医学影像技术(医学高级):核医学考试题库(题库版)

时间:2024-10-09 01:20:58

微信搜索关注"91考试网"公众号,领30元,获取事业编教师公务员等考试资料40G
题库试看结束后微信扫下方二维码即可打包下载完整版《★医学影像技术(医学高级)》题库
手机用户可保存上方二维码到手机中,在微信扫一扫中右上角选择“从相册选取二维码”即可。
题库试看结束后微信扫下方二维码即可打包下载完整版《医学影像技术(医学高级):核医学》题库,分栏、分答案解析排版、小字体方便打印背记!经广大会员朋友实战检验,此方法考试通过率大大提高!绝对是您考试过关的不二利器
手机用户可保存上方二维码到手机中,在微信扫一扫中右上角选择“从相册选取二维码”即可。

1、问答题  肝胆显像原理是什么?正常表现如何?


点击查看答案


2、单项选择题  下列何种情况可表明病灶心肌已无活力()

A.201Tl显像在运动负荷时呈放射性缺损区,静息再分布时可见放射性填充
B.99Tcm-MIBl显像在运动负荷时呈放射性缺损区,静息再分布时可见放射性填充
C.201Tl显像和18F-FDG显像中均呈放射性缺损区
D.201Tl显像时呈放射性缺损区,18F-FDG显像则呈放射性增高区
E.99Tcm-MIBI显像呈放射性减低区,18F-FDG则呈放射性增高区


点击查看答案


3、单项选择题  骨骼的显像主要是通过Tc标记的磷酸盐与骨骼之间的下列哪种作用完成的()

A.离子交换和化学吸咐作用
B.渗透作用及负离子吸咐作用
C.骨骼细胞的吞噬作用及代谢作用
D.目前还不清楚
E.以上都不对


点击查看答案


4、单项选择题  同时测定血清TSH和T浓度是筛选新生儿甲状腺功能低下的有效方法,其灵敏度可()

A.仅有3%~5%的患者漏诊
B.检出全部患者
C.检出70%的患者
D.不一定
E.以上都对


点击查看答案


5、多项选择题  理想的脑灌注显像剂应具备()

A.不能穿透血脑屏障
B.能穿透血脑屏障
C.在脑中滞留足够的时间
D.具有确定的脑区域分布
E.迅速从体内清除


点击查看答案


6、多项选择题  受体调节的变化可以是()

A.受体数量的增加或减少
B.同系调节
C.异系调节
D.配基亲和力的升高或降低
E.以上均不正确


点击查看答案


7、单项选择题  甲状腺髓样癌起源于甲状腺滤泡旁细胞,血清哪种激素浓度

A.甲状旁腺激素
B.甲状腺激素
C.肾上腺素
D.降钙素
E.内皮素


点击查看答案


8、多项选择题  

女,35岁,发现颈部包块就诊,行TcO甲状腺显像如图,可能的诊断为()

A.Plummer病
B.此结节为“热结节”
C.甲状腺功能亢进
D.桥本氏病
E.甲状腺癌


点击查看答案


9、单项选择题  肾静态显像的显像剂()

A.(99)Tc(m)-DTPA
B.邻-(131)I-马尿酸钠
C.(131)I-6-碘代胆固醇
D.(99)Tc(m)-DMSA
E.以上都不正确


点击查看答案


10、名词解释  超级骨显像


点击查看答案


11、单项选择题  肿瘤放射免疫治疗,肿瘤细胞浓聚放射性药物的机理()

A.抗原抗体结合
B.受体配体结合
C.底物与酶结合
D.核苷酸链的互补作用
E.放射性药物对乏氧组织的特异性亲和作用


点击查看答案


12、单项选择题  一般来说下列哪一种不是肺灌注显像的适应证()

A.肺栓塞
B.肺源性心脏病
C.肺肿瘤
D.存在心脏右向左分流疾病
E.肺气肿


点击查看答案


13、单项选择题  若梗阻较久,肾功能受损,有明显肾盂积水,此时肾图可能是()

A.持续上升型
B.高水平延长型
C.低水平延长线型
D.低水平递降曲线型
E.单侧小肾图型


点击查看答案


14、多项选择题  缺血性心肌病的心肌灌注图像表现,下列说法正确的是()

A.心室壁增厚
B.放射性分布呈多发节段性稀疏、缺损
C.左室腔扩大
D.右室腔可增大
E.与扩张型心肌病的表现有交叉


点击查看答案


15、单项选择题  放射性核素衰变的速度取决于()

A.衰变常数
B.放射性活度
C.衰变时间
D.环境温度
E.比活度


点击查看答案


16、单项选择题  潘生丁负荷心肌灌注显像时,注射潘生丁过程中出现明显持续的心绞痛,此时应用下列哪种药物拮抗()

A.硝酸甘油
B.阿托品
C.氨茶碱
D.利多卡因
E.异舒吉


点击查看答案


17、单项选择题  运动心肌显像出现灌注减低,静息或延迟显像为正常,提示()

A.心肌梗死
B.梗死伴缺血
C.心肌缺血
D.心肌病
E.心肌存活


点击查看答案


18、单项选择题  甲状腺结节大于2cm时,下列何种情况可呈“温结节”()

A.甲状腺囊肿
B.自主性高功能腺瘤
C.腺瘤
D.甲状腺癌
E.腺瘤出血


点击查看答案


19、单项选择题  下列哪种疾病无甲状腺吸I率增高的表现()

A.甲状腺功能亢进
B.单纯性甲状腺肿
C.亚急性甲状腺炎
D.Pendred综合征
E.缺碘性甲状腺肿


点击查看答案


20、单项选择题  骨显像显示骨病灶与X线诊断相比较,其灵敏度和特异性是()

A.灵敏度和特异性均高
B.灵敏度和特异性均低
C.灵敏度高而特异性低
D.灵敏度低而特异性高
E.灵敏度和特异性均相仿


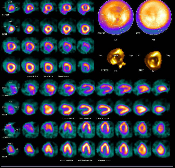
点击查看答案


21、问答题  脑血管动态显像适应证有哪些?


点击查看答案


22、单项选择题  

在葡萄糖负荷条件下,关于18F-FDG心肌显像中存活心肌与坏死心肌的图像,下列表现正确的是()

A.存活心肌摄取,坏死心肌不摄取
B.存活心肌不摄取,坏死心肌不摄取
C.存活心肌摄取,坏死心肌摄取增加
D.存活心肌不摄取,坏死心肌摄取增加
E.存活心肌摄取减少,坏死心肌摄取增加


点击查看答案


23、多项选择题  理想的脑显像剂需具备哪些条件()

A.药物在血液中清除比较快
B.病变与正常脑组织对比度好
C.所使用的放射性核素能量及半衰期适当对人体无害
D.价廉,易于获得和制备
E.半衰期越短越好


点击查看答案


24、问答题  脾脏显像有何临床意义?


点击查看答案


25、单项选择题  

一患者静息99Tcm-MIBI心肌灌注显像如图,诊断是()

A.急性心尖前壁、间壁心肌梗死
B.心尖、前壁、间壁陈旧性心肌梗死
C.心尖、前壁、间壁梗死
D.梗死区无存活心肌
E.以上都不是


点击查看答案


26、多项选择题  SPECT质控主要包括()

A.均匀性评价和校正
B.旋转中心的决定和校正
C.准直器
D.像素X、Y增益大小的校正
E.显像系统的综合评价


点击查看答案


27、单项选择题  交叉失联络现象多见于()

A.慢性脑血管疾病
B.癫痫
C.痴呆
D.Wilson病
E.Parkinson病


点击查看答案


28、单项选择题  RIA分离的目的是()

A.去除游离抗体
B.去除抗原-抗体复合物
C.去除游离抗原
D.去除标记抗体
E.以上均不正确


点击查看答案


29、单项选择题  

用99Tcm-MDP进行骨显像时,要求标记率必须达到()

A.50%以上
B.60%以上
C.70%以上
D.90%以上
E.95%以上


点击查看答案


30、填空题  正常心功能运动试验时,EF的绝对值应比静息时增加_______%以上。


点击查看答案


31、问答题  硝酸甘油介入试验的原理是什么?


点击查看答案


32、问答题  

(1)上述症状应首先考虑哪个诊断?
(2)为了进一步明确诊断,应选择哪些对本病最有诊断价值的检查方法?
(3)脑CT及F-FDG脑代谢显像所示如图,请描述CT、F-FDG检查结果并作出诊断。
(4)拟订一个个体化的治疗方案。
 

患者,女性,56岁,右颞叶胶质瘤术后2年,病理结果为Ⅲ级星形细胞瘤,目前患者又出现头痛。结合你所学的神经系统核医学知识,请回答以下几个问题。


点击查看答案


33、多项选择题  Tl脑显像,阳性结果提示()

A.弓形虫感染
B.淋巴瘤
C.放疗坏死组织
D.肿瘤复发病灶
E.脑脓肿


点击查看答案


34、单项选择题  下列哪一个是心肌梗死“热区”显像剂()

A.99Tcm-MIBI
B.99Tcm-ECD
C.99Tcm-DTPA
D.99Tcm植物酸盐
E.抗肌凝蛋白单克隆抗体


点击查看答案


35、单项选择题  甲状腺激素抑制试验,甲状腺功能被抑制时抑制率为()

A.>50%
B.<50%
C.>40%
D.>20%
E.<30%


点击查看答案


36、单项选择题  Tc配套药盒中SnCl的作用是()

A.将高价态Tc氧化为低价态
B.增加Tc标记药物的稳定性
C.消除由于HO辐射分解产生的氧化性自由基
D.防止放射性药物中Tc被空气氧化
E.调节放射性药物标记的pH值


点击查看答案


37、多项选择题  理想的心肌灌注显像剂应具备的条件()

A.心肌代谢的底物
B.首次通过心肌组织的摄取率高
C.不受其他药物的影响
D.心肌的摄取量与心肌局部血流量呈正比关系
E.必须是分子量小的化合物


点击查看答案


38、多项选择题  运动负荷试验,常用的终止指标有()

A.血压
B.预期心率
C.受检者的自觉症状
D.运动时间
E.呼吸频率


点击查看答案


39、问答题  心肌灌注显像诊断心肌缺血和心肌梗死的价值如何?


点击查看答案


40、单项选择题  关于骨的叙述中,下列哪一项是错误的()

A.新鲜的致密骨由9%的水、22%的有机质及69%的无机盐组成
B.骨皮质是由骨膜和矿物质组成的,骨髓质由规则排列的骨小梁组成
C.骨的无机盐成分主要是碱式磷酸钙
D.骨有机质是由10%的非胶质物及90%胶纤维组成的
E.长骨全部是由其骺板生长而成的


点击查看答案


41、多项选择题  

男,21岁,临床诊断胃癌,诉全身多处骨关节疼痛,行全身骨显像如图,对此影像下列描述正确的是()

A.胸12椎体放射性“冷区”
B.若同时X线检查为阴性则提示骨转移可能性大
C.“冷区”的出现一定表明骨转移
D.患者胸骨浓聚提示骨转移
E.胸12椎体可能存在肿瘤的骨髓浸润


点击查看答案


42、单项选择题  下列哪种情况在全身骨显像图像上表现为“热区”()

A.急性骨髓炎
B.多发性骨髓瘤
C.放射治疗后
D.早期股骨头无菌性坏死
E.骨肉瘤


点击查看答案


43、多项选择题  肺灌注显像的临床应用价值()

A.肺动脉栓塞的诊断和疗效判断
B.肺动脉高压的诊断和鉴别诊断
C.肺部肿瘤切除手术适应证的选择、术后肺功能预测
D.慢性阻塞性肺疾病肺减容手术前适应证的选择、手术部位和范围的确定
E.疑大动脉炎综合征等疾病累及肺血管者


点击查看答案


44、单项选择题  调节醛固酮的分泌主要是()

A.血Na浓度
B.血K浓度
C.肾素-血管紧张素
D.ACTH
E.血容量改变


点击查看答案


45、单项选择题  局部脑血流量的调节,通过以下方式实现()

A.改变动脉血压
B.改变局部葡萄糖浓度
C.开放局部吻合支
D.改变小动脉阻力
E.改变局部氨基酸浓度


点击查看答案


46、多项选择题  SPECT脑灌注显像,正常脑断层显像中放射性较高的结构是()

A.丘脑
B.基底节
C.大脑皮层
D.大脑白质
E.脑室


点击查看答案


47、问答题  脊髓蛛网膜腔及脑池显像在神经外科分流术中的作用是什么?


点击查看答案


48、单项选择题  用高能准直器对低能核素显像,哪一种说法是正确的()

A.完全不行
B.可以,且分辨率提高
C.可以,且灵敏度提高
D.可以,但灵敏度降低
E.可以,且分辨率和灵敏度都提高


点击查看答案


49、多项选择题  

男,37岁,诉全身多处骨关节疼痛,夜间尤甚,无发热。行Tc-MDP骨断层显像如图。对此影像地描述正确的是()

A.胸7含放射性“冷区”
B.胸8含放射性“冷区”
C.下位胸椎放射性增浓是正常的
D.腰3附件异常浓聚
E.胸7、胸8、腰5骨转移瘤可能性大


点击查看答案


50、多项选择题  心肌灌注运动试验禁忌证为()

A.急性心肌梗死者
B.不稳定性心绞痛者
C.心力衰竭者
D.有严重高血压者
E.冠状动脉左主干严重狭窄者


点击查看答案


51、多项选择题  图像重建滤波器的截止频率选择要点包括()

A.图像计数越高,截止频率越高
B.图像矩阵越大,截止频率越低
C.探头分辨率越好,截止频率越高
D.图像矩阵越大,截止频率越高
E.探头分辨率越好,截止频率越低


点击查看答案


52、问答题  心肌代谢现象在冠心病中的应用?


点击查看答案


53、填空题  一般肾静态显像检查时,以_____为合适体位,马蹄肾显像检查时,以_____为最佳体位。


点击查看答案


54、单项选择题  下列何种是肝显像诊断肝内占位病变的主要依据()

A.位置异常
B.大小异常
C.形态异常
D.局限性放射性稀疏和缺损
E.弥漫性放射性稀疏


点击查看答案


55、单项选择题  调节体内钙磷平衡的主要因素之一,下列哪个答案是正确的()

A.甲状腺激素
B.生长激素
C.心钠素
D.甲状旁腺激素
E.醛固酮


点击查看答案


56、问答题  利尿剂介入试验的适应证及临床价值如何?


点击查看答案


57、单项选择题  对图像作平滑滤波可以降低图像的统计噪声,但过度的平滑滤波有副作用,其副作用是()

A.使存储图像所需的存储空间变大
B.降低图像的空间分辨率
C.产生星状伪影
D.降低γ相机的灵敏度
E.降低γ相机的能量分辨率


点击查看答案


58、单项选择题  对于T<15d的短寿命放射性废物,处理方法是()

A.集中放置5个半衰期后,按非放射性废物处理
B.集中放置10个半衰期后,按非放射性废物处理
C.集中放置15个半衰期后,按非放射性废物处理
D.集中放置20个半衰期后,按非放射性废物处理
E.集中放置30个半衰期后,按非放射性废物处理


点击查看答案


59、问答题  计算题:用一只标准压力表检定甲、乙两只压力表时,读得标准表的指示值为100KPa,甲、乙两表的读数各为101.0KPa和99.5KPa,求它们的绝对误差和修正值?


点击查看答案


60、单项选择题  心脏核素显像的介入试验包括()

A.次极量踏车试验
B.多巴酚丁胺试验
C.潘生丁介入试验
D.以上都是
E.以上都不是


点击查看答案


61、单项选择题  下列何种是脾脏显像剂()

A.99Tcm-RbC
B.99Tcm热变性RBC
C.99Tcm-EHIDA
D.99Tcm-PMT
E.I-IMP


点击查看答案


62、多项选择题  关于检测存活心肌的显像方法,下列正确的有()

A.双嘧达莫负荷心肌灌注显像
B.小剂量多巴酚丁胺介入门控心肌显像
C.硝酸甘油介入心肌灌注显像
D.201Tl24小时延迟显像
E.18F-FDG心肌显像


点击查看答案


63、单项选择题  下列哪种疾病在气溶胶吸入显像中不会使肺上皮通透性(LEP)增高()

A.呼吸窘迫综合征
B.矽肺
C.过敏性肺炎
D.尿毒症
E.支气管肺癌


点击查看答案


64、多项选择题  常用于核心脏病学检查的放射性药物为()

A.99Tcm-MIBI用于心肌灌注显像
B.99Tcm-DTPA可用于首次通过法心血管造影
C.99Tcm-焦磷酸盐可用于心肌梗死阳性显像
D.13NH3用于心肌灌注显像
E.99Tcm-RBC用于ECG门电路平衡法


点击查看答案


65、问答题  脑灌注显像正常图像特征有哪些?


点击查看答案


66、单项选择题  典型癫痫灶的SPECT脑灌注显像的表现是()

A.发作和间歇期均增高
B.发作和间歇期均减低
C.发作时增高,间歇时减低
D.发作时减低,间歇时增高
E.发作时增高.间歇时正常


点击查看答案


67、多项选择题  下列关于随机效应说法正确的是()

A.随机效应研究对象是群体
B.主要有致癌效应和遗传效应
C.是辐射效应发生的概率与剂量相关的效应
D.不存在具体阈值
E.一般是在短期内受较大剂量照射时发生的急性损伤


点击查看答案


68、单项选择题  属于分子水平的核医学显像仪器是()

A.SPECT
B.γ照相机
C.PET
D.液体闪烁计数器
E.扫描机


点击查看答案


69、单项选择题  骨髓显像中放射性胶体物质与骨髓内何种细胞成分相结合而使其显像()

A.红细胞生成细胞
B.粒细胞生成细胞
C.网状内皮细胞
D.骨髓网状细胞
E.骨小梁


点击查看答案


70、单项选择题  评价心肌活力的最好方法是()

A.心电图
B.冠状动脉造影
C.99Tcm-MIBI心肌灌注显像
D.18F-FDGPET显像
E.以上都不是


点击查看答案


71、多项选择题  下列属于离子通道型受体家族膜受体的是()

A.糖皮质激素受体类
B.生长激素受体
C.N-胆碱受体
D.促甲状腺激素受体
E.胰岛素受体类


点击查看答案


72、单项选择题  位于甲状腺滤泡细胞与滤泡基膜之间的细胞称为C细胞或滤泡旁细胞,它分泌什么物质()

A.甲状腺激素
B.甲状腺球蛋白
C.降钙素
D.甲状旁腺激素
E.TSH


点击查看答案


73、单项选择题  放射性核素示踪剂技术所采用的示踪剂是()

A.酶
B.受体
C.配体
D.放射性核素或其标记化合物
E.单克隆抗体


点击查看答案


74、单项选择题  哪一种不能作肝癌阳性显像()

A.99Tcm-胶体
B.99Tcm-PMT
C.99Tcm-枸橼酸盐
D.131I-AFP抗体
E.以上都不是


点击查看答案


75、问答题  骨关节疾病核素治疗的原理是什么?疗效如何?


点击查看答案


76、单项选择题  肥厚型心肌病在门控心血池显像中的特点不含下列哪一项()

A.室间隔影像增宽 
B.心腔影狭小
C.LVEF特别是1/3EF增高  
D.心室大小正常
E.舒张期功能受损


点击查看答案


77、问答题  简介正常甲状腺影像


点击查看答案


78、单项选择题  心功能显像中,室壁瘤的特征性表现是()

A.左心室影形态失常,呈局限性囊袋样膨出
B.心动电影显示局部有反向运动,ES边界超过ED边界
C.相角程明显增宽,常大于135°
D.时相直方图上室峰与房峰之间出现异常附加峰
E.以上都是


点击查看答案


79、问答题  甲状腺激素抑制试验的适应证及临床意义是什么?


点击查看答案


80、问答题  肾血流灌注显像的正常表现有哪些?


点击查看答案


81、单项选择题  早老性痴呆及血流灌注显像示()

A.病灶灌注减少或缺失,部分病例对侧小脑半球灌注减低
B.基底节不对称灌注减低伴大脑各叶灌注减低
C.间歇期血流灌注减低,发作期病灶处灌注增高
D.额、顶、颞叶为主的广泛血流灌注减少,表现为“分水岭”征
E.血流灌注表现各异或减低或局灶性增高,或两者现象并存


点击查看答案


82、多项选择题  下列哪些情况由于TBG浓度的影响,使得TT、TT测定值不能完全反映甲状腺的功能状态()

A.妊娠
B.传染性肝炎
C.严重营养不良
D.多种重度疾病
E.以上都正确


点击查看答案


83、单项选择题  

女性,78岁,头颅胀痛3个月,肾功能明显受损,HGB56g/L,行全身骨显像,最可能的诊断是()

A.肾性骨营养不良
B.原发性骨质疏松
C.骨软化症
D.Paget病
E.骨转移瘤


点击查看答案


84、单项选择题  

男性,46岁,突起高热、头晕半个月,血象三系减少,曾有脾外伤切除史,99Tcm-PHY骨髓显像如图,最准确的描述是()

A.中心及外周骨髓活性正常
B.骨髓呈荒芜型
C.提示慢性再障
D.提示急性白血病
E.以上都不是


点击查看答案


85、单项选择题  放射防护的目的在于防止有害的非随机效应,并将随机性效应的____降低到可被认为安全的水平()

A.严重程度
B.发生率
C.危险度
D.允许剂量
E.以上都不是


点击查看答案


86、单项选择题  下列哪一项不是脑血流灌注显像剂的特点()

A.良好的脂溶性
B.电中性
C.分子量小
D.体外稳定性好,在脑内贮留时间长,清除慢
E.水溶性好


点击查看答案


87、单项选择题  在核素治疗中,下列哪种情况不适合放射免疫治疗()

A.非实体肿瘤
B.肿瘤术后残留的较小病灶
C.全身广泛转移不能手术、化疗和外放疗
D.复发或转移形成的微小病灶
E.局限的较大体积肿瘤


点击查看答案


88、多项选择题  当前的“图像融合”技术主要指()

A.将病理解剖图像与代谢影像融合
B.将血流影像与CT解剖图像融合
C.将代谢影像与CT影像融合
D.将代谢或血流影像与MR影像融合
E.将超声影像与核医学影像融合


点击查看答案


89、问答题  脑灌注显像的适应证有哪些?


点击查看答案


90、问答题  简述高危心肌灌注影像的特征。


点击查看答案


91、多项选择题  天然本底辐射包括()

A.宇宙射线
B.地球辐射
C.内照射
D.X射线
E.中子


点击查看答案


92、单项选择题  

一患者的静息平衡法门控心室显像如图,正确的诊断是()

A.心尖缺血
B.心尖室壁瘤
C.扩张型心肌病
D.肥厚型心肌病


点击查看答案


93、单项选择题  测定肺上皮细胞通透性的理想药物是()

A.99Tcm-EC
B.99Tcm-DTPA
C.99Tcm-HAS
D.99Tcm-MAA
E.99Tcm-MIBI


点击查看答案


94、单项选择题  

17岁男孩,突发黑便3天,行99TcmO3腹部显像如图,正确的诊断是()

A.箭头所示异位胃粘膜
B.箭头所示Barrett食管
C.箭头所示肠重复畸形
D.箭头所示Meckel憩室
E.以上都不对


点击查看答案


95、多项选择题  室壁瘤门控心血池显像的特点有()

A.心动电影显示反向运动,局部射血分数减低,心室缩短率呈负值
B.心动电影显示同向运动,局部射血分数减低,心室缩短率降低
C.时相分析局部时相提前,时相直方图见相角程变窄
D.时相分析局部时相延迟,时相直方图见相角程增宽
E.心室影像形态失常,室壁瘤部位呈局限性向外膨出


点击查看答案


96、多项选择题  下列哪些检查有助于诊断尿路梗阻()

A.肾图
B.肾动态显像
C.利尿肾图
D.肾素-血管紧张素测定
E.以上都正确


点击查看答案


97、问答题  促甲状腺激素释放激素兴奋试验的原理是什么?


点击查看答案


98、问答题  简述甲状腺功能测定的方法有哪些?


点击查看答案


99、单项选择题  在SPECT的脏器显影中,最理想常用的放射性核素是()

A.I
B.Ga
C.Tc
D.I
E.F


点击查看答案


100、多项选择题  静态图像分析的要点是()

A.脏器位置
B.形态
C.大小
D.放射性分布
E.时相变化


点击查看答案


101、单项选择题  下列哪种情况下,血浆皮质醇浓度不增高()

A.肾上腺皮质增生
B.肾上腺皮质腺瘤
C.肾上腺皮质癌
D.库欣综合征
E.嗜铬细胞瘤


点击查看答案


102、填空题  按肝胆动态显像顺序,可分为______、______、______和____四期。


点击查看答案


103、多项选择题  

男性,62岁,膀胱印戒细胞癌术后半年,全身酸痛,对骨显像地描述正确的是()

A.颅骨多个“轮圈征”,提示有溶骨性病变
B.脊柱骨、肋骨弥漫性均匀性浓聚,肾脏不显影,是“超级骨显像”
C.提示中轴骨广泛转移癌
D.该患者预后不良
E.以上都不是


点击查看答案


104、问答题  骨动态显像异常表现有哪些?


点击查看答案


105、问答题  简介局部脑血流显像正常影像。


点击查看答案


106、单项选择题  

男,56岁,行99Tcm-MDP双手骨显像如图,X线阴性,RF阴性,ESR、CRP稍增高,UA408μmol/L,最可能的诊断是()

A.活动期类风湿关节炎
B.风湿性关节炎
C.正常的手部关节影像
D.痛风性关节炎
E.早期类风湿关节炎


点击查看答案


107、单项选择题  P-胶体治疗恶性胸腔积液常用的剂量为()

A.148~370MBq
B.37~111MBq
C.370~925MBq
D.555~1110MBq
E.以上都不是


点击查看答案


108、多项选择题  预测甲状腺功能亢进药物治疗缓解后复发的最灵敏、最可靠的方法是()

A.TT、FT测定
B.TT、TT测定
C.sTSH测定
D.TRH兴奋试验
E.以上都正确


点击查看答案


109、问答题  脊髓蛛网膜腔及脑池显像在脊髓腔阻塞的定位诊断中有何价值?


点击查看答案


110、单项选择题  用于脑灌注显像的显像剂,必须有以下特性()

A.带正电荷
B.带负电荷
C.不带电荷
D.一端带正电荷,一端带负电荷
E.亲水端带正电,疏水端带负电荷


点击查看答案


111、问答题  简答交通性脑积水的影像表现。


点击查看答案


112、填空题  分化良好,又进行了全切的甲状腺癌骨转移灶用______显像比用_______显像的特异性和灵敏度高。


点击查看答案


113、名词解释  急剧上升型肾图


点击查看答案


114、单项选择题  关于《放射性药品管理办法》,以下哪项不正确()

A.非核医学专业人员未经培训,不得从事放射性药品使用工作
B.无《放射性药品使用许可证》的医疗单位不能临床使用放射性药品
C.《放射性药品使用许可证》由所在地的地市级公安、环保和卫生行政部门核发
D.许可证有效期为5年
E.期满前6个月要重新申请审核批准后,换发新证


点击查看答案


115、问答题  肝血管瘤在肝静态显像、肝血流显像和肝血池显像的影像特征是什么?


点击查看答案


116、多项选择题  I治疗甲状腺功能亢进前患者心率较快,情绪紧张,如对症处理应给予()

A.抗菌素
B.镇静剂
C.抗甲状腺药物
D.β受体阻滞剂
E.碘剂


点击查看答案


117、填空题  肺灌注显像时静脉注入直径10~100μm的放射性颗粒最常应用的是__________。


点击查看答案


118、填空题  甲状旁腺显像,在甲状旁腺功能正常时甲状旁腺__________,功能亢进时甲状旁腺___________


点击查看答案


119、单项选择题  肝血池显像中转移性肝肿瘤处血池放射性较周围肝组织为()

A.增高
B.相似
C.较低
D.明显低
E.缺损


点击查看答案


120、名词解释  反射性交感性骨营养不良


点击查看答案


121、多项选择题  

女性,62岁,诉腰背痛1月余,行Tc-MDP骨显像如图,可能的诊断是()

A.骨质疏松征象
B.胸7~10椎体压缩性骨折
C.胸7~9陈旧性骨折
D.胸10为新发的骨折
E.肋骨圆点状浓聚亦可能为骨折


点击查看答案


122、单项选择题  下列骨显像影像哪种属异常()

A.双侧肩胛下角放射性增高
B.胸骨放射性稍增高
C.前位腰椎上段放射性均匀性增浓
D.儿童长骨骨骺端显像清晰
E.肋骨局部放射性浓聚


点击查看答案


123、多项选择题  下列哪些是核素显像的原理()

A.脏器或组织具有不同的声波
B.放射性药物能够发射出射线
C.病灶组织与正常组织具有不同的密度
D.脏器或组织具有选择性浓聚某些放射性药物的特点
E.显像仪器能对放射性药物的分布进行定位与定量


点击查看答案


124、单项选择题  促甲状腺素释放素(TRH)兴奋试验正常范围是()

A.高峰时间是30min,TSH增加幅值为10~30mμ/l
B.高峰时间是30min,TSH增加幅值为6~12mμ/l
C.高峰时间是60min,TSH增加幅值为10~30mμ/l
D.高峰时间是60min,TSH增加幅值为6~12mμ/l
E.高峰时间是90min,TSH增加幅值为6~12mμ/l


点击查看答案


125、多项选择题  下列哪些可作为诊断甲状腺功能亢进的手段或辅助手段()

A.FT、FT、TSH测定
B.TT、TT、TSH测定
C.TRH兴奋试验
D.甲状腺激素抑制试验
E.甲状腺吸碘功能测定


点击查看答案


126、问答题  静脉造影的正常表现有哪些?


点击查看答案


127、单项选择题  骨显像对骨转移性肿瘤的诊断,尤其是原发病灶肯定时寻找骨转移灶颇具临床价值,是由于()

A.灵敏度高
B.可显示全身骨病灶
C.提供放射性核素治疗的依据
D.以上均是
E.以上均不是


点击查看答案


128、填空题  心肌缺血者,休息时EF多正常,运动试验后则________。


点击查看答案


129、问答题  脊髓蛛网膜腔及脑池显像原理是什么?


点击查看答案


130、单项选择题  以下哪项不是放射性核素显影的特点()

A.较高特异性的功能显影
B.动态、定量显示脏器、组织和病变的血流和功能信息
C.提供脏器、病变的代谢信息
D.精确显示脏器、组织、病变的细微结构
E.本法属无创性检查


点击查看答案


131、单项选择题  肝脏胶体显像剂静脉注射后由肝内下列哪种细胞摄取而显影()

A.肝细胞
B.肝巨噬细胞
C.胆管细胞
D.肝癌细胞
E.血管上皮细胞


点击查看答案


132、问答题  PET脑显像(脑代谢显像)的基本原理是什么?


点击查看答案


133、单项选择题  放射性核素脑血管造影系()

A.静态显像
B.动态显像
C.断层显像
D.全身显像
E.非显像方法


点击查看答案


134、单项选择题  放射性核素的衰变特性受什么的影响()

A.受压力因素
B.受温度
C.受化学状态
D.不受任何环境因素
E.以上都不是


点击查看答案


135、问答题  甲状旁腺显像的适应证及临床意义是什么?


点击查看答案


136、问答题  心肌细胞活性的估计检查方法有哪些?


点击查看答案


137、多项选择题  

一患者的99Tcm-MIBI心肌灌注显像如图,正确的诊断是()

A.心梗表现
B.心梗区无存活心肌
C.心尖室壁瘤
D.无室壁瘤形成
E.以上都不是


点击查看答案


138、单项选择题  衡量测定系统准确度的质控指标,通常要求回收率介于多少之间()

A.80%~100%
B.90%~110%
C.90%~120%
D.80%~120%
E.95%~105%


点击查看答案


139、单项选择题  

骨显像剂99Tcm-MDP静脉注射后几小时约50%集聚在骨表面,余者经肾排出()

A.1小时
B.2小时
C.3小时
D.4小时
E.8小时


点击查看答案


140、多项选择题  

患者21岁,主诉左侧阴囊疼痛3小时,查体见左侧睾丸肿胀。行TcO阴囊显像血池相如图。描述正确的是()

A.左侧睾丸呈弥漫性放射性稀疏表现,提示左侧睾丸蒂扭转
B.右侧睾丸炎
C.可能为左侧腹股沟斜疝
D.左侧附睾睾丸炎
E.大致正常的影像


点击查看答案


141、单项选择题  

探查急性胃肠道出血时,99Tcm-硫胶体显像与99Tcm-RBC显像相比最大的优点是()

A.无肝脾放射性干扰
B.显像时间短
C.能长时间监测出血
D.腹部本底高
E.以上都不是


点击查看答案


142、单项选择题  采用心室面积轴线缩短法判断左心室室壁运动异常的缩短率标准是()

A.<5%
B.<10%
C.<10%
D.<20%
E.<30%


点击查看答案


143、单项选择题  不受血中甲状腺激素结合球蛋白浓度异常影响的甲状腺功能指标是()

A.PRL
B.TT
C.TT
D.LH
E.FT和FT


点击查看答案


144、单项选择题  

一患者呼吸困难,怀疑肺栓塞,行99Tcm-MAA下肢深静脉显像如图。正确的诊断是()

A.双下肢深静脉栓塞
B.下腔静脉栓塞
C.右下肢深静脉栓塞
D.双下肢深静脉瓣功能不全
E.以上都不是


点击查看答案


145、单项选择题  先天性无甲状腺患者,血清甲状腺球蛋白(Tg)浓度变化的特点是()

A.浓度很低
B.检测不到
C.浓度增高
D.浓度正常
E.前后重复检测的Tg浓度差异甚大


点击查看答案


146、多项选择题  

男,肝癌术后1年,诉腰背痛5个月,行全身骨显像如图,碱性磷酸酶明显增高,可能的诊断是()

A.胸12“冷区”
B.胸12有溶骨性病变
C.胸12骨转移瘤
D.大致正常的骨影像
E.肝癌骨转移“冷区”较常见


点击查看答案


147、单项选择题  能清晰地显示左室心尖、侧壁、间壁的心肌灌注断层影像是哪种断层面()

A.短轴断层影像
B.水平长轴断层影像
C.矢状面断层影像
D.冠状面断层影像
E.以上都不是


点击查看答案


148、单项选择题  核素图像融合技术的最主要目的是()

A.了解病灶部位的代谢与血流变化
B.了解病灶区解剖密度的变化
C.了解病灶区解剖形态的变化
D.提高探测病灶的敏感性
E.判断病灶大小


点击查看答案


149、填空题  胃排空显像剂的基本要求是进入胃后不被胃粘膜____和____,不被胃液或胃运动____和____。临床常用显像剂可分为______、______和____。


点击查看答案


150、单项选择题  放射自显影的基本原理是()

A.利用感光材料能改变物质的密度
B.放射能使感光材料分解
C.放射性核素使感光材料发光
D.利用射线能使感光材料感光
E.利用自动探测仪器测量组织中的放射性分布


点击查看答案


151、问答题  (131)I-MIBG治疗肿瘤的原理是什么?


点击查看答案


152、问答题  首次通过法核素心血管造影适应证有哪些?


点击查看答案


153、单项选择题  正常甲状腺显像时下列哪个组织也可显影()

A.淋巴结
B.扁桃腺
C.胸腺
D.唾液腺
E.环状软骨


点击查看答案


154、多项选择题  

一男性病人的99Tcm-MIBI运动-静息心肌灌注显像如图,可能的诊断是()

A.左心室无心肌缺血
B.左心室前壁缺血
C.左心室心尖缺血
D.左心室前侧壁缺血
E.左心室后壁缺血


点击查看答案


155、问答题  脊髓蛛网膜腔及脑池显像诊断交通性脑积水有何价值?


点击查看答案


156、单项选择题  肾上腺皮质分泌()

A.糖皮质激素和盐皮质激素
B.糖皮质激素和性激素
C.盐皮质激素和性激素
D.糖皮质激素和性激素及盐皮质激素
E.肾上腺素和去甲肾上腺素


点击查看答案


157、单项选择题  骨显像图出现肺、胃和肾放射性摄取增加,常见于哪种疾病()

A.骨髓硬化
B.组织细胞增多症
C.成骨肉瘤转移
D.甲状旁腺功能亢进
E.甲状腺功能亢进


点击查看答案


158、问答题  简述肝胶体显像的原理。


点击查看答案


159、单项选择题  SPECT在脑灌注显像中脑梗死灶显示灌注减低区范围较CT为()

A.范围大,但发现晚
B.范围大,且发现早
C.范围小,且发现晚
D.范围小,且发现早
E.范围一样,但发现晚


点击查看答案


160、多项选择题  下列哪些疾病可出现十二指肠胃反流()

A.胃溃疡
B.慢性胃炎
C.功能性消化不良
D.胃切除术后
E.反流性食管炎


点击查看答案


161、问答题  简述PET脑代谢显像的适应证。


点击查看答案


162、单项选择题  未经治疗的原发性甲状旁腺功能减退病人()

A.TSH正常
B.TSH升高
C.TSH降低
D.TSH可高可低
E.以上都不正确


点击查看答案


163、多项选择题  

男性,67岁,阵发性心前区疼痛2年,心电图运动试验阳性,行Tc-MIBI运动-静息心肌显像如图,可能的诊断是()

A.左室前壁、下壁可逆性缺血
B.冠状动脉粥样硬化性心脏病
C.如果冠造阴性,提示X综合征
D.不排除非粥样硬化型冠心病
E.未见心肌缺血


点击查看答案


164、单项选择题  心血管核医学中,次极量踏车运动试验,心率应达到最大心率的()

A.50%
B.85%
C.90%
D.100%


点击查看答案


165、单项选择题  心室壁瘤在位相直方图中特征性表现为()

A.相角程缩小
B.相角程增宽
C.心室峰增高
D.出现附加峰
E.心室峰减低


点击查看答案


166、单项选择题  骨关节显像可用于哪些疾病的诊断()

A.类风湿关节炎
B.骨退行性关节病
C.人工关节
D.骶髂关节炎症
E.以上都是


点击查看答案


167、多项选择题  

男,58岁,诉全身多处疼痛,行Tc-MDP骨显像如图。对此影像的描述正确的是()

A.大致正常的骨显像
B.超级骨显像
C.提示肿瘤广泛骨转移
D.提示代谢性骨病
E.肋骨有多发的骨折


点击查看答案


168、单项选择题  

男,结肠癌术后3年,大便潜血(+++),行18F-FDG显像如图,诊断是()

A.肝转移
B.结肠癌复发
C.腹主动脉旁淋巴结转移
D.结肠癌复发并肝转移
E.以上都不是


点击查看答案


169、问答题  潘生丁介入试验的适应证和禁忌证有哪些?


点击查看答案


170、单项选择题  异位胃粘膜显像,其显像剂是()

A.99Tcm-胶体
B.99Tcm-RBC
C.99Tcm-IDA
D.99Tcm-DTPA
E.99TcmO3


点击查看答案


171、填空题  脑静态显像的适应证包括:_____、_____、____、_____。


点击查看答案


172、单项选择题  

21岁男,既往有丝虫病史,行Tc-DX显像如图,正确的诊断是()

A.乳糜胸
B.乳糜尿
C.乳糜腹
D.右淋巴导管阻塞
E.以上都不是


点击查看答案


173、问答题  PET在痴呆症诊断中有何临床意义?


点击查看答案


174、问答题  心肌灌注显像异常表现有哪些?


点击查看答案


175、单项选择题  血管性头痛脑血流灌注显像示()

A.病灶灌注减少或缺失,部分对侧小脑半球灌注减低
B.基底节不对称灌注减低伴大脑各叶灌注减低
C.间歇期血流灌注减低,发作期病灶处灌注增高
D.额、顶、颞叶为主的广泛血流灌注减少,表现为“分水岭”征
E.血流灌注表现各异或减低或局灶性增高,或两者现象并存


点击查看答案


176、单项选择题  放射性核素显像时射线的来源()

A.自引进被检者体内放射性核素发出
B.体外X射线穿透病人机体
C.频率为2.5~7.5MHz超声
D.宇宙射线
E.以上都不是


点击查看答案


177、单项选择题  过氯酸钾排泌试验正常可见于下列何种情况()

A.慢性淋巴性甲状腺炎
B.先天性甲状腺过氧化酶缺陷
C.甲状腺功能亢进未治疗
D.甲状腺功能亢进服用抗甲状腺药物中
E.甲状腺功能亢进I治疗后


点击查看答案


178、填空题  可以用于脑生理与认知功能研究的核医学显像是_______显像。


点击查看答案


179、问答题  脑血管动态显像正常与异常影像特征有哪些?


点击查看答案


180、单项选择题  唯一能直接确诊交通性脑积水的显像方法是()

A.局部脑血流断层显像
B.脑血流动态显像
C.脑池显像
D.脑平面显像
E.脑代谢显像


点击查看答案


181、单项选择题  鉴定骨折线是近期损伤或为陈旧性损伤的最灵敏、简便的方法是()

A.ECT
B.MRI
C.XCT
D.X线
E.以上都不是


点击查看答案


182、多项选择题  

患者女,23岁,因颜面部和四肢水肿1年半,腹胀5个月入院。无畏寒发热、腹痛、盗汗及乳糜尿。行Tc-DX淋巴显像动态相和延迟相如图,可能的诊断是()

A.乳糜尿
B.大致正常的下肢、腹部淋巴影像
C.乳糜腹
D.乳糜池外漏
E.相当于乳糜池处胸导管不全梗阻伴增粗


点击查看答案


183、问答题  核素骨显像有何临床意义?


点击查看答案


184、单项选择题  临床常用的诊断甲状腺转移灶的显像剂是()

A.I
B.I
C.I
D.mTcO
E.Tl


点击查看答案


185、问答题  有效肾血浆流量测定有何临床意义?


点击查看答案


186、单项选择题  骨显像用于骨良性疾病的临床应用,下列哪一项是错误的()

A.关节炎
B.感染
C.代谢性疾病
D.骨折是否愈合
E.血管性疾病


点击查看答案


187、单项选择题  阴囊显像中,下列哪种疾病可导致睾丸在灌注相、血池相均显示“放射性缺损区”()

A.急性睾丸蒂扭转
B.急性睾丸附睾炎
C.睾丸肿瘤
D.睾丸脓肿
E.外伤


点击查看答案


188、单项选择题  脑积水行脑室分流手术后观察分流导管通畅与否用()

A.脑静态显像
B.SPECT脑灌注显像
C.脑池显像
D.脑室显像
E.放射性核素脑血管造影


点击查看答案


189、名词解释  过氯酸钾释放试验


点击查看答案


190、单项选择题  杆件剪切变形时,横截面上的剪应力实际分布为()

A.梯形分布
B.抛物线分布
C.等值分布
D.不规则分布


点击查看答案


191、单项选择题  乳腺癌根治术后上肢水肿的主要原因是()

A.血浆胶体渗透压低下
B.静脉压上升
C.毛细血管通透性增高
D.淋巴管闭塞
E.肝细胞对醛固酮、抗利尿激素灭活能力降低


点击查看答案


192、问答题  脑灌注显像的基本原理是什么?


点击查看答案


193、单项选择题  

男,49岁,反复发作心前区疼痛半年,行负荷、静息F-FDG心肌代谢显像如图,诊断是()

A.未见心肌缺血表现
B.心尖心梗
C.心尖、前间壁、部分下壁缺血
D.心尖室壁瘤形成
E.以上都不是


点击查看答案


194、问答题  心血池显像类型有哪些?


点击查看答案


195、单项选择题  (99m)Tc-MAA进行肺灌注显像,其颗粒直径的大小应在()

A.<8μm
B.<10μm
C.10~60μm
D.100~300μm
E.300μm以上


点击查看答案


196、单项选择题  两侧肾图曲线对比异常,一侧为小肾图,另一侧曲线形态正常,可见于()

A.单侧肾动脉狭窄
B.肾结石
C.肾积水
D.多囊肾
E.肾肿瘤


点击查看答案


197、单项选择题  

女,43岁,左下肢肿胀。行Tc-MAA双下肢深静脉显像如图,可能的诊断是()

A.双侧下肢热点为血栓梗阻部位
B.下肢远端侧肢循环建立
C.大致正常的深静脉回流影像
D.下肢远端浅静脉显影
E.若延迟显像示热点消失,提示为热点为静脉瓣所在


点击查看答案


198、单项选择题  局部心室壁运动呈反向搏动常提示()

A.肥厚型心肌病
B.扩张型心肌病
C.缺血性心肌病
D.预激综合征
E.心室室壁瘤


点击查看答案


199、单项选择题  I完全去除分化型甲状腺癌(DTC)术后残留甲状腺组织后,血清TG升高提示()

A.DTC复发或转移
B.机体免疫功能增强
C.感染
D.甲状腺功能低下未纠正
E.服用甲状腺激素过多


点击查看答案


200、单项选择题  预激综合征患者,门控心血池显像时旁路部位的时相为()

A.延迟
B.提前
C.正常
D.不一定
E.以上都对


点击查看答案


201、单项选择题  利用Tc-PYP进行急性心肌梗死诊断,属于()

A.全身显影
B.动态显影
C.阴性显影
D.早期显影
E.阳性显影


点击查看答案


202、单项选择题  开放性的放射性工作单位的分类是以_____划分的.()

A.最大等效日操作量
B.等效年剂量
C.操作性质
D.毒性组别系数
E.以上都不是


点击查看答案


203、填空题  运动心肌显像出现灌注减低,静息或延迟显像为正常,提示________。


点击查看答案


204、多项选择题  肺动脉栓塞典型的影像学表现包括()

A.肺灌注显像表现为多发的肺段性放射性分布减低或缺损区
B.肺灌注显像表现为多发的肺段性放射性分布浓聚区
C.同期肺通气显像正常
D.胸部X线检查正常
E.同期肺通气显像异常


点击查看答案


205、单项选择题  免疫放射分析中(单克隆抗体固相夹心法)的基本原理()

A.仅适用于多肽和蛋白质大分子物质的测定
B.要求抗原少于2个抗原决定簇
C.要求抗原少于10个氨基酸
D.仅适用于小分子物质测定
E.放射性核素标记抗原


点击查看答案


206、单项选择题  对于孕妇,在确定妊娠后下腹部表面的剂量限量不应超过()

A.20mSv
B.50mSv
C.2mSv
D.150mSv
E.1mSv


点击查看答案


207、单项选择题  淋巴显像时,在精原细胞瘤患者的后腹膜见到以下影像:①两侧的淋巴结不对称,其中有一侧的淋巴结明显大于对侧的淋巴结,但摄取核素较均匀,②两侧的淋巴结不对称,其中有一侧的淋巴结未见到明显的核素的分布,但另一侧的淋巴结显像无异常。下面请你判断一下,哪种可能性最大()

A.两种显像均可提示有肿瘤的转移
B.两种显像均可见到异常,但不能提示肿瘤的转移
C.第一种提示淋巴结的良性病变可能性大,第二种提示淋巴结的恶性转移病灶的可能性大
D.第二种提示淋巴结的良性病变可能性大,第一种提示淋巴结的恶性转移病灶的可能性大
E.以上都不对


点击查看答案


208、单项选择题  骨显像中,关于股骨头缺血坏死的以下说法中,哪一个是错误的()

A.早期改变为患侧股骨头区放射性分布减低
B.“炸面圈”征象是坏死中期改变的典型表现
C.坏死晚期表现为明显的异常放射性浓聚
D.如果头/干比值明显增高,就可以十分肯定坏死诊断
E.坏死晚期的合并症为骨性关节炎,出现髋臼放射性浓聚


点击查看答案


209、名词解释  肾动态显像的功能相


点击查看答案


210、单项选择题  原子核是由以下哪些粒子组成的()

A.质子和核外负电子
B.质子和核外正电子
C.质子和中子
D.中子和电子
E.光子和电子


点击查看答案


211、单项选择题  

中年女性,呼吸困难,曾有股骨外伤手术史,胸部CT正常,行Tc-MAA肺灌注显像如图,诊断是()

A.正常的肺灌注显像
B.左肺动脉主干栓塞
C.多发肺栓塞
D.肺动脉高压
E.以上都不是


点击查看答案


212、单项选择题  Ga炎症显像时,Ga成人常用剂量是()

A.37MBq
B.185~370MBq
C.555~740MBq
D.740~925MBq
E.>925MBq


点击查看答案


213、单项选择题  类风湿关节炎在放射性核素骨显像图上的主要表现是()是

A.近端指(趾)或掌指间关节对称性放射性浓聚
B.手、足、髋、肩、膝、骶髂关节等着力部位有明显放射性浓聚
C.脊柱弥漫性放射性增高,其两侧小关节影像相连成两条线样增高带
D.肢体远端关节有非常明显的放射性核素浓聚增加
E.以上都不


点击查看答案


214、单项选择题  局部脑血流断层显像(rCBF)不能对下列哪种疾病进行诊断()

A.短暂性脑缺血发作(TIA)的诊断
B.脑梗死的诊断
C.癫痫的诊断
D.动脉瘤及动静脉血管畸形的诊断
E.偏头痛的诊断


点击查看答案


215、单项选择题  核素治疗病室中,无活性区是指()

A.病房
B.患者活动区
C.放射性核素储存场所
D.医护人员工作场所
E.放射性药物分装场所


点击查看答案


216、问答题  简答甲状腺显像的原理。


点击查看答案


217、单项选择题  肺栓塞在肺显像中的典型表现为()

A.灌注显像有缺损区,通气显像正常
B.灌注显像正常,通气显像有缺损
C.灌注和通气显像均有缺损区
D.灌注和通气显像均无缺损区
E.灌注和通气显像均正常


点击查看答案


218、单项选择题  进食后,心肌细胞的主要能源物质是哪种物质()

A.葡萄糖
B.氨基酸
C.多肽
D.脂肪酸
E.蛋白质


点击查看答案


219、填空题  反映局部心肌收缩功能的指标有______和_______。


点击查看答案


220、单项选择题  关于骨肉瘤的临床特点,下列哪个答案是错误的()

A.常见于股骨下端、胫骨和腓骨上端
B.高度恶性
C.多早期发生肺转移
D.X线表现骨破坏与成骨并存
E.多见于老年人


点击查看答案


221、单项选择题  在质量控制中,低、中、高3个质控样品,其中2个偏离靶值超过2s,并在同一方向时,提示()

A.该批测定结果可以用
B.质控样品放置位置不正确
C.视具体情况而定
D.该批样品需要重新测定
E.如果下次分析仍是这样则需重新测定


点击查看答案


222、单项选择题  癫痫脑血流灌注显像示()

A.病灶为灌注减少或缺失,对侧小脑半球灌注减低
B.基底节不对称灌注减低伴大脑各叶灌注减低
C.间歇期血流灌注减低,发作期病灶处灌注增高
D.额、顶、颞叶为主的广泛血流灌注减少,表现为“分水岭”征
E.血流灌注表现各异或减低或局灶性增高,或两者现象并存


点击查看答案


223、单项选择题  以下哪项不是肺灌注显像的适应证()

A.肺动脉床极度受损者
B.肺动脉栓塞的早期诊断
C.移植肺的监测
D.原因不明的肺动脉高压
E.大动脉炎综合征累及肺血管者


点击查看答案


224、多项选择题  能获得心脏功能指标的显像方法有()

A.首次通过法心血池显像
B.门电路心血池显像
C.门电路心肌显像
D.201Tl运动-再分布显像法
E.99Tcm-MIBI运动-静息隔日显像法


点击查看答案


225、单项选择题  

一患者19岁,反复发作高血压,行肾动态显像及隔日卡托普利介入肾动态显像如图,正确的诊断是()

A.左侧肾动脉狭窄
B.右侧肾动脉狭窄
C.正常的肾动态显像
D.双侧肾动脉狭窄
E.以上都不是


点击查看答案


226、单项选择题  核素骨显像在下列哪些方面优于常规X线及CT()

A.早期诊断转移性骨肿瘤
B.股骨头缺血坏死的诊断
C.移植骨存活的监测
D.原发性骨肿瘤侵犯范围的确定
E.以上都是


点击查看答案


227、单项选择题  交叉反应率(CRR)是属于下列哪种类型的质量指标()

A.精密度
B.准确度
C.灵敏度
D.特异性
E.稳定性


点击查看答案


228、问答题  肾动态显像在肾内占位性病变良、恶性鉴别诊断中有何临床意义?


点击查看答案


229、单项选择题  带电粒子在某一长度径迹上消耗的能量与该径迹在光电效应中,γ光子()

A.通过多次散射失去能量
B.失去的能量等于光子能量减去结合能
C.失去一半能量
D.失去全部能量
E.损失的能量与物质密度有关长度之比是()


点击查看答案


230、单项选择题  受体放射分析与放射受体分析的比较,两种分析法的不同处是()

A.标记配体
B.生物活性
C.受体的性质
D.结合原理
E.分析目的


点击查看答案


231、单项选择题  

女性、32岁,发现颈前包块1个月,触诊质硬,sTSH<0.01mIU/L。行TcO甲状腺显像如图,最可能的诊断是()

A.先天性甲状腺缺如
B.桥本氏病
C.亚急性甲状腺炎
D.舌骨下异位甲状腺
E.甲状腺功能低下


点击查看答案


232、单项选择题  

一患者Tc-MAA下肢深静脉显像如图,正确诊断是()

A.双下肢深静脉回流通畅
B.右下肢股静脉血栓形成
C.左下肢深静脉栓塞伴新鲜血栓
D.下腔静脉血栓形成
E.以上都不是


点击查看答案


233、单项选择题  放射免疫分析技术,最早是由谁建立的()

A.Becquerel
B.Cassen
C.YaloW
D.YaloW和Berson
E.Berson


点击查看答案


234、多项选择题  

患者67岁,行Tc-MIBI门控心肌显像如图,可能的诊断是()

A.下后壁心肌梗死
B.下后壁室壁运动弥漫性低下
C.心功能四级
D.心肌血流灌注正常
E.以上都不是


点击查看答案


235、单项选择题  下列何种显影剂不是代谢显影剂()

A.F-FDG
B.N-NH
C.O
D.C-蛋氨酸
E.C-亮氨酸


点击查看答案


236、单项选择题  

10岁男孩,反复黑便3年,行99TcmO3腹部显像如图,正确的诊断是()

A.可能是Meckel憩室
B.一定是肠重复畸形
C.Barrett食管
D.未见异位胃粘膜
E.以上都有可能


点击查看答案


237、填空题  左向右分流特点是最初的右心相和肺相正常,但当左心相出现时右心相重复显影,进而______持续显影,称为_________,简称脏污肺,同时主动脉影像较淡。


点击查看答案


238、多项选择题  β粒子的电离密度大大小于α粒子,因为β粒子()

A.有负电荷
B.电荷量少
C.排斥而不是吸引电子
D.每次电离丧失34keV能量
E.速度快


点击查看答案


239、单项选择题  M0-Tc发生器中Tc强度达到峰值时的时间为()

A.6.0小时
B.66小时
C.1周以上
D.23小时
E.以上都不对


点击查看答案


240、填空题  作心肌梗死灶阳性显像的时间以发病后________最为合适。


点击查看答案


241、问答题  试述骨显像的临床应用。


点击查看答案


242、单项选择题  甲状腺髓样癌不能依靠下列哪一种显像剂寻找其转移灶()

A.I
B.Tl
C.Tc(V)-DMSA
D.Tc-MIBI
E.I-MIBG


点击查看答案


243、单项选择题  一般认为,胃排空测定最好的是()

A.固体排空
B.液体排空
C.半固体排空
D.固、液体排空同时测定
E.以上都不是


点击查看答案


244、问答题  肺灌注显像的基本原理是什么?


点击查看答案


245、单项选择题  在肾显像中同时要获得肾图曲线,需用下列何种肾显像()

A.肾静态显像
B.肾灌注显像
C.SPECT肾断层显像
D.放射性核素肾血管造影
E.肾动态显像


点击查看答案


246、问答题  心肌灌注显像在冠心病治疗过程中有何作用?


点击查看答案


247、问答题  简述局部脑血流显像的药物介入试验常用药物。


点击查看答案


248、单项选择题  下列哪个不是肾静态显像的指征()

A.肾占位病变的诊断
B.先天性肾脏异常的诊断
C.上尿路梗阻的诊断
D.肾脏血供和功能受损的诊断
E.肾梗死


点击查看答案


249、多项选择题  骨骼各部位聚集放射性核素骨显像剂的多少,主要与哪些因素有关()

A.骨有机质代谢
B.骨血流
C.骨神经
D.骨无机盐代谢
E.成骨细胞活跃程度


点击查看答案


250、单项选择题  

肺灌注显像剂常用99Tcm-MAA,其颗粒需控制在()

A.<10μm
B.10~60μm
C.60~100μm
D.100~300μm
E.>300μm


点击查看答案


251、填空题  肺动脉栓塞后该肺组织血流减少或中断而肺通气功能正常,即肺通气(V)血流(Q)比____________。


点击查看答案


252、单项选择题  TcO在甲状腺内是()

A.仅被甲状腺组织吸附
B.参与甲状腺激素合成
C.参与甲状腺激素代谢
D.参与甲状腺激素分泌
E.以甲状腺激素形式潴留


点击查看答案


253、单项选择题  下列哪个征象不是亚急性甲状腺炎的常见表现()

A.甲状腺吸I率降低
B.血清甲状腺激素增高
C.血沉升高
D.过氯酸盐释放试验异常
E.颈部疼痛


点击查看答案


254、单项选择题  心肌梗死灶显像的主要显像剂为()

A.201Tl
B.99mTc-PYP
C.99mTc-MDP
D.99mTc-WBC
E.99mTc-RBC


点击查看答案


255、多项选择题  

67Ga显像可用于诊断哪些骨骼疾病()
 

A.骨髓炎
B.骨和软组织炎症的鉴别
C.关节化脓性炎症
D.骨质疏松
E.成人关节和椎间盘腔感染


点击查看答案


256、单项选择题  骨是一种器官,它的构造下列哪个答案正确()

A.骨膜、骨密质和骨髓
B.骨质、骨膜和骨髓
C.黄骨髓、骨膜和骨松质
D.红骨髓、骨密质和骨膜
E.骨髓、骨质、骨膜、血管、淋巴管和神经


点击查看答案


257、单项选择题  I治疗分化型甲状腺癌转移灶,应停用T()

A.1~2周
B.2~3周
C.6~8周
D.8~10周
E.4~6周


点击查看答案


258、问答题  肾血流灌注显像异常影像有何临床意义?


点击查看答案


259、单项选择题  用于肺灌注显像的是()

A.Tl和Tc-MIBI
B.Tc-MDP和Tc-HMDP
C.TcO
D.Tc-DTPA
E.Tc-MAA


点击查看答案


260、单项选择题  过氯酸钾排泌试验判断异常的标准是()

A.<1%
B.<2%
C.<5%
D.<10%
E.>10%


点击查看答案


261、单项选择题  

一患者的静息平衡法心血池显像如图,正确的诊断是()

A.正常的时相直方图和相位图
B.心尖室壁瘤形成
C.心尖缺血征象
D.正常的振幅图和相位图
E.以上都不是


点击查看答案


262、问答题  骨动态显像有何临床意义?


点击查看答案


263、单项选择题  

患者,男,45岁,MRI诊断为胰腺癌。为了解病变范围又做了18F-FDG肿瘤代谢显像(SPECT-PET/CT)。结果:上腹部可见FDG聚集灶,T/N=2.12(胰腺区),右下腹另有一个FDG聚集灶。右下腹的高浓聚灶最可能是()

A.转移灶
B.其他肿瘤(重复癌)
C.回盲部生理性摄取
D.移植肾排泄影
E.以上都不是


点击查看答案


264、单项选择题  

5岁男孩,左肾盂成形术后1年,行Tc-DTPA肾动态显像,功能相如图,对此最可能的诊断是()

A.左肾积水、右肾盂肾盏扩张
B.左肾实质功能受损
C.右肾积水
D.右肾内梗阻
E.右肾皮质功能受损


点击查看答案


265、问答题  肝胆显像的临床意义。


点击查看答案


266、填空题  在肝动脉灌注显像时,早期动脉相病灶区出现放射性浓聚,提示为_______可能。


点击查看答案


267、单项选择题  采用不通过血脑屏障显像剂的脑静态显像脑病灶中心液化可表现为()

A.热鼻征
B.过度灌注征
C.轮圈征
D.新月征
E.分水岭征


点击查看答案


268、问答题  心肌灌注显像在心肌病的诊断或鉴别诊断中有何作用?


点击查看答案


269、问答题  简述早期类风湿关节炎。


点击查看答案


270、单项选择题  首次通过法心血池显像的方法学要求不含下列哪一项()

A.足够活度的显像剂
B.低能通用准直器
C.较小的矩阵
D.低能高灵敏准直器
E.快的采集速度(1~2秒/帧)


点击查看答案


271、多项选择题  放射免疫分析与免疫放射分析比较,两种分析方法的相同之处是()

A.均系免疫反应
B.均系标记抗体
C.测量对象都是待测抗原物质
D.都是竞争性结合分析
E.都是反映抗原抗体的免疫活性


点击查看答案


272、多项选择题  放射性胶体共有哪些性质()

A.不溶解
B.不发生生物化学作用
C.胶体颗粒
D.可发生生物化学作用
E.可溶解


点击查看答案


273、单项选择题  肝胶体显像适应证为()

A.肝占位性病变
B.黄疸鉴别
C.胆系结石时,肝、胆各部位功能状况判定
D.先天性胆道闭锁
E.婴肝综合征


点击查看答案


274、问答题  简述心肌细胞活性测定的方法。


点击查看答案


275、问答题  骨髓显像的适应证有哪些?


点击查看答案


276、单项选择题  甲状腺扫描“温”结节最可能是()

A.良性腺瘤
B.甲状腺癌
C.甲状腺囊肿
D.腺瘤出血
E.功能自主性腺瘤


点击查看答案


277、单项选择题  哪一项不是局部脑血流断层显像在诊断脑梗死方面的优势()

A.可较X-CT早期诊断
B.发现病灶较X-CT大
C.发现病灶较X-CT多
D.影像较X-CT清晰
E.可发现远期效应


点击查看答案


278、多项选择题  

女,突发上腹痛3小时,行Tc-DISIDA显像左上图为1帧/3秒动态显像,右上图为1帧/5分钟动态显像,左下图为3小时静态显像,右下图为4小时静态显像。正确描述是()

A.显像过程中胆囊持续不显影
B.急性胆囊炎
C.胆囊于4h时显影
D.胆道梗阻
E.以上都不是


点击查看答案


279、单项选择题  在肾静态显像中,为了清楚地显示马蹄肾,应采用的静态显像方式是()

A.前后位静态显像(ANT)
B.后位静态显像(POST)
C.左前斜位(LAO)3O度
D.右前斜位(RAO)30度
E.左后斜位(LPO)45度


点击查看答案


280、问答题  全身骨髓活性水平分级标准及其临床意义是什么?


点击查看答案


281、单项选择题  可排除甲状腺功能亢进的甲状腺激素抑制试验的抑制率()

A.>50%
B.25%~50%
C.<25%
D.<50%
E.以上都不正确


点击查看答案


282、单项选择题  带电粒子在某一长度径迹上消耗的能量与该径迹长度之比是()

A.氧效应
B.传能线密度
C.氧增强比
D.当量剂量
E.吸收剂量


点击查看答案


283、问答题  PET脑显像正常影像表现有哪些?


点击查看答案


284、单项选择题  关于肥厚型心肌病,正确的是()

A.LVEF>80%
B.多发节段性放射性稀疏缺损
C.斑片样放射性分布
D.局部节段性放射性减低
E.反向分布


点击查看答案


285、单项选择题  放射性核素示踪术示踪剂的选择条件不包括()

A.射线类型的选择
B.放射化合纯度的选择
C.放射性核素半衰期的选择
D.药物疗效的选择
E.示踪剂射线能量和放射性活度的选择


点击查看答案


286、多项选择题  电离辐射的生物效应,包括以下哪几个阶段()

A.物理阶段
B.物理化学阶段
C.化学阶段
D.生物学阶段
E.有丝分裂阶段


点击查看答案


287、多项选择题  

男,36岁,诉晨起酸痛数月,行99Tcm-MDP骨显像如图,对此影像描述正确的是()

A.提示多发骨转移
B.提示肺性肥大性骨关节病
C.是超级骨显像
D.颅骨散在圆点状浓聚提示病理过程的出现
E.提示多发性骨髓瘤


点击查看答案


288、单项选择题  气溶胶吸入显像异常图像的表现是()

A.大气道内稍有放射性沉积
B.两侧肺野内放射性分布不均匀,不均匀区的面积小于两肺总面积的25%
C.大气道内有较多的放射性沉积
D.两肺野有25%一50%的区域放射性分布不均匀
E.大气道或小气道均有明显的放射性沉积,全肺野中表现为放射性稀疏或缺损的面积大于50%


点击查看答案


289、单项选择题  肾动态显像中下列哪个因素不影响GFR测定的准确性()

A.肾脏本身的大小
B.左右肾感兴趣区的大小
C.肾深度计算
D.受检者身高及体重
E.取本底感兴趣区的位置


点击查看答案


290、单项选择题  急性蜂窝织炎时放射性核素骨显像可见何种表现()

A.血流、血池相放射性明显增加,且消失迅速,延迟相正常
B.血流相正常,血池相放射性增高,消失缓慢,延迟相正常
C.血流、血池相正常,延迟相呈放射性明显增加
D.血流相放射性灌注增加,血池相及延迟相呈放射性减低
E.以上都不是


点击查看答案


291、问答题  肾动态显像在上尿路梗阻诊断中有何价值?


点击查看答案


292、多项选择题  放射性核素骨显像可用于诊断()

A.骨肉瘤
B.骨转移瘤
C.Paget病
D.镰状红细胞贫血
E.骨质疏松


点击查看答案


293、问答题  脑灌注显像在早老性痴呆诊断中有何应用价值?


点击查看答案


294、多项选择题  

用99Tcm-硫胶体行消化道出血显像,易造成假阴性的原因()

A.出血速率0.2ml/mm
B.间断性活动性出血
C.出血病灶与脾脏重叠,结肠脾曲出血
D.出血病灶与肝脏重叠,结肠肝曲出血
E.出血量5ml


点击查看答案


295、单项选择题  Graves’病时TRH兴奋试验表现为()

A.正常反应 
B.增高反应  
C.低弱反应或无反应
D.延迟反应  
E.延迟增高反应 


点击查看答案


296、单项选择题  下列哪一种仪器不能用于脏器显像()

A.脏器功能测定仪
B.脏器扫描机
C.γ照相机
D.SPECT显像仪
E.PET显像仪


点击查看答案


297、单项选择题  

一患者的99Tcm-Phy肝胶体及Tc-RBC肝血池断层显像如图,诊断是()

A.肝血管瘤
B.肝癌
C.肝囊肿
D.肝炎
E.以上都不是


点击查看答案


298、单项选择题  放射性核素或其标记化合物应用于示踪剂是基于()

A.同位素有相同的化学性质
B.体内的生物学行为
C.放射性核素射线的可测性
D.A和C
E.放射性核素的衰变


点击查看答案


299、多项选择题  

女,43岁,发现颈部包块1月,体检:颈部包块质硬,无压痛。TcO甲状腺显像如图,对右叶甲状腺结节的描述正确的是()

A.是“热结节”
B.是“冷结节”
C.是“温结节”
D.可能为甲状腺癌
E.可能为甲状腺瘤伴出血


点击查看答案


300、多项选择题  

女,60岁,突发气促、胸痛6小时就诊。胸部X线片示:右侧肋隔角少量积液,上纵隔影增宽,行(99m)Tc-MAA肺灌注显像如图,可能的诊断为()

A.大致正常的影像
B.排除了肺栓塞
C.右肺下叶肺栓塞
D.右肺中段肺栓塞
E.左肺下叶肺栓塞


点击查看答案


题库试看结束后微信扫下方二维码即可打包下载完整版《★医学影像技术(医学高级)》题库
手机用户可保存上方二维码到手机中,在微信扫一扫中右上角选择“从相册选取二维码”即可。
题库试看结束后微信扫下方二维码即可打包下载完整版《医学影像技术(医学高级):核医学》题库,分栏、分答案解析排版、小字体方便打印背记!经广大会员朋友实战检验,此方法考试通过率大大提高!绝对是您考试过关的不二利器
手机用户可保存上方二维码到手机中,在微信扫一扫中右上角选择“从相册选取二维码”即可。

微信搜索关注"91考试网"公众号,领30元,获取公务员事业编教师考试资料40G