时间:2024-12-09 03:19:48


1、单项选择题 心肌灌注显像以及心血池显像时相图与振幅图呈现“补钉样”或“花斑样”,多提示_______心肌病()
A.肥厚型
B.限制型
C.缺血型
D.扩张型
E.缺血型
2、单项选择题 核素治疗病室中,无活性区是指()
A.病房
B.患者活动区
C.放射性核素储存场所
D.医护人员工作场所
E.放射性药物分装场所
3、单项选择题 _______情况下,TT浓度增高()
A.甲状腺功能正常,低蛋白血症
B.甲状腺功能正常,高蛋白血症
C.T型甲状腺功能亢进
D.口服碘剂以后
E.甲亢治疗后
4、问答题 简述正常肾图及各段意义。
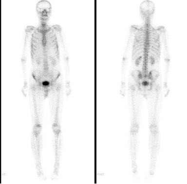
5、多项选择题
男,肝癌术后半年,诉胸背痛3个月,行Tc-MDP骨显像如图,可能的诊断是()
A.大致正常影像
B.胸12骨转移瘤
C.右侧第9后肋“冷区”
D.右侧第9后肋转移瘤
E.右侧第9后肋“甜面圈”征象
6、单项选择题 放射性核素脑血管造影系()
A.静态显像
B.动态显像
C.断层显像
D.全身显像
E.非显像方法
7、单项选择题
一患者的肝胶体显像及肝血池延迟显像如图,诊断是()
A.多发肝转移癌
B.多发肝囊肿
C.多发肝血管瘤
D.肝癌并肝内转移
E.以上都不是
8、单项选择题 正常情况下,上矢状窦影浓集出现在显像剂注入后()
A.1小时
B.3小时
C.6小时
D.24小时
E.48小时
9、多项选择题 放射性核素动态骨显像显示:血流相和血池相局部病灶放射性分布明显增加,且放射性消失迅速,而骨盐代谢相放射性分布正常,这些现象可见于下列何种疾病()
A.急性化脓性关节炎
B.急性蜂窝织炎
C.急性骨髓炎
D.成骨肉瘤
E.以上都不是
10、单项选择题 目前核素显像技术的优势是()
A.影像分辨率高
B.价格便宜
C.可显示脏器功能
D.计算机内存大
E.以上都对
11、问答题 肺通气显像在慢性阻塞性肺疾病诊断中有何临床意义?
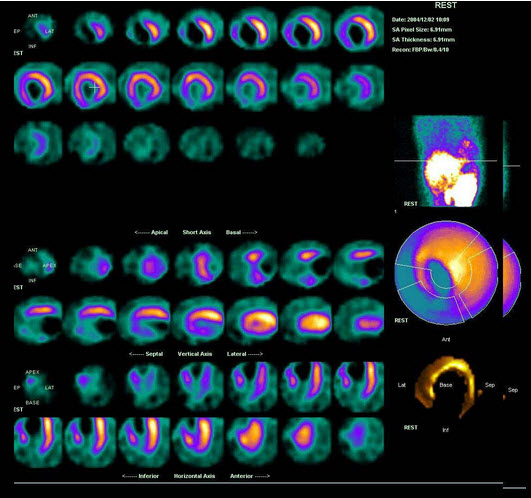
12、单项选择题
一患者的静息平衡法门控心室显像如图,正确的诊断是()

A.心尖缺血
B.心尖室壁瘤
C.扩张型心肌病
D.肥厚型心肌病
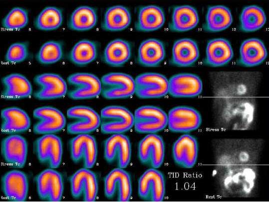
13、多项选择题
一男性病人的99Tcm-MIBI运动-静息心肌灌注显像如图,可能的诊断是()

A.左心室无心肌缺血
B.左心室前壁缺血
C.左心室心尖缺血
D.左心室前侧壁缺血
E.左心室后壁缺血
14、问答题 肝胆显像的临床意义。
15、单项选择题 移植肾血流灌注影像浓聚程度大于肾实质摄取像,并且膀胱未见显影,提示()
A.淋巴囊肿
B.急性肾小管坏死
C.尿漏
D.尿路梗阻
E.血栓形成
16、多项选择题 下列哪些检查有助于诊断肾内占位性病变()
A.肾图
B.肾素-血管紧张素测定
C.肾动态显像
D.肾静态显像
E.以上都正确
17、单项选择题 效应的严重程度随剂量的变化而变化的生物效应称为()
A.躯体效应
B.遗传效应
C.随机性效应
D.非随机性效应
E.以上都不是
18、多项选择题 关于PET的电子准直器正确说法有()
A.由于正电子的射程很短,电子准直的探测效率低
B.电子准直将正电子核素发射的正电子准直,使探测器能探测到正电子
C.利用时间符合确定湮没反应的空间位置
D.电子准直不使用吸收材料,探测效率高
E.电子准直可以使向各个方向辐射的光子改变方向,并将其按角度分组
19、单项选择题 受体放射分析与放射受体分析的比较,两种分析法的不同处是()
A.标记配体
B.生物活性
C.受体的性质
D.结合原理
E.分析目的
20、多项选择题 下列关于随机效应说法正确的是()
A.随机效应研究对象是群体
B.主要有致癌效应和遗传效应
C.是辐射效应发生的概率与剂量相关的效应
D.不存在具体阈值
E.一般是在短期内受较大剂量照射时发生的急性损伤
21、单项选择题 在骨显像时,下列哪项不属于超级影像的表现()
A.骨与软组织对比增强
B.中轴骨与四肢骨放射性摄取比值增加
C.肾呈淡影或不显影
D.“双条”征
E.“领带”征
22、多项选择题 理想的脑灌注显像剂应具备()
A.不能穿透血脑屏障
B.能穿透血脑屏障
C.在脑中滞留足够的时间
D.具有确定的脑区域分布
E.迅速从体内清除
23、单项选择题 肝血管瘤肝血池显像的典型表现为血管瘤处放射性较周围肝组织()
A.增高
B.相似
C.稍低
D.减低
E.明显减低
24、问答题 利尿剂介入试验的基本原理是什么?
25、单项选择题 自主性高功能腺瘤无下列哪一种表现()
A.甲状腺显影呈"热结节",周围甲状腺组织为低放射区
B.甲状腺显影呈"热结节",T抑制试验结节处不受抑制
C.甲状腺显影呈"热结节",T抑制显像示结节处受抑制
D.仅腺瘤显影,而周围甲状腺组织不显影
E.仅腺瘤显影,而周围甲状腺组织经TSH兴奋试验才显影
26、名词解释 超级骨显像
27、填空题 放射性核素脑血管造影分为三个时相:①________、②__________、③__________。
28、单项选择题 下列哪种疾病肾图曲线为低水平延长线型()
A.肾结核
B.肾肿瘤
C.单侧肾动脉狭窄
D.慢性肾小球肾炎(尿毒症期)
E.肾结石
29、单项选择题 肾图检查可了解移植肾是否存活,提示移植肾成活的肾图是()
A.正常型
B.持续上升型
C.高水平延长型
D.抛物线型
E.低水平延长线型
30、问答题 骨转移瘤核素治疗的适应证和禁忌证有哪些?
31、单项选择题
男性,29岁,右侧下肢疼痛3个月,行X线片及骨显像检查,正确的诊断是()
A.右侧下肢膝关节炎
B.右侧股骨下端成骨性骨肉瘤
C.右侧股骨下端溶骨性骨肉瘤
D.右侧股骨下端骨纤维肉瘤
E.以上都不是
32、单项选择题 异位胃粘膜显像时,部分憩室出现假阴性,原因是()
A.未禁食
B.服用了阻断胃粘膜摄取及促蠕动分泌药物
C.憩室内无异位胃粘膜
D.憩室内炎症
E.以上都是
33、单项选择题 下列哪项不是肾静态显像的应用()
A.肾小球滤过率测定
B.肾实质内占位性病变
C.肾脏位置
D.肾脏大小
E.以上都不正确
34、单项选择题
女性,53岁,乳腺癌术后3年,无明显不适,行99Tcm-MDP骨显像如图,最可能的诊断是()
A.大致正常的骨影像
B.超级骨影像,广泛骨转移
C.代谢性骨病
D.双肾功能严重受损
E.以上都不是
35、多项选择题 β粒子的电离密度大大小于α粒子,因为β粒子()
A.有负电荷
B.电荷量少
C.排斥而不是吸引电子
D.每次电离丧失34keV能量
E.速度快
36、问答题 放射性异常浓聚,也称___________显像,是最常见的影像特征,是由于骨皮质的破坏和新骨的形成引起的,常见于___________、___________、____________、_____________、引起的骨质变化、骨膜损伤及骨增生性病变等。
37、单项选择题 下列哪种药物与潘生丁负荷心肌灌注显像作用机制相似()
A.多巴酚丁胺
B.氨茶碱
C.硝酸甘油
D.腺苷
E.异舒吉
38、问答题 肺灌注显像的适应证有哪些?
39、单项选择题 异位胃粘膜显像,其显像剂是()
A.99Tcm-胶体
B.99Tcm-RBC
C.99Tcm-IDA
D.99Tcm-DTPA
E.99TcmO3
40、单项选择题 平衡法心功能显像采用下列哪种显像剂()
A.99TcmO3
B.99Tcm—红细胞(RBC)
C.99Tcm—MDP
D.99Tcm—MAA
E.99Tcm—DTPA
41、问答题 肾脏显像的临床应用(至少写6条)。
42、单项选择题 用SPECT进行局部脑血流断层显像(rCBF)诊断脑梗死时,下面哪一项不是其特征表现()
A.rCBF显像表现为病灶局部放射性缺损
B.rCBF显像所显示的放射性缺损面积往往大于CT和MRI
C.病灶四周放射性异常增高
D.病灶对侧小脑的放射性减低,又称交叉性小脑失联络
E.出现多个类圆形放射性增高区
43、单项选择题 下列哪项是肾小球滤过型显像剂()
A.(99)Tc(m)-DTPA
B.邻-I马尿酸钠
C.(99)Tc(m)-EC
D.(99)Tc(m)c-MAG3
E.以上都不正确
44、单项选择题 RIA测定AFP与酶标法的最大区别()
A.定性分析
B.精确定量
C.方法不同
D.分离技术不同
E.以上均不正确
45、单项选择题 T抑制显像用于下列哪种情况时的鉴别诊断()
A.温结节
B.热结节
C.凉结节
D.冷结节
E.仅结节显影而周围正常组织不显影
46、问答题 运动负荷试验的适应证有哪些?
47、填空题 乳腺癌骨转移是________、________、________。
48、单项选择题 规定的化学形式放射性活度占放射性药物总放射性活度的百分数,称为()
A.放射性核纯度
B.放射化学纯度
C.化学纯度
D.放射性活度
E.放射性比活度
49、单项选择题 不属于分子核医学研究范畴的是()
A.代谢显像
B.受体显像
C.反义显像和基因显像
D.凋亡显像
E.血流灌注显像
50、单项选择题 核素显像诊断肝海绵状血管瘤的最恰当的方法是()
A.肝胶体显像
B.肝阳性显像
C.肝血池显像
D.肝胶体和肝血池联合显像
E.肝胆显像
51、单项选择题
33岁男性,阵发性高血压2年,行I-MIBG腹部平面显像如图,最可能的诊断是()
A.双侧肾上腺髓质增生
B.双侧肾上腺嗜铬细胞瘤
C.大致正常的肾上腺髓质影像
D.双侧肾上腺皮质增生
E.右侧腹主动脉旁异位嗜铬细胞瘤
52、单项选择题 在心血池显像中,下列对WPW诊断最有帮助的是()
A.相位图
B.振幅图
C.相位直方图
D.心动电影
E.时相电影
53、多项选择题 骨转移癌放射性核素治疗,禁忌证()
A.骨痛明显
B.骨痛不明显
C.化疗和放疗无效
D.严重骨髓功能障碍
E.严重肝、肾功能障碍
54、多项选择题 放射性核素骨显像可用于诊断()
A.骨肉瘤
B.骨转移瘤
C.Paget病
D.镰状红细胞贫血
E.骨质疏松
55、多项选择题
男性,65岁,急性心前区疼痛2天入院。行静息Tc-MIBI心肌显像如图,可能的诊断是()

A.下后壁心肌梗死
B.心尖心肌梗死
C.间壁严重缺血
D.梗死区无存活心肌
E.部分前壁心梗
56、单项选择题 正常甲状腺组织摄取碘和高锝酸盐的主要区别是()
A.体内的碘85%集聚在甲状腺
B.锝可以在甲状腺以外组织集聚
C.碘在甲状腺组织可进行有机化,而锝不能
D.锝是一种金属,而碘不是
E.锝是被动转运.碘是主动摄取
57、多项选择题 能获得心脏功能指标的显像方法有()
A.首次通过法心血池显像
B.门电路心血池显像
C.门电路心肌显像
D.201Tl运动-再分布显像法
E.99Tcm-MIBI运动-静息隔日显像法
58、多项选择题 时间分辨荧光和化学发光分析与体外放射分析比较,其优点()
A.为非放射性标记,试剂稳定,有效期长
B.时间分辨荧光分析较放射免疫分析灵敏度高
C.目前的试剂成本低
D.自动化程度高
E.标准曲线稳定,一次定标后可稳定数周甚至数月
59、单项选择题 调节醛固酮的分泌主要是()
A.血Na浓度
B.血K浓度
C.肾素-血管紧张素
D.ACTH
E.血容量改变
60、单项选择题 股骨头无菌性坏死,依靠下列哪种检查方法进行诊断()
A.骨盆静态显像
B.全身骨显像
C.骨三相显像
D.骨断层显像
E.以上方法均可
61、名词解释 小肾图
62、名词解释 过氯酸钾释放试验
63、单项选择题 典型癫痫灶的SPECT脑灌注显像的表现是()
A.发作和间歇期均增高
B.发作和间歇期均减低
C.发作时增高,间歇时减低
D.发作时减低,间歇时增高
E.发作时增高.间歇时正常
64、单项选择题
男,48岁,肺小细胞癌化疗中,诉全身疼痛,行全身骨显像如图,可能的诊断是()
A.广泛骨转移瘤
B.颅骨有冷区
C.大致正常的影像
D.颅骨有“甜面圈”征
E.是超级骨显像
65、单项选择题 新生儿肝炎和先天性胆道闭锁在肝胆动态显像中的鉴别要点是()
A.肝脏显影是否清晰
B.肠道内放射性的出现是否延迟
C.胆囊是否显影
D.注射24小时内肠道是否有放射性出现
E.胆管有否扩张
66、单项选择题
男,45岁,上腹部不适,行99Tcm-RBC延迟6小时断层显像如图,最准确地诊断是()
A.肝右叶肝癌
B.肝右叶局灶结节增生
C.肝右叶血管瘤伴中心液化
D.肝右叶海绵状血管瘤
E.以上都不是
67、单项选择题 下列哪个是淋巴显像剂()
A.99Tcm-EHIDA
B.99Tcm-PMT
C.99TcmO3
D.99Tcm右旋糖酐(DX)
E.I-IMP
68、单项选择题 甲状腺结节大于2cm时,下列何种情况可呈“温结节”()
A.甲状腺囊肿
B.自主性高功能腺瘤
C.腺瘤
D.甲状腺癌
E.腺瘤出血
69、单项选择题
一患者的99Tcm-MAA下肢深静脉早期、延迟显像如图,正确的诊断是()

A.双下肢深静脉回流通畅
B.下腔静脉堵塞
C.右下肢股静脉处血栓形成
D.左下肢股静脉处血栓形成
E.以上都不是
70、单项选择题 放射免疫测定时,用I标记的是()
A.抗体
B.抗原
C.二抗
D.待测标本
E.以上均不正确
71、单项选择题 采用不通过血脑屏障显像剂的脑静态显像脑病灶中心液化可表现为()
A.热鼻征
B.过度灌注征
C.轮圈征
D.新月征
E.分水岭征
72、单项选择题 某病人吸I率明显低于正常范围,T、T增高,应首先考虑()
A.甲状腺功能亢进
B.甲状旁腺功能减退
C.甲状腺腺瘤
D.亚急性甲状腺炎
E.以上都不正确
73、单项选择题
男,71岁,右胫骨骨巨细胞瘤术后4年,无明显不适,行Tc-MDP骨显像如图,对此正确的描述()
A.正常的术后骨显像图
B.右胫骨浓聚影为手术所致
C.有跳跃性的骨转移
D.提示肿瘤复发
E.CT检查可能未见明显的骨骼异常
74、单项选择题 放射性核纯度一般要求大于()
A.99%
B.95%
C.90%
D.80%
E.85%
75、单项选择题 采用心室面积轴线缩短法判断左心室室壁运动异常的缩短率标准是()
A.<5%
B.<10%
C.<10%
D.<20%
E.<30%
76、单项选择题
一患者的I-碘代胆固醇显像72h图像如图,最可能的诊断是()
A.双侧肾上腺髓质增生
B.双侧肾上腺皮质增生
C.正常的肾上腺皮质影像
D.双侧肾上腺皮质肿瘤
E.以上都不是
77、填空题 室间隔缺损则只有___________,右房首次显影后不再重复显影;动脉导管未闭由于血流的异常通道在主动脉与肺动脉之间,故无右心重复显影,仅有"脏污"现像
78、单项选择题 骨是一种器官,它的构造下列哪个答案正确()
A.骨膜、骨密质和骨髓
B.骨质、骨膜和骨髓
C.黄骨髓、骨膜和骨松质
D.红骨髓、骨密质和骨膜
E.骨髓、骨质、骨膜、血管、淋巴管和神经
79、问答题 心肌灌注显像异常表现有哪些?
80、单项选择题 下列何种显像剂用于脑血流灌注显像()
A.TcO
B.Tc-ECD
C.Tc-MAA
D.I-MIBG
E.Tc-MIBI
81、单项选择题 TcO在甲状腺内是()
A.仅被甲状腺组织吸附
B.参与甲状腺激素合成
C.参与甲状腺激素代谢
D.参与甲状腺激素分泌
E.以甲状腺激素形式潴留
82、单项选择题 交通性脑积水的诊断最好选用_______显像。()
A.rCBF
B.脑血管动态
C.脑静态
D.脑脊液间隙
E.PET
83、单项选择题 急性胆囊炎在胆管系统显像中胆囊表现为()
A.于10min前显影
B.于20min前显影
C.于30min前显影
D.延迟1~2h显影
E.胆囊持续不显影
84、单项选择题 下列哪一项不属于代谢性骨病的范畴()
A.骨质疏松症
B.甲状旁腺功能亢进
C.退行性骨关节病变
D.Paget病
E.肥大性肺性骨关节病
85、单项选择题 下列哪种情况在全身骨显像图像上表现为"冷区"()
A.骨囊肿
B.骨折
C.中晚期股骨头无菌性坏死
D.骨退行性变
E.骨肿瘤
86、问答题 肺癌阳性显像如何进行结果判断?
87、单项选择题
肺灌注显像剂常用99Tcm-MAA,其颗粒需控制在()
A.<10μm
B.10~60μm
C.60~100μm
D.100~300μm
E.>300μm
88、单项选择题 初诊甲状腺功能亢进的患者(未用过抗甲状腺功能亢进药物治疗前),其甲状腺摄I率的典型特征是()
A.在服I后第24小时的摄I率明显升高,峰时位于第24小时
B.在服I后第24小时的摄I率低于正常范围
C.在服I后第3~6小时的摄I率高于正常范围
D.在服I后第24小时的摄I率高于正常范围且伴速度增快
E.以上都不对
89、问答题 骨髓显像的正常影像有何特点?
90、问答题 甲状腺血流显像的适应证有哪些?
91、单项选择题 1926年美国波士顿的内科医生首次应用放射性氡研究人体动、静脉血管床之间的循环时间,被誉为“临床核医学之父”。该内科医生是()
A.卢姆加特
B.亚历山大?丹拉斯
C.卡森
D.特克尔
E.cassen
92、单项选择题 兴奋值为下列哪一项时,甲状腺兴奋试验为兴奋()
A.5%~10%
B.<5%
C.>10%
D.>2%
E.>3%
93、填空题 在肝动脉灌注显像时,早期动脉相病灶区出现放射性浓聚,提示为_______可能。
94、单项选择题 门控心血池显像中,心动电影见弥漫性室壁运动低下多见于()
A.心肌梗死
B.可逆性心肌缺血
C.肥厚型心肌病
D.扩张型心肌病
E.室壁瘤
95、问答题 简述脑受体显像的临床应用。
96、填空题 肺动脉栓塞典型的肺灌注显像表现为多发的肺段性______,同期肺通气显像正常和胸部X线检查正常。
97、单项选择题 SPECT肾断层显像主要用于()
A.肾盂结石
B.急性肾炎
C.肾占位病变
D.肾病综合征
E.慢性肾炎
98、单项选择题 若病人未经治疗,梗阻时间长,肾功能严重受损,此时的肾图可能是()
A.持续上升型
B.高水平延长线型
C.抛物线型
D.低水平延长线型
E.阶梯式下降型
99、多项选择题
患者48岁,右乳癌术后7年,感颈部疼痛2个月,行99Tcm-MDP骨显像如图,可能的诊断是()
A.大致正常的影像
B.下位颈椎有病理性骨折
C.下位颈椎有骨转移
D.双侧股骨远端骨转移瘤
E.骨质疏松征象
100、单项选择题 局部心室壁运动呈反向搏动常提示()
A.肥厚型心肌病
B.扩张型心肌病
C.缺血性心肌病
D.预激综合征
E.心室室壁瘤
101、单项选择题 诊断TIA最好选用()显像。
A.rCBF
B.脑血管动态
C.脑静态
D.脑池
E.脑室
102、单项选择题
女性,55岁,左大腿上部疼痛3个月,X线片、CT均提示左股骨上段骨囊肿,行全身骨显像如图,最可能的诊断是()
A.左股骨上段骨囊肿
B.右侧第9后肋、左股骨上段骨转移癌
C.右侧第9后肋、左股骨、左侧髋臼等骨转移改变
D.未见明显骨转移征象
E.以上都不是
103、单项选择题 I用于甲状腺显像的主要原理是()
A.细胞吞噬
B.循环通路
C.选择性摄取浓集
D.合成代谢
E.通透弥散
104、问答题 核素显像如何诊断肾血管性高血压?
105、单项选择题 核素肝胆动态显像中,先天性胆道闭锁的影像特点是()
A.肠道24小时仍不出现放射性
B.胆道延迟到4小时不显影
C.胆囊延迟到4小时不显影
D.肝显影延迟
E.肝脏不显影
106、单项选择题
男,49岁,反复发作心前区疼痛半年,行负荷、静息F-FDG心肌代谢显像如图,诊断是()

A.未见心肌缺血表现
B.心尖心梗
C.心尖、前间壁、部分下壁缺血
D.心尖室壁瘤形成
E.以上都不是
107、问答题 肝血管瘤在肝静态显像、肝血流显像和肝血池显像的影像特征是什么?
108、问答题 核素骨显像的原理
109、单项选择题 肝胶体显像适应证为()
A.肝占位性病变
B.黄疸鉴别
C.胆系结石时,肝、胆各部位功能状况判定
D.先天性胆道闭锁
E.婴肝综合征
110、问答题 脑血管动态显像正常与异常影像特征有哪些?
111、名词解释 甲状腺激素释放激素(TRH)兴奋试验
112、问答题 简答癫痫患者在发作期和发作间歇期局部脑血流显像的影像表现。
113、单项选择题 导致Meckel憩室显像假阴性的原因()
A.阑尾炎
B.憩室内炎症
C.肠套叠
D.小肠梗阻
E.节段性回肠炎
114、单项选择题 光电峰的FWHM与射线能量之比的百分数,表示的是()
A.闪烁探测器的计数率特性
B.闪烁探测器的能量分辨率
C.闪烁探测器的探测效率
D.闪烁探测器的能量线性
E.闪烁探测器的空间分辨率
115、单项选择题 屏蔽β射线选用低原子序数的材料,其目的是减少()
A.散射
B.外照射
C.电离
D.轫致辐射
E.以上都不是
116、问答题 简述高危心肌灌注影像的特征。
117、问答题 甲状腺摄取I试验的原理是什么?
118、问答题 肝胶体显像得异常表现有哪些?其临床意义是什么?
119、问答题 淋巴显像正常及异常表现有哪些?
120、单项选择题 垂体性甲状腺功能低下的诊断,做下列哪种检查较合适()
A.甲状腺吸I试验
B.T抑制试验
C.过氯酸盐释放试验
D.TRH兴奋试验
E.TSH兴奋试验
121、多项选择题 室壁瘤门控心血池显像的特点有()
A.心动电影显示反向运动,局部射血分数减低,心室缩短率呈负值
B.心动电影显示同向运动,局部射血分数减低,心室缩短率降低
C.时相分析局部时相提前,时相直方图见相角程变窄
D.时相分析局部时相延迟,时相直方图见相角程增宽
E.心室影像形态失常,室壁瘤部位呈局限性向外膨出
122、单项选择题 局部脑血流显像以水平切面中部图像最具有代表性,中部是OM线(眶-耳线)上方多少左右()
A.20mm
B.10mm
C.40mm
D.60mm
E.5mm
123、问答题 一般认为骨显像能比X线检查提前___________个月发现转移病灶。
124、单项选择题 利用Tc-PYP进行急性心肌梗死诊断,属于()
A.全身显影
B.动态显影
C.阴性显影
D.早期显影
E.阳性显影
125、单项选择题 F—脱氧葡萄糖(FDG)脑断层显像是采用()
A.脏器功能测定仪
B.γ照相机
C.正电子照相机
D.SPECT
E.PET
126、单项选择题 肝脏胶体显像剂静脉注射后由肝内下列哪种细胞摄取而显影()
A.肝细胞
B.肝巨噬细胞
C.胆管细胞
D.肝癌细胞
E.血管上皮细胞
127、单项选择题 关于肾图的下列说法,哪一个是不正确的()
A.肾图曲线是快速通过肾脏的放射性药物的时间-活度曲线
B.正常肾图曲线由三段组成,a段为示踪剂出现段,b段为聚集段,c段为排泄段
C.正常肾图曲线c段主要反映尿路通畅情况及尿流量
D.正常肾图曲线峰时为5~8分钟,半排时间为10~15分钟
E.正常肾图a段反映的是肾脏的血流灌注量
128、单项选择题 正常情况下,脑池显像“三叉影像”出现在注入显影剂后()
A.1小时
B.3小时
C.6小时
D.24小时
E.48小时
129、单项选择题
32岁男性,无明显诱因发现右颈部包块,感疼痛1个月,行TcO甲状腺静态显像如图,最可能的诊断是()
A.亚甲炎
B.右甲状腺腺瘤
C.桥本氏病
D.甲状旁腺功能减退
E.Graves’病
130、问答题 骨转移瘤核素治疗的基本原理是什么?
131、问答题 简述肝胶体显像的原理。
132、问答题 乳腺癌放射免疫显像(RII)原理。
133、单项选择题 在SPECT显影中,衰减校正的最佳方法是()
A.几何平均法
B.算术平均法
C.根据物质密度分布的实际情况进行校正
D.后校正方法
E.指数平均法
134、单项选择题 由垂体分泌的与甲状腺功能直接有关的激素是()
A.TSH
B.TRH
C.FSH
D.PRL
E.LH
135、问答题 简述肾内占位性病变的含义。
136、单项选择题 ______能用门电路装置来测定()
A.射血分数
B.上腔静脉梗阻
C.心室内分流
D.心包积液
E.以上都不是
137、单项选择题 临床上大多数肿瘤骨转移的好发部位下列哪个排序最常见。()
A.脊柱﹥胸部﹥颅骨﹥四肢﹥骨盆
B.骨盆﹥脊柱﹥胸部﹥颅骨﹥四肢
C.颅骨﹥胸部﹥脊柱﹥骨盆﹥四肢
D.胸部﹥脊柱﹥骨盆﹥四肢﹥颅骨
E.四肢﹥颅骨﹥胸部﹥脊柱﹥骨盆
138、填空题 自身免疫性甲状腺炎患者,血清_______和_______抗体多为阳性。
139、单项选择题 显像剂在病变组织中的浓聚明显低于周围正常组织,此种显像称为()
A.热区显像
B.冷区显像
C.早期显像
D.延迟显像
E.阳性显像问题
140、单项选择题 (131)I-OIH肾动态显像特点下列哪个不正确()
A.肾小管分泌型显像剂
B.不能进行肾小球滤过率的测定
C.20min清除率<50%
D.用作肾动态显像剂,可得到Tc-EC同样的图像质量
E.正常人平均肾图峰时为2.5min
141、多项选择题 关于SPECT的原理,下列哪些是由投影重建断层的方法()
A.分部积分法
B.迭代法
C.傅立叶变换法
D.换元积分法
E.滤波反投影法
142、单项选择题 核素显像的方法是根据()
A.超声传播的特性及其有效信息
B.根据人体器官的组织密度的差异成像
C.射线穿透不同人体器官组织的差异成像
D.生物磁自旋原理
E.放射性药物在不同的器官及病变组织中特异性分布而成像
143、问答题 消化系统肿瘤放射免疫显像有何临床意义?
144、单项选择题 F-FDG用于PET脑葡萄糖代谢显像,主要由于脱氧葡萄糖较葡萄糖()
A.进入脑组织快
B.进入脑组织多
C.在脑内代谢氟脱氧葡糖-6-磷酸(FDG-6-P)能进一步代谢
D.在脑内代谢产物FDG-6-P不能进一步代谢
E.在脑内清除快
145、填空题 肺灌注显像时静脉注入直径10~100μm的放射性颗粒最常应用的是__________。
146、单项选择题
男性78岁,左胸部疼痛1个月,呈间歇性疼痛,CT示左侧胸壁软组织肿块影,对骨显像描述最准确的是()
A.一定是肋骨原发骨肿瘤
B.一定是胸膜间皮瘤侵犯左侧肋骨
C.可能是单发的成骨转移癌
D.良性的肋骨病变如结核
E.以上都不是
147、填空题 肝实质显像出现缺损,血池显像病灶区呈异常浓聚,提示________。
148、单项选择题 衡量测定系统准确度的质控指标,通常要求回收率介于多少之间()
A.80%~100%
B.90%~110%
C.90%~120%
D.80%~120%
E.95%~105%
149、问答题 甲状腺亲肿瘤显像原理及适应证有哪些?
150、单项选择题 TSH基础值增高,TRH兴奋试验TSH明显增高,呈强反应考虑为()
A.正常
B.下丘脑性甲状旁腺功能减退
C.垂体性甲状旁腺功能减退
D.原发性甲状旁腺功能减退
E.以上都不正确
151、单项选择题 肥厚型心肌病在门控心血池显像中的特点不含下列哪一项()
A.室间隔影像增宽
B.心腔影狭小
C.LVEF特别是1/3EF增高
D.心室大小正常
E.舒张期功能受损
152、单项选择题 功能自主性甲状腺瘤(Plummer病)和先天性一侧甲状腺缺如依靠下列哪种手段可以区分()
A.甲状腺B超
B.Tc甲状腺静态显像
C.Tc甲状腺动态显像
D.Tc-MIBI甲状腺静态显像
E.Tc甲状腺静态显像+TSH兴奋显像
153、名词解释 邻(131)I马尿酸钠利尿肾图
154、单项选择题 根据我国医学专业学位的设置,核医学属于()
A.影像医学
B.影像诊断医学
C.放射医学
D.影像医学与核医学
E.以上均不对
155、问答题 脑灌注显像异常图像特征有哪些?
156、多项选择题 心肌灌注显像确认急性心肌梗死高危病人的指征包括()
A.梗死周围有明显的残留缺血灶
B.急性梗死的远处出现缺血
C.心肌显像剂肺摄取增高
D.固定的缺损
E.单个小的缺损
157、多项选择题 下列哪些是反映放射性核素示踪技术的定义()
A.以放射性核素或标记化合物为示踪剂
B.应用射线探测仪器探测其行踪
C.研究样品中射线性质
D.研究示踪剂在生物体系或外界环境中分布及运动规律的技术
E.研究电离辐射对组织的作用机理
158、问答题 肝胆显像原理是什么?正常表现如何?
159、单项选择题 乳腺癌淋巴转移的第一站是()
A.腋窝淋巴结
B.内乳淋巴结
C.锁骨上淋巴结
D.锁骨下淋巴结
E.前哨淋巴结
160、问答题 (131)I-MIBG治疗肿瘤的原理是什么?
161、单项选择题 甲状腺功能亢进症患者血清甲状腺激素浓度高于正常,血清TSH浓度常为()
A.增高
B.变化无规律
C.正常
D.减低
E.明显增高
162、填空题 脑梗死在急性期(发病2~3天内,尤其是24小时内),病变尚未形成明显的结构变化,在rCBF影像上可显示病变部位呈放射性明显减低或缺损,X-CT和MRI常_____;在亚急性期(发病3天后),当病变形成明显结构改变后,X-CT和MRI显示_____,但往往rCBF影像所示病变范围较X-CT者____,这是由于梗塞灶(结构异常)的周边同时还存在着单纯的____区。
163、问答题 何谓乳腺癌前哨淋巴结?
164、问答题 用I治疗甲状腺功能亢进有哪些注意事项?
165、多项选择题 乳腺癌常用显像剂为()
A.67Ga
B.111In-WBC
C.201Tl
D.99Tcm-MIBI
E.99Tcm-DMSA
166、单项选择题 慢性淋巴细胞性甲状腺炎无下列何种表现()
A.甲状腺Tc显像呈“热结节”
B.甲状腺I显像呈“热结节”
C.甲状腺球蛋白(Tg)抗原明显升高
D.血清TgAb与TmAb阳性
E.过氯酸钾排泌试验,释放率增高
167、问答题 淋巴显像的基本原理是什么?
168、单项选择题 患者全身骨显像图像上存在两个以上相邻的骨浓聚灶,其余无异常。造成这种情况的最可能原因是()
A.外伤
B.炎症
C.肿瘤骨转移
D.骨结核
E.甲状旁腺功能亢进
169、问答题 脑灌注显像在早老性痴呆诊断中有何应用价值?
170、问答题 试述骨显像的临床应用。
171、多项选择题
男,肝癌术后1年,诉腰背痛5个月,行全身骨显像如图,碱性磷酸酶明显增高,可能的诊断是()
A.胸12“冷区”
B.胸12有溶骨性病变
C.胸12骨转移瘤
D.大致正常的骨影像
E.肝癌骨转移“冷区”较常见
172、单项选择题 放射化学纯度一般控制在()
A.80%以上
B.85%以上
C.90%以上
D.95%以上
E.70%以上
173、多项选择题
34岁男,左侧髋关节外伤伴脱位半年,左下肢疼痛、跛行半个月,行双侧髋关节断层显像如图,可能的诊断是()
A.左侧股骨头缺血性坏死(早期)
B.左侧髋臼滑膜炎
C.左侧股骨头“甜面圈”征
D.左侧股骨头缺血性坏死(中期)
E.股骨头未见缺血性坏死征象
174、单项选择题 放射性核素脑血管造影常用的显像剂为()
A.TcO
B.Tc-ECD
C.Tc-GH
D.Tc-DTPA
E.Tc-HMPAO
175、问答题 硝酸甘油介入试验的原理是什么?
176、多项选择题 评价移植肾功能和血流灌注的放射性药物有()
A.(99)Tc(m)-DTPA
B.(131)I-OIH
C.(99)Tc(m)-MAG3
D.(99)Tc(m)-MIBI
E.以上都可以
177、单项选择题 脑脊液产生于()
A.脑和脊髓组织
B.软脑膜
C.蛛网膜
D.脑室脉络丛
E.以上都不是
178、单项选择题 心室壁瘤在位相直方图中特征性表现为()
A.相角程缩小
B.相角程增宽
C.心室峰增高
D.出现附加峰
E.心室峰减低
179、单项选择题 中央型肺癌时肺肺灌注显像显示病灶范围往往较X线平片所见为()
A.稍小
B.小
C.明显小
D.大
E.相仿
180、单项选择题 在肾静态显像中,为了清楚地显示马蹄肾,应采用的静态显像方式是()
A.前后位静态显像(ANT)
B.后位静态显像(POST)
C.左前斜位(LAO)3O度
D.右前斜位(RAO)30度
E.左后斜位(LPO)45度
181、多项选择题 重复用I治疗甲状腺功能亢进,I剂量()
A.应比第l次增加
B.应比第l次减少
C.应与第l次一样
D.如第l次治疗无效或病情加重,可适当增加
E.如第l次治疗好转而未痊愈,应适当减少剂量
182、单项选择题 放射性核素衰变的速度取决于()
A.衰变常数
B.放射性活度
C.衰变时间
D.环境温度
E.比活度
183、单项选择题 促甲状腺素释放素(TRH)兴奋试验正常范围是()
A.高峰时间是30min,TSH增加幅值为10~30mμ/l
B.高峰时间是30min,TSH增加幅值为6~12mμ/l
C.高峰时间是60min,TSH增加幅值为10~30mμ/l
D.高峰时间是60min,TSH增加幅值为6~12mμ/l
E.高峰时间是90min,TSH增加幅值为6~12mμ/l
184、单项选择题 回旋加速器生产放射性核素常是()
A.中子缺少
B.存在时间长
C.中子过剩
D.价格便宜
E.以上都不对
185、多项选择题 电离辐射的生物效应,包括以下哪几个阶段()
A.物理阶段
B.物理化学阶段
C.化学阶段
D.生物学阶段
E.有丝分裂阶段
186、多项选择题 下列哪些方法可用于评价心肌存活()
A.硝酸甘油介入99Tcm-MIBI心肌灌注显像
B.201Tl再分布/延迟心肌显像
C.201Tl再次注射法心肌显像
D.99Tcm-MIBI运动-静息隔日心肌显像法
E.99Tcm-MIBI心肌显像摄取比值测定
187、多项选择题 肿瘤的放射性胶体腔内治疗,适应证包括()
A.病理学检查证实有胸腹膜转移或积液中查见癌细胞
B.病情严重
C.有明显恶病质
D.体积小的包裹性积液
E.反复多次穿刺仍有积液,生存期3个月或3个月以上
188、问答题 淋巴显像在恶性肿瘤淋巴转移诊断中的临床意义是什么?
189、填空题 Tc-PYP心肌显像对于急性心肌梗死的探测灵敏度取决于梗死后显像的时间,通常在胸痛发生后4~8小时即可出现阳性,5日内持续显影,_________小时阳性率最高,2周左右转为阴性。
190、多项选择题 亲心肌梗死显像剂有()
A.99Tcm-MIBI
B.201Tl
C.99Tcm-PYP
D.111In-抗肌凝蛋白抗体
E.18F-FDG
191、问答题 核素骨显像的异常表现有哪些?
192、单项选择题 脏器功能显影时,当受检脏器功能不良,如何选择显影剂量()
A.因浓聚下降,应适当加大显影剂的用量
B.排泄减慢应适当减少用量
C.功能不良时不能应用放射性核素检查
D.此时检查意义不大
E.先做预实验,大致了解其功能再确定给药剂量
193、单项选择题 在肾显像中同时要获得肾图曲线,需用下列何种检查()
A.肾静态显像
B.肾灌注显像
C.肾动态显像
D.放射性核素肾血管造影
E.SPECT肾断层显像
194、多项选择题
患者40岁,主诉右侧阴囊疼痛24h,查体右侧阴囊红肿明显。其动态血流灌注可见“nubbin”征;静态血池显像如图。描述正确的是()
A.右侧睾丸放射性分布呈“晕圈征”
B.提示右侧睾丸炎症
C.提示右侧附睾睾丸炎
D.提示右侧睾丸蒂扭转
E.“晕圈征”越明显,睾丸存活的概率越小
195、填空题 反映局部心肌收缩功能的指标有______和_______。
196、单项选择题 肺灌注显像剂常用(99M)Tc-MAA,其颗粒大小需控制在()
A.<10μm
B.10~60μm
C.60~100μm
D.100~300μm
E.300μm以上
197、问答题 乳腺癌放射免疫显像时,肿瘤与非肿瘤比值(T/N)的高低取决于那些因素?
198、单项选择题 用I-MIBG治疗肾上腺素能肿瘤,给药方法为()
A.缓慢静脉推注
B.静脉推注
C.快速静脉滴注
D.60-90min慢静脉滴注
E.口服
199、单项选择题 临床用于急性骨髓炎诊断与鉴别诊断最恰当的手段是()
A.X-CT骨显像
B.ECT局部骨断层显像
C.ECT局部骨静态显像
D.ECT骨三相检查
E.ECTTc-MIBI
200、问答题 运动试验心肌显像诊断早期冠心病心肌缺血的原理是什么?
201、单项选择题 心肌运动显像,次极量踏车试验达到下列哪种情况时可视为负荷满足()
A.达到目标心率——最大心率的85%
B.出现心绞痛发作
C.心电图ST段下降≥1mm
D.产生多源性室性早搏
E.以上都是
202、单项选择题 转移性骨肿瘤在骨显像中哪种表现适宜用放射性核素治疗()
A.呈放射性减低区
B.呈放射性缺损区
C.呈放射性增高区
D.无放射性减低
E.无放射性增高
203、多项选择题 具有连续能谱的粒子有()
A.γ光子
B.β+粒子
C.α粒子
D.β-粒子
E.内转换电子
204、单项选择题 运动负荷试验后,正常冠状动脉血流通常增加________()
A.3~5倍
B.6~10倍
C.1~2倍
D.1~3倍
E.以上都不对
205、填空题 膀胱残余尿量测定适合判定:_______、观察有无尿反流存在及其程度、________、膀胱残余尿量测定。
206、问答题 肾脏静态显像的基本原理是什么?
207、多项选择题 骨显像时,一般成骨性病变部位的放射性可表现为()
A.老年人膝部增高
B.对称性增浓
C.显影异常清晰,双肾不显影,放射性降低
D.浓聚
E.闪烁现象
208、多项选择题 用闪烁探测器测量γ射线时,要正确设置下列哪些参数()
A.单道脉冲幅度分析器的积分测量常数
B.放大器的放大倍数
C.单道脉冲幅度分析器的微分测量常数
D.光电倍增管电压
E.单道脉冲幅度分析器的下阈和上阈
209、问答题 简述肺灌注显像作为肺癌手术决策及预测术后残留肺功能的指标。
210、单项选择题 十二指肠胃反流显像常用显像剂为()
A.99Tcm-DTPA
B.99Tcm-ECD
C.99Tcm-EHIDA
D.99Tcm-RBC
E.C-尿素
211、单项选择题
一患者的99Tcm-Phy肝胶体及Tc-RBC肝血池断层显像如图,诊断是()
A.肝血管瘤
B.肝癌
C.肝囊肿
D.肝炎
E.以上都不是
212、单项选择题 选择显影剂使用剂量的原则是()
A.为了保证显影质量,尽可能加大使用剂量
B.为了减少不必要的辐射,尽可能减少用量
C.每个病人需尽量使用相同剂量
D.在满足显影质量的前提下,尽可能减少使用剂量
E.根据受检者的身高
213、单项选择题 门控心血池显像时,应用下列哪种显像剂图像质量最好()
A.体内法标记RBC
B.混合法标记RBC
C.体外法标记RBC
D.99mTc-HAS
E.99mTc-DTPA-HAS
214、单项选择题
一男性患者的Tc-MIBI运动-静息心肌灌注显像如图,你的诊断是()

A.左室后间壁缺血
B.大致正常的心肌显像
C.左室后侧壁缺血
D.左室后间壁梗死
E.左室前壁缺血
215、多项选择题 下列哪些是核素显像的原理()
A.脏器或组织具有不同的声波
B.放射性药物能够发射出射线
C.病灶组织与正常组织具有不同的密度
D.脏器或组织具有选择性浓聚某些放射性药物的特点
E.显像仪器能对放射性药物的分布进行定位与定量
216、单项选择题 在相位显像分析的主要诊断应用中下列哪个是错的()
A.冠状动脉粥样硬化性心脏病
B.先天性心脏病的异常分流
C.传导阻滞
D.预激综合征
E.心室壁瘤
217、多项选择题 下列各项中,属于存活心肌的是()
A.冬眠心肌
B.顿抑心肌
C.心肌瘢痕
D.无13N-NH和18F-FDG浓聚
E. 99Tcm-MIBI摄取降低但有18F-FDG浓聚
218、单项选择题
男性,48岁,主诉纳差、消瘦,行99Tcm-RBC显像6小时断层如图,诊断是()
A.多发肝转移癌
B.多发肝血管瘤
C.肝右叶淋巴瘤
D.肝癌并肝内转移
E.以上都不是
219、单项选择题
一患者99Tcm-MAA下肢深静脉显像如图,正确诊断是()

A.双下肢深静脉回流通畅
B.右下肢股静脉血栓形成
C.左下肢深静脉栓塞伴新鲜血栓
D.下腔静脉血栓形成
E.以上都不是
220、问答题 简述胃排空功能测定的原理。
221、单项选择题 骨显像用于骨良性疾病的临床应用,下列哪一项是错误的()
A.关节炎
B.感染
C.代谢性疾病
D.骨折是否愈合
E.血管性疾病
222、单项选择题 在肾显像中同时要获得肾图曲线,需用下列何种肾显像()
A.肾静态显像
B.肾灌注显像
C.SPECT肾断层显像
D.放射性核素肾血管造影
E.肾动态显像
223、单项选择题 A1zheimer病SPECT脑血流灌注显像可见到()
A.轮圈征
B.分水岭征
C.月晕征
D.新月形征
E.热鼻征
224、填空题 运动心肌显像出现灌注减低,静息或延迟显像为正常,提示________。
225、单项选择题 肾动态显像中,糖尿病肾病的早期改变,以下列哪一项为主()
A.肾图曲线形态异常,双肾小球滤过率减低
B.肾图曲线形态正常,双肾小球滤过率正常
C.肾图曲线形态正常,双肾小球滤过率升高
D.肾图曲线形态正常,双肾小球滤过率减低
E.肾图曲线形态异常,双肾小球滤过率正常
226、填空题 心肌灌注显像通常将心肌轴面分为:_______、________、_______影像。
227、多项选择题 当前的“图像融合”技术主要指()
A.将病理解剖图像与代谢影像融合
B.将血流影像与CT解剖图像融合
C.将代谢影像与CT影像融合
D.将代谢或血流影像与MR影像融合
E.将超声影像与核医学影像融合
228、问答题 股骨头缺血性坏死时,早期进行骨显像检查骨骼区呈现__________样改变,晚期呈现__________样改变。
229、单项选择题
32岁女性,全身骨痛、高钙血症入院,行Tc-MIBI双时相显像,延迟2小时正侧位图像如图,诊断是()
A.异位甲状腺
B.甲状腺癌胸骨转移
C.异位甲状旁腺瘤
D.甲状旁腺癌胸骨转移
230、多项选择题 下列属于离子通道型受体家族膜受体的是()
A.糖皮质激素受体类
B.生长激素受体
C.N-胆碱受体
D.促甲状腺激素受体
E.胰岛素受体类
231、问答题 肝胆显像的适应证有哪些?
232、单项选择题 在外照射防护措施中,常使用有机玻璃、铝、塑料等低原子序数作为屏蔽材料进行防护的射线是()
A.Χ射线
B.γ射线
C.β射线
D.中子
E.质子
233、多项选择题 用放射性核素治疗骨转移癌,疗效较好的原发肿瘤为()
A.胃癌
B.肝癌
C.肾癌
D.乳房癌
E.前列腺癌
234、多项选择题 下列哪些可作为心肌灌注显像剂()
A.201Tl
B.99Tcm-MIBI
C.18F-FDG
D.99Tcm-PYP
235、单项选择题 下列哪种情况血清β-HCG浓度不增高()
A.早孕及宫外孕
B.绒毛膜上皮癌
C.恶性葡萄胎
D.先兆流产和不全流产
E.乳腺癌
236、填空题 脑血管动态动态显像以________静脉注射显像剂,用于___________,__________,___________,___________,__________,___________。
237、填空题 正常心功能运动试验时,EF的绝对值应比静息时增加_______%以上。
238、问答题 甲状腺静态显像的主要适应证及临床意义如何?
239、单项选择题 TSH基础值低,TRH兴奋试验TSH增高,但高峰延迟应考虑为()
A.正常
B.下丘脑性甲状旁腺功能减退
C.垂体性甲状旁腺功能减退
D.原发性甲状旁腺功能减退
E.以上都不正确
240、填空题 甲状腺激素抑制试验的诊断标准是:抑制率____为甲状腺功能亢进,抑制率____为甲状腺功能正常。
241、单项选择题 下列何种是肝显像诊断肝内占位病变的主要依据()
A.位置异常
B.大小异常
C.形态异常
D.局限性放射性稀疏和缺损
E.弥漫性放射性稀疏
242、单项选择题 放射性核素肝胆显像,诊断急性胆囊炎的条件是()
A.肠道1h内没有放射性
B.肝影持续不消退
C.肝胆管呈现胆道树结构
D.胆囊持续不显影
E.肝脏摄取显像剂量低
243、单项选择题 最能提示右心衰竭的表现是()
A.水冲脉
B.左心室增大
C.肺型P波
D.肝颈静脉回流征阳性
E.舒张期奔马律
244、多项选择题 属于放射性竞争结合分析技术的是()
A.ELISA
B.CLIA
C.RIA
D.CLEIA
E.IRMA
245、多项选择题 放射性胶体共有哪些性质()
A.不溶解
B.不发生生物化学作用
C.胶体颗粒
D.可发生生物化学作用
E.可溶解
246、多项选择题
52岁,男性,反复咳嗽1月伴胸闷、气促4天。查体:血压118/70mmHg,心界扩大,双下肢无水肿。行Tc-MIBI静息心肌灌注显像如图,可能的诊断是()

A.扩张型心肌病
B.不能排外心肌缺血
C.肥厚型心肌病
D.左室下后壁心肌缺血
E.无“花斑样”改变,故排除扩张型心肌病
247、多项选择题 急性胆囊炎在核素肝胆动态显像为避免假阳性的发生,可()
A.给予促胆囊收缩素
B.给予吗啡
C.延迟显像至注射后2~4h
D.予苯巴比妥
E.脂餐试验
248、多项选择题
男性,43岁,1月前广泛前壁心梗,行溶栓治疗。行静息-硝酸甘油介入心肌显像如图,可能的诊断是()

A.左室心尖、间壁、部分前壁心梗
B.心梗区无存活心肌
C.左室外侧壁严重缺血
D.左室下后壁缺血
E.心尖心梗区有存活心肌
249、单项选择题 下列有关肾小球滤过率(GFR)测定的说法,不正确的是()
A.用核素进行GFR的测定,可以测定单个肾的GFR
B.测定GFR所用的显像剂只从肾小球滤过,不被肾小管吸收或分泌
C.GFR测定可观察显像剂灌注双肾动脉,通过双肾滤过到达膀胱的全过程
D.GFR的正常影像中,膀胱开始显影时,双肾影已消失
E.GFR正常的影像中,不应出现输尿管显影
250、单项选择题
2个月大女婴,黄疸,行<sup>99</sup>Tc<sup>m</sup>-EHIDA显像24h图像如图,诊断是()
A.先天性胆总管囊肿
B.先天性胆道闭锁
C.肝炎
D.肝细胞性黄疸
E.以上都不是
251、单项选择题 对于T<15d的短寿命放射性废物,处理方法是()
A.集中放置5个半衰期后,按非放射性废物处理
B.集中放置10个半衰期后,按非放射性废物处理
C.集中放置15个半衰期后,按非放射性废物处理
D.集中放置20个半衰期后,按非放射性废物处理
E.集中放置30个半衰期后,按非放射性废物处理
252、多项选择题 核素显像诊断肝血管瘤常用的方法()
A.肝胶体显像
B.肝血池显像
C.肝胶体显像与肝血池显像联合运用
D.肝血池显像及与CT的图像融合显像
E.肝胆动态显像
253、单项选择题 下列哪个不是肾静态显像的指征()
A.肾占位病变的诊断
B.先天性肾脏异常的诊断
C.上尿路梗阻的诊断
D.肾脏血供和功能受损的诊断
E.肾梗死
254、问答题 简述PET脑代谢显像的适应证。
255、单项选择题
患者38岁,主诉左侧阴囊疼痛2天,查体见左侧阴囊稍红肿如图。超声检查基本正常。最可能的诊断是()
A.左侧睾丸蒂扭转
B.左侧附睾睾丸炎
C.未见明显异常
D.右侧睾丸蒂扭转
E.右侧睾丸附睾炎
256、单项选择题
99Tcm甲基色氨酸(PMT)延迟显像中下何种肝脏疾病病灶处可呈放射性增高区()
A.肝血管瘤
B.肝囊肿
C.原发性肝细胞肝癌
D.转移性肝肿瘤
E.肝硬化
257、多项选择题 SPECT脑灌注显像,正常脑断层显像中放射性较高的结构是()
A.丘脑
B.基底节
C.大脑皮层
D.大脑白质
E.脑室
258、填空题 肝胶体显像所示肝内放射性稀疏缺损的病变区,肝血池影像“不填充”以_____可能性大;“填充”提示________;“过度填充”为__________的特异性表现;“边缘填充”示____________。
259、多项选择题
男,21岁,临床诊断胃癌,诉全身多处骨关节疼痛,行全身骨显像如图,对此影像下列描述正确的是()
A.胸12椎体放射性“冷区”
B.若同时X线检查为阴性则提示骨转移可能性大
C.“冷区”的出现一定表明骨转移
D.患者胸骨浓聚提示骨转移
E.胸12椎体可能存在肿瘤的骨髓浸润
260、单项选择题 临床上,约有80%的乳腺癌患者可表现为()
A.高PRL血症
B.高TSH血症
C.PRL减低
D.E2减低
E.孕酮减低
261、单项选择题 原发性甲状腺功能低下时,TRH兴奋试验呈()
A.过度反应
B.无反应
C.低反应
D.延迟反应
E.以上都是
262、单项选择题 判断心脏功能负荷试验结果时,其EF绝对值比静息时应增加多少以上()
A.5%
B.10%
C.15%
D.20%
E.30%
263、填空题 对于可疑的冠心病或心肌缺血病人,需常规进行_____试验心肌显像,以提高诊断的灵敏度和特异性。
264、问答题 简述局部脑血流显像的原理。
265、问答题 PET脑显像正常影像表现有哪些?
266、单项选择题 Parkinson病在SPECT脑灌注显像中血流灌注改变可见到()
A.基底节血流增高
B.基底节血流减低
C.小脑血流增高
D.枕叶血流增高
E.丘脑血流增高
267、问答题 甲状腺血流显像的临床意义如何?
268、单项选择题 某一患者甲状腺显像示甲状腺显影不清,颌下腺、舌下腺、腮腺摄取较多的放射性,不可能的原因是()
A.甲状腺炎
B.甲状腺功能亢进
C.检查前服用含碘的药物和食物(如海藻类)
D.服用避孕药
E.服用甲状腺素片和抗甲状腺药物
269、单项选择题
急性心肌梗死99Tcm-焦磷酸盐显像中,下列哪一期间无阳性发
A.起病24小时内
B.起病后1~2天
C.起病后3~6天
D.起病后7~14天
E.起病后14天以上
270、多项选择题 Tc在核医学广泛应用,归功于()
A.Tc优越的物理性质
B.适宜的可以与Tc螯合而制成放射性药物的多种配体的研制成功
C.γ相机和SPECT等高分辨率显像仪器的应用
D.钼锝发生器操作简便、使用安全,有较好的价格-效果比
E.以上都不对
271、多项选择题
女性18岁,SLE患者,服用激素类药物治疗1年半,现感左侧髋关节疼痛伴跛行1个月,行全身骨显像及双侧髋关节断层骨显像,诊断是()



A.双侧股骨头缺血性坏死
B.左侧股骨头缺血性坏死
C.双侧均为晚期坏死表现
D.右侧髋关节骨性关节炎
E.以上都不是
272、单项选择题 关于缺血性心肌病,正确的是()
A.LVEF>50%
B.多发节段性放射性稀疏缺损
C.斑片样放射性分布
D.局部节段性放射性减低
E.反向分布
273、问答题 甲状腺的核医学检查方法有哪几类?每一类各举两法说明之.
274、多项选择题 下列哪些可作为诊断甲状腺功能亢进的手段或辅助手段()
A.FT、FT、TSH测定
B.TT、TT、TSH测定
C.TRH兴奋试验
D.甲状腺激素抑制试验
E.甲状腺吸碘功能测定
275、单项选择题 用于肺灌注显像的是()
A.Tl和Tc-MIBI
B.Tc-MDP和Tc-HMDP
C.TcO
D.Tc-DTPA
E.Tc-MAA
276、问答题 I治疗甲状腺功能亢进的适应证和禁忌证有哪些?
277、问答题 PET在脑肿瘤诊断中有何临床意义?
278、多项选择题
男,69岁,肺癌化疗中,诉下肢疼痛3个月,行全身骨显像如图,可能的诊断()
A.未见骨转移征象
B.双侧膝关节转移瘤
C.双侧胫骨转移瘤
D.双下肢肥大性骨关节病
E.有“热髌征”
279、多项选择题 关于检测存活心肌的显像方法,下列正确的有()
A.双嘧达莫负荷心肌灌注显像
B.小剂量多巴酚丁胺介入门控心肌显像
C.硝酸甘油介入心肌灌注显像
D.201Tl24小时延迟显像
E.18F-FDG心肌显像
280、填空题 交通性脑积水是由于蛛网膜下腔引起脑脊液循环_______或吸收_____,脑池显像可见脑室______显影而消退缓慢,脑池显像影像呈______状。
281、问答题 简述抛物线型肾图及临床意义(要求画图)。
282、单项选择题
女,58岁。上消化道出血3个月。B超和CT发现肝硬化、门脉高压,胃底静脉曲张。B超和CT发现肝左叶占位性病变,可疑肝癌;AFP正常。铁蛋白正常。CEA、CA199、CA125正常。18F-FDG显像最可能的诊断是()
A.肠癌并肝转移
B.肠癌肝转移、门静脉癌栓形成
C.肝癌肝内转移
D.肝癌并门静脉癌栓形成
E.以上都不是
283、单项选择题 骨显像图出现肺、胃和肾放射性摄取增加,常见于哪种疾病()
A.骨髓硬化
B.组织细胞增多症
C.成骨肉瘤转移
D.甲状旁腺功能亢进
E.甲状腺功能亢进
284、填空题 脾的网状内皮细胞具有拦截和破坏衰老或受损伤的红细胞的功能。当放射性核素标记____________注入静脉后,将被拦截在脾内而可使脾显影,影像清晰。
285、单项选择题 M0-Tc发生器中Tc强度达到峰值时的时间为()
A.6.0小时
B.66小时
C.1周以上
D.23小时
E.以上都不对
286、单项选择题 在唾液腺静态显像中有助于其形态和位置的观察是()
A.皮下注射阿托品0.5mg
B.口服苯巴比妥
C.皮下注射五肽胃泌素
D.注射胰高血糖素
E.脂餐试验
287、单项选择题
男,10岁,1年前有摔跤史,未予重视,近期出现右下肢疼痛,行Tc-MDP全身骨显像及髋关节断层显像如图,最可能的诊断是()

A.右下肢股骨颈、粗隆肿瘤征象
B.右侧股骨头缺血
C.右侧股骨近端骨髓炎
D.右下肢蜂窝织炎
E.右股骨近端陈旧性骨折
288、单项选择题 核素脑血管显像示双侧颈内动脉显影后3秒,大脑中动脉和大脑前动脉不显影;脑血流平面显像示颅内无灌注,脑实质未见显影,无放射性摄取,核素脑血流断层显像亦无放射性摄取。以上结果说明患者()
A.脑死亡
B.脑梗死
C.脑瘤
D.硬膜下血肿
E.脑膜炎
289、单项选择题
中年女性,呼吸困难,曾有股骨外伤手术史,胸部CT正常,行Tc-MAA肺灌注显像如图,诊断是()

A.正常的肺灌注显像
B.左肺动脉主干栓塞
C.多发肺栓塞
D.肺动脉高压
E.以上都不是
290、单项选择题 正常情况下,脑代谢首选何种物质()
A.葡萄糖
B.脂肪酸
C.蛋白质
D.乳酸
E.氨基酸
291、多项选择题
女性,18岁,反复尿路感染,行Tc-DMSA肾静态显像如图,正确诊断是()
A.慢性肾盂肾炎
B.箭头示瘢痕征
C.急性肾盂肾炎
D.箭头示肾囊肿
E.以上都不是
292、单项选择题 作屏蔽材料用于屏蔽β射线的物质()
A.铅
B.铝
C.铁
D.铜
E.锌
293、单项选择题
99Tcm-MIBI运动负荷心肌灌注显像常在运动高峰时注药,再过1~2小时后静息状态下采集图像,该图像反映的是()
A.静息状态下的心肌血流分布
B.运动高峰时的心肌血流分布
C.运动和静息两种状态的心肌血流分布
D.狭窄的冠状动脉
E.梗死区的活性心肌
294、单项选择题 放射性药物质量检测的内容不包括以下哪一项()
A.颗粒度检测
B.IR结构分析
C.细菌内毒素检测
D.放射性活度测定
E.RCP分析
295、填空题 自主功能性甲状腺瘤时,甲状腺显像多表现_____。
296、单项选择题 急性睾丸附睾炎在阴囊显像中典型的图像表现为()
A.血池相患侧表现为异常放射性浓聚区
B.血池相患侧表现为放射性缺损区
C.血池相患侧表现为边缘放射性增高的放射性缺损区
D.阴囊内放射性分布较均匀,内部结构不易分辨
E.以上均不是
297、问答题 心肌灌注显像在心肌病的诊断或鉴别诊断中有何作用?
298、问答题 简述影响骨显像质量的因素。
299、单项选择题 一般认为,胃排空测定最好的是()
A.固体排空
B.液体排空
C.半固体排空
D.固、液体排空同时测定
E.以上都不是
300、单项选择题 采用不通过血脑屏障的脑显像剂进行脑静态显像阳性病灶放射性一般表现为()
A.减低区
B.缺损区
C.增高(浓聚区)
D.正常
E.不浓聚