经正常,有痛经及人流史,月经后7天检查。根据病史和图像,最可能的诊断为()
A.巧克力囊肿
B.滤泡囊肿
C.黄体囊肿
D.黄素囊肿
E.正常卵泡
63、单项选择题
患者,女性,转移性右下腹疼痛4小时,超声见一长条低回光团,边界不清,如图所示,考虑为()
A.肝管结石
B.胆囊炎
C.附件炎
D.阑尾炎
E.肠梗阻
64、单项选择题 超声检测深部骨骼选用多少MHz探头()
A.2.5MHz
B.3.0~3.5MHz
C.5.0~7.5MHz
D.7.5~10MHz
E.10~12MHz
65、单项选择题 女性,62岁,急腹症住院,超声检查图像为:胆囊增大,胆囊壁弥漫增厚呈“双边影”表现,胆囊腔内见一强回声光团伴声影,随体位改变而移动,根据声像图表现,可能的诊断为()
A.①②③
B.①③
C.②④
D.④
E.①②③④
66、单项选择题 彩色多普勒血流成像时使用高通滤波可达到什么目的()
A.便于检查流量大小
B.检测高速血流时不受低速运动多普勒信号的干扰
C.可以用于显示血流的方向
D.便于检查极低速的血流
E.增大检测深度
67、单项选择题
女性,25岁,停经35周。产前超声检查,图像显示的是胎儿的()
A.脊柱
B.四肢
C.颜面部
D.胸腔
E.腹腔
68、单项选择题
女,28岁,无任何不适,体检。声像图如图所示,诊断为()
A.胆囊结石
B.胆囊息肉
C.胆囊胆固醇结晶
D.胆囊腺瘤
E.胆囊癌
69、单项选择题 脐带绕颈的原因有()①脐带过长②胎动过频③脐带扭转④脐带脱垂
A.①
B.①②
C.①②③
D.①②③④
E.①③④
70、判断题 二尖瓣关闭不全中左室增大,首先发生于流出道。
71、单项选择题
某患者左室长轴切面超声心动图如图所示,诊断为()

A.正常声像图
B.主动脉瓣关闭不全
C.二尖瓣关闭不全
D.室间隔缺损
E.房间隔缺损
72、单项选择题
女,现在正在行肺癌放疗治疗。结合超声声像图,诊断为()
A.转移性癌
B.脾血肿
C.脾梗死
D.脾脓肿
E.脾血管瘤
73、单项选择题 改善轴向分辨力可通过()
A.减小空间脉冲长度
B.增大空间脉冲长度
C.降低探头频率
D.增大时间增益补偿
E.以上各项均不可
74、单项选择题 功能性子宫出血是指()
A.子宫肌瘤引起出血
B.子宫内膜异位症引起月经过多
C.子宫内膜息肉出血
D.丘脑一垂体一卵巢轴功能紊乱
E.妊娠并发症引起出血
75、单项选择题 睾丸内微钙化灶与新生物生长有一定相关性,微钙化灶一般出现于()
A.睾丸精细管钙化
B.精液内芽肿钙化
C.静脉结石
D.结核侵犯的组织
E.睾丸肿瘤
76、单项选择题
女性,月经过少,不孕就诊,超声图像可提示()
A.多囊卵巢
B.卵泡发育不良
C.卵巢巧克力囊肿
D.正常卵巢
E.以上都不是
77、单项选择题
该图为睾丸声像图,最可能的诊断为()
A.正常回声
B.急性睾丸炎
C.睾丸扭转
D.慢性睾丸炎
E.睾丸肿瘤
78、单项选择题 下列哪一项不是早孕超声观察的内容()
A.妊娠囊
B.胎芽
C.胎儿搏动
D.胎儿心脏结构
E.卵黄囊
79、单项选择题 二尖瓣关闭不全最常见的病因是()
A.风湿性心脏病
B.二尖瓣脱垂
C.冠心病乳头肌功能不全
D.感染性心内膜炎
E.外伤
80、单项选择题 患者感心悸、胸闷,过去无心脏病史,最可能诊断()
A.冠心病
B.扩张型心肌病
C.二尖瓣关闭不全
D.主动脉瓣关闭不全
E.肥厚性心肌病
81、单项选择题
图中所显示图像中分出后下走行的分支为()

A.肾动脉
B.腹腔动脉
C.脾动脉
D.肠系膜上动脉
E.腹主动脉
82、单项选择题 葡萄胎刮宫术后,黄素囊肿消退常需要多长时间()
A.1~2周
B.4~5周
C.6个月
D.2~4个月
E.8周
83、单项选择题
女,20岁,上腹痛并呕吐,入院诊断“急性胰腺炎”。结合超声声像图,诊断为()
A.胰腺脓肿
B.胰腺假性囊肿
C.胰腺囊肿
D.胰囊肿性腺瘤
E.胰腺癌
84、填空题 前置胎盘分为_______________、_______________、_________________和_______________。
85、单项选择题 目前公认较好反映左室功能的指标是()
A.SV
B.CO
C.EF
D.CI
E.FS
86、单项选择题 正常成人(男性)脾脏厚径超声测量标准()
A.<4cm
B.<5cm
C.<6cm
D.<7cm
E.<8cm
87、多项选择题 成人双肾长径相差>3cm,应考虑()
A.慢性肾盂肾炎
B.慢性肾小球肾炎
C.肾动脉狭窄
D.急性肾小管坏死
E.糖尿病肾病
88、单项选择题 下列哪一支血管不是左冠状动脉的分支()
A.左冠状动脉主干
B.右圆锥支
C.左回旋支
D.斜角支
E.左前降支
89、单项选择题
右肝肋缘下向上扫查时常可见到镜面伪像,下列哪项是错误的()
A.正常肝脏:膈下为肝脏实像,膈上为肝脏虚像
B.肝内肿瘤:膈下、膈上各有一个对称的肿瘤,前者为实像,后者是伪像
C.肝内囊肿:膈下、膈上各有一个对称性肿瘤,前者为实像,后者是伪像
D.右侧胸腔积液时,以上镜面伪像更明显
E.右侧胸腔积液时,以上镜面伪像消失
90、多项选择题 一般的土地估价方法,仅适用于单宗土地的估价,而路线价估价法则被认为是一种(),又能节省人力、财力,并可同时对大量宗地进行估价的方法。
A.迅速
B.准确
C.公平
D.简洁
E.合理
91、单项选择题 临床常用的超声探头频率约为()
A.2.5MHz
B.3.5MHz
C.5.0MHz
D.7.5MHz
E.以上都对
92、问答题 异位妊娠的声像图表现有哪些?
93、单项选择题 密度是()
A.阻尼单位
B.单位面积上的力
C.力乘以位移
D.单位体积的质量
E.单位面积的质量
94、判断题 异位妊娠绝大部分发生在卵巢和宫颈。
95、单项选择题 宫内死胎声像图征象是()①头颅光环变形②胎儿轮廓变形③胎心胎动消失④胎儿水肿
A.①②
B.③
C.①②③
D.①②③④
E.④
96、单项选择题 超声耦合剂最主要的作用是()
A.提高超声波的输出强度
B.克服超声波在人体中的衰减
C.减少超声波在接触面的散射
D.使探头与检查部位声阻抗匹配良好
E.消除显示器上信号闪烁
97、单项选择题
患儿,出生3周,喂奶后立即或不久即吐,呈喷射状,吐物为奶及奶块。根据超声中腹部检查如图,最可能的诊断为()
A.先天性肥厚型幽门狭窄
B.先天性胆管狭窄
C.胃溃疡
D.肠套叠
E.正常声像图
98、单项选择题 睾丸网由哪些结构组成()
A.睾丸纵隔中精直小管吻合而成
B.睾丸白线组成
C.进入睾丸的淋巴、血管、神经、输精管组成
D.以上各项均是
E.以上各项均不是
99、单项选择题 眼动脉是由哪根动脉发出的第几分支()
A.颈内,第一
B.颈外,第三
C.颈总,第二
D.椎动脉,颅内
E.颈内,第三
100、单项选择题 下列关于压电效应和压电材料的描述,正确的是()
A.在压电晶片上施加机械压力其表面可产生电荷,这种现象为逆压电效应
B.在压电晶片上施加交变电信号可产生晶片的机械振动,这种现象为正压电效应
C.压电材料的厚度与超声响应频率无关
D.压电材料一般需要磁场极化处理
E.与高频率超声探头相比,低频率超声探头采用较薄的压电材料
101、单项选择题 结节性甲状腺肿最常见的病因是()
A.甲状腺炎
B.合并甲状腺功能亢进
C.碘缺乏
D.碘过量
E.甲状腺癌
102、问答题 超声可检出哪些胎儿先天性畸形?
103、单项选择题 脐动脉S/D比值()
A.在妊娠过程中不断下降
B.不断升高
C.不断波动
D.保持恒定
E.先下降后上升
104、单项选择题 关于葡萄胎超声表现,下列哪项是正确的()
A.子宫小于孕期
B.双侧卵巢正常
C.子宫大于孕期
D.宫腔内无血流显像
E.卵巢黄素囊肿是诊断葡萄胎的唯一征象
105、单项选择题 70岁女性,不规则阴道流血7天,阴道镜示阴道及子宫颈形态尚可,宫颈管口有少量血性分泌物,声像图示子宫体积增大。首先考虑的病变是()
A.子宫肌瘤
B.子宫平滑肌肉瘤
C.葡萄胎
D.子宫内膜癌
E.子宫腺肌瘤
106、单项选择题 频谱多普勒技术检测多普勒血流时,下列哪项做法无意义()
A.屏住呼吸
B.调节滤波
C.速度标尺
D.取样容积大小
E.超声入射角校正
107、单项选择题 下列哪项对彩色多谱勒的依赖较小()
A.瓣膜疾病
B.肥厚型心肌病
C.先心病
D.心包疾病
E.夹层动脉瘤
108、单项选择题 一动脉导管未闭患者,血压为130/80mmHg,频谱法测得导管口舒张期最大流速为3.3m/s,估计此患者肺动脉舒张压为()
A.无肺动脉高压
B.轻度肺动脉高压
C.中度肺动脉高压
D.重度肺动脉高压
E.肺动脉压大于主动脉压
109、单项选择题 静脉血栓的声像图表现为()
A.阻塞远侧端静脉扩大
B.阻塞远侧端静脉缩小
C.阻塞远侧端静脉扩大,彩色血流束变细或中断
D.阻塞远侧端静脉扩大,彩色血流束变细或中断,阻塞血管内见均匀低回声或增强回声
E.彩色血流束变细或中断,阻塞血管内见均匀低回声或增强回声
110、单项选择题 单一脐动脉异常多见于()
A.多胎妊娠
B.胎儿宫内发育迟缓
C.畸形儿
D.胎儿宫内窘迫
E.正常儿
111、单项选择题 腹内实质性脏器病变宜先采用何种检查()
A.透视
B.摄片
C.CT
D.B超
E.脑血管造影
112、单项选择题
声学造影剂须符合下列哪些项要求()
①微泡小,能安全稳定通过肺循环
②可进人心肌或全身血池
③无毒副作用
④能停留相对较长时间
A.①
B.①②
C.①②③
D.②③④
E.以上均须符合
113、单项选择题 肾脏由几部分结构构成:①肾实质、肾窦②肾皮质、肾髓质③肾锥体、肾柱、肾乳头④肾盏、肾盂、肾动脉、肾静脉、脂肪
A.①
B.①②
C.①②③
D.①③④
E.②③④
114、单项选择题 胎儿食管闭锁合并气管食管瘘常合并哪些畸形()①先天性心脏畸形②胃肠畸形③脊柱裂④小头
A.①
B.①②
C.①②③
D.①②③④
E.③④
115、单项选择题 以下哪种声像图最易诊断为肾积水()
A.肾盂、肾盏集合系统充满无回声
B.肾盂、肾盏集合系统回声增强
C.肾失常扭曲
D.肾实质多发无回声
E.肾盂内局限性高张囊性无回声
116、单项选择题
女,24岁,已婚未育,体检时B超检查,如图所示,最可能的诊断为()
A.右附件实质性包块
B.左附件实质性包块
C.子宫肌瘤
D.双子宫
E.纵隔子宫
117、单项选择题 关于空间分辨率的影响因素,下列叙述中正确的是()
A.频率越高,则纵向分辨率越差
B.实际上,轴向分辨率约为波长的1/2
C.横向分辨率仅与声束宽度有关
D.声束越宽,侧向分辨率越差
E.近场与远场的空间分辨率相同
118、单项选择题
女性,48岁,取环术后3天,述左下腹疼痛。B超检查如图,最可能的诊断为()
A.畸胎瘤
B.盆腔血肿
C.子宫浆膜下肌瘤
D.宫外孕
E.附件囊肿
119、单项选择题
患者发现颈部肿块数年,无明显不适。甲状腺超声如图,最可能的诊断为()
A.甲状腺癌
B.结节性甲状腺肿
C.甲状腺炎
D.甲状腺腺瘤并囊变
E.甲状腺囊肿
120、问答题 移植肾的声像图表现有哪些?
121、单项选择题 甲状腺囊肿是指()
A.单纯性囊肿
B.囊腺瘤
C.甲状腺癌囊性变
D.出血性囊肿
E.以上都对
122、单项选择题
如图,为一孕妇34周时,羊水内漂浮所见管道结构(横切),最可能的诊断是()
A.脊柱裂
B.脑膜膨出
C.淋巴管囊肿
D.单脐动脉
E.正常图像
123、单项选择题 胎盘早剥是指()
A.胎盘后出血
B.胎盘边缘出血
C.A和B均是
D.A和B均不是
E.胎盘覆盖于宫颈内口
124、多项选择题 肝破裂USG的表现中,哪些描述正确()
A.肝内血肿-呈无回声区
B.肝内血凝块-呈低回声区
C.肝急性破裂-呈强回声区
D.肝包膜破裂-呈无回声区
E.肝血肿纤维化-呈低回声区
125、单项选择题
该病例最可能的诊断()

A.血栓
B.房间隔膨胀瘤
C.黏液瘤
D.赘生物
E.以上都不是
126、单项选择题 患者出现右上腹疼、发热、白细胞升高,超声检查胆囊明显增大,内见粗斑点状不均匀非沉积性回声,这可能提示为()
A.胆囊癌
B.胆囊积液
C.水肿胆囊
D.瓷瓶状胆囊
E.胆囊积血
127、单项选择题 通过胆囊窝中点到第二肝门处下腔静脉左壁之连线,将肝脏分为哪两叶()
A.左叶、右叶
B.右前叶、右后叶
C.左内叶、右外叶
D.尾叶、方叶
E.以上都不是
128、单项选择题 哪种情况下能够得到最佳的超声反射()
A.入射波平行于反射界面
B.入射波垂直于声阻抗不同的界面
C.入射波发生绕射、衍射、折射及表面反射
D.声束入射与反射间的夹角>90度
E.声束入射与反射间的夹角<90度
129、单项选择题
男,23岁,发现肝脏内有一个增强回声,结合超声声像图,提示最可能是()
A.海绵状血管瘤
B.肝癌
C.肝囊肿
D.脓肿
E.肝腺瘤
130、单项选择题 以下哪项不属于左冠状动脉()
A.窦房结动脉
B.对角支
C.穿支
D.前降支
E.左旋支
131、单项选择题 人体不同组织和体液回声强度是不同的,下列哪一项是错误的()
A.液体均是无回声的,固体均是有回声的
B.实质性组织如肝脾是中等水平回声
C.脂肪组织是低水平回声
D.纤维化和钙化引起组织回声增强
E.脏层胸膜—肺组织(含气)界面产生很强的反射
132、单项选择题 关于前置胎盘的超声诊断,下列哪一项是错误的()
A.过度膀胱充盈下检查准确性高
B.超声是胎盘定位首选方法
C.判断胎盘下缘
D.显示子宫颈,明确宫颈内口位置
E.确定胎盘下缘与子宫颈内口的关系
133、单项选择题 关于肝良性实质性肿瘤的描述,错误的是()
A.包括肝细胞腺瘤、胆管腺瘤、血管瘤、纤维瘤、脂肪瘤、错构瘤、黏液瘤等等
B.除肝细胞腺瘤外,其他良性肝肿瘤少见
C.肝血管瘤包括肝毛细血管瘤和海绵状肝血管瘤
D.肝海绵状血管瘤为混合回声病灶,实质性杂乱无章的不均匀强回声条索或斑片与形态不规则、大小不等的液性区混合,有时难与肝癌鉴别
E.肝小血管瘤有时较难与肝硬化所致的结节鉴别
134、单项选择题 眼外肌有几条,分别是()
A.四条,上直、下直、内直、外直肌
B.六条,上直、下直、内直、外直、上斜、下斜肌
C.六条,上直、下直、内直、外直、内斜、外斜肌
D.八条,上直、下直、内直、外直、内斜、外斜、上斜、下斜肌
E.以上均不是
135、单项选择题
患者,男,8岁,因腹痛伴呕吐1个月,持续加重1周入院,行心脏及腹部超声检查,下图为胸骨上窝大动脉长轴切面,根据图像显示,该患者最有可能诊断为()

A.动脉导管未闭
B.主-肺动脉间隔缺损
C.主动脉缩窄
D.肺动脉狭窄
E.室间隔缺损
136、单项选择题
根据心尖四腔切面声像图所示,超声诊断为()

A.右房血栓
B.三尖瓣赘生物
C.右房黏液瘤
D.正常声像图
E.二尖瓣脱垂
137、单项选择题
根据某患者子宫B超检查声像图,最可能的诊断为()
A.子宫肌瘤
B.正常子宫
C.节育器穿孔
D.节育器下移
E.子宫肌层钙化
138、判断题 细微分辨力是指在荧光屏上被分别显示两点的最小距离,包括纵向、横向分辨力和图像中像素的数目。
139、单项选择题
根据胎儿三维超声声像图,图中结构为()
A.脐带
B.胎盘
C.母体血管
D.胎儿肢体
E.羊膜
140、单项选择题 超声波是如何发生的()
A.换能器的逆压电效应
B.换能器的压电效应
C.换能器向人体发送电信号
D.换能器的热效应
E.换能器的磁效应
141、单项选择题
鞘膜积液分四种,如图所示为哪种()
A.睾丸鞘膜积液
B.精索鞘膜积液
C.睾丸精索鞘膜积液
D.交通性鞘膜积液
E.以上都不是
142、单项选择题 变频超声探头的特性,与以下哪项无关()
A.可选择两个以上的诊断频率
B.可提高分辨力与穿透力
C.与信号处理结合可实现二次谐波现象
D.在凸阵、线阵、相控阵探头上均能实现
E.可解决超声成像中的三维重建技术
143、单项选择题 早期妊娠时,羊膜囊被下列哪一结构围绕()
A.羊膜
B.绒毛膜
C.蜕膜
D.胎盘
E.卵黄囊
144、单项选择题 经腹扫查,妊娠几周时可显示妊娠囊结构()
A.4周
B.4~5周
C.5周
D.5~6周
E.7周
145、单项选择题 引起胎儿轻度肾盂肾盏扩张的原因是()
A.超声检查前,母亲摄入大量液体
B.胎儿肾脏利尿
C.胎儿膀胱过度充盈
D.输尿管收缩节律失调
E.以上都是
146、单项选择题 下列乳腺癌中哪一种癌在超声显示上有特征性()
A.黏液癌
B.导管内乳头状癌
C.未分化癌
D.腺癌
E.以上都不是
147、单项选择题 移植肾特别适于超声观察,因它位于()
A.肾原位的侧方
B.表浅处,无肠或骨结构的干扰
C.肾原位的后方
D.胰腺后方
E.肾原位处
148、单项选择题 出现在肝内线状强反射回声是下列哪项引起的()
A.血管
B.肝窦状隙
C.纤维隔
D.肝硬化
E.脂肪肝
149、单项选择题 从颞窗检查脑底动脉,距离探头最近的动脉应该是哪支动脉()
A.大脑前动脉
B.大脑中动脉
C.大脑后动脉
D.前交通动脉
E.后交通动脉
150、单项选择题 胎儿脑积水超声的表现,下列哪一项不正确()
A.胎儿双顶径较同孕周胎儿增大
B.胎儿头围明显大于腹围
C.胎儿头颅内绝大部分显示为无回声区
D.彩色多普勒检查侧脑室无回声区内见丰富血流
E.大脑镰呈“飘带征”
151、单项选择题 下列哪项是左心整体舒张功能的超声测量指标()
A.左室收缩末容积
B.等容收缩时间
C.左室每搏量
D.左室快速充盈分数
E.室间隔收缩期增厚率
152、单项选择题
患者,右下腹压痛反跳痛。结合超声声像图,最可能的诊断是()
A.肠梗阻
B.结肠癌
C.正常阑尾
D.阑尾炎
E.肠穿孔
153、单项选择题
女性,26岁,停经29周,产前B超检查如图,超声诊断为()
A.胎盘早期剥离
B.正常中期妊娠
C.胎儿脐带绕颈
D.胎儿畸形,腹壁裂
E.畸胎瘤
154、单项选择题 非镜面反射体是()
A.肝脏表面
B.膈肌
C.红细胞
D.不产生强回声的任一结构
E.以上都不是
155、单项选择题 TGC是下列哪一名词的英文缩写()
A.组织增益特性
B.时间增益补偿
C.信号发生器控制
D.温度发生器控制
E.以上均不正确
156、单项选择题 胎囊长径1cm,前后径1cm,横径2cm,计算胎囊平均直径是()
A.1.1cm
B.1.3cm
C.1.5cm
D.2.5cm
E.2.0cm
157、单项选择题 心肌收缩产生哪种心血管生理变化()
A.心肌收缩使心室血液射到主动脉(或肺动脉)
B.心肌收缩使心室被充盈
C.心肌收缩使心室容积增加
D.心肌收缩使心房立即快速充盈
E.心肌收缩使心室扩大
158、单项选择题 超声检查半月板,错误的是()
A.后角取俯卧、伸膝或屈膝15°~30°
B.半月板外侧距皮肤近、间隙宽、易显示
C.前角取仰卧、屈膝30°~90°
D.半月板前、中部显示困难
E.半月板内侧表浅、间隙宽,扫查并不困难
159、单项选择题 肾脏扫查应在什么时进行()
A.屏气时
B.吸气时
C.呼气时
D.Valsalva动作时
E.以上都是
160、单项选择题 由各个超声探头阵元边缘所产生的外加声束称之为()
A.边缘声影
B.阻抗伪像
C.旁瓣
D.声误差
E.主瓣
161、单项选择题 最早于妊娠几周可显示胎盘()
A.4周
B.8周
C.10周
D.20周
E.24周
162、单项选择题
盆腔超声检查如图,最可能的诊断是()
A.幼稚子宫
B.双子宫
C.双角子宫
D.畸胎瘤
E.正常声像图
163、单项选择题 关于实性肿瘤声像图特点下列哪项是错误的()
A.边界均不整齐、不光滑或不规则
B.外形常呈圆形、椭圆形或不规则
C.内部出现回声
D.可有后方组织衰减或声影,少数回声增强
E.侧方声影可有可无
164、单项选择题 超声评价子宫——胎盘循环最常检测的血管是()
A.胎儿主动脉
B.胎儿肾动脉
C.母体子宫动脉
D.脐动脉
E.脐静脉
165、单项选择题 对从外周血管行左心腔超声造影原理的叙述,哪一项是正确的()
A.经股动脉注入造影剂
B.造影剂经腔静脉直接进入左心
C.造影剂微气泡的直径小于10μm
D.造影剂微气泡直径大于10μm
E.必须用白蛋白包裹空气的造影剂
166、单项选择题
发现一侧乳房无痛性肿块3天,腋窝及颈部可触及数个黄豆大包块,乳腺超声声像图如上,最可能的诊断是()
A.乳头状导管癌
B.髓样癌
C.乳腺淋巴瘤
D.乳腺囊性增生
E.以上都不是
167、单项选择题 天冬氨酸是()
A.酸性氨基酸
B.碱性氨基酸
C.支链氨基酸
D.芳香族氨基酸
E.含硫氨基酸
168、单项选择题 子宫肌瘤的声像图表现是()①子宫增大,局限性隆起②子宫表面不平③子宫内膜线移位④膀胱受压变形
A.①
B.①②
C.①②③
D.①②③④
E.②
169、单项选择题 卵巢非赘生性囊肿临床表现和声像图特征,不正确的是()
A.黄体囊肿是黄体形成过程中黄体血肿液化形成
B.黄素囊肿与滋养细胞瘤伴发
C.黄素囊肿多呈双侧性
D.卵巢非赘生性囊肿是卵巢囊性肿瘤,多不能自行消退
E.绝经后妇女较少见
170、单项选择题
甲状腺超声声像图如下,最可能的诊断为()
A.甲状腺囊肿
B.结节性甲状腺肿并囊变
C.甲状腺腺瘤并囊变
D.甲状腺囊腺癌
E.甲状腺炎
171、单项选择题 无回声见于()
A.胆汁
B.尿液
C.胸腹水及漏出液
D.羊水
E.以上都正确
172、单项选择题 哪一项最可能引起后部回声增强()
A.实性肿物
B.液性肿物
C.钙化性肿物
D.胆结石
E.体内异物
173、单项选择题 超声成像的特点,错误的是()
A.层面图像
B.可得到任意方位的超声图像
C.可观察活动器官的运动情况
D.以明暗不同的灰阶反映回声有无或强弱
E.图像空间分辨力高于X线片
174、单项选择题 室间隔的解剖要点,下述哪一项是错误的()
A.分为膜部与肌部
B.位于左右心室间
C.大部由心肌组成
D.膜部在下,肌部在上
E.其上部紧邻主动脉
175、单项选择题 下列哪一项不是超声判断胎儿宫内生长迟缓的指标()
A.双顶径
B.羊水
C.腹围
D.头围
E.股骨长
176、单项选择题 下列哪一项不是典型腮腺囊肿的声像图表现()
A.形态不规则,呈多边形
B.囊后方回声增强
C.轮廓完整,界限清晰
D.有时可见轮廓线
E.囊内为均匀无回声,透声性良好
177、单项选择题 门脉海绵样变的原因()①门脉高压②门脉血栓③门脉癌栓④门脉闭塞
A.①
B.②③
C.①②③④
D.④
E.①②③
178、单项选择题
女,16岁,有性生活史,因停经35天。根据B超检查声像图如下,合理的超声诊断意见为()
A.动态观察
B.早孕
C.宫外孕可能,建议经阴道超声检查
D.抗感染治疗
E.内膜过度增生
179、单项选择题 二尖瓣血流频谱哪项不对()
A.系收缩期正向血流频谱
B.呈双峰型
C.正常时E峰流速大于A峰
D.呈空心层流
E.在老年人中可表现为A峰>E峰
180、单项选择题 成人甲状腺正常超声测量值是()
A.长径3.0~4.0cm,宽径1.5~2.0cm,厚径0.5~1.0cm,峡部厚<0.4cm
B.长径4.0~5.0cm,宽径2.0~2.0cm,厚径1.0~1.5cm,峡部厚≤0.4cm
C.长径5.0~6.0cm,宽径2.5~3.0cm,厚径1.5~2.0cm,峡部厚>0.4cm
D.长径5.5~6.5cm,宽径3.5~4.5cm,厚径2.5~3.5cm,峡部厚≥0.5cm
E.长径4.0~5.0cm,宽径2.5~3.0cm,厚径0.5~1.0cm,峡部厚≤0.4cm
181、单项选择题 下列哪些是胎盘早剥声像图表现()①胎盘与子宫壁间形成血肿②胎盘增厚③胎盘的胎儿面向羊膜腔膨出④羊水增多
A.①
B.①②
C.①②③
D.①②③④
E.④
182、单项选择题 以下何者不符合完全性肺静脉异位引流()
A.左房增大
B.左房外侧可见共同肺静脉腔
C.常有肺淤血
D.合并房间隔缺损
E.可分为心上型、心内型和心下型
183、单项选择题 评价超声指向性优劣的指标是()
A.近场长度和扩散角
B.声束大小
C.声束形状
D.探头频率
E.聚焦程度
184、单项选择题 肾锥体肥大是由于()
A.肾脏的恶性肿瘤
B.肾脏的良性肿瘤
C.起源于肾上腺的良性肿瘤
D.肾脏正常变异
E.尿路潴留
185、单项选择题 患者高热后两侧耳下区红肿,超声显示:局部增大,回声减低,血流信号略增多。最可能的诊断是()
A.腮腺肿瘤
B.颈淋巴结肿大
C.急性腮腺炎
D.何杰金肿瘤
E.甲状腺炎
186、单项选择题 若是2MHz声波用于检查人体软组织,则其波长接近()
A.1/2mm
B.1/2cm
C.3/4mm
D.2mm
E.2cm
187、填空题 正常肾脏USG在冠状和矢状断面上,呈_____形,横断面上则为______________形。
188、单项选择题
该病例最有可能诊断是()

A.高血压病
B.主动脉瓣下狭窄
C.肥厚型梗阻性心肌病
D.非梗阻性心肌病
E.主动脉瓣狭窄
189、单项选择题 下列选项除哪一项外,均为融合肾()
A.马蹄肾
B.S型肾
C.同侧融合肾
D.重复肾
E.对侧融合肾
190、单项选择题 产生声影可能性最小的是()
A.骨质界面
B.手术钢夹
C.胆结石
D.气体界面
E.肾结石
191、单项选择题 甲状腺的静脉有几条,收容甲状腺哪些部位的血液,进入哪条静脉()
A.二条,上、下,颈内静脉
B.三条,上、中、下,颈内静脉
C.三条,上、中、下,颈内静脉、无名静脉
D.四条,上、中、下、峡,颈内静脉、无名静脉
E.以上均不是
192、单项选择题 进行心肌超声造影,对造影剂有什么要求()
A.微气泡直径小于5μm
B.微气泡要有厚的包裹膜
C.微气泡的压缩系数要小
D.微气泡密度要高
E.微气泡直径要大(大于红细胞)
193、单项选择题 胎儿头皮与颅骨间距增宽呈低回声,躯干、四肢、皮肤与皮下组织分离呈双线样,横切呈双环征是下列哪种病变的声像图特点()
A.脑积水
B.头皮水肿
C.胎儿水肿
D.脑膜膨出
E.无脑儿
194、单项选择题 目前了解胎儿状态的影像诊断学方法首选的是()
A.腹部平片
B.磁共振检查
C.腹部透视
D.B超检查
E.CT检查
195、单项选择题 典型的后方回声增强不常见于哪项含液性结构()
A.囊肿
B.新鲜的血肿
C.囊状扩张的肝内胆管
D.扩张的肾盂和输尿管
E.胸膜腔积液
196、单项选择题 二尖瓣狭窄引起肺动脉高压时,肺动脉瓣M型的特点是()
A.肺动脉瓣曲线上的a波增大
B.收缩期曲线平直
C.肺动脉瓣曲线上的bc段呈“V”型
D.显示收缩期有高频振动运动
E.肺动脉瓣曲线上a波正常
197、单项选择题
该病例最可能的诊断()

A.右室双出口并室间隔缺损
B.主动脉骑跨
C.室间隔缺损
D.大动脉异位
E.左室双出口
198、单项选择题 心房收缩期对心血管生理上的意义()
A.心房的血液因心房收缩,最终全部被充盈到左心室
B.左心房收缩引起左心室收缩
C.心房收缩期引起心室的快速充盈
D.心房收缩是舒张期的开始
E.心房收缩期是左心室射血的终结
199、问答题 胚胎停止发育的声像图表现有哪些?
200、单项选择题 以下哪一种技术属于频谱多普勒技术()
A.彩色M型
B.连续脉冲多普勒技术
C.彩色多普勒能量图
D.伪彩色编码二维显像
E.彩色多普勒血流显像
201、单项选择题
超声见胆囊壁上大小约3mm的稍强回声光团,无声影,无移动,如图所示,考虑为()
A.胆囊结石
B.胆汁淤积
C.胆囊息肉
D.胆囊癌
E.以上都不是
202、单项选择题 膝关节前交叉韧带损伤的声像图表现()
A.股骨外侧髁处滑膜增厚、增强、不规则
B.内侧副韧带肿胀增厚,回声不均匀减低
C.内侧副韧带肿胀边界模糊不清
D.韧带回声中断或缺如
E.韧带分离,出现低回声裂隙
203、单项选择题 B超探及胎儿臀部实性肿物,内见钙化区后伴声影,考虑是()
A.骶尾实性畸胎瘤
B.胎粪
C.脑膨出
D.输尿管肾盂梗阻
E.脊柱裂
204、单项选择题 彩色多普勒血流显像仪安全性标准,下列哪项是关键性要求()
A.检出彩色的敏感性
B.超声输出功率不大于规定值
C.功能丰富
D.可使用录像、热敏打印
E.是全数字化技术
205、单项选择题 关于卵巢恶性肿瘤分期中,Ⅲ期是指()
A.肿瘤局限于一侧卵巢
B.肿瘤伴盆腔以外的腹腔内转移,有腹膜后淋巴结转移
C.肿瘤有盆腔内扩散
D.肿瘤伴远处转移,胸水中找到癌细胞或肝转移
E.以上都不是
206、单项选择题 早期妊娠能用下列哪种检查诊断()
A.透视
B.摄片
C.CT
D.B超
E.脑血管造影
207、单项选择题 精原细胞瘤的声像图特点是()
A.睾丸增大,形态不规则,轮廓不整齐,肿瘤内部为中等亮、度、细小均匀回声
B.睾丸增大,形态不规则,轮廓不整齐,肿瘤内部为杂乱的高回声
C.睾丸增大,仍保持椭圆形,轮廓整齐,肿瘤内部呈中等亮度、细小均匀回声
D.睾丸增大,仍保持椭圆形,轮廓整齐,肿瘤内部呈杂乱的高回声
E.以上都不是
208、单项选择题
男,35岁、有淋巴瘤病史。结合超声声像图,诊断为()
A.脾转移性肿瘤
B.脾结核
C.脾包虫病
D.脾梗死
E.脾脓肿
209、单项选择题 超声测量胎儿股骨长度,怎样才能避免较大的测量误差()
A.用线阵式超声探头
B.采用凸阵式超声探头
C.采用扇扫式或小凸阵探头
D.声束与胎儿股骨尽可能保持垂直
E.声束与胎儿股骨尽可能保持平行
210、单项选择题 下列哪项是眼球内异物的声像图表现()
A.斑点状强回声,部分后伴声影
B.斑点状强回声,大多不伴声影
C.星状回声
D.尾随回声与隆起现象
E.以上都是
211、单项选择题
右室双出口的概念下列何者不正确 ( )
A.两支大动脉皆出自右室
B.两组大动脉下皆有圆锥肌
C.室缺可位于主动脉或肺动脉瓣下
D.可不出现左向右分流
E.多伴有肺动脉狭窄或肺动脉高压
212、单项选择题
如图,圆形光环中最长的长条光带为()
A.大脑镰
B.胼胝体
C.侧脑室壁
D.透明中隔
E.丘脑
213、多项选择题 限制性心肌病的超声表现正确者为()
A.相应的室壁、室间隔增厚,室壁运动僵硬、低下
B.相应部位的心室内膜增厚呈不均分布;回声增强
C.心房极度扩大,可有低速云雾状旋涡血流回声
D.房室瓣EF斜率减慢
E.心包增厚伴少至大量心包积液
214、单项选择题 男性,12岁,突然发现阴囊肿胀、剧疼。超声显示:睾丸轻度肿大,中等回声,2~3小时后复查睾丸回声尚均匀,睾丸内血流消失。最可能的诊断为()
A.睾丸炎及附睾炎
B.阴囊血肿
C.鞘膜积液
D.睾丸扭转
E.斜疝绞窄
215、单项选择题 多数认为诊断级超声在多少声功率对人体无损害()
A.0.1W/cm以下
B.0.1W/cm以上
C.0.2W/cm以下
D.0.2W/cm以上
E.0.3W/cm以下
216、单项选择题
女,25岁,B超检查如图所示,最可能的诊断为()
A.左卵巢癌
B.左侧输卵管积液
C.左卵巢卵泡
D.左卵巢囊肿
E.扩张的左侧输尿管
217、单项选择题 压电效应是()
A.组织的密度及声在组织中的速度
B.高电压加在晶体表面产生机械形变并由此产生超声
C.压电晶体受压后在其表面产生电荷
D.高电压引起在晶体上的阻尼效应
E.以上均不是
218、单项选择题 引起月经过多的常见病因是()
A.浆膜下子宫肌瘤
B.粘膜下子宫肌瘤
C.Asherman综合征
D.卵巢畸胎瘤
E.输卵管妊娠
219、单项选择题 一肝癌患者行肝动脉栓塞术后二天,左上腹疼痛,超声检查显示脾脏肿大,中下部见楔形低回声区,尖端指向脾门,其内彩色多普勒超声未记录到血流信号,最可能诊断是()
A.转移癌
B.脾结核
C.炎性病灶
D.脾梗死
E.恶性淋巴瘤
220、单项选择题 生殖细胞性睾丸肿瘤恶性占95%,其中常见肿瘤有()
A.精原细胞瘤
B.胚胎癌
C.绒毛膜上皮癌
D.畸胎癌
E.以上都是
221、单项选择题 结节性甲状腺囊肿的超声特点,哪一项是错误的()
A.颈前部肿大、增粗
B.甲状腺内多个结节
C.结节大小不等、分布不均
D.CDFI示血流丰富,沿结节绕行
E.结节都是实性的
222、单项选择题
超声检查如图所示,该病例最可能诊断()
A.肾外肾盂扩张
B.肾积水
C.输尿管上段积水
D.肾盂输尿管狭窄
E.输尿管畸形
223、单项选择题 对卵巢黏液性囊腺癌的描述,下列哪一项不正确()
A.多由黏液性囊腺瘤演变而来
B.多为双侧性
C.囊内有较多分隔,不均匀性增厚
D.增厚的囊壁可向周围浸润
E.囊瘤频谱呈低阻波形
224、单项选择题 患者李某疑诊主动脉缩窄,超声应从哪个透声窗进行检查()
A.肋下途径
B.胸骨右缘
C.心尖部
D.胸骨左缘
E.胸骨上窝
225、单项选择题
心尖四腔切面,二尖瓣与三尖瓣的鉴别正确的是()

A.二尖瓣前叶较短
B.二尖瓣位置高
C.三尖瓣位置高
D.三尖瓣隔叶较长
E.三尖瓣前叶较长
226、单项选择题 双顶径的测量方法是()
A.不包括大脑帘、颅骨壁的回声
B.从一侧颅骨壁外缘至对侧颅骨壁外缘
C.从一侧颅骨壁内缘至对侧颅骨壁内缘
D.从一侧颅骨壁外缘至对侧颅骨壁内缘
E.以上都不是
227、单项选择题 临床常用E峰流速,A峰流速,E/A比值及IVRT反映下列哪项()
A.左心局部舒张功能
B.左心整体舒张功能
C.左心收缩功能
D.右心收缩功能
E.心肌传导功能
228、单项选择题 肾积水声像图的表现下列哪一项是错误的()
A.肾盂回声分离
B.肾体积可增大
C.肾实质可变薄
D.肾窦内可出现强回声团伴声影
E.肾实质内出现无回声区
229、单项选择题 若两侧副中肾管没有汇合或汇合不完全,除形成双子宫、双角子宫外,还有()
A.鞍形子宫
B.全隔子宫
C.残角子宫
D.重复子宫
E.始基子宫
230、单项选择题 心脏在胚胎发育第几周是已基本发育完成()
A.第2周
B.第3周
C.第4周
D.第6周
E.第8周
231、单项选择题 当声波穿过两种不同介质的界面时会发生折射是因为什么不同()
A.声阻抗
B.声速
C.密度
D.传播路径
E.传播方式
232、单项选择题 彩色多普勒血流显像图最常用于哪一些部位病变()
A.肝
B.胰
C.血管性病变
D.肿瘤
E.囊肿
233、填空题 死胎USG表现为__________________________、_______________________、______________________________、_________________________________、___________________和_____________。
234、单项选择题 含液性病变的声像图特点中,下列哪项是错误的()
A.外形呈圆形或椭圆形
B.边缘光滑、整齐
C.内部低回声或强回声
D.后方回声增强
E.侧方声影有内收
235、单项选择题
患者发现颈部肿块两年余,无明显不适。甲状腺超声显示甲状腺及血管旁异常光团,如图。最可能的诊断为()
A.甲状腺癌
B.结节性甲状腺肿
C.甲状腺炎
D.甲状腺腺瘤
E.以上均不是
236、单项选择题 异位妊娠发生于输卵管妊娠的百分率是()
A.30%
B.50%
C.70%
D.80%
E.95%
237、问答题 子宫腺肌症的声像图表现有哪些?
238、单项选择题 功能失调性子宫出血的特点是()①由于调节生殖的神经内分泌机制失常引起的异常子宫出血②临床表现是不规则子宫出血、月经量多、贫血③超声表现为子宫均匀性增大,子宫内膜增厚④卵巢一般多萎缩、变小、功能下降
A.①
B.①②
C.①②③
D.①②③④
E.②④
239、单项选择题 超声造影检测外周血管异常,下列哪一项是错误的()
A.动脉血栓形成使血流充盈缺损
B.静脉血栓形成使血流充盈缺损
C.动脉扩张时血流明显加速
D.动脉狭窄时血流变细
E.动脉闭塞时无血流显示
240、单项选择题
超声检查如图,最可能的诊断是()
A.正常声像图
B.淋巴管囊肿
C.下颚裂
D.唇裂
E.上腭裂
241、单项选择题 胎儿单侧肾盂积水,超声常同时发现()
A.先天性巨大膀胱
B.多囊肾
C.膀胱过度充盈
D.输尿管肾盂接合处梗阻
E.对侧肾发育不全
242、单项选择题 下列哪一项临床或声像图表现与子宫发育畸形无关()
A.原发性闭经
B.不孕
C.习惯性流产
D.难产
E.子宫内膜增厚
243、单项选择题 前列腺增大最容易引起排尿困难的是()
A.外侧叶
B.前叶
C.中叶
D.后叶
E.后叶和前叶
244、单项选择题 根据轻、中、重度肾积水的形态命名依次为()①菱角型②烟斗型③调色碟型④花朵型⑤肾上极囊肿型⑥巨大囊肿型⑦驼峰征型
A.①②③④⑤⑥⑦
B.①②③④⑤⑥
C.①②③④⑤
D.①②③④
E.①②③
245、单项选择题 二维超声检测颅内的占位病变,下列哪个部位检出最困难、容易出现假阴性结果()
A.颞叶
B.额叶
C.枕叶
D.顶叶
E.第四脑室周围
246、多项选择题 扩张型心肌病的M型超声心动图表现为()
A.四个房、室腔扩大,以左心室腔扩大明显
B.二尖瓣前、后叶开放幅度小且时间短而呈钻石样改变
C.二尖瓣波群(2a区)表现为大心腔、小开口征象
D.瓣叶E峰顶点距离室间隔左心室面距离增宽
E.二尖瓣曲线CD段平坦
247、单项选择题 对子宫内膜癌手术范围选择及预后判断最重要的声像图表现是()
A.肿瘤血流丰富
B.肿块大小
C.子宫肌层浸润深度大于50%
D.肿块形态
E.肿块回声不均
248、单项选择题
某患者膀胱内超声声像图如下,最可能的诊断为()
A.膀胱癌
B.正常膀胱
C.膀胱结石
D.膀胱炎
E.膀胱憩室
249、单项选择题 当发现肾脏肿块从下极延伸时应注意()
A.继续检查,注意胰腺有无转移
B.继续检查,注意下腔静脉及肾静脉有无转移
C.继续检查,注意腹主动脉有无转移
D.继续检查,注意盆腔有无转移
E.结束检查
250、单项选择题
女性,36岁,行常规超声妇科体检。声像图表现如图。血HCG为2258μg/ml。最可能的诊断是()
A.绒癌
B.子宫腺肌瘤
C.早期妊娠
D.子宫肌瘤
E.良性葡萄胎
251、单项选择题 下列对风心病二尖瓣狭窄的超声检测,哪一项是错误的()
A.彩色多谱勒血流显像显示血流从左心室流向左心房
B.二尖瓣增厚、纤维化甚至有钙化
C.左心房扩大
D.二尖瓣口的血流速度增快
E.二尖瓣口变小
252、单项选择题 关于声场的特性,不正确的是()
A.声束有一个大的主瓣和一些小的旁瓣组成
B.超声频率越高,近场越长
C.超声成像主要依靠探头发射的主瓣
D.声场可分近场、中场和远场
E.声束的近场集中,远场分散
253、单项选择题
二尖瓣M型超声心动图,图中尖头所示两点称为 ( )

A.E点和A点
B.D点和C点
C.F点和G点
D.高点和底点
E.前点和后点
254、单项选择题
男,56岁,上腹经常疼痛不适多年。结合超声声像图,诊断为()
A.胆囊多发性胆固醇结晶
B.胆囊多发性息肉
C.胆囊多发性结石
D.胆囊癌
E.胆泥淤积
255、单项选择题 检查下肢深静脉病变应采取什么体位()
A.仰卧位
B.仰卧位,俯卧位
C.头高脚低位
D.仰卧位,头高脚低位
E.俯卧位,头高脚低位
256、单项选择题
女性,27岁,药物流产术后13天,阴道仍有出血。超声检查如图,最可能的诊断为()
A.子宫肌瘤
B.葡萄胎
C.宫腔残留
D.附件炎性包块
E.宫腔积液
257、单项选择题 肝静脉血汇入下列何结构()
A.门静脉
B.肝
C.下腔静脉
D.胃静脉
E.上腔静脉
258、单项选择题 先心病当左向右分流较大时,可致肺高压及右室压力增高。当右心接近或超过左心压力时,出现双向甚至右向左分流,病人出现紫绀,此时称为()
A.鲁登巴和综合征
B.陶宾氏综合征
C.艾森曼格综合征
D.马方综合征
E.布查氏综合征
259、单项选择题 等容收缩期在心动周期指的是什么时间()
A.左心室被快速充盈的时间
B.二尖瓣关闭到主动脉瓣开放的时间
C.左心室血液快速射入主动脉的时间
D.左心室被缓慢充盈的时间
E.肺动脉被右心室血液充盈的时间
260、单项选择题
女性,26岁,停经23周。产前B超检查如图,结合超声图像,最可能的诊断为()
A.前置胎盘
B.正常晚期妊娠
C.胎儿畸形,脑积水
D.胎儿畸形,腹壁裂
E.脉络膜囊肿
261、单项选择题 妊娠囊的回声是哪种结构的回声()
A.胚胎绒毛膜
B.壁蜕膜
C.羊膜囊
D.卵黄囊
E.血块
262、单项选择题 下列哪项不符合脐带特点()
A.脐带正常长度30~70cm,平均直径1.5~2.0cm
B.脐动脉绕脐静脉呈螺旋状走行
C.脐静脉绕脐动脉呈螺旋状走行
D.超声无法测量脐带的长度
E.由两根脐动脉,一根脐静脉组成
263、单项选择题 胚胎死亡2个月以上尚未自然排出者称()
A.过期流产
B.不全流产
C.难免流产
D.先兆流产
E.以上都不是
264、单项选择题 上腔静脉血流的多谱勒频谱不具有下述哪项特点()
A.频谱是连续起伏波型
B.频谱幅度不受呼吸影响
C.深吸气时血流速度增块
D.从胸骨上窝检查为负向频谱
E.深呼吸时血流速度减慢
265、单项选择题 组织的平均声衰减最低的是()
A.血清
B.脂肪
C.肝脏
D.皮肤
E.骨骼、肺
266、多项选择题 胆囊结石与胆囊息肉超声最主要鉴别点是()
A.是否有声影
B.回声强度
C.是否随体位改变而移动
D.是否有血流
E.体积大小
267、单项选择题 胆囊结石与胆囊肿瘤诊断的鉴别要点()
A.胆囊肿大
B.胆囊缩小
C.强光团伴声影
D.强光团随体位改变移动
E.伴声影的强光团随体位改变移动
268、单项选择题 当进行彩色多普勒检查时,如彩色血流显示不佳,有许多辅助调节,下列哪一项是重要的调节()
A.调节监视器的亮度
B.调节监视器的对比度
C.调节灰阶图像的动态范围
D.调节灰阶图像的前后处理
E.调节多普勒的增益
269、单项选择题
患者,男,高热,右上腹痛,肝区扣击痛。结合超声声像图,诊断为()
A.肝血管瘤
B.肝脓肿
C.肝癌
D.脂肪肝
E.肝囊肿
270、填空题 腹膜后肿块在USG上可分为4种表现类型,即___________________、________________、________________和_______________。
271、单项选择题
女,51岁,乏力,右上腹痛半个月。结合超声声像图,诊断为()
A.肝癌
B.局限性脂肪肝
C.肝包虫病
D.肝囊肿
E.肝脓肿
272、单项选择题 绒毛膜癌的CDFI特点是()
A.五彩斑斓低速血流RI<0.4
B.五彩斑斓低速血流RI>0.4
C.五彩斑斓高速血流RI<0.4
D.五彩斑斓高速血流RI>0.4
E.五彩斑斓高速血流RI>0.8
273、单项选择题 下列哪种疾病不属于不孕症的病因()
A.生殖器结核
B.子宫粘膜下肌瘤
C.宫颈糜烂
D.子宫内膜异位症
E.多囊卵巢综合征
274、多项选择题 内脏声像图描述的内容包括()
A.外观表述
B.外形和大小
C.内部回声和肿物性质
D.脏器位置和毗邻关系
E.血供情况
275、单项选择题 超声的生物学效应不包括()
A.热效应
B.空化效应
C.多普勒效应
D.热凝固效应
E.致畸效应
276、单项选择题
患者,男性,70岁,出现无痛性血尿,如图所示,该病例最可能的诊断为()
A.膀胱结石
B.膀胱血块
C.膀胱异物
D.膀胱肿瘤
E.前列腺增生
277、单项选择题 乳房良性肿瘤的声像图表现()
A.包膜完整
B.包膜完整,内部回声均匀
C.包膜完整,内部回声均匀,后方回声衰弱
D.包膜完整,内部回声均匀,后方回声可增强也可不增强
E.内部回声均匀,后方回声衰减
278、填空题 USG显示肝内胆管内径_______mm,肝外胆管内径____mm以上可诊断胆道扩张。
279、问答题 正常中、晚期妊娠胎儿的声像图上可以观察到哪些结构?
280、单项选择题
如图可诊断为()
A.小肝癌
B.肝转移癌
C.肝脓肿
D.多发肝血管瘤
E.肝囊肿
281、单项选择题 肝硬化时CDFI肝动脉显示()
A.血流增加
B.血流减少
C.血流无变化
D.不易显示
E.血流增加或减少
282、单项选择题 对肺动脉高压的肺血流频谱的叙述错误的是()
A.ACT(加速时间)缩短
B.ACT/RPEP(右室射血前期时间)比值增大
C.RPEP延长
D.RVET(射血时间)缩短
E.ACT/RVET比值变小
283、单项选择题 动脉导管未闭的左向右分流,超声的特征性表现是()
A.主动脉向降主动脉的收缩期分流
B.主动脉向肺动脉的收缩期分流
C.主动脉向肺动脉的双期分流,舒张期明显小于收缩期
D.主动脉向肺动脉的双期分流
E.右肺动脉向升主动脉的舒张期分流
284、单项选择题 妊娠囊孕7周时的直径约为()
A.2.0cm
B.3.0cm
C.3.7cm
D.1.0cm
E.4.0cm
285、判断题 边缘性前置胎盘,USG见胎盘覆盖部分子宫颈内口。
286、单项选择题 股骨长度测量是()
A.从近端股骨颈到远端股骨髁
B.从股骨头到内上髁
C.从大转子到远端股骨髁
D.不包括股骨颈及远端骨骺的股骨骨干全长
E.以上都不是
287、名词解释 体位标志
288、单项选择题
患者,胃癌手术后2年,髂窝处声像图表现如图,诊断是()
A.正常声像图
B.肿大淋巴结
C.阑尾脓肿
D.肠道转移灶
E.动脉瘤
289、单项选择题 胃超声检查中正常胃壁由外到内顺序,应该为哪几层()
A.浆膜层、肌层、粘膜下层、粘膜层
B.粘膜层、粘膜下层、肌层、浆膜层
C.粘膜下层、粘膜层、肌层、浆膜层
D.浆膜层、肌层、粘膜层、粘膜下层
E.浆膜层、肌层、粘膜层
290、问答题 子宫内膜癌的声像图表现有哪些?
291、单项选择题 下列哪项描述可排除前置胎盘()
A.胎盘部分或全部掩盖子宫颈管内口
B.子宫颈内口距胎盘下缘距离>7cm
C.无痛性阴道出血
D.胎盘定位超声检查时间最好在孕20周以前,因>20周胎盘因胎儿掩盖显示不清
E.检查时无需膀胱充盈
292、单项选择题 侵蚀性葡萄胎可以发生于()
A.葡萄胎以后
B.流产以后
C.足月产以后
D.异位妊娠以后
E.过期流产以后
293、名词解释 “键盘征”(“鱼刺征”)
294、单项选择题 对频谱多普勒超声的描述,错误的是()
A.主要分为连续波和脉冲波多普勒
B.脉冲多普勒具有距离选通能力
C.连续波多普勒不具有距离选通性能
D.笔式连续多普勒探头只能显示频谱图
E.频谱多普勒可直接测出血流量
295、单项选择题 “双泡”征是哪种疾病的声像图特点()
A.胎儿水肿
B.胎儿梗阻性黄疸
C.胎儿十二指肠梗阻
D.胎儿脐疝
E.胎儿脑脊膜膨出
296、单项选择题 Doppler超声在诊断中居有重要地位,其原因是()
A.可用于各个区域的检查
B.能发现组织界面的运动
C.不引起生物效应
D.用于小器官的检查
E.在各个方面优于一般超声
297、填空题 USG可作为肾上腺病变的初查方法,其可发现较大的_____。
298、单项选择题 肝脓肿与肝囊肿的区别是()
A.脓肿不透声,而囊肿透声好
B.脓肿边界不规则,囊肿边界清晰
C.脓肿是坏死性肿瘤,囊肿是良性肿物
D.脓肿回声强,囊肿回声弱
E.以上均是
299、单项选择题 内部混响(internalreverberation)--彗星尾征在下列哪种情况下出现()
A.超声束垂直于胸壁和肺表面引起多次内部混响
B.超声束垂直于腹壁引起内部混响
C.超声束在器官组织的异物内来回反射
D.超声束垂直射入骨膜和骨表面
E.超声束射向肩关节软骨和骨表面时,在软骨内部来回反射
300、单项选择题
以下哪种声像图,最易诊断为肾积水()
A.肾皮质变薄
B.肾盂、肾盏、集合系统充满无回声
C.肾盂、肾盏、集合系统回声增强
D.肾形态失常
E.肾实质多发无回声