时间:2025-01-14 01:18:31


1、单项选择题
如图,最可能的诊断是()
A.软骨成长不全
B.致死性骨发育不全
C.窒息性胸廓发育不良
D.肢体屈曲综合征
E.无肢畸形
2、单项选择题
某患者左侧阴囊下部疼痛不适3天,曾患前列腺炎,无外伤史,无结核病史,超声声像图如下,最可能的诊断为()
A.睾丸肿瘤
B.附睾尾炎性包块
C.睾丸炎
D.附睾结核
E.附睾肿瘤
3、单项选择题
一孕妇,孕28周,根据胎儿头部B超声像图,最可能的诊断为()
A.胎儿脑积水
B.无脑儿
C.脑膜脑膨出
D.正常胎儿
E.透明隔囊肿
4、单项选择题 下列“死胎”征象,最早出现的是()
A.身体过度卷曲
B.心脏、大血管内气体聚集
C.颅骨重叠
D.头皮下脂肪与颅骨间距增宽
E.胸廓塌陷
5、多项选择题 眼眶横纹肌肉瘤USG检查,可见()
A.圆形、椭圆形或不规则的实质性状回声
B.因有假包膜故边界较清晰
C.内部呈均匀的弱回声影
D.内部呈不均匀的强回声影
E.视神经及球壁侵犯、破坏改变
6、单项选择题 谐波成像在临床中应用,不包括()
A.基波显像良好的脏器
B.增强心肌和心内膜显示
C.增强心腔内声学造影剂的回声信号
D.增强细微病变的分辨力
E.减少近场伪像及近场混响
7、单项选择题 完全型大动脉转位时下列何者不对()
A.主动脉位于右前
B.肺动脉位于右后
C.主动脉发自右室
D.肺动脉发自左室
E.同时左右心房心室位置互换
8、多项选择题 对胎儿的超声检查中,正确的选择是()
A.尽可能选择最低输出功率
B.缩短检查时间
C.选用经阴道探头以获得清晰图像
D.减少超声检查次数
E.采用脉冲多普勒测量脐带血流
9、单项选择题 产生声影可能性最小的是()
A.骨质界面
B.手术钢夹
C.胆结石
D.气体界面
E.肾结石
10、单项选择题 超声检测阴囊的重要性是()
A.可助诊断阴囊内亚临床的肿块
B.可用于指导睾丸活检
C.可以鉴别睾丸内外的异常
D.以上各项均是
E.以上都不是
11、单项选择题 切片厚度伪像的产生与下列因素有关()
A.脏器位置较深
B.脏器厚度较大
C.探头近场较长
D.超声束较宽
E.探头横径过大
12、单项选择题
女,28岁,经常上腹不适。声像图如图所示,诊断为()
A.胆囊蛔虫
B.胆囊结石
C.胆囊腺瘤
D.胆囊内胆汁淤积
E.胆囊癌
13、单项选择题 中年女性,突发右腰部及右下腹部剧痛,伴恶心。超声显示右肾轻度积水,最可能的诊断是()
A.阑尾炎
B.右侧附件炎
C.右输尿管结石
D.右输尿管肿瘤
E.膀胱结石、膀胱炎
14、单项选择题 基波成像指下列哪种波()
A.以低频发射的波
B.凸阵探头发射的波
C.线阵探头发射的波
D.发射频率与接受频率相同的波
E.以上都不对
15、单项选择题 子宫中央条状增强回声及其周围低回声暗带是下列哪组结构的声像图表现()
A.宫腔线,浆膜层
B.宫腔线,粘膜层
C.粘膜层,肌层
D.浆膜层,肌层
E.宫腔线,血块
16、问答题 乳腺USG检查时应如何注重手法技巧?
17、单项选择题 彩色多普勒血流成像规定()。
A.朝向探头的血流为红色
B.背向探头的血流为红色
C.朝向探头的血流为蓝
D.背向探头的血流为绿色
E.朝向探头的血流为绿色
18、单项选择题 脐带绕颈几周时,胎儿颈背部声像图呈“U”型压迹()
A.脐带绕颈1周
B.脐带绕颈2周
C.脐带绕颈3周
D.脐带绕颈4周
E.正常声像图
19、单项选择题 腮腺炎的超声表现是()
A.弥漫性增大
B.急性期呈低回声区
C.慢性期呈强回声区
D.腮腺血流信号增多
E.以上都是
20、单项选择题
肝囊肿的声像图表现,下列哪一项是错误的()
A.囊壁薄而光滑
B.囊壁较厚,光滑,呈双层
C.侧壁出现回声失落
D.后方回声增强
E.彩色多普勒显示囊壁处短条状血流信号
21、单项选择题 囊性肿物的声像图特点是()①增强增益仍为无回声②壁光滑,边界清楚③后方回声增强④后方声影
A.①②
B.①②③
C.①②④
D.②④
E.①②③④
22、单项选择题
该图所显示的病例为()

A.二尖瓣腱索断裂
B.二尖瓣脱垂
C.二尖瓣赘生物
D.风心二尖瓣狭窄
E.黏液瘤
23、单项选择题 超声检测诊断法洛四联征,应有哪些声像图改变()①主动脉骑跨②室间隔缺损③肺动脉狭窄④右心室肥厚
A.①
B.③④
C.②③
D.①②③④
E.①②③
24、单项选择题 胎盘早剥是指妊娠20周后或分娩期正常位置胎盘在胎儿娩出前部分或全部从子宫壁剥离,其病理变化是()①底蜕膜血管破裂出血②底蜕膜层血肿形成③胎盘绒毛膜出血④胎盘附着部子宫收缩
A.①
B.①②
C.①②③
D.①②③④
E.②
25、单项选择题 室间隔的解剖特点,下列哪一项是正确的()
A.比房间隔薄
B.由纤维组织构成
C.胚胎时期有卵圆孔使两侧心室相通
D.分隔左、右心室
E.构成肺动脉壁
26、单项选择题 TGC是下列哪一名词的英文缩写()
A.组织增益特性
B.时间增益补偿
C.信号发生器控制
D.温度发生器控制
E.频率发生器控制
27、单项选择题
某患者因下腹胀痛就诊,HCG(-),声像图如下,最可能的诊断为()
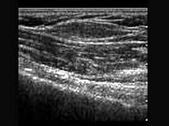
A.附件炎
B.卵巢癌
C.卵巢囊肿
D.宫外孕
E.盆腔积液
28、单项选择题 胎头指数是指胎儿双顶径与什么的比值()
A.股骨长度
B.枕额径
C.腹围
D.头围
E.胸围
29、单项选择题 下列哪一项不是超声诊断胎儿宫内生长迟缓指标()
A.胎头双顶径
B.胎儿头围
C.胎儿腹围
D.胎儿股骨长度
E.胎盘厚度
30、单项选择题 当障碍物的直径小于1/2λ时,将发生()
A.折射
B.反射
C.衍射
D.不折射
E.不衍射
31、单项选择题
女,47岁,上腹部疼痛十多年,加重2个月余,皮肤巩膜黄染,进行性加重,皮肤搔痒,声像图如图所示(肝内胆管扩张),结合超声声像图,诊断为()
A.肝癌
B.右肾癌
C.胆囊结石并胆囊炎
D.胆囊结石并胆囊癌
E.肝脓肿
32、单项选择题 常规观察的肝静脉系统包括()
A.②④
B.②③④
C.①②③④
D.②③
E.③④
33、多项选择题 急性胆囊炎的USG的表现为()
A.胆囊增大、胆囊壁轮廓线模糊,外壁线不规则
B.胆囊壁弥漫性增厚,增厚的胆囊壁呈增强回声带
C.胆囊腔内出现弥漫性低回声、云雾状回声等提示胆囊积脓
D.胆囊窝显示无回声带,提示胆囊周围液体潴留或积脓
E.胆囊壁内无回声的散在小囊样憩室结构
34、单项选择题 胎儿十二指肠闭锁的特征性声像图显示()
A.声像图不能显示胃
B.双泡征
C.胃移位至胎儿右侧腹部
D.胃腔明显增大
E.胃下移至盆腔
35、单项选择题 无回声见于()
A.胆汁
B.尿液
C.胸腹水及漏出液
D.羊水
E.以上都正确
36、单项选择题 超声检测深部骨骼选用多少MHz探头()
A.2.5MHz
B.3.0~3.5MHz
C.5.0~7.5MHz
D.7.5~10MHz
E.10~12MHz
37、单项选择题 青蛙无()。
A.下颌骨
B.胸骨
C.肋骨
D.尾椎骨
38、单项选择题 关于经阴道超声检查方法学的描述,下述哪一项是错误的()
A.子宫肌瘤较大时,应同时进行经腹超声检查
B.卵巢肿瘤位置较高时,应同时进行经腹超声检查
C.经阴道超声检查常用于胎儿心脏畸形诊断
D.与经腹超声相比,常能清晰显示子宫内膜形态
E.检查前需排空膀胱
39、填空题
如图,二维超声心动图中,此为____________切面。

40、单项选择题 门脉高压时,反向压力可导致脾()
A.肿大并充血
B.脾门淋巴结肿大
C.梗死
D.萎缩
E.占位
41、单项选择题
以下哪种声像图,最易诊断为肾积水()
A.肾皮质变薄
B.肾盂、肾盏、集合系统充满无回声
C.肾盂、肾盏、集合系统回声增强
D.肾形态失常
E.肾实质多发无回声
42、单项选择题 紧邻于肾后方的肌肉是()
A.腰大肌
B.多裂肌
C.闭孔外肌
D.腹外斜肌
E.臀肌
43、单项选择题 观察不同器官和部位彩色多普勒血流信号,何项选择不妥()
A.心脏、大血管选用2.5MHz探头
B.成人肝内门静脉:2.5~3.5MHz
C.乳房:7~10MHz
D.甲状腺:7MHz
E.周围血管:2.5~3.5MHz
44、单项选择题 肾影局限性增大,可见于哪一种病变()
A.肾脓肿愈合后
B.肾包膜下血肿
C.肾梗死
D.肾结核晚期
E.肾脏放疗后
45、单项选择题 下列哪项不属于先天性子宫畸形()
A.幼稚子宫或先天性无子宫
B.双子宫
C.双角单颈子宫
D.纵隔子宫
E.宫腔粘连
46、单项选择题 最不适用于成人颅脑超声检查的探头频率是()
A.2.0MHz
B.2.5MHz
C.3.5MHz
D.4.0MHz
E.5.0MHz
47、单项选择题 CDFI检测输尿管膀胱开口处结石的特点()①输尿管膀胱开口喷尿频率减少②输尿管膀胱开口喷尿尿流变短③输尿管膀胱开口喷尿消失④输尿管膀胱开口喷尿频率增多⑤输尿管膀胱开口喷尿尿流变粗
A.①②③
B.④⑤
C.③
D.②③
E.③④⑤
48、多项选择题 腹膜液性无回声肿块见于()
A.囊性淋巴管瘤
B.包虫囊肿
C.血肿吸收期
D.腹膜后脓肿
E.横纹肌肉瘤
49、单项选择题 不孕症伴有痛经,常发生于()
A.多囊卵巢综合征
B.子宫内膜异位症
C.子宫内膜增殖症
D.卵巢囊肿
E.粘膜下子宫肌瘤
50、单项选择题 输出功率与输入功率的比称为()
A.功率
B.强度
C.电压
D.增益
E.频率
51、单项选择题 主动脉瓣血流速度加快不见于下列哪项()
A.主动脉瓣狭窄
B.主动脉瓣关闭不全
C.甲状腺功能亢进
D.左心衰竭
E.二尖瓣关闭不全
52、判断题 膀胱癌易发生在膀胱三角区和两侧壁。
53、问答题 超声可检出哪些胎儿先天性畸形?
54、单项选择题 下面哪种情况不需要评价肾段动脉的阻力指数()
A.急性肾小管坏死
B.药物性肾病
C.急性尿路梗阻
D.肾内动静脉瘘
E.移植肾排异
55、单项选择题 早孕期间经阴道超声检查不能诊断的是()
A.异位妊娠
B.鉴别正常与异常的宫内孕
C.前置胎盘
D.确定早期宫内孕的孕龄
E.鉴别附件包块性质
56、单项选择题 B超探及胎儿臀部实性肿物,内见钙化区后伴声影,考虑是()
A.骶尾实性畸胎瘤
B.胎粪
C.脑膨出
D.输尿管肾盂梗阻
E.脊柱裂
57、单项选择题 检查心血管病如瓣膜狭窄,彩色多普勒血流成像的彩色图(colormap)应选择下列什么模式()
A.选择低速度标尺的彩色图
B.选择红黄绿三色彩色图
C.用零位基线移动显示一种彩色的彩色图
D.选择两色彩色图
E.以上都不是
58、单项选择题
患者男46岁,既往有胆囊结石病史,上腹部疼痛不适年余,加重1个月,皮肤、巩膜轻度黄染,B超检查如图所示,根据超声声像图,诊断为()


A.胆囊结石并胆囊炎,肝血管瘤
B.胆囊结石并胆汁淤积,肝血管瘤
C.胆囊结石并胆囊癌,肝转移性癌
D.胆囊结石并肝癌
E.胆囊结石并胆息肉,肝转移性癌
59、单项选择题 中年女性,突发上腹疼痛,伴恶心、呕吐,超声显示胆囊多发结石,胰腺肿大,轮廓不清,回声减低,周围见少量液性暗区,最可能的诊断是()
A.急性胰腺炎
B.慢性胰腺炎
C.急性胃炎
D.急性胆囊炎
E.急性胆管炎
60、单项选择题 卵巢非赘生性囊肿包括()①滤泡囊肿②黄素化囊肿③黄体囊肿④卵巢血肿
A.①
B.①②
C.①②③
D.①②③④
E.①③④
61、单项选择题 超声对多大的膀胱肿瘤难以检出()
A.1cm
B.2cm
C.0.5cm
D.1cm和2cm
E.1cm和0.5cm
62、单项选择题
某患者肝脏声像图表现如图,提示肝脏回声不均匀致密,肝内可见一管状结构,诊断为()
A.肝内胆管扩张
B.肝淤血
C.脐静脉重开
D.肝血管瘤
E.门脉海棉样变性
63、填空题 超声Murphy征阳性指扫查中将探头压迫胆囊区______________________或______________________。
64、单项选择题
该图蓝色血流信号表示()

A.动脉血
B.静脉血
C.血流方向背离探头
D.血流方向朝向探头
E.以上均不是
65、问答题 二维超声心动图常用基本切面的图像有哪些?
66、单项选择题
男,47岁,上腹部疼痛不适、腹胀,皮肤巩膜黄疸,进行性加重,皮肤搔痒。声像图如图所示,最可能的诊断为()
A.肝癌
B.肝门部淋巴结肿大
C.肝门部胆管癌
D.肝门部胆管胆汁淤积
E.肝门部转移性癌
67、单项选择题 为更好显示彩色多普勒血流信号并测速,不宜采用哪种频率探头()
A.颅内血管(经颅超声)采用2MHz~2.5MHz
B.成人心脏采用5MHz
C.表浅器官采用≥7MHz
D.成人腹部血管采用3.5MHz
E.腔内超声应采取≥5MHz
68、单项选择题 一房缺患者,测得三尖瓣返流的最大流速为3m/s,若右房压以10mmHg计,此时估计肺动脉收缩压约为()
A.30~40mmHg
B.40~50mmHg
C.50~60mmHg
D.60~80mmHg
E.>80mmHg
69、填空题 对于注水井井管()、()等造成注水能力减弱事故,采用(),使其注水通道通畅,恢复注水能力。
70、单项选择题 超声声像图上,宫颈内见数个小无回声区,后方回声加强,最可能的诊断为()
A.阴道横隔
B.宫颈肥厚
C.宫颈妊娠
D.宫颈纳氏囊肿
E.宫颈癌
71、单项选择题 茎的栓内层细胞常含有叶绿体,又称为()。
A.复表皮
B.绿皮层
C.初生皮层
D.次生皮层
72、单项选择题 反射回声的强度取决于()
A.反射回声的量,声速的衰减程度
B.声速的衰减程度,入射声速与界面的角度
C.反射回声的量,入射声速与界面的角度
D.反射回声的量,声速的衰减程度,入射声速与界面的角度
E.声速的衰减程度
73、单项选择题 "水脏"是指()
A.肾
B.脾
C.肺
D.膀胱
E.三焦
74、单项选择题 下列哪一项临床或声像图表现与子宫发育畸形无关()
A.原发性闭经
B.不孕
C.习惯性流产
D.难产
E.子宫内膜增厚
75、单项选择题 关于眼眶肿瘤的描述,错误的是()
A.良性肿瘤膨胀性生长,有包膜
B.良性肿瘤多呈圆形和椭圆形
C.良性肿瘤边缘清楚、锐利,可见肿瘤声晕
D.恶性肿瘤浸润性发展,有包膜
E.恶性肿瘤形态不规则,边界不清楚
76、单项选择题 从主动脉瓣关闭到二尖瓣开放这一时期称为()
A.等容舒张期
B.等容收缩期
C.心房收缩期
D.快速射血期
E.快速舒张期
77、单项选择题 骨软骨瘤的超声表现是()
A.长骨干骺表面向外突起的骨性隆起
B.瘤体呈半圆、三角及蕈伞状
C.回声与正常骨组织相同
D.软骨帽回声强弱、厚薄及形态不等
E.以上都是
78、单项选择题 脑室率的测量方法是()
A.中线至颅骨内缘距离/中线至侧脑室壁距离
B.中线至侧脑室壁距离/中线至颅骨内缘距离
C.侧脑室之间距离/颅骨内缘之间距离
D.颅骨内缘之间距离/侧脑室之间距离
E.以上都不是
79、单项选择题 长期肾积水时肾最常见的声像图是()
A.吹胀的袋状无回声
B.无回声分隔
C.椰菜花状无回声
D.哑铃状无回声
E.巨大囊肿型
80、单项选择题
彩色血流信号“溢出”血管外的原因是()
①取样容积过大
②滤波器频率过低
③增益过高
④对高速血流使用过低速度标尺
A.①
B.①②
C.①②③
D.①②③④
E.②③④
81、单项选择题 酒精性肝硬化是属于哪种肝硬化的类型()
A.门脉性
B.坏死后性
C.胆汁性
D.淤血性
E.炎性
82、单项选择题
男,60岁,胆囊结石病史多年,脾大小正常,有疫区接触史。结合超声声像图,诊断为()
A.肝血管瘤
B.血吸虫肝
C.肝癌
D.肝硬化
E.脂肪肝
83、单项选择题 心下型的完全型肺静脉异常回流超声所见()
A.四条肺静脉回流到冠状静脉窦
B.肺总静脉回流到上腔静脉
C.肺静脉回流到下腔静脉
D.肺静脉直接回流到右房
E.四条肺静脉回流到颈静脉
84、单项选择题 下列哪项不符合子宫内膜异位症()
A.随月经周期变化
B.发生于子宫肌层称子宫肌腺症
C.发生于卵巢称巧克力囊肿
D.良性疾病,不发生远处转移和种植
E.可种植于盆腔
85、单项选择题 灰阶超声波的回声来源是()
A.超声波的全反射
B.超声波的背向散射及反射
C.超声波的衍射和折射
D.超声波的多普勒效应
E.超声波的绕射
86、单项选择题 下列哪一项与葡萄胎超声鉴别无关()
A.过期流产
B.子宫肌瘤变性
C.子宫腺肌病
D.子宫内膜癌
E.子宫颈囊肿
87、单项选择题 M型超声心动图,正常成人主动脉瓣开放幅度应不小于()
A.10mm
B.30mm
C.18mm
D.20mm
E.16mm
88、单项选择题 在生物效应研究中,空化指()
A.气泡的生成和活动
B.坏死
C.细胞膜破裂
D.染色体破裂
E.细胞畸变
89、单项选择题 先心病当左向右分流较大时,可致肺高压及右室压力增高。当右心接近或超过左心压力时,出现双向甚至右向左分流,病人出现紫绀,此时称为()
A.鲁登巴和综合征
B.陶宾氏综合征
C.艾森曼格综合征
D.马方综合征
E.布查氏综合征
90、单项选择题 测量双顶径应注意()
A.保证胎头显示呈柠檬形
B.保证胎头显示呈圆形
C.在透明隔和丘脑水平获得声像图
D.在大脑镰和侧脑室水平获得声像图
E.在小脑水平获得声像图
91、单项选择题 在大多数软组织中,衰减系数的变化关系近似为()
A.与频率成反比
B.频率的平方
C.与频率成对数关系
D.与频率成正比
E.频率的立方
92、单项选择题 超声图像中,形成线状强回声的是()
A.皮肤
B.脂肪
C.纤维组织
D.结石
E.实质脏器
93、填空题 由于使用了高性能超声仪,明显提高了超声对________、___________、______、________等软组织及________、__________等组织结构和血流的显现力。
94、单项选择题 为了调节灰阶超声仪器的工作条件达到最佳状况,下列哪项内容不重要()
A.提高空间分辨力
B.提高时间分辨力
C.选择适当的图像前后处理及动态范围
D.调节M型的扫描速度
E.选择适宜的灰阶数
95、单项选择题 化疗药物对下列哪种女性生殖器恶性肿瘤疗效最好()
A.卵巢癌
B.子宫体癌
C.子宫颈癌
D.子宫肉瘤
E.绒毛膜癌
96、单项选择题 无并发症的急性附睾炎声像图特征是()
A.附睾头局限性无回声,内有低回声
B.附睾均匀性增大内回声低于正常
C.附睾均匀性增大内回声高于正常
D.阴囊肿大伴局限性或普遍性附睾增厚
E.附睾均匀性增大,血流稀疏
97、单项选择题
女性,32岁,停经45天,B超检查如图,最可能的诊断为()
A.宫腔积液
B.宫体肌瘤
C.早期妊娠
D.子宫粘膜下肌瘤
E.卵巢囊肿
98、单项选择题 下列数字扫描变换器(DSC)所实现的功能哪个是错误的()
A.将超声模拟信号转换成电视制式信号
B.比较容易的实现图像放大
C.完成线性内插补并实现丰富的灰阶
D.实现字符显示及图像存储
E.增强了滤波器性能
99、单项选择题 甲状腺超声探测时,哪一种方法不正确()
A.一般采取仰卧位
B.无需特殊准备及要求
C.必须加仿生模块
D.暴露颈前部
E.去除颈部项链
100、名词解释 B/M模式
101、单项选择题
肝脏组织穿刺活检注意事项()
⑴选择最短穿刺入路
⑵选择最短穿刺入路,应经过至少1cm正常肝组织
⑶穿刺针勿穿透胸、腹膜壁层
⑷选择肿块边缘取材,囊实成分兼有避免取囊性部分
⑸选择肿块中央取材,囊实成分应取囊性部分
⑹非均匀脂肪肝,对高、低回声分别取材
⑺非均匀脂肪肝,对高、低回声只取任意一种回声即可
⑻不同病灶可用同一活检针取材
⑼不同病灶不用同一活检针取材
⑽同一病灶可用同一活检针取材
⑾同一病灶可用同一活检针取材,每次取材后用75%乙醇纱布仔细擦拭针杆、针尖2遍
A.⑴⑶⑸⑹⑻⑽
B.⑵⑶⑷⑹⑼⑾
C.⑵⑶⑸⑺⑼⑾
D.⑴⑶⑷⑹⑻⑾
E.⑴⑶⑸⑺⑼⑽
102、单项选择题 超声波是如何发生的()
A.换能器的逆压电效应
B.换能器的压电效应
C.换能器向人体发送电信号
D.换能器的热效应
E.换能器的磁效应
103、单项选择题 血液、尿液、胆汁、胸腹水在人体体液中声衰减程度谁最低()
A.血液
B.尿液
C.胆汁
D.胸腹水
E.声衰减一样
104、单项选择题
某患者肝脏声像图表现,最可能的诊断是()
A.肝转移癌
B.原发性肝癌并门脉癌栓
C.弥漫性肝癌
D.肝硬化并门脉海棉样变性
E.肝硬化并门脉血栓形成
105、单项选择题
该食管超声心动图显示图像为()

A.房间隔缺损(上腔型)
B.房间隔缺损(下腔型)
C.房间隔缺损(中央型)
D.房间隔缺损(混合型)
E.冠状静脉窦扩张
106、单项选择题 孕32周后HC/AC比值在下列哪种情况下可诊断非对称性胎儿宫内发育迟缓()
A.比值减小,低于正常值的95%以上
B.比值增高,超过正常值的95%以上
C.无改变
D.比值大于24
E.比值大于2.4
107、单项选择题 腹部纵断面扫查的解剖标志为()
A.以腹正中线或背部正中线为标志
B.以乳突肌正中线为标志
C.以第7肋间隙为标志
D.可随意取标志线
E.以上都不对
108、单项选择题 粉碎性骨折声像图特点()①断端间有强回声斑或块状强回声,后伴声影②断端间有强回声斑或块状强回声,后方无声影③骨折处可探及骨断裂回声④骨皮质回声中断,骨质中出现不规则低或较强回声
A.①
B.①②
C.①②③
D.②④
E.①②③④
109、单项选择题
根据超声声像图,提示为()
A.肾下垂
B.肾发育不良
C.异位肾
D.马蹄肾
E.游走肾
110、单项选择题 卵巢黏液性囊腺癌声像图表现,下列哪一项不正确()
A.囊壁及分隔纤薄
B.呈椭圆形或分叶状无回声区
C.肿瘤新生血管血流频谱呈低阻波形
D.囊腔内有较多分隔
E.多伴有腹水
111、判断题 慢性泪腺炎USG显示泪腺呈杏核状增大,边界清楚,内回声中等或较弱。
112、单项选择题 成人最常见的鞘膜积液是()
A.睾丸鞘膜积液
B.精索鞘膜积液,交通型鞘膜积液
C.睾丸鞘膜积液,交通型鞘膜积液
D.鞘膜积液,精索鞘膜积液
E.精索鞘膜积液
113、单项选择题 有关混响说法,不正确的是()
A.混响与超声波的散射特性有关
B.超声垂直照射到平整的界面上,超声波在探头和界面之间来回反射产生混响
C.混响的形态呈等距离多条回声,回声强度依深度递增
D.“气体反射”是混响的一种
E.适当侧动和加压探头可有助识别混响
114、填空题 多功能救援()用于高处、悬崖及井下等救援作业。
115、单项选择题 儿童出现黄疸最常见于()
A.肝炎
B.脂肪浸润
C.胆管闭锁
D.肝硬化
E.肝血管瘤
116、填空题
如图,根据二尖瓣M型超声心动图特征,可见CD段呈_______样改变。

117、单项选择题 非镜面反射体是()
A.肝脏表面
B.膈肌
C.红细胞
D.不产生强回声的任一结构
E.以上都不是
118、单项选择题 彩色多普勒能量图的成像原理为()
A.血流速度
B.信号强度
C.血流方向
D.速度变化
E.速度方向
119、单项选择题 肝胰壶腹部梗阻的病人,出现胆囊肿大和无痛性黄疸,称为()
A.胆囊水肿
B.胆总管囊肿
C.Courvoisier征
D.哈德门袋
E.胆囊扩张
120、单项选择题 下列对阴囊内结构描述不正确的是()
A.由皮肤、肉膜及肌肉组成
B.在正中线形成阴囊隔,分左右两囊
C.无结构
D.内有睾丸、附睾、精索
E.睾丸鞘膜腔内有少量液体
121、单项选择题
图为小儿超声心动图,根据此切面可以看到哪些腔室结构()

A.左房、左室、主动脉、右室、右房
B.左房、左室、主动脉、右室、右室流出道
C.左房、左室、主动脉、右室
D.左房、左室、右室、右房
E.左房、左室、主动脉、左心耳、右室、右房、右室流出道
122、问答题 先天性肾畸形的声像图表现有哪些?
123、单项选择题 肝囊肿的超声表现不正确的是().
A.病灶为圆形、类圆形无回声暗区
B.囊壁薄,光滑
C.囊肿后壁见回声增强
D.囊肿侧壁见回声失落
E.囊肿后壁见声影
124、单项选择题
患者,消瘦,于左上腹触及一包块,超声见一大小5×7cm的呈假肾征的光团,如图所示,考虑为()
A.胰腺癌
B.胆囊癌
C.肝癌
D.胃癌
E.左肾癌
125、单项选择题 后方回声增强效应不常见于()
A.肝囊肿
B.肝内血管瘤
C.正常胆囊
D.肾囊肿
E.充盈的膀胱
126、单项选择题 应用Crucial三角识别胎盘下缘的位置,由此可判定胎盘的哪个壁低置、边缘或部分性前置()
A.前壁
B.左侧壁
C.后壁
D.右侧壁
E.宫底
127、单项选择题 连续式多谱勒的优势在于()
A.距离选通
B.单探头发射和接收超声
C.存在明显尼奎斯特极限
D.可检测高速射流
E.可确定血流深度
128、单项选择题 肺动脉瓣血流的多谱勒频谱有什么特点()
A.舒张期出现,双峰形状,正向
B.收缩中期出现,负向,尖峰形状
C.收缩期为正向,舒张期为负向,尖峰形状
D.收缩期正向,双峰,舒张期负向,波峰园钝
E.持续全收缩期,负向,正弦波形状
129、单项选择题 正常附睾的声像图表现是()
A.附睾头、尾分别位于睾丸的后上方和下极下方,呈半圆形或新月形
B.附睾体最薄,连于头、尾之间
C.其内部回声略低于睾丸回声
D.头、尾与睾丸紧贴,体部疏松相连
E.以上都是
130、单项选择题 肾动脉狭窄的诊断标准()
A.狭窄处血流亮度增加,流速加快,Vmax≥180cm/s
B.Vmax狭窄处:Vmax邻近的腹主动脉内径≥3.5cm
C.AT≥0.07s,AS<3m/s
D.RI<0.5
E.以上均是
131、单项选择题
下图为宫内孕囊声像图,可见心管搏动,该胎儿至少大于多少周()
A.6周
B.9周
C.10周
D.12周
E.8周
132、单项选择题 当Rh不合时,超声检查的目的是()
A.确定羊膜穿刺的部位
B.确定胎儿的大小
C.排除伴随的盆腔肿物
D.确定妊娠时间
E.确定胎盘的位置
133、单项选择题 门脉高压最常见的原因是()
A.肝静脉梗阻
B.胆总管梗阻
C.肝硬化
D.肝大
E.肝动脉梗阻
134、单项选择题
患者有明显胸痛史,其诊断可能是()

A.右冠窦膨隆
B.嵴上型室缺
C.右冠窦瘤破裂
D.右冠瓣脱垂
E.左冠瓣脱垂
135、单项选择题 人体软组织在37℃时,超声声速为()
A.1540米每秒
B.1540英里每秒
C.1500英里每秒
D.1500米每秒
E.1540千米每秒
136、单项选择题 俯卧位时横切靠近腹后壁形态为卵形或豆状结构的器官是()
A.肾上腺
B.腹腔内隐睾
C.肾
D.腹腔淋巴结
E.胰腺
137、单项选择题 声速失真伪像可由于实际声速差别过大引起,超声表现为声速失真、测量误差。下列哪项最显著()
A.肝、脾超声测量
B.巨大囊肿或脓肿超声显示和测量
C.巨大脂肪瘤的超声显示和测量
D.巨大子宫肌瘤超声显示和测量
E.子宫大小的超声显示和测量
138、单项选择题 超声检测肾脏时,病人通常取什么体位()①站立②侧卧③俯卧④仰卧
A.①②
B.②③
C.②③④
D.①②③④
E.①③④
139、单项选择题
该病例最可能的诊断()

A.黏液瘤
B.心房血栓
C.心房云雾影
D.房壁增厚
E.赘生物
140、单项选择题
男、30岁,体检时发现脾门处光团,根据超声声像图诊断为()
A.副脾
B.淋巴结
C.转移癌
D.脾脓肿
E.左肾上腺肿瘤
141、问答题 肾积水超声声像图表现?
142、单项选择题 下列对乳腺恶性实质性肿块的USG表现描述错误的是()
A.后壁回声清晰完整
B.内部回声不均匀
C.边缘粗糙,轮廓不规则
D.肿块后多有回声衰减
E.皮肤及周围组织被浸润
143、单项选择题 中等水平回声见于()
A.肝实质
B.骨骼
C.胆结石
D.肌腱
E.血管壁
144、单项选择题
甲状腺腺瘤的超声特点为()
①肿瘤单发,圆形,边界清,有包膜,周边有晕环
②肿瘤多发,圆形,边界欠清,有包膜
③肿瘤呈均匀低或中等回声,后方有侧影,无声衰减
④肿瘤呈不均匀中等以上回声,后方声衰减
⑤CDFI:肿瘤周边有血管绕行,患侧甲状腺上动脉Vmax增高
⑥CDFI:肿瘤内部有较丰富动、静脉血流信号,患侧甲状腺上动脉Vmax减低
A.①③⑤
B.②④⑥
C.①④⑥
D.②③⑤
E.①②④
145、单项选择题 声束通过囊肿边缘可因折射而引起回声失落,出现边缘声影,此称为()
A.声速差异伪像
B.折射声影
C.混响
D.部分容积效应
E.旁瓣效应
146、单项选择题 已婚女子,末次月经不详,宫腔探及胎儿回声,头臀长2cm,计算孕龄是()
A.4~5周
B.6周
C.8.5周
D.10.5周
E.7周
147、判断题 异位妊娠绝大部分发生在卵巢和宫颈。
148、单项选择题 枯萎孕囊声像图表现是()①宫腔内形态不规则胎囊②胎囊内无胎芽、无胎心搏动③胎囊内可见小胎块④随访观察胎囊可增大,可出现胎盘回声
A.①④
B.②④
C.③④
D.①②③
E.①③④
149、单项选择题 在骨软骨瘤的声像图上,于软骨帽的周围可出现无回声区,使软骨帽本身回声反射更加明显,无回声区的组织结构是()
A.软骨膜
B.骨性肿块
C.滑液囊
D.移位的血管
E.假性动脉瘤
150、单项选择题 下列哪些是胎盘早剥声像图表现()①胎盘与子宫壁间形成血肿②胎盘增厚③胎盘的胎儿面向羊膜腔膨出④羊水增多
A.①
B.①②
C.①②③
D.①②③④
E.④
151、单项选择题
患者眼前闪光,视力减退1周。结合超声声像图,最可能的诊断是()
A.局限性脉络膜脱离
B.局限性视网膜脱离
C.完全性视网膜脱离
D.玻璃体后脱离
E.以上均不对
152、单项选择题
女性,25岁,停经35周。产前超声检查,图像显示的是胎儿的()
A.脊柱
B.四肢
C.颜面部
D.胸腔
E.腹腔
153、单项选择题 彩色多普勒及频谱多普勒显示下腔静脉血流并测速的方法,以下哪项不正确()
A.使声束与血管长轴垂直
B.使声束勿与血管长轴垂直
C.选择适当的血流速度标尺(scale)
D.彩色血流取样框尽可能地缩小
E.使取样容积放置在静脉中央,血流与取样线夹角θ<60°
154、问答题 胚胎停止发育的声像图表现有哪些?
155、单项选择题 肾上腺型艾迪生病主要的病因是()
A.肾上腺结核
B.特发性肾上腺萎缩
C.组织胞浆菌病
D.淀粉样变性
E.产后大出血
156、单项选择题 腹内实质性脏器病变宜先采用何种检查()
A.透视
B.摄片
C.CT
D.B超
E.脑血管造影
157、单项选择题 下列哪项不引起EPSS增大()
A.左心衰竭
B.左室扩大
C.扩张型心肌病
D.肥厚型心肌病
E.二尖瓣狭窄
158、单项选择题
多普勒超声技术可分为()
①脉冲多普勒
②彩色多普勒
③连续多普勒
④频谱多普勒
A.①②
B.②④
C.①②③
D.①②③④
E.①③
159、单项选择题 利用超声方法进行测距的误差是()
A.50%
B.20%
C.3%
D.0.5%
E.没有误差
160、单项选择题
某患者阴囊部疼痛不适,超声声像图如下,最可能的诊断为()
A.附睾炎
B.睾丸炎
C.睾丸肿瘤
D.附睾结核
E.附睾肿瘤
161、单项选择题
患者,男,右下腹有压痛,时有腹泻。结合超声声像图,诊断是()
A.溃疡性结肠炎
B.结肠癌
C.阑尾脓肿
D.肠结核
E.肠梗阻
162、单项选择题 胸骨左缘声窗检查心脏的短轴切面图,下列哪一项是错误的()
A.主动脉弓短轴切面图
B.乳头肌水平短轴切面图
C.腱索水平短轴切面图
D.二尖瓣水平短轴切面图
E.大动脉短轴切面图
163、单项选择题
根据心尖四腔切面声像图所示,超声诊断为()

A.右房血栓
B.三尖瓣赘生物
C.右房黏液瘤
D.正常声像图
E.二尖瓣脱垂
164、单项选择题 羊水过多,超声诊断标准是羊水深度大于()
A.5cm
B.6cm
C.7cm
D.10cm
E.4cm
165、单项选择题 频率为2.0MHz的超声在人体软组织中传播时的波长为()
A.0.73mm
B.0.77mm
C.0.76mm
D.0.74mm
E.0.78mm
166、单项选择题 下列哪项不是盆腔良性肿瘤()
A.卵巢纤维瘤
B.皮样囊肿
C.库肯勃瘤
D.子宫内膜腺肌瘤
E.子宫浆膜下肌瘤
167、单项选择题 呼吸对上腔静脉血流的多谱勒频谱有什么影响()
A.呼吸时使血流频谱幅度都会明显增大
B.吸气时使频谱幅度降低,呼气时使频谱幅度增大
C.呼吸时对血流频谱都无影响
D.呼吸时使血流频谱幅度都明显降低
E.吸气时使频谱幅度(速度)增大,呼气时减低
168、单项选择题 乳腺良性与恶性肿物的超声显示鉴别点是()
A.边界是否光滑、完整
B.内部是否回声衰减
C.后方是否回声衰减
D.皮肤是否受侵犯
E.以上都是
169、单项选择题 胎儿死亡的定义是()①≥20周胎儿死亡②任何胎龄的胎儿死亡③体重≥500g的胎儿死亡④36周以后的胎儿死亡
A.①③
B.②③
C.④
D.①②③④
E.②③④
170、单项选择题 下列哪一结构将肾实质分为皮质和髓质()
A.肾盂
B.弓形血管
C.肾脂肪
D.肾小球
E.小叶间动脉
171、单项选择题 人体软组织中传播波是()
A.横波
B.纵波
C.电磁波
D.既有横波也有纵波
E.以上都不对
172、单项选择题
男,56岁,上腹经常疼痛不适多年。结合超声声像图,诊断为()
A.胆囊多发性胆固醇结晶
B.胆囊多发性息肉
C.胆囊多发性结石
D.胆囊癌
E.胆泥淤积
173、单项选择题 小气泡产生的混响回声,回声强并且以规律间隔出现,这种伪像称为()
A.多途径伪像
B.镜像伪像
C.振铃伪像
D.旁瓣伪像
E.以上都不是
174、单项选择题
超声于左侧附睾头可探及圆形的无回声暗区,边清。如图所示,考虑为()
A.附睾头囊肿
B.附睾附件
C.睾丸囊肿
D.附睾尾囊肿
E.精索鞘膜积液
175、单项选择题 妊娠囊的回声是哪种结构的回声()
A.胚胎绒毛膜
B.壁蜕膜
C.羊膜囊
D.卵黄囊
E.血块
176、单项选择题 下列不符合双胎双顶径测量特点的是()
A.双胎之间双顶径差应在4mm之内
B.双胎之间双顶径的差应在1~2cm之间
C.双胎中甲胎比乙胎双顶径小6mm,应认为甲胎宫内发育迟缓
D.双胎双顶径稍小于单胎双顶径
E.双胎双顶径稍大于单胎双顶径
177、单项选择题 关于肠系膜上动脉描述,不正确的是()
A.起自腹腔动脉下方的腹主动脉
B.位于脾静脉后方
C.位于左肾静脉前方
D.位于十二指肠水平段后方
E.位于胰腺钩突的前方
178、单项选择题 孕几周前后超声可检测到多胎妊娠()
A.6周
B.7周
C.8周
D.9周
E.10周
179、单项选择题
主动脉夹层的声像图特征()

A.动脉内膜分离
B.纵切动脉呈平行线状,横切呈“双环”征
C.动脉分成真、假两腔
D.通常假腔内径>真腔内径
E.以上均是
180、单项选择题 超声检查见颈总动脉壁内膜分离,将血管分成真假两个腔,分离的内膜回声随心动周期不停的摆动。彩色多谱勒超声见真腔内血流大致正常,假腔内血流紊乱,呈五彩镶嵌样表现,请就此超声表现作出诊断()
A.真性颈动脉瘤
B.假性颈动脉瘤
C.夹层颈动脉瘤
D.颈动脉扭曲
E.颈动脉体瘤
181、单项选择题 成年人在哪种体位时,结石的重力移动能被最佳显示()
A.右前斜
B.侧卧
C.左前斜
D.俯卧
E.仰卧位
182、单项选择题
某患者右侧阴囊根部可触及小包块,超声声像图如下,最可能的诊断为()
A.精索鞘膜积液
B.睾丸鞘膜积液
C.附睾囊肿
D.睾丸肿瘤
E.附睾血肿
183、单项选择题 肝脏局部脂肪浸润的常见部位是()
A.邻近胆囊窝的肝实质
B.ReiDel’s叶
C.邻近右肾上腺的肝实质
D.邻近右肾的肝实质
E.邻近膈顶的肝实质
184、单项选择题 彩色多普勒血流显像检查的彩色增益过高,会出现什么现象()
A.血流信号显示不连续,有中断现象
B.彩色血流信号溢出到血管外,使血流假性增宽
C.血流充盈不好,血管内有假性充盈缺损
D.血流信号缺乏,假性闭塞
E.彩色信号出现翻转(倒错),歪曲了血流行走方向
185、单项选择题
该病例二尖瓣返流面积与左房面积之比为37%,提示返流程度为()

A.轻微
B.轻度
C.中度
D.重度
E.无返流
186、单项选择题 绒毛膜癌超声检测时,应注意哪些器官()①脑和肺②肝③肾④消化道
A.③④
B.②③
C.①
D.①②③
E.①②③④
187、名词解释 妊娠囊
188、单项选择题
晚孕胎儿脑部声像图,最可能的诊断是()
A.正常声像图
B.淋巴管囊肿
C.脑膜膨出
D.脑积水
E.露脑畸形
189、单项选择题 以下哪项不是急性肩袖撕裂的声像图表现()
A.肌腱断端向中心端回缩,肌腱回声中断或不显示
B.三角肌下滑囊与肱骨头间距变小,断端间可有低或无回声区
C.肌腱回声不均匀,变薄、不连续
D.肌腱回声增强,边缘不清,断端有低或强回声伴声影
E.肩峰下滑囊积液是肩袖撕裂的重要间接征象
190、单项选择题 以下哪项不是主动脉瓣狭窄的超声所见()
A.主动脉瓣叶增厚,回声增强
B.瓣口面积缩小
C.左室腔明显增大
D.左室壁普遍性增厚
E.升主动脉内探及高速射流频谱
191、单项选择题
男性,65岁,排尿困难,尿线细,滴淋,尿后不尽感等症状,如图所示。最可能的诊断为()
A.膀胱癌
B.前列腺增生
C.前列腺肉瘤
D.前列腺癌
E.前列腺炎
192、单项选择题 彩色多普勒血流显像仪的性能,下列哪项与之无关()
A.空间分辨力,速度分辨力,动态分辨力
B.细小血管低速血流检测灵敏度
C.图像及血流彩色均匀性
D.彩色血流的充盈度
E.彩色标图的形状
193、单项选择题 造成前置胎盘的假阳性超声诊断的原因有()①膀胱过度充盈②子宫局部收缩③子宫肌瘤④羊膜腔外血块⑤膀胱未充盈
A.①②
B.①②③
C.①②③④
D.①②③④⑤
E.①③⑤
194、多项选择题 下述哪些属死胎的声像图表现()
A.胎儿各生长参数小于孕周预计值
B.胎心搏动、胎动均消失
C.胎儿颅骨变形,颅缝重叠
D.胎儿全身水肿,皮肤呈双层改变
E.内脏结构紊乱清楚
195、单项选择题 甲状腺炎临床分型是()
A.①急性②慢性
B.①急性②亚急性
C.①急性②亚急性③慢性
D.①临床下型②急性③亚急性④慢性
E.①急性②临床下型③慢性
196、单项选择题 肾长径5cm,内部回声增强,下列除哪一项外均有可能发生()
A.肾血管疾病
B.肾静脉血栓形成
C.慢性肾小球肾炎
D.慢性肾盂肾炎
E.肾病综合征晚期
197、单项选择题 每秒振荡次数称为超声的()
A.周期
B.速度
C.波长
D.频率
E.时间
198、单项选择题 采用聚焦技术的主要目的是()
A.抑制旁瓣效应
B.改善横向和侧向分辨率
C.提高帧频
D.减少超声伪像
E.改善超声的指向性
199、单项选择题 红色箭头所指部位是()
A.管环征
B.滚石征
C.双筒枪征
D.米老鼠征
E.飞鸟征
200、单项选择题 患者绝经后不规则阴道出血,声像图无明显改变,应怀疑什么疾病,最后确诊要靠哪项检查()
A.粘膜下小肌瘤,血HCG
B.子宫内膜小息肉,诊断性刮宫
C.早期子宫肉瘤,血HCG
D.早期子宫内膜癌,诊断性刮宫
E.粘膜下小肌瘤,宫腔镜检
201、判断题 慢性泪腺炎USG显示泪腺呈杏核状增大,边界清楚,内回声中等或较弱。
202、单项选择题 超声探头的核心是压电晶片,其作用是()
A.能将电能转换为机械能,亦能将机械能转换为电能
B.能将电能转换为机械能,但不能将机械能转换为电能
C.不能将电能转换为机械能,但能将机械能转换为电能
D.不能将电能转换为机械能,亦不能将机械能转换为电能
E.以上都不对
203、单项选择题 轴(纵)向分辨力直接与什么有关()
A.穿透深度
B.脉冲波的长度
C.阻尼
D.入射的角度
E.声束的宽度
204、单项选择题 下列哪一项不是现代超声技术迅速发展的主要热点()
A.谐波成像技术
B.声学造影技术
C.三维超声成像技术
D.伪彩色二维显像技术
E.介入超声技术
205、单项选择题 下述哪一种技术属于频谱多普勒技术()
A.M型彩色多普勒
B.连续波多普勒
C.彩色多普勒能量图
D.伪彩色编码二维超声显像
E.彩色多普勒血流显像
206、单项选择题 声束通过一介质后,其振幅和声强的降低称为()
A.吸收
B.声影
C.声阻抗
D.衰减
E.失落
207、单项选择题 纵切肾脏,两肾后部相连应怀疑()
A.马蹄肾
B.肾异位
C.肾脓肿
D.肾发育不全
E.肾下垂
208、单项选择题 以下哪项病变不会出现声影伪像()
A.胆囊结石
B.皮肤瘢痕组织
C.肝内钙化灶
D.肝肿瘤伴坏死、液化
E.陈旧性动脉粥样硬化性斑块
209、单项选择题 女性腹腔最低部位是()
A.子宫直肠窝
B.肝肾间隙
C.膀胱直肠窝
D.脾肾间隙
E.以上都不是
210、单项选择题
患者,女性,甲状腺肿大。探及多个结节状的强回声光团,其内可见暗区。如图所示,最可能的诊断为()
A.甲状腺功能亢进
B.甲状腺腺瘤
C.甲状腺炎
D.结节性甲状腺肿
E.甲状腺癌
211、单项选择题
图中胆囊声像图最为可能诊断为()
A.单纯性胆囊炎
B.急性化脓性胆囊炎
C.胆囊穿孔
D.慢性胆囊炎
E.胆囊癌
212、单项选择题 切面(断层)厚度伪像也称部分容积效应伪像与下列哪项有关()
A.超声束较宽
B.超声发射频带过宽
C.超声发射频率较低
D.超声发射能量较低
E.超声发射的重复频率过低或过高
213、单项选择题 TGC是下列哪一名词的英文缩写()
A.组织增益特性
B.时间增益补偿
C.信号发生器控制
D.温度发生器控制
E.以上均不正确
214、单项选择题 颈总动脉分叉处彩色多谱勒血流显像的正常变异是()
A.彩色血流呈明显的五彩镶嵌
B.分叉处靠近膨大部有一些颜色不一的翻转彩色血流
C.彩色血流明显变细或时有时无
D.血流的彩色信号完全翻转
E.血流完全中断
215、问答题 腹膜腔肿瘤的USG表现有哪些?
216、单项选择题 门静脉系统扩张可由以下哪些病变所致()①右心衰②肝硬化③二尖瓣狭窄④主动脉瓣狭窄
A.①②
B.②③
C.①③
D.①②③
E.①②③④
217、单项选择题
如图,根据胎儿颈部声像图,最可能的诊断是()
A.脊柱裂
B.脑膜膨出
C.淋巴管囊肿
D.单脐动脉
E.正常图像
218、单项选择题 过期妊娠时检测脐带血流,当PI或A/B比值在下列哪种情况下,提示胎盘功能下降()
A.PI增大,A/B比值增大
B.PI增大,A/B比值减小
C.PI减小,A/B比值增大
D.PI减小,A/B比值减小
E.以上都不是
219、单项选择题 在胎儿胸部同一平面,正常胎儿心脏横径与胸部横径的比值应小于()
A.0.32
B.0.42
C.0.52
D.0.62
E.0.25
220、单项选择题 哪一项最可能引起声影()
A.胆囊
B.充液肿物
C.钙化性肿物
D.膀胱
E.实性肿物
221、问答题 肾外伤的声像图表现有哪些?
222、单项选择题 左肾静脉走行位置是()
A.在腹主动脉后方
B.腹主动脉与肠系膜上静脉之间
C.腹主动脉与肠系膜上动脉之间
D.门静脉后方并伴行
E.以上均不对
223、单项选择题
该病例最可能的诊断()

A.高血压病
B.主动脉瓣上缩窄
C.主动脉瓣上膜性狭窄
D.瓣上环形狭窄
E.肥厚性心肌病
224、多项选择题 内脏声像图描述的内容包括()
A.外观表述
B.外形和大小
C.内部回声和肿物性质
D.脏器位置和毗邻关系
E.血供情况
225、单项选择题 膀胱内血块和膀胱肿瘤的最佳鉴别方法是()
A.变换体位后团块可否移动
B.用彩色和频谱多普勒检测有无血流
C.区别二者内部回声的特点
D.A+B
E.A+C
226、单项选择题 下列卵巢囊性病变影像,哪项不对()
A.滤泡囊肿多<3cm
B.CT能准确区分浆性、黏液性囊腺瘤
C.单纯囊肿多为单房性
D.单纯囊肿多<5cm
E.多囊卵巢病,双侧卵巢常同时受累
227、单项选择题 腹围(AC)测量的公式是(D1:胎腹前后径;D2:胎腹横径)()
A.AC=D1+D2
B.AC=2π/(D1+D2)
C.AC=(D1+D2)/2π
D.AC=π(D1+D2)/2
E.AC=(D1+D2)/2
228、单项选择题 卵巢恶性肿瘤蔓延到子宫或输卵管,伴有腹水,是指()
A.Ⅰ期
B.Ⅱ期
C.Ⅲ期
D.Ⅳ期
E.无法分清
229、单项选择题 下列哪种眼疾病声像图表现为凹面向前的“V”字形膜状回声()
A.完全性视网膜脱离
B.部分性视网膜脱离
C.脉络膜脱离
D.玻璃体后脱离
E.玻璃体机化膜
230、单项选择题 患者上腹部不适,超声显示胰腺体积轻度缩小,表面不平整,实质回声不均匀,主胰管扩张,呈串珠状,内见结石,提示诊断为()
A.急性胰腺炎
B.胰腺癌
C.胰腺结核
D.慢性胰腺炎
E.胰腺囊腺瘤
231、单项选择题 最不适于超声波检查的器官是()
A.肺段
B.乳房
C.前列腺
D.甲状腺
E.肝
232、单项选择题 常向子宫浸润,并向肺、脑转移的滋养细胞病变是()
A.绒毛膜癌
B.完全性葡萄胎
C.胎盘水泡状变性
D.部分性葡萄胎
E.以上都是
233、单项选择题
从探头表面发射出的声束受哪些因素影响()
①声束波长
②探头材料
③压电晶片的直径
A.②
B.①③
C.②③
D.①②③
E.①②
234、单项选择题 在胆囊扫查中,最容易显示胆囊、下腔静脉、右肾和胆总管的体位是()
A.直立位
B.半侧卧位
C.仰卧位
D.侧卧位
E.坐位
235、单项选择题 哪种情况下能够得到最佳的超声反射()
A.入射波平行于反射界面
B.入射波垂直于声阻抗不同的界面
C.入射波发生绕射、衍射、折射及表面反射
D.声束入射与反射间的夹角>90度
E.声束入射与反射间的夹角<90度
236、单项选择题 下列对肥厚型梗阻性心肌病超声所见的叙述,哪一项是错误的()
A.主动脉瓣收缩中期部分关闭
B.室间隔厚径明显增厚
C.左室后壁厚径增厚,但增厚程度小于室间隔
D.心室壁呈弥漫性向心性肥厚
E.室间隔厚径与左室后壁厚径比值大于1.5
237、单项选择题 70岁女性,不规则阴道流血7天,阴道镜示阴道及子宫颈形态尚可,宫颈管口有少量血性分泌物,声像图示子宫体积增大。首先考虑的病变是()
A.子宫肌瘤
B.子宫平滑肌肉瘤
C.葡萄胎
D.子宫内膜癌
E.子宫腺肌瘤
238、单项选择题 假回声产生的主要途径是()
A.反射
B.衍射
C.多重反射
D.递减
E.折射
239、单项选择题 通过胆囊窝中点到第二肝门处下腔静脉左壁之连线,将肝脏分为哪两叶()
A.左叶、右叶
B.右前叶、右后叶
C.左内叶、右外叶
D.尾叶、方叶
E.以上都不是
240、单项选择题 为检查肝细胞癌的病灶内血流,用哪一种多普勒技术最简便有效()
A.M型彩色多普勒
B.彩色多普勒血流显像
C.多普勒能量图
D.彩色多普勒能量图与超声造影并用
E.以上都不是
241、单项选择题 高强度聚焦超声还可称为()
A.体外聚焦高温疗法
B.聚焦超声外科
C.超声聚焦刀
D.超声切割
E.以上各项均是
242、单项选择题 在收缩期,压力最高的腔室()
A.主动脉
B.肺动脉
C.左心室
D.右心室
E.左心房
243、单项选择题 当发现肾脏肿块从下极延伸时应注意()
A.继续检查,注意胰腺有无转移
B.继续检查,注意下腔静脉及肾静脉有无转移
C.继续检查,注意腹主动脉有无转移
D.继续检查,注意盆腔有无转移
E.结束检查
244、多项选择题 扩张型心肌病的M型超声心动图表现为()
A.四个房、室腔扩大,以左心室腔扩大明显
B.二尖瓣前、后叶开放幅度小且时间短而呈钻石样改变
C.二尖瓣波群(2a区)表现为大心腔、小开口征象
D.瓣叶E峰顶点距离室间隔左心室面距离增宽
E.二尖瓣曲线CD段平坦
245、单项选择题 腹膜后淋巴结弥漫肿大,超声表现为()
A.钙化
B.囊性改变
C.蜂窝状
D.锯齿状
E.以上均是
246、单项选择题 患儿,男性,2岁,因腹部包块超声检查示左上腹巨大实性肿块,边界尚清,回声不均,见不规则的透声区,与肾脏关系密切,其上残存肾脏积水,最可能诊断是()
A.肾上腺肿瘤
B.肾癌
C.肾盂癌
D.肾母细胞瘤
E.腹膜后肿瘤
247、单项选择题 肺动脉瓣口血流的多谱勒频谱在肺动脉高压时的变化,下述哪一项是错误的()
A.频谱上升支陡峭
B.频谱波峰前移
C.频谱幅度明显增大
D.频谱波形似匕首形状
E.频谱持续时间短
248、单项选择题 “双泡”征是哪种疾病的声像图特点()
A.胎儿水肿
B.胎儿梗阻性黄疸
C.胎儿十二指肠梗阻
D.胎儿脐疝
E.胎儿脑脊膜膨出
249、单项选择题 男性,12岁,突然发现阴囊肿胀、剧疼。超声显示:睾丸轻度肿大,中等回声,2~3小时后复查睾丸回声尚均匀,睾丸内血流消失。最可能的诊断为()
A.睾丸炎及附睾炎
B.阴囊血肿
C.鞘膜积液
D.睾丸扭转
E.斜疝绞窄
250、单项选择题 羊水过少,超声诊断标准是羊水深度小于()
A.3cm
B.4cm
C.5cm
D.6cm
E.7cm
251、单项选择题 以下哪一项不是膝关节积液的声像图表现()
A.关节囊明显扩张,关节腔增宽,呈无回声区,内有短带状或团块状强回声
B.髌上间隙及髌前囊内有少量无回声区
C.关节滑膜增厚,呈结节状或团块状略强回声突向关节腔
D.半月板间隙宽大,可见两个强回声界面间有一低回声带
E.关节周围软组织肿胀
252、单项选择题 引起输尿管扩张的最常见原因是()
A.输尿管肿瘤
B.输尿管结核
C.输尿管结石
D.腹膜后肿瘤
E.输尿管畸形
253、单项选择题 正常成年人肾脏大小应为()
A.长10~12cm,宽5~7cm,厚3~5cm
B.长8~9cm,宽5~7cm,厚3~5cm
C.长11~13cm,宽6~8cm,厚4~6cm
D.长10~12cm,宽6~8cm,厚2~3cm
E.长10~13cm,宽6~8cm,厚4~6cm
254、单项选择题
女,32岁,偶感右上腹不适多年。声像图如图所示,最可能的诊断为()
A.胆囊结石
B.胆囊蛔虫
C.胆囊胆固醇结晶
D.胆囊息肉
E.胆囊腺瘤
255、单项选择题
患者,右下腹压痛反跳痛。结合超声声像图,最可能的诊断是()
A.肠梗阻
B.结肠癌
C.正常阑尾
D.阑尾炎
E.肠穿孔
256、单项选择题 下列选项除哪一项外,均为融合肾()
A.马蹄肾
B.S型肾
C.同侧融合肾
D.重复肾
E.对侧融合肾
257、单项选择题 下列哪项与超声波灰阶无关()
A.信号动态范围
B.增益及深度增益补偿
C.图像后处理
D.M型的扫描速度
E.聚焦点数或聚焦范围
258、单项选择题
女,38岁,上腹部经常疼痛,加重2天。声像图如图所示,诊断为()
A.左肝内胆管多发性结石
B.左肝血管瘤
C.左肝钙化灶
D.左肝内胆管蛔虫
E.左肝内胆管积气
259、单项选择题
X线无法显示而超声可显示的异物为()
①玻璃
②塑料
③木屑
A.②③
B.①②③
C.①②
D.①
E.③
260、单项选择题
患者,男,28岁,皮下扪及肿块六月余。超声检查压之不变形。声像图提示()
A.脂肪瘤
B.纤维瘤
C.皮下组织增厚
D.炎症
E.皮脂腺囊肿
261、单项选择题 肝内有三条韧带对超声检查很重要,它们是圆韧带、静脉韧带和镰状韧带。圆韧带是()①存在于左叶间裂②脐静脉的残留③在严重肝硬化时可见再通④在横切面上是一个回声增强光点⑤常见在门静脉之上
A.①②
B.①②③
C.①②③④
D.①③④⑤
E.①②③④⑤
262、单项选择题 骨巨细胞瘤在病理学上既有良性又有恶性,其恶性比率是()
A.10%
B.20%
C.40%
D.60%
E.80%
263、单项选择题 成年女性乳房的主要构成包括()
A.皮肤、皮下脂肪及韧带
B.脂肪、腺叶及小叶
C.皮肤、皮下脂肪及腺体
D.皮肤、皮下脂肪及肌肉
E.腺叶、腺泡及脂肪
264、单项选择题 前列腺增生症,尿道可能发生的形态改变是()
A.尿道内口移位
B.后尿道拉长超过3cm
C.后尿道曲度改变
D.排尿期尿道腔变细或不规则
E.以上均是
265、单项选择题 超声诊断脑积水(中期)的指征是()
A.双顶径增大,胎儿水肿
B.四肢伸展,脑室扩大
C.羊水过多,头-体比例失调
D.侧脑室率>0.5,脑中线偏移
E.侧脑室率>0.6,脑中线偏移
266、单项选择题 心肌舒张功能不包括哪项指标()
A.二尖瓣口血流E峰速度
B.等容舒张期时间
C.等容收缩期时间
D.二尖瓣口血流A峰的速度时间积分
E.二尖瓣口血流A峰幅度
267、单项选择题 超声耦合剂最主要的作用是()
A.提高超声波的输出强度
B.克服超声波在人体中的衰减
C.减少超声波在接触面的散射
D.使探头与检查部位声阻抗匹配良好
E.消除显示器上信号闪烁
268、单项选择题 关于不同组织声衰减一般规律的描述、不恰当的是()
A.组织内含水份愈多,声衰愈低
B.液体内含蛋白成分愈多,衰减愈高
C.组织中含胶原蛋白愈多,声衰减愈高
D.组织中含钙愈多,声衰减愈高
E.组织中含气成分愈多,声衰减愈低
269、单项选择题 婴幼儿时期,肾多囊性疾病常见于()
A.肾多发性单纯性囊肿
B.多囊性肾发育不全
C.多囊肾
D.重度肾积水
E.以上均是
270、单项选择题 伴有前列腺增生的前列腺结石是哪种()
A.成堆小结石
B.成堆小结石,弧形结石型
C.弧形结石型,散在小结石
D.弧形结石型
E.散在小结石,单个大结石
271、单项选择题 经腹壁超声检查女性盆腔的优点是()①不受年龄限制,对小女孩及未婚者更为适用②能清晰显示子宫、卵巢较大肿物及与邻近脏器的关系③能清晰显示盆腔较大肿块并判断来源④早期发现子宫腔内膜小病变
A.①
B.①②
C.①②③
D.①②③④
E.①③④
272、单项选择题 不属于腔内探头的是()
A.阴道探头
B.直肠探头
C.食管探头
D.胃镜探头
E.普通扇型探头
273、单项选择题 下列哪种气体不能用于超声造影()
A.空气
B.二氧化碳气体
C.氧气
D.纯氮气体
E.氟碳气体
274、单项选择题 胎儿中枢神经系统畸形常见的有()①脑积水②无脑儿③脑脊膜膨出④脊柱裂⑤脑膜膨出
A.①②
B.①②③
C.①②③④
D.①②③④⑤
E.①②④
275、单项选择题 前列腺内回声增强提示()
A.前列腺结石
B.前列腺新生物
C.前列腺肥大
D.前列腺斑点状钙化
E.以上都是
276、单项选择题 在行颅脑超声检查时,能较完整的显示大脑中动脉、大脑前动脉、后交通动脉及大脑后动脉的检查窗是()
A.颞窗
B.枕窗
C.眼窗
D.额窗
E.顶窗
277、单项选择题 宫内避孕器的并发症包括()
A.子宫肌层嵌顿
B.节育器穿孔、外游
C.子宫穿孔
D.盆腔积液
E.以上各项均是
278、单项选择题 频谱多普勒对检测血流的用途是()
A.精确测定血流宽度
B.测定血管壁的厚径
C.确定血流方向
D.确定是什么脏器的动脉血管
E.可单独测定血流量
279、单项选择题 孕8个月,无痛性阴道流血,首先应考虑()
A.输卵管妊娠并出血
B.前置胎盘
C.胎盘早剥
D.葡萄胎
E.先兆流产
280、单项选择题
该病例最可能的诊断()

A.主肺动脉间隔缺损
B.动脉导管未闭
C.冠状动脉—肺动脉瘘
D.主动脉窦瘤破裂
E.房间膈缺损
281、单项选择题 弥漫浸润型胃癌的声像图,下列哪一项描述是错误的()
A.病变多呈低回声
B.病变多呈“火山口”征
C.胃壁五层结构消失
D.胃腔狭窄呈“假肾征”
E.胃壁显著增厚
282、单项选择题 下列哪项可引起下腔静脉扩张()
A.肾盂积水
B.右心衰竭
C.Valsalva动作
D.左心衰竭
E.肝炎
283、单项选择题 以下选项中,哪项检查对诊断“眼底肿瘤”最好()
A.超声或眼底镜
B.MRI
C.血管造影
D.CT
E.眼眶正侧位平片
284、单项选择题
女性,28岁,停经42天,血HCG258μg/ml。结合超声图像,最可能的诊断为()
A.畸胎瘤
B.卵巢癌
C.双子宫并早期妊娠
D.子宫浆膜下肌瘤
E.双子宫并宫腔积液
285、判断题 细微分辨力是指在荧光屏上被分别显示两点的最小距离,包括纵向、横向分辨力和图像中像素的数目。
286、单项选择题
患者有风心病史,该病诊断是()

A.左房黏液瘤
B.左房赘生物
C.左房良性肿瘤
D.左房血栓
E.以上都不是
287、单项选择题 在超声评分胎盘成熟度中,0级胎盘绒毛膜板表现为()
A.有弥散性暗区
B.有稠密的线状回声
C.有不完全的分叶
D.光滑,平整
E.与基底层有切迹状的交通
288、单项选择题 胆囊颈由以下哪项与肝总管连接()
A.肝胰壶腹(Vater壶腹)
B.胆总管
C.肝左、右管
D.胆囊管
E.肝内胆管
289、单项选择题 二尖瓣狭窄时,以下超声检查哪项不正确()
A.瓣口血流速度明显增快
B.肺静脉血流速度亦增快
C.狭窄早期瓣口血流A峰增高
D.合并心房纤颤时,A峰消失
E.左室内可出现湍流信号
290、多项选择题 孕18周后USG可发现哪些先天性心脏畸形()
A.室间隔缺损
B.心内膜垫缺损
C.左心内膜纤维化
D.三尖瓣下移畸形
E.单心室、右室或左室发育不全
291、单项选择题 声在介质中的传播有纵波、横波和表面波三种方式,下列正确的是()
A.在固体中有纵波和横波两种方式
B.在液体中有纵波和横波两种方式
C.在气体中有纵波和横波两种方式
D.在真空中有纵波和横波两种方式
E.在生物组织中以纵波为主
292、单项选择题 镜面反射通常出现在下列哪一组织周围()
A.肝脏
B.胆囊
C.脾脏
D.膈肌
E.胰腺
293、单项选择题 超声对软组织肿块的检查,观察的主要内容是()
A.包膜是否完整
B.内部回声是否均匀
C.生长方式
D.血流多寡及类型
E.以上都是
294、单项选择题
超声引导下经皮经肝穿刺胆管造影应注意()
①需做碘过敏试验
②穿刺日禁食、水
③常用>16G细针
④常用20-23GPTC针
⑤穿刺成功后抽取胆汁送细菌培养及细胞学检查
⑥抽液后直接注入造影剂
⑦抽液后更换注射器缓注入造影剂
⑧术后卧床12小时
⑨术后卧床24小时
A.①②③⑤⑥⑧
B.①②④⑤⑥⑧
C.①②④⑤⑦⑨
D.①②③⑤⑦⑨
E.②③⑤⑦⑨
295、单项选择题 葡萄胎的声像图特征是()
A.结中结征
B.半岛征
C.牛眼征
D.蜂窝状
E.火海征
296、单项选择题 胆总管依行程可分为几段()
A.二段
B.三段
C.四段
D.五段
E.六段
297、单项选择题 腹部横切在哪一水平可显示门静脉()
A.第10胸椎
B.第11胸椎
C.第12胸椎
D.第1腰椎
E.第2腰椎
298、单项选择题
患者,女性,超声见乳房内无回光团,边清壁薄,CDFI未见血流,如图所示考虑为()
A.乳腺癌
B.乳腺腺瘤
C.乳腺脓肿
D.乳腺囊肿
E.以上都不是
299、单项选择题 肾周围脓肿常伴有()
A.肾积脓
B.胸膜渗液
C.肝脓肿
D.右心衰竭
E.腹腔积液
300、问答题 子宫内膜癌的声像图表现有哪些?